COVID-19 in Patients with Pre-Existing Interstitial Lung Disease: Potential Value of a Steroid-Based Treatment Strategy
Abstract
1. Introduction
2. Materials and Methods
2.1. Diagnosis of PreILD
2.2. Severity of COVID-19
2.3. Treatment Strategy for COVID-19 with PreILD
2.4. Diagnosis of SARS-CoV-2
2.5. Data Collection
2.6. Description of the Clinical Course
2.7. Comparison of the Clinical Course between Our Study and Previous Studies
3. Results
3.1. Patient Demographics
3.2. Severity of COVID-19 and Treatment
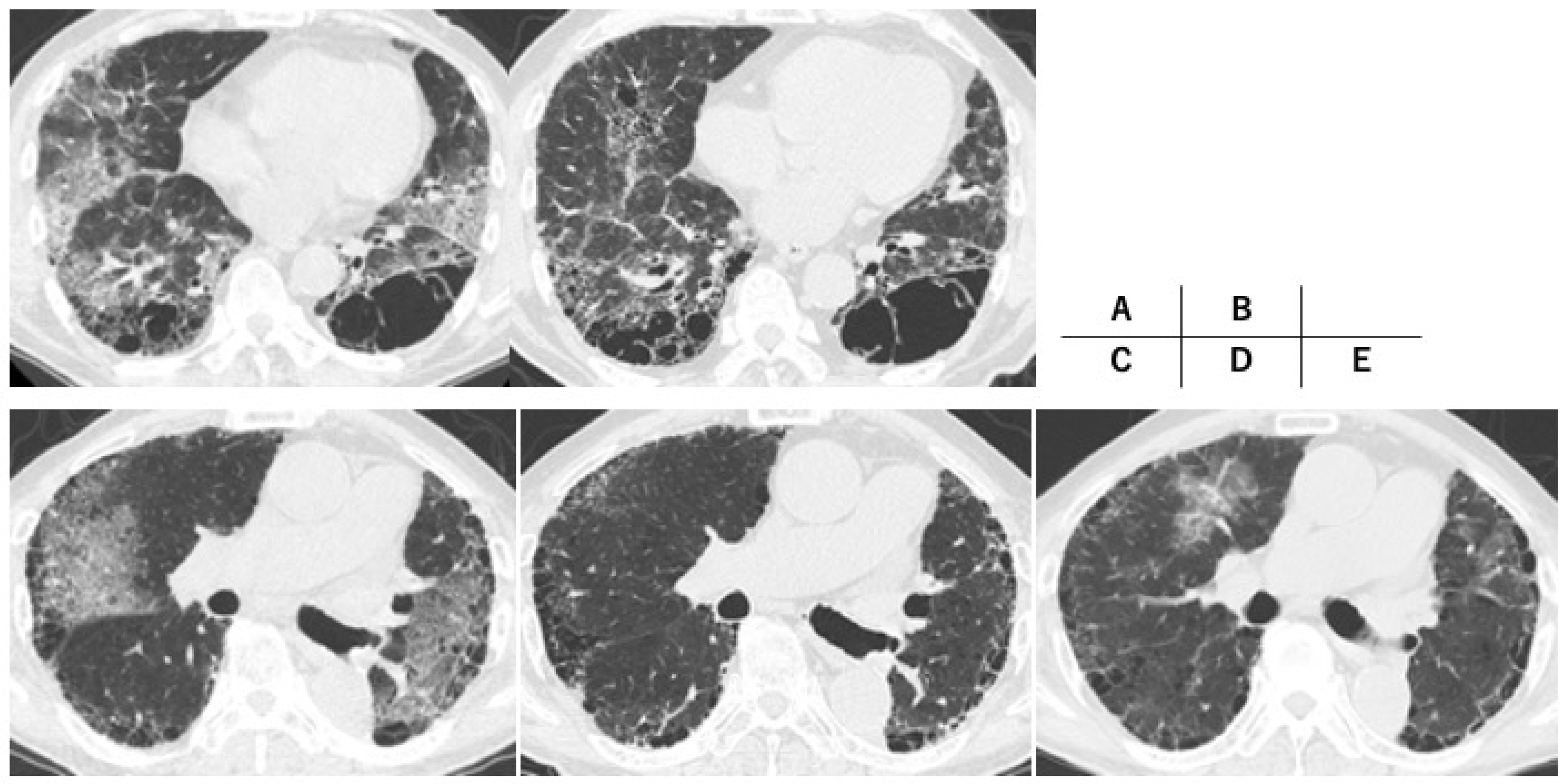
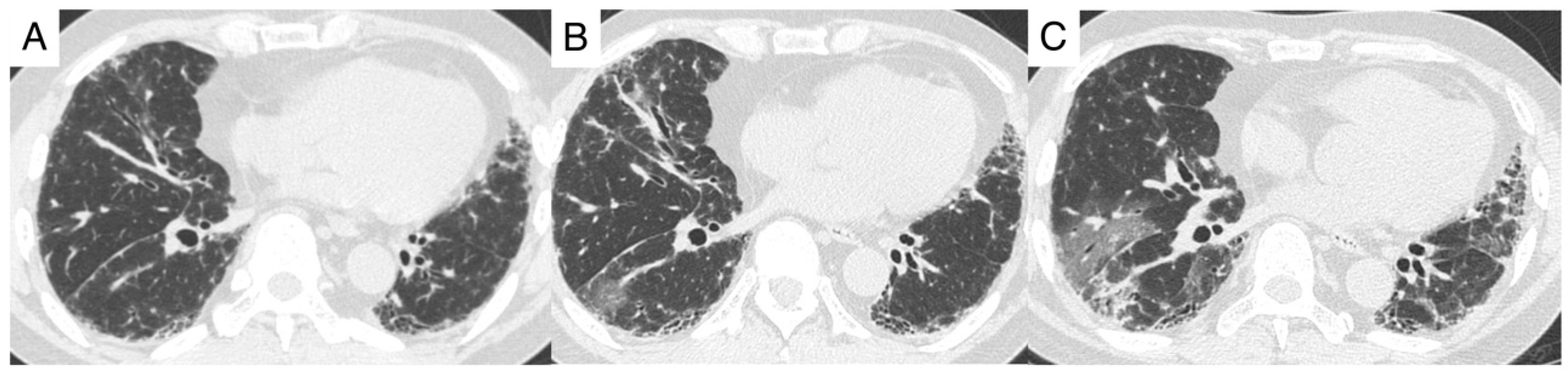
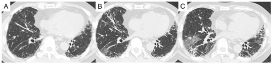
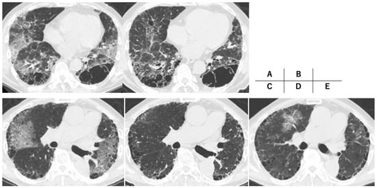
3.3. Outcomes
3.4. Comparison with Other Studies
4. Discussion
5. Conclusions
Author Contributions
Funding
Institutional Review Board Statement
Informed Consent Statement
Data Availability Statement
Conflicts of Interest
References
- Zhu, N.; Zhang, D.; Wang, W.; Li, X.; Yang, B.; Song, J.; Zhao, X.; Huang, B.; Shi, W.; Lu, R.; et al. A Novel Coronavirus from Patients with Pneumonia in China, 2019. N. Engl. J. Med. 2020, 382, 727–733. [Google Scholar] [CrossRef] [PubMed]
- Kurahara, Y.; Kobayashi, T.; Shintani, S.; Matsuda, Y.; Tamiya, A.; Sugawara, R.; Arai, T.; Tachibana, K.; Okishio, K.; Matsui, H. Clinical characteristics of COVID-19 in Osaka, Japan: Comparison of the first-third waves with the fourth waves. Respir. Investig. 2021, 59, 810–818. [Google Scholar] [CrossRef] [PubMed]
- Naqvi, S.F.; Lakhani, D.A.; Sohail, A.H.; Maurer, J.; Sofka, S.; Sarwari, A.; Hadi, Y.B. Patients with idiopathic pulmonary fibrosis have poor clinical outcomes with COVID-19 disease: A propensity matched multicentre research network analysis. BMJ Open Respir. Res. 2021, 8, e000969. [Google Scholar] [CrossRef] [PubMed]
- Drake, T.M.; Docherty, A.B.; Harrison, E.M.; Quint, J.K.; Adamali, H.; Agnew, S.; Babu, S.; Barber, C.M.; Barratt, S.; Bendstrup, E.; et al. Outcome of Hospitalization for COVID-19 in Patients with Interstitial Lung Disease. An International Multicenter Study. Am. J. Respir. Crit. Care Med. 2020, 202, 1656–1665. [Google Scholar] [CrossRef]
- Esposito, A.J.; Menon, A.A.; Ghosh, A.J.; Putman, R.K.; Fredenburgh, L.E.; El-Chemaly, S.Y.; Goldberg, H.J.; Baron, R.M.; Hunninghake, G.M.; Doyle, T.J. Increased Odds of Death for Patients with Interstitial Lung Disease and COVID-19: A Case–Control Study. Am. J. Respir. Crit. Care Med. 2020, 202, 1710–1713. [Google Scholar] [CrossRef]
- Gallay, L.; Uzunhan, Y.; Borie, R.; Lazor, R.; Rigaud, P.; Marchand-Adam, S.; Hirschi, S.; Israel-Biet, D.; Valentin, V.; Cottin, V. Risk Factors for Mortality after COVID-19 in Patients with Preexisting Interstitial Lung Disease. Am. J. Respir. Crit. Care Med. 2021, 203, 245–249. [Google Scholar] [CrossRef]
- RECOVERY Collaborative Group; Horby, P.; Lim, W.S.; Emberson, J.R.; Mafham, M.; Bell, J.L.; Linsell, L.; Staplin, N.; Brightling, C.; Ustianowski, A.; et al. Dexamethasone in Hospitalized Patients with COVID-19. N. Engl. J. Med. 2021, 384, 693–704. [Google Scholar] [CrossRef]
- Lee, Y.H.; Kim, C.H.; Lee, J. Coronavirus disease 2019 pneumonia may present as an acute exacerbation of idiopathic pulmonary fibrosis. J. Thorac. Dis. 2020, 12, 3902–3904. [Google Scholar] [CrossRef]
- Kitayama, T.; Kitamura, H.; Hagiwara, E.; Higa, K.; Okabayashi, H.; Oda, T.; Baba, T.; Komatsu, S.; Iwasawa, T.; Ogura, T. COVID-19 Pneumonia Resembling an Acute Exacerbation of Interstitial Pneumonia. Intern. Med. 2020, 59, 3207–3211. [Google Scholar] [CrossRef]
- Kondoh, Y.; Kataoka, K.; Ando, M.; Awaya, Y.; Ichikado, K.; Kataoka, M.; Komase, Y.; Mineshita, M.; Ohno, Y.; Okamoto, H.; et al. COVID-19 and acute exacerbation of interstitial lung disease. Respir. Investig. 2021, 59, 675–678. [Google Scholar] [CrossRef]
- Omote, N.; Kanemitsu, Y.; Inoue, T.; Yonezawa, T.; Ichihashi, T.; Shindo, Y.; Sakamoto, K.; Ando, A.; Suzuki, A.; Niimi, A.; et al. Successful treatment with high-dose steroids for acute exacerbation of idiopathic pulmonary fibrosis triggered by COVID-19: A case report. Intern. Med. 2021; online ahead of print. [Google Scholar] [CrossRef]
- Arai, T.; Tachibana, K.; Sugimoto, C.; Inoue, Y.; Tokura, S.; Okuma, T.; Akira, M.; Kitaichi, M.; Hayashi, S.; Inoue, Y. High-dose prednisolone after intravenous methyl prednisolone improves prognosis of acute exacerbation in idiopathic interstitial pneumonias. Respirology 2017, 22, 1363–1370. [Google Scholar] [CrossRef] [PubMed]
- Collard, H.R.; Ryerson, C.J.; Corte, T.J.; Jenkins, G.; Kondoh, Y.; Lederer, D.J.; Lee, J.S.; Maher, T.M.; Wells, A.U.; Antoniou, K.M.; et al. Acute exacerbation of idiopathic pulmonary fibrosis. An international working group report. Am. J. Respir. Crit. Care Med. 2016, 194, 265–275. [Google Scholar] [CrossRef] [PubMed]
- Travis, W.D.; Costabel, U.; Hansell, D.M.; King, T.E., Jr.; Lynch, D.A.; Nicholson, A.G.; Ryerson, C.J.; Ryu, J.H.; Selman, M.; Wells, A.U.; et al. An official American Thoracic Society/European Respiratory Society statement: Update of the international multidisciplinary classification of the idiopathic interstitial pneumonias. Am. J. Respir. Crit. Care Med. 2013, 188, 733–748. [Google Scholar] [CrossRef] [PubMed]
- Raghu, G.; Remy-Jardin, M.; Myers, J.L.; Richeldi, L.; Ryerson, C.J.; Lederer, D.J.; Behr, J.; Cottin, V.; Danoff, S.K.; Morell, F.; et al. Diagnosis of Idiopathic Pulmonary Fibrosis. An Official ATS/ERS/JRS/ALAT Clinical Practice Guideline. Am. J. Respir. Crit. Care Med. 2018, 198, e44–e68. [Google Scholar] [CrossRef]
- Arnett, F.C.; Edworthy, S.M.; Bloch, D.A.; Mcshane, D.J.; Fries, J.F.; Cooper, N.S.; Healey, L.A.; Kaplan, S.R.; Liang, M.H.; Luthra, H.S.; et al. The american rheumatism association 1987 revised criteria for the classification of rheumatoid arthritis. Arthritis Rheum. 1988, 31, 315–324. [Google Scholar] [CrossRef]
- Aletaha, D.; Neogi, T.; Silman, A.J.; Funovits, J.; Felson, D.T.; Bingham, C.O., 3rd; Birnbaum, N.S.; Burmester, G.R.; Bykerk, V.P.; Cohen, M.D.; et al. 2010 Rheumatoid arthritis classification criteria: An American College of Rheumatology/European League Against Rheumatism collaborative initiative. Arthritis Rheum. 2010, 62, 2569–2581. [Google Scholar] [CrossRef]
- Bohan, A.; Peter, J.B. Polymyositis and dermatomyositis (first of two parts). N. Engl. J. Med. 1975, 292, 344–347. [Google Scholar] [CrossRef]
- Clinical Management of Patients with COVID-19. A Guide for Front-Line Health Care Workers, 5th ed.; Japanese Ministry of Health, Labour and Welfare: Tokyo, Japan, 2021. Available online: https://www.mhlw.go.jp/content/000785119.pdf (accessed on 8 July 2021). (In Japanese)
- Grein, J.; Ohmagari, N.; Shin, D.; Diaz, G.; Asperges, E.; Castagna, A.; Feldt, T.; Green, G.; Green, M.L.; Lescure, F.X.; et al. Compassionate Use of Remdesivir for Patients with Severe COVID-19. N. Engl. J. Med. 2020, 382, 2327–2336. [Google Scholar] [CrossRef]
- Kalil, A.C.; Patterson, T.F.; Mehta, A.K.; Tomashek, K.M.; Wolfe, C.R.; Ghazaryan, V.; Marconi, V.C.; Ruiz-Palacios, G.M.; Hsieh, L.; Kline, S.; et al. Baricitinib plus Remdesivir for Hospitalized Adults with COVID-19. N. Engl. J. Med. 2021, 384, 795–807. [Google Scholar] [CrossRef]
- National Institute of Infectious Diseases. New Mutant Strain of New Coronavirus (SARS-CoV-2), Which Is Concerned about Increased Infectivity/Transmission and Changes in Antigenicity (6th Report). Published on 15 February 2021. Available online: https://www.niid.go.jp/niid/ja/2019-ncov/10169-covid19-35.html (accessed on 11 June 2022). (In Japanese).
- National Institute of Infectious Diseases. New Mutant Strain of New Coronavirus (SARS-CoV-2), Which Is Concerned about Increased Infectivity/Transmission and Changes in Antigenicity (8th Report). Published on 7 April 2021. Available online: https://www.niid.go.jp/niid/ja/2019-ncov/2484-idsc/10280-covid19-41.html (accessed on 11 June 2022). (In Japanese).
- National Institute of Infectious Diseases. New Mutant Strain of New Coronavirus (SARS-CoV-2), Which Is Concerned about Increased Infectivity/Transmission and Changes in Antigenicity (9th Report). Published on 14 June 2021. Available online: https://www.niid.go.jp/niid/ja/2019-ncov/2484-idsc/10434-covid19-43.html (accessed on 11 June 2022). (In Japanese).
- National Institute of Infectious Diseases. New Mutant Strain of New Coronavirus (SARS-CoV-2), Which Is Concerned about Increased Infectivity/Transmission and Changes in Antigenicity (13th Report). Published on 28 April 2021. Available online: https://www.niid.go.jp/niid/ja/2019-ncov/2484-idsc/10623-covid19-57.html (accessed on 11 June 2022). (In Japanese).
- Ishikawa, N.; Hattori, N.; Yokoyama, A.; Kohno, N. Utility of KL-6/MUC1 in the clinical management of interstitial lung diseases. Respir. Investig. 2012, 50, 3–13. [Google Scholar] [CrossRef]
- Beltramo, G.; Cottenet, J.; Mariet, A.-S.; Georges, M.; Piroth, L.; Tubert-Bitter, P.; Bonniaud, P.; Quantin, C. Chronic respiratory diseases are predictors of severe outcome in COVID-19 hospitalised patients: A nationwide study. Eur. Respir. J. 2021, 58, 2004474. [Google Scholar] [CrossRef]
- Lin, H.X.J.; Cho, S.; Aravamudan, V.M.; Sanda, H.Y.; Palraj, R.; Molton, J.S.; Venkatachalam, I. Remdesivir in Coronavirus Disease 2019 (COVID-19) treatment: A review of evidence. Infection 2021, 49, 401–410. [Google Scholar] [CrossRef] [PubMed]
- Kato, M.; Yamada, T.; Kataoka, S.; Arai, Y.; Miura, K.; Ochi, Y.; Ihara, H.; Koyama, R.; Sasaki, S.; Takahashi, K. Prognostic differences among patients with idiopathic interstitial pneumonias with acute exacerbation of varying pathogenesis: A retrospective study. Respir. Res. 2019, 20, 287. [Google Scholar] [CrossRef] [PubMed]
- Yokomichi, H.; Mochizuki, M.; Lee, J.J.; Kojima, R.; Yokoyama, T.; Yamagata, Z. Incidence of hospitalization for severe complications of influenza virus infection in Japanese patients between 2012 and 2016: A cross-sectional study using routinely collected administrative data. BMJ Open 2019, 9, e024687. [Google Scholar] [CrossRef] [PubMed]
- McGonagle, D.; Bridgewood, C.; Meaney, J.F.M. A tricompartmental model of lung oxygenation disruption to explain pulmonary and systemic pathology in severe COVID-19. Lancet Respir. Med. 2021, 9, 665–672. [Google Scholar] [CrossRef]
- Arai, T.; Matsuoka, H.; Hirose, M.; Kida, H.; Yamamoto, S.; Ogata, Y.; Mori, M.; Hatsuda, K.; Sugimoto, C.; Tachibana, K.; et al. Prognostic significance of serum cytokines during acute exacerbation of idiopathic interstitial pneumonias treated with thrombomodulin. BMJ Open Respir. Res. 2021, 8, e000889. [Google Scholar] [CrossRef]
- Sugiyama, M.; Kinoshita, N.; Ide, S.; Nomoto, H.; Nakamoto, T.; Saito, S.; Ishikane, M.; Kutsuna, S.; Hayakawa, K.; Hashimoto, M.; et al. Serum CCL17 level becomes a predictive marker to distinguish between mild/moderate and severe/critical disease in patients with COVID-19. Gene 2021, 766, 145145. [Google Scholar] [CrossRef]
- Zhao, Y.; Qin, L.; Zhang, P.; Li, K.; Liang, L.; Sun, J.; Xu, B.; Dai, Y.; Li, X.; Zhang, C.; et al. Longitudinal COVID-19 profiling associates IL-1RA and IL-10 with disease severity and RANTES with mild disease. J. Clin. Investig. 2020, 5, e139834. [Google Scholar] [CrossRef]
- Sakamoto, S.; Homma, S.; Miyamoto, A.; Kurosaki, A.; Fujii, T.; Yoshimura, K. Cyclosporin A in the Treatment of Acute Exacerbation of Idiopathic Pulmonary Fibrosis. Intern. Med. 2010, 49, 109–115. [Google Scholar] [CrossRef]
- Homma, S.; Sakamoto, S.; Kawabata, M.; Kishi, K.; Tsuboi, E.; Motoi, N.; Yoshimura, K. Cyclosporin Treatment in Steroid-resistant and Acutely Exacerbated Interstitial Pneumonia. Intern. Med. 2005, 44, 1144–1150. [Google Scholar] [CrossRef][Green Version]
- Galvez-Romero, J.L.; Palmeros-Rojas, O.; Real-Ramírez, F.A.; Sánchez-Romero, S.; Tome-Maxil, R.; Ramírez-Sandoval, M.P.; Olivos-Rodríguez, R.; Flores-Encarnación, S.E.; Cabrera-Estrada, A.A.; Ávila-Morales, J.; et al. Cyclosporine A plus low-dose steroid treatment in COVID-19 improves clinical outcomes in patients with moderate to severe disease: A pilot study. J. Intern. Med. 2021, 289, 906–920. [Google Scholar] [CrossRef] [PubMed]
- Fonseca, M.; Summer, R.; Roman, J. Acute Exacerbation of Interstitial Lung Disease as a Sequela of COVID-19 Pneumonia. Am. J. Med. Sci. 2020, 361, 126–129. [Google Scholar] [CrossRef]
- Aronson, K.I.; Podolanczuk, A.J. Lungs after COVID-19: Evolving knowledge of post-COVID-19 international lung disease. Ann. Am. Thorac. Soc. 2021, 18, 773–779. [Google Scholar] [CrossRef]
- Myall, K.J.; Mukherjee, B.; Castanheira, A.M.; Lam, J.L.; Benedetti, G.; Mak, S.M.; Preston, R.; Thillai, M.; Dewar, A.; Molyneaux, P.L.; et al. Persistent post-COVID-19 interstitial lung disease. An observational study of corticosteroid treatment. Ann. Am. Thorac. Soc. 2021, 18, 799–806. [Google Scholar] [CrossRef] [PubMed]
- George, P.M.; Wells, A.U.; Jenkins, R.G. Pulmonary fibrosis and COVID-19: The potential role for anti-fibrotic therapy. Lancet Respir. Med. 2020, 8, 805–815. [Google Scholar] [CrossRef] [PubMed]
- Suzuki, A.; Kondoh, Y.; Brown, K.K.; Johkoh, T.; Kataoka, K.; Fukuoka, J.; Kimura, T.; Matsuda, T.; Yokoyama, T.; Fukihara, J.; et al. Acute exacerbations of fibrotic interstitial lung diseases. Respirology 2020, 25, 525–534. [Google Scholar] [CrossRef]
- Oda, K.; Ishimoto, H.; Yamada, S.; Kushima, H.; Ishii, H.; Imanaga, T.; Harada, T.; Ishimatsu, Y.; Matsumoto, N.; Naito, K.; et al. Autopsy analysis in acute exacerbation of idiopathic pulmonary fibrosis. Respir. Res. 2014, 15, 109. [Google Scholar] [CrossRef] [PubMed]
- Bösmüller, H.; Matter, M.; Fend, F.; Tzankov, A. The pulmonary pathology of COVID-19. Virchows Arch. 2021, 478, 137–150. [Google Scholar] [CrossRef] [PubMed]
- Churg, A.; Müller, N.L.; Silva, C.I.S.; Wright, J.L. Acute Exacerbation (Acute Lung Injury of Unknown Cause) in UIP and Other Forms of Fibrotic Interstitial Pneumonias. Am. J. Surg. Pathol. 2007, 31, 277–284. [Google Scholar] [CrossRef]
- Doglioni, C.; Ravaglia, C.; Chilosi, M.; Rossi, G.; Dubini, A.; Pedica, F.; Piciucchi, S.; Vizzuso, A.; Stella, F.; Maitan, S.; et al. COVID-19 Interstitial Pneumonia: Histological and Immunohistochemical Features on Cryobiopsies. Respiration 2021, 100, 488–498. [Google Scholar] [CrossRef]
- Pogatchnik, B.P.; Swenson, K.E.; Sharifi, H.; Bedi, H.; Berry, G.J.; Guo, H.H. Radiology–Pathology Correlation Demonstrating Organizing Pneumonia in a Patient Who Recovered from COVID-19. Am. J. Respir. Crit. Care Med. 2020, 202, 598–599. [Google Scholar] [CrossRef] [PubMed]
- Kory, P.; Kanne, J.P. SARS-CoV-2 organising pneumonia: ‘Has there been a widespread failure to identify and treat this prevalent condition in COVID-19?’. BMJ Open Respir. Res. 2020, 7, e000724. [Google Scholar] [CrossRef] [PubMed]
- Hatabu, H.; Hunninghake, G.M.; Richeldi, L.; Brown, K.K.; Wells, A.U.; Remy-Jardin, M.; Verschakelen, J.; Nicholson, A.G.; Beasley, M.B.; Christiani, D.C.; et al. Interstitial lung abnormalities detected incidentally on CT: A Position Paper from the Fleischner Society. Lancet Respir. Med. 2020, 8, 726–737. [Google Scholar] [CrossRef] [PubMed]
- Fan, Y.; Li, X.; Zhang, L.; Wan, S.; Zhang, L.; Zhou, F. SARS-CoV-2 Omicron variant: Recent progress and future perspectives. Signal Transduct. Target. Ther. 2022, 7, 14. [Google Scholar] [CrossRef] [PubMed]
- Trunfio, M.; Portesani, F.; Vicinanza, S.; Nespoli, P.; Traverso, F.; Cortese, G.; Bonora, S.; Calcagno, A.; Di Perri, G. Real life evidence of lower lung virulence in COVID-19 inpatients infected with SARS-CoV-2 Omicron variant compared to wild-type and delta SARS-CoV-2 pneumonia. Lung 2002, 200, 573–577. [Google Scholar] [CrossRef] [PubMed]



| Case 1 | Case 2 | Case 3 | Case 4 | Case 5 | Case 6 | Case 7 | |
|---|---|---|---|---|---|---|---|
| Severity of COVID-19 | Severe | Severe | Severe | Severe | Moderate | Moderate | Moderate |
| Suspected strain of SARS-CoV-2 * | Wild type | Wild type | Alpha | Alpha | Wild type | Delta | Alpha |
| Sex | Male | Male | Male | Male | Male | Male | Male |
| Age | 67 | 73 | 63 | 77 | 61 | 49 | 53 |
| Weight, Kg | 67.7 | 75.6 | 100.3 | 50 | 67.0 | 80.8 | 69.4 |
| Height, m | 1.694 | 1.777 | 1.747 | 1.540 | 1.605 | 1.790 | 1.730 |
| BMI | 23.6 | 23.9 | 32.8 | 21.5 | 26.0 | 25.2 | 23.2 |
| Smoking | ES | ES | NS | NS | CS | ES | ES |
| PreILDs | Clinical IPF | IPF/UIP | UN-ILD | RA-ILD | RA-ILD | UN-ILD | DM-ILD |
| CT pattern of preILDs | UIP | UIP | Indeterminate for UIP | NA | Alternative | Alternative | Alternative |
| %FVC ** | 88.6% | 109.5% | 93.6% | NA | 110.1% | 86.1% | 57.0% |
| %DLco ** | 81.0% | 92.5% | 85.6% | NA | 122.5% | 43.6% | 39.0% |
| Cardiovascular diseases | Atrial fibrillation | No | No | HT, OMI | No | No | HT |
| Emphysema | Yes | Yes | No | Yes | No | Yes | No |
| Other lung diseases | No | Post LC operation | No | No | No | No | No |
| Hyperlipidemia | No | No | No | No | Yes | Yes | No |
| Other comorbidities ¶ | n.p. | Chronic sinusitis | Spinal canal stenosis | n.p. | Fatty liver | n.p. | n.p. |
| Tx for ILDs before COVID-19 | No | No | No | TCZ, SASP | MTX, PSL 7.5 mg/day | No | PSL, CyA, Nintedanib |
| LTOT before COVID | No | No | No | No | No | No | Yes |
| COVID-19 onset | |||||||
| CRP, mg/dL | 31.97 | 5.72 | 8.16 | 3.03 | 9.72 | 3.49 | 4.13 |
| LDH, IU/mL | 507 | 458 | 709 | 623 | 402 | 254 | 371 |
| KL-6, U/mL | 1254 | 1334 | 2069 | 2306 | 563 | 1285 | 905 |
| Ferritin, ng/mL | NA | 743.5 | 698.1 | 1066.9 | 2057.2 | 376.9 | 88.6 |
| Case 1 | Case 2 | Case 3 | Case 4 | Case 5 | Case 6 | Case 7 | |
|---|---|---|---|---|---|---|---|
| Severity of COVID | Severe | Severe | Severe | Severe | Moderate | Moderate | Moderate |
| Vaccination | No | No | No | No | No | No | No |
| Antiviral drugs | RMD | RMD | RMD | RMD | RMD | RMD | RMD |
| mPSL pulse Tx * | Yes, 1000 mg/day | Yes, 1000 mg/day | Yes, 1000 mg/day | Yes, 500 mg/day | No | Yes, 500 mg/day | No |
| Post-pulse Tx * | DEX 6 mg/day | DEX 6 mg/day | DEX 6 mg/day | DEX 3.3 mg/day | DEX 8 mg/day | mPSL 125 mg for 3 days, 80 mg for 4 days | mPSL 125 mg for 3 days, 60 mg for 3 days, |
| Maintenance steroid Tx | PSL 30 mg/day | PSL 30 mg/day | PSL 80 mg/day | PSL 50 mg/day | PSL 45 mg/day | PSL 50 mg/day | PSL 50 mg/day |
| Other anti-inflammatory drugs | No | No | No | No | No | Baricitinib | No |
| ICU entry | Yes | Yes | Yes | No | No | No | No |
| Maximum respiratory support | IPPV | IPPV | HFNO | Supplemental oxygen, DNAR | Supplemental oxygen | Supplemental oxygen | Supplemental oxygen |
| Discharge alive | Yes | Yes | No | No | Yes | Yes | Yes |
| Hospital stay, days | 24 | 49 | 44 | 49 | 21 | 15 | 119 |
| Duration of steroid Tx **, days | 196 | 368 | 44 | 49 | 91 | 128 | 198 |
| Final observation | Alive | Alive | Dead | Dead | Alive | Alive | Alive |
| Observation, days | 355 | 368 | 44 | 49 | 91 | 128 | 198 |
| Before COVID-19 * | After COVID-19 | Interval from COVID-19 Onset to PFT | |
|---|---|---|---|
| Case 1 | 3.02 (88.6%) | 2.54 (74.9%) | 12 months |
| Case 2 | 3.81 (109.5%) | 2.99 (87.7%) | 5 months |
| Case 6 | 3.41 (86.1%) | 3.08 (78.4%) | 6 months |
| Case 7 | 2.13 (57.0%) | 1.62 (43.5%) | 3 months |
| Studies | Our Study | Naqvi [3] | Drake [4] | Esposito [5] | Gallay [6] |
|---|---|---|---|---|---|
| No. of patients | 7 | 111 | 161 | 46 | 123 |
| Type of ILDs | ILDs * | IPF | ILDs * | ILDs * | ILDs * |
| In-hospital patients, No. | 7 | 111 | 161 | 34 | 103 |
| Respiratory support, No. (%) | 0 (0) | NA | 156 (96.9) ** | NA | NA |
| ICU level of care, No. (%) | 3 (42.8) ** | NA | 20 (12.4) ** | 16 (47.0) ** | 26 (25.24) ** |
| Mortality, No. (%) | 2 (28.5) ** | NA | 79 (49.1) ** | 15 (44.1) ** ¶ | NA |
| 30-day mortality, No. (%) | 0 (0) ** | 31 (27.93) ** | NA | NA | 31 (30.1) § |
| 60-day mortality, No. (%) | 2 (28.5) ** | 34 (30.63) ** | NA | NA | NA |
| Corticosteroids for COVID-19, No. (%) | 7 (100) ** | NA | 45 (28.0) ** | 4 (11.8) # | 14 (13.6) † |
| Mortality of corticosteroid-treated patients, No. (%) | 2 (28.5) | NA | 22 (48.8) | 1 (25.0) | NA |
Disclaimer/Publisher’s Note: The statements, opinions and data contained in all publications are solely those of the individual author(s) and contributor(s) and not of MDPI and/or the editor(s). MDPI and/or the editor(s) disclaim responsibility for any injury to people or property resulting from any ideas, methods, instructions or products referred to in the content. |
© 2023 by the authors. Licensee MDPI, Basel, Switzerland. This article is an open access article distributed under the terms and conditions of the Creative Commons Attribution (CC BY) license (https://creativecommons.org/licenses/by/4.0/).
Share and Cite
Arai, T.; Kurahara, Y.; Moda, M.; Kobayashi, T.; Matsuda, Y.; Kagawa, T.; Sugawara, R.; Tsuyuguchi, K.; Inoue, Y. COVID-19 in Patients with Pre-Existing Interstitial Lung Disease: Potential Value of a Steroid-Based Treatment Strategy. J. Clin. Med. 2023, 12, 4940. https://doi.org/10.3390/jcm12154940
Arai T, Kurahara Y, Moda M, Kobayashi T, Matsuda Y, Kagawa T, Sugawara R, Tsuyuguchi K, Inoue Y. COVID-19 in Patients with Pre-Existing Interstitial Lung Disease: Potential Value of a Steroid-Based Treatment Strategy. Journal of Clinical Medicine. 2023; 12(15):4940. https://doi.org/10.3390/jcm12154940
Chicago/Turabian StyleArai, Toru, Yu Kurahara, Mitsuhiro Moda, Takehiko Kobayashi, Yoshinobu Matsuda, Tomoko Kagawa, Reiko Sugawara, Kazunari Tsuyuguchi, and Yoshikazu Inoue. 2023. "COVID-19 in Patients with Pre-Existing Interstitial Lung Disease: Potential Value of a Steroid-Based Treatment Strategy" Journal of Clinical Medicine 12, no. 15: 4940. https://doi.org/10.3390/jcm12154940
APA StyleArai, T., Kurahara, Y., Moda, M., Kobayashi, T., Matsuda, Y., Kagawa, T., Sugawara, R., Tsuyuguchi, K., & Inoue, Y. (2023). COVID-19 in Patients with Pre-Existing Interstitial Lung Disease: Potential Value of a Steroid-Based Treatment Strategy. Journal of Clinical Medicine, 12(15), 4940. https://doi.org/10.3390/jcm12154940

