Innovation in Acute Ischemic Stroke Patients over 80 y/o—A Retrospective Monocentric Study on Mechanical Thrombectomy of Consecutive Patients: Is Age an Adequate Selection Criterion?
Abstract
1. Background
2. Methods
2.1. Population
2.2. Statistical Analysis
2.3. Ethics Approval
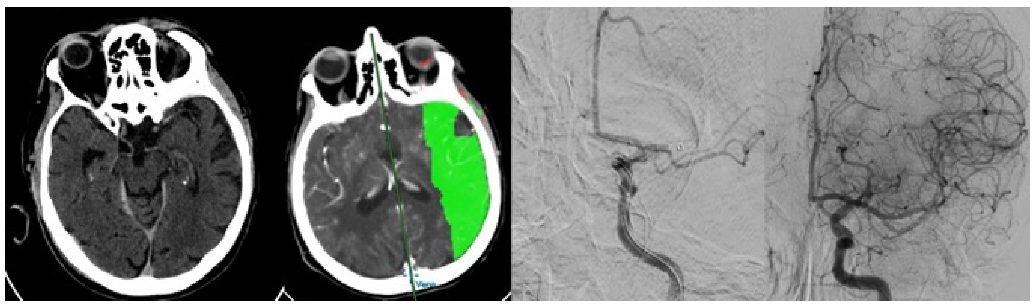
3. Results
4. Discussion
5. Limitations
6. Conclusions
Author Contributions
Funding
Institutional Review Board Statement
Informed Consent Statement
Data Availability Statement
Conflicts of Interest
References
- Strong, K.; Mathers, C.; Bonita, R. Preventing stroke: Saving lives around the world. Lancet Neurol. 2007, 6, 182–187. [Google Scholar] [CrossRef] [PubMed]
- Béjot, Y.; Bailly, H.; Durier, J.; Giroud, M. Epidemiology of stroke in Europe and trends for the 21st century. Presse Med. 2016, 45, e391–e398. [Google Scholar] [CrossRef] [PubMed]
- Wolf, P.A. Epidemiology of stroke. In Stroke: Pathophysiology, Diagnosis, and Management, 4th ed.; Mohr, J.P., Choi, D.W., Grotta, J.C., Weir, B., Wolf, P.A., Eds.; Churchill Livingstone: Philadelphia, PA, USA, 2004; pp. 13–34. [Google Scholar] [CrossRef]
- Balami, J.S.; Sutherland, B.A.; Edmunds, L.D.; Grunwald, I.Q.; Neuhaus, A.A.; Hadley, G.; Karbalai, H.; Metcalf, K.A.; DeLuca, G.C.; Buchan, A.M. A systematic review and meta-analysis of randomized controlled trials of endovascular thrombectomy compared with best medical treatment for acute ischemic stroke. Int. J. Stroke 2015, 10, 1168–1178. [Google Scholar] [CrossRef] [PubMed]
- Goyal, M.; Menon, B.K.; van Zwam, W.H.; Dippel, D.W.; Mitchell, P.J.; Demchuk, A.M.; Dávalos, A.; Majoie, C.B.; van der Lugt, A.; de Miquel, M.A.; et al. Endovascular thrombectomy after large-vessel ischaemic stroke: A meta-analysis of individual patient data from five randomised trials. Lancet 2016, 387, 1723–1731. [Google Scholar] [CrossRef] [PubMed]
- Muir, K.W.; White, P. HERMES: Messenger for stroke interventional treatment. Lancet 2016, 387, 1695–1697. [Google Scholar] [CrossRef]
- Kauffmann, J.; Grün, D.; Yilmaz, U.; Wagenpfeil, G.; Faßbender, K.; Fousse, M.; Unger, M.M. Acute stroke treatment and outcome in the oldest old (90 years and older) at a tertiary care medical centre in Germany-a retrospective study showing safety and efficacy in this particular patient population. BMC Geriatr. 2021, 21, 611. [Google Scholar] [CrossRef]
- Alawieh, A.; Chatterjee, A.; Feng, W.; Porto, G.; Vargas, J.; Kellogg, R.; Turk, A.S.; Turner, R.D.; Imran Chaudry, M.; Spiotta, A.M. Thrombectomy for acute ischemic stroke in the elderly: A ‘real world’ experience. J. Neurointerv. Surg. 2018, 10, 1209–1217. [Google Scholar] [CrossRef]
- Liao, G.; Zhang, Z.; Zhang, G.; Du, W.; Li, C.; Liang, H. Efficacy of a Direct Aspiration First-Pass Technique (ADAPT) for Endovascular Treatment in Different Etiologies of Large Vessel Occlusion: Embolism vs. Intracranial Atherosclerotic Stenosis. Front. Neurol. 2021, 12, 695085. [Google Scholar] [CrossRef]
- Delgado Almandoz, J.E.; Kayan, Y.; Young, M.L.; Fease, J.L.; Scholz, J.M.; Milner, A.M.; Hehr, T.H.; Roohani, P.; Mulder, M.; Tarrel, R.M. Comparison of clinical outcomes in patients with acute ischemic strokes treated with mechanical thrombectomy using either Solumbra or ADAPT techniques. J. Neurointerv. Surg. 2016, 8, 1123–1128. [Google Scholar] [CrossRef]
- Guzzardi, G.; Del Sette, B.; Stanca, C.; Galbiati, A.; Cernigliaro, M.; Carriero, A.; Stecco, A. Mechanical Thrombectomy by a Direct Aspiration First Pass Technique (ADAPT) in Ischemic Stroke: Results of Monocentric Study Based on Multimodal CT Patient Selection. Stroke Res. Treat. 2018, 2018, 6192483. [Google Scholar] [CrossRef]
- Li, Z.S.; Zhou, T.F.; Li, Q.; Guan, M.; Liu, H.; Zhu, L.F.; Wang, Z.L.; Li, T.X.; Gao, B.L. Endovascular Management of Intracranial Atherosclerosis-Related Large Vessel Occlusion with the A Direct Aspiration First-Pass Thrombectomy Compared With Solumbra Technique. Front. Neurol. 2021, 12, 643633. [Google Scholar] [CrossRef]
- Kurre, W.; Aguilar-Pérez, M.; Martinez-Moreno, R.; Schmid, E.; Bäzner, H.; Henkes, H. Stent Retriever Thrombectomy of Small Caliber Intracranial Vessels Using pREset LITE: Safety and Efficacy. Clin. Neuroradiol. 2017, 27, 351–360. [Google Scholar] [CrossRef] [PubMed]
- Lehnen, N.C.; Paech, D.; Zülow, S.; Bode, F.J.; Petzold, G.C.; Radbruch, A.; Dorn, F. First Experience with the Nimbus Stentretriever: A Novel Device to Handle Fibrin-rich Clots. Clin. Neuroradiol. 2022. published online ahead of print. [Google Scholar] [CrossRef] [PubMed]
- Borggrefe, J.; Goertz, L.; Abdullayev, N.; Hokamp, N.G.; Kowoll, C.M.; Onur, Ö.; Kabbasch, C.; Schlamann, M. Mechanical Thrombectomy with the Novel NeVa M1 Stent Retriever: Do the Drop Zones Represent a Risk or a Benefit? World Neurosurg. 2021, 148, e121–e129. [Google Scholar] [CrossRef] [PubMed]
- Amireh, A.O.; Kuybu, O.; Adeeb, N.; Kelley, R.E.; Javalkar, V.; Cuellar, H.; Sharma, P. Utilization of the large-bore Penumbra JET 7 reperfusion catheter in thrombectomy for acute ischemic stroke: A single-center experience. Interv. Neuroradiol. 2021, 27, 99–106. [Google Scholar] [CrossRef]
- Essibayi, M.A.; Brinjikji, W. Efficacy and safety of SOFIA aspiration catheter for mechanical thrombectomy via ADAPT and Solumbra echniques in acute ischemic stroke: A systematic review and meta-analysis. Interv. Neuroradiol. 2022. published online ahead of print. [Google Scholar] [CrossRef]
- Sharobeam, A.; Cordato, D.J.; Manning, N.; Cheung, A.; Wenderoth, J.; Cappelen-Smith, C. Functional Outcomes at 90 Days in Octogenarians Undergoing Thrombectomy for Acute Ischemic Stroke: A Prospective Cohort Study and Meta-Analysis. Front Neurol. 2019, 10, 254. [Google Scholar] [CrossRef]
- Sussman, E.S.; Martin, B.; Mlynash, M.; Marks, M.P.; Marcellus, D.; Albers, G.; Lansberg, M.; Dodd, R.; Do, H.M.; Heit, J.J. Thrombectomy for acute ischemic stroke in nonagenarians compared with octogenarians. J. Neurointerv Surg. 2020, 12, 266–270. [Google Scholar] [CrossRef]
- Groot, A.E.; Treurniet, K.M.; Jansen, I.G.H.; Lingsma, H.F.; Hinsenveld, W.; van de Graaf, R.A.; Roozenbeek, B.; Willems, H.C.; Schonewille, W.J.; Marquering, H.A.; et al. Endovascular treatment in older adults with acute ischemic stroke in the MR CLEAN Registry. Neurology 2020, 95, e131–e139. [Google Scholar] [CrossRef]
- Botelho, A.; Rios, J.; Fidalgo, A.P.; Ferreira, E.; Nzwalo, H. Organizational Factors Determining Access to Reperfusion Therapies in Ischemic Stroke-Systematic Literature Review. Int. J. Environ. Res. Public Health 2022, 19, 16357. [Google Scholar] [CrossRef]
- Saver, J.L. Time is brain--quantified. Stroke 2006, 37, 263–266. [Google Scholar] [CrossRef] [PubMed]

| Patients Characteristics | n = 122 | |
|---|---|---|
| Sex | Male | 37 (30.33%) | 
| Female | 85 (69.67%) | |
| Age, years | ||
| Mean (SD) | 84.3 (3.60) | |
| Median [q1-Q3] | 83 [82; 86] | |
| Cerebral Circulation | Anterior | 114 (93.44%) | 
| Posterior | 8 (6.56%) | |
| Anterior Circulation. Side | Right | 55 (47.41) | 
| Left | 61 (52.59) | |
| Spoke | 45 (36.89%) | |
| Wake up Stroke | 14 (11.48%) | |
| Fibrinolysis | 65 (54.62%) | |
| Device | Direct Aspiration | 77 (64.17) | 
| Stent retriever | 5 (4.17) | |
| “Solumbra” | 38 (31.67) | |
| N_attempts | 1 | 69 (56.5%) | 
| 2+ | 53 (43.44%) | |
| Rescue | 20 (16.39%) | |
| Median [q1-Q3] | 1 [1; 2] | |
| Hemorrhage | No | 82 (67.21%) | 
| Yes | 40 (32.79%) | |
| H1 | 9 (7.38%) | |
| H2 | 10 (8.2%) | |
| PH1 | 9 (7.38%) | |
| PH2 | 12 (9.84%) | |
| Comorbidities | ||
| Hypertension | 82 (67.21%) | |
| Smoke | 20 (16.39%) | |
| Coronary Artery Disease | 38 (31.15%) | |
| Atrial Fibrillation | 53 (43.44%) | |
| Hypercholesterolemia | 61 (50%) | |
| Diabetes | 29 (23.77%) | |
| Number of comorbidities | 0 | 8 (6.56%) | 
| 1 | 31 (25.41%) | |
| 2+ | 83 (68.03%) | |
| Median [q1-Q3] | 2 [1; 3] | |
| Etiology | Cardioembolic | 62 (51.67%) | 
| Atherosclerosis | 38 (31.67%) | |
| Other | 20 (16.67%) | |
| Time of the day | ||
| Night (20:00, 08:00) | 34 (27.87) | |
| mRS_pre | ||
| Mean (SD) | 1.4 (1.14) | |
| Median [q1-Q3] | 1 [0; 2] | |
| NIHSS entrance | ||
| Mean (SD) | 17.64 (6.17) | |
| Median [q1-Q3] | 18 [15; 22] | |
| Time to CT | ||
| Mean (SD) | 121.74 (55.19) | |
| Median [q1-Q3] | 120 [90; 150] | |
| Fibrinolysis | ||
| Time, minutes | ||
| Mean (SD) | 172.25 (55.84) | |
| Median [q1-Q3] | 170 [150; 200] | |
| Time to Groin | ||
| Mean (SD) | 262.42 (76.79) | |
| Median [q1-Q3] | 262.5 [210; 312] | |
| Procedural Time | ||
| Mean (SD) | 56.1 (25.01) | |
| Median [q1-Q3] | 55 [36; 70] | 
| Variable | Bad Functional Outcome (n = 66) | Good Functional Outcome (n = 56) | p-Value | OR [95% CI] | |
|---|---|---|---|---|---|
| Sex | Female vs. male | 44 (66.67) | 41 (73.21) | 0.4330 | 1.37 [0.63; 2.99] | 
| Age, years | Median [q1-Q3] | 84 [82; 87] | 82 [81; 84] | 0.0053 | 0.87 [0.78; 0.97] | 
| 85+ | 30 (45.45) | 13 (23.21) | 0.0104 | 0.36 [0.17; 0.80] | |
| Side | Right | 35 (53.85) | 20 (39.22) | 0.1173 | - | 
| Left | 30 (46.15) | 31 (60.78) | 1.81 [0.86; 3.81] | ||
| Circle | Posterior | 2 (3.03) | 6 (10.71) | 0.1410 | 3.84 [0.74; 19.85] | 
| Spoke | 31 (46.97) | 14 (25.00) | 0.0122 | 0.38 [0.17; 0.82] | |
| Wake-up Stroke | 10 (15.15) | 4 (7.14) | 0.1667 | 0.43 [0.13; 1.46] | |
| Fibrinolysis | 34 (53.97) | 31 (55.36) | 0.8793 | 1.06 [0.51; 2.18] | |
| Median [q1-Q3] | 168.50 [150; 185] | 170 [140; 219] | 0.8077 | 1.00 [0.99; 1.01] | |
| Device | Direct Aspiration | 40 (62.5) | 37 (66.07) | 0.9024 | 1.14 [0.52; 2.49] | 
| Stent retriever | 3 (4.69) | 2 (3.57) | 0.82 [0.12; 5.51] | ||
| “Solumbra” | 21 (32.81) | 17 (30.36) | - | ||
| N_attempts | Median [q1-Q3] | 1.5 [1; 2] | 1 [1; 2] | 0.2482 | 0.84 [0.59; 1.2] | 
| Rescue | 12 (18.18) | 8 (14.29) | 0.5624 | 0.75 [0.28; 1.99] | |
| Hemorrhage | 30 (45.45) | 10 (17.86) | 0.0012 | 0.26 [0.11; 0.6] | |
| Comorbidities | |||||
| Hypertension | 40 (60.61) | 42 (75.00) | 0.0915 | 1.95 [0.89; 4.26] | |
| Smoke | 5 (7.58) | 15 (26.79) | 0.0043 | 4.46 [1.51; 13.23] | |
| Coronary Artery Disease | 20 (30.30) | 18 (32.14) | 0.8269 | 1.09 [0.51; 2.35] | |
| Atrial Fibrillation | 30 (45.45) | 23 (41.07) | 0.6265 | 0.84 [0.41; 1.72] | |
| Hypercholesterolemia | 27 (40.91) | 34 (60.71) | 0.0292 | 2.23 [1.08; 4.62] | |
| Diabetes | 14 (21.21) | 15 (26.79) | 0.4711 | 1.36 [0.59; 3.13] | |
| Etiology | Cardioembolic | 32 (49.23) | 30 (54.55) | 0.5643 | 1.67 [0.55; 5.11] | 
| Atherosclerosis | 20 (30.77) | 18 (32.73) | 1.74 [0.61; 4.95] | ||
| Other | 13 (20.00) | 7 (12.73) | |||
| Time of the day | |||||
| Night (20:00, 08:00) | 18 (27.27) | 16 (28.57) | 0.8733 | 1.07 [0.48; 2.36] | |
| mRS_pre | Median [q1-Q3] | 1 [1; 2] | 1 [0; 2] | 0.5700 | 0.94 [0.69; 1.29] | 
| NIHSS entrance | Median [q1-Q3] | 20 [17; 22] | 17 [9; 22] | 0.0014 | 0.88 [0.83; 0.95] | 
| Time to CT | Median [q1-Q3] | 120 [90; 140] | 120 [90; 150] | 0.6766 | 1 [0.99; 1] | 
| Time to Groin | Median [q1-Q3] | 275 [220; 315] | 249 [202.5; 310] | 0.1591 | 1 [0.99; 1] | 
| Procedural Duration | Median [q1-Q3] | 52 [36; 72] | 55 [37.5; 70] | 0.7570 | 1 [0.98; 1.01] | 
| Multivariable Analysis | |
|---|---|
| OR [95%CI] | |
| NIHSS at admission | 0.89 [0.82; 0.95] | 
| Variable | Unsuccessful Recanalization (n = 42) | Successful Recanalization (n = 80) | p-Value | OR [95% CI] | |
|---|---|---|---|---|---|
| Sex | Female vs. male | 28 (66.67) | 57 (71.25) | 0.6008 | 1.24 [0.56; 2.77] | 
| Age, years | Median [q1-Q3] | 85 [83; 87] | 82 [81; 84.5] | 0.0002 | 0.88 [0.8; 0.98] | 
| 85+ | 23 (54.76) | 20 (25.00) | 0.0011 | 0.28 [0.13; 0.61] | |
| Side | Right | 20 (48.78) | 35 (46.67) | 0.8275 | - | 
| Left | 21 (51.22) | 40 (53.33) | 1.09 [0.51; 2.33] | ||
| Circle | Posterior | 2 (4.76) | 6 (7.5) | 0.7134 | 1.62 [0.31; 8.41] | 
| Spoke | 17 (40.48) | 28 (35) | 0.55142 | 0.79 [0.37; 1.71] | |
| Wake-up Stroke | 4 (9.52) | 10 (12.5) | 0.76931 | 1.36 [0.4; 4.62] | |
| Fibrinolysis | 21 (51.22) | 44 (56.41) | 0.58886 | 1.23 [0.58; 2.63] | |
| Median [q1-Q3] | 180 [160; 195] | 165 [140; 210] | 0.4222 | 1 [0.99; 1.01] | |
| Device | Direct Aspiration | 24 (60.00) | 53 (66.25) | 0.5469 | 1.44 [0.64; 3.24] | 
| Stent retriever | 1 (2.50) | 4 (5.00) | 2.61 [0.27; 25.65] | ||
| “Solumbra” | 15 (37.50) | 23 (28.75) | |||
| N_attempts | Median [q1-Q3] | 2 [1; 2] | 1 [1; 2] | 0.1171 | 0.82 [0.58; 1.17] | 
| Rescue | 11 (26.19) | 9 (11.25) | 0.0342 | 0.36 [0.13; 0.95] | |
| Hemorrhage | 17 (40.48) | 23 (28.75) | 0.1899 | 0.59 [0.27; 1.3] | |
| Comorbidities | |||||
| Hypertension | 30 (71.43) | 52 (65) | 0.47235 | 0.74 [0.33; 1.67] | |
| Smoke | 5 (11.9) | 15 (18.75) | 0.33188 | 1.71 [0.57; 5.08] | |
| Coronary Artery Disease | 10 (23.81) | 28 (35) | 0.20475 | 1.72 [0.74; 4.01] | |
| Atrial Fibrillation | 19 (45.24) | 34 (42.5) | 0.7719 | 0.89 [0.42; 1.9] | |
| Hypercholesterolemia | 16 (38.1) | 45 (56.25) | 0.05671 | 2.09 [0.97; 4.48] | |
| Diabetes | 10 (23.81) | 19 (23.75) | 0.99414 | 1 [0.41; 2.4] | |
| Etiology | Cardioembolic | 22 (52.38) | 40 (51.28) | 0.99164 | 1.04 [0.33; 3.23] | 
| Atherosclerosis | 13 (30.95) | 25 (32.05) | 0.98 [0.34; 2.81] | ||
| Other | 7 (16.67) | 13 (16.67) | |||
| Time of the day | |||||
| Night (20:00, 08:00) | 8 (19.05) | 26 (32.50) | 0.1154 | 2.05 [0.83; 5.04] | |
| mRS_pre | Median [q1-Q3] | 1 [1; 3] | 1 [0; 2] | 0.1439 | 0.77 [0.55; 1.07] | 
| NIHSS entrance | Median [q1-Q3] | 19 [16; 22] | 18 [14.5; 22] | 0.6213 | 0.98 [0.92; 1.04] | 
| Time to CT | Median [q1-Q3] | 120 [90; 150] | 120 [90; 145] | 0.2807 | 1 [0.99; 1.01] | 
| Time to Groin | Median [q1-Q3] | 279.5 [220; 321] | 260 [207.5; 305] | 0.1968 | 1 [0.99; 1] | 
| Procedural Duration | Median [q1-Q3] | 60.5 [45; 80] | 50 [32; 70] | 0.0346 | 0.99 [0.97; 1] | 
| Variable | Bad Functional Outcome (n = 73) | Good Functional Outcome (n = 49) | p-Value | OR [95% CI] | |
|---|---|---|---|---|---|
| Sex | Female vs. male | 50 (68.49) | 35 (71.43) | 0.7295 | 1.15 [0.52; 2.54] | 
| Age, years | Median [q1-Q3] | 84 [82; 87] | 82 [81; 84] | 0.0067 | 0.87 [0.77; 0.98] | 
| 85+ | 33 (45.21) | 10 (20.41) | 0.0049 | 0.31 [0.14; 0.72] | |
| Side | Right | 37 (52.11) | 18 (40.00) | 0.2030 | - | 
| Left | 34 (47.89) | 27 (60.00) | 1.63 [0.77; 3.48] | ||
| Circle | Posterior | 3 (4.11) | 5 (10.2) | 0.1825 | 2.65 [0.60; 11.65] | 
| Spoke | 33 (45.21) | 12 (24.49) | 0.0201 | 0.39 [0.18; 0.87] | |
| Wake-up Stroke | 11 (15.07) | 3 (6.12) | 0.1286 | 0.37 [0.1; 1.39] | |
| Fibrinolysis | 37 (52.86) | 28 (57.14) | 0.6440 | 1.19 [0.57; 2.48] | |
| Median [q1-Q3] | 170 [150; 195] | 167.5 [140; 210] | 0.9736 | 1 [0.99; 1.01] | |
| Device | Direct Aspiration | 45 (63.38) | 32 (65.31) | 0.9766 | 1.09 [0.49; 2.41] | 
| Stent retriever | 3 (4.23) | 2 (4.08) | 1.02 [0.15; 6.86] | ||
| “Solumbra” | 23 (32.39) | 15 (30.61) | - | ||
| N_passages | Median [q1-Q3] | 1 [1; 2] | 1 [1; 2] | 0.3648 | 0.86 [0.6; 1.23] | 
| Rescue | 13 (17.81) | 7 (14.29) | 0.6064 | 0.77 [0.28; 2.09] | |
| Hemorrhage | 32 (43.84) | 8 (16.33) | 0.002 | 0.25 [0.1; 0.61] | |
| Comorbidities | |||||
| Hypertension | 47 (64.38) | 35 (71.43) | 0.4164 | 1.38 [0.63; 3.03] | |
| Smoke | 6 (8.22) | 14 (28.57) | 0.0029 | 4.47 [1.58; 12.64] | |
| Coronary Artery Disease | 22 (30.14) | 16 (32.65) | 0.7686 | 1.12 [0.52; 2.45] | |
| Atrial Fibrillation | 33 (45.21) | 20 (40.82) | 0.6316 | 0.84 [0.4; 1.74] | |
| Hypercholesterolemia | 32 (43.84) | 29 (59.18) | 0.0965 | 1.86 [0.89; 3.87] | |
| Diabetes | 16 (21.92) | 13 (26.53) | 0.5574 | 1.29 [0.55; 2.99] | |
| Etiology | Cardioembolic | 36 (50) | 26 (54.17) | 0.0606 | 1.70 [0.54; 5.38] | 
| Atherosclerosis | 22 (30.56) | 16 (33.33) | 1.69 [0.57; 4.97] | ||
| Other | 14 (19.44) | 6 (12.5) | |||
| Time of the day | |||||
| Night (20:00, 08:00) | 21 (28.77) | 13 (26.53) | 0.7871 | 0.89 [0.4; 2.01] | |
| mRS_pre | Median [q1-Q3] | 2 [1; 3] | 1 [0; 2] | 0.0109 | 0.63 [0.44; 0.89] | 
| NIHSS entrance | Median [q1-Q3] | 20 [17; 23] | 16 [9; 19] | 0.0004 | 0.88 [0.83; 0.95] | 
| Time to CT | Median [q1-Q3] | 120 [90; 140] | 120 [90; 150] | 0.3635 | 1 [0.99; 1] | 
| Time to Groin | Median [q1-Q3] | 275 [225; 315] | 245 [190; 310] | 0.0962 | 1 [0.99; 1] | 
| Procedural Duration | Median [q1-Q3] | 52 [36; 73.5] | 55 [40; 70] | 0.7835 | 1 [0.98; 1.01] | 
| Disclaimer/Publisher’s Note: The statements, opinions and data contained in all publications are solely those of the individual author(s) and contributor(s) and not of MDPI and/or the editor(s). MDPI and/or the editor(s) disclaim responsibility for any injury to people or property resulting from any ideas, methods, instructions or products referred to in the content. | 
© 2023 by the authors. Licensee MDPI, Basel, Switzerland. This article is an open access article distributed under the terms and conditions of the Creative Commons Attribution (CC BY) license (https://creativecommons.org/licenses/by/4.0/).
Share and Cite
Cernigliaro, M.; Stanca, C.; Galbiati, A.; Spinetta, M.; Coda, C.; Negroni, D.; Laganà, D.; Minici, R.; Airoldi, C.; Carriero, A.; et al. Innovation in Acute Ischemic Stroke Patients over 80 y/o—A Retrospective Monocentric Study on Mechanical Thrombectomy of Consecutive Patients: Is Age an Adequate Selection Criterion? J. Clin. Med. 2023, 12, 3688. https://doi.org/10.3390/jcm12113688
Cernigliaro M, Stanca C, Galbiati A, Spinetta M, Coda C, Negroni D, Laganà D, Minici R, Airoldi C, Carriero A, et al. Innovation in Acute Ischemic Stroke Patients over 80 y/o—A Retrospective Monocentric Study on Mechanical Thrombectomy of Consecutive Patients: Is Age an Adequate Selection Criterion? Journal of Clinical Medicine. 2023; 12(11):3688. https://doi.org/10.3390/jcm12113688
Chicago/Turabian StyleCernigliaro, Massimiliano, Carmelo Stanca, Andrea Galbiati, Marco Spinetta, Carolina Coda, Davide Negroni, Domenico Laganà, Roberto Minici, Chiara Airoldi, Alessandro Carriero, and et al. 2023. "Innovation in Acute Ischemic Stroke Patients over 80 y/o—A Retrospective Monocentric Study on Mechanical Thrombectomy of Consecutive Patients: Is Age an Adequate Selection Criterion?" Journal of Clinical Medicine 12, no. 11: 3688. https://doi.org/10.3390/jcm12113688
APA StyleCernigliaro, M., Stanca, C., Galbiati, A., Spinetta, M., Coda, C., Negroni, D., Laganà, D., Minici, R., Airoldi, C., Carriero, A., & Guzzardi, G. (2023). Innovation in Acute Ischemic Stroke Patients over 80 y/o—A Retrospective Monocentric Study on Mechanical Thrombectomy of Consecutive Patients: Is Age an Adequate Selection Criterion? Journal of Clinical Medicine, 12(11), 3688. https://doi.org/10.3390/jcm12113688
 
        





 
       