Extracorporeal Shockwave Therapy Improves Outcome after Primary Anterior Cruciate Ligament Reconstruction with Hamstring Tendons
Abstract
1. Introduction
2. Materials and Methods
Statistical Analysis
3. Results
3.1. Return-to-Activity Evaluation
3.2. Clinical Scores
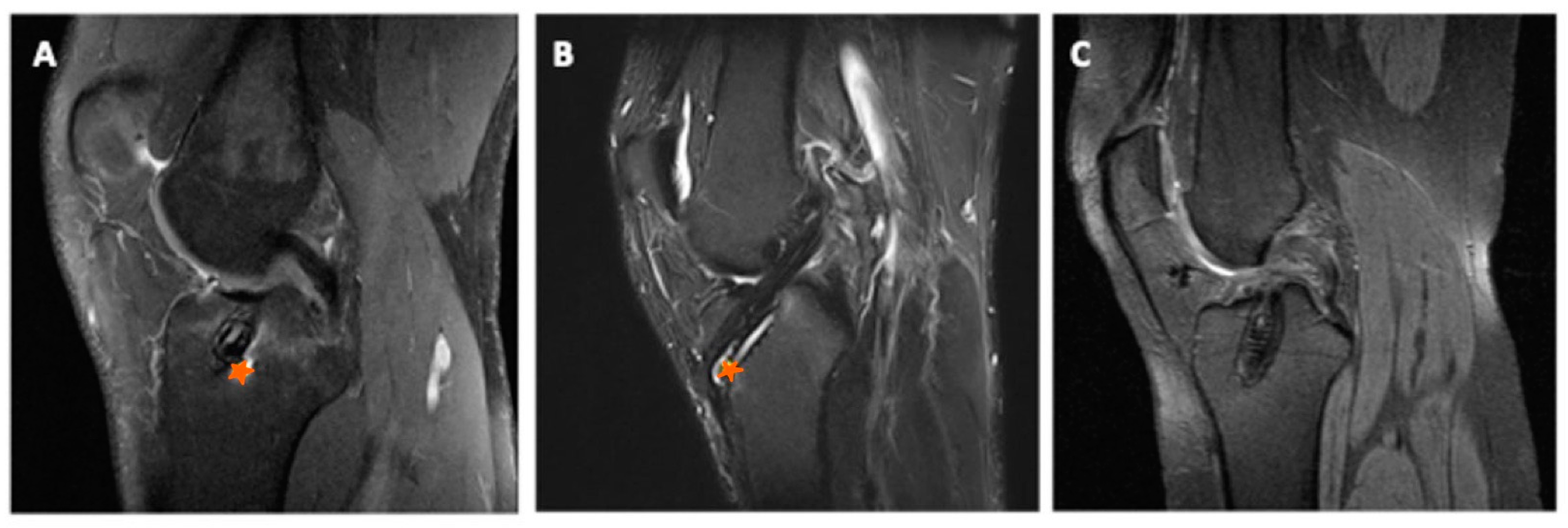
3.3. Radiographic Evaluation
4. Discussion
Strengths and Limitations
5. Conclusions
Author Contributions
Funding
Institutional Review Board Statement
Informed Consent Statement
Data Availability Statement
Conflicts of Interest
References
- Mehl, J.; Diermeier, T.; Herbst, E.; Imhoff, A.B.; Stoffels, T.; Zantop, T.; Petersen, W.; Achtnich, A. Evidence-Based concepts for prevention of knee and ACL injuries. 2017 guidelines of the ligament committee of the German Knee Society (DKG). Arch. Orthop. Trauma Surg. 2017, 138, 51–61. [Google Scholar] [CrossRef]
- Sutton, K.M.; Bullock, J.M. Anterior Cruciate Ligament Rupture: Differences Between Males and Females. J. Am. Acad. Orthop. Surg. 2012, 21, 41–50. [Google Scholar] [CrossRef]
- Grassi, A.; Macchiarola, L.; Filippini, M.; Lucidi, G.A.; Della Villa, F.; Zaffagnini, S. Epidemiology of Anterior Cruciate Ligament Injury in Italian First Division Soccer Players. Sport. Health A Multidiscip. Approach 2020, 12, 279–288. [Google Scholar] [CrossRef]
- Petersen, W.; Guenther, D.; Imhoff, A.B.; Herbort, M.; Stein, T.; Schoepp, C.; Akoto, R.; Höher, J.; Scheffler, S.; Stoehr, A.; et al. Management after acute rupture of the anterior cruciate ligament (ACL). Part 1: ACL reconstruction has a protective effect on secondary meniscus and cartilage lesions. Knee Surg. Sport. Traumatol. Arthrosc. 2022, 31, 1665–1674. [Google Scholar] [CrossRef] [PubMed]
- Balasingam, S.; Sernert, N.; Magnusson, H.; Kartus, J. Patients With Concomitant Intra-articular Lesions at Index Surgery Deteriorate in Their Knee Injury and Osteoarthritis Outcome Score in the Long Term More Than Patients With Isolated Anterior Cruciate Ligament Rupture: A Study from the Swedish National Anterior Cruciate Ligament Register. Arthroscopy 2018, 34, 1520–1529. [Google Scholar] [CrossRef] [PubMed]
- Yucens, M.; Aydemir, A.N. Trends in Anterior Cruciate Ligament Reconstruction in the Last Decade: A Web-Based Analysis. J. Knee Surg. 2019, 32, 519–524. [Google Scholar] [CrossRef]
- Meredith, S.J.; Rauer, T.; Chmielewski, T.L.; Fink, C.; Diermeier, T.; Rothrauff, B.B.; Svantesson, E.; Senorski, E.H.; Hewett, T.E.; Sherman, S.L.; et al. Return to sport after anterior cruciate ligament injury: Panther Symposium ACL Injury Return to Sport Consensus Group. Knee Surg. Sport. Traumatol. Arthrosc. 2020, 28, 2403–2414. [Google Scholar] [CrossRef]
- Fleming, B.C.; Vajapeyam, S.; Connolly, S.A.; Magarian, E.M.; Murray, M.M. The use of magnetic resonance imaging to predict ACL graft structural properties. J. Biomech. 2011, 44, 2843–2846. [Google Scholar] [CrossRef] [PubMed]
- Howell, S.; Clark, J.A.; Blasier, R.D. Serial magnetic resonance imaging of hamstring anterior cruciate ligament autografts during the first year of implantation. Am. J. Sport. Med. 1991, 19, 42–47. [Google Scholar] [CrossRef]
- Howell, S.M.; Knox, K.E.; Farley, T.E.; Taylor, M.A. Revascularization of a Human Anterior Cruciate Ligament Graft During the First Two Years of Implantation. Am. J. Sport. Med. 1995, 23, 42–49. [Google Scholar] [CrossRef]
- Panos, J.A.; Webster, K.E.; Hewett, T.E. Anterior cruciate ligament grafts display differential maturation patterns on magnetic resonance imaging following reconstruction: A systematic review. Knee Surg. Sport. Traumatol. Arthrosc. 2020, 28, 2124–2138. [Google Scholar] [CrossRef] [PubMed]
- Scheffler, S.U.; Schmidt, T.; Gangéy, I.; Dustmann, M.; Unterhauser, F.; Weiler, A. Fresh-Frozen Free-Tendon Allografts Versus Autografts in Anterior Cruciate Ligament Reconstruction: Delayed Remodeling and Inferior Mechanical Function During Long-term Healing in Sheep. Arthroscopy 2008, 24, 448–458. [Google Scholar] [CrossRef]
- Papachristou, G.; Nikolaou, V.; Efstathopoulos, N.; Sourlas, J.; Lazarettos, J.; Frangia, K.; Papalois, A. ACL reconstruction with semitendinosus tendon autograft without detachment of its tibial insertion: A histologic study in a rabbit model. Knee Surg. Sport. Traumatol. Arthrosc. 2007, 15, 1175–1180. [Google Scholar] [CrossRef] [PubMed]
- Zhang, S.; Liu, S.; Yang, L.; Chen, S.; Chen, S.; Chen, J. Morphological Changes of the Femoral Tunnel and Their Correlation With Hamstring Tendon Autograft Maturation up to 2 Years After Anterior Cruciate Ligament Reconstruction Using Femoral Cortical Suspension. Am. J. Sport. Med. 2020, 48, 554–564. [Google Scholar] [CrossRef] [PubMed]
- Malahias, M.-A.; Capece, F.M.; Ballarati, C.; Viganò, M.; Marano, M.; Hofbauer, M.; Togninalli, D.; de Girolamo, L.; Denti, M. Sufficient MRI graft structural integrity at 9 months after anterior cruciate ligament reconstruction with hamstring tendon autograft. Knee Surg. Sport. Traumatol. Arthrosc. 2022, 30, 1893–1900. [Google Scholar] [CrossRef]
- Zhang, Y.; Liu, S.; Chen, Q.; Hu, Y.; Sun, Y.; Chen, J. Maturity Progression of the Entire Anterior Cruciate Ligament Graft of Insertion-Preserved Hamstring Tendons by 5 Years: A Prospective Randomized Controlled Study Based on Magnetic Resonance Imaging Evaluation. Am. J. Sport. Med. 2020, 48, 2970–2977. [Google Scholar] [CrossRef]
- Feichtinger, X.; Monforte, X.; Keibl, C.; Hercher, D.; Schanda, J.; Teuschl, A.; Muschitz, C.; Redl, H.; Fialka, C.; Mittermayr, R. Substantial Biomechanical Improvement by Extracorporeal Shockwave Therapy After Surgical Repair of Rodent Chronic Rotator Cuff Tears. Am. J. Sport. Med. 2019, 47, 2158–2166. [Google Scholar] [CrossRef] [PubMed]
- van der Worp, H.; van den Akker-Scheek, I.; van Schie, H.; Zwerver, J. ESWT for tendinopathy: Technology and clinical implications. Knee Surg. Sports Traumatol. Arthrosc. 2013, 21, 1451–1458. [Google Scholar] [CrossRef]
- Schroeder, A.N.; Tenforde, A.S.; Jelsing, E.J. Extracorporeal Shockwave Therapy in the Management of Sports Medicine Injuries. Curr. Sport. Med. Rep. 2021, 20, 298–305. [Google Scholar] [CrossRef]
- Wang, C.-J. Extracorporeal shockwave therapy in musculoskeletal disorders. J. Orthop. Surg. Res. 2012, 7, 11. [Google Scholar] [CrossRef]
- Kisch, T.; Wuerfel, W.; Forstmeier, V.; Liodaki, E.; Stang, F.H.; Knobloch, K.; Mailaender, P.; Kraemer, R. Repetitive shock wave therapy improves muscular microcirculation. J. Surg. Res. 2015, 201, 440–445. [Google Scholar] [CrossRef]
- Notarnicola, A.; Covelli, I.; Maccagnano, G.; Marvulli, R.; Mastromauro, L.; Ianieri, G.; Boodhoo, S.; Turitto, A.; Petruzzella, L.; Farì, G.; et al. Extracorporeal shockwave therapy on muscle tissue: The effects on healthy athletes. J. Biol. Regul. Homeost. Agents 2018, 32, 185–193. [Google Scholar] [PubMed]
- Schleusser, S.; Song, J.; Stang, F.H.; Mailaender, P.; Kraemer, R.; Kisch, T. Blood Flow in the Scaphoid Is Improved by Focused Extracorporeal Shock Wave Therapy. Clin. Orthop. Relat. Res. 2020, 478, 127–135. [Google Scholar] [CrossRef]
- Wang, C.-J.; Ko, J.-Y.; Chou, W.-Y.; Hsu, S.-L.; Ko, S.-F.; Huang, C.-C.; Chang, H.-W. Shockwave therapy improves anterior cruciate ligament reconstruction. J. Surg. Res. 2014, 188, 110–118. [Google Scholar] [CrossRef]
- Wang, C.-J.; Wang, F.-S.; Yang, K.D.; Weng, L.-H.; Ko, J.-Y. Long-term Results of Extracorporeal Shockwave Treatment for Plantar Fasciitis. Am. J. Sport. Med. 2006, 34, 592–596. [Google Scholar] [CrossRef]
- Patrick, W.; Shady, E.M.; Christoph, T.; Ramin, K.; Xaver, F. Advanced Anterior Cruciate Ligament Repair and Reconstruction Techniques for Different Rupture Types. Arthrosc. Tech. 2020, 9, e969–e977. [Google Scholar]
- Hefti, E.; Müller, W.; Jakob, R.P.; Stäubli, H.U. Evaluation of knee ligament injuries with the IKDC form. Knee Surg. Sport. Traumatol. Arthrosc. 1993, 1, 226–234. [Google Scholar] [CrossRef]
- Tegner, Y.; Lysholm, J. Rating systems in the evaluation of knee ligament injuries. Clin. Orthop. Relat. Res. 1985, 198, 43–49. [Google Scholar] [CrossRef]
- Hakozaki, A.; Niki, Y.; Enomoto, H.; Toyama, Y.; Suda, Y. Clinical significance of T2*-weighted gradient-echo MRI to monitor graft maturation over one year after anatomic double-bundle anterior cruciate ligament reconstruction: A comparative study with proton density-weighted MRI. Knee 2015, 22, 4–10. [Google Scholar] [CrossRef]
- Schneider, C.A.; Rasband, W.S.; Eliceiri, K.W. NIH Image to ImageJ: 25 Years of image analysis. Nat. Methods 2012, 9, 671–675. [Google Scholar] [CrossRef] [PubMed]
- Grassi, A.; Casali, M.; Macchiarola, L.; Lucidi, G.A.; Cucurnia, I.; Filardo, G.; Lopomo, N.F.; Zaffagnini, S. Hamstring grafts for anterior cruciate ligament reconstruction show better magnetic resonance features when tibial insertion is preserved. Knee Surg. Sport. Traumatol. Arthrosc. 2020, 29, 507–518. [Google Scholar] [CrossRef] [PubMed]
- Mittermayr, R.; Hartinger, J.; Antonic, V.; Meinl, A.; Pfeifer, S.; Stojadinovic, A.; Schaden, W.; Redl, H. Extracorporeal Shock Wave Therapy (ESWT) Minimizes Ischemic Tissue Necrosis Irrespective of Application Time and Promotes Tissue Revascularization by Stimulating Angiogenesis. Ann. Surg. 2011, 253, 1024–1032. [Google Scholar] [CrossRef]
- Wang, C.-J.; Wang, F.-S.; Yang, K.D.; Weng, L.-H.; Sun, Y.-C.; Yang, Y.-J. The effect of shock wave treatment at the tendon–bone interface—An histomorphological and biomechanical study in rabbits. J. Orthop. Res. 2005, 23, 274–280. [Google Scholar] [CrossRef]
- Li, H.; Liu, S.; Sun, Y.; Li, H.; Chen, S.; Chen, J. Influence of Graft Bending Angle on Graft Maturation, the Femoral Tunnel, and Functional Outcomes by 12 Months After Anterior Cruciate Ligament Reconstruction. Orthop. J. Sport. Med. 2019, 7, 11. [Google Scholar] [CrossRef]
- Van Dyck, P.; Zazulia, K.; Smekens, C.; Heusdens, C.H.W.; Janssens, T.; Sijbers, J. Assessment of Anterior Cruciate Ligament Graft Maturity with Conventional Magnetic Resonance Imaging: A Systematic Literature Review. Orthop. J. Sports Med. 2019, 7, 2325967119849012. [Google Scholar] [CrossRef] [PubMed]
- Yue, L.; DeFroda, S.F.; Sullivan, K.; Garcia, D.; Owens, B.D. Mechanisms of Bone Tunnel Enlargement Following Anterior Cruciate Ligament Reconstruction. JBJS Rev. 2020, 8, e0120. [Google Scholar] [CrossRef] [PubMed]





Disclaimer/Publisher’s Note: The statements, opinions and data contained in all publications are solely those of the individual author(s) and contributor(s) and not of MDPI and/or the editor(s). MDPI and/or the editor(s) disclaim responsibility for any injury to people or property resulting from any ideas, methods, instructions or products referred to in the content. |
© 2023 by the authors. Licensee MDPI, Basel, Switzerland. This article is an open access article distributed under the terms and conditions of the Creative Commons Attribution (CC BY) license (https://creativecommons.org/licenses/by/4.0/).
Share and Cite
Weninger, P.; Thallinger, C.; Chytilek, M.; Hanel, Y.; Steffel, C.; Karimi, R.; Feichtinger, X. Extracorporeal Shockwave Therapy Improves Outcome after Primary Anterior Cruciate Ligament Reconstruction with Hamstring Tendons. J. Clin. Med. 2023, 12, 3350. https://doi.org/10.3390/jcm12103350
Weninger P, Thallinger C, Chytilek M, Hanel Y, Steffel C, Karimi R, Feichtinger X. Extracorporeal Shockwave Therapy Improves Outcome after Primary Anterior Cruciate Ligament Reconstruction with Hamstring Tendons. Journal of Clinical Medicine. 2023; 12(10):3350. https://doi.org/10.3390/jcm12103350
Chicago/Turabian StyleWeninger, Patrick, Christoph Thallinger, Manuel Chytilek, Yannis Hanel, Caterina Steffel, Ramin Karimi, and Xaver Feichtinger. 2023. "Extracorporeal Shockwave Therapy Improves Outcome after Primary Anterior Cruciate Ligament Reconstruction with Hamstring Tendons" Journal of Clinical Medicine 12, no. 10: 3350. https://doi.org/10.3390/jcm12103350
APA StyleWeninger, P., Thallinger, C., Chytilek, M., Hanel, Y., Steffel, C., Karimi, R., & Feichtinger, X. (2023). Extracorporeal Shockwave Therapy Improves Outcome after Primary Anterior Cruciate Ligament Reconstruction with Hamstring Tendons. Journal of Clinical Medicine, 12(10), 3350. https://doi.org/10.3390/jcm12103350
