Adult Langerhans Cell Histiocytosis and the Skeleton
Abstract
1. Introduction
2. Bone Metabolism in LCH
3. Skeletal Involvement in LCH
3.1. Disease Manifestations
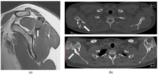
3.2. Evaluation
4. Treatment
4.1. Unifocal Skeletal Involvement
4.2. Single System Polyostotic Disease
4.3. Multisystem Disease
5. Conclusions
Author Contributions
Funding
Institutional Review Board Statement
Informed Consent Statement
Conflicts of Interest
References
- Picarsic, J.; Jaffe, R. Nosology and Pathology of Langerhans Cell Histiocytosis. Hematol. Oncol. Clin. N. Am. 2015, 29, 799–823. [Google Scholar] [CrossRef] [PubMed]
- Tran, G.; Huynh, T.N.; Paller, A.S. Langerhans cell histiocytosis: A neoplastic disorder driven by Ras-ERK pathway mutations. J. Am. Acad. Dermatol. 2018, 78, 579–590.e574. [Google Scholar] [CrossRef] [PubMed]
- Brown, N.A.; Furtado, L.V.; Betz, B.L.; Kiel, M.J.; Weigelin, H.C.; Lim, M.S.; Elenitoba-Johnson, K.S. High prevalence of somatic MAP2K1 mutations in BRAF V600E-negative Langerhans cell histiocytosis. Blood 2014, 124, 1655–1658. [Google Scholar] [CrossRef] [PubMed]
- Ozer, E.; Sevinc, A.; Ince, D.; Yuzuguldu, R.; Olgun, N. BRAF V600E Mutation: A Significant Biomarker for Prediction of Disease Relapse in Pediatric Langerhans Cell Histiocytosis. Pediatr. Dev. Pathol. 2019, 22, 449–455. [Google Scholar] [CrossRef]
- Berres, M.L.; Allen, C.E.; Merad, M. Pathological consequence of misguided dendritic cell differentiation in histiocytic diseases. Adv. Immunol. 2013, 120, 127–161. [Google Scholar] [CrossRef]
- Bohn, O.L.; Ruiz-Arguelles, G.; Navarro, L.; Saldivar, J.; Sanchez-Sosa, S. Cutaneous Langerhans cell sarcoma: A case report and review of the literature. Int. J. Hematol. 2007, 85, 116–120. [Google Scholar] [CrossRef]
- Rodriguez-Galindo, C. Clinical features and treatment of Langerhans cell histiocytosis. Acta Paediatr. 2021, 110, 2892–2902. [Google Scholar] [CrossRef]
- Girschikofsky, M.; Arico, M.; Castillo, D.; Chu, A.; Doberauer, C.; Fichter, J.; Haroche, J.; Kaltsas, G.A.; Makras, P.; Marzano, A.V.; et al. Management of adult patients with Langerhans cell histiocytosis: Recommendations from an expert panel on behalf of Euro-Histio-Net. Orphanet. J. Rare Dis. 2013, 8, 72. [Google Scholar] [CrossRef]
- Kaltsas, G.; Makras, P. Skeletal diseases in Cushing’s syndrome: Osteoporosis versus arthropathy. Neuroendocrinology 2010, 92 (Suppl. S1), 60–64. [Google Scholar] [CrossRef]
- Xian, C.J.; Cool, J.C.; Scherer, M.A.; Macsai, C.E.; Fan, C.; Covino, M.; Foster, B.K. Cellular mechanisms for methotrexate chemotherapy-induced bone growth defects. Bone 2007, 41, 842–850. [Google Scholar] [CrossRef]
- Makras, P.; Alexandraki, K.I.; Chrousos, G.P.; Grossman, A.B.; Kaltsas, G.A. Endocrine manifestations in Langerhans cell histiocytosis. Trends Endocrinol. Metab. 2007, 18, 252–257. [Google Scholar] [CrossRef]
- Kaltsas, G.A.; Powles, T.B.; Evanson, J.; Plowman, P.N.; Drinkwater, J.E.; Jenkins, P.J.; Monson, J.P.; Besser, G.M.; Grossman, A.B. Hypothalamo-pituitary abnormalities in adult patients with langerhans cell histiocytosis: Clinical, endocrinological, and radiological features and response to treatment. J. Clin. Endocrinol. Metab. 2000, 85, 1370–1376. [Google Scholar] [CrossRef]
- Sagna, Y.; Courtillot, C.; Drabo, J.Y.; Tazi, A.; Donadieu, J.; Idbaih, A.; Cohen, F.; Amoura, Z.; Haroche, J.; Touraine, P. Endocrine manifestations in a cohort of 63 adulthood and childhood onset patients with Langerhans cell histiocytosis. Eur. J. Endocrinol. 2019, 181, 275–285. [Google Scholar] [CrossRef]
- Montefusco, L.; Harari, S.; Elia, D.; Rossi, A.; Specchia, C.; Torre, O.; Adda, G.; Arosio, M. Endocrine and metabolic assessment in adults with Langerhans cell histiocytosis. Eur. J. Intern. Med. 2018, 51, 61–67. [Google Scholar] [CrossRef]
- Makras, P.; Samara, C.; Antoniou, M.; Zetos, A.; Papadogias, D.; Nikolakopoulou, Z.; Andreakos, E.; Toloumis, G.; Kontogeorgos, G.; Piaditis, G.; et al. Evolving radiological features of hypothalamo-pituitary lesions in adult patients with Langerhans cell histiocytosis (LCH). Neuroradiology 2006, 48, 37–44. [Google Scholar] [CrossRef]
- Morimoto, A.; Oh, Y.; Shioda, Y.; Kudo, K.; Imamura, T. Recent advances in Langerhans cell histiocytosis. Pediatr. Int. 2014, 56, 451–461. [Google Scholar] [CrossRef]
- Melmed, S.; Auchus, R.J.; Goldfine, A.B.; Koenig, R.J.; Rosen, C.J. Williams Textbook of Endocrinology, 14th ed.; Elsevier, Inc.: Philadelphia, PA, USA, 2019; ISBN 9780323711548. [Google Scholar]
- Anastasilakis, A.D.; Tsoli, M.; Kaltsas, G.; Makras, P. Bone metabolism in Langerhans cell histiocytosis. Endocr. Connect 2018, 7, R246–R253. [Google Scholar] [CrossRef]
- Alnaeeli, M.; Penninger, J.M.; Teng, Y.T. Immune interactions with CD4+ T cells promote the development of functional osteoclasts from murine CD11c+ dendritic cells. J. Immunol. 2006, 177, 3314–3326. [Google Scholar] [CrossRef]
- Makras, P.; Polyzos, S.A.; Anastasilakis, A.D.; Terpos, E.; Kanakis, G.; Schini, M.; Papatheodorou, A.; Kaltsas, G.A. Serum osteoprotegerin, RANKL, and Dkk-1 levels in adults with Langerhans cell histiocytosis. J. Clin. Endocrinol. Metab. 2012, 97, E618–E621. [Google Scholar] [CrossRef][Green Version]
- Arizon, M.; Nudel, I.; Segev, H.; Mizraji, G.; Elnekave, M.; Furmanov, K.; Eli-Berchoer, L.; Clausen, B.E.; Shapira, L.; Wilensky, A.; et al. Langerhans cells down-regulate inflammation-driven alveolar bone loss. Proc. Natl. Acad. Sci. USA 2012, 109, 7043–7048. [Google Scholar] [CrossRef]
- Ishii, R.; Morimoto, A.; Ikushima, S.; Sugimoto, T.; Asami, K.; Bessho, F.; Kudo, K.; Tsunematu, Y.; Fujimoto, J.; Imashuku, S. High serum values of soluble CD154, IL-2 receptor, RANKL and osteoprotegerin in Langerhans cell histiocytosis. Pediatr. Blood Cancer 2006, 47, 194–199. [Google Scholar] [CrossRef]
- Makras, P.; Salagianni, M.; Revelos, K.; Anastasilakis, A.D.; Schini, M.; Tsoli, M.; Kaltsas, G.; Andreakos, E. Rationale for the application of RANKL inhibition in the treatment of Langerhans cell histiocytosis. J. Clin. Endocrinol. Metab. 2015, 100, E282–E286. [Google Scholar] [CrossRef]
- Bonnet, N.; Garnero, P.; Ferrari, S. Periostin action in bone. Mol. Cell Endocrinol. 2016, 432, 75–82. [Google Scholar] [CrossRef]
- Anastasilakis, A.D.; Polyzos, S.A.; Tsoli, M.; Papatheodorou, A.; Kokkoris, P.; Kaltsas, G.; Terpos, E.; Makras, P. Low periostin levels in adult patients with Langerhans cell histiocytosis are independently associated with the disease activity. Metabolism 2017, 71, 198–201. [Google Scholar] [CrossRef]
- Idolazzi, L.; Ridolo, E.; Fassio, A.; Gatti, D.; Montagni, M.; Caminati, M.; Martignago, I.; Incorvaia, C.; Senna, G. Periostin: The bone and beyond. Eur. J. Intern. Med. 2017, 38, 12–16. [Google Scholar] [CrossRef]
- Makras, P.; Terpos, E.; Kanakis, G.; Papatheodorou, A.; Anastasilakis, A.D.; Kokkoris, P.; Kaltsas, G.A. Reduced bone mineral density in adult patients with Langerhans cell histiocytosis. Pediatr. Blood Cancer 2012, 58, 819–822. [Google Scholar] [CrossRef]
- Kilpatrick, S.E.; Wenger, D.E.; Gilchrist, G.S.; Shives, T.C.; Wollan, P.C.; Unni, K.K. Langerhans’ cell histiocytosis (histiocytosis X) of bone. A clinicopathologic analysis of 263 pediatric and adult cases. Cancer 1995, 76, 2471–2484. [Google Scholar] [CrossRef]
- Islinger, R.B.; Kuklo, T.R.; Owens, B.D.; Horan, P.J.; Choma, T.J.; Murphey, M.D.; Temple, H.T. Langerhans’ cell histiocytosis in patients older than 21 years. Clin. Orthop. Relat. Res. 2000, 231–235. [Google Scholar] [CrossRef]
- Reisi, N.; Raeissi, P.; Harati Khalilabad, T.; Moafi, A. Unusual sites of bone involvement in Langerhans cell histiocytosis: A systematic review of the literature. Orphanet. J. Rare Dis. 2021, 16, 1. [Google Scholar] [CrossRef]
- Nangalia, R.; Chatterjee, R.P.; Kundu, S.; Pal, M. Langerhans Cell Histiocytosis in an Adult with Oral Cavity Involvement: Posing a Diagnostic Challenge. Contemp. Clin. Dent. 2019, 10, 154–157. [Google Scholar] [CrossRef]
- Facciolo, M.T.; Riva, F.; Gallenzi, P.; Patini, R.; Gaglioti, D. A rare case of oral multisystem Langerhans cell histiocytosis. J. Clin. Exp. Dent. 2017, 9, e820–e824. [Google Scholar] [CrossRef] [PubMed][Green Version]
- Zaveri, J.; La, Q.; Yarmish, G.; Neuman, J. More than just Langerhans cell histiocytosis: A radiologic review of histiocytic disorders. Radiographics 2014, 34, 2008–2024. [Google Scholar] [CrossRef] [PubMed]
- Zhao, M.; Tang, L.; Sun, S.; Cui, J.; Chen, H. Radiologic findings that aid in the reduction of misdiagnoses of Langerhans cell histiocytosis of the bone: A retrospective study. World J. Surg. Oncol. 2021, 19, 146. [Google Scholar] [CrossRef] [PubMed]
- Howarth, D.M.; Gilchrist, G.S.; Mullan, B.P.; Wiseman, G.A.; Edmonson, J.H.; Schomberg, P.J. Langerhans cell histiocytosis: Diagnosis, natural history, management, and outcome. Cancer 1999, 85, 2278–2290. [Google Scholar] [CrossRef]
- Kamal, A.F.; Luthfi, A. Diagnosis and treatment of Langerhans Cell Histiocytosis with bone lesion in pediatric patient: A case report. Ann. Med. Surg. 2019, 45, 102–109. [Google Scholar] [CrossRef]
- Kim, J.R.; Yoon, H.M.; Jung, A.Y.; Cho, Y.A.; Seo, J.J.; Lee, J.S. Comparison of whole-body MRI, bone scan, and radiographic skeletal survey for lesion detection and risk stratification of Langerhans Cell Histiocytosis. Sci. Rep. 2019, 9, 317. [Google Scholar] [CrossRef]
- Ferrell, J.; Sharp, S.; Kumar, A.; Jordan, M.; Picarsic, J.; Nelson, A. Discrepancies between F-18-FDG PET/CT findings and conventional imaging in Langerhans cell histiocytosis. Pediatr. Blood Cancer 2021, 68, e28891. [Google Scholar] [CrossRef]
- PDQ Pediatric Treatment Editorial Board. Langerhans Cell Histiocytosis Treatment (PDQ(R)): Health Professional Version. In PDQ Cancer Information Summaries; National Cancer Institute: Bethesda, MD, USA, 2002. [Google Scholar]
- Yasko, A.W.; Fanning, C.V.; Ayala, A.G.; Carrasco, C.H.; Murray, J.A. Percutaneous techniques for the diagnosis and treatment of localized Langerhans-cell histiocytosis (eosinophilic granuloma of bone). J. Bone Joint Surg. Am. 1998, 80, 219–228. [Google Scholar] [CrossRef]
- Kriz, J.; Eich, H.T.; Bruns, F.; Heyd, R.; Schafer, U.; Haverkamp, U.; Buntzel, J.; Seegenschmiedt, H.; Micke, O. Radiotherapy in langerhans cell histiocytosis-a rare indication in a rare disease. Radiat. Oncol. 2013, 8, 233. [Google Scholar] [CrossRef]
- Chellapandian, D.; Makras, P.; Kaltsas, G.; van den Bos, C.; Naccache, L.; Rampal, R.; Carret, A.S.; Weitzman, S.; Egeler, R.M.; Abla, O. Bisphosphonates in Langerhans Cell Histiocytosis: An International Retrospective Case Series. Mediterr. J. Hematol. Infect. Dis. 2016, 8, e2016033. [Google Scholar] [CrossRef]
- Go, R.S.; Jacobsen, E.; Baiocchi, R.; Buhtoiarov, I.; Butler, E.B.; Campbell, P.K.; Coulter, D.W.; Diamond, E.; Flagg, A.; Goodman, A.M.; et al. Histiocytic Neoplasms, Version 2.2021, NCCN Clinical Practice Guidelines in Oncology. J. Natl. Compr. Cancer Netw. 2021, 19, 1277–1303. [Google Scholar] [CrossRef]
- Cantu, M.A.; Lupo, P.J.; Bilgi, M.; Hicks, M.J.; Allen, C.E.; McClain, K.L. Optimal therapy for adults with Langerhans cell histiocytosis bone lesions. PLoS ONE 2012, 7, e43257. [Google Scholar] [CrossRef]
- Makras, P.; Tsoli, M.; Anastasilakis, A.D.; Thanou, M.; Kaltsas, G. Denosumab for the treatment of adult multisystem Langerhans cell histiocytosis. Metabolism 2017, 69, 107–111. [Google Scholar] [CrossRef]
- Kobayashi, M.; Tojo, A. Langerhans cell histiocytosis in adults: Advances in pathophysiology and treatment. Cancer Sci. 2018, 109, 3707–3713. [Google Scholar] [CrossRef]
- Tazi, A.; Lorillon, G.; Haroche, J.; Neel, A.; Dominique, S.; Aouba, A.; Bouaziz, J.D.; de Margerie-Melon, C.; Bugnet, E.; Cottin, V.; et al. Vinblastine chemotherapy in adult patients with langerhans cell histiocytosis: A multicenter retrospective study. Orphanet J. Rare Dis. 2017, 12, 95. [Google Scholar] [CrossRef]
- Neel, A.; Artifoni, M.; Fontenoy, A.M.; Tessoulin, B.; Lorillon, G.; Cohen-Aubart, F.; Haroche, J.; Genereau, T.; de Menthon, M.; Guillevin, L.; et al. Long-term efficacy and safety of 2CdA (cladribine) in extra-pulmonary adult-onset Langerhans cell histiocytosis: Analysis of 23 cases from the French Histiocytosis Group and systematic literature review. Br. J. Haematol. 2020, 189, 869–878. [Google Scholar] [CrossRef]
- Goyal, G.; Abeykoon, J.P.; Hu, M.; Young, J.R.; Shah, M.V.; Bennani, N.N.; Call, T.G.; Hook, C.C.; Pardanani, A.; Inwards, D.J.; et al. Single-agent cladribine as an effective front-line therapy for adults with Langerhans cell histiocytosis. Am. J. Hematol. 2021, 96, E146–E150. [Google Scholar] [CrossRef]
- Donadieu, J.; Bernard, F.; van Noesel, M.; Barkaoui, M.; Bardet, O.; Mura, R.; Arico, M.; Piguet, C.; Gandemer, V.; Armari Alla, C.; et al. Cladribine and cytarabine in refractory multisystem Langerhans cell histiocytosis: Results of an international phase 2 study. Blood 2015, 126, 1415–1423. [Google Scholar] [CrossRef]
- Hazim, A.Z.; Ruan, G.J.; Ravindran, A.; Abeykoon, J.P.; Scheckel, C.; Vassallo, R.; Ryu, J.H.; Tobin, W.O.; Koster, M.J.; Bennani, N.N.; et al. Efficacy of BRAF-Inhibitor Therapy in BRAF(V600E)-Mutated Adult Langerhans Cell Histiocytosis. Oncologist 2020, 25, 1001–1004. [Google Scholar] [CrossRef]
- Diamond, E.L.; Durham, B.H.; Ulaner, G.A.; Drill, E.; Buthorn, J.; Ki, M.; Bitner, L.; Cho, H.; Young, R.J.; Francis, J.H.; et al. Efficacy of MEK inhibition in patients with histiocytic neoplasms. Nature 2019, 567, 521–524. [Google Scholar] [CrossRef]
- Awada, G.; Seremet, T.; Fostier, K.; Everaert, H.; Neyns, B. Long-term disease control of Langerhans cell histiocytosis using combined BRAF and MEK inhibition. Blood Adv. 2018, 2, 2156–2158. [Google Scholar] [CrossRef]
- Messinger, Y.H.; Bostrom, B.C.; Olson, D.R.; Gossai, N.P.; Miller, L.H.; Richards, M.K. Langerhans cell histiocytosis with BRAF p.N486_P490del or MAP2K1 p.K57_G61del treated by the MEK inhibitor trametinib. Pediatr. Blood Cancer 2020, 67, e28712. [Google Scholar] [CrossRef]


| Involvement | Treatment Options |
|---|---|
| Unifocal bone lesions |
|
| Single system, multiple bone lesions |
|
| Multisystem disease |
|
Publisher’s Note: MDPI stays neutral with regard to jurisdictional claims in published maps and institutional affiliations. |
© 2022 by the authors. Licensee MDPI, Basel, Switzerland. This article is an open access article distributed under the terms and conditions of the Creative Commons Attribution (CC BY) license (https://creativecommons.org/licenses/by/4.0/).
Share and Cite
Georgakopoulou, D.; Anastasilakis, A.D.; Makras, P. Adult Langerhans Cell Histiocytosis and the Skeleton. J. Clin. Med. 2022, 11, 909. https://doi.org/10.3390/jcm11040909
Georgakopoulou D, Anastasilakis AD, Makras P. Adult Langerhans Cell Histiocytosis and the Skeleton. Journal of Clinical Medicine. 2022; 11(4):909. https://doi.org/10.3390/jcm11040909
Chicago/Turabian StyleGeorgakopoulou, Danae, Athanasios D. Anastasilakis, and Polyzois Makras. 2022. "Adult Langerhans Cell Histiocytosis and the Skeleton" Journal of Clinical Medicine 11, no. 4: 909. https://doi.org/10.3390/jcm11040909
APA StyleGeorgakopoulou, D., Anastasilakis, A. D., & Makras, P. (2022). Adult Langerhans Cell Histiocytosis and the Skeleton. Journal of Clinical Medicine, 11(4), 909. https://doi.org/10.3390/jcm11040909

