Coxiella burnetii and Bartonella Endocarditis Diagnosed by Metagenomic Next-Generation Sequencing
Abstract
1. Introduction
2. Materials and Methods
Ethics statement:
2.1. Patients
2.2. Data Collection
2.3. Metagenomic Next-Generation Sequencing
2.4. Organism-Specific Sanger Sequencing
2.5. Statistical Analysis
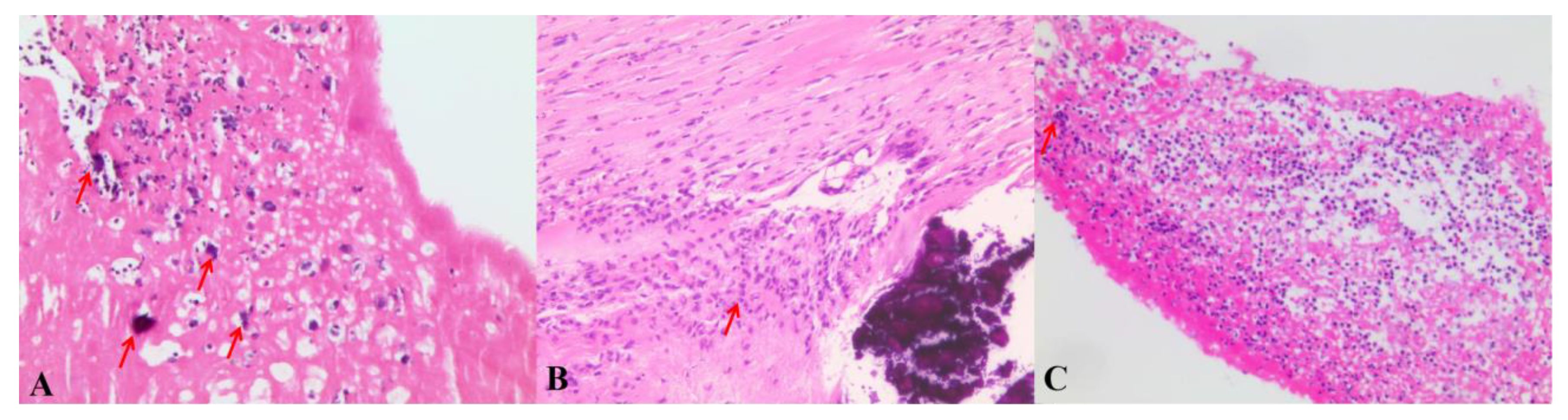
3. Results
4. Discussion
5. Conclusions
Supplementary Materials
Author Contributions
Funding
Institutional Review Board Statement
Informed Consent Statement
Data Availability Statement
Conflicts of Interest
References
- Díez-Villanueva, P.; Muñoz, P.; Marín, M.; Bermejo, J.; González, A.D.A.; Fariñas, M.C.; Gutiérrez-Cuadra, M.; Pericás-Pulido, J.M.; Lepe, J.A.; Castelo, L.; et al. Infective endocarditis: Absence of microbiological diagnosis is an independent predictor of inhospital mortality. Int. J. Cardiol. 2016, 220, 162–165. [Google Scholar] [CrossRef] [PubMed]
- Lamas, C.C.; Fournier, P.-E.; Zappa, M.; Brandão, T.J.D.; Januário-Da-Silva, C.A.; Correia, M.G.; Barbosa, G.I.F.; Golebiovski, W.F.; Weksler, C.; Lepidi, H.; et al. Diagnosis of blood culture-negative endocarditis and clinical comparison between blood culture-negative and blood culture-positive cases. Infection 2016, 44, 459–466. [Google Scholar] [CrossRef]
- Fournier, P.E.; Gouriet, F.; Casalta, J.P.; Lepidi, H.; Chaudet, H.; Thuny, F.; Collart, F.; Habib, G.; Raoult, D. Blood culture-negative endocarditis: Improving the diagnostic yield using new diagnostic tools. Medicine 2017, 96, e8392. [Google Scholar] [CrossRef] [PubMed]
- Fournier, P.; Thuny, F.; Richet, H.; Lepidi, H.; Casalta, J.; Arzouni, J.; Maurin, M.; Célard, M.; Mainardi, J.-L.; Caus, T.; et al. Comprehensive diagnostic strategy for blood culture-negative endocarditis: A prospective study of 819 new cases. Clin. Infect. Dis. 2010, 51, 131–140. [Google Scholar] [CrossRef] [PubMed]
- Okaro, U.; Addisu, A.; Casanas, B.; Anderson, B. Bartonella Species, an Emerging Cause of Blood-Culture-Negative Endocarditis. Clin. Microbiol. Rev. 2017, 30, 709–746. [Google Scholar] [CrossRef] [PubMed]
- Liesman, R.M.; Pritt, B.S.; Maleszewski, J.J.; Patel, R. Laboratory Diagnosis of Infective Endocarditis. J. Clin. Microbiol. 2017, 55, 2599–2608.e6. [Google Scholar] [CrossRef] [PubMed]
- Shapira, L.; Rasis, M.; Ehrenreich, I.B.; Maor, Y.; Katchman, E.A.; Treves, A.; Velan, A.; Halutz, O.; Graidy-Varon, M.; Leibovitch, C.; et al. Laboratory Diagnosis of 37 Cases of Bartonella Endocarditis Based on Enzyme Immunoassay and Real-Time PCR. J. Clin. Microbiol. 2021, 59, 12. [Google Scholar] [CrossRef] [PubMed]
- Li, J.S.; Sexton, D.J.; Mick, N.; Nettles, R.; Fowler, V.G., Jr.; Ryan, T.; Bashore, T.; Corey, G.R. Proposed modifications to the Duke criteria for the diagnosis of infective endocarditis. Clin. Infect. Dis. 2000, 30, 633–638. [Google Scholar] [CrossRef]
- Granata, G.; Stracquadanio, S.; Consoli, G.M.L.; Cafiso, V.; Stefani, S.; Geraci, C. Synthesis of a calix[4]arene derivative exposing multiple units of fucose and preliminary investigation as a potential broad-spectrum antibiofilm agent. Carbohydr. Res. 2019, 476, 60–64. [Google Scholar] [CrossRef]
- Baddour, L.M.; Wilson, W.R.; Bayer, A.S.; Fowler, V.G., Jr.; Tleyjeh, I.M.; Rybak, M.J.; Barsic, B.; Lockhart, P.B.; Gewitz, M.H.; Levison, M.E.; et al. Infective Endocarditis in Adults: Diagnosis, Antimicrobial Therapy, and Management of Complications A Scientific Statement for Healthcare Professionals From the American Heart Association. Circulation 2015, 132, 1435–1486. [Google Scholar] [CrossRef] [PubMed]
- Woodruff, R.C.; Campbell, A.P.; Taylor, C.A.; Chai, S.J.; Kawasaki, B.; Meek, J.; Anderson, E.J.; Weigel, A.; Monroe, M.L.; Reeg, L.; et al. Risk Factors for Severe COVID-19 in Children. Pediatrics 2022, 149, e137–e145. [Google Scholar] [CrossRef] [PubMed]
- Million, M.; Thuny, F.; Richet, H.; Raoult, D. Long-term outcome of Q fever endocarditis: A 26-year personal survey. Lancet Infect. Dis. 2010, 10, 527–535. [Google Scholar] [CrossRef] [PubMed]
- Marsch, G.; Orszag, P.; Mashaqi, B.; Kuehn, C.; Haverich, A. Antibiotic therapy following polymerase chain reaction diagnosis of infective endocarditis: A single centre experience. Interact. Cardiovasc. Thorac. Surg. 2015, 20, 589–593. [Google Scholar] [CrossRef]
- Stracquadanio, S.; Musso, N.; Costantino, A.; Lazzaro, L.M.; Stefani, S.; Bongiorno, D. Staphylococcus aureus Internalization in Osteoblast Cells: Mechanisms, Interactions and Biochemical Processes. What Did We Learn from Experimental Models? Pathogens 2021, 10, 239. [Google Scholar] [CrossRef] [PubMed]




| Total (n = 84) | C. burnetii and Bartonella (n = 23, 27.4%) | Staphylococcus aureus (n = 31, 36.9%) | Streptococcus (n = 30, 35.7%) | p Value | |
|---|---|---|---|---|---|
| Male sex, n (%) | 67 (80) | 23 (100) | 22 (71) # | 22 (73) # | 0.018 |
| Age, y, median (IQR) | 55 (26) | 56 (16) | 52 (28) * | 55 (31) | 0.029 & |
| Fever, n (%) | 45 (54) | 4 (17) | 22 (71) # | 19 (63) # | <0.001 |
| LOS in hospital, d, median (IQR) | 37 (27) | 26 (28) | 45 (20) * | 30 (32) | 0.003 |
| Cost, RMB, thousand, n (IQR) | 195 (115) | 199 (91) | 224 (184) | 176 (86) | 0.053 |
| Classification of NYAH, n (%) | 0.113 | ||||
| I-II | 19 (23) | 3 (13) | 7 (23) | 9 (30) | |
| III | 39 (46) | 14 (61) | 10 (32) | 15 (30) | |
| IV | 26 (31) | 6 (26) | 14 (45) | 6 (20) | |
| Native valve IE, n (%) | 78 (93) | 20 (87) | 28 (90) | 30 (100) | 0.143 |
| Prosthetic valve IE, n (%) | 6 (7) | 3 (13) | 3 (10) | 0 | |
| Coronary artery disease, n (%) | 24 (29) | 10 (44) | 6 (19) | 8 (27) | 0.146 |
| Acute heart failure, n (%) | 42 (50) | 9 (39) | 21 (68) | 12 (40) | 0.045 |
| Arrythmia, n (%) | 18 (21) | 6 (26) | 6 (19) | 6 (20) | 0.814 |
| Renal impairment+ | 0.012 | ||||
| Moderate, n (%) | 26 (31) | 11 (48) | 3 (10) | 12 (40) | |
| Severe, n (%) | 29 (35) | 7 (30) | 15 (48) | 7 (23) | |
| Neurological complication, n (%) | 29 (35) | 5 (22) | 13 (42) | 11 (37) | 0.290 |
| Intracranial hemorrhage, n (%) | 12 (14) | 1 (4.3) | 7 (23) | 1 (13) | 0.156 |
| Embolism, n (%) | 29 (35) | 5 (22) | 13 (42) | 12 (40) | 0.257 |
| Cardiac surgery | |||||
| CPB, min, median (IQR) | 160 (89) | 170 (76) | 163 (134) | 155 (61) | 0.049 & |
| ACC, min, median (IQR) | 108 (58) | 126 (48) | 106 (74) | 99 (43) * | 0.023 |
| IABP, n (%) | 6 (7) | 3 (13) | 2 (6.5) | 1 (3.3) | 0.494 |
| ECMO, n (%) | 1 (1.2) | 0 | 1 (3.2) | 0 | 1 |
| Short-term mortality, n (%) | 6 (7.1) | 2 (8.7) | 1 (3.2) | 3 (10) | 0.573 |
| Follow-up, months, median (IQR) | 23 (15) | 21 (14) | 23 (12) | 20 (19) | 0.353 |
| Follow-up survival, n (%) | 78 (100) | 21 (100) | 30 (100) | 27 (100) | |
| IE relapse, n (%) | 2 (2) | 1 (4) | 1 (3) | 0 | 0.733 |
| Total (n = 84) | C. burnetii and Bartonella (n = 23, 27.4%) | Staphylococcus aureus (n = 31, 36.9%) | Streptococcus (n = 30, 35.7%) | p Value | |
|---|---|---|---|---|---|
| Affected valve | |||||
| Left-side endocarditis | 82 (98) | 23 (100) | 29 (93) | 30 (100) | <0.001 |
| Only aortic valve, n (%) | 37 (44) | 19 (83) | 13 (42) * | 5 (17) * | |
| Only mitral valve, n (%) | 27 (32) | 1 (4) | 10 (32) * | 16 (53) * | |
| Aortic valve and mitral valve, n (%) | 18 (21) | 3 (13) | 6 (19) | 9 (30) | |
| Right-side endocarditis | 8 (10) | 1 (4) | 4 (13) | 3 (10) | 0.595 |
| Only tricuspid valve, n (%) | 8 (10) | 1 (4) | 2 (7) | 3 (10) | |
| tricuspid valve and pulmonary valve, n (%) | 2 (2) | 0 | 2 (7) | 0 | |
| CABV, n (%) | 30 (36) | 15 (65) | 11 (36) | 4 (13) # | <0.001 |
| Cardiac complication | |||||
| Abscess, n (%) | 37 (44) | 15 (65) | 19 (61) | 3 (10) # | <0.001 |
| Fistula, n (%) | 16 (19) | 10 (44) | 5 (16) | 1 (3.3) # | <0.001 |
| Valve perforation, n (%) | 42 (50) | 14 (61) | 17 (55) | 11 (37) | 0.173 |
| Pseudoaneurysm, n (%) | 7 (8.3) | 3 (13) | 4 (13) | 0 | 0.089 |
| Vegetation Diameter, mm, median (IQR) | 13.0 (8) | 12.5 (5.9) | 11.5 (10.7) | 14.5 (6.5) | 0.273 |
| LVEF, %, median (IQR) | 61 (17) | 61 (16) | 64 (6) | 66 (6) * | 0.042 |
| Preoperative laboratory test | |||||
| PCT, ng/mL, median (IQR) | 0.20 (1.1) | 1.10 (2.55) | 0.24 (1.34) | 0.17 (0.29) | 0.128 |
| WBC, 109/L, median (IQR) | 8.4 (5.6) | 7.1 (2.3) | 10.7 (9.7) * | 8.7 (4.7) | 0.002 & |
| NEUT, %, median (IQR) | 76 (21) | 60 (21) | 79 (16) * | 78 (14) * | <0.001 |
| Monocyte/Lymphocyte, median (IQR) | 0.54 (0.69) | 0.34 (0.29) | 0.98 (1.03) * | 0.62 (0.45) | <0.001 |
| PLT, 109/L, median (IQR) | 204 (135) | 180 (52) | 206 (119) | 231 (122) * | 0.007 |
| Albumin, g/L, median (IQR) | 33 (8) | 37 (7) | 31 (9) * | 33 (9) | 0.005 & |
| TBIL, μmol/L, median (IQR) | 14 (12) | 21 (15) | 15 (10) | 12 (7) | 0.147 |
| DBIL, μmol/L, median (IQR) | 4 (5) | 5 (6) | 4 (3) | 3 (5) | 0.222 |
| Pro-BNP, median (IQR) | 2704 (5230) | 3543 (4681) | 2019 (8666) | 1085 (4423) | 0.228 |
| Positive blood culture, n (%) | 13 (15) | 0 | 7 (23) | 6 (20) | 0.034 |
| Positive tissue culture, n(%) | 6 (7) | 0 | 4 (13) | 2 (6.7) | 0.228 |
Publisher’s Note: MDPI stays neutral with regard to jurisdictional claims in published maps and institutional affiliations. |
© 2022 by the authors. Licensee MDPI, Basel, Switzerland. This article is an open access article distributed under the terms and conditions of the Creative Commons Attribution (CC BY) license (https://creativecommons.org/licenses/by/4.0/).
Share and Cite
Wang, W.; Chen, O.; Liu, W.; Gan, L.; Li, X.; Ma, Q.; Hu, X.; Jian, X. Coxiella burnetii and Bartonella Endocarditis Diagnosed by Metagenomic Next-Generation Sequencing. J. Clin. Med. 2022, 11, 7150. https://doi.org/10.3390/jcm11237150
Wang W, Chen O, Liu W, Gan L, Li X, Ma Q, Hu X, Jian X. Coxiella burnetii and Bartonella Endocarditis Diagnosed by Metagenomic Next-Generation Sequencing. Journal of Clinical Medicine. 2022; 11(23):7150. https://doi.org/10.3390/jcm11237150
Chicago/Turabian StyleWang, Weiteng, Oudi Chen, Weijiang Liu, Lixi Gan, Xin Li, Qingyan Ma, Xuejiao Hu, and Xuhua Jian. 2022. "Coxiella burnetii and Bartonella Endocarditis Diagnosed by Metagenomic Next-Generation Sequencing" Journal of Clinical Medicine 11, no. 23: 7150. https://doi.org/10.3390/jcm11237150
APA StyleWang, W., Chen, O., Liu, W., Gan, L., Li, X., Ma, Q., Hu, X., & Jian, X. (2022). Coxiella burnetii and Bartonella Endocarditis Diagnosed by Metagenomic Next-Generation Sequencing. Journal of Clinical Medicine, 11(23), 7150. https://doi.org/10.3390/jcm11237150

