Identification of Early Clinical and Histological Factors Predictive of Kasai Portoenterostomy Failure
Abstract
1. Introduction
2. Methods
2.1. Patient Selection and Data Collection
2.2. Outcomes and Clinical Factors
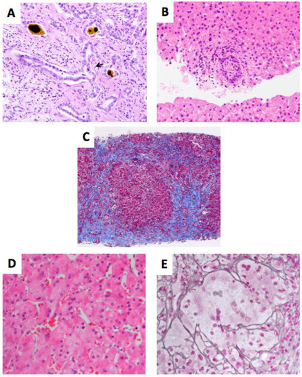
2.3. Histological Factors
2.4. Statistical Analysis
3. Results
3.1. Descriptive Statistics and Outcomes
3.2. Univariate Analysis of Clinical and Histological Factors Based on Individual Outcome
3.2.1. Two-Year Transplant-Free Survival
3.2.2. Five-Year Transplant Free Survival
3.2.3. Clearance of Jaundice Three Months after KPE
4. Discussion
5. Conclusions
Supplementary Materials
Author Contributions
Funding
Institutional Review Board Statement
Informed Consent Statement
Data Availability Statement
Conflicts of Interest
Abbreviations
| BA | Biliary atresia |
| BARC | Biliary atresia research consortium |
| DB | Direct bilirubin |
| KPE | Kasai portoenterostomy |
| LT | Liver transplantation |
| TB | Total bilirubin |
| TFS | Transplant-free survival |
References
- Karrer, F.M.; Price, M.R.; Bensard, D.D.; Sokol, R.J.; Narkewicz, M.R.; Smith, D.J.; Lilly, J.R. Long-term results with the Kasai operation for biliary atresia. Arch. Surg. 1996, 131, 493–496. [Google Scholar] [CrossRef]
- Superina, R. Liver transplantation for biliary atresia: Does the insurance type really make a difference? Liver Transplant. 2013, 19, 470–471. [Google Scholar] [CrossRef]
- Lakshminarayanan, B.; Davenport, M. Biliary atresia: A comprehensive review. J. Autoimmun. 2016, 73, 1–9. [Google Scholar] [CrossRef]
- Shneider, B.L.; Magee, J.C.; Karpen, S.J.; Rand, E.B.; Narkewicz, M.R.; Bass, L.M.; Schwarz, K.; Whitington, P.F.; Bezerra, J.A.; Kerkar, N.; et al. Total Serum Bilirubin within 3 Months of Hepatoportoenterostomy Predicts Short-Term Outcomes in Biliary Atresia. J. Pediatr. 2016, 170, 211–217.e2. [Google Scholar] [CrossRef]
- Davenport, M.; Goyet, J.D.V.D.; Stringer, M.; Mieli-Vergani, G.; Kelly, D.; McClean, P.; Spitz, L. Seamless management of biliary atresia in England and Wales (1999–2002). Lancet 2004, 363, 1354–1357. [Google Scholar] [CrossRef]
- Otte, J.-B.; Goyet, J.D.V.D.; Reding, R.; Hausleithner, V.; Sokal, E.; Chardot, C.; Debande, B. Sequential treatment of biliary atresia with kasai portoenterostomy and liver transplantation: A review. Hepatology 1994, 20, S41–S48. [Google Scholar] [CrossRef]
- Superina, R. Biliary atresia and liver transplantation: Results and thoughts for primary liver transplantation in select patients. Pediatr. Surg. Int. 2017, 33, 1297–1304. [Google Scholar] [CrossRef]
- Wang, P.; Xun, P.; He, K.; Cai, W. Comparison of liver transplantation outcomes in biliary atresia patients with and without prior portoenterostomy: A meta-analysis. Dig. Liver Dis. 2016, 48, 347–352. [Google Scholar] [CrossRef]
- Chen, G.; Zheng, S.; Sun, S.; Xiao, X.; Ma, Y.; Shen, W.; Chen, L.; Song, Z. Early surgical outcomes and pathological scoring values of older infants (≥90 d old) with biliary atresia. J. Pediatr. Surg. 2012, 47, 2184–2188. [Google Scholar] [CrossRef]
- Sun, S.; Zheng, S.; Lu, X.; Chen, G.; Ma, Y.; Chen, L.; Dong, K. Clinical and pathological features of patients with biliary atresia who survived for more than 5 years with native liver. Pediatr. Surg. Int. 2018, 34, 381–386. [Google Scholar] [CrossRef]
- Goda, T.; Kawahara, H.; Kubota, A.; Hirano, K.; Umeda, S.; Tani, G.; Ishii, T.; Tazuke, Y.; Yoneda, A.; Etani, Y.; et al. The most reliable early predictors of outcome in patients with biliary atresia after Kasai’s operation. J. Pediatr. Surg. 2013, 48, 2373–2377. [Google Scholar] [CrossRef] [PubMed]
- Ihn, K.; Ho, I.G.; Chang, E.Y.; Han, S.J. Correlation between gamma-glutamyl transpeptidase activity and outcomes after Kasai portoenterostomy for biliary atresia. J. Pediatr. Surg. 2018, 53, 461–467. [Google Scholar] [CrossRef]
- Azarow, K.S.; Phillips, M.J.; Sandler, A.D.; Hagerstrand, I.; Superina, R.A. Biliary atresia: Should all patients undergo a portoenterostomy? J. Pediatr. Surg. 1997, 32, 168–172; discussion 164–172. [Google Scholar] [CrossRef]
- Russo, P.; Magee, J.C.; Boitnott, J.; Bove, K.E.; Raghunathan, T.; Finegold, M.; Haas, J.; Jaffe, R.; Kim, G.E.; Magid, M.; et al. Design and Validation of the Biliary Atresia Research Consortium Histologic Assessment System for Cholestasis in Infancy. Clin. Gastroenterol. Hepatol. 2011, 9, 357–362.e2. [Google Scholar] [CrossRef] [PubMed]
- Hartley, J.L.; Davenport, M.; Kelly, D.A. Biliary atresia. Lancet 2009, 374, 1704–1713. [Google Scholar] [CrossRef]
- Superina, R.; Magee, J.C.; Brandt, M.L.; Healey, P.J.; Tiao, G.; Ryckman, F.; Karrer, F.M.; Iyer, K.; Fecteau, A.; West, K.; et al. The Anatomic Pattern of Biliary Atresia Identified at Time of Kasai Hepatoportoenterostomy and Early Postoperative Clearance of Jaundice Are Significant Predictors of Transplant-Free Survival. Ann. Surg. 2011, 254, 577–585. [Google Scholar] [CrossRef]
- Lien, T.-H.; Chang, M.-H.; Wu, J.-F.; Chen, H.-L.; Lee, H.-C.; Chen, A.-C.; Tiao, M.-M.; Wu, T.-C.; Yang, Y.-J.; Lin, C.-C.; et al. Effects of the infant stool color card screening program on 5-year outcome of biliary atresia in taiwan. Hepatology 2011, 53, 202–208. [Google Scholar] [CrossRef]
- Schreiber, R.A.; Barker, C.C.; Roberts, E.A.; Martin, S.R.; Alvarez, F.; Smith, L.; Butzner, J.D.; Wrobel, I.; Mack, D.; Moroz, S.; et al. Biliary Atresia: The Canadian Experience. J. Pediatr. 2007, 151, 659–665.e1. [Google Scholar] [CrossRef]
- Serinet, M.-O.; Wildhaber, B.E.; Broué, P.; Lachaux, A.; Sarles, J.; Jacquemin, E.; Gauthier, F.; Chardot, C. Impact of Age at Kasai Operation on Its Results in Late Childhood and Adolescence: A Rational Basis for Biliary Atresia Screening. Pediatrics 2009, 123, 1280–1286. [Google Scholar] [CrossRef]
- Ferry, G.D.; Selby, M.L.; Udall, J.; Finegold, M.; Nichols, B. Guide to Early Diagnosis of Biliary Obstruction in Infancy. Clin. Pediatr. 1985, 24, 305–311. [Google Scholar] [CrossRef]
- Mowat, A.P.; Psacharopoulos, H.T.; Williams, R. Extrahepatic biliary atresia versus neonatal hepatitis. Review of 137 prospectively investigated infants. Arch. Dis. Child. 1976, 51, 763–770. [Google Scholar] [CrossRef]
- Lee, J.Y.; Sullivan, K.; El Demellawy, D.; Nasr, A. The value of preoperative liver biopsy in the diagnosis of extrahepatic biliary atresia: A systematic review and meta-analysis. J. Pediatr. Surg. 2016, 51, 753–761. [Google Scholar] [CrossRef]
- Fawaz, R.; Baumann, U.; Ekong, U.; Fischler, B.; Hadzic, N.; Mack, C.L.; McLin, V.A.; Molleston, J.P.; Neimark, E.; Ng, V.L.; et al. Guideline for the Evaluation of Cholestatic Jaundice in Infants: Joint Recommendations of the North American Society for Pediatric Gastroenterology, Hepatology, and Nutrition and the European Society for Pediatric Gastroenterology, Hepatology, and Nutrition. J. Pediatr. Gastroenterol. Nutr. 2017, 64, 154–168. [Google Scholar] [CrossRef]
- Bhatnagar, V.; Agarwala, S.; Gupta, S.D.; Baruah, R.R. Correlation of pre- and post-operative liver function, duct diameter at porta hepatis, and portal fibrosis with surgical outcomes in biliary atresia. J. Indian Assoc. Pediatr. Surg. 2015, 20, 184–188. [Google Scholar] [CrossRef]
- Czubkowski, P.; Cielecka-Kuszyk, J.; Rurarz, M.; Kaminska, D.; Markiewicz-Kijewska, M.; Pawlowska, J. The limited prognostic value of liver histology in children with biliary atresia. Ann. Hepatol. 2015, 14, 902–909. [Google Scholar] [CrossRef]
- Weerasooriya, V.S.; White, F.V.; Shepherd, R. Hepatic fibrosis and survival in biliary atresia. J. Pediatr. 2004, 144, 123–125. [Google Scholar] [CrossRef]
- Muthukanagarajan, S.J. Diagnostic and Prognostic Significance of Various Histopathological Features in Extrahepatic Biliary Atresia. J. Clin. Diagn. Res. 2016, 10, EC23–EC27. [Google Scholar] [CrossRef]
- Arii, R.; Koga, H.; Arakawa, A.; Miyahara, K.; Lane, G.J.; Okazaki, T.; Urao, M.; Yamataka, A. How valuable is ductal plate malformation as a predictor of clinical course in postoperative biliary atresia patients? Pediatr. Surg. Int. 2010, 27, 275–277. [Google Scholar] [CrossRef]
- Salzedas-Netto, A.; Chinen, E.; de Oliveira, D.; Pasquetti, A.; Azevedo, R.; Patricio, F.D.S.; Cury, E.; Gonzalez, A.; Vicentine, F.; Martins, J. Grade IV Fibrosis Interferes in Biliary Drainage After Kasai Procedure. Transplant. Proc. 2014, 46, 1781–1783. [Google Scholar] [CrossRef]
- Russo, P.; Magee, J.C.; Anders, R.A.; Bove, K.E.; Chung, C.; Cummings, O.W.; Finegold, M.J.; Finn, L.S.; Kim, G.E.; Lovell, M.A.; et al. Key Histopathologic Features of Liver Biopsies That Distinguish Biliary Atresia From Other Causes of Infantile Cholestasis and Their Correlation With Outcome. Am. J. Surg. Pathol. 2016, 40, 1601–1615. [Google Scholar] [CrossRef]
- Webb, N.L.; Jiwane, A.; Ooi, C.; Nightinghale, S.; Adams, S.E.; Krishnan, U. Clinical significance of liver histology on outcomes in biliary atresia. J. Paediatr. Child Health 2017, 53, 252–256. [Google Scholar] [CrossRef] [PubMed]
- Raynaud, P.; Tate, J.; Callens, C.; Cordi, S.; Vandersmissen, P.; Carpentier, R.; Sempoux, C.; Devuyst, O.; Pierreux, C.E.; Courtoy, P.; et al. A classification of ductal plate malformations based on distinct pathogenic mechanisms of biliary dysmorphogenesis. Hepatology 2011, 53, 1959–1966. [Google Scholar] [CrossRef] [PubMed]
- Low, Y.; Vijayan, V.; Tan, C.E. The prognostic value of ductal plate malformation and other histologic parameters in biliary atresia: An immunohistochemical study. J. Pediatr. 2001, 139, 320–322. [Google Scholar] [CrossRef] [PubMed]
- Shimadera, S.; Iwai, N.; Deguchi, E.; Kimura, O.; Ono, S.; Fumino, S.; Higuchi, K. Significance of ductal plate malformation in the postoperative clinical course of biliary atresia. J. Pediatr. Surg. 2008, 43, 304–307. [Google Scholar] [CrossRef] [PubMed]
- Safwan, M.; Ramachandran, P.; Vij, M.; Shanmugam, N.; Rela, M. Impact of ductal plate malformation on survival with native liver in children with biliary atresia. Pediatr. Surg. Int. 2015, 31, 837–843. [Google Scholar] [CrossRef] [PubMed]
- Roy, P.; Chatterjee, U.; Ganguli, M.; Banerjee, S.; Chatterjee, S.; Basu, A. A histopathological study of liver and biliary remnants with clinical outcome in cases of extrahepatic biliary atresia. Indian J. Pathol. Microbiol. 2010, 53, 101–105. [Google Scholar] [CrossRef]
- Phillips, M.J.; Blendis, L.M.; Poucell, S.; Patterson, J.; Petric, M.; Roberts, E.; Levy, G.A.; Superina, R.A.; Greig, P.D.; Cameron, R.; et al. Syncytial Giant-Cell Hepatitis. N. Engl. J. Med. 1991, 324, 455–460. [Google Scholar] [CrossRef]
- Vazquez-Estevez, J.; Stewart, B.; Shikes, R.H.; Hall, R.J.; Lilly, J.R. Biliary atresia: Early determination of prognosis. J. Pediatr. Surg. 1989, 24, 48–51. [Google Scholar] [CrossRef]
- Suda, K.; Muraji, T.; Ohtani, H.; Aiyoshi, T.; Sasaki, T.; Toma, M.; Yanai, T. Histological significance of hepatitis-like findings in biliary atresia: An analysis of 34 Japanese cases. Pediatr. Int. 2019, 61, 364–368. [Google Scholar] [CrossRef]

| Histologic Findings | Source | |
|---|---|---|
| Portal tracts | Portal fibrosis | BARC |
| Portal inflammation | BARC | |
| Portal edema | BARC | |
| Bile in zone 1 | Azarow et al. [13] | |
| Bile ducts | Bile duct proliferation | BARC |
| Bile duct damage | BARC | |
| Acute cholangitis | BARC/Azarow et al. [13] | |
| Portal ductular reaction | BARC | |
| Ductal plate malformation | BARC | |
| Focal necrosis | Azarow et al. [13] | |
| Bridging necrosis | BARC/Azarow et al. [13] | |
| Hepatocytes | Hepatocellular cholestasis | BARC |
| Lobular inflammation | BARC/Azarow et al. [13] | |
| Multinucleated giant hepatocytes | BARC | |
| Syncytial giant cells | Azarow et al. [13] | |
| Individually necrotic hepatocytes | BARC | |
| Hepatocellular rosettes | BARC | |
| Variable | Results |
|---|---|
| (n = 54) | |
| Sex (n, male, %) | 26 (48.1) |
| Gestational age (weeks, median, range) | 39 (28–42) |
| Prematurity (n, yes, %) | 7 (13.0) |
| Age at onset of jaundice (days, median, range) | 1 (0–78) |
| Potential explanation for jaundice (n, yes, %) | 26 (48.1) ‡ |
| 20 (37) |
| 5 (9.3) |
| 1 (1.9) |
| 1 (1.9) |
| 0 (0) |
| Biliary atresia splenic malformation (n, yes, %) | 1 (1.9) |
| Age at biopsy (days, median, range) § | 55.5 (19.0–152.0) |
| Aspartate aminotransferase at biopsy (IU/L, median, range) | 168.5 (48–451) |
| Alanine aminotransferase at biopsy (IU/L, median, range) | 110 (20–375) |
| Direct bilirubin at biopsy (mg/dL, median, range) | 5.3 (2.5–14.7) |
| Age at KPE (days, median, range) § | 59.0 (22.0–153.0) |
| Variables | 2-Year Transplant-Free Survival | 5-Year Transplant-Free Survival | DB ≤ 2 at 3 Months after KPE | DB ≤ 1 at 3 Months after KPE | |||||||||
|---|---|---|---|---|---|---|---|---|---|---|---|---|---|
| No | Yes | p-Value | No | Yes | p-Value | No | Yes | p-Value | No | Yes | p-Value | ||
| (n = 35) | (n = 19) | (n = 37) | (n = 12) | (n = 32) | (n = 19) | (n = 37) | (n = 14) | ||||||
| Age at biopsy (days, median, IQR) | 55.0 (51.0, 67.0) | 48.0 (26.0, 64.0) | 0.14 | 56.0 (51.0, 67.0) | 39.0 (24.0, 55.5) | 0.011 * | 55.0 (45.5, 68.0) | 55.0 (29.0, 63.0) | 0.19 | 56.0 (51.0, 69.0) | 44.0 (26.0, 56.0) | 0.016 * | |
| Ductal plate malformation (n, %) | 0 | 20 (57.1) | 15 (42.9) | 0.11 | 21 (65.6) | 11 (34.4) | 0.037 * | 20 (58.8) | 14 (41.2) | 0.41 | 23 (67.6) | 11 (32.4) | 0.33 |
| 1 | 15 (78.9) | 4 (21.1) | 16 (94.1) | 1 (5.9) | 12 (70.6) | 5 (29.4) | 14 (82.4) | 3 (17.6) | |||||
| Acute cholangitis (n, %) | 0 | 14 (53.8) | 12 (46.2) | 0.10 | 14 (63.6) | 8 (36.4) | 0.081 † | 12 (50.0) | 12 (50.0) | 0.076 † | 15 (62.5) | 9 (37.5) | 0.13 |
| 1 | 21 (75.0) | 7 (25.0) | 23 (85.2) | 4 (14.8) | 20 (74.1) | 7 (25.9) | 22 (81.5) | 5 (18.5) | |||||
| Multinucleated giant cells (n, %) | 0 | 15 (53.6) | 13 (46.4) | 0.073 † | 16 (66.7) | 8 (33.3) | 0.16 | 16 (61.5) | 10 (38.5) | 0.86 | 17 (65.4) | 9 (34.6) | 0.24 |
| 1 | 20 (76.9) | 6 (23.1) | 21 (84.0) | 4 (16.0) | 16 (64.0) | 9 (36.0) | 20 (80.0) | 5 (20.0) | |||||
| Variables | 2-Year Transplant-Free Survival | 5-Year-Transplant Free Survival | DB ≤ 2 at 3 Months after KPE | DB ≤ 1 at 3 Months after KPE | |||||||||
|---|---|---|---|---|---|---|---|---|---|---|---|---|---|
| No | Yes | p-Value | No | Yes | p-Value | No | Yes | p-Value | No | Yes | p-Value | ||
| (n = 35) | (n = 19) | (n = 37) | (n = 12) | (n = 32) | (n = 19) | (n = 37) | (n = 14) | ||||||
| Age at biopsy (days, median, IQR) | 55.0 (51.0, 67.0) | 48.0 (26.0, 64.0) | 0.14 | 56.0 (51.0, 67.0) | 39.0 (24.0, 55.5) | 0.011 * | 55.0 (45.5, 68.0) | 55.0 (29.0, 63.0) | 0.19 | 56.0 (51.0, 69.0) | 44.0 (26.0, 56.0) | 0.016 * | |
| Portal fibrosis (n, %) | 0 | 1 (25.0) | 3 (75.0) | 0.028 * | 1 (33.3) | 2 (66.7) | 0.072 † | 2 (40.0) | 3 (60.0) | 0.40 | 2 (40.0) | 3 (60.0) | 0.066 † |
| 1 | 15 (55.6) | 12 (44.4) | 16 (69.6) | 7 (30.4) | 15 (60.0) | 10 (40.0) | 17 (68.0) | 8 (32.0) | |||||
| 2 | 19 (82.6) | 4 (17.4) | 20 (87.0) | 3 (13.0) | 15 (71.4) | 6 (28.6) | 18 (85.7) | 3 (14.3) | |||||
| Acute cholangitis (n, %) | 0 | 10 (45.5) | 12 (54.5) | 0.047 * | 10 (55.6) | 8 (44.4) | 0.038 * | 11 (52.4) | 10 (47.6) | 0.30 | 12 (57.1) | 9 (42.9) | 0.063 † |
| 1 | 19 (76.0) | 6 (24.0) | 20 (83.3) | 4 (16.7) | 15 (65.2) | 8 (34.8) | 18 (78.3) | 5 (21.7) | |||||
| 2 | 6 (85.7) | 1 (14.3) | 7 (100) | 0 (0.0) | 6 (85.7) | 1 (14.3) | 7 (100) | 0 (0.0) | |||||
| Syncytial giant cells (n, %) | 0 | 16 (55.2) | 13 (44.8) | 0.28 | 17 (68.0) | 8 (32.0) | 0.21 | 15 (57.7) | 11 (42.3) | 0.29 | 16 (61.5) | 10 (38.5) | 0.085 † |
| 1 | 12 (75.0) | 4 (25.0) | 12 (75.0) | 4 (25.0) | 10 (58.8) | 7 (41.2) | 13 (76.5) | 4 (23.5) | |||||
| 2 | 7 (77.8) | 2 (22.2) | 8 (100) | 0 (0.0) | 7 (87.5) | 1 (12.5) | 8 (100) | 0 (0.0) | |||||
Publisher’s Note: MDPI stays neutral with regard to jurisdictional claims in published maps and institutional affiliations. |
© 2022 by the authors. Licensee MDPI, Basel, Switzerland. This article is an open access article distributed under the terms and conditions of the Creative Commons Attribution (CC BY) license (https://creativecommons.org/licenses/by/4.0/).
Share and Cite
Lemoine, C.P.; Melin-Aldana, H.; Brandt, K.A.; Superina, R. Identification of Early Clinical and Histological Factors Predictive of Kasai Portoenterostomy Failure. J. Clin. Med. 2022, 11, 6523. https://doi.org/10.3390/jcm11216523
Lemoine CP, Melin-Aldana H, Brandt KA, Superina R. Identification of Early Clinical and Histological Factors Predictive of Kasai Portoenterostomy Failure. Journal of Clinical Medicine. 2022; 11(21):6523. https://doi.org/10.3390/jcm11216523
Chicago/Turabian StyleLemoine, Caroline P., Hector Melin-Aldana, Katherine A. Brandt, and Riccardo Superina. 2022. "Identification of Early Clinical and Histological Factors Predictive of Kasai Portoenterostomy Failure" Journal of Clinical Medicine 11, no. 21: 6523. https://doi.org/10.3390/jcm11216523
APA StyleLemoine, C. P., Melin-Aldana, H., Brandt, K. A., & Superina, R. (2022). Identification of Early Clinical and Histological Factors Predictive of Kasai Portoenterostomy Failure. Journal of Clinical Medicine, 11(21), 6523. https://doi.org/10.3390/jcm11216523

