Robotic-Assisted Thoracoscopic (RATS) Enucleation of Esophageal Mesenchymal Tumors and Foregut Cysts
Abstract
1. Introduction
2. Patients and Methods
3. Results
4. Discussion
5. Conclusions
Author Contributions
Funding
Institutional Review Board Statement
Informed Consent Statement
Data Availability Statement
Conflicts of Interest
References
- Wright, C.D.; Gaissert, H.A.; Mathisen, D. Oxford Textbook of Surgery; Oxford Press: Oxford, UK, 2000; Volume 1. [Google Scholar]
- Mutrie, C.J.; Donahue, D.M.; Wain, J.C.; Wright, C.D.; Gaissert, H.A.; Grillo, H.C.; Mathisen, D.J.; Allan, J.S. Esophageal leiomyoma: A 40-year experience. Ann. Thorac. Surg. 2005, 79, 1122–1125. [Google Scholar] [CrossRef]
- Elli, E.; Espat, N.; Berger, R.; Jacobsen, G.; Knoblock, L.; Horgan, S. Robotic-assisted thoracoscopic resection of esophageal leiomyoma. Surg. Endosc. Other Int. Tech. 2004, 18, 713–716. [Google Scholar] [CrossRef] [PubMed]
- Jiang, G.; Zhao, H.; Yang, F.; Li, J.; Li, Y.; Liu, Y.; Liu, J.; Wang, J. Thoracoscopic enucleation of esophageal leiomyoma: A retrospective study on 40 cases. Dis. Esophagus 2009, 22, 279–283. [Google Scholar] [CrossRef] [PubMed]
- Cioffi, U.; Bonavina, L.; De Simone, M.; Santambrogio, L.; Pavoni, G.; Testori, A.; Peracchia, A. Presentation and surgical management of bronchogenic and esophageal duplication cysts in adults. Chest 1998, 113, 1492–1496. [Google Scholar] [CrossRef] [PubMed]
- Obasi, P.C.; Hebra, A.; Varela, J.C. Excision of esophageal duplication cysts with robotic-assisted thoracoscopic surgery. J. Soc. Laparoendosc. Surg. 2011, 15, 244. [Google Scholar] [CrossRef]
- Compean, S.D.; Gaur, P.; Kim, M.P. Robot assisted thoracoscopic resection of giant esophageal leiomyoma. Int. J. Surg. Case Rep. 2014, 5, 1132–1134. [Google Scholar] [CrossRef] [PubMed]
- Kemuriyama, K.; Motoyama, S.; Sato, Y.; Wakita, A.; Nagaki, Y.; Fujita, H.; Sasamori, R.; Imai, K.; Aokawa, M.; Minamiya, Y. Robot-assisted thoracoscopic enucleation for a large esophageal leiomyoma: A case report. Surg. Case Rep. 2021, 7, 1–7. [Google Scholar] [CrossRef]
- How, C.H.; Lee, J.M. The robotic approach for enucleation of a giant esophageal lipoma. J. Robot. Surg. 2017, 11, 267–269. [Google Scholar] [CrossRef]
- Bodner, J.C.; Zitt, M.; Ott, H.; Wetscher, G.J.; Wykypiel, H.; Lucciarini, P.; Schmid, T. Robotic-assisted thoracoscopic surgery (RATS) for benign and malignant esophageal tumors. Ann. Thorac. Surg. 2005, 80, 1202–1206. [Google Scholar] [CrossRef]
- Augustin, F.; Schmid, T.; Bodner, J. The robotic approach for mediastinal lesions. Int. J. Med. Robot. Comput. Assist. Surg. 2006, 2, 262–270. [Google Scholar] [CrossRef]
- Boone, J.; Draaisma, W.A.; Schipper, M.E.; Broeders, I.A.; Rinkes, I.H.B.; Van Hillegersberg, R. Robot-assisted thoracoscopic esophagectomy for a giant upper esophageal leiomyoma. Dis. Esophagus 2008, 21, 90–93. [Google Scholar] [CrossRef] [PubMed]
- DeUgarte, D.A.; Teitelbaum, D.; Hirschl, R.B.; Geiger, J.D. Robotic extirpation of complex massive esophageal leiomyoma. J. Laparoendosc. Adv. Surg. Tech. 2008, 18, 286–289. [Google Scholar] [CrossRef] [PubMed]
- Kernstine, K.H.; Emily, S.; Falabella, A.; Ramirez, N.A.; Anderson, C.A.; Beblawi, I. Robotic fourth-arm enucleation of an esophageal leiomyoma and review of literature. Innovations 2009, 4, 354–357. [Google Scholar] [CrossRef] [PubMed]
- Chiu, P.K.; Chiu, P.W.; Teoh, A.Y.; Wong, S.K.; Ng, E.K. Robotic-assisted thoracoscopic enucleation of esophageal leiomyoma. J. Robot. Surg. 2011, 5, 227–229. [Google Scholar] [CrossRef]
- Khalaileh, A.; Savetsky, I.; Adileh, M.; Elazary, R.; Abu-Gazala, M.; Abu Gazala, S.; Schlager, A.; Rivkind, A.; Mintz, Y. Robotic-assisted enucleation of a large lower esophageal leiomyoma and review of literature. Int. J. Med. Robot. Comput. Assist. Surg. 2013, 9, 253–257. [Google Scholar] [CrossRef]
- Zhang, Y.; Han, Y.; Xiang, J.; Li, H. Robot-assisted enucleation of large dumbbell-shaped esophageal schwannoma: A case report. BMC Surg. 2018, 18, 36. [Google Scholar] [CrossRef]
- Tomulescu, V.; Stanescu, C.; Blajut, C.; Barbulescu, L.; Droc, G.; Herlea, V.; Popescu, I. Robotic approach in benign and malignant esophageal tumors; a preliminary seven case series. Chirurgia 2018, 113, 202–209. [Google Scholar] [CrossRef]
- Ramírez, M.R.B.; Pereira, J.R.; Miranda, D.F.S. Case report of robot-assisted esophageal enucleation of leiomyoma and literature review. Rev. Colomb. Gastroenterol. 2018, 33, 448–453. [Google Scholar] [CrossRef]
- Inderhees, S.; Tank, J.; Stein, H.; Dubecz, A. Das Leiomyom des Ösophagus. Der Chir. 2019, 90, 125–130. [Google Scholar] [CrossRef]
- Elliott, I.A.; Forgó, E.; Lui, N.S. Smooth muscle operator: Robotic-assisted enucleation of an esophageal leiomyoma. Dig. Dis. Sci. 2021, 66, 2538–2541. [Google Scholar] [CrossRef]
- Froiio, C.; Berlth, F.; Capovilla, G.; Tagkalos, E.; Hadzijusufovic, E.; Mann, C.; Lang, H.; Grimminger, P.P. Robotic-assisted surgery for esophageal submucosal tumors: A single-center case series. Updates Surg. 2022, 74, 1043–1054. [Google Scholar] [CrossRef]
- Yamamoto, H.; Ebihara, Y.; Tanaka, K.; Matsui, A.; Nakanishi, Y.; Asano, T.; Noji, T.; Kurashima, Y.; Murakami, S.; Nakamura, T.; et al. Robot-assisted thoracoscopic esophagectomy for gastrointestinal stromal tumor of the esophagus: A case report. Int. J. Surg. Case Rep. 2021, 86, 106335. [Google Scholar] [CrossRef] [PubMed]
- Tribuzi, A.; Bencini, L.; Paolini, C.; di Marino, M.; Coratti, A. Robotic enucleation for oesophageal benign and borderline tumours: Less is more? Int. J. Med. Robot. Comput. Assist. Surg. 2021, 17, 1–7. [Google Scholar] [CrossRef] [PubMed]
- Miettinen, M.; Sarlomo-Rikala, M.; Sobin, L.H.; Lasota, J. Esophageal stromal tumors: A clinicopathologic, immunohistochemical, and molecular genetic study of 17 cases and comparison with esophageal leiomyomas and leiomyosarcomas. Am. J. Surg. Pathol. 2000, 24, 211–222. [Google Scholar] [CrossRef] [PubMed]
- Choong, C.K.; Meyers, B.F. Benign esophageal tumors: Introduction, incidence, classification, and clinical features. Semin. Thorac. Cardiovasc. Sur. 2003, 15, 3–8. [Google Scholar] [CrossRef]
- Hihara, J.; Mukaida, H.; Hirabayashi, N. Gastrointestinal stromal tumor of the esophagus: Current issues of diagnosis, surgery and drug therapy. Transl. Gastroenterol. Hepatol. 2018, 3, 6. [Google Scholar] [CrossRef] [PubMed]
- Lee, H.J.; Park, S.I.; Kim, D.K.; Kim, Y.H. Surgical resection of esophageal gastrointestinal stromal tumors. Ann. Thorac. Surg. 2009, 87, 1569–1571. [Google Scholar] [CrossRef]
- Blum, M.G.; Bilimoria, K.Y.; Wayne, J.D.; de Hoyos, A.L.; Talamonti, M.S.; Adley, B. Surgical considerations for the management and resection of esophageal gastrointestinal stromal tumors. Ann. Thorac. Surg. 2007, 84, 1717–1723. [Google Scholar] [CrossRef]
- Ha, C.; Regan, J.; Cetindag, I.B.; Ali, A.; Mellinger, J.D. Benign esophageal tumors. Surg. Clin. N. Am. 2015, 95, 491–514. [Google Scholar] [CrossRef]
- Bonavina, L.; Segalin, A.; Rosati, R.; Pavanello, M.; Peracchia, A. Surgical therapy of esophageal leiomyoma. J. Am. Coll. Surg. 1995, 181, 257–262. [Google Scholar]
- Nemeth, K.; Williams, C.; Rashid, M.; Robinson, M.; Rasheed, A. Oesophageal GIST-A rare breed case report and review of the literature. Int. J. Surg. Case Rep. 2015, 10, 256–259. [Google Scholar] [CrossRef]
- Everitt, N.; Glinatsis, M.; McMahon, M. Thoracoscopic enucleation of leiomyoma of the oesophagus. Br. J. Surg. 1992, 79, 643. [Google Scholar] [CrossRef]


| Author | N | Location | Size (cm) | Pathology | Operation Time (Min) | Complications | Hospital Stay (d) |
|---|---|---|---|---|---|---|---|
| Elli et al. [3] | 2 | Ut ◎, Mt ☆ | 5, 3 | Leiomyoma (2) | 120 | None | NA |
| Bodner et al. [10] | 2 | Lt ★ | 6, 5 | Leiomyoma, foregut cyst | 147, 95 | None | 7 |
| Augustin et al. [11] | 2 | NA △ | 2, 5.5 | Leiomyoma, foregut cyst | 147, 151 | None | 4 |
| Boone et al. [12] | 1 | Ut ◎ | 9 | Leiomyoma | 270 | None | 11 |
| DeUgarte et al. [13] | 1 | Mt ☆ | 7 | Leiomyoma | NA | None | 5 |
| Kernstine et al. [14] | 1 | Lt ★ | 3 | Leiomyoma | 104 | None | 1 |
| Ka-fung chiu et al. [15] | 1 | Mt ☆ | 2 | Leiomyoma | NA | None | 6 |
| Obasi et al. [6] | 2 | Mt ☆ | 2 | Foregut cyst | NA | None | 2, 3 |
| Khalaileh et al. [16] | 1 | Lt ★ | 5 | Leiomyoma | 288 | None | 3 |
| Compean et al. [7] | 1 | Ut ◎ | 10 | Leiomyoma | NA | None | 3 |
| Zhang et al. [17] | 1 | Lt ★ | 7 | Schwannoma | 108 | None | 5 |
| Tomulescu et al. [18] | 4 | Lt ★ | 3–5 | Leiomyoma (3), foregut cyst (1) | 195 # (150–240) | Fistula (1) | 6 # (5–21) |
| Ramírez et al. [19] | 1 | Ut ◎ | 4.1 | Leiomyoma | NA | None | 1 |
| Inderhees et al. [20] | 1 | Ut ◎ | 5.5 | Leiomyoma | 143 | None | 5 |
| Elliott et al. [21] | 1 | Mt☆ | 2.4 | Leiomyoma | NA | None | 2 |
| Kemuriyama et al. [8] | 1 | Ut ◎-Mt ☆ | 10 | Leiomyoma | 329 | None | 4 |
| Froiio et al. [22] | 6 | Ut ◎-Lt ★ | 2.8–7.7 | GIST(3) ◆ Leionyoma(3), | 154 (129–232) | Pneumonia(1), delayed gastric emptying(1) | 7 (6–500) |
| Yamamoto et al. [23] | 1 | Mt ☆ | 3.0 | GIST ◆ | 319 | None | 18 (RAMIE ▲) |
| Tribuzi et al. [24] | 5 | Mt ☆-Lt ★ | 3.7 (30–63) | GIST(2) ◆, Leionyoma(2), GIST(1) ◆ | 150 (100–300) | None | 5 (4–9) |
| Our study | 19 | Ut (4) ◎, Mt (4) ☆, Lt (11) ★ | 5.5 * (1.5–22) | Leiomyoma (10), GISTs ◇ (4) ◆, schwannoma (2), lipoma (1) [9], granular cell tumor (1), foregut cyst (1) | 99 # (71–247) | Sepsis (1), chylothorax (1), GI □ bleeding/hiatal hernia/stroke (1) | 11 # (5–53) |
| Case | Age (Years)/Sex | Location | Size (cm) | Symptoms | Pathology | Operation Time (Min) | Hospital Stay (d) |
|---|---|---|---|---|---|---|---|
| 1 | 64/M | Mt ☆ | 1.5 | None | Leiomyoma | 82 | 8 |
| 2 | 53/F | Ut ◎ | 3 | None | Leiomyoma | 103 | 10 |
| 3 | 34/M | Lt ★ | 5 | None | Leiomyoma | NA | 11 |
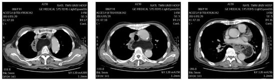
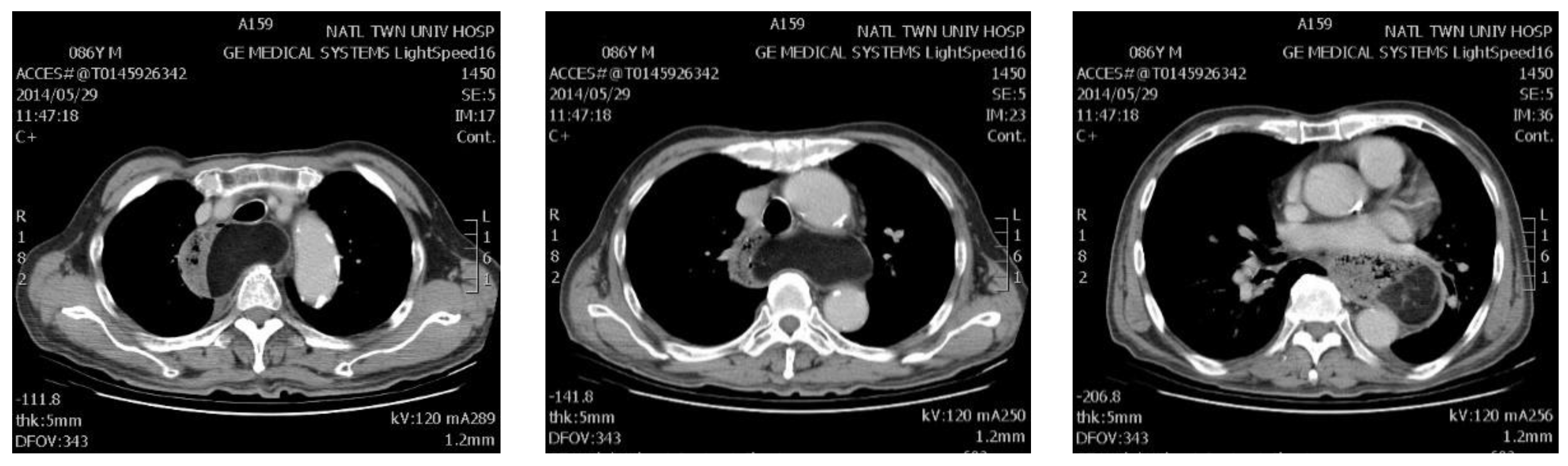
| 4 | 86/M | Lt ★ | 22 | Dysphagia | Lipoma | 151 | 12 |
| 5 | 60/F | Ut ◎ | 4 | None | Leiomyoma | 136 | 8 |
| 6 | 36/M | Ut ◎ | 6 | Chest pain | Leiomyoma | 85 | 13 |
| 7 | 34/M | Lt ★ | 12 | Dysphagia | GIST ◆ | 247 * | 19 |
| 8 | 47/F | Mt ☆ | 3 | None | Leiomyoma | 76 | 16 |
| 9 | 63/F | Lt ★ | 4 | None | Leiomyoma | 91 | 10 |
| 10 | 40/F | Lt ★ | 5 | None | Leiomyoma | 94 | 28 |
| 11 | 77/F | Lt ★ | 10 | None | Schwannoma | 197 | 13 |
| 12 | 38/M | Lt ★ | 4 | Epigastric pain | GIST ◆ | NA | 34 |
| 13 | 42/M | Lt ★ | 2.5 | Hemoptysis | Granular cell tumor | 71 | 11 |
| 14 | 60/M | Mt ☆ | 2 | None | Leiomyoma | NA | 8 |
| 15 | 63/M | Lt ★ | 4 | None | GIST ◆ | 119 | 10 |
| 16 | 67/M | Lt ★ | 10 | Dysphagia | GIST ◆ | 241 * | 53 |
| 17 | 56/F | Mt ☆ | 2.5 | Dysphagia | Schwannoma | 81 | 10 |
| 18 | 55/F | Ut ◎ | 2 | Hoarseness | Leiomyoma | NA | 5 |
| 19 | 60/M | Lt ★ | 2.5 | None | Foregut cyst | NA | 8 |
Publisher’s Note: MDPI stays neutral with regard to jurisdictional claims in published maps and institutional affiliations. |
© 2022 by the authors. Licensee MDPI, Basel, Switzerland. This article is an open access article distributed under the terms and conditions of the Creative Commons Attribution (CC BY) license (https://creativecommons.org/licenses/by/4.0/).
Share and Cite
Chen, Y.-H.; Chen, K.-C.; Huang, P.-M.; Kuo, S.-W.; Lin, M.-W.; Lee, J.-M. Robotic-Assisted Thoracoscopic (RATS) Enucleation of Esophageal Mesenchymal Tumors and Foregut Cysts. J. Clin. Med. 2022, 11, 6471. https://doi.org/10.3390/jcm11216471
Chen Y-H, Chen K-C, Huang P-M, Kuo S-W, Lin M-W, Lee J-M. Robotic-Assisted Thoracoscopic (RATS) Enucleation of Esophageal Mesenchymal Tumors and Foregut Cysts. Journal of Clinical Medicine. 2022; 11(21):6471. https://doi.org/10.3390/jcm11216471
Chicago/Turabian StyleChen, Yung-Hsin, Ke-Cheng Chen, Pei-Ming Huang, Shuenn-Wen Kuo, Mong-Wei Lin, and Jang-Ming Lee. 2022. "Robotic-Assisted Thoracoscopic (RATS) Enucleation of Esophageal Mesenchymal Tumors and Foregut Cysts" Journal of Clinical Medicine 11, no. 21: 6471. https://doi.org/10.3390/jcm11216471
APA StyleChen, Y.-H., Chen, K.-C., Huang, P.-M., Kuo, S.-W., Lin, M.-W., & Lee, J.-M. (2022). Robotic-Assisted Thoracoscopic (RATS) Enucleation of Esophageal Mesenchymal Tumors and Foregut Cysts. Journal of Clinical Medicine, 11(21), 6471. https://doi.org/10.3390/jcm11216471

