A New Animal Model of Laryngeal Transplantation
Abstract
1. Introduction
2. Materials and Methods
2.1. Removal of the Graft
2.2. Preparation of the Graft
2.3. Preparation of the Recipient
2.4. Transplantation
2.5. Post-Operative Progress
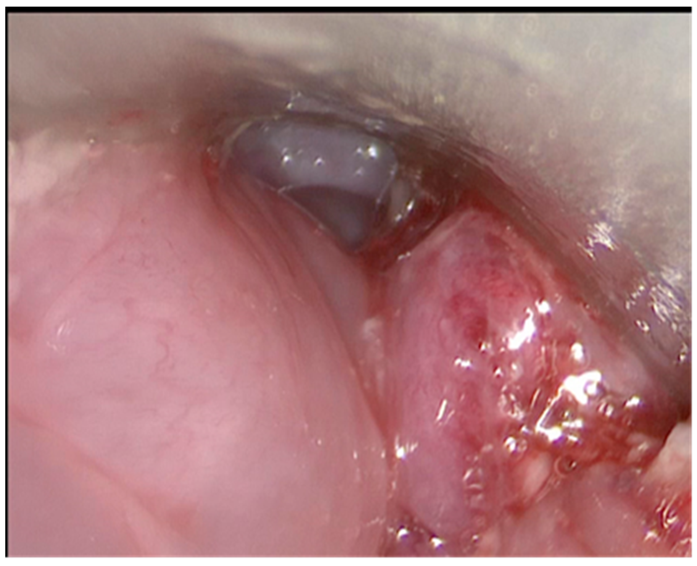
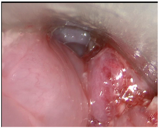
3. Results
4. Discussion
5. Conclusions
Author Contributions
Funding
Institutional Review Board Statement
Conflicts of Interest
References
- Petruzzo, P.; Testelin, S.; Kanitakis, J.; Badet, L.; Lengelé, B.; Girbon, J.P.; Parmentier, H.; Malcus, C.; Morelon, E.; Devauchelle, B.; et al. First human face transplantation: 5 years outcomes. Transplantation 2012, 93, 236–240. [Google Scholar] [CrossRef] [PubMed]
- Dubernard, J.M.; Owen, E.; Herzberg, G.; Lanzetta, M.; Martin, X.; Kapila, H.; Dawahra, M.; Hakim, N.S. Human hand allograft: Report on first 6 months. Lancet 1999, 353, 1315–1320. [Google Scholar] [CrossRef]
- Bewley, A.F.; Farwell, D.G. Laryngeal Transplantation. In Advances in Oto-Rhino-Laryngology; Karger: Basel, Switzerland, 2020; pp. 125–132. [Google Scholar]
- Krishnan, G.; Du, C.; Fishman, J.M.; Foreman, A.; Lott, D.G.; Farwell, G.; Belafsky, P.; Krishnan, S.; Birchall, M.A. The current status of human laryngeal transplantation in 2017: A state of the field review. Laryngoscope 2017, 127, 1861–1868. [Google Scholar] [CrossRef] [PubMed]
- Kluyskens, P.; Boedts, D.; Dhont, G.; Weghe, J.P.V.; Vandenhove, P.; Van Clooster, R.; Bilo, F.; Ringoir, S.; Daneels, R. Preliminary note on the transplantation of larynx. Acta Oto-Rhino-Laryngol. Belg. 1969, 23, 5–8. [Google Scholar]
- Strome, M.; Stein, J.; Esclamado, R.; Hicks, D.; Lorenz, R.R.; Braun, W.; Yetman, R.; Eliachar, I.; Mayes, J. Laryngeal Transplantation and 40-Month Follow-up. N. Engl. J. Med. 2001, 344, 1676–1679. [Google Scholar] [CrossRef]
- Lorenz, R.R.; Strome, M. Total laryngeal transplant explanted: 14 years of lessons learned. Otolaryngol. Head Neck Surg. 2014, 150, 509–511. [Google Scholar] [CrossRef]
- Farwell, D.G.; Birchall, M.A.; Macchiarini, P.; Luu, Q.C.; De Mattos, A.M.; Gallay, B.J.; Perez, R.V.; Grow, M.P.; Ramsamooj, R.; Salgado, M.D.; et al. Laryngotracheal transplantation: Technical modifications and functional outcomes. Laryngoscope 2013, 123, 2502–2508. [Google Scholar] [CrossRef]
- Duque, E.; Duque, J.; Nieves, M.; Mejía, G.; López, B.; Tintinago, L. Management of larynx and trachea donors. Transplant. Proc. 2007, 39, 2076–2078. [Google Scholar] [CrossRef]
- Marina, M.B.; Marie, J.-P.; Birchall, M.A. Laryngeal reinnervation for bilateral vocal fold paralysis. Curr. Opin. Otolaryngol. Head Neck Surg. 2011, 19, 434–438. [Google Scholar] [CrossRef]
- Gorti, G.K.; Birchall, M.A.; Haverson, K.; Macchiarini, P.; Bailey, M. A preclinical model for laryngeal transplantation: Anatomy and mucosal immunology of the porcine larynx. Transplantation 1999, 68, 1638–1642. [Google Scholar] [CrossRef]
- Birchall, M.A.; Ayling, S.M.; Harley, R.; Murison, P.J.; Burt, R.; Mitchard, L.; Jones, A.; Macchiarini, P.; Stokes, C.R.; Bailey, M. Laryngeal transplantation in minipigs: Early immunological outcomes. Clin. Exp. Immunol. 2011, 167, 556–564. [Google Scholar] [CrossRef] [PubMed]
- Birchall, M.A.; Kingham, P.J.; Murison, P.J.; Ayling, S.M.; Burt, R.; Mitchard, L.; Jones, A.; Lear, P.; Stokes, C.R.; Terenghi, G.; et al. Laryngeal transplantation in minipigs: Vascular, myologic and functional outcomes. Eur. Arch. Oto-Rhino-Laryngol. 2011, 268, 405–414. [Google Scholar] [CrossRef] [PubMed]
- Strome, S.; Sloman-Moll, E.; Samonte, B.R.; Wu, J.; Strome, M. Rat model for a vascularized laryngeal allograft. Ann. Otol. Rhinol. Laryngol. 1992, 101, 950–953. [Google Scholar] [CrossRef] [PubMed]
- Knight, M.; Birchall, M. 29 A neuroanatomical study of the porcine larynx: Establishing a model for reinnervation studies. J. Anat. 2002, 201, 425. [Google Scholar] [PubMed]
- Stavroulaki, P.; Birchall, M. Comparative study of the laryngeal innervation in humans and animals employed in laryngeal transplantation research. J. Laryngol. Otol. 2001, 115, 257–266. [Google Scholar] [CrossRef] [PubMed]
- Mounier-Kuhn, P.; Haguenauer, J.P. Autotransplantation of the larynx in the dog. Arch. Ital. Otol. Rinol. Laringol. Patol. Cervicofacc. 1970, 81, 341–352. [Google Scholar] [PubMed]
- Anthony, J.P.; Allen, D.B.; Trabulsy, P.P.; Mahdavian, M.; Mathes, S.J. Canine laryngeal transplantation: Preliminary studies and a new heterotopic allotransplantation model. Eur. Arch. Oto-Rhino-Laryngol. 1995, 252, 197–205. [Google Scholar] [CrossRef]
- Macchiarini, P.; Lenot, B.; de Montpreville, V.; Dulmet, E.; Mazmanian, G.-M.; Fattal, M.; Guiard, F.; Chapelier, A.; Dartevelle, P. Heterotopic pig model for direct revascularization and venous drainage of tracheal allografts. J. Thorac. Cardiovasc. Surg. 1994, 108, 1066–1075. [Google Scholar] [CrossRef]
- Alessiani, M.; Spada, M.; Dionigi, P.; Arbustini, E.; Regazzi, M.; Fossati, G.S.; Zonta, A. Combined immunosuppressive therapy with tacrolimus and mycophenolate mofetil for small bowel transplantation in pigs. Transplantation 1996, 62, 563–567. [Google Scholar] [CrossRef]
- Marie, J.P.; Tardif, C.; Lerosey, Y.; Gibon, J.; Hellot, M.; Tadié, M.; Andrieu-Guitrancourt, J.; Dehesdin, D.; Pasquis, P. Selective resection of the phrenic nerve roots in rabbits: Part II: Respiratory effects. Respir. Physiol. 1997, 109, 139–148. [Google Scholar] [CrossRef]
- Marie, J.-P.; Lacoume, Y.; Laquerrière, A.; Tardif, C.; Fallu, J.; Bonmarchand, G.; Vérin, E. Diaphragmatic effects of selective resection of the upper phrenic nerve root in dogs. Respir. Physiol. Neurobiol. 2006, 154, 419–430. [Google Scholar] [CrossRef] [PubMed]
- Marie, J.-P. Reinnervation, new frontiers. Diagn. Treat. Voice Disord. 2014, 4, 855–870. [Google Scholar]





| Transplantation 1 | Transplantation 2 | Transplantation 3 | Mean Time | |
|---|---|---|---|---|
| Operative time | 570 min | 620 min | 700 min | 630 min |
| Cold ischemia | 140 min | 115 min | 105 min | 120 min |
| Warm ischemia | 60 | 65 | 70 | 65 min |
| Anesthesia tolerance | Excellent | Excellent | Excellent | |
| Post operative revascularisation assesment | none | none | Endoscopic at day 0 and day 4 |
Publisher’s Note: MDPI stays neutral with regard to jurisdictional claims in published maps and institutional affiliations. |
© 2022 by the authors. Licensee MDPI, Basel, Switzerland. This article is an open access article distributed under the terms and conditions of the Creative Commons Attribution (CC BY) license (https://creativecommons.org/licenses/by/4.0/).
Share and Cite
Philouze, P.; Malard, O.; Albert, S.; Badet, L.; Baujat, B.; Faure, F.; Fuchsmann, C.; Jegoux, F.; Lacau-St-Guily, J.; Marie, J.-P.; et al. A New Animal Model of Laryngeal Transplantation. J. Clin. Med. 2022, 11, 6427. https://doi.org/10.3390/jcm11216427
Philouze P, Malard O, Albert S, Badet L, Baujat B, Faure F, Fuchsmann C, Jegoux F, Lacau-St-Guily J, Marie J-P, et al. A New Animal Model of Laryngeal Transplantation. Journal of Clinical Medicine. 2022; 11(21):6427. https://doi.org/10.3390/jcm11216427
Chicago/Turabian StylePhilouze, Pierre, Olivier Malard, Sébastien Albert, Lionel Badet, Bertrand Baujat, Frédéric Faure, Carine Fuchsmann, Franck Jegoux, Jean Lacau-St-Guily, Jean-Paul Marie, and et al. 2022. "A New Animal Model of Laryngeal Transplantation" Journal of Clinical Medicine 11, no. 21: 6427. https://doi.org/10.3390/jcm11216427
APA StylePhilouze, P., Malard, O., Albert, S., Badet, L., Baujat, B., Faure, F., Fuchsmann, C., Jegoux, F., Lacau-St-Guily, J., Marie, J.-P., Ramade, A., Vergez, S., Ceruse, P., & Gauthier, O. J. (2022). A New Animal Model of Laryngeal Transplantation. Journal of Clinical Medicine, 11(21), 6427. https://doi.org/10.3390/jcm11216427

