Nonalcoholic Steatohepatitis: A 9-Year Follow Up Cohort Study
Abstract
1. Introduction
2. Methods
2.1. Baseline Evaluation
2.1.1. Follow Up
2.1.2. Study Endpoint
2.2. Statistical Analysis
3. Results
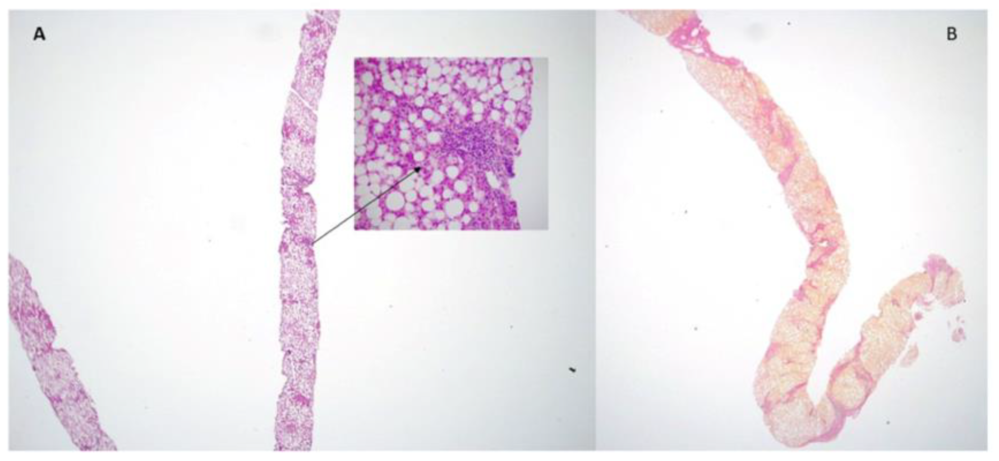
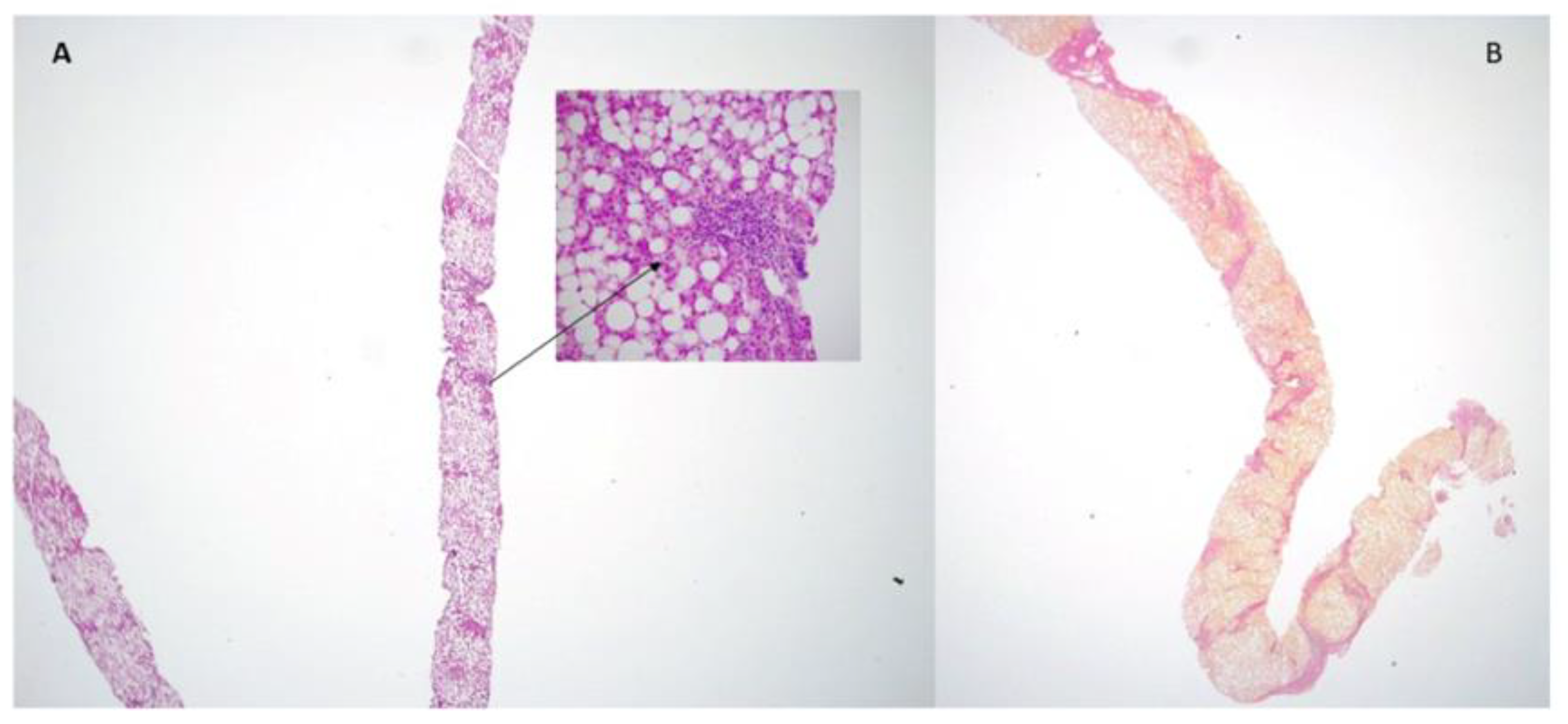
3.1. Progression of Disease and Relative Predictors
3.2. Progression of Fibrosis
4. Discussion
Author Contributions
Funding
Institutional Review Board Statement
Informed Consent Statement
Data Availability Statement
Conflicts of Interest
References
- Cholakerol, G.; Wong, R.J.; Hu, M.; Perumpail, R.B.; Yoo, E.R.; Puri, P.; Younossi, Z.M.; Harrison, S.A.; Ahmed, A. Liver transplantation for nonalcholic liver steatohepatitis in the US: Temporal trends and outcome. Dig. Dis. Sci. 2017, 62, 2915–2922. [Google Scholar] [CrossRef] [PubMed]
- Bedossa, P. Diagnosis of non-alcoholic fatty liver disease/non-alcoholic steatohepatitis: Why liver biopsy is essential. Liver Int. 2018, 38 (Suppl. 1), 64–66. [Google Scholar] [CrossRef] [PubMed]
- Younossi, Z.M.; Golabi, P.; de Avila, L.; Paik, J.M.; Srishord, M.; Fukui, N.; Qiu, Y.; Burns, L.; Afendy, A.; Nader, F. The global epidemiology of NAFLD and NASH in patients with type 2 diabetes: A systematic review and meta-analysis. J. Hepatol. 2019, 71, 793–801. [Google Scholar] [CrossRef] [PubMed]
- Brunt, E.M.; Kleiner, D.; Wilson, K.A.; Belt, P.; Neuschwander-Tetri, B.A. The NAS and The Histopathologic Diagnosis in NAFLD: Distinct Clinicopathologic Meanings. Hepatology 2011, 53, 810–820. [Google Scholar] [CrossRef]
- Standish, R.A.; Cholangitas, E.; Dhillon, A.; Burroughs, A.K.; Dhillon, A.P. An apprisal of the histopatological assessment of liver fibrosis. Gut 2006, 55, 569–578. [Google Scholar] [CrossRef]
- Soloway, R.D.; Baggenstoss, A.H.; Schoenfield, L.J.; Summerskill, W.H.J. Observer error and sampling variability tested in evaluation of hepatitis and cirrhosis by liver biopsy. Am. J. Dig. Dis. 1971, 16, 1082. [Google Scholar] [CrossRef]
- Kleiner, D.; Brunt, E.; Van Natta, M.; Behling, C.; Contos, M.; Cummings, O.; Ferrell, L.D.; Liu, Y.-C.; Torbenson, M.S.; Unalp-Arida, A.; et al. Design and validation of a histological scoring system for nonalcoholic fatty liver disease. Hepatology 2005, 41, 1313–1321. [Google Scholar] [CrossRef]
- Bedossa, P.; Poitou, C.; Veyrie, N.; Bouillot, J.L.; Basdevant, A.; Paradis, V.; Tordjman, J.; Clement, K. Histopathological algorithm and scoring system for evaluation of liver lesions in morbidly obese patients. Hepatology 2012, 56, 1571–1579. [Google Scholar] [CrossRef]
- Marchesini, G.; Day, C.; Dufur, E.J.F. EASL–EASD–EASO Clinical Practice Guidelines for the management of non-alcoholic fatty liver disease. J. Hepatol. 2016, 64, 1388–1402. [Google Scholar] [CrossRef]
- European Association for the Study of the Liver. EASL Clinical Practice Guidelines on non-invasive tests for evaluation of liver disease severity and prognosis—2021 update. J. Hepatol. 2021, 75, 659–689. [Google Scholar] [CrossRef]
- Pais, R.; Charlotte, F.; Fedchuck, L.; Bedossa, P.; Lebray, P.; Poynard, T.; Ratziu, V.; LIDO Study Group. A systematic review of follow-up biopsies reveals disease progression in patients with non-alcholic fatty liver. J. Hepatol. 2013, 59, 550–556. [Google Scholar] [CrossRef]
- Singh, S.; Allen, A.M.; Wang, Z.; Prokop, L.J.; Murad, M.H.; Loomba, R. Fibrosis Progression in Nonalcoholic Fatty Liver versus Nonalcoholic Steatohepatitis: A Systematic Review and Meta-Analysis of Paired-Biopsy Studies. Clin. Gastroenterol. Hepatol. 2015, 13, 643–654. [Google Scholar] [CrossRef]
- Ekstedt, M.; Hagström, H.; Nasr, P.; Fredrikson, M.; Stål, P.; Kechagias, S.; Hultcrantz, R. Fibrosis stage is the strongest predictor for disease-specific mortality in NAFLD after up to 33 years of follow-up. Hepatology 2015, 61, 1547–1554. [Google Scholar] [CrossRef]
- Simon, T.G.; Roelstraete, B.; Khalili, H.; Hagstrom, H.; Ludvigsson, J.F. Mortality in biopsy-confirmed nonalcoholic fatty liver disease: Results from a nationwide cohort. Gut 2021, 70, 1375–1382. [Google Scholar] [CrossRef]
- Rinella, M.E.; Tacke, F.; Sanyal, A.J.; Anstee, Q.M. Report on the AASLD/EASL joint workshop on clinical trial endpoints in NAFLD. J. Hepatol. 2019, 71, 823–833. [Google Scholar] [CrossRef]
- Sanyal, A.; Nguyen, T.; Wang, L.; Xiao, Y.; Jia, C.; Xu, R.; Goodman, Z. Prediction of fibrosis improvement in patients with advanced fibrosis due to NASH using a machine learning approach: Unravelling the placebo response. J. Hepatol. 2018, 68 (Suppl. 1), s97. [Google Scholar] [CrossRef]
- Sebastiani, G.; Castera, L.; Halfon, P.; Pol, S.; Mangia, A.; Di Marco, V.; Pirisi, M.; Voiculescu, M.; Bourliere, M.; Alberti, A. The impact of liver disease aetiology and the stages of hepatic fibrosis on the performance of non-invasive fibrosis biomarkers: An international study of 2411 cases Aliment. Pharmacol. Ther. 2011, 34, 1202–1216. [Google Scholar] [CrossRef]
- Petta, S.; Sebastiani, G.; Vigano, M.; Ampuero, J.; Wong, V.W.-S.; Boursier, J.; Berzigotti, A.; Bugianesi, E.; Fracanzani, A.L.; Camma, C.; et al. Monitoring occurrence of liver-related events and survival by transient Elastography in patients with non alcoholic fatty liver disease and compensated advanced chronic liver disease. Clin. Gastroenterol. Hepatol. 2021, 19, 806–815. [Google Scholar] [CrossRef]
- American Diabetes Association. Standards of Medical Care in Diabetes—2019. Diabetes Care 2019, 42 (Suppl. 1), S187–S193. [Google Scholar]
- Arnett, D.K.; Blumenthal, R.S.; Albert, M.A.; Buroker, A.B.; Goldelberger, Z.D.; Hahn, E.J.; Himmerlfarb, C.D.; Khera, A.; Lloyd-Jones, D.; McEvoy, J.W.; et al. 2019 ACC/AHA Guideline on the primary prevention of cardiovascular disease: A report of the American College of Cardiology/American Heart Association task force on clinical practice guidelines. J. Am. Coll. Cardiol. 2019, 74, e177–e232. [Google Scholar] [CrossRef]
- De Franchis, R. Expanding consensus in portal hypertension Report of the Baveno VI consensus workshop: Stratifying risk and individualizing care for portal hypertension. J. Hepatol. 2015, 63, 743–752. [Google Scholar] [CrossRef]
- Huang, Y.; Cohen, J.C.; Hobbs, H.H. Expression and characterization of a PNPLA3 isoform (I148M) associated with nonalcholic fatty liver disease. J. Biochem. Chem. 2011, 286, 37085–37093. [Google Scholar]
- Younossi, Z.M.; Koenig, A.B.; Abdelatif, D. Global epidemiology of nonalcoholic fatty liver disease-Meta-analytic assessment of prevalence, incidence, and outcomes. Hepatology 2016, 64, 73–84. [Google Scholar] [CrossRef]
- Chalasani, N.; Younussi, Z.; Lavine, J.E.; Diehl, A.M.; Brunt, E.M.; Cusi, K.; Charlton, M.; Sanyal, A.J. The diagnosis and management of non-alcoholic fatty liver disease: Practice Guideline by the American Association for the Study of Liver Diseases, American College of Gastroenterology, and the American Gastroenterological Association. Hepatology 2012, 55, 2005–2023. [Google Scholar] [CrossRef]
- McPherson, S.; Hardy, T.; Henderson, E.; Burt, A.D.; Day, C.P. Evidence of NAFLD progression from steatosis to fibrosing-steatohepatitis using paired biopsies: Implications for prognosis and clinical management. J. Hepatol. 2015, 62, 1148–1155. [Google Scholar] [CrossRef]
- Drescher, H.K.; Weiskirchen, S.; Weiskirchen, R. Current status in testing for nonalcholic fatty liver disease (NAFLD) and nonalcholic steatohepatitis (NASH). Cells 2019, 8, 845. [Google Scholar] [CrossRef]
- Brunt, E.M.; Kleiner, D.E.; Wilson, L.A.; Unalp, A.; Behling, C.E.; Lavine, J.E.; Neuschwander-Tetri, B.A.; NASH Clinical Research Network. Portal chronic inflammation in nonalcoholic fatty liver disease: An histologic marker of advanced NAFLD clinicopathologic correlations from the NASH Clinical Research Network. Hepatology 2009, 49, 809–820. [Google Scholar] [CrossRef]
- Kleiner, D.E.; Brunt, E.M.; Wilson, L.A.; Behling, C.; Guy, C.; Contos, M.; Cummings, O.; Yeh, M.; Gill, R.; Chalasani, N.; et al. Association of histologic disease activity with progresssion of non-alcoholic fatty liver disease. JAMA 2019, 2, e1912565. [Google Scholar]
- Angulo, P.; Keach, J.C.; Batts, K.P.; Lindor, K.D. Independent predictors of liver fibrosis in patients with nonalcholic steatohepatitis. Hepatology 1999, 30, 1356–1362. [Google Scholar] [CrossRef]
- Loomba, R.; Abraham, M.; Unalp, A.; Wilson, L.; Lavine, J.; Doo, E.; Bass, N.M. Association between diabetes, family history of diabetes, and risk of nonalcoholic steatohepatitis and fibrosis. Hepatology 2012, 56, 943–951. [Google Scholar] [CrossRef]
- Sookoian, S.; Pirola, C.J. Meta-analysis of the influence of I148M variant of patatin-like phospholipase domain containing 3 gene (PNPLA3) on the susceptibility and histological severity of nonalcoholic fatty liver disease. Hepatology 2011, 53, 1883–1894. [Google Scholar] [CrossRef] [PubMed]
- Smagris, E.; BasuRay, S.; Li, J.; Huang, Y.; Lai, K.V.; Gromada, J.; Choen, J.; Hobbs, H.H. PNPLA 3I148M knockin mice accumulate PNPLA3 on lipid droplets and develop hepatic steatosis. Hepatology 2015, 61, 108–118. [Google Scholar] [CrossRef] [PubMed]
- Eslam, M.; Valenti, L.; Romeo, S. Genetic and epigenetics of NAFLD and NASH: Clinical impact. J. Hepatol. 2018, 68, 268–279. [Google Scholar] [CrossRef] [PubMed]
- Patel, K.; Wilder, J. Fibroscan. Clin. Liver Dis. 2014, 4, 97–101. [Google Scholar] [CrossRef] [PubMed]
- Loomba, R.; Jain, A.; Diehl, A.M.; Guy, C.; Portenier, D.; Sudan, R.; Singh, S.; Faulkner, C.; Richards, L.; Hester, K.D.; et al. Validation of Serum Test for Advanced Liver Fibrosis in Patients with Nonalcoholic Steatohepatitis. Clin. Gastroenterol. Hepatol. 2019, 17, 1867–1876. [Google Scholar] [CrossRef] [PubMed]
- Sozio, M.S. Fibroscan for the Rest of Us-How to Incorporate Fibroscan into Management of Patients with Liver Disease. Clin. Gastroenterol. Hepatol. 2019, 17, 1714–1717. [Google Scholar] [CrossRef] [PubMed]
- Vuppalanchi, R.; Siddiqui, M.S.; Van Natta, M.; Hallinan, E.; Brandman, D.; Kowdley, K.; Neuschwander-Tetri, B.A.; Loomba, R.; Dasarthy, S. Performance characteristics of VCTE for evaluation of nonalcoholic fatty liver disease. Hepatology 2018, 67, 134–144. [Google Scholar] [CrossRef] [PubMed]
- Boursier, J.; Vergniol, J.; Guillet, A.; Hiriart, J.B.; Lannes, A.; Le Bail, B.; Michalak, S.; Chermak, F.; Bertrais, S.; Foucher, J.; et al. Diagnostic accuracy and prognostic significance of blood fibrosis tests and liver stifness measurement by FibroScan in non alcoholic fatty liver disease. J. Hepatol. 2016, 65, 570–578. [Google Scholar] [CrossRef]
- Nourredin, M.; Truong, E.; Gornbein, J.A.; Saouaf, R.; Guindi, M.; Todo, T.; Noureddin, N.; Yang, J.D.; Harrison, S.A.; Alkhouri, N. MRI-based (MAST) score accurately identifies patients with NASH and significant fibrosis. J. Hepatol. 2022, 76, 781–787. [Google Scholar] [CrossRef]




| Variables | Overall N = 91 | Progressors N = 25 | No Progressors/ Improved N = 57 * |
|---|---|---|---|
| Median Age, yrs (range) | 52.5 (20–79) | 53.0 (20–77) | 54.0 (25–79) |
| Male N, (%) | 43 (47.2) | 9 (36.0) | 26 (45.6) |
| Female N, (%) | 48 (52.7) | 16 (64.0) | 31 (54.4) |
| BMI ≥ 30 N (%) | 48 (52.7) | 13 (52.0) | 30 (52.6) |
| BMI < 30 N (%) | 43 (47.3) | 12 (48.0) | 27 (47.4) |
| FIB-4 ≥ 2.67 N (%) | 5 (5.5) | 7 (28.0) ^ | 5 (8.8) |
| FIB-4 < 2.67 N (%) | 86 (94.5) | 18 (72.0) | 52 (91.2) |
| Median PLT count, 103/mm3 | 210.0 (62–402) | 199.0 (100–300) | 218.0 (62–402) |
| Median ALT (IU/mL) | 62.0 (11–223) | 79.1 (15–223) | 71.4 (11–216) |
| Median AST (IU/mL) | 39.5 (12–173) | 57.5 (17–123) | 35.0 (12–173) |
| Fibrosis stage N (%) | |||
| F0–1 | 36 (39.5) | 6 (37.0) ^ | 30 (50.0) |
| F2–4 | 55 (60.5) | 19 (63.0) | 27 (50.0) |
| Activity grade | |||
| 0 | 7 (7.6) | 1 (4.0) ^^ | 6 (10.5) |
| 1-2-3 | 84 (92.3) | 24 (96.0) | 51 (89.4) |
| Steatosis grade | |||
| <3 | 65 (71.4) | 19 (76.0) | 38 (63.7) |
| 3 | 26 (28.6) | 6 (24.0) | 19 (33.3) |
| Balloning | |||
| 1–3 | 60 (65.9) | 21 (84.0)^ | 36 (63.2) |
| 0 | 31 (34.1) | 4 (16.0) | 21 (36.8) |
| Portal inflammation | |||
| <3 | 81 (89.0) | 19 (76.0) ^ | 54 (97.7) |
| 3 | 10 (11.0) | 6 (24.0) | 3 (5.3) |
| Diabetes Yes N, (%) | 45 (49.4) | 19 (76.0) ° | 22 (38.6) |
| Diabetes No N (%) | 46 (50.5) | 6 (24.0) | 35 (61.4) |
| Tryglicerides | |||
| <150 | 58 (63.7) | 10 (40.0) ^ | 40 (71.4) |
| >150 | 33 (36.2) | 15 (60.0) | 16 (28.6) |
| PNPLA GG | 24 (26.1) 67 (73.6) | 20 (80.0) 5 (20.0) | 40 (70.1) 17 (29.9) |
| Median KPa results | 10.25 (4.2–47.2) | 17.1 (6.8–47.2) ° | 10.8 (4.2–29.4) |
| N (%) | Basal Liver Biopsy N = 26 (%) | Second Liver Biopsy N = 26 (%) |
|---|---|---|
| Steatosis | ||
| Mild | 7 (26.9) | 5 (19.3) |
| Moderate | 12 (46.2) | 14 (53.8) |
| Severe | 7 (26.9) | 7 (26.9) |
| Ballooning | ||
| 0 | 4 (15.3) | 3 (11.5) |
| 1 | 22 (84.6) | 23 (88.4) |
| Activity grade | ||
| 1 | 19 (73.0) | 16 (61.5) |
| 2 | 5 (19.3) | 6 (23.1) |
| 3 | 2 (7.7) | 4 (15.4) |
| Fibrosis stage | ||
| F0 | 2 (7.6) | 2 (7.6) |
| F1 | 8 (30.7) | 5 (19.2) |
| F2 | 9 (34.6) | 9 (34.6) |
| F3 | 7 (26.9) | 6 (23.1) |
| F4 | 0 | 4 (15.3) |
| Portal inflammation | ||
| 0–1 | 23 (89.5) | 20 (76.9) |
| 2 | 3 (11.5) | 4 (19.2) |
| 3 | 0 | 1 (3.8) |
Publisher’s Note: MDPI stays neutral with regard to jurisdictional claims in published maps and institutional affiliations. |
© 2022 by the authors. Licensee MDPI, Basel, Switzerland. This article is an open access article distributed under the terms and conditions of the Creative Commons Attribution (CC BY) license (https://creativecommons.org/licenses/by/4.0/).
Share and Cite
Mangia, A.; Piazzolla, A.V.; Squillante, M.M.; Cocomazzi, G.; Valori, V.M.; Copetti, M.; Parente, P.; Attino, V.; Guido, M. Nonalcoholic Steatohepatitis: A 9-Year Follow Up Cohort Study. J. Clin. Med. 2022, 11, 5969. https://doi.org/10.3390/jcm11195969
Mangia A, Piazzolla AV, Squillante MM, Cocomazzi G, Valori VM, Copetti M, Parente P, Attino V, Guido M. Nonalcoholic Steatohepatitis: A 9-Year Follow Up Cohort Study. Journal of Clinical Medicine. 2022; 11(19):5969. https://doi.org/10.3390/jcm11195969
Chicago/Turabian StyleMangia, Alessandra, Annarita Valeria Piazzolla, Maria Maddalena Squillante, Giovanna Cocomazzi, Vanna Maria Valori, Massimiliano Copetti, Paola Parente, Vito Attino, and Maria Guido. 2022. "Nonalcoholic Steatohepatitis: A 9-Year Follow Up Cohort Study" Journal of Clinical Medicine 11, no. 19: 5969. https://doi.org/10.3390/jcm11195969
APA StyleMangia, A., Piazzolla, A. V., Squillante, M. M., Cocomazzi, G., Valori, V. M., Copetti, M., Parente, P., Attino, V., & Guido, M. (2022). Nonalcoholic Steatohepatitis: A 9-Year Follow Up Cohort Study. Journal of Clinical Medicine, 11(19), 5969. https://doi.org/10.3390/jcm11195969

