Fluoride Exposure and Salivary Glands: How Is Glandular Morphology Susceptible to Long-Term Exposure? A Preclinical Study
Abstract
1. Introduction
2. Materials and Methods
2.1. Experimental Animals
2.2. Euthanasia and Salivary Glands Collection
2.3. Histopathological and Morphological Evaluations
Immunohistochemistry Analysis
2.4. Statistical Analyses
3. Results
3.1. Long-Term F Exposure Is Not Able to Alter the Morphology of Mice Salivary Glands
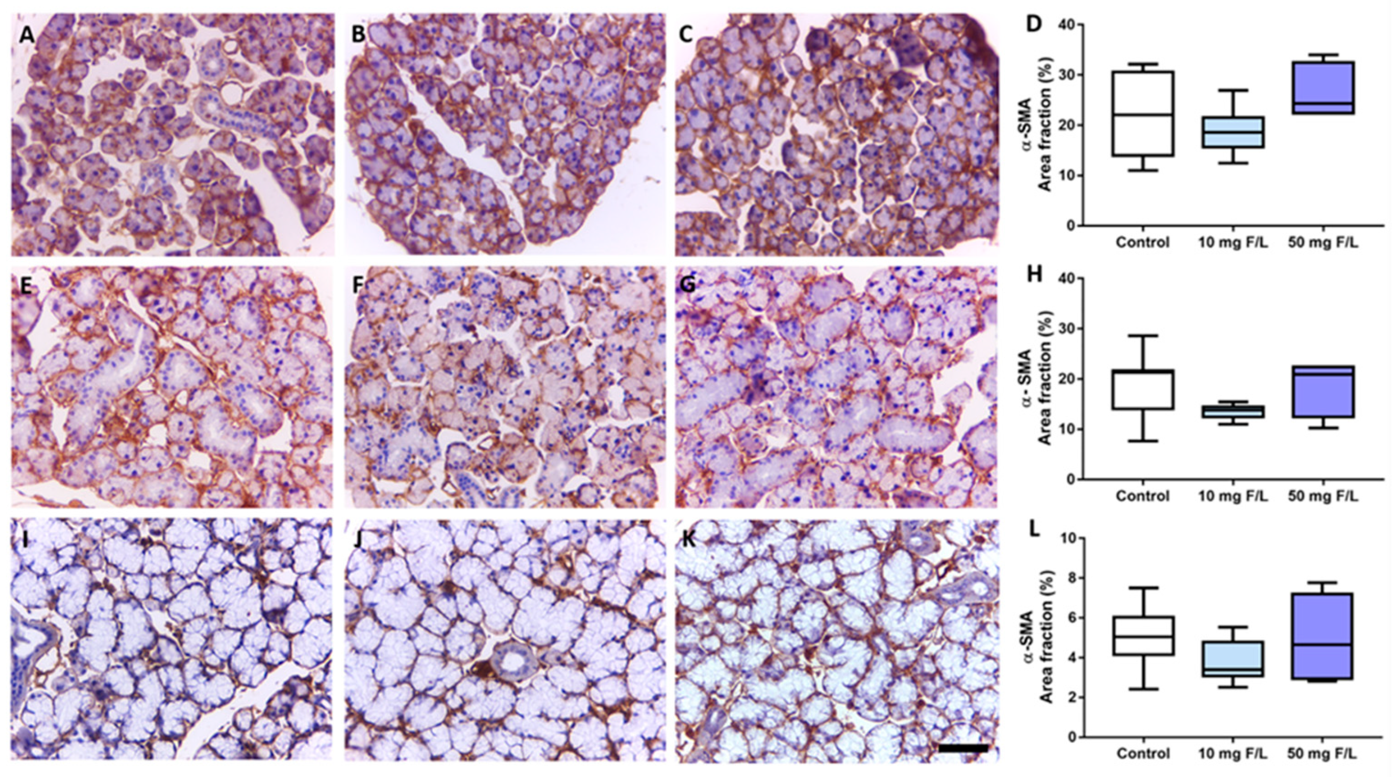
3.2. Long-Term F Exposure Did Not Affect the Immunostained Area Fraction of the Smooth Muscle Actin Filaments in Myoepithelial Cells of Mice Salivary Glands
4. Discussion
5. Conclusions
Supplementary Materials
Author Contributions
Funding
Institutional Review Board Statement
Informed Consent Statement
Data Availability Statement
Conflicts of Interest
References
- Miranda, G.H.N.; Ferreira, M.K.M.; Bittencourt, L.O.; Lima, L.A.D.O.; Puty, B.; Lima, R.R. The role of oxidative stress in fluoride toxicity. In Toxicology; Academic Press: Cambridge, MA, USA, 2021; pp. 157–163. [Google Scholar] [CrossRef]
- WHO. World Health Organization. Fluorides. Environmental Health Criteria227; World Health Organization: Geneva, Switzerland, 2002. [Google Scholar]
- Buzalaf, M.A.R.; Whitford, G.M. Fluoride metabolism. In Fluoride and the Oral Environment; Karger: Basel, Switzerland, 2011; Volume 22, pp. 20–36. [Google Scholar]
- Dec, K.; Łukomska, A.; Maciejewska, D.; Jakubczyk, K.; Baranowska-Bosiacka, I.; Chlubek, D.; Wąsik, A.; Gutowska, I. The Influence of Fluorine on the Disturbances of Homeostasis in the Central Nervous System. Biol. Trace Element Res. 2017, 177, 224–234. [Google Scholar] [CrossRef] [PubMed]
- Kuang, P.; Deng, H.; Cui, H.; Chen, L.; Guo, H.; Fang, J.; Zuo, Z.; Deng, J.; Wang, X.; Zhao, L. Suppressive effects of sodium fluoride on cultured splenic lymphocyte proliferation in mice. Oncotarget 2016, 7, 61905–61915. [Google Scholar] [CrossRef] [PubMed][Green Version]
- Saumya, S.M.; Basha, P.M. Fluoride exposure aggravates the testicular damage and sperm quality in diabetic mice: Protec-tive role of ginseng and banaba. Biol. Trace Elem. Res. 2017, 177, 331–344. [Google Scholar]
- Bouaziz, H.; Ketata, S.; Jammoussi, K.; Boudawara, T.; Ayedi, F.; Ellouze, F.; Zeghal, N. Effects of sodium fluoride on hepatic toxicity in adult mice and their suckling pups. Pestic. Biochem. Physiol. 2006, 86, 124–130. [Google Scholar] [CrossRef]
- Iano, F.G.; Ferreira, M.C.; Quaggio, G.B.; Fernandes, M.S.; Oliveira, R.C.; Ximenes, V.F.; Buzalaf, M.A.R. Effects of chronic fluoride intake on the antioxidant systems of the liver and kidney in rats. J. Fluor. Chem. 2014, 168, 212–217. [Google Scholar] [CrossRef]
- Revelo-Mejía, I.A.; Hardisson, A.; Rubio, C.; Gutiérrez, J.; Paz, S. Dental Fluorosis: The Risk of Misdiagnosis—A Review. Biol. Trace Element Res. 2020, 199, 1762–1770. [Google Scholar] [CrossRef]
- Srivastava, S.; Flora, S.J.S. Fluoride in Drinking Water and Skeletal Fluorosis: A Review of the Global Impact. Curr. Environ. Health Rep. 2020, 7, 140–146. [Google Scholar] [CrossRef]
- Barbier, O.; Arreola-Mendoza, L.; Del Razo, L.M. Molecular Mechanisms of Fluoride Toxicity. Chem. -Biol. Interact. 2010, 188, 319–333. [Google Scholar] [CrossRef]
- Yamaguchi, P.M.; Simões, A.; Ganzerla, E.; Souza, D.N.; Nogueira, F.N.; Nicolau, J. Effects of a single exposure of sodium fluoride on lipid peroxidation and antioxidant enzymes in salivary glands of rats. Oxid. Med. Cell. Longev. 2013, 2013, 674593. [Google Scholar]
- Nascimento, P.C.; Aragão, W.; Bittencourt, L.O.; Silva, M.; Crespo-Lopez, M.E.; Lima, R.R. Salivary parameters alterations after early exposure to environmental methylmercury: A preclinical study in offspring rats. J. Trace Elem. Med. Biol. 2021, 68, 126820. [Google Scholar] [CrossRef]
- Castagnola, M.; Scarano, E.; Passali, G.; Messana, I.; Cabras, T.; Iavarone, F.; Di Cintio, G.; Fiorita, A.; De Corso, E.; Paludetti, G. Salivary biomarkers and proteomics: Future diagnostic and clinical utilities. Acta Otorhinolaryngol. Ital. 2017, 37, 94–101. [Google Scholar] [CrossRef] [PubMed]
- Humphrey, S.P.; Williamson, R.T. A review of saliva: Normal composition, flow, and function. J. Prosthet. Dent. 2001, 85, 162–169. [Google Scholar] [CrossRef] [PubMed]
- Falcão, D.P.; Da Mota, L.M.H.; Pires, A.L.; Bezerra, A.C.B. Sialometry: Aspects of clinical interest. Rev. Bras. Reum. 2013, 53, 525–531. [Google Scholar] [CrossRef]
- Lima, L.A.D.O.; Miranda, G.H.N.; Aragão, W.A.B.; Bittencourt, L.O.; dos Santos, S.M.; de Souza, M.P.C.; Nogueira, L.S.; de Oliveira, E.H.C.; Monteiro, M.C.; Dionizio, A.; et al. Effects of Fluoride on Submandibular Glands of Mice: Changes in Oxidative Biochemistry, Proteomic Profile, and Genotoxicity. Front. Pharmacol. 2021, 12, 1–13. [Google Scholar] [CrossRef] [PubMed]
- Miranda, G.H.N.; Lima, L.A.D.O.; Bittencourt, L.O.; dos Santos, S.M.; de Souza, M.P.C.; Nogueira, L.S.; de Oliveira, E.H.C.; Monteiro, M.C.; Dionizio, A.; Leite, A.L.; et al. Effects of long-term fluoride exposure are associated with oxidative biochemistry impairment and global proteomic modulation, but not genotoxicity, in parotid glands of mice. PLoS ONE 2022, 17, e0261252. [Google Scholar] [CrossRef]
- Miranda, G.H.N.; Gomes, B.A.Q.; Bittencourt, L.O.; Aragão, W.; Nogueira, L.S.; Dionizio, A.; Buzalaf, M.A.R.; Monteiro, M.C.; Lima, R.R. Chronic Exposure to Sodium Fluoride Triggers Oxidative Biochemistry Misbalance in Mice: Effects on Peripheral Blood Circulation. Oxidative Med. Cell. Longev. 2018, 2018, 8379123. [Google Scholar] [CrossRef]
- Dionizio, A.S.; Melo, C.G.S.; Sabino-Arias, I.T.; Ventura, T.M.S.; Leite, A.L.; Souza, S.R.G.; Santos, E.X.; Heubel, A.D.; Souza, J.G.; Perles, J.V.C.M.; et al. Chronic treatment with fluoride affects the jejunum: Insights from proteomics and enteric innervation analysis. Sci. Rep. 2018, 8, 3180. [Google Scholar] [CrossRef]
- Dunipace, A.; Brizendine, E.; Zhang, W.; Wilson, M.; Miller, L.; Katz, B.; Warrick, J.M.; Stookey, G.K. Effect of aging on animal response to chronic fluoride exposure. J. Dent. Res. 1995, 74, 358–368. [Google Scholar] [CrossRef]
- Lima, L.A.D.O.; Bittencourt, L.O.; Puty, B.; Fernandes, R.M.; Nascimento, P.C.; Silva, M.C.F.; Alves-Junior, S.M.; Pinheiro, J.D.J.V.; Lima, R.R. Methylmercury Intoxication Promotes Metallothionein Response and Cell Damage in Salivary Glands of Rats. Biol. Trace Element Res. 2018, 185, 135–142. [Google Scholar] [CrossRef]
- Bohl, L.; Merlo, C.; Carda, C.; De Ferraris, M.E.G.; Carranza, M. Morphometric analysis of the parotid gland affected by alcoholic sialosis. J. Oral Pathol. Med. 2008, 37, 499–503. [Google Scholar] [CrossRef]
- Merlo, C.; Bohl, L.; Carda, C.; de Ferraris, M.E.G.; Carranza, M. Parotid sialosis: Morphometrical analysis of the glandular parenchyma and stroma among diabetic and alcoholic patients. J. Oral Pathol. Med. 2010, 39, 10–15. [Google Scholar] [CrossRef] [PubMed]
- Angmar-Månsson, B.; Whitford, G.M. Enamel fluorosis related to plasma F levels in the rat. Caries Res. 1984, 18, 25–32. [Google Scholar] [CrossRef] [PubMed]
- WHO. WHO Guidelines Approved by the Guidelines Review Committee. Guidelines for Drinking-Water Quality: Fourth Edition Incorporating the First Addendum; World Health Organization: Geneva, Switzerland, 2017. [Google Scholar]
- De Paula, F.; Teshima, T.H.N.; Hsieh, R.; Souza, M.M.; Nico, M.M.S.; Lourenco, S.V. Overview of Human Salivary Glands: Highlights of Morphology and Developing Processes. Anat. Rec. 2017, 300, 1180–1188. [Google Scholar] [CrossRef] [PubMed]
- Tucker, A. Salivary gland development. Semin. Cell Dev. Biol. 2007, 18, 237–244. [Google Scholar] [CrossRef] [PubMed]
- Lima, D.P.; Diniz, D.G.; Moimaz, S.A.S.; Sumida, D.H.; Okamoto, A.C. Saliva: Reflection of the body. Int. J. Infect. Dis. 2010, 14, e184–e188. [Google Scholar] [CrossRef]
- Farooq, I.; Bugshan, A. The role of salivary contents and modern technologies in the remineralization of dental enamel: A narrative review. F1000Research 2020, 9, 171. [Google Scholar] [CrossRef]
- Dos Santos, V.R.N.; Ferreira, M.K.M.; Bittencourt, L.O.; Mendes, P.F.S.; Souza-Monteiro, D.; Balbinot, K.M.; Pinheiro, J.D.J.V.; Charone, S.; Pessan, J.P.; Lima, R.R. Maternal Fluoride Exposure Exerts Different Toxicity Patterns in Parotid and Submandibular Glands of Offspring Rats. Int. J. Mol. Sci. 2022, 23, 7217. [Google Scholar] [CrossRef]
- Dutta, S.; Sengupta, P. Men and mice: Relating their ages. Life Sci. 2016, 152, 244–248. [Google Scholar] [CrossRef]
- Guan, Z. Role of oxidative stress in molecular pathogenesis of endemic fluorosis. Chin. J. Endem. 2016, 16, 79–82. [Google Scholar]
- Zhong, N.; Yao, Y.; Ma, Y.; Meng, X.; Sowanou, A.; Pei, J. Effects of Fluoride on Oxidative Stress Markers of Lipid, Gene, and Protein in Rats. Biol. Trace Element Res. 2020, 199, 2238–2246. [Google Scholar] [CrossRef]
- Cury, J.A.; Ricomini-Filho, A.P.; Berti, F.L.P.; Tabchoury, C.P. Systemic Effects (Risks) of Water Fluoridation. Braz. Dent. J. 2019, 30, 421–428. [Google Scholar] [CrossRef] [PubMed]




| Publisher’s Note: MDPI stays neutral with regard to jurisdictional claims in published maps and institutional affiliations. | 
© 2022 by the authors. Licensee MDPI, Basel, Switzerland. This article is an open access article distributed under the terms and conditions of the Creative Commons Attribution (CC BY) license (https://creativecommons.org/licenses/by/4.0/).
Share and Cite
Matos-Sousa, J.M.; Bittencourt, L.O.; Ferreira, M.K.M.; dos Santos, V.R.N.; Balbinot, K.M.; Alves-Júnior, S.; Pinheiro, J.d.J.V.; Charone, S.; Pessan, J.P.; Lima, R.R. Fluoride Exposure and Salivary Glands: How Is Glandular Morphology Susceptible to Long-Term Exposure? A Preclinical Study. J. Clin. Med. 2022, 11, 5373. https://doi.org/10.3390/jcm11185373
Matos-Sousa JM, Bittencourt LO, Ferreira MKM, dos Santos VRN, Balbinot KM, Alves-Júnior S, Pinheiro JdJV, Charone S, Pessan JP, Lima RR. Fluoride Exposure and Salivary Glands: How Is Glandular Morphology Susceptible to Long-Term Exposure? A Preclinical Study. Journal of Clinical Medicine. 2022; 11(18):5373. https://doi.org/10.3390/jcm11185373
Chicago/Turabian StyleMatos-Sousa, José Mário, Leonardo Oliveira Bittencourt, Maria Karolina Martins Ferreira, Vinicius Ruan Neves dos Santos, Karolyny Martins Balbinot, Sérgio Alves-Júnior, João de Jesus Viana Pinheiro, Senda Charone, Juliano Pelim Pessan, and Rafael Rodrigues Lima. 2022. "Fluoride Exposure and Salivary Glands: How Is Glandular Morphology Susceptible to Long-Term Exposure? A Preclinical Study" Journal of Clinical Medicine 11, no. 18: 5373. https://doi.org/10.3390/jcm11185373
APA StyleMatos-Sousa, J. M., Bittencourt, L. O., Ferreira, M. K. M., dos Santos, V. R. N., Balbinot, K. M., Alves-Júnior, S., Pinheiro, J. d. J. V., Charone, S., Pessan, J. P., & Lima, R. R. (2022). Fluoride Exposure and Salivary Glands: How Is Glandular Morphology Susceptible to Long-Term Exposure? A Preclinical Study. Journal of Clinical Medicine, 11(18), 5373. https://doi.org/10.3390/jcm11185373
 
        



