Radiological Features for Frailty Assessment in Patients Requiring Emergency Laparotomy
Abstract
:1. Introduction
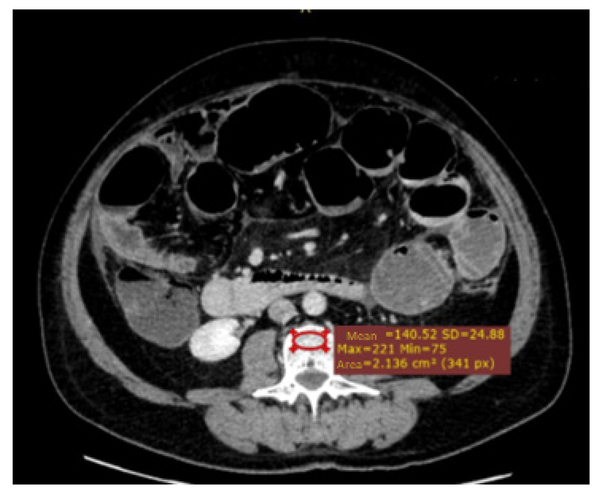
2. Materials and Methods
Statistical Analysis
3. Results
4. Discussion
5. Conclusions
Author Contributions
Funding
Institutional Review Board Statement
Informed Consent Statement
Data Availability Statement
Conflicts of Interest
References
- Saripella, A.; Wasef, S.; Nagappa, M.; Riazi, S.; Englesakis, M.; Wong, J.; Chung, F. Effects of comprehensive geriatric care models on postoperative outcomes in geriatric surgical patients: A systematic review and meta-analysis. BMC Anesthesiol. 2021, 21, 127. [Google Scholar] [CrossRef] [PubMed]
- Merani, S.; Payne, J.; Padwal, R.S.; Hudson, D.; Widder, S.L.; Khadaroo, R.G. Predictors of in-hospital mortality and complications in very elderly patients undergoing emergency surgery. World J. Emerg. Surg. 2014, 9, 43. [Google Scholar] [CrossRef] [PubMed]
- Moore, T.; Tubman, I.; Levy, G.; Brooke, G. Age as a Risk Factor for Perioperative Complications in Women Undergoing Pelvic Reconstructive Surgery. Female Pelvic Med. Reconstr. Surg. 2010, 16, 290–295. [Google Scholar] [CrossRef] [PubMed]
- Seib, C.D.; Rochefort, H.; Chomsky-Higgins, K.; Gosnell, J.E.; Suh, I.; Shen, W.T.; Duh, Q.-Y.; Finlayson, E. Association of Patient Frailty With Increased Morbidity After Common Ambulatory General Surgery Operations. JAMA Surg. 2018, 153, 160–168. [Google Scholar] [CrossRef] [PubMed]
- Murphy, P.B.; Savage, S.A.; Zarzaur, B.L. Impact of Patient Frailty on Morbidity and Mortality after Common Emergency General Surgery Operations. J. Surg. Res. 2019, 247, 95–102. [Google Scholar] [CrossRef]
- Tan, H.L.; Chia, S.T.X.; Nadkarni, N.V.; Ang, S.Y.; Seow, D.C.C.; Wong, T.H. Frailty and functional decline after emergency abdominal surgery in the elderly: A prospective cohort study. World J. Emerg. Surg. 2019, 14, 62. [Google Scholar] [CrossRef]
- Curtis, E.; Romanowski, K.; Sen, S.; Hill, A.; Cocanour, C. Frailty score on admission predicts mortality and discharge disposition in elderly trauma patients over the age of 65 y. J. Surg. Res. 2018, 230, 13–19. [Google Scholar] [CrossRef]
- Lauerman, M.H.; Raithel, M.; Kufera, J.; Shanmuganathan, K.; Bruns, B.R.; Scalea, T.M.; Stein, D.M. Comparison of individual and composite radiographic markers of frailty in trauma. Injury 2019, 50, 149–155. [Google Scholar] [CrossRef]
- Richards, S.J.; Senadeera, S.C.; Frizelle, F.A. Sarcopenia, as Assessed by Psoas Cross-Sectional Area, Is Predictive of Adverse Postoperative Outcomes in Patients Undergoing Colorectal Cancer Surgery. Dis. Colon Rectum 2020, 63, 807–815. [Google Scholar] [CrossRef]
- Okamura, H.; Kimura, N.; Tanno, K.; Mieno, M.; Matsumoto, H.; Yamaguchi, A.; Adachi, H. The impact of preoperative sarcopenia, defined based on psoas muscle area, on long-term outcomes of heart valve surgery. J. Thorac. Cardiovasc. Surg. 2019, 157, 1071–1079.e3. [Google Scholar] [CrossRef]
- Shinohara, S.; Otsuki, R.; Kobayashi, K.; Sugaya, M.; Matsuo, M.; Nakagawa, M. Impact of Sarcopenia on Surgical Outcomes in Non-small Cell Lung Cancer. Ann. Surg. Oncol. 2020, 27, 2427–2435. [Google Scholar] [CrossRef] [PubMed]
- Simpson, G.; Parker, A.; Hopley, P.; Wilson, J.; Magee, C. Pre-operative psoas major measurement compared to P-POSSUM as a prognostic indicator in over-80s undergoing emergency laparotomy. Eur. J. Trauma Emerg. Surg. 2020, 46, 215–220. [Google Scholar] [CrossRef] [PubMed]
- Anastácio, L.R.; Ferreira, L.G.; Ribeiro, H.S.; Diniz, K.G.D.; Lima, A.S.; Correia, M.I.T.; Vilela, E.G. Sarcopenia, obesity and sarcopenic obesity in liver transplantation: A body composition prospective study. Arq. Bras. De Cir. Dig. 2019, 32, e1434. [Google Scholar] [CrossRef] [PubMed]
- Clavien, P.A.; Barkun, J.; de Oliveira, M.L.; Vauthey, J.N.; Dindo, D.; Schulick, R.D.; de Santibañes, E.; Pekolj, J.; Slankamenac, K.; Bassi, C.; et al. The Clavien-Dindo Classification of Surgical Complications: Five-year experience. Ann. Surg. 2009, 250, 187–196. [Google Scholar] [CrossRef]
- Kaplan, S.; Pham, T.N.; Arbabi, S.; Gross, J.A.; Damodarasamy, M.; Bentov, I.; Taitsman, L.A.; Mitchell, S.H.; Reed, M.J. Association of Radiologic Indicators of Frailty With 1-Year Mortality in Older Trauma Patients. JAMA Surg. 2017, 152, e164604. [Google Scholar] [CrossRef]
- Pędziwiatr, M.; Pisarska, M.; Major, P.; Grochowska, A.; Matłok, M.; Przęczek, K.; Stefura, T.; Budzyński, A.; Kłęk, S. Laparoscopic colorectal cancer surgery combined with enhanced recovery after surgery protocol (ERAS) reduces the negative impact of sarcopenia on short-term outcomes. Eur. J. Surg. Oncol. 2016, 42, 779–787. [Google Scholar] [CrossRef]
- Lee, K.C.; Bs, J.S.; Sturgeon, D.; Lipsitz, S.; Weissman, J.S.; Rosenthal, R.A.; Kim, D.H.; Mitchell, S.L.; Cooper, Z. The Impact of Frailty on Long-Term Patient-Oriented Outcomes after Emergency General Surgery: A Retrospective Cohort Study. J. Am. Geriatr. Soc. 2020, 68, 1037–1043. [Google Scholar] [CrossRef]
- Van Mourik, M.S.; Janmaat, Y.C.; Van Kesteren, F.; Vendrik, J.; Planken, R.N.; Henstra, M.J.; Velu, J.F.; Vlastra, W.; Zwinderman, A.H.; Koch, K.T.; et al. CT determined psoas muscle area predicts mortality in women undergoing transcatheter aortic valve implantation. Catheter. Cardiovasc. Interv. 2019, 93, E248–E254. [Google Scholar] [CrossRef]
- Yamashita, M.; Kamiya, K.; Matsunaga, A.; Kitamura, T.; Hamazaki, N.; Matsuzawa, R.; Nozaki, K.; Tanaka, S.; Nakamura, T.; Maekawa, E.; et al. Prognostic value of sarcopenic obesity estimated by computed tomography in patients with cardiovascular disease and undergoing surgery. J. Cardiol. 2019, 74, 273–278. [Google Scholar] [CrossRef]
- Gomibuchi, T.; Seto, T.; Komatsu, M.; Tanaka, H.; Ichimura, H.; Yamamoto, T.; Ohashi, N.; Wada, Y.; Okada, K. Impact of Frailty on Outcomes in Acute Type A Aortic Dissection. Ann. Thorac. Surg. 2018, 106, 1349–1355. [Google Scholar] [CrossRef] [Green Version]
- Mccusker, A.; Khan, M.; Kulvatunyou, N.; Zeeshan, M.; Sakran, J.V.; Hayek, H.; O’Keeffe, T.; Hamidi, M.; Tang, A.; Joseph, B. Sarcopenia defined by a computed tomography estimate of the psoas muscle area does not predict frailty in geriatric trauma patients. Am. J. Surg. 2019, 218, 261–265. [Google Scholar] [CrossRef] [PubMed]
- Mintziras, I.; Miligkos, M.; Wächter, S.; Manoharan, J.; Maurer, E.; Bartsch, D.K. Sarcopenia and sarcopenic obesity are significantly associated with poorer overall survival in patients with pancreatic cancer: Systematic review and meta-analysis. Int. J. Surg. 2018, 59, 19–26. [Google Scholar] [CrossRef] [PubMed]
- Pecorelli, N.; Capretti, G.; Sandini, M.; Damascelli, A.; Cristel, G.; DE Cobelli, F.; Gianotti, L.; Zerbi, A.; Braga, M. Impact of Sarcopenic Obesity on Failure to Rescue from Major Complications Following Pancreaticoduodenectomy for Cancer: Results from a Multicenter Study. Ann. Surg. Oncol. 2018, 25, 308–317. [Google Scholar] [CrossRef] [PubMed]
- Ratnayake, C.B.B.; Wells, C.; Olsson, M.; Windsor, J.A.; Pandanaboyana, S. Sarcopenic obesity and post-operative morbidity after pancreatic surgery: A cohort study. ANZ J. Surg. 2019, 89, 1587–1592. [Google Scholar] [CrossRef] [PubMed]
- Zhang, W.-T.; Lin, J.; Chen, W.-S.; Huang, Y.-S.; Wu, R.-S.; Chen, X.-D.; Lou, N.; Chi, C.-H.; Hu, C.-Y.; Shen, X. Sarcopenic Obesity Is Associated with Severe Postoperative Complications in Gastric Cancer Patients Undergoing Gastrectomy: A Prospective Study. J. Gastrointest. Surg. 2018, 22, 1861–1869. [Google Scholar] [CrossRef]





| Parameter | Total | Group 1 (30-Day Mortality—0) | Group 2 (30-Day Mortality—1) | p Value |
|---|---|---|---|---|
| Patients, n (%) | 261 | 215 (82.4%) | 46 (17.6%) | - |
| Females, n (%) | 128 (49%) | 105 (48.8%) | 23 (50%) | 0.886 |
| Median age (IQR) (years) | 65 (52–76) | 63 (47–74) | 77 (63–83) | <0.001 |
| Median BMI (IQR) (kg/m2) | 25.33 (22.86–28.22) | 24.91 (22.67–28.08) | 25.83 (23.00–29.29) | 0.172 |
| ASA class: I, n (%) II, n (%) III, n (%) IV, n (%) V, n (%) | 25 (9.6%) 88 (33.7%) 92 (35.2%) 52 (19.9%) 4 (1.5%) | 25 (11.6%) 87 (40.5%) 76 (35.3%) 27 (12.6%) 0 (0%) | 0 (0%) 1 (2.2%) 16 (34.8%) 25 (54.3%) 4 (8.7%) | <0.001 |
| Comorbidities: Hypertension, n (%) Diabetes, n (%) Heart failure, n (%) COPD or recent pneumonia, n (%) End stage renal failure, n (%) | 107 (41.0%) 47 (18.0%) 54 (20.7%) 21 (8.0%) 7 (2.7%) | 80 (37.2%) 30 (14.0%) 32 (14.9%) 14 (6.5%) 2 (0.9%) | 27 (58.7%) 17 (37.0%) 22 (47.8%) 7 (15.2%) 5 (10.7%) | 0.007 <0.001 <0.001 0.049 <0.001 |
| mFI scale: Low risk, n (%) Intermediate risk, n (%) High risk, n (%) Unable to assess, n (%) | 114 (43.7%) 61 (23.4%) 80 (30.7%) 6 (2.3%) | 107 (49.8%) 54 (25.15%) 51 (23.7%) 3 (1.4%) | 7 (15.2%) 7 (15.2%) 29 (63.0%) 3 (6.5%) | <0.001 |
| BGA scale: Low risk, n (%) Intermediate risk, n (%) High risk, n (%) Unable to assess, n (%) | 214 (82.0%) 13 (5.0%) 10 (3.8%) 24 (9.2%) | 203 (94.4%) 7 (3.3%) 5 (2.3%) 0 (0%) | 11 (23.9%) 6 (13.0%) 5 (10.9%) 24 (52.2%) | <0.001 |
| Type of surgery: Appendectomy, n (%) Cholecystectomy, n (%) Colon resection, n (%) Small bowel resection, n (%) Laparotomy without resection, n (%) Ulcer perforation surgery, n (%) Other, n (%) | 33 (12.64%) 15 (5.75%) 91 (34.87%) 40 (15.33%) 41 (15.7%) 25 (9.58%) 16 (6.13%) | 33 (15.34%) 15 (6.98%) 65 (30.23%) 32 (14.88%) 37 (17.21%) 20 (9.31%) 13 (6.05%) | 0 (0%) 0 (0%) 26 (56.52%) 8 (17.39%) 4 (8.7%) 5 (10.87%) 3 (6.52%) | <0.001 |
| Parameter | Total | Group 1 (30-Day Mortality—0) | Group 2 (30-Day Mortality—1) | p Value |
|---|---|---|---|---|
| Laparoscopy vs. laparotomy, n | 37 (14.2%) vs. 224 (85.8%) | 36 (16.7%) vs. 179 (83.3%) | 1 (2.2%) vs. 45 (97.8%) | 0.019 |
| Surgeon attending vs. surgery resident operating, n | 145 (55.6%) vs. 116 (44.4%) | 119 (55.3%) vs. 96 (44.7%) | 26 (56.5%) vs. 20 (43.5%) | 0.959 |
| Median surgery duration (IQR) (minutes) | 120 (85–165) | 120 (80–165) | 135 (90–228) | 0.057 |
| Intraoperative adverse events, n | 18 (6.9%) | 7 (3.3%) | 11 (23.9%) | <0.001 |
| Median length of hospital stay (IQR) (days) | 7 (4–11) | 7 (5–11) | 4.5 (1–10) | <0.001 |
| Number of patients with admission to ICU | 70 (26.8%) | 37 (17.2%) | 33 (71.1%) | <0.001 |
| Median ICU stay if occurred (IQR) (days) | 9 (0–21) | 10 (0–28) | 7 (2–14) | 0.568 |
| Major postoperative complication (Clavien–Dindo scale > 2) | 95 (36.4%) | 49 (22.8%) | 46 (100%) | <0.001 |
| Parameter/Medical Condition | AUROC | 95%CI AUROC | p Value |
|---|---|---|---|
| Calcification plaques | 0.736 | 0.659–0.813 | <0.001 |
| Osteopenia (ROI at L3) | 0.725 | 0.647–0.804 | <0.001 |
| Psoas muscle area/height | 0.693 | 0.610–0.777 | <0.001 |
| Kidney volume/height | 0.679 | 0.585–0.773 | <0.001 |
| Sarcopenic obesity | 0.580 | 0.486-0.673 | 0.095 |
| Parameter | Total | Group 1 (30-Day Mortality—0) | Group 2 (30-Day Mortality—1) | p Value |
|---|---|---|---|---|
| Median psoas muscle area/height (IQR) (cm2/m) | 7.16 (5.01–9.41) | 7.61 (5.38–9.70) | 5.19 (4.06–7.39) | <0.001 |
| Number of patients with psoas area/height under cut-off point | 94 (36.0%) | 65 (30.2%) | 29 (63.0%) | <0.001 |
| Median sarcopenic obesity (IQR) (cm2/cm2) | 2.30 (1.33–3.19) | 2.29 (1.23–3.10) | 2.50 (1.62–3.84) | 0.093 |
| Number of patients with sarcopenic obesity under cut-off point | 31 (11.9%) | 20 (9.3%) | 11 (24.4%) | 0.004 |
| Median osteopenia in ROI at L3 (IQR) (HU) | 138.1 (102.1–181.0) | 144.0 (109.6–193.8) | 100.6 (74.6–142.5) | <0.001 |
| Number of patients with osteopenia under cut-off point | 61 (23.4%) | 38 (17.7%) | 23 (50.0%) | <0.001 |
| Median percent of atherosclerotic plaques in aorta volume (IQR) (%) | 0.86 (0–3.81) | 0.60 (0–2.91) | 3.69 (1.87–8.24) | <0.001 |
| Number of patients with percent of calcification plaques in aorta volume under cut-off point | 100 (38.3%) | 66 (30.7%) | 34 (73.9%) | <0.001 |
| Mean kidney volume/height ± SD (cm3/m) | 85.7 (69.7–104.5) | 89.1 (73.6–105.7) | 66.7 (53.6–93.6) | <0.001 |
| Number of patients with kidney volume/height under cut-off point | 79 (30.27) | 49 (22.8%) | 30 (65.2%) | <0.001 |
| Parameter | OR | 95%CI | p Value |
|---|---|---|---|
| Univariate analysis: | |||
| Male sex | 0.955 | 0.505–1.805 | 0.886 |
| Every 10 years of age | 1.763 | 1.369–2.270 | <0.001 |
| Every next ASA class | 6.529 | 3.461–12.318 | <0.001 |
| Body mass index (every 1 kg/m2) | 1.060 | 0.993–1.130 | 0.079 |
| Laparotomy vs. laparoscopy (laparotomy-1) | 9.050 | 1.208–67.798 | 0.032 |
| Surgeon specialist vs. surgeon resident operating (surgeon resident-1) | 1.017 | 0.533–1.942 | 0.959 |
| Intraoperative adverse events | 9.294 | 3.375–25.596 | <0.001 |
| Every point of mFI-5 score | 2.485 | 1.839–3.357 | <0.001 |
| Every point of BGA score | 1.449 | 1.219–1.721 | <0.001 |
| Psoas muscle area/height under cut-off point | 3.937 | 2.023–7.660 | <0.001 |
| Sarcopenic obesity under cut-off point | 3.154 | 1.388–7.169 | 0.006 |
| Osteopenia under cut-off point | 4.658 | 2.369–9.157 | <0.001 |
| Calcification volume rate in aorta under cut-off point | 6.396 | 3.116–13.129 | <0.001 |
| Kidney volume/height under cut-off point | 6.352 | 3.201–12.605 | <0.001 |
| Multivariate analysis: | |||
| Every 10 years of age | 1.098 | 0.659–1.827 | 0.720 |
| Every next ASA class | 4.161 | 1.672–10.355 | 0.002 |
| Intraoperative adverse events | 12.397 | 2.166–70.969 | 0.005 |
| Every point of mFI-5 score | 1.447 | 0.864–2.424 | 0.160 |
| Every point of BGA score | 1.161 | 0.905–1.488 | 0.241 |
| Psoas muscle area/height under cut-off point | 2.485 | 0.781–7.906 | 0.123 |
| Sarcopenic obesity under cut-off point | 1.812 | 0.469–6.993 | 0.389 |
| Osteopenia under cut-off point | 4.213 | 1.235–14.367 | 0.022 |
| Atherosclerosis in aorta under cut-off point | 1.241 | 0.342–4.506 | 0.743 |
| Kidney volume/height under cut-off point | 1.012 | 0.296–3.464 | 0.984 |
| Parameter/Medical Condition | AUROC | 95%CI AUROC | p Value |
|---|---|---|---|
| Calcification plaques | 0.688 | 0.619–0.757 | <0.001 |
| Osteopenia | 0.621 | 0.551–0.691 | 0.001 |
| Psoas muscle area/height | 0.617 | 0.545–0.689 | 0.002 |
| Kidney volume/height | 0.629 | 0.553–0.704 | 0.001 |
| Sarcopenic obesity | 0.559 | 0.485–0.632 | 0.120 |
| Parameter | OR | 95%CI | p Value |
|---|---|---|---|
| Univariate analysis: | |||
| Male sex | 1.007 | 0.607–1.669 | 0.980 |
| Every 10 years of age | 1.466 | 1.242–1.729 | <0.001 |
| Every next ASA class | 3.546 | 2.335–5.387 | <0.001 |
| Body mass index (every 1 kg/m2) | 1.039 | 0.985–1.095 | 0.163 |
| Laparotomy vs. laparoscopy (laparotomy-1) | 3.343 | 1.340–8.342 | 0.010 |
| Surgeon specialist vs. surgeon resident operating (surgeon resident-1) | 0.827 | 0.496–1.378 | 0.466 |
| Intraoperative adverse events | 3.902 | 1.414–10.774 | 0.009 |
| Every point of the mFI-5 score | 2.107 | 1.644–2.699 | <0.001 |
| Every point of the BGA score | 1.812 | 1.439–2.281 | <0.001 |
| Psoas muscle area/height under cut-off point | 2.408 | 1.431–4.053 | 0.001 |
| Sarcopenic obesity under cut-off point | 2.843 | 1.323–6.109 | 0.007 |
| Osteopenia under cut-off point | 2.813 | 1.568–5.048 | 0.001 |
| Calcification volume rate in aorta under cut-off point | 3.805 | 2.222–6.517 | <0.001 |
| Kidney volume/height under cut-off point | 4.594 | 2.627–8.033 | <0.001 |
| Multivariate analysis: | |||
| Every 10 years of age | 0.997 | 0.741–1.342 | 0.987 |
| Every next ASA class | 1.952 | 1.171–3.256 | 0.010 |
| Every point of the mFI-5 score | 1.129 | 0.748–1.703 | 0.563 |
| Every point of the BGA score | 1.496 | 1.110–2.016 | 0.008 |
| Psoas muscle area/height under cut-off point | 1.341 | 0.561–3.207 | 0.509 |
| Sarcopenic obesity under cut-off point | 2.603 | 0.780–8.691 | 0.120 |
| Osteopenia under cut-off point | 1.262 | 0.473–3.371 | 0.642 |
| Atherosclerosis in aorta under cut-off point | 1.504 | 0.606–3.734 | 0.379 |
| Kidney volume/height under cut-off point | 1.963 | 0.843–4.572 | 0.118 |
Publisher’s Note: MDPI stays neutral with regard to jurisdictional claims in published maps and institutional affiliations. |
© 2022 by the authors. Licensee MDPI, Basel, Switzerland. This article is an open access article distributed under the terms and conditions of the Creative Commons Attribution (CC BY) license (https://creativecommons.org/licenses/by/4.0/).
Share and Cite
Kołodziejska, K.; Witowski, J.; Tylec, P.; Grochowska, A.; Przytuła, N.; Lis, M.; Pędziwiatr, M.; Rubinkiewicz, M. Radiological Features for Frailty Assessment in Patients Requiring Emergency Laparotomy. J. Clin. Med. 2022, 11, 5365. https://doi.org/10.3390/jcm11185365
Kołodziejska K, Witowski J, Tylec P, Grochowska A, Przytuła N, Lis M, Pędziwiatr M, Rubinkiewicz M. Radiological Features for Frailty Assessment in Patients Requiring Emergency Laparotomy. Journal of Clinical Medicine. 2022; 11(18):5365. https://doi.org/10.3390/jcm11185365
Chicago/Turabian StyleKołodziejska, Katarzyna, Jan Witowski, Piotr Tylec, Anna Grochowska, Natalia Przytuła, Maciej Lis, Michał Pędziwiatr, and Mateusz Rubinkiewicz. 2022. "Radiological Features for Frailty Assessment in Patients Requiring Emergency Laparotomy" Journal of Clinical Medicine 11, no. 18: 5365. https://doi.org/10.3390/jcm11185365
APA StyleKołodziejska, K., Witowski, J., Tylec, P., Grochowska, A., Przytuła, N., Lis, M., Pędziwiatr, M., & Rubinkiewicz, M. (2022). Radiological Features for Frailty Assessment in Patients Requiring Emergency Laparotomy. Journal of Clinical Medicine, 11(18), 5365. https://doi.org/10.3390/jcm11185365

