Evaluation of the Relationship between Left Coronary Artery Bifurcation Angle and Coronary Artery Disease: A Systematic Review
Abstract
1. Introduction
2. Materials and Methods
2.1. Search Strategy
2.2. Eligibility Criteria
2.3. Data Extraction and Analysis
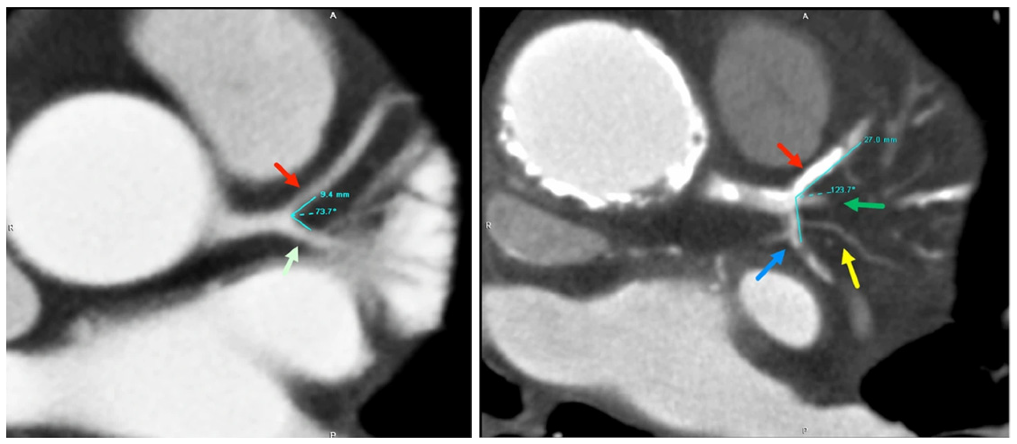
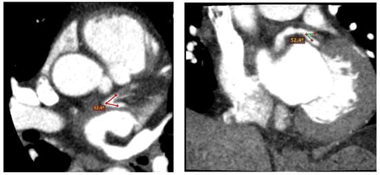
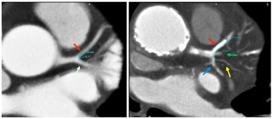
3. Results
Study Characteristics
4. Discussion
4.1. LAD-LCx Angle and CAD
4.2. LAD-LCx Angle and Other Variables
4.3. LAD-LCx Angle and Degree of Coronary Stenosis
4.4. Computational Fluid Dynamics
4.5. Causality
4.6. Current Limitations and Recommendations for Future Research
5. Conclusions
Author Contributions
Funding
Institutional Review Board Statement
Informed Consent Statement
Data Availability Statement
Conflicts of Interest
References
- Australian Government. Australia’s Health; Australian Institute of Health and Welfare: Sydney, NSW, Australia, 2020.
- National Heart Foundation of Australia. Economic Cost of Acute Coronary Syndrome in Australia: The Cost to Individuals and Their Families; National Heart Foundation of Australia: Melbourne, VIC, Australia, 2018. [Google Scholar]
- Buckley, T. Alterations of cardiovascular function across the life span. In Understanding Pathophysiology; Craft, J., Gordon, C., Huether, S., McCance, K., Brashers, V., Rote, N., Eds.; Elsevier Australia: Chatswood, Australia, 2017; pp. 610–679. [Google Scholar]
- Temov, K.; Sun, Z. Coronary computed tomography angiography investigation of the association between left main coronary artery bifurcation angle and risk factors of coronary artery disease. Int. J. Cardiovasc. Imaging 2016, 32, S129–S137. [Google Scholar] [CrossRef] [PubMed]
- Wasilewski, J.; Niedziela, J.; Osadnik, T.; Duszańska, A.; Sraga, W.; Desperak, P.; Myga-Porosiło, J.; Jackowska, Z.; Nowakowski, A.; Głowacki, J. Predominant location of coronary artery atherosclerosis in the left anterior descending artery: The impact of septal perforators and the myocardial bridging effect. Kardiochir. Torakochir. Pol. 2015, 12, 379–385. [Google Scholar] [CrossRef]
- Sun, Z.; Cao, Y. Multislice CT angiography assessment of left coronary artery: Correlation between bifurcation angle and dimensions and development of coronary artery disease. Eur. J. Radiol. 2011, 79, e90–e95. [Google Scholar] [CrossRef]
- Juan, Y.; Tsay, P.; Shen, W.; Yeh, C.; Wen, M.; Wan, Y. Comparison of the left main coronary bifurcating angle among patients with normal, non-significantly and significantly stenosed left coronary arteries. Sci. Rep. 2017, 7, 1515–1518. [Google Scholar] [CrossRef] [PubMed]
- Cui, Y.; Zeng, W.; Yu, J.; Lu, J.; Hu, Y.; Diao, N.; Liang, B.; Han, P.; Shi, H. Quantification of left coronary bifurcation angles and plaques by coronary computed tomography angiography for prediction of significant coronary stenosis: A preliminary study with dual-source CT. PLoS ONE 2017, 12, e0174352. [Google Scholar] [CrossRef]
- Liu, Z.; Zhao, S.; Li, Y.; Shen, F.; Qi, Y.; Wang, Q. Influence of coronary bifurcation angle on atherosclerosis. Acta Mech. Sin. 2019, 35, 1269–1278. [Google Scholar] [CrossRef]
- Sun, Z.; Chaichana, T. An investigation of correlation between left coronary bifurcation angle and hemodynamic changes in coronary stenosis by coronary computed tomography angiography-derived computational fluid dynamics. Quant. Imaging Med. Surg. 2017, 7, 537–548. [Google Scholar] [CrossRef]
- Chaichana, T.; Sun, Z.; Jewkes, J. Computation of hemodynamics in the left coronary artery with variable angulations. J. Biomech. 2011, 44, 1869–1878. [Google Scholar] [CrossRef] [PubMed]
- Zhang, B.; Jin, Y.; Wang, X.; Zeng, T.; Wang, L. Numerical simulation of transient blood flow through the left coronary artery with varying degrees of bifurcation angles. J. Mech. Med. Biol. 2017, 17, 1750005. [Google Scholar] [CrossRef]
- Sun, Z.; Xu, L.; Fan, Z. Coronary CT angiography in calcified coronary plaques: Comparison of diagnostic accuracy between bifurcation angle measurement and coronary lumen assessment for diagnosing significant coronary stenosis. Int. J. Cardiol. 2016, 203, 78–86. [Google Scholar] [CrossRef][Green Version]
- Assessing Risk of Bias in a Randomized Trial. Available online: https://training.cochrane.org/handbook/current/Chapter-08 (accessed on 14 August 2022).
- Moon, S.; Byun, J.; Kim, J.; Kim, S.; Kim, K.; Jung, J.; Kang, D.; Yang, J.; Choi, J.; Jang, I.; et al. Clinical usefulness of the angle between left main coronary artery and left anterior descending coronary artery for the evaluation of obstructive coronary artery disease. PLoS ONE 2018, 13, e0202249. [Google Scholar] [CrossRef] [PubMed]
- Sun, Z. Coronary CT angiography in coronary artery disease: Correlation between virtual intravascular endoscopic appearances and left bifurcation angulation and coronary plaques. BioMed Res. Int. 2013, 2013, 732059. [Google Scholar] [CrossRef] [PubMed]
- Rodriguez-Granillo, G.; Rosales, M.; Degrossi, E.; Durbano, I.; Rodriguez, A. Multislice CT coronary angiography for the detection of burden, morphology and distribution of atherosclerotic plaques in the left main bifurcation. Int. J. Cardiovasc. Imaging 2007, 23, 389–392. [Google Scholar] [CrossRef]
- Kamangar, S.; Badruddin, I.; Anqi, A.; Saleel, C.; Tirth, V.; Khan, T.; Khan, M.; Ahmed, N. Influence of bifurcation angle in left coronary artery with stenosis: A CFD analysis. Biomed. Mater. Eng. 2020, 31, 339–349. [Google Scholar] [CrossRef] [PubMed]
- Ziyrek, M.; Sertdemir, A.; Duran, M. Effect of coronary artery bifurcation angle on atherosclerotic lesion localization distance to the bifurcation site. J. Saudi Heart Assoc. 2020, 32, 399–407. [Google Scholar] [CrossRef]
- Rabkin, S. Epicardial fat: Properties, function and relationship to obesity. Obes. Rev. 2006, 8, 253–261. [Google Scholar] [CrossRef]
- Hoffman, U.; Ferencik, M.; Cury, R.; Pena, A. Coronary CT angiography. J. Nuc. Med. 2006, 47, 797–806. [Google Scholar]
- Kruk, M.; Noll, D.; Achenbach, S.; Mintz, G.; Pręgowski, J.; Kaczmarska, E.; Kryczka, K.; Pracoń, R.; Dzielińska, Z.; Śleszycka, J.; et al. Impact of coronary artery calcium characteristics on accuracy of CT angiography. JACC Cardiovasc. Imaging 2014, 7, 49–58. [Google Scholar] [CrossRef]
- Yan, R.; Miller, J.; Rochitte, C.; Dewey, M.; Niinuma, H.; Clouse, M.; Vavere, A.; Brinker, J.; Lima, J.; Arbab-Zadeh, A. Predictors of inaccurate coronary arterial stenosis assessment by CT angiography. JACC Cardiovasc. Imaging 2013, 6, 963–972. [Google Scholar] [CrossRef]
- Litjens, G.; Ciompi, F.; Wolterink, J.M.; de Vos, B.D.; Leiner, T.; Teuwen, J.; Isgum, I. State-of-the art deep learning in cardiovascular image analysis. JACC Cardiovasc. Imaging 2019, 12, 1549–1565. [Google Scholar] [CrossRef]
- Chen, J.; Wetzel, L.H.; Pope, K.; Meek, L.J.; Rosamond, T.; Walker, C.M. FFRCT: Current status. Am. J. Rotentgenol. 2021, 216, 640–648. [Google Scholar] [CrossRef] [PubMed]
- Xu, L.; Sun, Z.; Fan, Z. Noninvasive physiologic assessment of coronary stenoses using cardiac CT. BioMed Res. Int. 2015, 2015, 435737. [Google Scholar] [CrossRef] [PubMed]
- Tang, C.; Qiao, H.; Zhang, X.; Jiang, M.; Schoepf, U.J.; Rudzinski, P.N.; Giovagnoli, D.P.; Liu, M.; Li, J.; Wang, Y.; et al. Functional CAD-RADS using FFTCT on therapeutic management and prognosis in patients with coronary artery disease. Eur. Radiol. 2022, 32, 5210–5221. [Google Scholar] [CrossRef]
- Brewer, E.; Kubn, J. Causal-comparative design. In Encyclopedia of Research Design; SAGE Publications: Thousand Oaks, CA, USA, 2012. [Google Scholar] [CrossRef]
- Gianicolo, E.; Eichler, M.; Muensterer, O.; Strauch, K.; Blettner, M. Methods for evaluating causality in observational studies. Dtsch. Ärzteblatt Int. 2020, 116, 101–107. [Google Scholar] [CrossRef] [PubMed]
- Monleon-Getino, A.; Canela-Soler, J. Causality in medicine and its relationship with the role of statistics. Biomed. Stat. Inform. 2017, 2, 61–68. [Google Scholar] [CrossRef]
- Fedak, K.; Bernal, A.; Capshaw, Z.; Gross, S. Applying the Bradford Hill criteria in the 21st century: How data integration has changed causal inference in molecular epidemiology. Emerg. Themes Epidemiol. 2015, 12, 14. [Google Scholar] [CrossRef]
- Han, D.; Liu, J.; Sun, Z.; Cui, Y.; He, Y.; Yang, Z. Deep learning analysis in coronary computed tomographic angiography imaging for the assessment of patients with coronary artery stenosis. Comput. Methods Programs Biomed. 2020, 196, 105651. [Google Scholar] [CrossRef]
- Liu, C.Y.; Tang, C.X.; Zhang, X.L.; Chen, S.; Xie, Y.; Zhang, X.Y.; Qiao, H.Y.; Zhou, C.S.; Xu, P.P.; Lu, M.J.; et al. Deep learning powered coronary CT angiogrphy for detecting obstructive coronary artery disease: The effect of reader experience, calcification and image quality. Eur. J. Radiol. 2021, 142, 109835. [Google Scholar] [CrossRef]
- Sandstedt, M.; Henriksson, L.; Janson, M.; Nyberg, G.; Engvall, J.; De Geer, J.; Alfredsson, J.; Persson, A. Evaluation of an AI-based, automatic coronary artery calcium scoring software. Eur. Radiol. 2020, 30, 1671–1678. [Google Scholar] [CrossRef]
- Sun, Z.; Ng, C.K.C. Artificial intelligence (enhanced super-resolution generative adversarial network) for calcium deblooming in coronary computed tomography angiography: A feasibility study. Diagnostics 2022, 12, 991. [Google Scholar] [CrossRef]
- Inage, H.; Tomizawa, N.; Otsuka, Y.; Aoshima, C.; Kawaguchi, Y.; Takamura, K.; Matsumori, R.; Kamo, Y.; Nozaki, Y.; Takahashi, D.; et al. Use of a deep-learning-based lumen extraction method to detect significant stenosis on coronary computed tomography angiography in patients with severe coronary calcification. Egypt. Heart J. 2022, 74, 43. [Google Scholar] [CrossRef] [PubMed]
- Si-Mohamed, S.; Boccalini, S.; Lacombe, H.; Diaw, A.; Varaseh, M.; Rodesch, P.A.; Villien, M.; Tatard-Leitman, V.; Bochaton, T.; Coulon, P.; et al. Coronary CT angiography with photon-counting CT: First in-human results. Radiology 2022, 303, 303–313. [Google Scholar] [CrossRef] [PubMed]








| Boolean Operator | Term | Field |
|---|---|---|
| “coronary artery disease” OR “coronary heart disease” OR stenosis OR atherosclero* | Title | |
| AND | “left main coronary” OR “left coronary” | Title/abstract |
| AND | “coronary bifurcat*” OR “bifurcat* angl*” OR “artery bifurcat*” OR angul* OR angle* | Title |
| NOT | stent* | Title |
| Reference | Country of Origin | Study Aim | Sample Size | Study Design | Strengths | Limitations | Key Findings |
|---|---|---|---|---|---|---|---|
| Chaichana et al. [11] (2011) | Australia | To investigate the haemodynamic effect of variable LAD-LCx angulation using realistic and simulated LAD-LCx models. | 12 models | Descriptive |
|
|
|
| Cui et al. [8] (2017) | China | To evaluate the value of LAD-LCx angles and plaque characteristics as predictors of coronary stenosis by dual-source computed tomography. | 106 patients | Causal-comparative |
|
|
|
| Juan et al. [7] (2017) | Taiwan | To understand the relationship between LAD-LCx angle and CAD in patients with normal, non-significantly and significantly stenosed left coronary arteries. | 313 patients | Causal-comparative |
|
|
|
| Kamangar et al. [18] (2020) | Saudi Arabia, India and Oman | To compare the effect of bifurcation angle on haemodynamic parameters in the left coronary artery with 80% stenosis. | 4 models | Descriptive |
|
|
|
| Liu et al. [9] (2019) | China | To investigate the effect of different bifurcation angles on the left coronary artery. | 4 models | Descriptive |
|
|
|
| Moon et al. [15] (2018) | South Korea | To evaluate the associations between the left main-LAD and LAD-LCx angles, and LAD stenosis. | 201 patients | Causal-comparative |
|
|
|
| Rodriguez-Granillo et al. [17] (2007) | Argentina | To explore plaque burden at different segments of the left main bifurcation and its relationship with bifurcation angle using high-resolution multislice CT coronary angiography. | 50 patients | Causal-comparative |
|
|
|
| Sun [16] (2013) | Australia | To investigate the relationship between intraluminal appearances of coronary plaques and left coronary bifurcation angle and plaque components using coronary CT virtual intravascular endoscopy (VIE). | 50 patients | Causal-comparative |
|
|
|
| Sun & Cao [6] (2011) | Australia | To investigate the relationship between left coronary bifurcation and dimensional changes and development of CAD using CT angiography. | 30 patients | Causal-comparative |
|
|
|
| Sun & Chaichana [10] (2017) | Australia | To investigate the correlation between LAD-LCx angle and coronary stenosis, as assessed via CCTA-generated CFD analysis. | 30 models | Descriptive |
|
|
|
| Temov & Sun [4] (2016) | Australia | To explore the association between LAD-LCx angle and common atherosclerotic risk factors with regard to CAD development using CCTA. | 196 patients | Causal-comparative |
|
|
|
| Zhang et al. [12] (2016) | China | To determine whether there is a relationship between bifurcated arterial geometry and haemodynamics. | 7 models | Descriptive |
|
|
|
| Ziyrek et al. [19] (2020) | Turkey | To analyse the effect of coronary bifurcation angle and left main coronary artery length on atherosclerotic lesion localisation. | 467 patients | Causal-comparative Correlational |
|
|
|
| Reference | Bias Domain | Risk Level | Support for Judgement |
|---|---|---|---|
| Cui et al. [8] (2017) | Selection bias * | - | - |
| Performance bias # | - | - | |
| Detection bias | Unclear | Authors do not disclose whether measurements were conducted by a blind assessor. | |
| Missing data bias ^ | Unclear | Authors do not specify whether cases were omitted due to incomplete data. | |
| Reporting bias | Low | All prespecified outcomes were reported. | |
| Juan et al. [7] (2017) | Selection bias * | - | - |
| Performance bias # | - | - | |
| Detection bias | High | Assessors measuring coronary angles were not blinded. | |
| Missing data bias | Unclear | Authors do not specify whether cases were omitted due to incomplete data. | |
| Reporting bias | Low | All prespecified outcomes were reported. | |
| Other: Measurement bias | Unclear | An unspecified portion of the acquired CCTA datasets from each group were of relatively low spatial resolution, which may have affected the accuracy of subsequent measurements for those cases. | |
| Moon et al. [15] (2018) | Selection bias * | - | - |
| Performance bias # | - | - | |
| Detection bias | Unclear | Authors do not disclose whether measurements were conducted by a blind assessor. | |
| Missing data bias ^ | Unclear | Authors do not specify whether cases were omitted due to incomplete data. | |
| Reporting bias | Low | All prespecified outcomes were reported. | |
| Other: Measurement bias | Unclear | Degree of coronary stenosis was measured solely on CCTA, and its appearance may have consistently been exacerbated in cases from the group with ≥50% stenosis due to blooming artefact associated with extensive calcification. | |
| Rodriguez-Granillo et al. [17] (2007) | Selection bias * | - | - |
| Performance bias # | - | - | |
| Detection bias | Unclear | Authors do not disclose whether measurements were conducted by a blind assessor. | |
| Missing data bias ^ | Unclear | Authors do not specify whether cases were omitted due to incomplete data. | |
| Reporting bias | Low | All prespecified outcomes were reported. | |
| Sun [16] (2013) | Selection bias * | - | - |
| Performance bias # | - | - | |
| Detection bias | Unclear | Authors do not disclose whether measurements were conducted by a blind assessor. | |
| Missing data bias ^ | Unclear | Authors do not specify whether cases were omitted due to incomplete data. | |
| Reporting bias | Low | All prespecified outcomes were reported. | |
| Sun & Cao [6] (2011) | Selection bias * | - | - |
| Performance bias # | - | - | |
| Detection bias | Unclear | Authors do not disclose whether measurements were conducted by a blind assessor. | |
| Missing data bias ^ | Unclear | Authors do not specify whether cases were omitted due to incomplete data. | |
| Reporting bias | Low | All prespecified outcomes were reported. | |
| Temov & Sun [4] (2016) | Selection bias * | - | - |
| Performance bias # | - | - | |
| Detection bias | Unclear | Authors do not disclose whether measurements were conducted by a blind assessor. | |
| Missing data bias ^ | High | An unspecified number of cases with unavailable CAD risk factor checklists were omitted from the study; coronary angle measurements were not completed for these cases. | |
| Reporting bias | Low | All prespecified outcomes were reported. | |
| Ziyrek et al. [19] (2020) | Selection bias * | - | - |
| Performance bias # | - | - | |
| Detection bias | Unclear | Authors do not disclose whether measurements were conducted by a blind assessor. | |
| Missing data bias ^ | Unclear | Authors do not specify whether cases were omitted due to incomplete data. | |
| Reporting bias | Low | All prespecified outcomes were reported. |
Publisher’s Note: MDPI stays neutral with regard to jurisdictional claims in published maps and institutional affiliations. |
© 2022 by the authors. Licensee MDPI, Basel, Switzerland. This article is an open access article distributed under the terms and conditions of the Creative Commons Attribution (CC BY) license (https://creativecommons.org/licenses/by/4.0/).
Share and Cite
Geerlings-Batt, J.; Sun, Z. Evaluation of the Relationship between Left Coronary Artery Bifurcation Angle and Coronary Artery Disease: A Systematic Review. J. Clin. Med. 2022, 11, 5143. https://doi.org/10.3390/jcm11175143
Geerlings-Batt J, Sun Z. Evaluation of the Relationship between Left Coronary Artery Bifurcation Angle and Coronary Artery Disease: A Systematic Review. Journal of Clinical Medicine. 2022; 11(17):5143. https://doi.org/10.3390/jcm11175143
Chicago/Turabian StyleGeerlings-Batt, Jade, and Zhonghua Sun. 2022. "Evaluation of the Relationship between Left Coronary Artery Bifurcation Angle and Coronary Artery Disease: A Systematic Review" Journal of Clinical Medicine 11, no. 17: 5143. https://doi.org/10.3390/jcm11175143
APA StyleGeerlings-Batt, J., & Sun, Z. (2022). Evaluation of the Relationship between Left Coronary Artery Bifurcation Angle and Coronary Artery Disease: A Systematic Review. Journal of Clinical Medicine, 11(17), 5143. https://doi.org/10.3390/jcm11175143

