Tibial Tubercle to Trochlear Groove Distance Measured by Posterior Condylar Reference Line on MRI Can Over-Evaluate Lateralization Deformity of Tibial Tubercle in Patients with Recurrent Patellar Dislocation
Abstract
1. Introduction
2. Materials and Methods
2.1. Study Population
2.2. MRI Technique
2.3. Measurements of Parameters
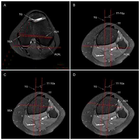
2.3.1. TT-TG Distance
2.3.2. Posterior Femoral Condylar Morphology
2.3.3. Trochlear Dysplasia
2.4. Statistical Analysis
3. Results
4. Discussion
5. Conclusions
Author Contributions
Funding
Institutional Review Board Statement
Informed Consent Statement
Data Availability Statement
Conflicts of Interest
References
- Sanders, T.L.; Pareek, A.; Johnson, N.R.; Stuart, M.J.; Dahm, D.L.; Krych, A.J. Patellofemoral Arthritis After Lateral Patellar Dislocation: A Matched Population-Based Analysis. Am. J. Sports Med. 2017, 45, 1012–1017. [Google Scholar] [CrossRef] [PubMed]
- Huntington, L.S.; Webster, K.E.; Devitt, B.M.; Scanlon, J.P.; Feller, J.A. Factors Associated with an Increased Risk of Recurrence after a First-Time Patellar Dislocation: A Systematic Review and Meta-analysis. Am. J. Sports Med. 2020, 48, 2552–2562. [Google Scholar] [CrossRef]
- Christensen, T.C.; Sanders, T.L.; Pareek, A.; Mohan, R.; Dahm, D.L.; Krych, A.J. Risk Factors and Time to Recurrent Ipsilateral and Contralateral Patellar Dislocations. Am. J. Sports Med. 2017, 45, 2105–2110. [Google Scholar] [CrossRef] [PubMed]
- Köhlitz, T.; Scheffler, S.; Jung, T.; Hoburg, A.; Vollnberg, B.; Wiener, E.; Diederichs, G. Prevalence and patterns of anatomical risk factors in patients after patellar dislocation: A case control study using MRI. Eur. Radiol. 2013, 23, 1067–1074. [Google Scholar] [CrossRef]
- Stephen, J.M.; Dodds, A.L.; Lumpaopong, P.; Kader, D.; Williams, A.; Amis, A.A. The ability of medial patellofemoral ligament reconstruction to correct patellar kinematics and contact mechanics in the presence of a lateralized tibial tubercle. Am. J. Sports Med. 2015, 43, 2198–2207. [Google Scholar] [CrossRef] [PubMed]
- Batailler, C.; Neyret, P. Trochlear dysplasia: Imaging and treatment options. EFORT Open Rev. 2018, 3, 240–247. [Google Scholar] [CrossRef]
- Xu, Z.; Zhang, H.; Guo, M.; Wen, Z.; Zhang, J.; Zhou, A. Malalignment sign on knee magnetic resonance imaging: A new predictor for excessive femoral anteversion in patients with patellar dislocation. Knee Surg. Sports Traumatol. Arthrosc. 2021, 29, 1075–1082. [Google Scholar] [CrossRef]
- Xu, Z.; Zhang, H.; Chen, J.; Mohamed, S.I.; Zhou, A. Femoral Anteversion Is Related to Tibial Tubercle-Trochlear Groove Distance in Patients with Patellar Dislocation. Arthroscopy 2020, 36, 1114–1120. [Google Scholar] [CrossRef]
- Imhoff, F.B.; Funke, V.; Muench, L.N.; Sauter, A.; Englmaier, M.; Woertler, K.; Imhoff, A.B.; Feucht, M.J. The complexity of bony malalignment in patellofemoral disorders: Femoral and tibial torsion, trochlear dysplasia, TT-TG distance, and frontal mechanical axis correlate with each other. Knee Surg. Sports Traumatol. Arthrosc. 2020, 28, 897–904. [Google Scholar] [CrossRef]
- Allen, M.M.; Krych, A.J.; Johnson, N.R.; Mohan, R.; Stuart, M.J.; Dahm, D.L. Combined Tibial Tubercle Osteotomy and Medial Patellofemoral Ligament Reconstruction for Recurrent Lateral Patellar Instability in Patients with Multiple Anatomic Risk Factors. Arthroscopy 2018, 34, 2420–2426.e3. [Google Scholar] [CrossRef]
- Heidenreich, M.J.; Camp, C.L.; Dahm, D.L.; Stuart, M.J.; Levy, B.A.; Krych, A.J. The contribution of the tibial tubercle to patellar instability: Analysis of tibial tubercle-trochlear groove (TT-TG) and tibial tubercle-posterior cruciate ligament (TT-PCL) distances. Knee Surg. Sports Traumatol. Arthrosc. 2017, 25, 2347–2351. [Google Scholar] [CrossRef] [PubMed]
- Dong, C.; Zhao, C.; Li, M.; Fan, C.; Feng, X.; Piao, K.; Hao, K.; Wang, F. Accuracy of tibial tuberosity-trochlear groove distance and tibial tuberosity-posterior cruciate ligament distance in terms of the severity of trochlear dysplasia. J. Orthop. Surg. Res. 2021, 16, 383. [Google Scholar] [CrossRef] [PubMed]
- Hinckel, B.B.; Gobbi, R.G.; Kihara Filho, E.N.; Demange, M.K.; Pécora, J.R.; Rodrigues, M.B.; Camanho, G.L. Why are bone and soft tissue measurements of the TT-TG distance on MRI different in patients with patellar instability? Knee Surg. Sports Traumatol. Arthrosc. 2017, 25, 3053–3060. [Google Scholar] [CrossRef]
- Xu, Z.; Zhang, H.; Yan, W.; Qiu, M.; Zhang, J.; Zhou, A. Validating the Role of Tibial Tubercle-Posterior Cruciate Ligament Distance and Tibial Tubercle-Trochlear Groove Distance Measured by Magnetic Resonance Imaging in Patients with Patellar Dislocation: A Diagnostic Study. Arthroscopy 2021, 37, 234–242. [Google Scholar] [CrossRef]
- Xu, Z.; Zhang, H.; Fu, B.; Mohamed, S.I.; Zhang, J.; Zhou, A. Tibial Tubercle-Roman Arch Distance: A New Measurement of Patellar Dislocation and Indication of Tibial Tubercle Osteotomy. Orthop. J. Sports Med. 2020, 8, 2325967120914872. [Google Scholar] [CrossRef] [PubMed]
- Seitlinger, G.; Scheurecker, G.; Högler, R.; Labey, L.; Innocenti, B.; Hofmann, S. Tibial tubercle-posterior cruciate ligament distance: A new measurement to define the position of the tibial tubercle in patients with patellar dislocation. Am. J. Sports Med. 2012, 40, 1119–1125. [Google Scholar] [CrossRef]
- Roger, J.; Lustig, S.; Cerciello, S.; Bruno, C.F.; Neyret, P.; Servien, E. Short lateral posterior condyle is associated with trochlea dysplasia and patellar dislocation. Knee Surg. Sports Traumatol. Arthrosc. 2019, 27, 731–739. [Google Scholar] [CrossRef] [PubMed]
- Yang, G.; Dai, Y.; Dong, C.; Kang, H.; Niu, J.; Lin, W.; Wang, F. Distal femoral morphological dysplasia is correlated with increased femoral torsion in patients with trochlear dysplasia and patellar instability. Bone Joint J. 2020, 102-b, 868–873. [Google Scholar] [CrossRef]
- Kobayashi, H.; Akamatsu, Y.; Kumagai, K.; Kusayama, Y.; Ishigatsubo, R.; Muramatsu, S.; Saito, T. The surgical epicondylar axis is a consistent reference of the distal femur in the coronal and axial planes. Knee Surg. Sports Traumatol. Arthrosc. 2014, 22, 2947–2953. [Google Scholar] [CrossRef]
- Abadie, P.; Galaud, B.; Michaut, M.; Fallet, L.; Boisrenoult, P.; Beaufils, P. Distal femur rotational alignment and patellar subluxation: A CT scan in vivo assessment. Orthop. Traumatol. Surg. Res. 2009, 95, 267–271. [Google Scholar] [CrossRef]
- Dagneaux, L.; Bin Abd Razak, H.R.; Laumonerie, P.; Faizhan, A.; LiArno, S.; Wellings, P.; Ollivier, M.; Jacquet, C. Bony asymmetry in patellofemoral morphology and risk factors of instability are mostly clinically negligible. Knee Surg. Sports Traumatol. Arthrosc. 2021, 29, 3793–3799. [Google Scholar] [CrossRef] [PubMed]
- Liu, X.; Ji, G.; Wang, X.; Kang, H.; Wang, F. CT-based morphological analysis of the posterior femoral condyle in patients with trochlear dysplasia. Knee 2017, 24, 231–236. [Google Scholar] [CrossRef] [PubMed]
- Chen, J.; Yin, B.; Yao, J.; Zhou, Y.; Zhang, H.; Zhang, J.; Zhou, A. Femoral anteversion measured by the surgical transepicondylar axis is a reliable parameter for evaluating femoral rotational deformities in patients with patellar dislocation. Knee Surg. Sports Traumatol. Arthrosc. 2022. [Google Scholar] [CrossRef] [PubMed]
- D’Ambrosi, R.; Meena, A.; Raj, A.; Ursino, N.; Hewett, T.E. Anterior Knee Pain: State of the Art. Sports Med. Open. 2022, 8, 98. [Google Scholar] [CrossRef]
- Friedman, M.V.; Hillen, T.J.; Misra, S.; Hildebolt, C.F.; Rubin, D.A. Quantitative Variable Assessment of Patellar Instability: An MRI-Based Study. AJR Am. J. Roentgenol. 2020, 215, 1163–1170. [Google Scholar] [CrossRef]
- Griffin, F.M.; Math, K.; Scuderi, G.R.; Insall, J.N.; Poilvache, P.L. Anatomy of the epicondyles of the distal femur: MRI analysis of normal knees. J. Arthroplast. 2000, 15, 354–359. [Google Scholar] [CrossRef]
- Raju, S.; Chinnakkannu, K.; Sunderayan, R.; Puttaswamy, M.K. Rotational landmarks of the distal femur in Indian population: A MRI-based study. J. Orthop. Surg. Res. 2015, 10, 186. [Google Scholar] [CrossRef][Green Version]
- Sharma, N.; Brown, A.; Bouras, T.; Kuiper, J.H.; Eldridge, J.; Barnett, A. The Oswestry-Bristol Classification. Bone Joint J. 2020, 102-b, 102–107. [Google Scholar] [CrossRef]
- Sharma, N.; Rehmatullah, N.; Kuiper, J.H.; Gallacher, P.; Barnett, A.J. Clinical validation of the Oswestry-Bristol Classification as part of a decision algorithm for trochlear dysplasia surgery. Bone Joint J. 2021, 103-b, 1586–1594. [Google Scholar] [CrossRef]
- Brady, J.M.; Sullivan, J.P.; Nguyen, J.; Mintz, D.; Green, D.W.; Strickland, S.; Shubin Stein, B.E. The Tibial Tubercle-to-Trochlear Groove Distance Is Reliable in the Setting of Trochlear Dysplasia, and Superior to the Tibial Tubercle-to-Posterior Cruciate Ligament Distance When Evaluating Coronal Malalignment in Patellofemoral Instability. Arthroscopy 2017, 33, 2026–2034. [Google Scholar] [CrossRef]
- Hodel, S.; Kabelitz, M.; Tondelli, T.; Vlachopoulos, L.; Sutter, R.; Fucentese, S.F. Introducing the Lateral Femoral Condyle Index as a Risk Factor for Anterior Cruciate Ligament Injury. Am. J. Sports Med. 2019, 47, 2420–2426. [Google Scholar] [CrossRef] [PubMed]
- Biedert, R.M.; Netzer, P.; Gal, I.; Sigg, A.; Tscholl, P.M. The lateral condyle index: A new index for assessing the length of the lateral articular trochlea as predisposing factor for patellar instability. Int. Orthop. 2011, 35, 1327–1331. [Google Scholar] [CrossRef] [PubMed]
- Lippacher, S.; Dejour, D.; Elsharkawi, M.; Dornacher, D.; Ring, C.; Dreyhaupt, J.; Reichel, H.; Nelitz, M. Observer agreement on the Dejour trochlear dysplasia classification: A comparison of true lateral radiographs and axial magnetic resonance images. Am. J. Sports Med. 2012, 40, 837–843. [Google Scholar] [CrossRef] [PubMed]
- Heidenreich, M.J.; Sanders, T.L.; Hevesi, M.; Johnson, N.R.; Wu, I.T.; Camp, C.L.; Dahm, D.L.; Krych, A.J. Individualizing the tibial tubercle to trochlear groove distance to patient specific anatomy improves sensitivity for recurrent instability. Knee Surg. Sports Traumatol. Arthrosc. 2018, 26, 2858–2864. [Google Scholar] [CrossRef]
- Camp, C.L.; Heidenreich, M.J.; Dahm, D.L.; Stuart, M.J.; Levy, B.A.; Krych, A.J. Individualizing the Tibial Tubercle-Trochlear Groove Distance: Patellar Instability Ratios That Predict Recurrent Instability. Am. J. Sports Med. 2016, 44, 393–399. [Google Scholar] [CrossRef]






| Variables | Study Group (n = 86) | Control Group (n = 86) | p Value |
|---|---|---|---|
| Sex, n | n.s | ||
| Female | 66 | 66 | |
| Male | 20 | 20 | |
| Age, mean ± SD, y | 21.2 ± 7.8 | 22.4 ± 7.2 | n.s |
| Side of knee, n | n.s | ||
| Left | 40 | 40 | |
| Right | 46 | 46 |
| Variables | Study Group | Control Group | p Value |
|---|---|---|---|
| TT-TG distance, mm | |||
| TT-TGp | 12.7 ± 4.0 | 8.2 ± 2.9 | <0.001 |
| TT-TGs | 12.0 ± 4.1 | 8.1 ± 3.0 | <0.001 |
| TT-TGa | 11.9 ± 4.2 | 8.0 ± 3.0 | <0.001 |
| TT-TG/TEW, % | |||
| TT-TGp/TEW | 17.6 ± 5.5 | 10.7 ± 3.8 | <0.001 |
| TT-TGs/TEW | 16.6 ± 5.6 | 10.5 ± 3.9 | <0.001 |
| TT-TGa/TEW | 16.4 ± 5.6 | 10.4 ± 3.9 | <0.001 |
| Trochlear dysplasia (Normal/Mild/Moderate/Severe) | 4/24/20/38 | 84/2/0/0 | <0.001 a |
| PCA, degree | 4.0 ± 1.9 | 3.2 ± 1.6 | 0.005 b |
| LPD, mm | 20.6 ± 2.8 | 23.6 ± 2.0 | <0.001 |
| MPD, mm | 25.4 ± 2.5 | 25.6 ± 1.7 | 0.457 |
| TEW, mm | 72.3 ± 5.7 | 76.7 ± 5.3 | <0.001 |
| LPD/TEW, % | 28.5 ± 3.3 | 30.9 ± 2.7 | <0.001 |
| MPD/TEW, % | 35.2 ± 2.8 | 33.5 ± 2.3 | <0.001 |
| LPD/MPD, % | 81.3 ± 6.6 | 92.3 ± 5.2 | <0.001 |
| PCA | LPD/MPD | Trochlear Dysplasia a | |
|---|---|---|---|
| TT-TGp distance | 0.046 | 0.025 | 0.474 ** |
| TT-TGs distance | 0.045 | 0.019 | 0.467 ** |
| TT-TGa distance | 0.037 | 0.039 | 0.504 ** |
| TT-TGp/TEW | 0.037 | 0.001 | 0.492 ** |
| TT-TGs/TEW | 0.037 | −0.004 | 0.479 ** |
| TT-TGa/TEW | 0.026 | 0.019 | 0.509 ** |
| AUC | p Value | Cutoff Value | Sensitivity, % | Specificity, % | |
|---|---|---|---|---|---|
| TT-TGp | 0.811 | <0.001 | 9.3 | 80.2 | 67.4 |
| TT-TGs | 0.777 | <0.001 | 8.5 | 82.6 | 60 |
| TT-TGa | 0.768 | <0.001 | 9.4 | 68.6 | 70.9 |
| TT-TGp/TEW | 0.85 | <0.001 | 13.9 | 77.9 | 77.9 |
| TT-TGs/TEW | 0.814 | <0.001 | 11.9 | 82.6 | 65.1 |
| TT-TGa/TEW | 0.805 | <0.001 | 14.8 | 59.3 | 89.5 |
| Pathological Value | OR | 95% CI | p Value | |
|---|---|---|---|---|
| TT-TGp | 12.9 mm | 18.68 | 6.28, 55.50 | <0.001 |
| TT-TGs | 13.0 mm | 11.12 | 4.08, 30.23 | <0.001 |
| TT-TGa | 12.9 mm | 14.76 | 4.96, 43.95 | <0.001 |
| TT-TGp/TEW | 16.9% | 17.78 | 6.56, 48.21 | <0.001 |
| TT-TGs/TEW | 16.9% | 17.01 | 5.72, 50.58 | <0.001 |
| TT-TGa/TEW | 16.8% | 11.12 | 4.09, 30.23 | <0.001 |
| Degree of Trochlear Dysplasia | TT-TGp Distance, mm | ICC (95% CI) | TT-TGs Distance, mm | ICC (95% CI) | TT-TGa Distance, mm | ICC (95% CI) |
|---|---|---|---|---|---|---|
| Normal | 8.1 ± 2.8 | 0.987 (0.977, 0.993) | 8.0 ± 2.9 | 0.984 (0.976, 0.993) | 7.9 ± 2.9 | 0.988 (0.983, 0.992) |
| Mild | 11.0 ± 3.7 | 0.985 (0.964, 0.996) | 10.4 ± 3.8 | 0.995 (0.988, 0.997) | 11.0 ± 3.7 | 0.987 (0.966, 0.995) |
| Moderate | 11.5 ± 3.9 | 0.926 (0.875, 0.969) | 10.8 ± 3.8 | 0.923 (0.889, 0.945) | 10.6 ± 3.8 | 0.926 (0.895, 0.951) |
| Severe | 14.9 ± 3.5 | 0.892 (0.835, 0.938) | 14.2 ± 3.6 | 0.876 (0.841, 0.922) | 15.2 ± 3.6 | 0.883 (0.857, 0.906) |
Publisher’s Note: MDPI stays neutral with regard to jurisdictional claims in published maps and institutional affiliations. |
© 2022 by the authors. Licensee MDPI, Basel, Switzerland. This article is an open access article distributed under the terms and conditions of the Creative Commons Attribution (CC BY) license (https://creativecommons.org/licenses/by/4.0/).
Share and Cite
Zhao, P.; Chen, J.; Feng, Y.; Tan, H.; Yin, B.; Zhang, H.; Zhang, J.; Zhou, A. Tibial Tubercle to Trochlear Groove Distance Measured by Posterior Condylar Reference Line on MRI Can Over-Evaluate Lateralization Deformity of Tibial Tubercle in Patients with Recurrent Patellar Dislocation. J. Clin. Med. 2022, 11, 5072. https://doi.org/10.3390/jcm11175072
Zhao P, Chen J, Feng Y, Tan H, Yin B, Zhang H, Zhang J, Zhou A. Tibial Tubercle to Trochlear Groove Distance Measured by Posterior Condylar Reference Line on MRI Can Over-Evaluate Lateralization Deformity of Tibial Tubercle in Patients with Recurrent Patellar Dislocation. Journal of Clinical Medicine. 2022; 11(17):5072. https://doi.org/10.3390/jcm11175072
Chicago/Turabian StyleZhao, Pei, Jiaxing Chen, Yi Feng, Hao Tan, Baoshan Yin, Hua Zhang, Jian Zhang, and Aiguo Zhou. 2022. "Tibial Tubercle to Trochlear Groove Distance Measured by Posterior Condylar Reference Line on MRI Can Over-Evaluate Lateralization Deformity of Tibial Tubercle in Patients with Recurrent Patellar Dislocation" Journal of Clinical Medicine 11, no. 17: 5072. https://doi.org/10.3390/jcm11175072
APA StyleZhao, P., Chen, J., Feng, Y., Tan, H., Yin, B., Zhang, H., Zhang, J., & Zhou, A. (2022). Tibial Tubercle to Trochlear Groove Distance Measured by Posterior Condylar Reference Line on MRI Can Over-Evaluate Lateralization Deformity of Tibial Tubercle in Patients with Recurrent Patellar Dislocation. Journal of Clinical Medicine, 11(17), 5072. https://doi.org/10.3390/jcm11175072

