Next Article in Journal
A Metallomic Approach to Assess Associations of Plasma Metal Levels with Amnestic Mild Cognitive Impairment and Alzheimer’s Disease: An Exploratory Study
Previous Article in Journal
Cardiorespiratory Fitness and Carotid Intima–Media Thickness in Physically Active Young Adults: CHIEF Atherosclerosis Study
 
 
Font Type:
Arial Georgia Verdana
Font Size:
Aa Aa Aa
Line Spacing:
Column Width:
Background:
Case Report

Collapsing Glomerulonephritis in a Kidney Transplant Recipient after mRNA SARS-CoV-2 Vaccination

by
Francisco Gómez Preciado
1,
Rosa Alejandra De Carvalho Ovalles
2,
Sergi Codina
1,
Laura Donadeu
3,
Alexandre Favà
1,
Laura Martinez Valenzuela
1,
Diego Sandoval
1,
Bárbara Fernández-Cidón
4,
Oriol Bestard
5,
Pedro Alia-Ramos
4,
Montserrat Gomà
2,
Edoardo Melilli
1,6,* and
Josep M Cruzado
1,6,7,*
1
Department of Nephrology, Hospital Universitari de Bellvitge (HUB), 08907 Barcelona, Spain
2
Pathology Department, Hospital Universitari de Bellvitge (HUB), 08907 Barcelona, Spain
3
Laboratory of Nephrology and Transplantation, Vall d’Hebron Institut de Recerca (VHIR), Vall d’Hebron Barcelona Hospital Campus, Universitat Autònoma de Barcelona, 08035 Barcelona, Spain
4
Clinical Laboratory, IDIBELL-Hospital Universitari de Bellvitge, L’Hospitalet de Llobregat, 08908 Barcelona, Spain
5
Kidney Transplant Unit, Nephrology Department, Vall d’Hebron Hospital Universitari, 08035 Barcelona, Spain
6
Biomedical Research Institute (IDIBELL), Hospital Duran i Reynals, L’Hospitalet de Llobregat, 08907 Barcelona, Spain
7
School of Medicine and Health Sciencies, University of Barcelona, L’Hospitalet de Llobregat, 08907, Barcelona, Spain
*
Authors to whom correspondence should be addressed.
J. Clin. Med. 2022, 11(13), 3651; https://doi.org/10.3390/jcm11133651
Submission received: 30 May 2022 / Revised: 20 June 2022 / Accepted: 23 June 2022 / Published: 24 June 2022
(This article belongs to the Section Nephrology & Urology)

Abstract

:
With the vaccination against severe acute respiratory syndrome coronavirus 2 (SARS-CoV-2), studies are describing cases of glomerulonephritis arising after vaccination. We present the first case of a kidney transplant patient who, after mRNA vaccination against SARS-CoV-2, developed nephrotic proteinuria and renal dysfunction, with a biopsy diagnostic of collapsing glomerulonephritis. No other triggers for this glomerulonephritis were identified. Antibodies against the spike protein were negative, but the patient developed a specific T-cell response. The close time between vaccination and the proteinuria suggests a possible determinant role of vaccination. We should be aware of nephropathies appearing after COVID-19 vaccination in kidney transplant recipients also.

1. Introduction

Severe acute respiratory syndrome coronavirus 2 (SARS-CoV-2) infection causes kidney dysfunction through various mechanisms. Both de novo glomerulonephritis and relapses have been reported. Among them, focal segmental glomerulosclerosis (FSGS) has been highlighted, specifically the collapsing glomerulonephritis (CG) variant [1,2,3]. Likewise, administration of the vaccine to the population has revealed cases of glomerulonephritis. There are four published cases of CG after administration of the vaccine in native kidneys, both after mRNA [4] and adenovirus-vector (AdV) vaccination [5]. Recently a case of CG after AdV vaccination in a kidney transplant recipient was also reported, but neither the humoral nor cellular response was studied [6]. We present the first case of a CG in a Caucasian kidney transplant patient developed after the administration of a mRNA COVID-19 vaccine.

2. Case Report

He is a 54-year-old man with a history of chronic kidney disease secondary to autosomal dominant polycystic kidney disease, with no other comorbidities. He received a pre-emptive kidney transplant from an unrelated living donor (wife) in 2013. The calculated panel reactive antibody (cPRA) was 0%; Luminex class I and II were negative. Induction was performed with Basiliximab and maintenance with tacrolimus (Advagraf) 4 mg in the morning, mophetil mycophenolate (MMF) 500 mg twice daily and prednisone 5 mg. A 3-month protocol biopsy showed hypertrophic glomeruli with moderate isolated glomerulitis (g2, ai0, at0, ti0, ptc0, av0, aah0, cg0, ci0, ct0, cv0, cm0, C4d0). Immunofluorescence and donor specific antibodies (DSA) were negative. In the last control before the event, he had an estimated glomerular filtration rate (eGFR) of 69 mL/min with a mild proteinuria of 48.6 g/mol, stable since 2017, and stable tacrolimus levels at around 5 µg/L.
The patient received the vaccine for SARS-CoV-2, mRNA-1273, with the first dose on 25 March 2021 and the second dose on 22 April 2021. Ten days after the first dose, he reported the appearance of lower limb oedema, that increased significantly after the second dose. The next day, a urinary dipstick showed high grade proteinuria and the patient promptly contacted our renal transplant unit. On 11 May 2021 we confirmed a nephrotic range proteinuria of 7810 mg/d, with mild creatinine elevation of 120 umol/L, eGFR of 59 mL/min, with plasma albumin in the low limit of 37 g/L and low total proteins of 58 g/L. He had reduced serum IgG (6773 mg/L). He showed indetectable BK, CMV and EBV PCR in blood. DSA were negative. The urine sediment did not show microhematuria. Due to severe nephrotic syndrome, with a proteinuria rising to 13,450 mg/d, a kidney biopsy was performed (Figure 1).
A total of 37 glomeruli were identified, two of which were globally sclerotic. Many of them showed segmental endocapillary hypercellularity occluding lumens and focal foamy macrophage infiltration. In those glomeruli, epithelial hypertrophy and hyperplasia in the Bowman space was seen. Intact portions of the glomeruli showed minimal mesangial expansion, and in other glomeruli collapse of the basement membrane was prominent. Focal acute tubular necrosis was the most relevant finding in the interstitial compartment.
Direct immunofluorescence evaluation was negative in the glomeruli. Additionally, C4d was negative in the peritubular capillaries.
Ultrastructural examination revealed extensive foot process effacement and segmental hypertrophied podocytes. No immune-type electron dense deposits were identified.
With those findings a diagnosis of CG was established. The evolution of kidney function and proteinuria is shown in the Figure 2.
The patient was receiving 4 mg of tacrolimus and had stable levels ranging from 4.7 to 7.6 ug/L. Due to the persistence of proteinuria and oedema, prednisone at 1 mg/kg was started. Afterwards tacrolimus levels decreased slightly to 3.7–5.6 ug/L, but the tacrolimus dosing was unchanged. After evolution he showed partial improvement, with a stabilization of eGFR at 50 mL/min and a marked reduction of proteinuria to 1240 mg/d.
APOL1 gene polymorphism risk variants for FSGS analysis provided negative results (G0/G0). We also performed an evaluation of immune responses at different compartments (serological, memory B cells (mBC) and cytokine (IFN-γ, IL-2, IFN-γ/IL-2) producing T cells) specific to the spike glycoprotein by ELISA and FluoroSpot-based assays, respectively [7]. Detailed information is provided as Supplementary Materials.
Vaccination did not elicit a humoral response in this individual; serologies for SARS-CoV-2 were negative for both anti-N and anti-S IgG (0.67 U/mL), reference value >80). Furthermore, spike specific IgG-producing mBC were not detected.
Nevertheless, T cell reactivity against the spike protein was observed by means of detectable IFN-γ and IL-2 producing specific T cells (11 and seven spots, respectively).

3. Discussion

FSGS represents a histological damage that encompasses a variety of conditions [8]. Due to the temporal association with vaccination, our case would be a secondary one.
Secondary FSGS usually presents with proteinuria without nephrotic syndrome, except in specific cases, such as the collapsing variant [9], which stands out due to its etiology and prognosis [10]. Its most common cause is HIV (HIVAN), for which according to animal experimentation [11], viral replication in the kidney seems essential. Furthermore, it is more frequent in African American ethnicity because there is an association with polymorphisms in the gene encoding APOL1 [12].
Other causes of CG are drugs, such as interferon, which induces APOL1 overexpression [13]. Other viruses have also been described as causative agents of CG, such as CMV, Parvovirus B19 and EBV, and their etiopathogenesis have also been related to dysregulation of inflammatory factors, although without clear evidence [14].
During the last year, CG has been defined as the most frequent histopathological diagnosis for COVID-19 patients with acute renal failure or proteinuria [1], giving birth to the term COVID-19 associated nephropathy (COVAN). It has also been described in kidney grafts [2,3,15]. One of the possible mechanisms for this kidney damage is the direct toxicity of the virus since autopsy studies have shown its presence in the kidneys [16]. However, in the cases of COVAN diagnosed by kidney biopsy, the viral presence has not been demonstrated so far, so alternatively it has been suggested that the increase of some cytokines like interferon may be the ultimate cause [17].
Moreover, collapsing glomerulopathy has also been described as a side effect of SARS-CoV-2 vaccination. Cases reported are summarized (Table 1 and Table 2).
The vaccine administered to our patient was mRNA-1273 (Moderna®). It is a messenger-RNA vaccine that is delivered in a lipid nanoparticle to be translated into viral protein S.
After the vaccine inoculation, the existence of both humoral, with consequent creation of antibodies, and cellular activation is known [7]. During this process, cytokines such as interferon are secreted. Thus, our hypothesis is that the administration of the vaccine could produce a CG through the secretion of cytokines in patients with unknown predisposing factors. Our patient did not have an allele risk variant for APOL1 protein. Collapsing glomerulopathies have been related to APOL1 risk allele variants, although cases without risk variants have also been described, including in COVAN [18]. Of the patients with collapsing glomerulopathy after SARS-CoV-2 vaccination, one of them was heterozygous for risk variant (G1/G0), which is not associated with increased risk of renal disease.
In our case, the patient did not present antibody titers after vaccination, a frequent finding in transplant patients. In this case the immunoglobulin decrease of nephrotic syndrome might be the reason. However, we identified memory T cells, showing an immune response to the vaccine.
We have not identified other triggering causes of CG in this patient. Although it could be an idiopathic case of CG, due to the temporal sequence, we believe it is secondary to the SARS-CoV-2 vaccine. In any case, the unicity of our case is reassuring us about the safety of vaccination against SARS-CoV-2 in the kidney transplant population.

Supplementary Materials

The following supporting information can be downloaded at: https://www.mdpi.com/article/10.3390/jcm11133651/s1, Supplementary information [7,19].

Author Contributions

Conceptualization, E.M, J.M.C., and F.G.P., methodology, M.G., R.A.D.C.O., S.C., L.D., L.M.V., D.S., B.F.-C., P.A.-R.; investigation, J.M.C., A.F., E.M., O.B., F.G.P.; writing—original draft preparation, F.G.P., A.F.; writing—review and editing, E.M.; visualization, F.G.P.; supervision, E.M.; project administration, J.M.C. All authors have read and agreed to the published version of the manuscript.

Funding

This research received no external funding.

Institutional Review Board Statement

The study was conducted according to the guidelines of the Declaration of Helsinki, and approved by the Ethics Committee of the Hospital Universitari de Bellvitge (protocol code PR170/22, 9 June 2022).

Informed Consent Statement

Written informed consent has been obtained from the patient(s) to publish this paper.

Data Availability Statement

The data that support the findings of this study are available from the corresponding author upon reasonable request.

Acknowledgments

We thank CERCA Program/Generalitat de Catalunya for institutional support; Bellvitge Biomedical Research Institute (IDIBELL); and also, the Instituto de Salud Carlos III (ISCIII) RETICS RedinRen RD16/0009/0003, founded by the European Union—NextGenerationEU.

Conflicts of Interest

The authors declare no conflict of interest.

References

  1. May, R.M.; Cassol, C.; Hannoudi, A.; Larsen, C.P.; Lerma, E.V.; Haun, R.S.; Braga, J.R.; Hassen, S.I.; Wilson, J.; VanBeek, C.; et al. A multi-center retrospective cohort study defines the spectrum of kidney pathology in Coronavirus 2019 Disease (COVID-19). Kidney Int. 2021, 100, 1303–1315. [Google Scholar] [CrossRef] [PubMed]
  2. Shetty, A.A.; Tawhari, I.; Safar-Boueri, L.; Seif, N.; Alahmadi, A.; Gargiulo, R.; Aggarwal, V.; Usman, I.; Kisselev, S.; Gharavi, A.G.; et al. COVID-19–Associated Glomerular Disease. J. Am. Soc. Nephrol. 2020, 32, 33–40. [Google Scholar] [CrossRef] [PubMed]
  3. Jeyalan, V.; Storrar, J.; Wu, H.H.L.; Ponnusamy, A.; Sinha, S.; Kalra, P.A.; Chinnadurai, R. Native and transplant kidney histopathological manifestations in association with COVID-19 infection: A systematic review. World J. Transplant. 2021, 11, 480–502. [Google Scholar] [CrossRef] [PubMed]
  4. Caza, T.N.; Cassol, C.A.; Messias, N.; Hannoudi, A.; Haun, R.S.; Walker, P.D.; May, R.M.; Seipp, R.M.; Betchick, E.J.; Amin, H.; et al. Glomerular Disease in Temporal Association with SARS-CoV-2 Vaccination: A Series of 29 Cases. Kidney360 2021, 2, 1770–1780. [Google Scholar] [CrossRef] [PubMed]
  5. Neves, P.D.; Caires, R.A.; Guimarães, M.P.; Costalonga, E.C.; Cavalcante, L.B.; e Silva, V.T.C.; Mattedi, F.Z.; Santana, L.F.; Teixeira-Júnior, A.A.; Gomes, O.V.; et al. Collapsing glomerulopathy following SARS-CoV-2 adenovirus-vector–based vaccine: Report of 2 cases. Kidney Int. 2022, 101, 637–639. [Google Scholar] [CrossRef]
  6. Jefferis, J.; Kassianos, A.J.; Grivei, A.; Doucet, B.; Healy, H.; Francis, L.; Mon, S.Y.; John, G.T. SARS-CoV-2 vaccination–associated collapsing glomerulopathy in a kidney transplant recipient. Kidney Int. 2022, 101, 635–636. [Google Scholar] [CrossRef] [PubMed]
  7. Favà, A.; Donadeu, L.; Sabé, N.; Pernin, V.; González-Costello, J.; Lladó, L.; Meneghini, M.; Charmetant, X.; García-Romero, E.; Cachero, A.; et al. SARS-CoV-2-Specific serological and functional T cell immune responses during acute and early COVID-19 convalescence in solid organ transplant patients. Am. J. Transplant. 2021, 21, 2749–2761. [Google Scholar] [CrossRef]
  8. De Vriese, A.S.; Sethi, S.; Nath, K.A.; Glassock, R.J.; Fervenza, F.C. Differentiating Primary, Genetic, and Secondary FSGS in Adults: A Clinicopathologic Approach. J. Am. Soc. Nephrol. 2018, 29, 759–774. [Google Scholar] [CrossRef] [PubMed] [Green Version]
  9. D’Agati, V.D.; Kaskel, F.J.; Falk, R.J. Focal Segmental Glomerulosclerosis. N. Engl. J. Med. 2011, 365, 2398–2411. [Google Scholar] [CrossRef] [Green Version]
  10. Korbet, S.M. Treatment of Primary FSGS in Adults. J. Am. Soc. Nephrol. 2012, 23, 1769–1776. [Google Scholar] [CrossRef] [Green Version]
  11. Bruggeman, L.A.; Dikman, S.; Meng, C.; Quaggin, S.E.; Coffman, T.M.; Klotman, P.E. Nephropathy in human immunodeficiency virus-1 transgenic mice is due to renal transgene expression. J. Clin. Investig. 1997, 100, 84–92. [Google Scholar] [CrossRef]
  12. Genovese, G.; Friedman, D.J.; Ross, M.D.; Lecordier, L.; Uzureau, P.; Freedman, B.I.; Bowden, D.W.; Langefeld, C.D.; Oleksyk, T.K.; Knob, A.L.U.; et al. Association of Trypanolytic ApoL1 Variants with Kidney Disease in African Americans. Science 2010, 329, 841–845. [Google Scholar] [CrossRef] [Green Version]
  13. Nichols, B.; Jog, P.; Lee, J.H.; Blackler, D.; Wilmot, M.; D’Agati, V.; Markowitz, G.; Kopp, J.B.; Alper, S.L.; Pollak, M.R.; et al. Innate immunity pathways regulate the nephropathy gene Apolipoprotein L1. Kidney Int. 2015, 87, 332–342. [Google Scholar] [CrossRef] [Green Version]
  14. Chandra, P.; Kopp, J.B. Viruses and collapsing glomerulopathy: A brief critical review: Table 1. Clin. Kidney J. 2012, 6, 1–5. [Google Scholar] [CrossRef] [Green Version]
  15. Daniel, E.; Sekulic, M.; Kudose, S.; Kubin, C.; Ye, X.; Shayan, K.; Patel, A.; Cohen, D.J.; Ratner, L.E.; Santoriello, D.; et al. Kidney allograft biopsy findings after COVID-19. Am. J. Transplant. 2021, 21, 4032–4042. [Google Scholar] [CrossRef]
  16. Hassler, L.; Reyes, F.; Sparks, M.A.; Welling, P.; Batlle, D. Evidence for and against Direct Kidney Infection by SARS-CoV-2 in Patients with COVID-19. Clin. J. Am. Soc. Nephrol. 2021, 16, 1755–1765. [Google Scholar] [CrossRef] [PubMed]
  17. Kapp, M.E.; Fogo, A.B.; Roufouse, C.; Najafian, B.; Radhakrishnan, J.; Mohan, S.; Miller, S.E.; D’Agati, V.D.; Silberzweig, J.I.; Barbar, T.; et al. Renal Considerations in COVID-19. ASAIO J. 2021, 67, 1087. [Google Scholar] [CrossRef]
  18. Kudose, S.; Santoriello, D.; Bomback, A.S.; Sekulic, M.; Batal, I.; Stokes, M.B.; Ghavami, I.A.; Kim, J.S.; Marasa, M.; Xu, K.; et al. Longitudinal Outcomes of COVID-19–Associated Collapsing Glomerulopathy and Other Podocytopathies. J. Am. Soc. Nephrol. 2021, 32, 2958–2969. [Google Scholar] [CrossRef]
  19. Luque, S.; Lúcia, M.; Crespo, E.; Jarque, M.; Grinyó, J.M.; Bestard, O. A multicolour HLA-specific B-cell FluoroSpot assay to functionally track circulating HLA-specific memory B cells. J. Immunol. Methods 2018, 462, 23–33. [Google Scholar] [CrossRef]
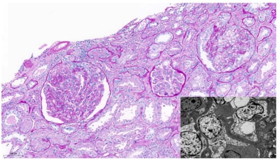
Figure 1. Periodic acid–Schiff stain x13: Endocapillary hypercellularity with epithelial hypertrophy in two glomeruli and segmental foam cells infiltration (top right). Basement membrane collapse. No necrotizing lesions were present. The interstitium shows mild focal infiltrates predominantly consisting of lymphocytes and plasma cells. No tubulitis, capillaritis or endothelialitis are present. The degree of interstitial fibrosis and tubular atrophy is mild. Electron microscopy: Extensive foot process effacement and segmental hypertrophied podocytes (lower left). Although some of the findings are consistent with the cellular variant, this image is, according to the Columbia classification, a Collapsing Glomerulopathy.
Figure 1. Periodic acid–Schiff stain x13: Endocapillary hypercellularity with epithelial hypertrophy in two glomeruli and segmental foam cells infiltration (top right). Basement membrane collapse. No necrotizing lesions were present. The interstitium shows mild focal infiltrates predominantly consisting of lymphocytes and plasma cells. No tubulitis, capillaritis or endothelialitis are present. The degree of interstitial fibrosis and tubular atrophy is mild. Electron microscopy: Extensive foot process effacement and segmental hypertrophied podocytes (lower left). Although some of the findings are consistent with the cellular variant, this image is, according to the Columbia classification, a Collapsing Glomerulopathy.
Jcm 11 03651 g001
Figure 2. Creatinine and proteinuria evolution through time and defining events. The X axis shows the dates of analysis. The Y axis (left) shows creatinine, and the Y axis (right) shows proteinuria.
Figure 2. Creatinine and proteinuria evolution through time and defining events. The X axis shows the dates of analysis. The Y axis (left) shows creatinine, and the Y axis (right) shows proteinuria.
Jcm 11 03651 g002
Table 1. Cases of Collapsing Glomerulonephritis following SARS-CoV-2 vaccination. Baseline characteristics.
Table 1. Cases of Collapsing Glomerulonephritis following SARS-CoV-2 vaccination. Baseline characteristics.
CaseRef.AgeSexEthnicityAPOL1 Risk
Alleles
Kidney
Transplant Recipient
Comorbidities
1Caza et al. [4]67FBlackG1/G1NoN/S
2Caza et al. [4]26FBlackG1/G2NoN/S
3Neves et al. [5]63FBlackG1/G0NoHypertension, heart
failure, dyslipidemia
4Neves et al. [5]58FN/SG2/G2NoMultiple myeloma with cast nephropathy
5Jefferis et al. [6]N/SFN/SN/SYesN/S
F: Female, N/S: Not specified.
Table 2. Cases of Collapsing Glomerulonephritis following SARS-CoV-2 vaccination. Presentation.
Table 2. Cases of Collapsing Glomerulonephritis following SARS-CoV-2 vaccination. Presentation.
CaseVaccine TypeDose NumberRenal PresentationBaseline Creatinine (mg/dL)Presentation Creatinine (mg/dL)Renal Outcome
1Moderna (RNA)2NS, AKINormal6.7Dialysis
2Moderna (RNA)2NS, AKINormal7.7Partial remission
3ChAdOx1 (AdV)1NSNormal0.88Complete remission
4ChAdOx1 (AdV)1NS, AKI2–3N/SDialysis
5ChAdOx1 (AdV)1NS, AKI1.41–2.116.03Dialysis
ChAdOx1: Oxford/AstraZeneca, AdV: Adenovirus based, NS: Nephrotic syndrome, AKI: Acute kidney injury, N/S: Not specified.
Publisher’s Note: MDPI stays neutral with regard to jurisdictional claims in published maps and institutional affiliations.

Share and Cite

MDPI and ACS Style

Gómez Preciado, F.; De Carvalho Ovalles, R.A.; Codina, S.; Donadeu, L.; Favà, A.; Martinez Valenzuela, L.; Sandoval, D.; Fernández-Cidón, B.; Bestard, O.; Alia-Ramos, P.; et al. Collapsing Glomerulonephritis in a Kidney Transplant Recipient after mRNA SARS-CoV-2 Vaccination. J. Clin. Med. 2022, 11, 3651. https://doi.org/10.3390/jcm11133651

AMA Style

Gómez Preciado F, De Carvalho Ovalles RA, Codina S, Donadeu L, Favà A, Martinez Valenzuela L, Sandoval D, Fernández-Cidón B, Bestard O, Alia-Ramos P, et al. Collapsing Glomerulonephritis in a Kidney Transplant Recipient after mRNA SARS-CoV-2 Vaccination. Journal of Clinical Medicine. 2022; 11(13):3651. https://doi.org/10.3390/jcm11133651

Chicago/Turabian Style

Gómez Preciado, Francisco, Rosa Alejandra De Carvalho Ovalles, Sergi Codina, Laura Donadeu, Alexandre Favà, Laura Martinez Valenzuela, Diego Sandoval, Bárbara Fernández-Cidón, Oriol Bestard, Pedro Alia-Ramos, and et al. 2022. "Collapsing Glomerulonephritis in a Kidney Transplant Recipient after mRNA SARS-CoV-2 Vaccination" Journal of Clinical Medicine 11, no. 13: 3651. https://doi.org/10.3390/jcm11133651

APA Style

Gómez Preciado, F., De Carvalho Ovalles, R. A., Codina, S., Donadeu, L., Favà, A., Martinez Valenzuela, L., Sandoval, D., Fernández-Cidón, B., Bestard, O., Alia-Ramos, P., Gomà, M., Melilli, E., & Cruzado, J. M. (2022). Collapsing Glomerulonephritis in a Kidney Transplant Recipient after mRNA SARS-CoV-2 Vaccination. Journal of Clinical Medicine, 11(13), 3651. https://doi.org/10.3390/jcm11133651

Note that from the first issue of 2016, this journal uses article numbers instead of page numbers. See further details here.

Article Metrics

Back to TopTop