Pathogenic Mutations and Putative Phenotype-Affecting Variants in Polish Myofibrillar Myopathy Patients
Abstract
1. Introduction
2. Materials and Methods
2.1. Patient Recruitment
2.2. Ethics Approval and Consent to Participate
2.3. Clinical Assessment
2.4. Genetic Analyses
2.5. Bioinformatic Analyses
3. Results
3.1. Whole Exome Sequencing
3.2. Clinical Data
4. Discussion
5. Conclusions
Supplementary Materials
Author Contributions
Funding
Institutional Review Board Statement
Informed Consent Statement
Data Availability Statement
Acknowledgments
Conflicts of Interest
References
- Selcen, D. Myofibrillar Myopathies. Neuromuscul. Disord. 2011, 21, 161–171. [Google Scholar] [CrossRef]
- Selcen, D.; Engel, A.G. Myofibrillar Myopathy. In GeneReviews(®); Pagon, R.A., Adam, M.P., Ardinger, H.H., Wallace, S.E., Amemiya, A., Bean, L.J., Bird, T.D., Ledbetter, N., Mefford, H.C., Smith, R.J., Eds.; University of Washington: Seattle, WA, USA, 1993. [Google Scholar]
- Fichna, J.P.; Maruszak, A.; Żekanowski, C. Myofibrillar Myopathy in the Genomic Context. J. Appl. Genet. 2018, 59, 431–439. [Google Scholar] [CrossRef]
- Lek, M.; MacArthur, D. The Challenge of Next Generation Sequencing in the Context of Neuromuscular Diseases. J. Neuromuscul. Dis. 2014, 1, 135–149. [Google Scholar] [CrossRef] [PubMed]
- Fichna, J.P.; Karolczak, J.; Potulska-Chromik, A.; Miszta, P.; Berdynski, M.; Sikorska, A.; Filipek, S.; Redowicz, M.J.; Kaminska, A.; Zekanowski, C. Two Desmin Gene Mutations Associated with Myofibrillar Myopathies in Polish Families. PLoS ONE 2014, 9, e115470. [Google Scholar] [CrossRef]
- Fichna, J.P.; Potulska-Chromik, A.; Miszta, P.; Redowicz, M.J.; Kaminska, A.M.; Zekanowski, C.; Filipek, S. A Novel Dominant D109A CRYAB Mutation in a Family with Myofibrillar Myopathy Affects ΑB-Crystallin Structure. BBA Clin. 2016, 7, 1–7. [Google Scholar] [CrossRef]
- Miller, S.A.; Dykes, D.D.; Polesky, H.F. A Simple Salting out Procedure for Extracting DNA from Human Nucleated Cells. Nucleic Acids Res. 1988, 16, 1215. [Google Scholar] [CrossRef] [PubMed]
- Robinson, J.T.; Thorvaldsdóttir, H.; Winckler, W.; Guttman, M.; Lander, E.S.; Getz, G.; Mesirov, J.P. Integrative Genomics Viewer. Nat. Biotechnol. 2011, 29, 24–26. [Google Scholar] [CrossRef]
- Wang, K.; Li, M.; Hakonarson, H. ANNOVAR: Functional Annotation of Genetic Variants from High-Throughput Sequencing Data. Nucleic Acids Res. 2010, 38, e164. [Google Scholar] [CrossRef]
- Masino, A.J.; Dechene, E.T.; Dulik, M.C.; Wilkens, A.; Spinner, N.B.; Krantz, I.D.; Pennington, J.W.; Robinson, P.N.; White, P.S. Clinical Phenotype-Based Gene Prioritization: An Initial Study Using Semantic Similarity and the Human Phenotype Ontology. BMC Bioinform. 2014, 15, 248. [Google Scholar] [CrossRef] [PubMed]
- Richards, S.; Aziz, N.; Bale, S.; Bick, D.; Das, S.; Gastier-Foster, J.; Grody, W.W.; Hegde, M.; Lyon, E.; Spector, E.; et al. Standards and Guidelines for the Interpretation of Sequence Variants: A Joint Consensus Recommendation of the American College of Medical Genetics and Genomics and the Association for Molecular Pathology. Genet. Med. 2015, 17, 405–424. [Google Scholar] [CrossRef] [PubMed]
- Ferreiro, A.; Ceuterick-de Groote, C.; Marks, J.J.; Goemans, N.; Schreiber, G.; Hanefeld, F.; Fardeau, M.; Martin, J.-J.; Goebel, H.H.; Richard, P.; et al. Desmin-Related Myopathy with Mallory Body-like Inclusions Is Caused by Mutations of the Selenoprotein N Gene. Ann. Neurol. 2004, 55, 676–686. [Google Scholar] [CrossRef]
- Kostera-Pruszczyk, A.; Goudeau, B.; Ferreiro, A.; Richard, P.; Simon, S.; Vicart, P.; Fidzianska, A. Myofibrillar Myopathy with Congenital Cataract and Skeletal Anomalies without Mutations in the Desmin, AlphaB-Crystallin, Myotilin, LMNA or SEPN1 Genes. Neuromuscul. Disord. 2006, 16, 759–762. [Google Scholar] [CrossRef]
- Moghadaszadeh, B.; Petit, N.; Jaillard, C.; Brockington, M.; Quijano Roy, S.; Merlini, L.; Romero, N.; Estournet, B.; Desguerre, I.; Chaigne, D.; et al. Mutations in SEPN1 Cause Congenital Muscular Dystrophy with Spinal Rigidity and Restrictive Respiratory Syndrome. Nat. Genet. 2001, 29, 17–18. [Google Scholar] [CrossRef] [PubMed]
- Stehlíková, K.; Skálová, D.; Zídková, J.; Haberlová, J.; Voháňka, S.; Mazanec, R.; Mrázová, L.; Vondráček, P.; Ošlejšková, H.; Zámečník, J.; et al. Muscular Dystrophies and Myopathies: The Spectrum of Mutated Genes in the Czech Republic. Clin. Genet. 2017, 91, 463–469. [Google Scholar] [CrossRef] [PubMed]
- Kubánek, M.; Schimerová, T.; Piherová, L.; Brodehl, A.; Krebsová, A.; Ratnavadivel, S.; Stanasiuk, C.; Hansíková, H.; Zeman, J.; Paleček, T.; et al. Desminopathy: Novel Desmin Variants, a New Cardiac Phenotype, and Further Evidence for Secondary Mitochondrial Dysfunction. J. Clin. Med. 2020, 9, 937. [Google Scholar] [CrossRef] [PubMed]
- Izawa, I.; Nishizawa, M.; Ohtakara, K.; Ohtsuka, K.; Inada, H.; Inagaki, M. Identification of Mrj, a DnaJ/Hsp40 Family Protein, as a Keratin 8/18 Filament Regulatory Protein. J. Biol. Chem. 2000, 275, 34521–34527. [Google Scholar] [CrossRef] [PubMed]
- Muriel, J.M.; O’Neill, A.; Kerr, J.P.; Kleinhans-Welte, E.; Lovering, R.M.; Bloch, R.J. Keratin 18 Is an Integral Part of the Intermediate Filament Network in Murine Skeletal Muscle. Am. J. Physiol. Cell Physiol. 2020, 318, C215–C224. [Google Scholar] [CrossRef]
- Jungbluth, H.; Sewry, C.A.; Muntoni, F. Core Myopathies. Semin. Pediatr. Neurol. 2011, 18, 239–249. [Google Scholar] [CrossRef]
- Bevilacqua, J.A.; Monnier, N.; Bitoun, M.; Eymard, B.; Ferreiro, A.; Monges, S.; Lubieniecki, F.; Taratuto, A.L.; Laquerrière, A.; Claeys, K.G.; et al. Recessive RYR1 Mutations Cause Unusual Congenital Myopathy with Prominent Nuclear Internalization and Large Areas of Myofibrillar Disorganization. Neuropathol. Appl. Neurobiol. 2011, 37, 271–284. [Google Scholar] [CrossRef]
- Clarke, N.F. Skeletal Muscle Disease Due to Mutations in Tropomyosin, Troponin and Cofilin. Adv. Exp. Med. Biol. 2008, 642, 40–54. [Google Scholar] [CrossRef]
- Ohlsson, M.; Fidzianska, A.; Tajsharghi, H.; Oldfors, A. TPM3 Mutation in One of the Original Cases of Cap Disease. Neurology 2009, 72, 1961–1963. [Google Scholar] [CrossRef]
- Waddell, L.B.; Kreissl, M.; Kornberg, A.; Kennedy, P.; McLean, C.; Labarre-Vila, A.; Monnier, N.; North, K.N.; Clarke, N.F. Evidence for a Dominant Negative Disease Mechanism in Cap Myopathy Due to TPM3. Neuromuscul. Disord. 2010, 20, 464–466. [Google Scholar] [CrossRef]
- Borovikov, Y.S.; Karpicheva, O.E.; Simonyan, A.O.; Avrova, S.V.; Rogozovets, E.A.; Sirenko, V.V.; Redwood, C.S. The Primary Causes of Muscle Dysfunction Associated with the Point Mutations in Tpm3.12; Conformational Analysis of Mutant Proteins as a Tool for Classification of Myopathies. Int. J. Mol. Sci. 2018, 19, 3975. [Google Scholar] [CrossRef]
- Gómez-López, G.; Dopazo, J.; Cigudosa, J.C.; Valencia, A.; Al-Shahrour, F. Precision Medicine Needs Pioneering Clinical Bioinformaticians. Brief. Bioinform. 2019, 20, 752–766. [Google Scholar] [CrossRef] [PubMed]
- Afzal, M.; Riazul Islam, S.M.; Hussain, M.; Lee, S. Precision Medicine Informatics: Principles, Prospects, and Challenges. IEEE Access 2020, 8, 13593–13612. [Google Scholar] [CrossRef]
- Fichna, J.P.; Macias, A.; Piechota, M.; Korostyński, M.; Potulska-Chromik, A.; Redowicz, M.J.; Zekanowski, C. Whole-Exome Sequencing Identifies Novel Pathogenic Mutations and Putative Phenotype-Influencing Variants in Polish Limb-Girdle Muscular Dystrophy Patients. Hum. Genom. 2018, 12, 34. [Google Scholar] [CrossRef] [PubMed]
- Zaganas, I.; Mastorodemos, V.; Spilioti, M.; Mathioudakis, L.; Latsoudis, H.; Michaelidou, K.; Kotzamani, D.; Notas, K.; Dimitrakopoulos, K.; Skoula, I.; et al. Genetic Cause of Heterogeneous Inherited Myopathies in a Cohort of Greek Patients. Mol. Genet. Metab. Rep. 2020, 25. [Google Scholar] [CrossRef]
- Gonzalez-Quereda, L.; Rodriguez, M.J.; Diaz-Manera, J.; Alonso-Perez, J.; Gallardo, E.; Nascimento, A.; Ortez, C.; Natera-de Benito, D.; Olive, M.; Gonzalez-Mera, L.; et al. Targeted Next-Generation Sequencing in a Large Cohort of Genetically Undiagnosed Patients with Neuromuscular Disorders in Spain. Genes 2020, 11, 539. [Google Scholar] [CrossRef]
- Niu, Z.; Pontifex, C.S.; Berini, S.; Hamilton, L.E.; Naddaf, E.; Wieben, E.; Aleff, R.A.; Martens, K.; Gruber, A.; Engel, A.G.; et al. Myopathy with SQSTM1 and TIA1 Variants: Clinical and Pathological Features. Front. Neurol. 2018, 9, 147. [Google Scholar] [CrossRef]
- Lemmers, R.J.L.F.; Tawil, R.; Petek, L.M.; Balog, J.; Block, G.J.; Santen, G.W.E.; Amell, A.M.; van der Vliet, P.J.; Almomani, R.; Straasheijm, K.R.; et al. Digenic Inheritance of an SMCHD1 Mutation and an FSHD-Permissive D4Z4 Allele Causes Facioscapulohumeral Muscular Dystrophy Type 2. Nat. Genet. 2012, 44, 1370–1374. [Google Scholar] [CrossRef] [PubMed]
- Lim, K.R.Q.; Nguyen, Q.; Yokota, T. DUX4 Signalling in the Pathogenesis of Facioscapulohumeral Muscular Dystrophy. Int. J. Mol. Sci. 2020, 21, 729. [Google Scholar] [CrossRef] [PubMed]
- Lam, C.-W.; Wong, K.-S.; Leung, H.-W.; Law, C.-Y. Limb Girdle Myasthenia with Digenic RAPSN and a Novel Disease Gene AK9 Mutations. Eur. J. Hum. Genet. 2017, 25, 192–199. [Google Scholar] [CrossRef] [PubMed]
- Bromberg, Y.; Capriotti, E.; Carter, H. VarI-COSI 2018: A Forum for Research Advances in Variant Interpretation and Diagnostics. BMC Genom. 2019, 20, 550. [Google Scholar] [CrossRef] [PubMed]
- Katsanis, N. The Continuum of Causality in Human Genetic Disorders. Genome Biol. 2016, 17, 233. [Google Scholar] [CrossRef]
- Kobayashi, Y.; Yang, S.; Nykamp, K.; Garcia, J.; Lincoln, S.E.; Topper, S.E. Pathogenic Variant Burden in the ExAC Database: An Empirical Approach to Evaluating Population Data for Clinical Variant Interpretation. Genome Med. 2017, 9, 13. [Google Scholar] [CrossRef] [PubMed]
- Spataro, N.; Rodríguez, J.A.; Navarro, A.; Bosch, E. Properties of Human Disease Genes and the Role of Genes Linked to Mendelian Disorders in Complex Disease Aetiology. Hum. Mol. Genet. 2017, 26, 489–500. [Google Scholar] [CrossRef] [PubMed]



| Features | Frequency (and Patient Numbers) |
|---|---|
| Family history positive | 7/13 (patients no 1a, 1b, 2, 3, 8a, 8b, 11 |
| Predominant distal weakness at the onset (distal myopathy) or Equivocal distal and proximal weakness of the lower limbs | 5/13 (1a, 2, 3, 6, 9) 7/13(1b, 4, 5, 7, 8b, 10, 11) |
| Rigid spine | 7/13 (4, 5, 6, 7, 9, 10,11) |
| Cataract | 2/11 (3, 9) |
| Cardiac involvement | 4/13 (2, 3, 6, 10) |
| Early respiratory involvement | 9/13 (4, 5, 6, 7, 8a, 8b, 9, 10, 11) |
| Normal or moderate elevated CK (maximum 2 x normal limit) | All patients |
| Myopathic changes in electromyography (EMG) | 12/13 (1a, 1b, 2, 3, 4, 6, 7, 8a, 8b, 9, 10, 11) |
| Changes in muscle biopsy suggestive of MFM | 9/13 (1b, 2, 3, 4, 5, 6, 7, 9, 10) |
| Patient No. | Onset | Inheritance | Causal Genotype | ACMG Criteria Met | Additional Variants in Following Genes |
|---|---|---|---|---|---|
| 1a | adulthood | dominant | DES c.1069_1077del (p.Ala357_Glu359del) | PM1, PM2, PM4, PP3, PP5 | NEB, RYR1, MYH3, COL6A3, HSPG2, FLNC, RBM20, TTN |
| 1b | adulthood | dominant | DES c.1069_1077del (p.Ala357_Glu359del) | PM1, PM2, PM4, PP3, PP5 | FKRP, COL6A3, ITGA7, HSPG2, CHKB, FLNC, RBM20, TTN |
| 2 | early adulthood | dominant | DES c.1043A>C (p.Gln348Pro) | PM1, PM2, PP2, PP3, PP5 | DNAJB6, DYSF, SYNE1, HSPG2, FLNC, TTN |
| 3 | early adulthood | dominant | CRYAB c.326A>C (p.Asp109Ala) | PM1, PM2, PM5, PP2, PP3 | SYNE1, HSPG2, TTN |
| 4 | childhood | sporadic | TPM3 c.502C>T (p.Arg168Cys) | PM1, PM2, PM5, PP2, PP3, PP5 | LDB3, GCH1, POMGNT2, ACTN3 |
| 5 | childhood | sporadic | SELENON c.713dupA (p.Asn238LysfsTer63) c.713dupA (p.Asn238LysfsTer63) | PVS1, PM2, PP3, PP5 | NEB, POMGNT2, DMD, TMPO, SYNE1, SYNE2 |
| 6 | early adulthood | sporadic | SELENON c.997_1000del (Val333Profs) c.1397G>A (p.Arg466Gln) | PVS1, PM2, PP3, PP5 PM2, PP2, PP3, PP5 | FLNC, COL6A2, KBTBD13, SYNE2, POMGNT2, SCN4A, TTN, SACS |
| 7 | childhood | sporadic | SELENON c.713dupA (p.Asn238LysfsTer63) c.713dupA (p.Asn238LysfsTer63) | PVS1, PM2, PP3, PP5 | TTN, ITGA7, POMT2, HSPG2, LAMA2, LDB3, SYNE1, SYNE2 |
| 8a | childhood | recessive | SELENON c.713dupA (p.Asn238LysfsTer63) c.997_1000del (Val333Profs) | PVS1, PM2, PP3, PP5 PVS1, PM2, PP3, PP5 | ACTN2, NEB, TTN, SQSTM1, SYNE1, ANO5, ITGA7, SCN4A |
| 8b | childhood | recessive | SELENON c.713dupA (p.Asn238LysfsTer63) c.997_1000del (Val333Profs) | PVS1, PM2, PP3, PP5 PVS1, PM2, PP3, PP5 | |
| 9 | childhood | sporadic | - | DYSF, LAMA2, NEB, PHKB, PUS1, TTN | |
| 10 | childhood | sporadic | - | NEB, COL6A3, DSP, SACS, TTN | |
| 11 | childhood | sporadic | - | LAMA4, GLA, TTN, FKBP14, SLC22A5 |
| No. | Family History/Gene | Sex | Age at Onset | First Symptoms | Neurological Examination | Ability to Walk | CK (U/L) 26-192 | EMG | Cardiac/Pulmonary Involvement |
|---|---|---|---|---|---|---|---|---|---|
| 1a | positive DES | F | 46 | Gait disorders, dyspnea after physical effort | Moderate weakness: proximal < distal, upper < lower; wasting of the lower limb muscles; deep tendon reflexes diminished in the lower limbs | Unable to go on the heels and on the toes. | 333 | Myopathic | None |
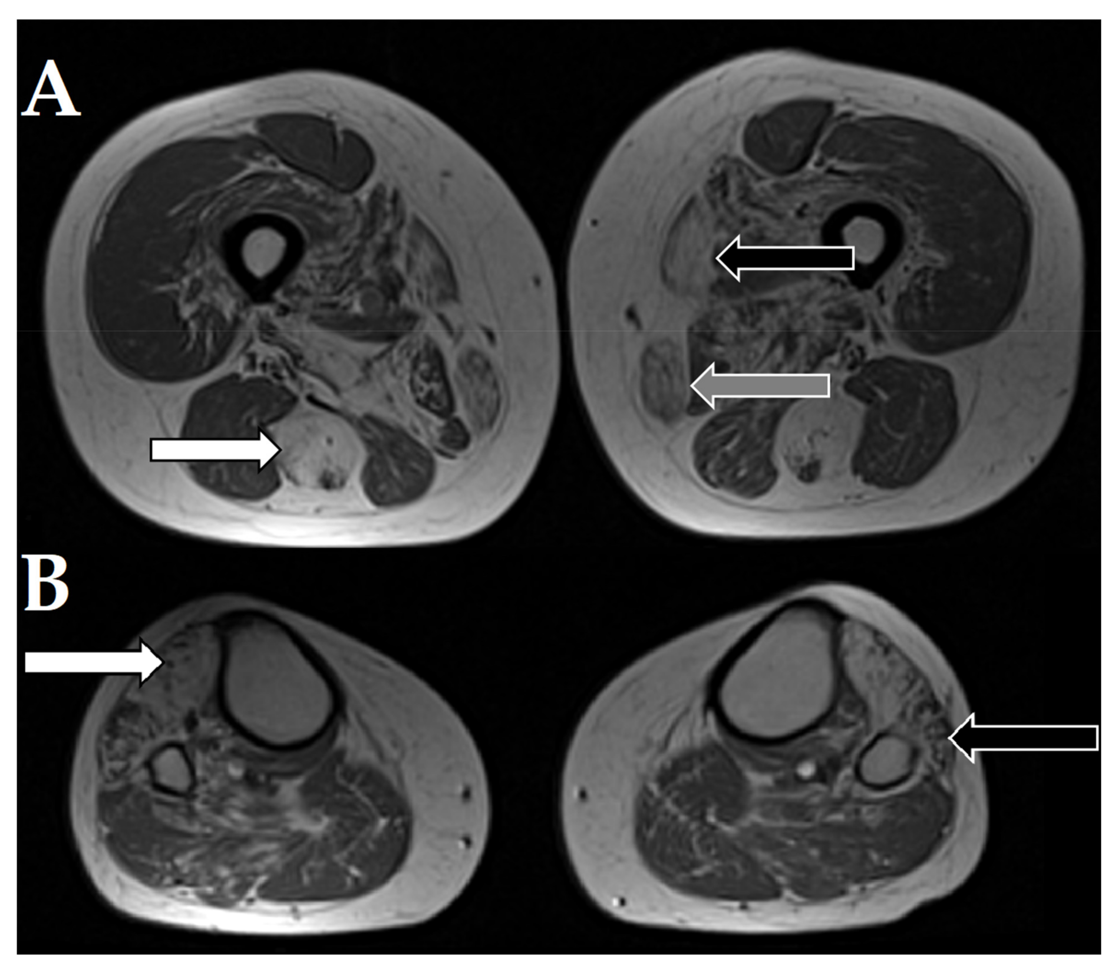
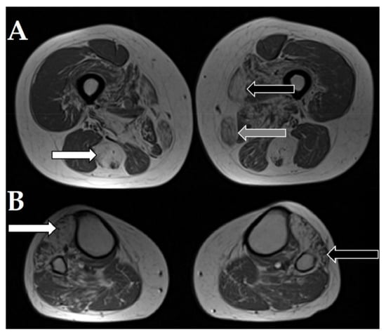
| Muscle MRI: severe symmetric changes in the iliopsoas, semitendinosus, and tibialis anterior muscles and slightly less pronounced abnormalities in the sartorius, gracilis, adductor magnus, short head of the biceps femoris, vastus, and gluteus muscles. | |||||||||
| 1b | positive DES | F | 39 | Gait disorders | Mild weakness: proximal = distal, upper = lower | Normal | 192 | Myopathic | None |
| Muscle biopsy: Biceps brachii LM: H&E staining revealed that the fascicular architecture of the muscle showed marked variability in fiber size and shape, with atrophy of the fibers in the form of “nuclear clumps”, several fibers with multiple centrally located nuclei. Trichrome staining revealed reddish inclusions in a few fibers. EM: Disintegration of myofibrils and accumulation of degradation products and desmin inclusions. | |||||||||
| 2 | positive DES | M | 21 | Fasciculations, muscle spasms, dropping feet | High arched palate; atrophy of the lower limb muscles; moderate weakness: proximal < distal, upper < lower, | Not on heels | 191 | Myopathic | Incomplete right bundle branch block (RBBB) |
| Muscle biopsy: Quadriceps femoris (vastus lateralis) muscle LM: H&E staining revealed atrophy of the fibers partially preserved as “nuclear clumps”. Trichrome staining revealed in some fibers small reddish or dark inclusions. Oxidative enzymes staining revealed marked atrophy of type 2 fibers, numerous lobulated fibers. EM: disintegration of myofibrils and accumulation of degradation products into inclusions containing desmin. IHC: Desmin aggregates. | |||||||||
| 3 | positive CRYAB | F | 26 | Progressive gait disorder, dropping feet | Moderate weakness: proximal < distal, upper < lower, deep tendon reflexes diminished in the lower limbs; dysphagia, dysphonia Cataracts surgery at the age of 35 y | Lost at the age of 58 | 250 | Myopathic | Cardiomyopathy at the age of 56. Respiratory failure at the age of 56.Noninvasive ventilation (BiPAP) required during the night. |
| Muscle biopsy: Quadriceps femoris (vastus lateralis) LM: H&E staining revealed moderate myopathic changes, variability in fiber size and shape, atrophy of fibers, and some fibers preserved in the form of “nuclear clumps”. The presence of dark red material in (HE) staining and dark blue material in trichrome; lobulated fibers in succinate dehydrogenase (SDH) staining. EM: disorganization of the sarcomeres, presence of electron dense material. IHC: CRYAB aggregates located beneath the sarcolemma and within the fibers, both in atrophic and normal-sized ones. | |||||||||
| 4 | Sporadic TPM3 | F | 9 | Progressive decline in physical activity, scoliosis | Rigid spine, high arched palate, mild weakness: proximal = distal, upper < lower; dysmorphic long myopathic face; ankle joint contractures | Not on heels | 44 | Myopathic | On plethysmography, slight restriction, not ventilated. |
| Muscle biopsy: Biceps brachii LM: Small hypoplastic type 1 muscle fibers, normal type 2 fibers. | |||||||||
| 5 | sporadic SELENON | M | 4 | Progressive gait disorder, motor development delay | Rigid spine dysmorphic myopathic face, clinodactyly, mild weakness: proximal = distal, upper < lower | Normal | 126 | Normal | On plethysmography, restriction. |
| Muscle biopsy: Quadriceps femoris (vastus lateralis) LM: H&E staining revealed muscle fibers with different diameters (normal, atrophic, and hypertrophic); in some fibers there were acidophilic inclusions in the cytoplasm, which in trichrome staining turned blue. IHC: Desmin and vimentin aggregates. | |||||||||
| 6 | sporadic SELENON | F | 7 | Rigid spine, scoliosis, fatigue | Moderate weakness: proximal < distal, upper < lower, deep tendon reflexes diminished in the lower limbs; weakness of the axial muscles, hyperlordosis, ankle joint contractures | Not on heels | 486 | Myopathic | On plethysmography, restriction, not ventilated; decreased left ventricular contractility. |
| Muscle biopsy: Quadriceps femoris (vastus lateralis) biopsy at the age of 8—discrete myopathic changes. IHC: Lamin A/C, lamin B2, and emerin aggregates. At the age of 17: LM: H&E staining revealed variability in fiber size and shape, some atrophied fibers preserved as “nuclear clumps”, necrosis in a few fibers, in trichrome staining, inclusions of dark red material. Oxidative enzyme stainings showed lobulated fibers. IHC: CRYAB and vimentin aggregates. | |||||||||
| 7 | sporadic SELENON | M | 2 | floppy baby syndrome, motor development delay, scoliosis, | Mild weakness: proximal = distal, upper < lower rigid spine, dysmorphic myopathic face, high arched palate, chest deformation, | Waddling gait | 540 | Myopathic | Chronic respiratory failure at age 4 noninvasive ventilation (BiPAP) required during the night. |
| Muscle MRI: absence of the semimembranosus muscle, severe fatty infiltration in the cervical and thoracic paraspinal, serratus anterior, and gluteus maximus muscles, moderate changes in the adductor magnus, sartorius, vastus lateralis, and gastrocnemius muscles and sternocleidomastoid muscle atrophy | |||||||||
| 8a | recessive SELENON | M | 3 mths | floppy baby syndrome, motor development delay, dysphagia | Moderate weakness: proximal > distal, upper < lower rigid spine, dysmorphic myopathic face, high arched palate, wadding gait | Not on heels | 114 | Myopathic | Chronic respiratory failure after pneumonia at age 4 noninvasive ventilation (BiPAP) required during the night. |
| Muscle MRI: absence of the semimembranosus muscle, severe fatty infiltration in the cervical paraspinal, serratus anterior, gluteus maximus, and sartorius muscles, moderate changes in the thoracic paraspinal, latissimus dorsi, pectoralis major, rotator cuff, adductor magnus, vastus lateralis, biceps femoris, semitendinosus, and gastrocnemius muscles and SCM atrophy | |||||||||
| 8b | recessive SEPN1 | F | At birth | Significant dysphagia, silent crying, floppy baby syndrome, motor development delay, | Mild weakness: proximal = distal, upper < lower, dysmorphic myopathic face, high arched palate, wadding gait, | Not on heels | 150 | Myopathic | Chronic respiratory failure after at age 3 noninvasive ventilation (BiPAP) required during the night. |
| Muscle biopsy/Muscle MRI: Not performed | |||||||||
| 9 | sporadic (not found) | M | Motor development delay, congenital defect of fingers and toes, epilepsy | Severe muscle weakness: proximal < distal, upper < lower, rigid spine, dysmorphic myopathic face, right ptosis, high arched palate, bilateral cataract, short stature | Not on heels | 274 | Myopathic | On plethysmography, restriction at age 10, noninvasive ventilation (BiPAP) required during the night. | |
| Muscle biopsy: Quadriceps muscle (vastus lateralis) LM: H&E staining revealed muscle fibers with different diameters (normal and hypertrophic), in some fibers acidophilic inclusions are visible in the cytoplasm, which in trichrome staining turned pink. IHC: CRYAB in aggregate-like structures. | |||||||||
| 10 | sporadic (not found) | M | 2 | Progressive gait disorders, fatigue, thin bones building, flaccid muscles | Mild weakness: proximal = distal, upper < lower rigid spine | Normal | 54 | Myopathic | Slightly decreased vital capacity at spirometry supraventricular wandering pacemaker. |
| Muscle biopsy: Biceps brachii LM: Discrete unspecific myopathic changes with multifocal defect of enzymatic activity in type 1 muscle fibers. IHC: Lamin A/C, laminB2 and emerin aggregates. | |||||||||
| 11 | positive (not found) | M | 7 | Gait disorders, scoliosis | Mild weaknes sproximal = distal, Upper < lower, deep tendon reflexes diminished in the lower limbs; rigid spine | Normal | 204 | Myopathic | On plethysmography-restriction |
| Muscle biopsy: Quadriceps femoris (vastus lateralis) LM: H&E staining revealed muscle fibers with different diameters (normal and atrophic), several fibers with necrosis and phagocytosis, large acidophilic inclusions are visible in the cytoplasm, which in trichrome staining turned dark blue. IHC: Desmin, CRYAB, and vimentin aggregates. EM: Disintegration of myofibrils, accumulation of mitochondria with irregular cristae and numerous lipid droplets. | |||||||||
Publisher’s Note: MDPI stays neutral with regard to jurisdictional claims in published maps and institutional affiliations. |
© 2021 by the authors. Licensee MDPI, Basel, Switzerland. This article is an open access article distributed under the terms and conditions of the Creative Commons Attribution (CC BY) license (http://creativecommons.org/licenses/by/4.0/).
Share and Cite
Potulska-Chromik, A.; Jędrzejowska, M.; Gos, M.; Rosiak, E.; Kierdaszuk, B.; Maruszak, A.; Opuchlik, A.; Zekanowski, C.; Fichna, J.P. Pathogenic Mutations and Putative Phenotype-Affecting Variants in Polish Myofibrillar Myopathy Patients. J. Clin. Med. 2021, 10, 914. https://doi.org/10.3390/jcm10050914
Potulska-Chromik A, Jędrzejowska M, Gos M, Rosiak E, Kierdaszuk B, Maruszak A, Opuchlik A, Zekanowski C, Fichna JP. Pathogenic Mutations and Putative Phenotype-Affecting Variants in Polish Myofibrillar Myopathy Patients. Journal of Clinical Medicine. 2021; 10(5):914. https://doi.org/10.3390/jcm10050914
Chicago/Turabian StylePotulska-Chromik, Anna, Maria Jędrzejowska, Monika Gos, Edyta Rosiak, Biruta Kierdaszuk, Aleksandra Maruszak, Andrzej Opuchlik, Cezary Zekanowski, and Jakub P. Fichna. 2021. "Pathogenic Mutations and Putative Phenotype-Affecting Variants in Polish Myofibrillar Myopathy Patients" Journal of Clinical Medicine 10, no. 5: 914. https://doi.org/10.3390/jcm10050914
APA StylePotulska-Chromik, A., Jędrzejowska, M., Gos, M., Rosiak, E., Kierdaszuk, B., Maruszak, A., Opuchlik, A., Zekanowski, C., & Fichna, J. P. (2021). Pathogenic Mutations and Putative Phenotype-Affecting Variants in Polish Myofibrillar Myopathy Patients. Journal of Clinical Medicine, 10(5), 914. https://doi.org/10.3390/jcm10050914

