Towards an Enhanced Tool for Quantifying the Degree of LV Hyper-Trabeculation
Abstract
1. Introduction
2. Methods
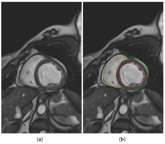
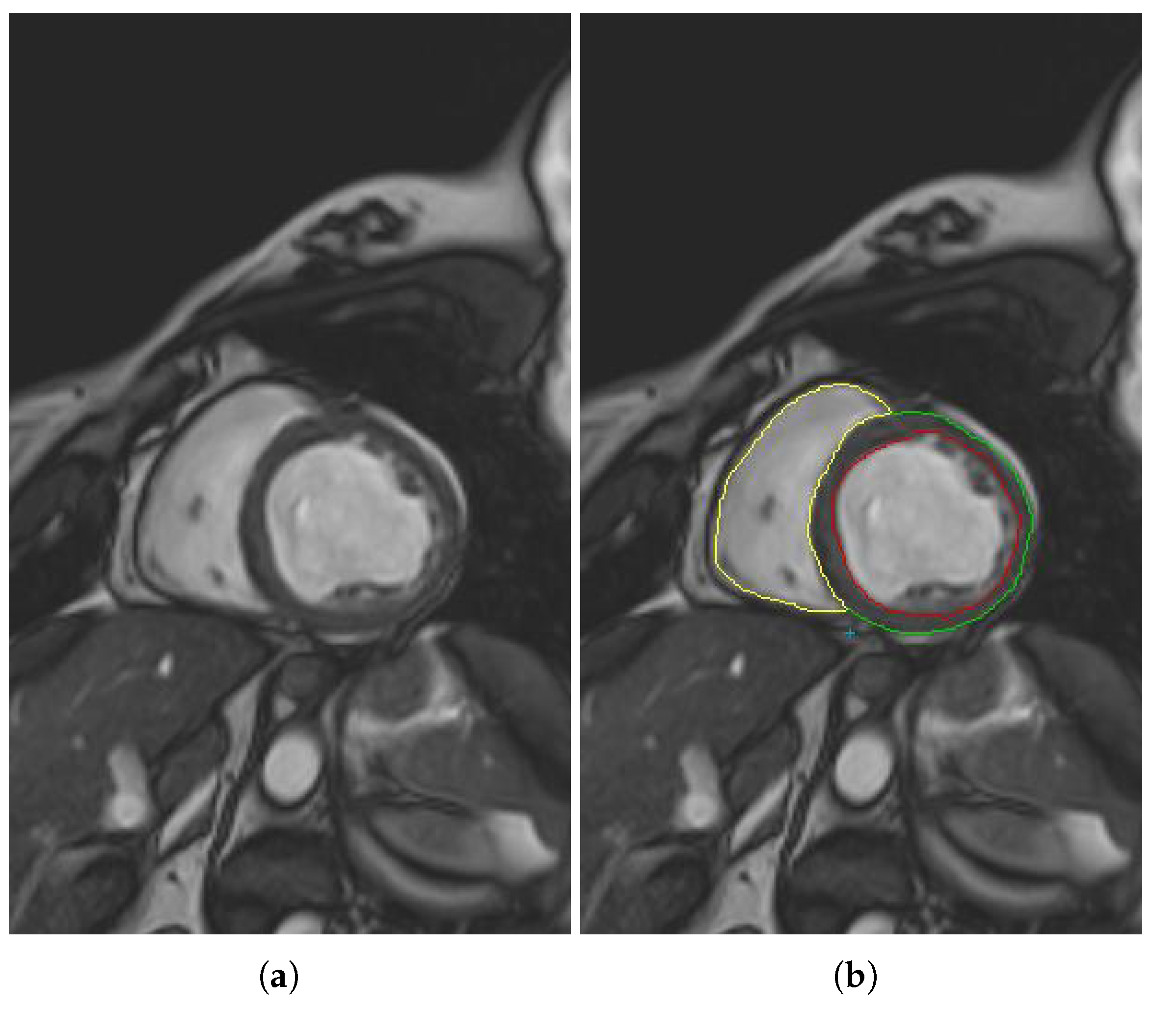
2.1. A Software Tool to Quantify the Trabeculae Degree in the LV Myocardium for a Population of Patients with Genetic Cardiomyopathies (QLVTHCI)
- The DICOM format is integrated to read the input images, which are the different slices obtained for a particular patient based on end-diastolic CMR images. The thickness of each slice (in mm), the spacing between slices (in mm), and the pixel spacing are automatically determined.
- The different MSERs are detected in a centered ROI of each input image by the use of OpenCV [23]. As the LV cavity is normally represented by a circular shape, the centroid of each MSER detected is computed in order to automatically identify the left ventricle cavity anywhere in the image and for applying the convex hull.
- The previous application of the convex hull allows a second refining to optimize the search process of the external layer and the trabeculae areas. The parameter e-expand is redefined and adjusted to accurately determine the external layer of the compact zone, thanks to plotting several lines from the centroid of the LV to reach the points of the external layer. This parameter establishes the distance of the lines between the centroid of the LV cavity and the possible space where the external layer can be found, taking into account the particular features of genetic cardiomyopathies. We optimized the parameter e-expand for different situations or possible cardiomyopathies.
- The accurate and reliable detection of the RV cavity at any location of a slice.
- The automatic processing of the slices stored in reverse order (from basal to apical).
2.2. Parallelization Of QLVTHCI
2.3. The Fractal Analysis
2.4. Populations
- A set of 59 patients (identified from X1 to X59) with previously diagnosed cardiomyopathies such as non-compacted cardiomyopathy, RV or LV arrhythmogenic cardiomyopathy, DCM, HCM, unclassifiable or mixed cardiomyopathies, and inherited cardiomyopathies.
- A group of 27 patients (identified as P1 to P27) with previously diagnosed LVNC cardiomyopathy meeting Petersen’s criteria [14].
2.5. Magnetic Resonance Protocol
2.6. Quality Evaluation by Medical Experts
3. Results
4. Comparison
5. Conclusions
Author Contributions
Funding
Institutional Review Board Statement
Informed Consent Statement
Data Availability Statement
Conflicts of Interest
References
- Maron, B.J.; Towbin, J.A.; Thiene, G.; Antzelevitch, C.; Corrado, D.; Arnett, D.; Moss, A.J.; Seidman, C.E.; Young, J.B. Contemporary Definitions and Classification of the Cardiomyopathies. Circulation 2006, 113, 1807–1816. [Google Scholar] [CrossRef] [PubMed]
- Rapezzi, C.; Arbustini, E.; Caforio, A.; Charron, P.; Gimeno-Blanes, J.; Heliö, T.; Linhart, A.; Mogensen, J.; Pinto, Y.; Ristic, A.; et al. Diagnostic work-up in cardiomyopathies: Bridging the gap between clinical phenotypes and final diagnosis. A position statement from the ESC Working Group on Myocardial and Pericardial Diseases. Eur. Heart J. 2013, 34, 1448–1458. [Google Scholar] [CrossRef] [PubMed]
- Brouwer, W.P.; Germans, T.; Head, M.C.; van der Velden, J.; Heymans, M.W.; Christiaans, I.; Houweling, A.C.; Wilde, A.A.; van Rossum, A.C. Multiple myocardial crypts on modified long-axis view are a specific finding in pre-hypertrophic HCM mutation carriers. Eur. Heart J. Cardiovasc. Imaging 2012, 13, 292–297. [Google Scholar] [CrossRef] [PubMed]
- Olivotto, I.; d’Amati, G.; Basso, C.; Van Rossum, A.; Patten, M.; Emdin, M.; Pinto, Y.; Tomberli, B.; Camici, P.G.; Michels, M. Defining phenotypes and disease progression in sarcomeric cardiomyopathies: Contemporary role of clinical investigations. Cardiovasc. Res. 2015, 105, 409–423. [Google Scholar] [CrossRef]
- Paterick, T.E.; Umland, M.M.; Jan, M.F.; Ammar, K.A.; Kramer, C.; Khandheria, B.K.; Seward, J.B.; Tajik, A.J. Left Ventricular Noncompaction: A 25-Year Odyssey. J. Am. Soc. Echocardiogr. 2012, 25, 363–375. [Google Scholar] [CrossRef]
- Luxán, G.; Casanova, J.C.; Martínez-Poveda, B.; Prados, B.; D’amato, G.; MacGrogan, D.; Gonzalez-Rajal, A.; Dobarro, D.; Torroja, C.; Martinez, F.; et al. Mutations in the NOTCH pathway regulator MIB1 cause left ventricular noncompaction cardiomyopathy. Nat. Med. 2013, 19, 193. [Google Scholar] [CrossRef]
- Elliott, P.M.; Gimeno, J.R.; Thaman, R.; Shah, J.; Ward, D.; Dickie, S.; Tome Esteban, M.T.; McKenna, W.J. Historical trends in reported survival rates in patients with hypertrophic cardiomyopathy. Heart 2006, 92, 785–791. [Google Scholar] [CrossRef]
- Hoedemaekers, Y.M.; Caliskan, K.; Majoor-Krakauer, D.; van de Laar, I.; Michels, M.; Witsenburg, M.; ten Cate, F.J.; Simoons, M.L.; Dooijes, D. Cardiac β-myosin heavy chain defects in two families with non-compaction cardiomyopathy: Linking non-compaction to hypertrophic, restrictive, and dilated cardiomyopathies. Eur. Heart J. 2007, 28, 2732–2737. [Google Scholar] [CrossRef]
- Wang, C.; Deng, Y.B.; Zhu, Y.; Liu, Y.N.; Bi, X.J. Evaluation of Subtle Myocardial Noncompaction by Contrast Echocardiography in Patients With Hypertrophic Cardiomyopathy and Its Relationship With Regional Ventricular Systolic Dysfunction. J. Ultrasound Med. 2012, 31, 1551–1557. [Google Scholar] [CrossRef]
- Elliott, P.M.; Anastasakis, A.; Borger, M.A.; Borggrefe, M.; Cecchi, F.; Charron, P.; Hagege, A.A.; Lafont, A.; Limongelli, G.; Mahrholdt, H. 2014 ESC Guidelines on diagnosis and management of hypertrophic cardiomyopathy. The Task Force for the Diagnosis and Management of Hypertrophic Cardiomyopathy of the European Society of Cardiology (ESC). Eur. Heart J. 2014, 35, 2733–2779. [Google Scholar]
- Germans, T.; Wilde, A.A.; Dijkmans, P.A.; Chai, W.; Kamp, O.; Pinto, Y.M.; van Rossum, A.C. Structural Abnormalities of the Inferoseptal Left Ventricular Wall Detected by Cardiac Magnetic Resonance Imaging in Carriers of Hypertrophic Cardiomyopathy Mutations. J. Am. Coll. Cardiol. 2006, 48, 2518–2523. [Google Scholar] [CrossRef] [PubMed]
- Towbin, J.A.; Lorts, A.; Jefferies, J.L. Left ventricular non-compaction cardiomyopathy. Lancet 2015, 386, 813–825. [Google Scholar] [CrossRef]
- Jenni, R.; Oechslin, E.N.; van der Loo, B. Isolated ventricular non-compaction of the myocardium in adults. Heart 2007, 93, 11–15. [Google Scholar] [CrossRef] [PubMed]
- Petersen, S.E.; Selvanayagam, J.B.; Wiesmann, F.; Robson, M.D.; Francis, J.M.; Anderson, R.H.; Watkins, H.; Neubauer, S. Left Ventricular Non-Compaction: Insights From Cardiovascular Magnetic Resonance Imaging. J. Am. Coll. Cardiol. 2005, 46, 101–105. [Google Scholar] [CrossRef]
- Jacquier, A.; Thuny, F.; Jop, B.; Giorgi, R.; Cohen, F.; Gaubert, J.Y.; Vidal, V.; Bartoli, J.M.; Habib, G.; Moulin, G. Measurement of trabeculated left ventricular mass using cardiac magnetic resonance imaging in the diagnosis of left ventricular non-compaction. Eur. Heart J. 2010, 31, 1098–1104. [Google Scholar] [CrossRef]
- Captur, G.; Lopes, L.R.; Patel, V.; Li, C.; Bassett, P.; Syrris, P.; Sado, D.M.; Maestrini, V.; Mohun, T.J.; McKenna, W.J.; et al. Abnormal Cardiac Formation in Hypertrophic Cardiomyopathy-Fractal Analysis of Trabeculae and Preclinical Gene Expression. Circ. Genom. Precis. Med. 2014, 7, 241–248. [Google Scholar]
- Captur, G.; Muthurangu, V.; Cook, C.; Flett, A.S.; Wilson, R.; Barison, A.; Sado, D.M.; Anderson, S.; McKenna, W.J.; Mohun, T.J.; et al. Quantification of left ventricular trabeculae using fractal analysis. J. Cardiovasc. Magn. Reson. 2013, 15, 36. [Google Scholar] [CrossRef]
- Jenni, R.; Oechslin, E.; Schneider, J.; Jost, C.A.; Kaufmann, P.A. Echocardiographic and pathoanatomical characteristics of isolated left ventricular non-compaction: A step towards classification as a distinct cardiomyopathy. Heart 2001, 86, 666–671. [Google Scholar] [CrossRef]
- Stöllberger, C.; Finsterer, J. Left ventricular hypertrabeculation/noncompaction. J. Am. Soc. Echocardiogr. 2004, 17, 91–100. [Google Scholar] [CrossRef]
- Bernabé, G.; Casanova, J.D.; Cuenca, J. A self-optimized software tool for quantifying the degree of left ventricle hyper-trabeculation. J. Supercomput. 2018. [Google Scholar] [CrossRef]
- Bernabé, G.; Cuenca, J.; de Teruel, P.E.L.; Giménez, D.; González-Carrillo, J. A software tool for the automatic quantification of the left ventricle myocardium hyper-trabeculation degree. Procedia Comput. Sci. 2015, 51, 610–619. [Google Scholar] [CrossRef]
- Bernabé, G.; González-Carrillo, J.; Cuenca, J.; Rodríguez, D.; Saura, D.; Gimeno-Blanes, J.R. Performance of a New Software Tool for Automatic Quantification of Left Ventricular Trabeculations. Rev. Española Cardiol. 2017, 70, 405–407. [Google Scholar] [CrossRef] [PubMed]
- OpenCV: Open Source Computer Vision Library. 2017. Available online: https://opencv.org/ (accessed on 21 May 2020).
- Gibson, D.; Spann, M.; Woolley, S.I. A wavelet-based region of interest encoder for the compression of angiogram video sequences. IEEE Trans. Inf. Technol. Biomed. 2004, 8, 103–113. [Google Scholar] [CrossRef] [PubMed]







| Hospital | HMC | UHVA |
|---|---|---|
| Analysis | AW4.3-08 | View-Forum 6.3 |
| Scanner | 1.5 T scanner | 1.5 T magnet |
| Provider | General Electric Systems | Philips Medical Systems |
| Repetition interval | 3.8 ms | 3.3 ms |
| Echo time | 1.7 ms | 1.7 ms |
| Flip | 60° | 60° |
| Matrix | 224 × 224 | 192 × 256 |
| Echo train length | 23 | 23 |
| Cutting thickness | 8 mm | 8 mm |
| Space between slices | 2 mm | 2 mm |
| Phases | 20 | 20 |
| 5.0 | 4.5 | 4.0 | 3.5 | 3.0 | 2.5 | 2.0 | 1.5 | 1.0 | |
|---|---|---|---|---|---|---|---|---|---|
| QLVTHCI | 93.19% | 5.74% | 1.06% | 0.00% | 0.00% | 0.00% | 0.00% | 0.00% | 0.00% |
| Patient | FD | TM% | Patient | FD | TM% | Patient | FD | TM% |
|---|---|---|---|---|---|---|---|---|
| P1 | 1.37 | 38.51 | P10 | 1.34 | 28.99 | P19 | 1.34 | 31.73 |
| P2 | 1.31 | 31.43 | P11 | 1.26 | 28.62 | P20 | 1.24 | 28.78 |
| P3 | 1.28 | 32.29 | P12 | 1.31 | 34.31 | P21 | 1.31 | 34.06 |
| P4 | 1.21 | 31.51 | P13 | 1.20 | 37.34 | P22 | 1.32 | 36.30 |
| P5 | 1.33 | 44.72 | P14 | 1.27 | 47.35 | P23 | 1.27 | 29.04 |
| P6 | 1.30 | 40.73 | P15 | 1.21 | 33.98 | P24 | 1.38 | 32.20 |
| P7 | 1.23 | 37.28 | P16 | 1.37 | 34.71 | P25 | 1.30 | 29.14 |
| P8 | 1.39 | 31.02 | P17 | 1.27 | 30.94 | P26 | 1.33 | 36.33 |
| P9 | 1.28 | 27.40 | P18 | 1.27 | 30.15 | P27 | 1.18 | 32.10 |
| Basal | Middle | Apical | |||||||
|---|---|---|---|---|---|---|---|---|---|
| Patient | B1 | B2 | B3 | M1 | M2 | M3 | A1 | A2 | A3 |
| P4-FD | 1.08 | 1.17 | 1.32 | 1.27 | 1.21 | 1.31 | 1.11 | ||
| P4-TM% | 19.15 | 31.14 | 36.11 | 30.39 | 40.69 | 29.88 | 29.96 | ||
| P7-FD | 1.10 | 1.14 | 1.20 | 1.20 | 1.13 | 1.19 | 1.31 | 1.27 | 1.44 |
| P7-TM% | 28.61 | 21.14 | 39.59 | 44.45 | 44.60 | 38.53 | 32.41 | 48.67 | 34.36 |
| P13-FD | 1.13 | 1.21 | 1.35 | 1.27 | 1.28 | 1.31 | 1.24 | 1.06 | 1.11 |
| p13-TM% | 0.81 | 24.77 | 33.29 | 44.75 | 46.19 | 49.17 | 51.89 | 43.59 | 30.38 |
| P15-FD | 1.22 | 1.26 | 1.23 | 1.18 | 1.18 | 1.21 | 1.17 | 1.27 | |
| P15-TM% | 48.14 | 43.79 | 37.44 | 35.61 | 25.12 | 31.16 | 45.73 | 30.33 | |
| P20-FD | 1.17 | 1.23 | 1.20 | 1.33 | 1.33 | 1.21 | 1.20 | 1.22 | |
| P20-TM% | 35.44 | 36.20 | 31.02 | 41.35 | 34.06 | 25.64 | 18.21 | 18.87 | |
| P27-FD | 1.19 | 1.17 | 1.17 | 1.18 | 1.25 | 1.14 | |||
| P27-TM% | 33.83 | 36.73 | 34.61 | 26.01 | 22.46 | 35.93 | |||
Publisher’s Note: MDPI stays neutral with regard to jurisdictional claims in published maps and institutional affiliations. |
© 2021 by the authors. Licensee MDPI, Basel, Switzerland. This article is an open access article distributed under the terms and conditions of the Creative Commons Attribution (CC BY) license (http://creativecommons.org/licenses/by/4.0/).
Share and Cite
Bernabé, G.; Casanova, J.D.; González-Carrillo, J.; Gimeno-Blanes, J.R. Towards an Enhanced Tool for Quantifying the Degree of LV Hyper-Trabeculation. J. Clin. Med. 2021, 10, 503. https://doi.org/10.3390/jcm10030503
Bernabé G, Casanova JD, González-Carrillo J, Gimeno-Blanes JR. Towards an Enhanced Tool for Quantifying the Degree of LV Hyper-Trabeculation. Journal of Clinical Medicine. 2021; 10(3):503. https://doi.org/10.3390/jcm10030503
Chicago/Turabian StyleBernabé, Gregorio, José D. Casanova, Josefa González-Carrillo, and Juan R. Gimeno-Blanes. 2021. "Towards an Enhanced Tool for Quantifying the Degree of LV Hyper-Trabeculation" Journal of Clinical Medicine 10, no. 3: 503. https://doi.org/10.3390/jcm10030503
APA StyleBernabé, G., Casanova, J. D., González-Carrillo, J., & Gimeno-Blanes, J. R. (2021). Towards an Enhanced Tool for Quantifying the Degree of LV Hyper-Trabeculation. Journal of Clinical Medicine, 10(3), 503. https://doi.org/10.3390/jcm10030503

