An Observational Study on Patients with Acute Limb Ischemia and SARS-CoV-2 Infection: Early and Late Results in Limb Salvage Rate
Abstract
:1. Introduction
2. Materials and Methods
Statistical Analysis
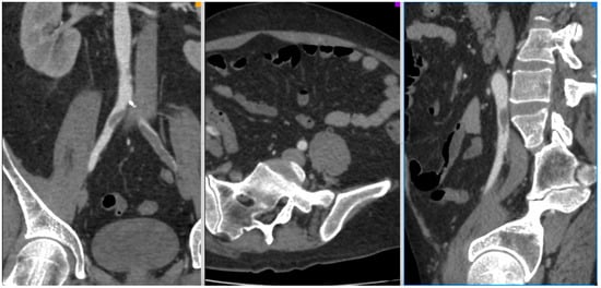
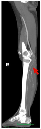
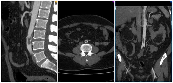
3. Results
4. Discussion
Study Limitations
5. Conclusions
Author Contributions
Funding
Institutional Review Board Statement
Informed Consent Statement
Conflicts of Interest
References
- Available online: https://www.who.int/emergencies/diseases/novel-coronavirus-2019/situation-reports (accessed on 1 September 2021).
- Terpos, E.; Ntanasis-Stathopoulos, I.; Elalamy, I.; Kastritis, E.; Sergentanis, T.N.; Politou, M.; Psaltopoulou, T.; Gerotziafas, G.; Dimopoulos, M.A. Hematological findings and complications of COVID-19. Am. J. Hematol. 2020, 95, 834–847. [Google Scholar] [CrossRef] [PubMed] [Green Version]
- Magro, C.; Mulvey, J.J.; Berlin, D.; Nuovo, G.; Salvatore, S.; Harp, J.; Baxter-Stoltzfus, A.; Laurence, J. Complement associated microvascular injury and thrombosis in the pathogenesis of severe COVID-19 infection: A report of five cases. Transl. Res. 2020, 220, 1–13. [Google Scholar] [CrossRef]
- Veerasuri, S.; Kulkarni, S.R.; Wilson, W.R.; Paravastu, S.C.V. Bilateral Acute Lower Limb Ischemia Secondary to COVID-19. Vasc. Endovasc. Surg. 2021, 55, 196–199. [Google Scholar] [CrossRef]
- Biswal, J.K.; Mohanty, S.K.; Behera, S.N.; Swain, S.K.; Sahoo, A.K. Acute Limb Ischemia: A Catastrophic COVID-19 Sequel Leading to Amputation. Cureus 2021, 13, 16456. [Google Scholar] [CrossRef]
- Bjorck, M.; Earnshaw, J.J.; Acosta, S.; Goncalves, F.B.; Cochennec, F.; Debus, E.S.; Hinchliffe, R.; Jongkind, V.; Koelemay, M.J.W.; Menyhei, G.; et al. European Society for Vascular Surgery (ESVS) 2020 Clinical Practice Guidelines on the Management of Acute Limb Ischemia. Eur. J. Vasc. Endovasc. Surg. 2020, 59, 173–218. [Google Scholar] [CrossRef] [PubMed] [Green Version]
- Sule, W.F.; Oluwayelu, D.O. Real-time RT-PCR for COVID-19 diagnosis: Challenges and prospects. Pan. Afr. Med. J. 2020, 35 (Suppl. 2), 121. [Google Scholar] [CrossRef]
- Tseng, C.-L.; Helmer, D.; Rajan, M.; Tiwari, A.; Miller, D.; Crystal, S.; Safford, M.; Greenberg, J.; Pogach, L. Evaluation of regional variation in total, major, and minor amputation rates in a national health-care system. Int. J. Qual. Health Care 2007, 19, 368–376. [Google Scholar] [CrossRef]
- Spyropoulos, A.C.; Ageno, W.; Albers, G.W.; Elliott, C.G.; Halperin, J.L.; Hiatt, W.R.; Maynard, G.A.; Steg, P.G.; Weitz, J.I.; Suh, E.; et al. Rivaroxaban for Thromboprophylaxis after Hospitalization for Medical Illness. N. Engl. J. Med. 2018, 379, 1118–1127. [Google Scholar] [CrossRef] [PubMed]
- Steffel, J.; Eikelboom, J.W.; Anand, S.S.; Shestakovska, O.; Yusuf, S.; Fox, K.A.A. The COMPASS Trial. Net Clinical Benefit of Low-Dose Rivaroxaban plus Aspirin as Compared with Aspirin in Patients With Chronic Vascular Disease. Circulation 2020, 142, 40–48. [Google Scholar] [CrossRef]
- Cheruiyot, I.; Kipkorir, V.; Ngure, B.; Misiani, M.; Munguti, J.; Ogeng’O, J. Arterial Thrombosis in Coronavirus Disease 2019 Patients: A Rapid Systematic Review. Ann. Vasc. Surg. 2021, 70, 273–281. [Google Scholar] [CrossRef]
- Klok, F.A.; Kruip, M.J.H.A.; van der Meer, N.J.M.; Arbous, M.S.; Gommers, D.A.M.P.J.; Kant, K.M.; Kaptein, F.H.J.; van Paassen, J.; Stals, M.A.M.; Huisman, M.V.; et al. Incidence of thrombotic complications in critically ill ICU patients with COVID-19. Thromb. Res. 2020, 191, 145–147. [Google Scholar] [CrossRef] [PubMed]
- Helms, J.; Tacquard, C.; Severac, F.; Leonard-Lorant, I.; Ohana, M.; Delabranche, X.; Merdji, H.; Clere-Jehl, R.; Schenck, M.; Gandet, F.F.; et al. CRICS TRIGGERSEP Group (Clinical Research in Intensive Care and Sepsis Trial Group for Global Evaluation and Research in Sepsis); High risk of thrombosis in patients with severe SARS-CoV-2 infection: A multicenter prospective cohort study. Intensive Care Med. 2020, 46, 1089–1098. [Google Scholar] [CrossRef]
- Dolhnikoff, M.; Duarte-Neto, A.N.; de Almeida Monteiro, R.A.; Da Silva, L.F.F.; De Oliveira, E.P.; Saldiva, P.H.N.; Mauad, T.; Negri, E.M. Pathological evidence of pulmonary thrombotic phenomena in severe COVID-19. J. Thromb. Haemost. 2020, 18, 1517–1519. [Google Scholar] [CrossRef] [Green Version]
- Su, H.; Yang, M.; Wan, C.; Yi, L.-X.; Tang, F.; Zhu, H.-Y.; Yi, F.; Yang, H.-C.; Fogo, A.B.; Nie, X.; et al. Renal histopathological analysis of 26 postmortem findings of patients with COVID-19 in China. Kidney Int. 2020, 98, 219–227. [Google Scholar] [CrossRef] [PubMed]
- Marini, J.J.; Gattinoni, L. Management of COVID-19 Respiratory Distress. JAMA 2020, 323, 2329–2330. [Google Scholar] [CrossRef]
- Wengerter, S.P.; Wengerter, K.R.; Masoudpoor, H.; Sagarwala, A.; Karim, O.; Rao, N.; Gillen, J.; Choi, H.M.; Bernik, T.; Schwartz, M.L. Acute aortoiliac and infrainguinal arterial thrombotic events in four patients diagnosed with the novel coronavirus 2019. J. Vasc. Surg. Cases Innov. Tech. 2020, 6, 698–702. [Google Scholar] [CrossRef]
- Etkin, Y.; Conway, A.M.; Silpe, J.; Qato, K.; Carroccio, A.; Manvar-Singh, P.; Giangola, G.; Deitch, J.S.; Davila-Santini, L.; Schor, J.A.; et al. Acute Arterial Thromboembolism in Patients with COVID-19 in the New York City Area. Ann. Vasc. Surg. 2021, 70, 290–294. [Google Scholar] [CrossRef]
- Al-Zoubi, N.; Shatnawi, N.; Jarboa, H. Acute Lower Limb Ischemia in Patients Infected with COVID-19. Int. J. Gen. Med. 2021, 14, 833–839. [Google Scholar] [CrossRef]
- Sánchez, J.B.; Alcalde, J.D.C.; Isidro, R.R.; Luna, C.Z.; Cubas, W.S.; Charres, A.C.; Gutiérrez, J.E.; Ochoa, J.D.; Arias, P.F. Acute Limb Ischemia in a Peruvian Cohort Infected by COVID-19. Ann. Vasc. Surg. 2021, 72, 196–204. [Google Scholar] [CrossRef]
- Gianotti, R.; Zerbi, P.; Dodiuk-Gad, R.P. Clinical and histopathological study of skin dermatoses in patients affected by COVID-19 infection in the Northern part of Italy. J. Dermatol. Sci. 2020, 98, 141–143. [Google Scholar] [CrossRef]
- Kolivras, A.; Dehavay, F.; Delplace, D.; Feoli, F.; Meiers, I.; Milone, L.; Olemans, C.; Sass, U.; Theunis, A.; Thompson, C.T.; et al. Coronavirus (COVID-19) infection–induced chilblains: A case report with histopathologic findings. JAAD Case Rep. 2020, 6, 489–492. [Google Scholar] [CrossRef] [PubMed]
- Yao, X.-H.; He, Z.-C.; Li, T.-Y.; Zhang, H.R.; Wang, Y.; Mou, H.; Guo, Q.; Yu, S.-C.; Ding, Y.; Ping, Y.-F.; et al. Pathological evidence for residual SARS- CoV-2 in pulmonary tissues of a ready- for- discharge patient. Cell Res. 2020, 30, 541–543. [Google Scholar] [CrossRef]
- Tavazzi, G.; Pellegrini, C.; Maurelli, M.; Belliato, M.; Sciutti, F.; Bottazzi, A.; Sepe, P.A.; Resasco, T.; Camporotondo, R.; Bruno, R.; et al. Myocardial localization of coronavirus in COVID-19 cardiogenic shock. Eur. J. Hear. Fail. 2020, 22, 911–915. [Google Scholar] [CrossRef] [PubMed] [Green Version]
- Sproston, N.R.; Ashworth, J.J. Role of C-Reactive Protein at Sites of Inflammation and Infection. Front. Immunol. 2018, 9, 754. [Google Scholar] [CrossRef]
- Wright, F.; Vogler, T.O.; Moore, E.E.; Moore, H.B.; Wohlauer, M.V.; Urban, S.; Nydam, T.L.; Moore, P.K.; McIntyre, R.C., Jr. Fibrinolysis Shutdown Correlation with Thromboembolic Events in Severe COVID-19 Infection. J. Am. Coll. Surg. 2020, 231, 193–203.e1. [Google Scholar] [CrossRef]
- Zou, Y.; Guo, H.; Zhang, Y.; Zhang, Z.; Liu, Y.; Wang, J.; Lu, H.; Qian, Z. Analysis of coagulation parameters in patients with COVID-19 in Shanghai, China. Biosci. Trends 2020, 14, 285–289. [Google Scholar] [CrossRef] [PubMed]
- Connors, J.M.; Levy, J.H. COVID-19 and its implications for thrombosis and anticoagulation. Blood 2020, 135, 2033–2040. [Google Scholar] [CrossRef]
- The Emerging Risk Factors Collaborations. C-reactive protein, fibrinogen and cardiovascular disease prediction. N. Engl. J. Med. 2012, 367, 1310–1320. [Google Scholar] [CrossRef] [Green Version]
- Marso, S.P.; Hiatt, W.R. Peripheral Arterial Disease in Patients with Diabetes. J. Am. Coll. Cardiol. 2006, 47, 921–929. [Google Scholar] [CrossRef] [Green Version]
- Ahmed, S.; Zimba, O.; Gasparyan, A.Y. Thrombosis in Coronavirus disease 2019 (COVID-19) through the prism of Wirchow’s triad. Clin. Rheumatol. 2020, 39, 2529–2543. [Google Scholar] [CrossRef]
- Sobczak, A.I.S.; Stewart, A.J. Coagulatory Defects in Type-1 and Type-2 Diabetes. Int. J. Mol. Sci. 2019, 20, 6345. [Google Scholar] [CrossRef] [PubMed] [Green Version]
- Picard, F.; Adjedj, J.; Varenne, O. Diabetes Mellitus, a prothrombotic disease. Ann. Cardiol. Angeiol. 2017, 66, 385–392. [Google Scholar] [CrossRef] [PubMed]
- Aboyans, V.; Ricco, J.B.; Bartelink, M.E.L.; Bjorck, M.; Brodmann, M.; Cohnert, T.; Collet, J.-P.; Czerny, M.; De Carlo, M.; Debu, S.; et al. Editor’s choice e 2017 ESC guidelines on the diagnosis and treatment of peripheral arterial diseases; in collaboration with the European Society for Vascular Surgery (ESVS). Eur. J. Vasc. Endovasc. Surg. 2018, 55, 305e68. [Google Scholar] [CrossRef] [Green Version]
- Bonaca, M.P.; Gutierrez, J.A.; Creager, M.A.; Scirica, B.M.; Olin, J.; Murphy, S.A.; Braunwald, E.; Morrow, D.A. Acute Limb Ischemia and Outcomes with Vorapaxar in Patients with Peripheral Artery Disease: Results from the Trial to Assess the Effects of Vorapaxar in Preventing Heart Attack and Stroke in Patients with Atherosclero-sis-Thrombolysis in Myocardial Infarction 50 (TRA2°P-TIMI 50). Circulation 2016, 133, 997–1005. [Google Scholar] [CrossRef] [PubMed]
- Inagaki, E.; Farber, A.; Kalish, J.A.; Eslami, M.H.; Siracuse, J.J.; Eberhardt, R.T.; Rybin, D.V.; Doros, G.; Hamburg, N.M. The Vascular Study Group of New England Outcomes of Peripheral Vascular Interventions in Select Patients with Lower Extremity Acute Limb Ischemia. J. Am. Heart Assoc. 2018, 7, 7. [Google Scholar] [CrossRef] [PubMed] [Green Version]
- Baril, D.T.; Patel, V.I.; Judelson, D.R.; Goodney, P.P.; McPhee, J.T.; Hevelone, N.D.; Cronenwett, J.L.; Schanzer, A. Outcomes of lower extremity bypass performed for acute limb ischemia. J. Vasc. Surg. 2013, 58, 949–956. [Google Scholar] [CrossRef] [PubMed] [Green Version]
- Jongkind, V.; Earnshaw, J.J.; Gonçalves, F.B.; Cochennec, F.; Debus, E.S.; Hinchliffe, R.; Menyhei, G.; Svetlikov, A.V.; Tshomba, Y.; Berg, J.C.V.D.; et al. Update of the European Society for Vascular Surgery (ESVS) 2020 Clinical Practice Guidelines on the Management of Acute Limb Ischaemia in Light of the COVID-19 Pandemic, Based on a Scoping Review of the Literature. Eur. J. Vasc. Endovasc. Surg. 2021. [Google Scholar] [CrossRef]
- Bellosta, R.; Luzzani, L.; Natalini, G.; Pegorer, M.A.; Attisani, L.; Cossu, L.G.; Ferrandina, C.; Fossati, A.; Conti, E.; Bush, R.L.; et al. Acute limb ischemia in patients with COVID-19 pneumonia. J. Vasc. Surg. 2020, 72, 1864–1872. [Google Scholar] [CrossRef] [PubMed]
- Galyfos, G.; Sianou, A.; Frountzas, M.; Vasilios, K.; Vouros, D.; Theodoropoulos, C.; Michalopoulou, V.; Sigala, F.; Filis, K. Acute Limb Ischemia Among Patients with COVID-19 Infection. J. Vasc. Surg. 2021. [Google Scholar] [CrossRef] [PubMed]




| Total No. of Patients | 22 |
|---|---|
| Age, years (mean ± SD) | 64.91 ± 9.57 |
| Sex | |
| Male, n (%) | 15 (68.18) |
| Female n (%) | 7 (31.82) |
| BMI, kg/m2 (mean ± SD) | 31.63 ± 6.47 |
| Comorbidities | |
| Cardiac insufficiency, n (%) | 8 (36.36) |
| Obesity, n (%) | 16 (72.72) |
| Diabetes mellitus, n (%) | 14 (63.64) |
| Dyslipidemia, n (%) | 18 (85.71) |
| High blood pressure, n (%) | 22 (100) |
| I, n (%) | 7 (31.82) |
| II, n (%) | 10 (45.45) |
| III, n (%) | 5 (22.73) |
| Chronic obstructive pulmonary disease, n (%) | 4 (18.18) |
| Brain cerebrovascular disease, n (%) | 4 (18.18) |
| Neoplasm, n (%) | 2 (9.09) |
| Risk factors | |
| Smoking, n (%) | 10 (45.45) |
| Ischemia time, hours (median [IQR]) | 18.59 [5–34] |
| Preoperative antiplatelet treatment, n (%) | 19 (86.36) |
| Rutherford classification | |
| IIA, n (%) | 15 (68.18) |
| IIB, n (%) | 7 (31.81) |
| Characteristic | Range Values | Patients’ Values |
|---|---|---|
| Leukocyte count (no. ×103/L), median [IQR] Normal range | 4–9.5 | 8.35 [5.34–14.28] |
| Neutrophils (%), mean ± SD | 45–70% | 62.28 ± 12.42 |
| Erythrocyte count (no. ×103/L), median [IQR] | 4–5.5 | 3.64 [3.45–4.24] |
| Monocyte, median [IQR] | 3.5–9% | 7.34 [2.89–8.28] |
| Lymphocyte (no. ×10), median [IQR] | 0.8–3.8 | 1.33 [1.09–1.77] |
| Hemoglobin level (g/dL), median [IQR] | 11.5–15 | 10.70 [10.31–11.40] |
| Hematocrit (%), mean ± SD | 35–46 | 34.08 ± 3.47 |
| Platelet count, mean ± SD | 150–400 | 275545 ± 82299 |
| LDH, median [IQR] | 120–246 | 278 [161.3–346.5] |
| Ferritin level (µg/L), mean ± SD | 20–290 | 728.9 ± 158.5 |
| CRP level (mg/L), mean ± SD | 0–10 | 68.08 ± 23.67 |
| aPTT (s), median [IQR] | 25.1–36.5 | 29.4 [24.4–35.41] |
| Quick time (s), median [IQR] | 9.4–12.5 | 14.67 [12.68–15.61] |
| INR, mean ± SD | 0.8–1.07 | 1.27 ± 0.18 |
| VSH (mm/1 h), mean ± SD | 1–15 | 82.41 ± 22.26 |
| AST (U/L), median [IQR] | 14–36 | 23.5 [18–28.25] |
| ALT (U/L), mean ± SD | 0–35 | 23.91 ± 10.45 |
| D-dimers (ng/mL) mean ± SD | 0–243 | 957 ± 518.6 |
| Urea (mg/dL), median [IQR] | 15–36 | 30 [23–45] |
| Creatinine (mg/dL), median [IQR] | 0.7–1.2 | 0.89 [0.7–1.42] |
| Fibrinogen (mg/dL), mean ± SD | 200–393 | 668 ± 168.3 |
| CK (U/L), median [IQR] | 30–170 | 115 [43.75–508.8] |
| Patient | Gender | Age (yo) | Cause of Death | Complication Related to ALI | Days from Admission | Significant Lab Values at Admission |
|---|---|---|---|---|---|---|
| 1 | M | 59 | ARDS | None | 18 | Ferritin = 980 µg/L |
| 2 | F | 86 | ARDS | None | 6 | Fibrinogen = 980 mg/dL |
| 3 | M | 69 | ARDS | None | 8 | Fibrinogen = 879 mg/dL |
Publisher’s Note: MDPI stays neutral with regard to jurisdictional claims in published maps and institutional affiliations. |
© 2021 by the authors. Licensee MDPI, Basel, Switzerland. This article is an open access article distributed under the terms and conditions of the Creative Commons Attribution (CC BY) license (https://creativecommons.org/licenses/by/4.0/).
Share and Cite
Barac, S.; Onofrei, R.R.; Neagoe, P.V.; Popescu, A.I.; Pantea, S.; Rață, A.L. An Observational Study on Patients with Acute Limb Ischemia and SARS-CoV-2 Infection: Early and Late Results in Limb Salvage Rate. J. Clin. Med. 2021, 10, 5083. https://doi.org/10.3390/jcm10215083
Barac S, Onofrei RR, Neagoe PV, Popescu AI, Pantea S, Rață AL. An Observational Study on Patients with Acute Limb Ischemia and SARS-CoV-2 Infection: Early and Late Results in Limb Salvage Rate. Journal of Clinical Medicine. 2021; 10(21):5083. https://doi.org/10.3390/jcm10215083
Chicago/Turabian StyleBarac, Sorin, Roxana Ramona Onofrei, Petru Vlad Neagoe, Alexandra Ioana Popescu, Stelian Pantea, and Andreea Luciana Rață. 2021. "An Observational Study on Patients with Acute Limb Ischemia and SARS-CoV-2 Infection: Early and Late Results in Limb Salvage Rate" Journal of Clinical Medicine 10, no. 21: 5083. https://doi.org/10.3390/jcm10215083
APA StyleBarac, S., Onofrei, R. R., Neagoe, P. V., Popescu, A. I., Pantea, S., & Rață, A. L. (2021). An Observational Study on Patients with Acute Limb Ischemia and SARS-CoV-2 Infection: Early and Late Results in Limb Salvage Rate. Journal of Clinical Medicine, 10(21), 5083. https://doi.org/10.3390/jcm10215083

