Assessment of Lacrimal Duct Patency in Patients Undergoing Endoscopic Medial Maxillectomy
Abstract
1. Introduction
2. Experimental Section
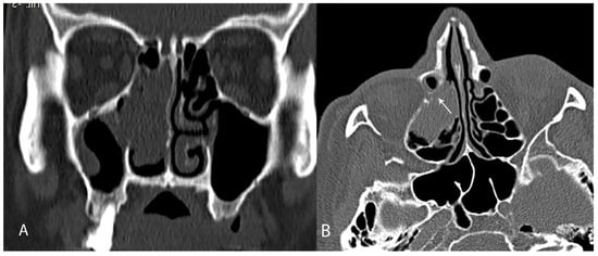
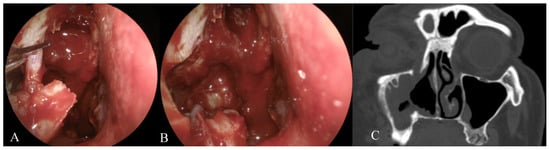
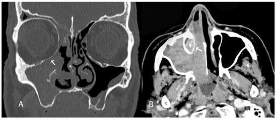
3. Results
4. Discussion
5. Conclusions
Author Contributions
Funding
Institutional Review Board Statement
Informed Consent Statement
Data Availability Statement
Conflicts of Interest
References
- Bolger, W.E.; Parsons, D.S.; Mair, E.A.; Kuhn, F.A. Lacrimal drainage system injury in functional endoscopic sinus surgery. Incidence, analysis, and prevention. Arch. Oto-laryngol. Head Neck Surg. 1992, 118, 1179–1184. [Google Scholar] [CrossRef] [PubMed]
- Harvey, R.J.; Sheehan, P.O.; Debnath, N.I.; Schlosser, R.J. Transseptal approach for extended endoscopic resections of the maxilla and infratem-poral fossa. Am. J. Rhinol. Allergy 2009, 23, 426–432. [Google Scholar] [CrossRef] [PubMed]
- Kennedy, D.W.; Zinreich, S.J.; Shaalan, H.; Kuhn, F.; Naclerio, R.; Loch, E. Endoscopic middle meatal antrostomy: Theory, technique, and patency. Laryngoscope 1987, 97, 1–9. [Google Scholar] [CrossRef] [PubMed]
- Davis, W.E.; Templer, J.W.; Lamear, W.R.; Davis, W.E., Jr.; Craig, S.B. Middle meatus anstrostomy: Patency rates and risk factors. Otolaryngol. Head Neck Surg. 1991, 104, 467–472. [Google Scholar] [CrossRef]
- Upadhyay, S.; Dolci, R.L.; Buohliqah, L.; Prevedello, D.M.; Otto, B.A.; Carrau, R.L. Endoscopic endonasal anterior maxillotomy. Laryngoscope 2015, 125, 2668–2671. [Google Scholar] [CrossRef]
- Munk, P.L.; Lin, D.T.; Morris, D.C. Epiphora: Treatment by means of dacryocystoplasty with balloon dilation of the nasolacrimal drainage apparatus. Radiology 1990, 177, 687–690. [Google Scholar] [CrossRef]
- Jones, L.; Wobig, J. Surgery of the Eyelids and Lacrimal System; Aesculapius: Birmingham, AL, USA, 1976; p. 145. [Google Scholar]
- O’Donnell, B.A.; Clement, C.I. Assessing patients with epiphora who are patent to syringing: Clinical predictors of response to dacryocystorhinostomy. Ophthalmic Plast. Reconstr. Surg. 2007, 23, 173–178. [Google Scholar]
- Sieskiewicz, A.; Buczko, K.; Janica, J.; Lukasiewicz, A.; Lebkowska, U.; Piszczatowski, B.; Olszewska, E. Minimally invasive medial maxillectomy and the position of nasolacrimal duct: The CT study. Eur. Arch. Otorhinolaryngol. 2017, 274, 1515–1519. [Google Scholar] [CrossRef][Green Version]
- Imre, A.; Imre, S.S.; Pinar, E.; Ozkul, Y.; Songu, M.; Ece, A.A.; Aladag, I. Transection of Nasolacrimal Duct in Endoscopic Medial Maxillectomy: Implication on Epiphora. J. Craniofac. Surg. 2015, 26, e616–e619. [Google Scholar] [CrossRef]
- Wormald, P.J.; Ooi, E.; van Hasselt, C.A.; Nair, S. Endoscopic removal of sinonasal inverted papilloma including endoscopic medial maxillectomy. Laryngoscope 2003, 113, 867–873. [Google Scholar] [CrossRef]
- Sadeghi, N.; Al-Dhahri, S.; Manoukian, J.J. Transnasal endoscopic medial maxillectomy for inverting papilloma. Laryngoscope 2003, 113, 749–753. [Google Scholar] [CrossRef] [PubMed]
- Yeo, N.K.; Wang, J.H.; Chung, Y.S.; Jang, Y.J.; Lee, B.J. Contributing factors to prevent prolonged epiphora after maxillectomy. Arch. Otolaryngol. Head Neck Surg. 2010, 136, 229–233. [Google Scholar] [CrossRef] [PubMed]
- Tomenzoli, D.; Castelnuovo, P.; Pagella, F.; Berlucchi, M.; Pianta, L.; Delù, G.; Maroldi, R.; Nicolai, P. Different endoscopic surgical strategies in the management of inverted papilloma of the sinonasal tract: Experience with 47 patients. Laryngoscope 2004, 114, 193–200. [Google Scholar] [CrossRef] [PubMed]
- Liu, Q.; Yu, H.; Minovi, A.; Wei, W.; Wang, D.; Zheng, C.; Li, F.; Zhang, Z. Management of maxillary sinus inverted papilloma via transnasal endoscopic anterior and medial maxillectomy. ORL J. Otorhinolaryngol. Relat. Spec. 2010, 72, 247–251. [Google Scholar] [CrossRef] [PubMed]
- Lombardi, D.; Tomenzoli, D.; Buttà, L.; Bizzoni, A.; Farina, D.; Sberze, F.; Karligkiotis, A.; Castelnuovo, P.; Nicolai, P. Limitations and complications of endoscopic surgery for treatment for sinonasal inverted papilloma: A reassessment after 212 cases. Head Neck 2011, 33, 1154–1161. [Google Scholar] [CrossRef] [PubMed]
- Rotsides, J.M.; Franco, A.; Albader, A.; Casiano, R.R.; Lieberman, S.M. Nasolacrimal Duct Management During Endoscopic Sinus and Skull Base Surgery. Ann. Otol. Rhinol. Laryngol. 2019, 128, 932–937. [Google Scholar] [CrossRef] [PubMed]
- Sadeghi, N.; Joshi, A. Management of the nasolacrimal system during transnasal endoscopic medial maxillectomy. Am. J. Rhinol. Allergy 2012, 26, e85–e88. [Google Scholar] [CrossRef]
- Nakamaru, Y.; Furuta, Y.; Takagi, D.; Oridate, N.; Fukuda, S. Preservation of the nasolacrimal duct during endoscopic medial maxillectomy for sinonasal inverted papilloma. Rhinology 2010, 48, 452–456. [Google Scholar]
- Saleh, G.M.; Tossounis, C.M.; Litwin, A.S.; Gauba, V.; Samaras, K.; McLean, C.J. Monocanalicular versus bicanalicular intubation in external dacryocystorhinostomy for primary acquired nasolacrimal duct obstruction. Orbit 2009, 28, 110–114. [Google Scholar] [CrossRef]
- Kim, S.H.; Park, C.Y.; Hwang, S.W.; Chang, M. Clinical Significance of Biofilm on Silicone Tubes Removed from Patients with Nasolacrimal Duct Stenosis. J. Craniofac. Surg. 2018, 29, 462–465. [Google Scholar] [CrossRef]
- Sipkova, Z.; Vonica, O.; Olurin, O.; Obi, E.E.; Pearson, A.R. Assessment of patient-reported outcome and quality of life improvement following surgery for epiphora. Eye 2017, 31, 1664–1671. [Google Scholar] [CrossRef] [PubMed]
- Mistry, N.; Rockley, T.J.; Reynolds, T.; Hopkins, T. Development and validation of a symptom questionnaire for recording outcomes in adult lacrimal surgery. Rhinology 2011, 49, 538–545. [Google Scholar] [PubMed]
- Meyer, D.R.; Antenello, A.; Lindberg, J.V. Assessment of tear drainage after canalicular obstruction using fluorescein dye disappearance. Ophthalmology 1990, 97, 1370–1374. [Google Scholar] [CrossRef]
- Toprak, A.B.; Erkin, E.F.; Kayikçioğlu, O.; Seymenoğlu, G.; Güler, C.; Unlu, H.H. Fluorescein dye disappearance test in patients with different degrees of epiphora. Eur. J. Ophthalmol. 2002, 12, 359–365. [Google Scholar] [CrossRef]




Publisher’s Note: MDPI stays neutral with regard to jurisdictional claims in published maps and institutional affiliations. |
© 2021 by the authors. Licensee MDPI, Basel, Switzerland. This article is an open access article distributed under the terms and conditions of the Creative Commons Attribution (CC BY) license (http://creativecommons.org/licenses/by/4.0/).
Share and Cite
Sieśkiewicz, A.; Łysoń, T.; Rogowski, M.; Bielecki, M.; Gindzienska-Sieskiewicz, E.; Olszewska, E.; Bielecki, P. Assessment of Lacrimal Duct Patency in Patients Undergoing Endoscopic Medial Maxillectomy. J. Clin. Med. 2021, 10, 245. https://doi.org/10.3390/jcm10020245
Sieśkiewicz A, Łysoń T, Rogowski M, Bielecki M, Gindzienska-Sieskiewicz E, Olszewska E, Bielecki P. Assessment of Lacrimal Duct Patency in Patients Undergoing Endoscopic Medial Maxillectomy. Journal of Clinical Medicine. 2021; 10(2):245. https://doi.org/10.3390/jcm10020245
Chicago/Turabian StyleSieśkiewicz, Andrzej, Tomasz Łysoń, Marek Rogowski, Marek Bielecki, Ewa Gindzienska-Sieskiewicz, Ewa Olszewska, and Pawel Bielecki. 2021. "Assessment of Lacrimal Duct Patency in Patients Undergoing Endoscopic Medial Maxillectomy" Journal of Clinical Medicine 10, no. 2: 245. https://doi.org/10.3390/jcm10020245
APA StyleSieśkiewicz, A., Łysoń, T., Rogowski, M., Bielecki, M., Gindzienska-Sieskiewicz, E., Olszewska, E., & Bielecki, P. (2021). Assessment of Lacrimal Duct Patency in Patients Undergoing Endoscopic Medial Maxillectomy. Journal of Clinical Medicine, 10(2), 245. https://doi.org/10.3390/jcm10020245
