Detailed Phenotype of GLA Variants Identified by the Nationwide Neurological Screening of Stroke Patients in the Czech Republic
Abstract
1. Introduction
2. Materials and Methods
2.1. Study Design and Patient Selection
2.2. FD Organ Manifestation Assessment
2.2.1. Clinical Assessment
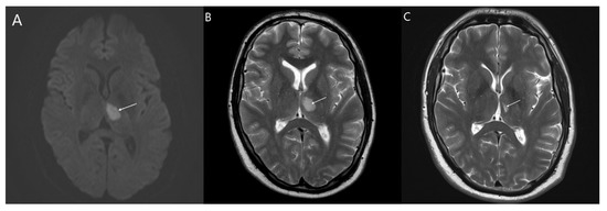
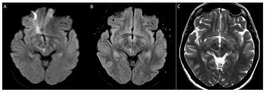
2.2.2. Nervous System Assessment
2.2.3. Cardiac Assessment
2.2.4. Nephrological Assessment
2.2.5. Ophthalmological and Dermatological Assessment
2.2.6. α-Gal A Activity Assay
3. Results
3.1. Pathogenic Mutation
3.1.1. Index Patients
3.1.2. Family Members
3.2. Variants of Unknown Significance and Likely Benign Variants
3.3. Newly Identified Variant
3.4. Further Management
4. Discussion
5. Conclusions
Author Contributions
Funding
Institutional Review Board Statement
Informed Consent Statement
Data Availability Statement
Acknowledgments
Conflicts of Interest
References
- Brady, R.O.; Gal, A.E.; Bradley, R.M.; Martensson, E.; Warshaw, A.L.; Laster, L. Enzymatic Defect in Fabry’s Disease. Ceramidetrihexosidase deficiency. N. Engl. J. Med. 1967, 276, 1163–1167. [Google Scholar] [CrossRef] [PubMed]
- Germain, D.P. Fabry disease. Orphanet J. Rare Dis. 2010, 5, 30. [Google Scholar] [CrossRef] [PubMed]
- Sweeley, C.C.; Klionsky, B. Fabry’s disease: Classification as a Sphingolipidosis and Partial Characterization of a Novel Glycolipid. J. Biol. Chem. 1963, 238, 3148–3150. [Google Scholar] [CrossRef]
- Elleder, M.; Dorazilová, V.; Bradová, V.; Bĕlohlávek, M.; Král, V.; Choura, M.; Budĕsínský, M.; Harzer, K. Fabry’s disease with isolated disease of the cardiac muscle, manifesting as hypertrophic cardiomyopathy. Cas. Lek. Cesk. 1990, 129, 369–372. [Google Scholar] [PubMed]
- Nakao, S.; Takenaka, T.; Maeda, M.; Kodama, C.; Tanaka, A.; Tahara, M.; Yoshida, A.; Kuriyama, M.; Hayashibe, H.; Sakuraba, H.; et al. An Atypical Variant of Fabry’s Disease in Men with Left Ventricular Hypertrophy. N. Engl. J. Med. 1995, 333, 288–293. [Google Scholar] [CrossRef]
- Aerts, J.M.; Groener, J.E.; Kuiper, S.; Donker-Koopman, W.E.; Strijland, A.; Ottenhoff, R.; van Roomen, C.; Mirzaian, M.; Wijburg, F.A.; Linthorst, G.E.; et al. Elevated globotriaosylsphingosine is a hallmark of Fabry disease. Proc. Natl. Acad. Sci. USA 2008, 105, 2812–2817. [Google Scholar] [CrossRef]
- Arends, M.; Wanner, C.; Hughes, D.; Mehta, A.; Oder, D.; Watkinson, O.T.; Elliott, P.M.; Linthorst, G.E.; Wijburg, F.A.; Biegstraaten, M.; et al. Characterization of Classical and Nonclassical Fabry Disease: A Multicenter Study. J. Am. Soc. Nephrol. 2017, 28, 1631–1641. [Google Scholar] [CrossRef]
- Echevarria, L.; Benistan, K.; Toussaint, A.; Dubourg, O.; Hagege, A.A.; Eladari, D.; Jabbour, F.; Beldjord, C.; De Mazancourt, P.; Germain, D.P. X-chromosome inactivation in female patients with Fabry disease. Clin. Genet. 2016, 89, 44–54. [Google Scholar] [CrossRef]
- Desnick, R.J. Chapter 38—Fabry Disease: α-Galactosidase A Deficiency. In Rosenberg’s Molecular and Genetic Basis of Neurological and Psychiatric Disease, 5th ed.; Rosenberg, R.N., Pascual, J.M., Eds.; Academic Press: Boston, MA, USA, 2015; pp. 419–430. [Google Scholar]
- Chamoles, N.A.; Blanco, M.; Gaggioli, D. Fabry disease: Enzymatic diagnosis in dried blood spots on filter paper. Clin. Chim. Acta Int. J. Clin. Chem. 2001, 308, 195–196. [Google Scholar] [CrossRef]
- Spada, M.; Pagliardini, S.; Yasuda, M.; Tukel, T.; Thiagarajan, G.; Sakuraba, H.; Ponzone, A.; Desnick, R.J. High Incidence of Later-Onset Fabry Disease Revealed by Newborn Screening. Am. J. Hum. Genet. 2006, 79, 31–40. [Google Scholar] [CrossRef]
- Doheny, D.; Srinivasan, R.; Pagant, S.; Chen, B.; Yasuda, M.; Desnick, R.J. Fabry Disease: Prevalence of affected males and heterozygotes with pathogenic GLA mutations identified by screening renal, cardiac and stroke clinics, 1995–2017. J. Med. Genet. 2018, 55, 261–268. [Google Scholar] [CrossRef]
- Ortiz, A.; Germain, D.P.; Desnick, R.J.; Politei, J.; Mauer, M.; Burlina, A.; Eng, C.; Hopkin, R.J.; Laney, D.; Linhart, A.; et al. Fabry disease revisited: Management and treatment recommendations for adult patients. Mol. Genet. Metab. 2018, 123, 416–427. [Google Scholar] [CrossRef]
- Fazekas, F.; Chawluk, J.B.; Alavi, A.; Hurtig, H.I.; Zimmerman, R.A. MR signal abnormalities at 1.5 T in Alzheimer’s dementia and normal aging. AJR Am. J. Roentgenol. 1987, 149, 351–356. [Google Scholar] [CrossRef]
- Levey, A.S.; Stevens, L.A.; Schmid, C.H.; Zhang, Y.L.; Castro, A.F., 3rd; Feldman, H.I.; Kusek, J.W.; Eggers, P.; Van Lente, F.; Greene, T.; et al. A new equation to estimate glomerular filtration rate. Ann. Intern. Med. 2009, 150, 604–612. [Google Scholar] [CrossRef]
- Levin, A.; Stevens, P.E.; Bilous, R.W.; Coresh, J.; De Francisco, A.L.; De Jong, P.E.; Griffith, K.E.; Hemmelgarn, B.R.; Iseki, K.; Lamb, E.J.; et al. Kidney Dissease: Improving Global Outcomes (KDIGO) CKD Work Group. KDIGO 2012 Clinical Practice Guideline for the Evaluation and Management of Chronic Kidney Disease. Kidney Int. Suppl. 2013, 3, 1–150. [Google Scholar]
- Mayes, J.S.; Scheerer, J.B.; Sifers, R.N.; Donaldson, M.L. Differential assay for lysosomal alpha-galactosidases in human tissues and its application to Fabry’s disease. Clin. Chim. Acta Int. J. Clin. Chem. 1981, 112, 247–251. [Google Scholar] [CrossRef]
- Palecek, T.; Honzíková, J.; Poupetova, H.; Vlaskova, H.; Kuchynka, P.; Goláň, L.; Magage, S.; Linhart, A. Prevalence of Fabry disease in male patients with unexplained left ventricular hypertrophy in primary cardiology practice: Prospective Fabry cardiomyopathy screening study (FACSS). J. Inherit. Metab. Dis. 2014, 37, 455–460. [Google Scholar] [CrossRef]
- Rolfs, A.; Böttcher, T.; Zschiesche, M.; Morris, P.; Winchester, B.; Bauer, P.; Walter, U.; Mix, E.; Löhr, M.; Harzer, K.; et al. Prevalence of Fabry disease in patients with cryptogenic stroke: A prospective study. Lancet 2005, 366, 1794–1796. [Google Scholar] [CrossRef]
- International Fabry Disease Genotype-Phenotype Database (dbFGP). Available online: http://www.dbfgp.org/dbFgp/fabry (accessed on 24 November 2020).
- Lukas, J.; Giese, A.K.; Markoff, A.; Grittner, U.; Kolodny, E.; Mascher, H.; Lackner, K.J.; Meyer, W.; Wree, P.; Saviouk, V.; et al. Functional Characterisation of Alpha-Galactosidase A Mutations as a Basis for a New Classification System in Fabry Disease. PLoS Genet. 2013, 9, e1003632. [Google Scholar] [CrossRef] [PubMed]
- Lukas, J.; Cimmaruta, C.; Liguori, L.; Pantoom, S.; Iwanov, K.; Petters, J.; Hund, C.; Bunschkowski, M.; Hermann, A.; Cubellis, M.V.; et al. Assessment of Gene Variant Amenability for Pharmacological Chaperone Therapy with 1-Deoxygalactonojirimycin in Fabry Disease. Int. J. Mol. Sci. 2020, 21, 956. [Google Scholar] [CrossRef] [PubMed]
- Kokotis, P.; Üçeyler, N.; Werner, C.; Tsivgoulis, G.; Papanikola, N.; Katsanos, A.H.; Karandreas, N.; Sommer, C. Quantification of sweat gland innervation in patients with Fabry disease: A case-control study. J. Neurol. Sci. 2018, 390, 135–138. [Google Scholar] [CrossRef]
- Dubost, J.J.; Viallard, I.L.; Sauvezie, B. Chronic meningitis in Fabry’s disease. J. Neurol. Neurosurg. Psychiatry 1985, 48, 714–715. [Google Scholar] [CrossRef][Green Version]
- Uyama, E.; Ueno, N.; Uchino, M.; Narahara, T.; Owada, M.; Taketomi, T.; Ando, M. Headache Associated with Aseptic Meningeal Reaction as Clinical Onset of Fabry’s Disease. Headache 1995, 35, 498–501. [Google Scholar] [CrossRef] [PubMed]
- Schreiber, W.; Udvardi, A.; Kristoferitsch, W. Chronic meningitis and lacunar stroke in Fabry disease. J. Neurol. 2007, 254, 1447–1449. [Google Scholar] [CrossRef] [PubMed]
- Lidove, O.; Chauveheid, M.P.; Caillaud, C.; Froissart, R.; Benoist, L.; Alamowitch, S.; Doan, S.; Szalat, R.; Baumann, N.; Alexandra, J.F.; et al. Aseptic meningitis and ischaemic stroke in Fabry disease. Int. J. Clin. Pract. 2009, 63, 1663–1667. [Google Scholar] [CrossRef] [PubMed]
- Schulte-Mecklenbeck, A.; Kleffner, I.; Beuker, C.; Wirth, T.; Hartwig, M.; Schmidt-Pogoda, A.; Klotz, L.; Hansen, W.; Wiendl, H.; Meuth, S.G.; et al. Immunophenotyping of cerebrospinal fluid cells in ischaemic stroke. Eur. J. Neurol. 2019, 26, 919–926. [Google Scholar] [CrossRef] [PubMed]
- Ferreira, S.; Ortiz, A.; Germain, D.P.; Viana-Baptista, M.; Caldeira-Gomes, A.; Camprecios, M.; Fenollar-Cortés, M.; Gallegos-Villalobos, Á.; Garcia, D.; García-Robles, J.A.; et al. The alpha-galactosidase A p.Arg118Cys variant does not cause a Fabry disease phenotype: Data from individual patients and family studies. Mol. Genet. Metab. 2015, 114, 248–258. [Google Scholar] [CrossRef]
- Rolfs, A.; Fazekas, F.; Grittner, U.; Dichgans, M.; Martus, P.; Holzhausen, M.; Böttcher, T.; Heuschmann, P.U.; Tatlisumak, T.; Tanislav, C.; et al. Acute cerebrovascular disease in the young: The Stroke in Young Fabry Patients study. Stroke 2013, 44, 340–349. [Google Scholar] [CrossRef]
- Talbot, A.; Nicholls, K. Elevated Lyso-Gb3 Suggests the R118C GLA Mutation Is a Pathological Fabry Variant. JIMD Rep. 2019, 45, 95–98. [Google Scholar] [CrossRef]
- Eng, C.M.; Ashley, G.A.; Burgert, T.S.; Enriquez, A.L.; D’Souza, M.; Desnick, R.J. Fabry disease: Thirty-five mutations in the alpha-galactosidase A gene in patients with classic and variant phenotypes. Mol. Med. 1997, 3, 174–182. [Google Scholar] [CrossRef]
- Spada, M.; Marongiu, A.; Voglino, G.; Merlino, S.; Alluto, A.; La Dolcetta, M.; Pagliardini, S. Molecular Study in 20 unrelated male Patients with Fabry Disease: The A143T genotype correlates with the late-onset end-stage nephropathy (abstract). J. Inherit. Metab. Dis. 2003, 26, 1–228. [Google Scholar] [CrossRef]
- Nance, C.S.; Klein, C.J.; Banikazemi, M.; Dikman, S.H.; Phelps, R.G.; McArthur, J.C.; Rodriguez, M.; Desnick, R.J. Later-Onset Fabry Disease: An adult variant presenting with the cramp-fasciculation syndrome. Arch. Neurol. 2006, 63, 453–457. [Google Scholar] [CrossRef] [PubMed]
- Shabbeer, J.; Yasuda, M.; Benson, S.D.; Desnick, R.J. Fabry disease: Identification of 50 novel alpha-galactosidase A mutations causing the classic phenotype and three-dimensional structural analysis of 29 missense mutations. Hum. Genom. 2006, 2, 297–309. [Google Scholar] [CrossRef] [PubMed]
- Monserrat, L.; Gimeno-Blanes, J.R.; Marín, F.; Hermida-Prieto, M.; García-Honrubia, A.; Pérez, I.; Fernández, X.; de Nicolas, R.; de la Morena, G.; Payá, E.; et al. Prevalence of Fabry Disease in a Cohort of 508 Unrelated Patients with Hypertrophic Cardiomyopathy. J. Am. Coll. Cardiol. 2007, 50, 2399–2403. [Google Scholar] [CrossRef]
- Lin, H.Y.; Chong, K.W.; Hsu, J.H.; Yu, H.C.; Shih, C.C.; Huang, C.H.; Lin, S.J.; Chen, C.H.; Chiang, C.C.; Ho, H.J.; et al. High Incidence of the Cardiac Variant of Fabry Disease Revealed by Newborn Screening in the Taiwan Chinese Population. Circ. Cardiovasc. Genet. 2009, 2, 450–456. [Google Scholar] [CrossRef] [PubMed]
- Corry, A.; Feighery, C.; Alderdice, D.; Stewart, F.; Walsh, M.; Dolan, O.M. A family with Fabry disease diagnosed by a single angiokeratoma. Dermatol. Online J. 2011, 17, 5. [Google Scholar] [CrossRef] [PubMed]
- Wozniak, M.A.; Kittner, S.J.; Tuhrim, S.; Cole, J.W.; Stern, B.; Dobbins, M.; Grace, M.E.; Nazarenko, I.; Dobrovolny, R.; McDade, E.; et al. Frequency of Unrecognized Fabry Disease Among Young European-American and African-American Men with First Ischemic Stroke. Stroke 2010, 41, 78–81. [Google Scholar] [CrossRef]
- Smid, B.E.; Hollak, C.E.; Poorthuis, B.J.; van den Bergh Weerman, M.A.; Florquin, S.; Kok, W.E.; Lekanne Deprez, R.H.; Timmermans, J.; Linthorst, G.E. Diagnostic dilemmas in Fabry disease: A case series study on GLA mutations of unknown clinical significance. Clin. Genet. 2015, 88, 161–166. [Google Scholar] [CrossRef]
- De Brabander, I.; Yperzeele, L.; Ceuterick-De Groote, C.; Brouns, R.; Baker, R.; Belachew, S.; Delbecq, J.; De Keulenaer, G.; Dethy, S.; Eyskens, F.; et al. Phenotypical characterization of α-galactosidase A gene mutations identified in a large Fabry disease screening program in stroke in the young. Clin. Neurol. Neurosurg. 2013, 115, 1088–1093. [Google Scholar] [CrossRef]
- Hauth, L.; Kerstens, J.; Yperzeele, L.; Eyskens, F.; Parizel, P.M.; Willekens, B. Galactosidase Alpha p.A143T Variant Fabry Disease May Result in a Phenotype With Multifocal Microvascular Cerebral Involvement at a Young Age. Front. Neurol. 2018, 9, 336. [Google Scholar] [CrossRef]
- Lenders, M.; Weidemann, F.; Kurschat, C.; Canaan-Kühl, S.; Duning, T.; Stypmann, J.; Schmitz, B.; Reiermann, S.; Krämer, J.; Blaschke, D.; et al. Alpha-Galactosidase A p.A143T, a non-Fabry disease-causing variant. Orphanet J. Rare Dis. 2016, 11, 54. [Google Scholar] [CrossRef] [PubMed]
- Eng, C.M.; Resnick-Silverman, L.A.; Niehaus, D.J.; Astrin, K.H.; Desnick, R.J. Nature and frequency of mutations in the alpha-galactosidase A gene that cause Fabry disease. Am. J. Hum. Genet. 1993, 53, 1186–1197. [Google Scholar] [PubMed]
- Guffon, N.; Froissart, R.; Chevalier-Porst, F.; Maire, I. Mutation analysis in 11 French patients with Fabry disease. Hum. Mutat. 1998, 11, S288–S290. [Google Scholar] [CrossRef]
- Yasuda, M.; Shabbeer, J.; Benson, S.D.; Maire, I.; Burnett, R.M.; Desnick, R.J. Fabry disease: Characterization of alpha-galactosidase A double mutations and the D313Y plasma enzyme pseudodeficiency allele. Hum. Mutat. 2003, 22, 486–492. [Google Scholar] [CrossRef]
- Oder, D.; Üçeyler, N.; Liu, D.; Hu, K.; Petritsch, B.; Sommer, C.; Ertl, G.; Wanner, C.; Nordbeck, P. Organ manifestations and long-term outcome of Fabry disease in patients with the GLA haplotype D313Y. BMJ Open 2016, 6, e010422. [Google Scholar] [CrossRef]
- Niemann, M.; Rolfs, A.; Giese, A.; Mascher, H.; Breunig, F.; Ertl, G.; Wanner, C.; Weidemann, F. Lyso-Gb3 Indicates that the Alpha-Galactosidase A Mutation D313Y is not Clinically Relevant for Fabry Disease. JIMD Rep. 2013, 7, 99–102. [Google Scholar] [CrossRef]
- Hasholt, L.; Ballegaard, M.; Bundgaard, H.; Christiansen, M.; Law, I.; Lund, A.M.; Norremolle, A.; Krogh Rasmussen, A.; Ravn, K.; Tumer, Z.; et al. The D313Y variant in the GLA gene—No evidence of a pathogenic role in Fabry disease. Scand. J. Clin. Lab. Investig. 2017, 77, 617–621. [Google Scholar] [CrossRef]
- Hadjivassiliou, M.; Grünewald, R.A.; Kandler, R.H.; Chattopadhyay, A.K.; Jarratt, J.A.; Sanders, D.S.; Sharrack, B.; Wharton, S.B.; Davies-Jones, G.A. Neuropathy associated with gluten sensitivity. J. Neurol. Neurosurg. Psychiatry 2006, 77, 1262–1266. [Google Scholar] [CrossRef] [PubMed]
- Muehlbacher, M.; Tripal, P.; Roas, F.; Kornhuber, J. Identification of Drugs Inducing Phospholipidosis by Novel in vitro Data. ChemMedChem 2012, 7, 1925–1934. [Google Scholar] [CrossRef]
- Grassi, S.; Chiricozzi, E.; Mauri, L.; Sonnino, S.; Prinetti, A. Sphingolipids and neuronal degeneration in lysosomal storage disorders. J. Neurochem. 2019, 148, 600–611. [Google Scholar] [CrossRef]
- Askari, H.; Kaneski, C.R.; Semino-Mora, C.; Desai, P.; Ang, A.; Kleiner, D.E.; Perlee, L.T.; Quezado, M.; Spollen, L.E.; Wustman, B.A.; et al. Cellular and tissue localization of globotriaosylceramide in Fabry disease. Virchows Archiv 2007, 451, 823–834. [Google Scholar] [CrossRef] [PubMed]
- Zotter, A.; Bäuerle, F.; Dey, D.; Kiss, V.; Schreiber, G. Quantifying enzyme activity in living cells. J. Biol. Chem. 2017, 292, 15838–15848. [Google Scholar] [CrossRef]
- Koulousios, K.; Stylianou, K.; Pateinakis, P.; Zamanakou, M.; Loules, G.; Manou, E.; Kyriklidou, P.; Katsinas, C.; Ouzouni, A.; Kyriazis, J.; et al. Fabry disease due to D313Y and novel GLA mutations. BMJ Open 2017, 7, e017098. [Google Scholar] [CrossRef]
- Chew, E.; Ghosh, M.; McCulloch, C. Amiodarone-induced cornea verticillata. Can. J. Ophthalmol. 1982, 17, 96–99. [Google Scholar] [PubMed]
- Raizman, M.B.; Hamrah, P.; Holland, E.J.; Kim, T.; Mah, F.S.; Rapuano, C.J.; Ulrich, R.G. Drug-induced corneal epithelial changes. Surv. Ophthalmol. 2017, 62, 286–301. [Google Scholar] [CrossRef] [PubMed]
- Van Der Tol, L.; Cassiman, D.; Houge, G.; Janssen, M.C.; Lachmann, R.H.; Linthorst, G.E.; Ramaswami, U.; Sommer, C.; Tøndel, C.; West, M.L.; et al. Uncertain Diagnosis of Fabry Disease in Patients with Neuropathic Pain, Angiokeratoma or Cornea Verticillata: Consensus on the Approach to Diagnosis and Follow-Up. JIMD Rep. 2014, 17, 83–90. [Google Scholar] [CrossRef] [PubMed]


| Nr. | Variant | Demographic Information | Biochemical Phenotype | Clinical Phenotype | ||||||||||||||||||
|---|---|---|---|---|---|---|---|---|---|---|---|---|---|---|---|---|---|---|---|---|---|---|
| AA Change | Sex | BMI | Age (years) | α-Gal A Activity | Lyso-Gb3 | Characteristic Symptoms | Major Organ Involvement | |||||||||||||||
| Eyes | Skin | Nervous System | Heart | Kidney † | ||||||||||||||||||
| PNS | CNS | |||||||||||||||||||||
| DBS nmol/mL/h | Plasma nmol/mL/h | Leukocytes nmol/mg/h | DBS ng/mL | Tortuous vessels | Cornea verticillata | Fabry cataract | AG | Sweating | Neuropathic pain or SFN | GIT | Stroke | WML/FS | ECG | LVH | LGE | Alb | GFR | |||||
| FD pathogenic GLA mutation | ||||||||||||||||||||||
| 1.0 | G325S | M | 27.7 | 34 | <2.8 | 0.22 # | 11.3 # | 19.8 | + | + | + | - | - | + | - | + | -/0 | - | - | - | A1 | G1 |
| 1.1 | G325S | F | 28.4 | 58 | na | na | na | 3.6 | + | + | - | + | - | - | - | - | +/1 | - | - | - | A1 | G2 |
| 2.0 | T412Sfs*? | F | 26.9 | 41 | na | 6.22 | 33.1 | 5.5 | + | + | - | - | - | - | - | + | -/0 | - | - | - | A1 | G1 |
| 2.1 | T412Sfs*? | M | 18.6 | 12 | na | 0.18 | 0.1 | 26.9 | - | + | - | + | - | - | + | - | na | - | - | na | A1 | G1 |
| 2.2 | T412Sfs*? | F | 20.9 | 10 | na | 1.62 | 26.1 | na | - | + | - | - | - | - | - | - | na | - | - | na | A1 | G1 |
| GLA variant of unclear significance or probably benign variant | ||||||||||||||||||||||
| 3.0 | R118C | F | 30.8 | 47 | na | 0.26 | 64.7 | 0.8 | - | - | - | - | - | - | - | + | +/1 | - | + | - | A1 | G1 |
| 3.1 | R118C | F | 25.7 | 52 | na | 2.64 | 34.5 | 1.0 | - | - | - | - | - | + | - | - | +/1 | - | - | na | A1 | G2 |
| 4.0 | A143T | F | 25.2 | 70 | na | 1.88 | 30.1 | 1.1 | - | - | - | - | - | - | - | + | +/1 | LAH | - | - | A1 | G1 |
| 4.1 | A143T | F | 31.2 | 50 | na | na | na | 1.2 | Na | na | na | - | - | - | - | - | na | - | na | na | A1 | G1 |
| 5.0 | R38G | F | 24.7 | 78 | na | 1.7 | 22.7 | 1.0 | - | - | - | + | - | - | - | + | +/2 | AF | - | na | A2 | G2 |
| 6.0 | R30K | F | na | 83 | na | na | na | 1.0 | Na | na | na | na | na | na | na | + | na | - | na | na | na | na |
| 6.1 | R30K | F | 22.9 | 46 | na | 3.74 | 68.5 | 1.0 | + | - | - | - | - | - | - | - | -/0 | - | - | - | A1 | G1 |
| 7.0 | V199A | M | na | 78 | 9.4 | na | na | 1.3 | Na | na | na | na | na | na | na | + | na | AF | na | na | na | na |
| Mutation Characteristics | Nonmodifiable Risk Factors | Modifiable Risk Factors | ||||||||
|---|---|---|---|---|---|---|---|---|---|---|
| Nr. | c.DNA Change | Amino Acid Change | Sex | Age (years) | Hyper Tension | Diabetes | Heart Disease | Dyslipidemia | Previous Stroke or TIA | Smoking |
| Pathological GLA variants | ||||||||||
| 1.0 | c.973G > A | p.Gly325Ser | M | 34 | - | - | - | - | - | + |
| 2.0 | c.1235_1236delCT | p.Thr412Serfs*? | F | 40 | - | - | - | - | - | + |
| GLA variants of unknown significance or probably benign | ||||||||||
| 3.0 | c.352C > T | p.Arg118Cys | F | 47 | + | - | - | - | - | - |
| 4.0 | c.427G > A | p.Ala143Thr | F | 70 | + | - | - | + | - | - |
| 5.0 | c.112A > G | p.Arg38Lys | F | 78 | + | - | AF | - | + | - |
| 6.0 | c.89G > A | p.Arg30Lys | F | 83 | + | - | - | - | - | - |
| 7.0 | c.596T > C | p.Val199Ala | M | 78 | - | - | IHD, AF | - | - | + |
| 8.0 # | c.937G > T | p.Asp313Tyr | M | 41 | + | - | - | - | - | - |
| 9.0 | c.937G > T | p.Asp313Tyr | M | 54 | - | - | PFO | + | - | + |
| 10.0 | c.937G > T | p.Asp313Tyr | F | 44 | - | - | - | - | - | - |
| 11.0 | c.937G > T | p.Asp313Tyr | M | 64 | + | - | IHD | + | - | - |
| 12.0 | c.937G > T | p.Asp313Tyr | F | 83 | + | + | IHD | + | - | - |
| 13.0 | c.937G > T | p.Asp313Tyr | F | 72 | + | - | IHD | - | - | - |
| 14.0 | c.937G > T | p.Asp313Tyr | F | 71 | + | - | PFO | + | - | - |
| 15.0 | c.937G > T | p.Asp313Tyr | M | 59 | + | - | - | - | - | + |
| 16.0 | c.937G > T | p.Asp313Tyr | F | 44 | - | - | - | - | + | - |
| Nr. | Demographic Information | Phenotype | |||||||||||||||||
|---|---|---|---|---|---|---|---|---|---|---|---|---|---|---|---|---|---|---|---|
| Sex | BMI | Age (years) | Lyso-Gb3 (ng/m) | Characteristic Symptoms | Major Organ Involvement | ||||||||||||||
| Eyes | Skin | Nervous System | Heart | Kidney † | |||||||||||||||
| PNS | CNS | ECG | LVH | LGE | alb | GFR | |||||||||||||
| Tortuous Vessels | Cornea Verticillata | Fabry Cataract | AG | Sweating | Neuropathic Pain | GIT | Stroke | WML/FS | Other | ||||||||||
| 8.0 | M | 25.9 | 43 | 1.6 | + | - | - | - | - | - | - | + | +/2 | - | LAH | - | - | A1 | G2 |
| 9.0 | M | 26.7 | 54 | 1.0 | - | - | - | - | - | - | - | + | +/1 | - | - | - | na | A2 | G1 |
| 10.0 | F | 35.9 | 44 | 1.0 | + | - | - | - | - | - | - | + | -/0 | MSA | - | - | na | A1 | G2 |
| 11.0 | M | 25.8 | 64 | 1.1 | + | + | - | - | - | - | - | + | +/2 | MSA, MCA stenosis | iRBBB | - | na | A1 | G1 |
| 12.0 | F | n.d. | 83 | 1.4 | na | na | na | - | - | - | - | + | na | - | - | - | na | na | G3b |
| 13.0 | F | n.d. | 72 | 0.9 | na | - | na | na | na | na | na | + | na | na | na | na | na | na | na |
| 13.1 | F | 36.9 | 47 | 1.1 | - | - | - | - | - | + | - | - | -/0 | - | - | - | na | A1 | G1 |
| 14.0 | F | 31.9 | 71 | 1.2 | - | - | - | - | - | - | - | + | -/0 | epilepsy | - | - | na | A1 | G1 |
| 15.0 | M | 38.4 | 59 | 1.1 | na | na | na | na | na | na | na | + | na | na | na | - | na | na | G1 |
| 16.0 | F | 17.4 | 44 | 1.1 | na | na | na | - | - | - | - | + | na | - | na | na | na | na | G1 |
Publisher’s Note: MDPI stays neutral with regard to jurisdictional claims in published maps and institutional affiliations. |
© 2021 by the authors. Licensee MDPI, Basel, Switzerland. This article is an open access article distributed under the terms and conditions of the Creative Commons Attribution (CC BY) license (https://creativecommons.org/licenses/by/4.0/).
Share and Cite
Reková, P.; Dostálová, G.; Kemlink, D.; Paulasová Schwabová, J.; Dubská, Z.; Vaneckova, M.; Mašek, M.; Kodet, O.; Poupětová, H.; Mazurová, S.; et al. Detailed Phenotype of GLA Variants Identified by the Nationwide Neurological Screening of Stroke Patients in the Czech Republic. J. Clin. Med. 2021, 10, 3543. https://doi.org/10.3390/jcm10163543
Reková P, Dostálová G, Kemlink D, Paulasová Schwabová J, Dubská Z, Vaneckova M, Mašek M, Kodet O, Poupětová H, Mazurová S, et al. Detailed Phenotype of GLA Variants Identified by the Nationwide Neurological Screening of Stroke Patients in the Czech Republic. Journal of Clinical Medicine. 2021; 10(16):3543. https://doi.org/10.3390/jcm10163543
Chicago/Turabian StyleReková, Petra, Gabriela Dostálová, David Kemlink, Jaroslava Paulasová Schwabová, Zora Dubská, Manuela Vaneckova, Martin Mašek, Ondřej Kodet, Helena Poupětová, Stella Mazurová, and et al. 2021. "Detailed Phenotype of GLA Variants Identified by the Nationwide Neurological Screening of Stroke Patients in the Czech Republic" Journal of Clinical Medicine 10, no. 16: 3543. https://doi.org/10.3390/jcm10163543
APA StyleReková, P., Dostálová, G., Kemlink, D., Paulasová Schwabová, J., Dubská, Z., Vaneckova, M., Mašek, M., Kodet, O., Poupětová, H., Mazurová, S., Rajdova, A., Vlckova, E., Táboříková, A., Fafejtová, Š., Nevsimalova, M., Linhart, A., & Tomek, A. (2021). Detailed Phenotype of GLA Variants Identified by the Nationwide Neurological Screening of Stroke Patients in the Czech Republic. Journal of Clinical Medicine, 10(16), 3543. https://doi.org/10.3390/jcm10163543

