Acute Pulmonary Embolism in Patients with and without COVID-19
Abstract
1. Introduction
2. Methods
2.1. Setting and Study Population
2.2. Study Definitions
2.3. Imaging
2.4. Laboratory Tests
2.5. Study Outcomes
2.6. Statistical Analysis
3. Results
3.1. Baseline Characteristics
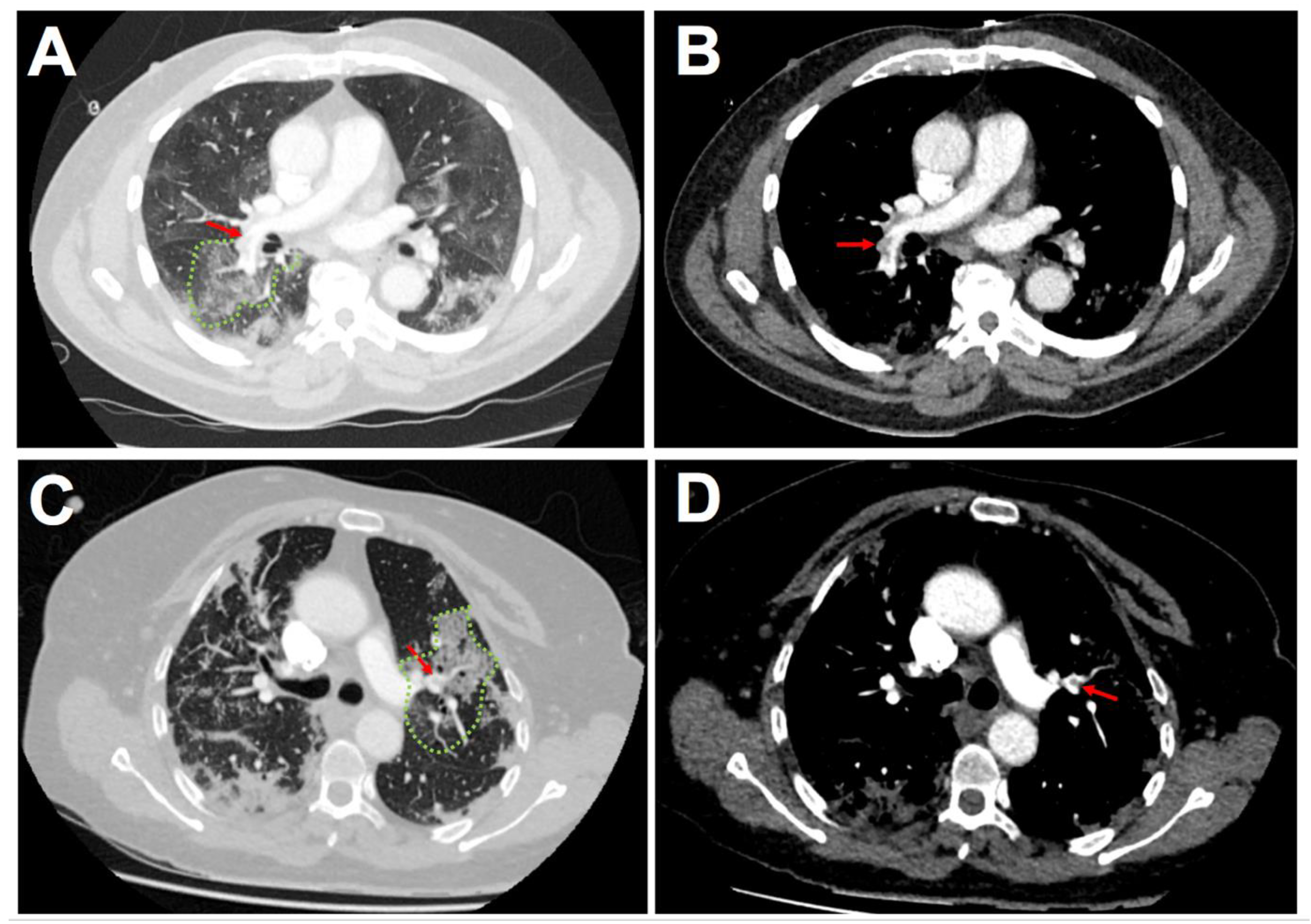
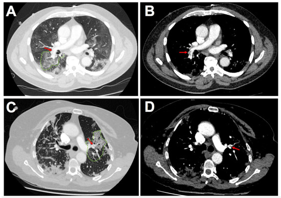
3.2. Imaging of Acute Pulmonary Embolism
3.3. Biological Phenotype of COVID-19 Related Acute Pulmonary Embolism
3.4. Outcomes
4. Discussion
4.1. Insights from the Comparison between COVID-19 and Non-COVID-19 Patients
4.2. Clinical Implications
4.3. Study Limitations
5. Conclusions
Author Contributions
Funding
Institutional Review Board Statement
Informed Consent Statement
Data Availability Statement
Acknowledgments
Conflicts of Interest
References
- Klok, F.A.; Kruip, M.; van der Meer, N.; Arbous, M.S.; Gommers, D.M.; Kant, K.M.; Kaptein, F.H.J.; van Paassen, J.; Syals, M.A.M.; Huisman, M.V.; et al. Incidence of thrombotic complications in critically ill ICU patients with COVID-19. Thromb. Res. 2020, 191, 145–147. [Google Scholar] [CrossRef]
- Trimaille, A.; Curtiaud, A.; Marchandot, B.; Matsushita, K.; Sato, C.; Leonard-Lorant, I.; Sattler, L.; Grunebaum, L.; Ohana, M.; Von Hunolstein, J.J.; et al. Venous thromboembolism in non-critically ill patients with COVID-19 infection. Thromb. Res. 2020, 193, 166–169. [Google Scholar] [CrossRef]
- Varga, Z.; Flammer, A.J.; Steiger, P.; Haberecker, M.; Andermatt, R.; Zinkernagel, A.S.; Mehra, M.R.; Schuepbach, R.A.; Ruschitzka, F.; Mochet, H. Endothelial cell infection and endotheliitis in COVID-19. Lancet 2020, 395, 1417–1418. [Google Scholar] [CrossRef]
- Ciceri, F.; Beretta, L.; Scandroglio, A.M.; Colombo, S.; Landoni, G.; Ruggeri, A.; Peccatori, J.; D’Angelo, A.; De Cobelli, F.; Rovere-Querini, P.; et al. Microvascular COVID-19 lung vessels obstructive thromboinflammatory syndrome (MicroCLOTS): An atypical acute respiratory distress syndrome working hypothesis. Crit. Care Resusc. 2020, 22, 95–97. [Google Scholar] [PubMed]
- Marchandot, B.; Sattler, L.; Jesel, L.; Matsushita, K.; Schini-Kerth, V.; Grunebaum, L.; Morel, O. COVID-19 Related Coagulopathy: A Distinct Entity? J. Clin. Med. 2020, 9, 1651. [Google Scholar] [CrossRef] [PubMed]
- Bowles, L.; Platton, S.; Yartey, N.; Dave, M.; Lee, K.; Hart, D.P.; MacDonald, V.; Green, L.; Sivapalaratnam, S.; Pasi, K.J.; et al. Lupus Anticoagulant and Abnormal Coagulation Tests in Patients with Covid-19. N. Engl. J. Med. 2020, 383, 288–290. [Google Scholar] [CrossRef] [PubMed]
- Moschonas, I.C.; Tselepis, A.D. SARS-CoV-2 infection and thrombotic complications: A narrative review. J. Thromb. Thrombolysis 2021, 1–13. [Google Scholar] [CrossRef]
- Cattaneo, M.; Bertinato, E.M.; Birocchi, S.; Brizio, C.; Malavolta, D.; Manzoni, M.; Muscarella, G.; Orlandi, M. Pulmonary Embolism or Pulmonary Thrombosis in COVID-19? Is the Recommendation to Use High-Dose Heparin for Thromboprophylaxis Justified? Thromb. Haemost. 2020, 120, 1230–1232. [Google Scholar] [CrossRef]
- Nopp, S.; Janata-Schwatczek, K.; Prosch, H.; Shulym, I.; Königsbrügge, O.; Pabinger, I.; Ay, C. Pulmonary embolism during the COVID-19 pandemic: Decline in diagnostic procedures and incidence at a university hospital. Res. Pract. Thromb. Haemost. 2020, 4, 835–841. [Google Scholar] [CrossRef]
- Konstantinides, S.V.; Meyer, G.; Becattini, C.; Bueno, H.; Geersing, G.J.; Harjola, V.P.; Huisman, M.V.; Humbert, M.; Jennings, C.S.; Jiménez, D.; et al. 2019 ESC Guidelines for the diagnosis and management of acute pulmonary embolism developed in collaboration with the European Respiratory Society (ERS). Eur. Heart J. 2020, 41, 543–603. [Google Scholar] [CrossRef]
- Revel, M.P.; Parkar, A.P.; Prosch, H.; Silva, M.; Sverzellati, N.; Gleeson, F.; Brady, A. COVID-19 patients and the radiology department—Advice from the European Society of Radiology (ESR) and the European Society of Thoracic Imaging (ESTI). Eur. Radiol. 2020, 30, 4903–4909. [Google Scholar] [CrossRef]
- Barbar, S.; Noventa, F.; Rossetto, V.; Ferrari, A.; Brandolin, B.; Perlati, M.; De Bon, E.; Tormene, D.; Pagnan, A.; Prandoni, P. A risk assessment model for the identification of hospitalized medical patients at risk for venous thromboembolism: The Padua Prediction Score. J. Thromb. Haemost. 2010, 8, 2450–2457. [Google Scholar] [CrossRef] [PubMed]
- Arcelus, J.I.; Candocia, S.; Traverso, C.I.; Fabrega, F.; Caprini, J.A.; Hasty, J.H. Venous thromboembolism prophylaxis and risk assessment in medical patients. Semin. Thromb. Hemost. 1991, 17 (Suppl. S3), 313–318. [Google Scholar] [PubMed]
- Spyropoulos, A.C.; Anderson, F.A.; FitzGerald, G.; Decousus, H.; Pini, M.; Chong, B.H.; Zotz, R.B.; Bergmann, J.F.; Tapson, V.; Froehlich, J.B.; et al. Predictive and associative models to identify hospitalized medical patients at risk for VTE. Chest 2011, 140, 706–714. [Google Scholar] [CrossRef]
- Henke, P.K.; Kahn, S.R.; Pannucci, C.J.; Secemksy, E.A.; Evans, N.S.; Khorana, A.A.; Creager, M.A.; Pradhan, A.D.; American Heart Association Advocacy Coordinating Committee. Call to Action to Prevent Venous Thromboembolism in Hospitalized Patients: A Policy Statement From the American Heart Association. Circulation 2020, 16, e914–e931. [Google Scholar] [CrossRef]
- Jiménez, D.; Aujesky, D.; Moores, L.; Gómez, V.; Lobo, J.L.; Uresandi, F.; Otero, R.; Monreal, M.; Muriel, A.; Yusen, R.D.; et al. Simplification of the pulmonary embolism severity index for prognostication in patients with acute symptomatic pulmonary embolism. Arch. Intern. Med. 2010, 170, 1383–1389. [Google Scholar] [CrossRef] [PubMed]
- Qanadli, S.D.; El Hajjam, M.; Vieillard-Baron, A.; Joseph, T.; Mesurolle, B.; Oliva, V.L.; Barré, O.; Bruckert, F.; Dubourg, O.; Lacombe, P. New CT index to quantify arterial obstruction in pulmonary embolism: Comparison with angiographic index and echocardiography. Am. J. Roentgenol. 2001, 176, 1415–1420. [Google Scholar] [CrossRef]
- Bhatt, A.S.; Moscone, A.; McElrath, E.E.; Varshney, A.S.; Claggett, B.L.; Bhatt, D.L.; Januzzi, J.L.; Butler, J.; Adler, D.S.; Solomon, S.D.; et al. Fewer Hospitalizations for Acute Cardiovascular Conditions During the COVID-19 Pandemic. J. Am. Coll. Cardiol. 2020, 76, 280–288. [Google Scholar] [CrossRef]
- De Rosa, S.; Spaccarotella, C.; Basso, C.; Calabrò, M.P.; Curcio, A.; Filardi, P.P.; Mancone, M.; Mercuro, G.; Muscoli, S.; Nodari, S.; et al. Reduction of hospitalizations for myocardial infarction in Italy in the COVID-19 era. Eur. Heart J. 2020, 41, 2083–2088. [Google Scholar] [CrossRef]
- Matsushita, K.; Hess, S.; Marchandot, B.; Sato, C.; Truong, D.P.; Kim, N.T.; Weiss, A.; Jesel, L.; Ohlmann, P.; Morel, O. Clinical features of patients with acute coronary syndrome during the COVID-19 pandemic. J. Thromb. Thrombolysis 2020, 1–10. [Google Scholar] [CrossRef]
- Kansagra, A.P.; Goyal, M.S.; Hamilton, S.; Albers, G.W. Collateral Effect of COVID-19 on Stroke Evaluation in the United States. N. Engl. J. Med. 2020, 383, 400–401. [Google Scholar] [CrossRef]
- Fauvel, C.; Weizman, O.; Trimaille, A.; Mika, D.; Pommier, T.; Pace, N.; Douair, A.; Barbin, E.; Fraix, A.; Bouchot, O.; et al. Pulmonary embolism in COVID-19 patients: A French multicentre cohort study. Eur. Heart J. 2020, 41, 3058–3068. [Google Scholar] [CrossRef] [PubMed]
- Crous-Bou, M.; Harrington, L.B.; Kabrhel, C. Environmental and Genetic Risk Factors Associated with Venous Thromboembolism. Semin. Thromb. Hemost. 2016, 42, 808–820. [Google Scholar] [CrossRef]
- Guzik, T.J.; Mohiddin, S.A.; Dimarco, A.; Patel, V.; Savvatis, K.; Marelli-Berg, F.M.; Madhur, M.S.; Tomaszewski, M.; Maffia, P.; D’Acquisto, F.; et al. COVID-19 and the cardiovascular system: Implications for risk assessment, diagnosis, and treatment options. Cardiovasc. Res. 2020, 116, 1666–1687. [Google Scholar] [CrossRef] [PubMed]
- Vaughan, C.J.; Cronin, H.; Ryan, P.M.; Caplice, N.M. Obesity and COVID-19: A Virchow’s Triad for the 21st Century. Thromb. Haemost. 2020, 120, 1590–1593. [Google Scholar] [CrossRef]
- Reyes Gil, M.; Barouqa, M.; Szymanski, J.; Gonzalez-Lugo, J.D.; Rahman, S.; Billett, H.H. Assessment of Lupus Anticoagulant Positivity in Patients with Coronavirus Disease 2019 (COVID-19). JAMA Netw. Open 2020, 3, e2017539. [Google Scholar] [CrossRef]
- Van Dam, L.F.; Kroft, L.J.M.; van der Wal, L.I.; Cannegieter, S.C.; Eikenboom, J.; de Jonge, E.; Huisman, M.V.; Klok, F.A. Clinical and computed tomography characteristics of COVID-19 associated acute pulmonary embolism: A different phenotype of thrombotic disease? Thromb. Res. 2020, 193, 86–89. [Google Scholar] [CrossRef] [PubMed]
- Medcalf, R.L. Fibrinolysis, inflammation, and regulation of the plasminogen activating system. J. Thromb. Haemost. 2007, 5, 132–142. [Google Scholar] [CrossRef]
- Helms, J.; Tacquard, C.; Severac, F.; Leonard-Lorant, I.; Ohana, M.; Delabranche, X.; Merdji, H.; Clere-Jehl, R.; Schenck, M.; Fagot Gandet, F.; et al. High risk of thrombosis in patients with severe SARS-CoV-2 infection: A multicenter prospective cohort study. Intensive Care Med. 2021, 46, 1089–1098. [Google Scholar] [CrossRef]
- Middeldorp, S.; Coppens, M.; van Haaps, T.F.; Foppen, M.; Vlaar, A.P.; Müller, M.C.A.; Bouman, C.C.S.; Beenen, L.F.M.; Kootte, R.S.; Heijmans, J.; et al. Incidence of venous thromboembolism in hospitalized patients with COVID-19. J. Thromb. Haemost. 2020, 18, 1995–2002. [Google Scholar] [CrossRef] [PubMed]
- Koupenova, M.; Clancy, L.; Corkrey, H.A.; Freedman, J.E. Circulating Platelets as Mediators of Immunity, Inflammation, and Thrombosis. Circ. Res. 2018, 122, 337–351. [Google Scholar] [CrossRef]
- Semple, J.W.; Italiano, J.E.; Freedman, J. Platelets and the immune continuum. Nat. Rev. Immunol. 2011, 11, 264–274. [Google Scholar] [CrossRef]
- Manne, B.K.; Denorme, F.; Middleton, E.A.; Portier, I.; Rowley, J.W.; Stubben, C.; Petrey, A.C.; Tolley, N.D.; Guo, L.; Cody, M.; et al. Platelet Gene Expression and Function in COVID-19 Patients. Blood 2020, 136, 1317–1329. [Google Scholar] [CrossRef] [PubMed]
- Tavil, Y.; Sen, N.; Yazıcı, H.U.; Hızal, F.; Abacı, A.; Cengel, A. Mean platelet volume in patients with metabolic syndrome and its relationship with coronary artery disease. Thromb. Res. 2007, 120, 245–250. [Google Scholar] [CrossRef] [PubMed]
- Guenancia, C.; Hachet, O.; Stamboul, K.; Béjot, Y.; Leclercq, T.; Garnier, F.; Yameogo, N.V.; de Maistre, E.; Cottin, Y.; Lorgis, L. Incremental predictive value of mean platelet volume/platelet count ratio in in-hospital stroke after acute myocardial infarction. Platelets 2017, 28, 54–59. [Google Scholar] [CrossRef] [PubMed]
- Marchandot, B.; Trimaille, A.; Curtiaud, A.; Matsushita, K.; Jesel, L.; Morel, O. Thromboprophylaxis: Balancing Evidence and Experience During the COVID-19 Pandemic. J. Thromb. Thrombolysis 2020, 50, 799–808. [Google Scholar] [CrossRef] [PubMed]
- Poissy, J.; Goutay, J.; Caplan, M.; Parmentier, A.; Duburcq, T.; Lassalle, F.; Jeanpierre, E.; Rauch, A.; Labreuche, J.; Susen, S. Pulmonary Embolism in COVID-19 Patients: Awareness of an Increased Prevalence. Circulation 2020, 142, 184–186. [Google Scholar] [CrossRef]
- Llitjos, J.F.; Leclerc, M.; Chochois, C.; Monsallier, J.M.; Ramakers, M.; Auvray, M.; Merouani, K. High incidence of venous thromboembolic events in anticoagulated severe COVID-19 patients. J. Thromb. Haemost. 2020, 18, 1743–1746. [Google Scholar] [CrossRef]
- Tang, N.; Li, D.; Wang, X.; Sun, Z. Abnormal coagulation parameters are associated with poor prognosis in patients with novel coronavirus pneumonia. J. Thromb. Haemost. 2020, 18, 844–847. [Google Scholar] [CrossRef] [PubMed]
- Paranjpe, I.; Fuster, V.; Lala, A.; Russak, A.J.; Glicksberg, B.S.; Levin, M.A.; Charney, A.W.; Narula, J.; Fayad, Z.A.; Bagiella, E.; et al. Association of Treatment Dose Anticoagulation with In-Hospital Survival Among Hospitalized Patients with COVID-19. J. Am. Coll. Cardiol. 2020, 76, 122–124. [Google Scholar] [CrossRef]


| Patients with Pulmonary Embolism | p Value | ||
|---|---|---|---|
| COVID-19 Negative (n = 81) | COVID-19 Positive (n = 59) | ||
| Demographic Characteristics | |||
| Age–y | 70.2 ± 15.1 | 63.9 ± 14.4 | 0.014 |
| Male–n (%) | 41 (50.6) | 41 (69.5) | 0.037 |
| Cardiovascular risk factors | |||
| Obesity–n (%) | 12 (14.8) | 21 (35.6) | 0.005 |
| Hypertension–n (%) | 51 (63.0) | 30 (50.8) | 0.169 |
| Diabetes–n (%) | 11 (13.6) | 16 (27.1) | 0.053 |
| Dyslipidemia–n (%) | 24 (29.6) | 19 (32.8) | 0.713 |
| Smoking–n (%) | 7 (8.6) | 3 (5.1) | 0.519 |
| Medical history | |||
| Previous VTE–n (%) | 21 (25.9) | 5 (8.5) | 0.008 |
| APE–n (%) | 6 (7.4) | 0 (0.0) | 0.039 |
| DVT–n (%) | 17 (21.0) | 5 (8.5) | 0.059 |
| Heart failure–n (%) | 1 (1.2) | 4 (6.8) | 0.162 |
| CKD *–n (%) | 4 (4.9) | 2 (3.4) | 1.000 |
| COPD–n (%) | 5 (6.2) | 2 (3.4) | 0.699 |
| Active cancer–n (%) | 13 (16.0) | 2 (3.4) | 0.024 |
| Cancer in remission–n (%) | 4 (4.9) | 7 (11.9) | 0.202 |
| Medications before hospitalization | |||
| OAC–no. (%) | 9 (11.1) | 2 (3.4) | 0.119 |
| SAPT–no. (%) | 18 (22.2) | 7 (11.9) | 0.125 |
| DAPT–no. (%) | 1 (1.2) | 1 (1.7) | 1.000 |
| ACEi–no. (%) | 7 (8.6) | 10 (16.9) | 0.190 |
| ARBs–no. (%) | 26 (32.1) | 11 (18.6) | 0.084 |
| Beta-blocker–no. (%) | 19 (23.5) | 14 (23.7) | 1.000 |
| Statins–no. (%) | 20 (24.7) | 11 (18.6) | 0.419 |
| Oral contraceptives–no. (%) | 2 (2.5) | 0 (0.0) | 0.509 |
| VTE risk assessment | |||
| Padua score ≥ 4–n (%) † | 81 (100) | 59 (100) | 1.000 |
| IMPROVE score–n (%) ‡ | 1.9 ± 1.6 | 1.4 ± 0.9 | 0.060 |
| Thromboprophylaxis before VTE | |||
| None–n (%) | 68 (84.0) | 28 (47.5) | <0.001 |
| Standard dose–n (%) | 5 (6.2) | 21 (35.6) | <0.001 |
| Intermediate dose–n (%) | 0 (0.0) | 5 (8.5) | 0.012 |
| Therapeutic dose–n (%) | 7 (8.6) | 5 (8.5) | 0.611 |
| Outcomes during hospitalization | |||
| Transfer to ICU–n (%) | 5 (6.2) | 27 (45.8) | <0.001 |
| Need for mechanical ventilation–n (%) | 5 (6.2) | 24 (40.7) | <0.001 |
| In-hospital death–n (%) | 4 (4.9) | 9 (15.3) | 0.073 |
| DVT–n (%) § | 35 (43.2) | 10 (16.9) | 0.001 |
| Length of stay–days | 12.1 ± 13.4 | 15.5 ± 7.7 | 0.142 |
| Patients with Pulmonary Embolism | p Value | ||
|---|---|---|---|
| COVID-19 Negative (n = 81) | COVID-19 Positive (n = 59) | ||
| APE Severity | |||
| sPESI | 0.83 ± 0.83 | 1.15 ± 0.76 | 0.019 |
| Low risk–n (%) | 27 (33.3) | 10 (16.9) | 0.034 |
| Intermediate low risk–n (%) | 36 (44.4) | 27 (47.5) | 0.735 |
| Intermediate high risk–n (%) | 17 (21.0) | 19 (32.2) | 0.171 |
| High risk–n (%) | 1 (1.2) | 2 (3.4) | 0.573 |
| APE localization | |||
| Sub-segmental–n (%) | 9 (11.1) | 6 (10.2) | 0.859 |
| Segmental–n (%) | 20 (24.7) | 21 (35.6) | 0.162 |
| Lobar–n (%) | 26 (32.1) | 15 (25.4) | 0.391 |
| Troncular–n (%) | 26 (32.1) | 17 (28.8) | 0.677 |
| Co-localization between segmental or subsegmental thrombus and COVID-19 related lung injuries–n (%) | - | 27 (100) | - |
| Thrombus load assessment | |||
| Qanadli score–IU | 9.0 ± 7.4 | 8.1 ± 6.9 | 0.452 |
| Patients with Pulmonary Embolism | p Value | ||
|---|---|---|---|
| COVID-19 Negative (n = 81) | COVID-19 Positive (n = 59) | ||
| At Admission | |||
| Leukocytes–×109 per L | 10.26 ± 3.48 | 9.00 ± 3.95 | 0.048 |
| Neutrophils–×109 per L | 7.49 ± 3.26 | 7.14 ± 3.59 | 0.554 |
| Eosinophils–×109 per L | 0.14 ± 0.14 | 0.03 ± 0.05 | <0.001 |
| Basophils–×109 per L | 0.05 ± 0.04 | 0.02 ± 0.02 | <0.001 |
| Lymphocytes–×109 per L | 1.59 ± 1.19 | 1.09 ± 0.53 | 0.003 |
| Monocytes–×109 per L | 0.80 ± 0.34 | 0.69 ± 0.43 | 0.121 |
| Hemoglobin–g/dL | 12.4 ± 2.4 | 13.4 ± 2.2 | 0.008 |
| Platelets–×109 per L | 266 ± 130 | 231 ± 99 | 0.088 |
| MPV–fL | 9.9 ± 10.5 | 10.3 ± 10.9 | 0.079 |
| MPV/Platelets ratio–IU | 4.1 ± 5.3 | 4.9 ± 7.4 | 0.023 |
| Creatinine–µmol/L | 77.1 ± 29.3 | 83.1 ± 45.0 | 0.349 |
| eGFR–mL/min/1.73 m2 | 79 ± 23 | 84 ± 23 | 0.162 |
| CRP–mg/L | 63.7 ± 66.2 | 99.5 ± 78.1 | 0.005 |
| Albumin–g/L | 36.5 ± 8.2 | 34.7 ± 9.0 | 0.336 |
| Troponin–ng/L | 203.6 ± 543.9 | 384.0 ± 2124.3 | 0.506 |
| BNP–pg/mL | 218 ± 357 | 280 ± 616 | 0.497 |
| PT–% | 85 ± 15 | 85 ± 19 | 0.781 |
| INR–IU | 1.2 ± 0.4 | 1.3 ± 1.2 | 0.291 |
| aPTT–IU | 1.0 ± 0.2 | 1.2 ± 0.3 | 0.002 |
| Fibrinogen–g/L | 5.0 ± 1.6 | 6.2 ± 2.0 | 0.002 |
| D-dimer–ng/mL | 7389 ± 6736 | 4738 ± 5628 | 0.047 |
| D-Dimer staging *–n (%) | 0.023 | ||
| <3 ULN | 8 (15.7) | 13 (31.7) | |
| 3–6 ULN | 10 (19.6) | 11 (26.8) | |
| >6 ULN | 33 (64.7) | 17 (41.5) | |
| PO2–mmHg | 85 ± 34 | 88 ± 35 | 0.684 |
| PCO2–mmHg | 36 ± 7 | 36 ± 9 | 0.912 |
| PaO2/FiO2 ratio–IU | 328 ± 122 | 266 ± 106 | 0.015 |
| Lactate–mmol/L | 1.4 ± 1.1 | 1.3 ± 0.5 | 0.730 |
| During Hospitalization | |||
| Leukocytes peak–×109 per L | 10.61 ± 4.15 | 12.77 ± 7.39 | 0.030 |
| Hemoglobin nadir–g/dL | 11.5 ± 2.3 | 12.4 ± 2.2 | 0.015 |
| Platelets peak–×109 per L | 265 ± 129 | 343 ± 176 | 0.003 |
| Creatinine peak–µmol/L | 90.0 ± 39.8 | 120.7 ± 103.4 | 0.018 |
| CRP peak–mg/L | 74.1 ± 80.1 | 162.0 ± 106.5 | <0.001 |
| Fibrinogen peak–g/L | 5.1 ± 1.9 | 7.3 ± 2.1 | <0.001 |
| D-dimer peak–ng/mL | 7570 ± 6812 | 7168 ± 6595 | 0.771 |
| D-Dimer staging *–n (%) | 0.933 | ||
| <3 ULN | 9 (18.0) | 7 (15.6) | |
| 3–6 ULN | 8 (16.0) | 10 (22.2) | |
| >6 ULN | 33 (66.0) | 28 (62.2) | |
| Lupus anticoagulant positive–% * | 1 (12.5) | 28 (82.4) | <0.001 |
| At Discharge | |||
| Leukocytes–×109 per L | 15.62 ± 59.95 | 8.89 ± 5.38 | 0.450 |
| Hemoglobin–g/dL | 11.8 ± 2.5 | 13.4 ± 14.1 | 0.377 |
| Platelets–×109 per L | 287 ± 138 | 336 ± 139 | 0.065 |
| CRP–mg/L | 51.7 ± 69.7 | 36.5 ± 49.7 | 0.222 |
| Fibrinogen–g/L | 5.3 ± 1.9 | 6.2 ± 2.0 | 0.218 |
| Variables | Univariate Analysis | Multivariate Analysis | ||||
|---|---|---|---|---|---|---|
| HR [95% CI] | p | First Model * | Second Model * | |||
| HR [95% CI] | p | HR [95% CI] | p | |||
| Age | 0.96 [0.93–0.98] | 0.006 | 0.96 [0.92–1.00] | 0.057 | 1.01 [0.93–1.10] | 0.660 |
| BMI | 1.05 [0.98–1.12] | 0.130 | ||||
| Previous VTE | 0.114 [0.01–0.86] | 0.035 | 0.11 [0.00–1.52] | 0.101 | 0.10 [0.00–35.08] | 0.108 |
| Diabetes Mellitus | 1.95 [0.77–0.49] | 0.154 | ||||
| CAD | 0.91 [0.23–3.49] | 0.893 | ||||
| LV dysfunction | 5.48 [0.87–34.37] | 0.069 | ||||
| Atrial Fibrillation | 0.31 [0.03–2.56] | 0.281 | ||||
| COPD | 0.54 [0.06–4.73] | 0.585 | ||||
| History of cancer | 0.62 [0.19–1.99] | 0.431 | ||||
| Lack of thromboprophylaxis | 0.48 [0.13–1.73] | 0.265 | ||||
| PE localization | 0.89 [0.60–1.33] | 0.599 | ||||
| sPESI | 1.91 [1.18–3.10] | 0.008 | 1.73 [0.89–3.35] | 0.102 | 2.54 [0.33–19.15] | 0.365 |
| Creatinine peak | 1.01 [1.00–1.01] | 0.001 | 1.01 [1.00–1.02] | 0.011 | 1.02 [0.98–1.06] | 0.260 |
| Platelet peak | 1.00 [1.00–1.00] | <0.001 | ||||
| Leukocytes peak | 1.12 [1.03–1.22] | 0.004 | ||||
| CRP peak | 1.01 [1.00–1.01] | <0.001 | 1.00 [1.00–1.01] | 0.012 | 1.01 [1.00–1.02] | 0.029 |
| Fibrinogen peak | 1.99 [1.44–2.75] | <0.001 | ||||
| D-Dimer peak | 1.00 [1.00–1.00] | 0.738 | ||||
| Troponin peak | 0.99 [0.98–1.00] | 0.099 | ||||
| LA | 8.50 [1.60–45.12] | 0.012 | 9.53 [0.38–238.92] | 0.170 | ||
| Qanadli score | 0.97 [0.92–1.03] | 0.395 | ||||
| COVID-19 | 12.82 [4.53–36.27] | <0.001 | 4.19 [1.27–13.76] | 0.018 | ||
Publisher’s Note: MDPI stays neutral with regard to jurisdictional claims in published maps and institutional affiliations. |
© 2021 by the authors. Licensee MDPI, Basel, Switzerland. This article is an open access article distributed under the terms and conditions of the Creative Commons Attribution (CC BY) license (https://creativecommons.org/licenses/by/4.0/).
Share and Cite
Trimaille, A.; Curtiaud, A.; Matsushita, K.; Marchandot, B.; Von Hunolstein, J.-J.; Sato, C.; Leonard-Lorant, I.; Sattler, L.; Grunebaum, L.; Ohana, M.; et al. Acute Pulmonary Embolism in Patients with and without COVID-19. J. Clin. Med. 2021, 10, 2045. https://doi.org/10.3390/jcm10102045
Trimaille A, Curtiaud A, Matsushita K, Marchandot B, Von Hunolstein J-J, Sato C, Leonard-Lorant I, Sattler L, Grunebaum L, Ohana M, et al. Acute Pulmonary Embolism in Patients with and without COVID-19. Journal of Clinical Medicine. 2021; 10(10):2045. https://doi.org/10.3390/jcm10102045
Chicago/Turabian StyleTrimaille, Antonin, Anaïs Curtiaud, Kensuke Matsushita, Benjamin Marchandot, Jean-Jacques Von Hunolstein, Chisato Sato, Ian Leonard-Lorant, Laurent Sattler, Lelia Grunebaum, Mickaël Ohana, and et al. 2021. "Acute Pulmonary Embolism in Patients with and without COVID-19" Journal of Clinical Medicine 10, no. 10: 2045. https://doi.org/10.3390/jcm10102045
APA StyleTrimaille, A., Curtiaud, A., Matsushita, K., Marchandot, B., Von Hunolstein, J.-J., Sato, C., Leonard-Lorant, I., Sattler, L., Grunebaum, L., Ohana, M., Ohlmann, P., Jesel, L., & Morel, O. (2021). Acute Pulmonary Embolism in Patients with and without COVID-19. Journal of Clinical Medicine, 10(10), 2045. https://doi.org/10.3390/jcm10102045

