Modeling and Optimal Operating Conditions of Hollow Fiber Membrane for CO2/CH4 Separation
Abstract
1. Introduction
- -
- The material (permeability and separation factors).
- -
- The membrane structure and thickness (permeance).
- -
- The membrane configuration (e.g., flat and hollow fiber).
1.1. Material and Construction of Gas Membrane
1.2. Membrane Configuration
- -
- High firmness density.
- -
- Reasonable distribution of fluid.
- -
- Good stability of mechanical, thermal, and chemical properties.
- -
- Low-pressure difference.
- -
- Low-cost fabrication.
- -
- Simplicity in maintenance and running.
- -
- The potency of membrane change.
- -
- The potential of changing the system size.
- -
- The potency of decontamination.
2. Theory and Mathematical Model
2.1. Physical Properties of the Gas Mixture
2.2. Gas Diffusivity in the Membrane Regions
2.3. Mass Transfer Coefficients
3. CFD Simulation Model
- -
- Steady-state and isothermal conditions.
- -
- Fick’s law was used to describe the diffusion mechanism.
- -
- Ideal gas behavior.
- -
- The Newtonian-type fluid.
- -
- Neglecting the support layer (ignoring the resistance).
- -
- Two-dimensional flow patterns.
- -
- The driving force in the model is the pressure difference.
- -
- All fibers have uniform outer and inner diameters.
3.1. Material Balance
3.1.1. Feed Side (Tube Side)
3.1.2. Membrane Part
3.1.3. Permeate Side
3.1.4. Feed Side (Tube Side)
3.1.5. Shell Side
3.2. Numerical Procedure
4. Experimental Work
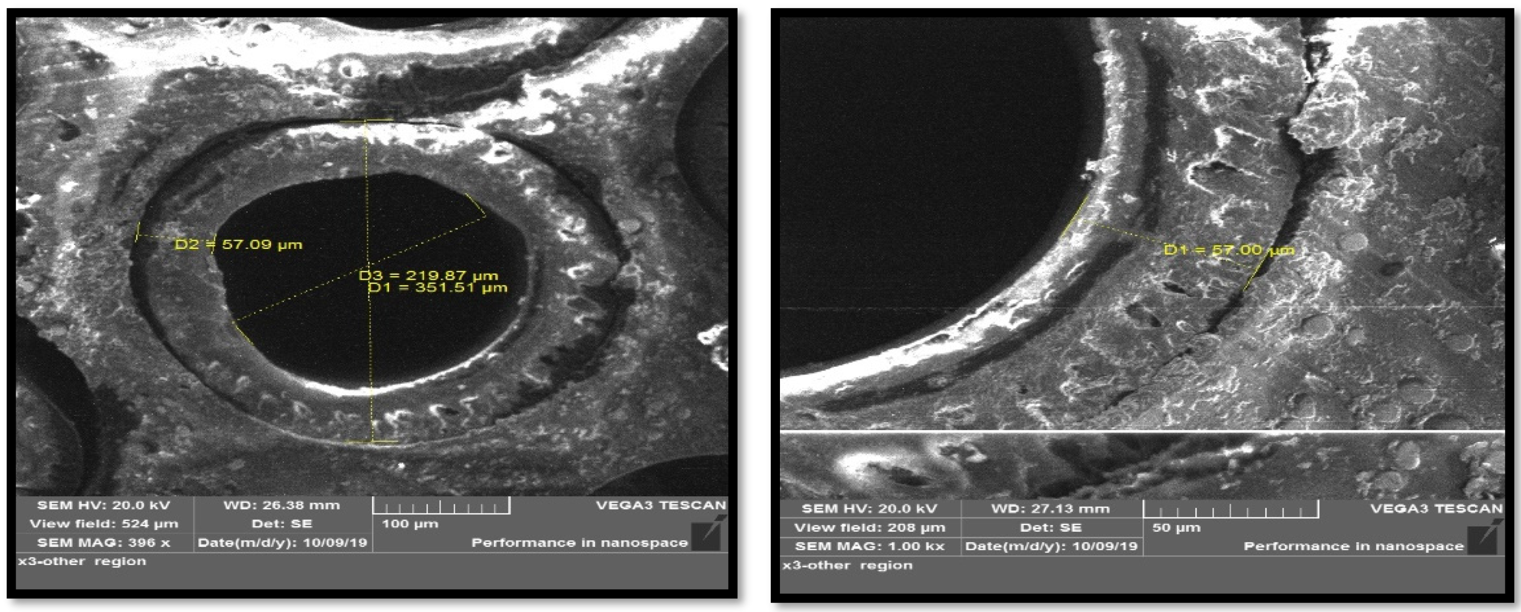
4.1. Materials and Experimental Design
4.2. Lab Scale System and Gas Analyzers
5. Results and Discussion
5.1. Effect of Pressure and Temperature on Diffusion Coefficients
5.2. Effect of Temperature and Pressure on Mass Transfer Coefficients
5.3. The Diffusion Coefficient of Gases in the Dense Membrane
5.4. Model Validation
5.4.1. Velocity Field
5.4.2. The Concentration Distribution of Gas in the Membrane
5.5. Analysis of CO2 Flux and Recovery
6. Conclusions
Author Contributions
Funding
Institutional Review Board Statement
Data Availability Statement
Acknowledgments
Conflicts of Interest
References
- Mustafa, J.; Farhan, M.; Hussain, M. CO2 Separation from Flue Gases Using Different Types of Membranes. J. Membr. Sci. Technol. 2016, 6, 153–159. [Google Scholar] [CrossRef]
- Rath, G.K.; Pandey, G.; Singh, S.; Molokitina, N.; Kumar, A.; Joshi, S.; Chauhan, G. Carbon Dioxide Separation Technologies: Applicable to Net Zero. Energies 2023, 16, 4100. [Google Scholar] [CrossRef]
- Altalhi, M.L.T.; Ahamed, M.I. Advanced Functional Membranes: Materials and Applications; Materails Research Forum LLC: Millersville, PA, USA, 2022. [Google Scholar]
- Mohanty, K.; Purkait, M.K. Membrane Technologies and Applications, 1st ed.; CRC Press: Boca Raton, FL, USA, 2011. [Google Scholar]
- Bernardo, P.; Drioli, E.; Golemme, G. Membrane Gas Separation: A Review/State of the Art. Ind. Eng. Chem. Res. 2009, 48, 4638–4663. [Google Scholar] [CrossRef]
- Drioli, E.; Giorno, L.; Macedonio, F. Membrane Engineering, 1st ed.; Walter de Gruyter GmbH & Co KG: Berlin, Germany, 2018. [Google Scholar]
- Hamid, M.A.A.; Chung, Y.T.; Rohani, R.; Junaidi, M.U.M. Miscible-blend polysulfone/polyimide membrane for hydrogen purification from palm oil mill effluent fermentation. Sep. Purif. Technol. 2019, 209, 598–607. [Google Scholar] [CrossRef]
- Jasim, D.; Mohammed, T.; Abid, M. A Review of the Natural Gas Purification from Acid Gases by Membrane. Eng. Technol. J. 2022, 40, 441–450. [Google Scholar] [CrossRef]
- Scholz, M.; Wessling, M.; Balster, J. Design of Membrane Modules for Gas Separations. In Membrane Engineering for the Treatment of Gases; RSC publishing: London, UK, 2011; Volume 1, pp. 125–149. [Google Scholar]
- Lasseuguette, E.; Comesaña-Gándara, B. Polymer Membranes for Gas Separation. Membranes 2022, 12, 207. [Google Scholar] [CrossRef]
- Alshehri, A.K. Membrane Modeling, Simulation and Optimization for Propylene/Propane Separation. Ph.D. Thesis, King Abdullah University of Science and Technology, Thuwal, Saudi Arabia, 2015. [Google Scholar]
- Ji, G.; Zhao, M. Membrane Separation Technology in Carbon Capture. In Recent Advances in Carbon Capture and Storage; IntechOpen: London, UK, 2017. [Google Scholar]
- Yampolskii, Y.; FInkelshtein, E. Membrane Materials for Gas and Separation: Synthesis and Application fo Silicon-Containing Polymers; John Wiley & Sons, Ltd.: Pondicherry, India, 2017. [Google Scholar]
- Imtiaz, A.; Othman, M.H.D.; Jilani, A.; Khan, I.U.; Kamaludin, R.; Iqbal, J.; Al-Sehemi, A.G. Challenges, Opportunities and Future Directions of Membrane Technology for Natural Gas Purification: A Critical Review. Membranes 2022, 12, 646. [Google Scholar] [CrossRef]
- Dehkordi, J.A.; Hosseini, S.S.; Kundu, P.K.; Tan, N.R. Mathematical Modeling of Natural Gas Separation Using Hollow Fiber Membrane Modules by Application of Finite Element Method through Statistical Analysis. Chem. Prod. Process Model. 2016, 11, 11–15. [Google Scholar] [CrossRef]
- Marriott, J.I. Detailed Modelling and Optimal Design of Membrane Separation Systems. Ph.D. Thesis, University of London, London, UK, February 2001; pp. 1–224. [Google Scholar]
- Wang, K.Y.; Weber, M.; Chung, T.S. Polybenzimidazoles (PBIs) and state-of-the-art PBI hollow fiber membranes for water, organic solvent and gas separations: A review. J. Mater. Chem. A 2022, 10, 8687–8718. [Google Scholar] [CrossRef]
- Seader, J.D.; Henley, E.J.; Roper, D.K. Separation Process Principles Chemical and Biochemical Operations, 3rd ed.; John Wiley & Sons, Inc.: Hoboken, NJ, USA, 2011. [Google Scholar]
- Cardoso, A.R.T.; Ambrosi, A.; Di Luccio, M.; Hotza, D. Membranes for separation of CO2/CH4 at harsh conditions. J. Nat. Gas Sci. Eng. 2022, 98, 104388. [Google Scholar] [CrossRef]
- Ismaila, A.F.; Kusworoa, T.D.; Mustafaa, A.; Hasbullaha, H. Understanding the solution-diffusion mechanism in gas separation membrane for engineering students. In Proceedings of the Regional Conference on Engineering Education RCEE 2005, Johor, Malaysia, 12–13 December 2005. [Google Scholar]
- Engineering ToolBox. Carbon Dioxide—Dynamic and Kinematic Viscosity. Available online: https://www.engineeringtoolbox.com/carbon-dioxide-dynamic-kinematic-viscosity-temperature-pressure-d_2074.html (accessed on 14 January 2021).
- Smith, J.M.; Van Ness, H.C.; Abbott, M.M.; Swihart, M.T. Introduction to Chemical Engineering Thermodynamics; McGraw-Hill: Singapore, 2018. [Google Scholar]
- Bondi, A. Van der Waals Volumes and Radii. J. Phys. Chem. 1694, 68, 441–451. [Google Scholar] [CrossRef]
- Thran, A.; Kroll, C.; Faupel, F. Correlation between fractional free volume and diffusivity of gas molecules in glassy polymers. J. Polym. Sci. Part B Polym. Phys. 1999, 37, 3344–3358. [Google Scholar] [CrossRef]
- Shoghl, S.N.; Raisi, A.; Aroujalian, A. A predictive mass transport model for gas separation using glassy polymer membranes. RSC Adv. 2015, 5, 38223–38234. [Google Scholar] [CrossRef]
- Shoghl, S.N.; Raisi, A.; Aroujalian, A. Modeling of gas solubility and permeability in glassy and rubbery membranes using lattice fluid theory. Polymer 2017, 115, 184–196. [Google Scholar] [CrossRef]
- Minelli, M.; Sarti, G. Thermodynamic Modeling of Gas Transport in Glassy Polymeric Membranes. Membranes 2017, 7, 46. [Google Scholar] [CrossRef]
- Costello, L.M.; Koros, W.J. Temperature dependence of gas sorption and transport properties in polymers: Measurement and applications. Ind. Eng. Chem. Res. 1992, 31, 2708–2714. [Google Scholar] [CrossRef]
- Coulson, J.M.; Richardson, J.F.; Backhurst, J.R.; Harker, J.H. Fluid flow, heat transfer and mass transfer. Filtr. Sep. 1996, 33, 102. [Google Scholar] [CrossRef]
- Ghasem, N.; Al-Marzouqi, M. Modeling and experimental study of carbon dioxide absorption in a flat sheet membrane contactor. J. Membr. Sci. Res. 2017, 3, 57–63. [Google Scholar] [CrossRef]
- Zhang, Z.; Chen, F.; Rezakazemi, M.; Zhang, W.; Lu, C.; Chang, H.; Quan, X. Modeling of a CO2-piperazine-membrane absorption system. Chem. Eng. Res. Des. 2018, 131, 375–384. [Google Scholar] [CrossRef]
- Rezakazemi, M.; Niazi, Z.; Mirfendereski, M.; Shirazian, S.; Mohammadi, T.; Pak, A. CFD simulation of natural gas sweetening in a gas-liquid hollow-fiber membrane contactor. Chem. Eng. J. 2011, 168, 1217–1226. [Google Scholar] [CrossRef]
- Amooghin, A.E.; Mirrezaei, S.; Sanaeepur, H.; Sharifzadeh, M.M.M. Gas permeation modeling through a multilayer hollow fiber composite membrane. J. Membr. Sci. Res. 2020, 6, 125–134. [Google Scholar] [CrossRef]
- Alsaiari, A.O. Gas-Gas Separation Using a Hollow Fiber Membrane; Lehigh University: Bethlehem, PA, USA, 2014. [Google Scholar]
- Byron Bird, W.E.S.R.; Lightfoot, E.N. Transport Phenomena, 2nd ed.; Cambridge University Press: Cambridge, UK, 2013; Volume 58. [Google Scholar]
- AIRRANE. Available online: https://www.biogasworld.com/companies/airrane/ (accessed on 15 July 2022).
- Asano, K. Mass Transfer; John Wiley & Sons: Hoboken, NJ, USA, 2012. [Google Scholar]
- Chou, C.-H.; Martin, J.J. Diffusion of Gases at Elevated Pressures—Carbon-14—Labeled CO2 in CO2—H2 and CO2—Propane. Ind. Eng. Chem. 1957, 49, 758–762. [Google Scholar] [CrossRef]
- Zielinski, J.M.; Duda, J.L. Predicting polymer/solvent diffusion coefficients using free-volume theory. AIChE J. 1992, 38, 405–415. [Google Scholar] [CrossRef]



























| Gas | A (cm2 s−1) | B |
|---|---|---|
| CO2 | 1.09 | |
| CH4 | 1.19 |
| Gas | A (cm2 s−1) | (Kcal/Mol) |
|---|---|---|
| CO2 | 8.3 | |
| CH4 | 10 |
| Parameter | Value | Unit | Parameter | Value | Unit |
|---|---|---|---|---|---|
| Temperature of a gas mixture | 303 | %CO2 in Feed | 6 | ||
| Pressure of a gas mixture | 5 | %CH4 in Feed | 94 | ||
| Feed Flow Rate | 3.33 × 10−5 | The density of feed gas | 3.59 | ||
| Inlet Conc. of CO2 | 1.20 × 101 | The viscosity of the feed gas | 1.15 × 10−5 | ||
| Inlet Conc. of CH4 | 1.83 × 102 | The inner radius of the fibre | 90 | ||
| Inlet gas velocity in fibre | 0.345 | The outer radius of the fibre | 150 | ||
| Number of fibres | 3800 | - | The thickness of the dense layer | 20 | |
| Scale | 300 | - | Length of fibre | 28 | |
| Diffusion Coef. of CO2 in Tube Side | 3.39 × 10−5 | Partition Factor of CO2 | 0.801 | - | |
| Diffusion Coef. of CH4 in Tube Side | 3.36 × 10−6 | Partition Factor of CH4 | 0.441 | - | |
| Diffusion of CO2 in Membrane | 2.29 × 10−8 | Density of permeate gas | 0.87 | ||
| Diffusion of CH4 in Membrane | 3.1 × 10−9 | Viscosity of the permeate gas | 1.24 × 10−5 | ||
| Diffusion Coefficients of CO2 in Permeate Side | 1.72 × 10−5 | Diffusion Coefficients of CH4 in Permeate Side | 1.72 × 10−5 |
| Specifications of Membrane Module | |||
|---|---|---|---|
| Product | Model | Material | |
| Hollow fibre | MCB-1512A | Polysulfone | |
| Dimensions and Weight | |||
| Length | Dimension | Weight | |
| 360 mm | |||
| Fibre Specifications | |||
| No. | length | OD | ID |
| 3800 | |||
| Operating Conditions | |||
| Pressure | Temp. (Min/Max) | Relative Humidity | Residual oil |
| Max 10 bar | 5/50 | Less than 60% | ≤0.01 |
| Step No. | Feed Pressure (Bar) | Feed Temp. (°C) | CO2 in Feed Mol% |
|---|---|---|---|
| 1 | 2.5 | 20 | 2 |
| 2 | 5 | 30 | 6 |
| 3 | 7.5 | 40 | 10 |
| Run | Feed Pressure (Bar) | Feed Temp. (°C) | CO2 Mol% Feed | CH4 Mol% Feed | Permeate Flow Rate (L/Min) | CO2 Mol% Permeate | CH4 Mol% Permeate |
|---|---|---|---|---|---|---|---|
| 1 | 2.5 | 20 | 2 | 98 | 0.334 | 23.013 | 76.982 |
| 2 | 2.5 | 20 | 2 | 98 | 0.3336 | 22.807 | 77.191 |
| 3 | 2.5 | 20 | 2 | 98 | 0.3329 | 22.43 | 77.568 |
| 4 | 2.5 | 30 | 6 | 94 | 0.2984 | 25.308 | 74.691 |
| 5 | 2.5 | 30 | 6 | 94 | 0.301 | 24.704 | 75.294 |
| 6 | 2.5 | 30 | 6 | 94 | 0.299 | 25.5304 | 74.467 |
| 7 | 2.5 | 40 | 10 | 90 | 0.2798 | 28.675 | 71.324 |
| 8 | 2.5 | 40 | 10 | 90 | 0.2761 | 27.324 | 72.673 |
| 9 | 2.5 | 40 | 10 | 90 | 0.2775 | 28.3201 | 71.678 |
| 10 | 5 | 20 | 2 | 98 | 0.612245 | 31.054 | 68.943 |
| 11 | 5 | 20 | 2 | 98 | 0.623 | 30.876 | 69.123 |
| 12 | 5 | 20 | 2 | 98 | 0.6204 | 31.342 | 68.655 |
| 13 | 5 | 30 | 6 | 94 | 0.5307 | 33.05 | 66.947 |
| 14 | 5 | 30 | 6 | 94 | 0.549 | 33.245 | 66.753 |
| 15 | 5 | 30 | 6 | 94 | 0.533 | 32.991 | 67.005 |
| 16 | 5 | 40 | 10 | 90 | 0.4558 | 35.343 | 64.654 |
| 17 | 5 | 40 | 10 | 90 | 0.459 | 34.673 | 65.326 |
| 18 | 5 | 40 | 10 | 90 | 0.4502 | 35.457 | 64.541 |
| 19 | 7.5 | 20 | 6 | 94 | 0.846 | 37.325 | 62.672 |
| 20 | 7.5 | 20 | 6 | 94 | 0.842 | 37.01 | 62.987 |
| 21 | 7.5 | 20 | 6 | 94 | 0.839 | 37.123 | 62.872 |
| 22 | 7.5 | 30 | 10 | 90 | 0.811 | 39.861 | 60.136 |
| 23 | 7.5 | 30 | 10 | 90 | 0.806 | 39.918 | 60.079 |
| 24 | 7.5 | 30 | 10 | 90 | 0.813 | 40.023 | 59.973 |
| 25 | 7.5 | 40 | 2 | 98 | 0.661 | 34.87 | 65.128 |
| 26 | 7.5 | 40 | 2 | 98 | 0.669 | 35.674 | 64.323 |
| 27 | 7.5 | 40 | 2 | 98 | 0.6605 | 34.9108 | 65.088 |
Bar | K | Flux. Exp | Flux. Com | Relative Error | Recovery %CO2 | |
|---|---|---|---|---|---|---|
| 2.5 | 293 | 2 | 7.31 × 10−9 | 6.93 × 10−9 | 5.26 | 9 |
| 2.5 | 303 | 6 | 2.07 × 10−8 | 2.00 × 10−8 | 3.31 | 18.65 |
| 2.5 | 313 | 10 | 1.04 × 10−6 | 9.56 × 10−7 | 7.73 | 19.1 |
| 5 | 293 | 2 | 1.42 × 10−8 | 1.38 × 10−8 | 2.63 | 19.2 |
| 5 | 303 | 6 | 2.24 × 10−6 | 2.01 × 10−6 | 5.94 | 21.4 |
| 5 | 313 | 10 | 8.96 × 10−6 | 8.57 × 10−6 | 4.36 | 23.4 |
| 7.5 | 293 | 6 | 9.49 × 10−6 | 9.22 × 10−6 | 2.83 | 28.3 |
| 7.5 | 303 | 10 | 2.39 × 10−5 | 2.31 × 10−5 | 3.33 | 30.3 |
| 7.5 | 313 | 2 | 2.18 × 10−8 | 2.17 × 10−8 | 0.391 | 20.6 |
| Length of Fiber m | Conc. of CO2 at r1 |
Conc. of CO2 at r2 |
|---|---|---|
| 0 | 8.8605 | 0 |
| 0.014 | 9.3512 | 7.1083 |
| 0.028 | 9.4065 | 8.4672 |
| 0.042 | 9.4901 | 9.089 |
Disclaimer/Publisher’s Note: The statements, opinions and data contained in all publications are solely those of the individual author(s) and contributor(s) and not of MDPI and/or the editor(s). MDPI and/or the editor(s) disclaim responsibility for any injury to people or property resulting from any ideas, methods, instructions or products referred to in the content. |
© 2023 by the authors. Licensee MDPI, Basel, Switzerland. This article is an open access article distributed under the terms and conditions of the Creative Commons Attribution (CC BY) license (https://creativecommons.org/licenses/by/4.0/).
Share and Cite
Jasim, D.J.; Mohammed, T.J.; Harharah, H.N.; Harharah, R.H.; Amari, A.; Abid, M.F. Modeling and Optimal Operating Conditions of Hollow Fiber Membrane for CO2/CH4 Separation. Membranes 2023, 13, 557. https://doi.org/10.3390/membranes13060557
Jasim DJ, Mohammed TJ, Harharah HN, Harharah RH, Amari A, Abid MF. Modeling and Optimal Operating Conditions of Hollow Fiber Membrane for CO2/CH4 Separation. Membranes. 2023; 13(6):557. https://doi.org/10.3390/membranes13060557
Chicago/Turabian StyleJasim, Dheyaa J., Thamer J. Mohammed, Hamed N. Harharah, Ramzi H. Harharah, Abdelfattah Amari, and Mohammed F. Abid. 2023. "Modeling and Optimal Operating Conditions of Hollow Fiber Membrane for CO2/CH4 Separation" Membranes 13, no. 6: 557. https://doi.org/10.3390/membranes13060557
APA StyleJasim, D. J., Mohammed, T. J., Harharah, H. N., Harharah, R. H., Amari, A., & Abid, M. F. (2023). Modeling and Optimal Operating Conditions of Hollow Fiber Membrane for CO2/CH4 Separation. Membranes, 13(6), 557. https://doi.org/10.3390/membranes13060557

