The Baculovirus Expression System Expresses Chimeric RHDV VLPs as Bivalent Vaccine Candidates for Classic RHDV (GI.1) and RHDV2 (GI.2)
Abstract
1. Introduction
2. Materials and Methods
2.1. Cells, Viruses and Clone
2.2. Expression and Purification Recombinant Proteins
2.3. PCR, SDS-PAGE and Western Blotting Analysis
2.4. Enzyme-Linked Immunosorbent Assay
2.5. Transmission Electron Microscopy Detection
2.6. Hemagglutination Inhibition Assy
2.7. Immunization of Rabbits
2.8. Cytokine Detection
2.9. Statistics Analysis
3. Result
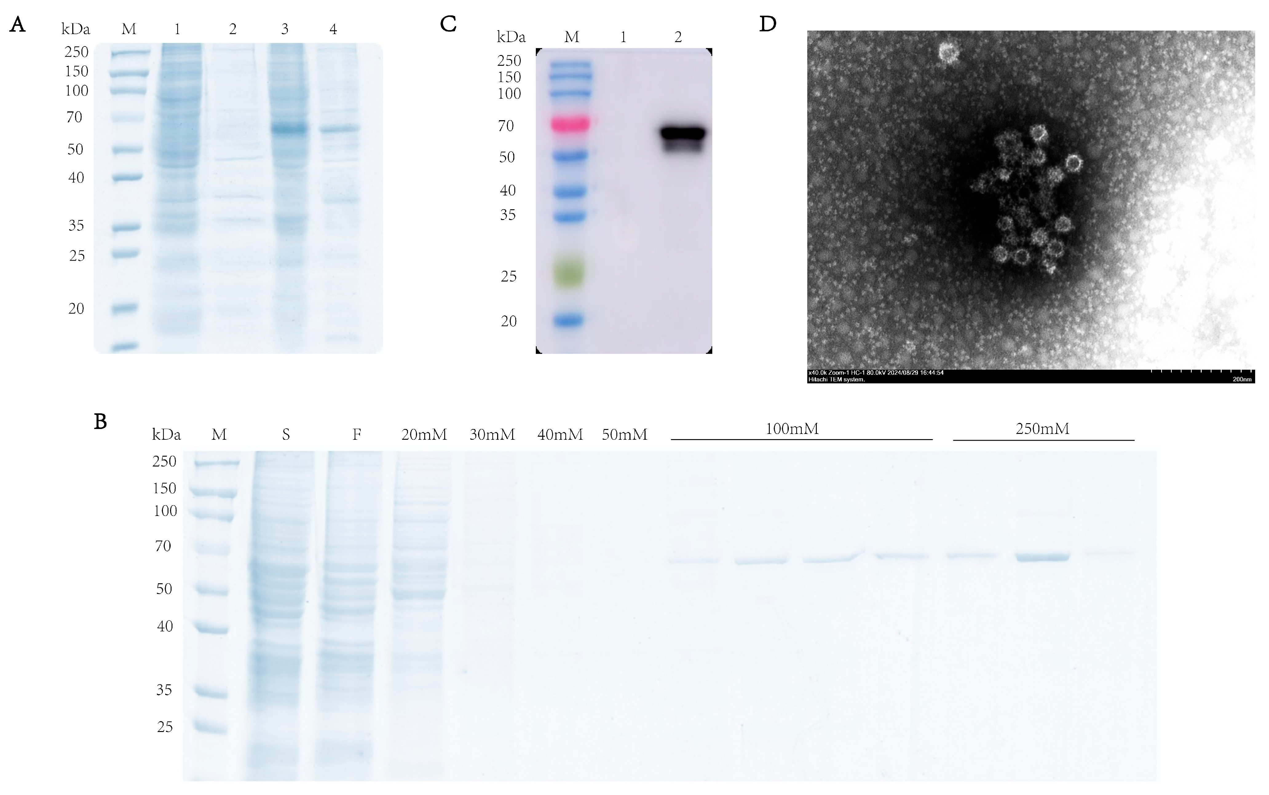
3.1. Production of Chimeric RHDV VLPs
3.2. Souble Expression of VP60 Protein Self-Assembled into VLPs
3.3. Humoral Immune Responses in Rabbits
3.4. Cellular Immune Responses in Rabbits
4. Discussion
5. Conclusions
Author Contributions
Funding
Institutional Review Board Statement
Informed Consent Statement
Data Availability Statement
Conflicts of Interest
References
- Abrantes, J.; Lopes, A.M. A Review on the Methods Used for the Detection and Diagnosis of Rabbit Hemorrhagic Disease Virus (RHDV). Microorganisms 2021, 9, 972. [Google Scholar] [CrossRef] [PubMed]
- Camarda, A.; Pugliese, N.; Cavadini, P.; Circella, E.; Capucci, L.; Caroli, A.; Legretto, M.; Mallia, E.; Lavazza, A. Detection of the new emerging rabbit haemorrhagic disease type 2 virus (RHDV2) in Sicily from rabbit (Oryctolagus cuniculus) and Italian hare (Lepus corsicanus). Res. Vet. Sci. 2014, 97, 642–645. [Google Scholar] [CrossRef] [PubMed]
- Abrantes, J.; Van Der Loo, W.; Le Pendu, J.; Esteves, P.J. Rabbit haemorrhagic disease (RHD) and rabbit haemorrhagic disease virus (RHDV): A review. Vet. Res. 2012, 43, 12. [Google Scholar] [CrossRef] [PubMed]
- Chasey, D. Rabbit haemorrhagic disease: The new scourge of Oryctolagus cuniculus. Lab. Anim. 1997, 31, 33–44. [Google Scholar] [CrossRef]
- Le Gall-Recule, G.; Zwingelstein, F.; Boucher, S.; Le Normand, B.; Plassiart, G.; Portejoie, Y.; Decors, A.; Bertagnoli, S.; Guerin, J.-L.; Marchandeau, S. Detection of a new variant of rabbit haemorrhagic disease virus in France. Vet. Rec. 2011, 168, 137–138. [Google Scholar] [CrossRef]
- Schwensow, N.I.; Cooke, B.; Kovaliski, J.; Sinclair, R.; Peacock, D.; Fickel, J.; Sommer, S. Rabbit haemorrhagic disease: Virus persistence and adaptation in Australia. Evol. Appl. 2014, 7, 1056–1067. [Google Scholar] [CrossRef]
- Hukowska-Szematowicz, B.; Tokarz-Deptuła, B.; Deptuła, W. Genetic variation and phylogenetic analysis of rabbit haemorrhagic disease virus (RHDV) strains. Acta Biochim. Pol. 2012, 59, 459–465. [Google Scholar] [CrossRef] [PubMed]
- Mahar, J.E.; Hall, R.N.; Peacock, D.; Kovaliski, J.; Piper, M.; Mourant, R.; Huang, N.; Campbell, S.; Gu, X.; Read, A.; et al. Rabbit Hemorrhagic Disease Virus 2 (RHDV2; GI.2) Is Replacing Endemic Strains of RHDV in the Australian Landscape within 18 Months of Its Arrival. J. Virol. 2018, 92, 10–1128. [Google Scholar] [CrossRef]
- Asgari, S.; Hardy, J.R.; Sinclair, R.G.; Cooke, B.D. Field evidence for mechanical transmission of rabbit haemorrhagic disease virus (RHDV) by flies (Diptera: Calliphoridae) among wild rabbits in Australia. Virus Res. 1998, 54, 123–132. [Google Scholar] [CrossRef]
- Lopes, A.M.; Dalton, K.P.; Magalhães, M.J.; Parra, F.; Esteves, P.J.; Holmes, E.C.; Abrantes, J. Full genomic analysis of new variant rabbit hemorrhagic disease virus revealed multiple recombination events. J. Gen. Virol. 2015, 96, 1309–1319. [Google Scholar] [CrossRef]
- Wirblich, C.; Thiel, H.J.; Meyers, G. Genetic map of the calicivirus rabbit hemorrhagic disease virus as deduced from in vitro translation studies. J. Virol. 1996, 70, 7974–7983. [Google Scholar] [CrossRef] [PubMed]
- Amanna, I.J.; Slifka, M.K. Contributions of humoral and cellular immunity to vaccine-induced protection in humans. Virology 2011, 411, 206–215. [Google Scholar] [CrossRef]
- Guimarães, L.E.; Baker, B.; Perricone, C.; Shoenfeld, Y. Vaccines, adjuvants and autoimmunity. Pharmacol. Res. 2015, 100, 190–209. [Google Scholar] [CrossRef]
- Fuenmayor, J.; Gòdia, F.; Cervera, L. Production of virus-like particles for vaccines. New Biotechnol. 2017, 39, 174–180. [Google Scholar] [CrossRef] [PubMed]
- Nooraei, S.; Bahrulolum, H.; Hoseini, Z.S.; Katalani, C.; Hajizade, A.; Easton, A.J.; Ahmadian, G. Virus-like particles: Preparation, immunogenicity and their roles as nanovaccines and drug nanocarriers. J. Nanobiotechnol. 2021, 19, 59. [Google Scholar] [CrossRef] [PubMed]
- Airenne, K.J.; Hu, Y.-C.; Kost, T.A.; Smith, R.H.; Kotin, R.M.; Ono, C.; Matsuura, Y.; Wang, S.; Ylä-Herttuala, S. Baculovirus: An Insect-derived Vector for Diverse Gene Transfer Applications. Mol. Ther. 2013, 21, 739–749. [Google Scholar] [CrossRef]
- Hong, M.; Li, T.; Xue, W.; Zhang, S.; Cui, L.; Wang, H.; Zhang, Y.; Zhou, L.; Gu, Y.; Xia, N.; et al. Genetic engineering of baculovirus-insect cell system to improve protein production. Front. Bioeng. Biotechnol. 2022, 10, 994743. [Google Scholar] [CrossRef]
- Peacock, D.; Kovaliski, J.; Sinclair, R.; Mutze, G.; Iannella, A.; Capucci, L. RHDV2 overcoming RHDV immunity in wild rabbits (Oryctolagus cuniculus) in Australia. Vet. Rec. 2017, 180, 280. [Google Scholar] [CrossRef]
- Jorgovanovic, D.; Song, M.; Wang, L.; Zhang, Y. Roles of IFN-γ in tumor progression and regression: A review. Biomark. Res. 2020, 8, 49. [Google Scholar] [CrossRef]
- Chakma, C.R.; Good-Jacobson, K.L. Requirements of IL-4 during the Generation of B Cell Memory. J. Immunol. 2023, 210, 1853–1860. [Google Scholar] [CrossRef]
- Zhou, J.; Ma, Y.; Wang, M.; Zhang, Y.; Chen, B.; Chen, D.; Li, L.; Li, M. Establishment of a duplex TaqMan RT-PCR for the differential detection of RHDV GI.1 and GI.2. J. Virol. Methods 2022, 304, 114526. [Google Scholar] [CrossRef]
- Argüello Villares, J.L. Viral haemorrhagic disease of rabbits: Vaccination and immune response. Rev. Sci. Tech. 1991, 10, 459–480. [Google Scholar] [CrossRef] [PubMed]
- Huang, H.B. Vaccination against and immune response to viral haemorrhagic disease of rabbits: A review of research in the People’s Republic of China. Rev. Sci. Tech. 1991, 10, 481–498. [Google Scholar]
- Guo, H.; Zhu, J.; Tan, Y.; Li, C.; Chen, Z.; Sun, S.; Liu, G. Self-assembly of virus-like particles of rabbit hemorrhagic disease virus capsid protein expressed in Escherichia coli and their immunogenicity in rabbits. Antivir. Res. 2016, 131, 85–91. [Google Scholar] [CrossRef]
- Liu, C.; Lin, M.; Hu, H.; Liu, X.; Bian, Y.; Huang, X.; Li, X.; Yu, W.; Luo, F.; Deng, S. Rabbit hemorrhagic disease virus VP60 protein expressed in recombinant swinepox virus self-assembles into virus-like particles with strong immunogenicity in rabbits. Front. Microbiol. 2022, 13, 960374. [Google Scholar] [CrossRef] [PubMed]
- Gromadzka, B.; Szewczyk, B.; Konopa, G.; Fitzner, A.; Kesy, A. Recombinant VP60 in the form of virion-like particles as a potential vaccine against rabbit hemorrhagic disease virus. Acta Biochim. Pol. 2006, 53, 371–376. [Google Scholar] [CrossRef] [PubMed]
- Farnós, O.; Boué, O.; Parra, F.; Martín-Alonso, J.M.; Valdés, O.; Joglar, M.; Navea, L.; Naranjo, P.; Lleonart, R. High-level expression and immunogenic properties of the recombinant rabbit hemorrhagic disease virus VP60 capsid protein obtained in Pichia pastoris. J. Biotechnol. 2005, 117, 215–224. [Google Scholar] [CrossRef]
- Jarvis, D.L. Chapter 14 Baculovirus–Insect Cell Expression Systems, Guide Protein Purification, 2nd ed.; Elsevier: Amsterdam, The Netherlands, 2009; Volume 463, pp. 191–222. [Google Scholar]
- Qi, R.; Miao, Q.; Zhu, J.; Tang, J.; Tang, A.; Wang, X.; Dong, D.; Guo, H.; Liu, G. Construction and immunogenicity of novel bivalent virus-like particles bearing VP60 genes of classic RHDV(GI.1) and RHDV2(GI.2). Vet. Microbiol. 2020, 240, 108529. [Google Scholar] [CrossRef]
- Dalton, K.P.; Alvarado, C.; Reytor, E.; Del Carmen Nuñez, M.; Podadera, A.; Martínez-Alonso, D.; Alonso, J.M.M.; Nicieza, I.; Gómez-Sebastián, S.; Dalton, R.M.; et al. Chimeric VLPs Bearing VP60 from Two Serotypes of Rabbit Haemorrhagic Disease Virus Are Protective against Both Viruses. Vaccines 2021, 9, 1005. [Google Scholar] [CrossRef]
- Razavi-Nikoo, H.; Behboudi, E.; Aghcheli, B.; Hashemi, S.M.A.; Moradi, A. Bac to Bac System Efficiency for Preparing HPV Type 16 Virus-Like Particle Vaccine. Arch. Razi Inst. 2023, 78, 997–1003. [Google Scholar]
- Liu, Z.-H.; Xu, H.-L.; Han, G.-W.; Tao, L.-N.; Lu, Y.; Zheng, S.-Y.; Fang, W.-H.; He, F. A self-assembling nanoparticle: Implications for the development of thermostable vaccine candidates. Int. J. Biol. Macromol. 2021, 183, 2162–2173. [Google Scholar] [CrossRef] [PubMed]
- Bruun, T.U.J.; Andersson, A.-M.C.; Draper, S.J.; Howarth, M. Engineering a Rugged Nanoscaffold to Enhance Plug-and-Display Vaccination. ACS Nano 2018, 12, 8855–8866. [Google Scholar] [CrossRef] [PubMed]




| Primer | Oligonucleotide Sequences |
|---|---|
| classic RHDV-F | ATGGAGGGCAAAACCCGCAC |
| classic RHDV-R | TCAGACATAAGAAAAGCCATTGGTT |
| RHDV2-F | ATGGAGGGCAAAGCCCGC |
| RHDV2-R | TCAGACATAAGAAAAACCATTGGTTG |
Disclaimer/Publisher’s Note: The statements, opinions and data contained in all publications are solely those of the individual author(s) and contributor(s) and not of MDPI and/or the editor(s). MDPI and/or the editor(s) disclaim responsibility for any injury to people or property resulting from any ideas, methods, instructions or products referred to in the content. |
© 2025 by the authors. Licensee MDPI, Basel, Switzerland. This article is an open access article distributed under the terms and conditions of the Creative Commons Attribution (CC BY) license (https://creativecommons.org/licenses/by/4.0/).
Share and Cite
Wang, Y.; Fan, Y.; Bi, R.; Zhao, Y.; Gao, W.; Zhang, D.; Bai, J. The Baculovirus Expression System Expresses Chimeric RHDV VLPs as Bivalent Vaccine Candidates for Classic RHDV (GI.1) and RHDV2 (GI.2). Vaccines 2025, 13, 695. https://doi.org/10.3390/vaccines13070695
Wang Y, Fan Y, Bi R, Zhao Y, Gao W, Zhang D, Bai J. The Baculovirus Expression System Expresses Chimeric RHDV VLPs as Bivalent Vaccine Candidates for Classic RHDV (GI.1) and RHDV2 (GI.2). Vaccines. 2025; 13(7):695. https://doi.org/10.3390/vaccines13070695
Chicago/Turabian StyleWang, Yan, Yiyang Fan, Ruixiang Bi, Yapeng Zhao, Wanning Gao, Derong Zhang, and Jialin Bai. 2025. "The Baculovirus Expression System Expresses Chimeric RHDV VLPs as Bivalent Vaccine Candidates for Classic RHDV (GI.1) and RHDV2 (GI.2)" Vaccines 13, no. 7: 695. https://doi.org/10.3390/vaccines13070695
APA StyleWang, Y., Fan, Y., Bi, R., Zhao, Y., Gao, W., Zhang, D., & Bai, J. (2025). The Baculovirus Expression System Expresses Chimeric RHDV VLPs as Bivalent Vaccine Candidates for Classic RHDV (GI.1) and RHDV2 (GI.2). Vaccines, 13(7), 695. https://doi.org/10.3390/vaccines13070695
