Jet Injection of Naked mRNA Encoding the RBD of the SARS-CoV-2 Spike Protein Induces a High Level of a Specific Immune Response in Mice
Abstract
1. Introduction
2. Materials and Methods
2.1. In Vitro mRNA Synthesis
2.2. LNP Package and Characterization
2.3. Laboratory Animals
2.4. Immunization of Mice
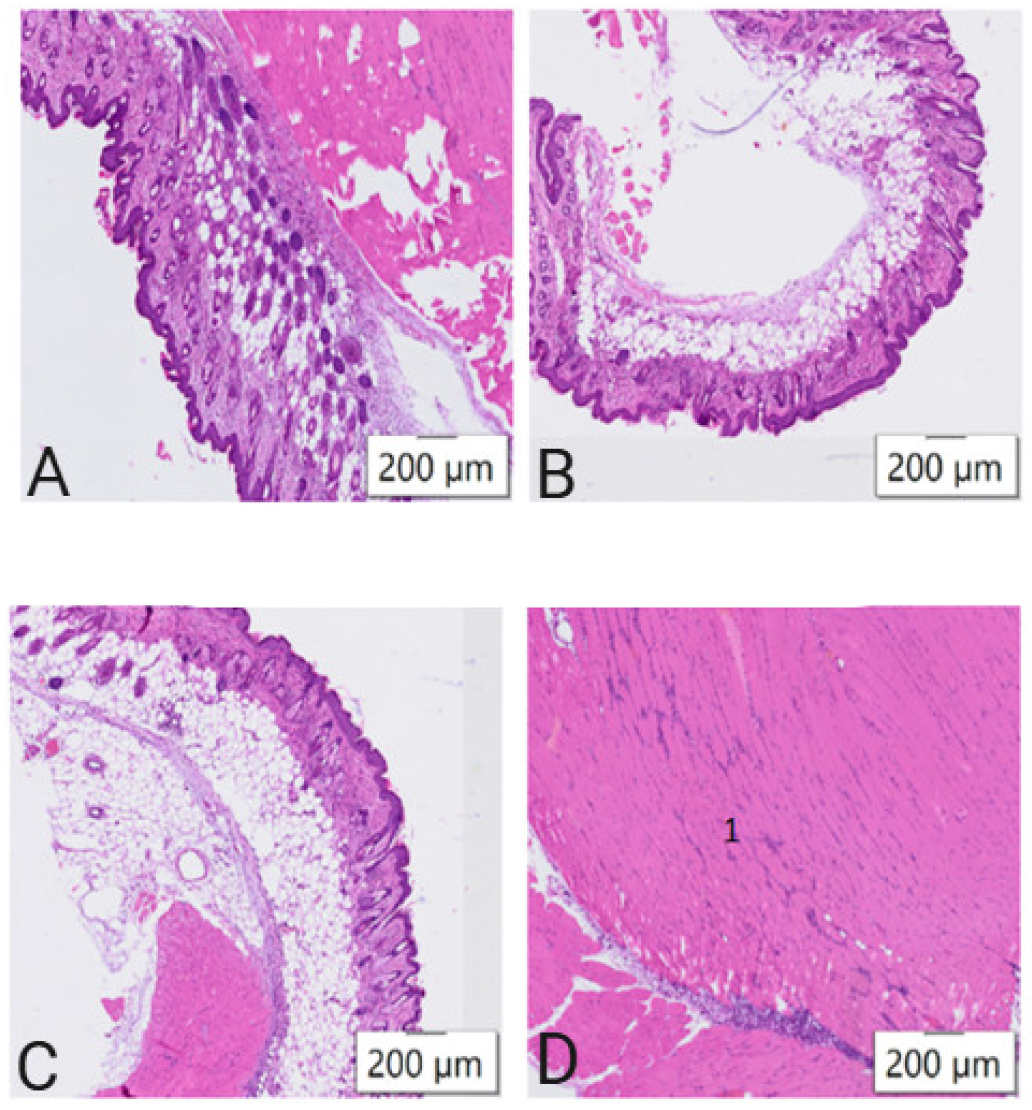
2.5. Selection of Jet Injection Parameters for Optimal Conditions for mRNA Delivery In Vivo
2.6. Histological Studies
2.7. Visualization of Cy5-Tagged mRNA Distribution In Vivo
2.8. ELISA
2.9. SARS-CoV-2 Neutralization Assay
2.10. Obtaining Pseudoviruses and Neutralization Assays
2.11. IFN-γ ELISpot
2.12. Viral Challenge Experiment
- 5′-GTTGCAACTGAGGGAGCCTTG-3′ (forward), 5′-GAGAAGAGGCTTGACTGCCG-3′ (reverse), and 5′-FAM-TACACCAAAAGATCACATTGGCACCCG-BHQ1-3′ (internal).
2.13. Statistical Analysis and Software
3. Results
3.1. Selection and Optimization of Jet Injection Conditions
3.2. Distribution Naked mRNA-RBD-Cy5 Delivered by Intramuscular or Jet Injection
3.3. Evaluation of the Immunogenic Properties of mRNA-RBD
3.4. Evaluation of the Protective Efficiency of mRNA-RBD
4. Discussion
5. Conclusions
Author Contributions
Funding
Institutional Review Board Statement
Informed Consent Statement
Data Availability Statement
Conflicts of Interest
References
- Chavda, V.P.; Pandya, R.; Apostolopoulos, V. DNA Vaccines for SARS-CoV-2: Toward Third-Generation Vaccination Era. Expert Rev. Vaccines 2021, 20, 1549–1560. [Google Scholar] [CrossRef] [PubMed]
- Li, L.; Petrovsky, N. Molecular Mechanisms for Enhanced DNA Vaccine Immunogenicity. Expert. Rev. Vaccines 2016, 15, 313–329. [Google Scholar] [CrossRef]
- Eygeris, Y.; Gupta, M.; Kim, J.; Sahay, G. Chemistry of Lipid Nanoparticles for RNA Delivery. Acc. Chem. Res. 2022, 55, 2–12. [Google Scholar] [CrossRef]
- Xia, X. Detailed Dissection and Critical Evaluation of the Pfizer/Biontech and Moderna Mrna Vaccines. Vaccines 2021, 9, 734. [Google Scholar] [CrossRef] [PubMed]
- Bruxvoort, K.J.; Sy, L.S.; Qian, L.; Ackerson, B.K.; Luo, Y.; Lee, G.S.; Tian, Y.; Florea, A.; Takhar, H.S.; Tubert, J.E.; et al. Real-World Effectiveness of the MRNA-1273 Vaccine against COVID-19: Interim Results from a Prospective Observational Cohort Study. Lancet Reg. Health Am. 2022, 6, 100134. [Google Scholar] [CrossRef] [PubMed]
- Florea, A.; Sy, L.S.; Luo, Y.; Qian, L.; Bruxvoort, K.J.; Ackerson, B.K.; Lee, G.S.; Ku, J.H.; Tubert, J.E.; Tian, Y.; et al. Durability of MRNA-1273 against COVID-19 in the Time of Delta: Interim Results from an Observational Cohort Study. PLoS ONE 2022, 17, e0267824. [Google Scholar] [CrossRef] [PubMed]
- Kremsner, P.G.; Ahuad Guerrero, R.A.; Arana-Arri, E.; Aroca Martinez, G.J.; Bonten, M.; Chandler, R.; Corral, G.; De Block, E.J.L.; Ecker, L.; Gabor, J.J.; et al. Efficacy and Safety of the CVnCoV SARS-CoV-2 MRNA Vaccine Candidate in Ten Countries in Europe and Latin America (HERALD): A Randomised, Observer-Blinded, Placebo-Controlled, Phase 2b/3 Trial. Lancet Infect. Dis. 2022, 22, 329–340. [Google Scholar] [CrossRef]
- Thess, A.; Grund, S.; Mui, B.L.; Hope, M.J.; Baumhof, P.; Fotin-Mleczek, M.; Schlake, T. Sequence-Engineered MRNA Without Chemical Nucleoside Modifications Enables an Effective Protein Therapy in Large Animals. Mol. Ther. 2015, 23, 1456–1464. [Google Scholar] [CrossRef]
- Fiolet, T.; Kherabi, Y.; MacDonald, C.J.; Ghosn, J.; Peiffer-Smadja, N. Comparing COVID-19 Vaccines for Their Characteristics, Efficacy and Effectiveness against SARS-CoV-2 and Variants of Concern: A Narrative Review. Clin. Microbiol. Infect. 2022, 28, 202–221. [Google Scholar] [CrossRef]
- Jamshidi, E.; Asgary, A.; Shafiekhani, P.; Khajeamiri, Y.; Mohamed, K.; Esmaily, H.; Jamal Rahi, S.; Mansouri, N. Longevity of Immunity Following COVID-19 Vaccination: A Comprehensive Review of the Currently Approved Vaccines. Hum. Vaccin. Immunother. 2022, 18, 2037384. [Google Scholar] [CrossRef]
- Bitzer, M.; Armeanu, S.; Lauer, U.M.; Neubert, W.J. Sendai Virus Vectors as an Emerging Negative-Strand RNA Viral Vector System. J. Gene Med. 2003, 5, 543–553. [Google Scholar] [CrossRef]
- Nitika; Wei, J.; Hui, A.M. The Delivery of MRNA Vaccines for Therapeutics. Life 2022, 12, 1254. [Google Scholar] [CrossRef] [PubMed]
- Polack, F.P.; Thomas, S.J.; Kitchin, N.; Absalon, J.; Gurtman, A.; Lockhart, S.; Perez, J.L.; Pérez Marc, G.; Moreira, E.D.; Zerbini, C.; et al. Safety and Efficacy of the BNT162b2 MRNA Covid-19 Vaccine. N. Engl. J. Med. 2020, 383, 2603–2615. [Google Scholar] [CrossRef] [PubMed]
- Schoenmaker, L.; Witzigmann, D.; Kulkarni, J.A.; Verbeke, R.; Kersten, G.; Jiskoot, W.; Crommelin, D.J.A. MRNA-Lipid Nanoparticle COVID-19 Vaccines: Structure and Stability. Int. J. Pharm. 2021, 601, 120586. [Google Scholar] [CrossRef]
- Banerji, A.; Wickner, P.G.; Saff, R.; Stone, C.A.; Robinson, L.B.; Long, A.A.; Wolfson, A.R.; Williams, P.; Khan, D.A.; Phillips, E.; et al. MRNA Vaccines to Prevent COVID-19 Disease and Reported Allergic Reactions: Current Evidence and Suggested Approach. J. Allergy Clin. Immunol. Pract. 2021, 9, 1423–1437. [Google Scholar] [CrossRef] [PubMed]
- Fang, E.; Liu, X.; Li, M.; Zhang, Z.; Song, L.; Zhu, B.; Wu, X.; Liu, J.; Zhao, D.; Li, Y. Advances in COVID-19 MRNA Vaccine Development. Signal Transduct. Target. Ther. 2022, 7, 1423–1437. [Google Scholar] [CrossRef]
- Lim, J.H.; Kim, M.S.; Kim, Y.J.; Han, M.H.; Jung, H.Y.; Choi, J.Y.; Cho, J.H.; Kim, C.D.; Kim, Y.L.; Park, S.H. New-Onset Kidney Diseases after COVID-19 Vaccination: A Case Series. Vaccines 2022, 10, 302. [Google Scholar] [CrossRef]
- Guan, S.; Rosenecker, J. Nanotechnologies in Delivery of MRNA Therapeutics Using Nonviral Vector-Based Delivery Systems. Gene Ther. 2017, 24, 133–143. [Google Scholar] [CrossRef] [PubMed]
- Mao, S.; Li, S.; Zhang, Y.; Long, L.; Peng, J.; Cao, Y.; Mao, J.Z.; Qi, X.; Xin, Q.; San, G.; et al. A Highly Efficient Needle-Free-Injection Delivery System for MRNA-LNP Vaccination against SARS-CoV-2. Nano Today 2023, 48, 101730. [Google Scholar] [CrossRef]
- Meyer, B.K.; Nahas, D.; An, M.; Danziger, A.; Smith, J.; Patel, M.; Lin, S.A.; Gleason, A.; Cox, K.; Capen, R.; et al. Evaluation of Luciferase and Prefusion-Stabilized F Protein from Respiratory Syncytial Virus MRNA/LNPs in Pre-Clinical Models Using Jet Delivery Compared to Needle and Syringe. Vaccine X 2024, 16, 100420. [Google Scholar] [CrossRef]
- Ravi, A.; Sadhna, D.; Nagpaal, D.; Chawla, L. Needle Free Injection Technology: A Complete Insight. Int. J. Pharm. Investig. 2015, 5, 192–199. [Google Scholar] [CrossRef] [PubMed]
- Weniger, B.G.; Papania, M.J. Alternative Vaccine Delivery Methods. Vaccines 2013, 6, 1200–1231. [Google Scholar] [CrossRef]
- Wang, R.; Bian, Q.; Xu, Y.; Xu, D.; Gao, J. Recent Advances in Mechanical Force-Assisted Transdermal Delivery of Macromolecular Drugs. Int. J. Pharm. 2021, 602, 120598. [Google Scholar] [CrossRef]
- Manam, S.; Ledwith, B.J.; Barnum, A.B.; Troilo, P.J.; Pauley, C.J.; Harper, L.B.; Griffiths, T.G.; Niu, Z.; Denisova, L.; Follmer, T.T.; et al. Plasmid DNA Vaccines: Tissue Distribution and Effects of DNA Sequence, Adjuvants and Delivery Method on Integration into Host DNA. Intervirology 2000, 43, 273–281. [Google Scholar] [CrossRef] [PubMed]
- Marston, J.O.; Lacerda, C.M.R. Characterization of Jet Injection Efficiency with Mouse Cadavers. J. Control. Release 2019, 305, 101–109. [Google Scholar] [CrossRef] [PubMed]
- Bernelin-Cottet, C.; Urien, C.; Fretaud, M.; Langevin, C.; Trus, I.; Jouneau, L.; Blanc, F.; Leplat, J.J.; Barc, C.; Boulesteix, O.; et al. A DNA Prime Immuno-Potentiates a Modified Live Vaccine against the Porcine Reproductive and Respiratory Syndrome Virus but Does Not Improve Heterologous Protection. Viruses 2019, 11, 576. [Google Scholar] [CrossRef]
- Graham, B.S.; Enama, M.E.; Nason, M.C.; Gordon, I.J.; Peel, S.A.; Ledgerwood, J.E.; Plummer, S.A.; Mascola, J.R.; Bailer, R.T.; Roederer, M.; et al. DNA Vaccine Delivered by a Needle-Free Injection Device Improves Potency of Priming for Antibody and CD8+ T-Cell Responses after RAd5 Boost in a Randomized Clinical Trial. PLoS ONE 2013, 8, e59340. [Google Scholar] [CrossRef]
- Hu, S.; Li, Z.; Cores, J.; Huang, K.; Su, T.; Dinh, P.U.; Cheng, K. Needle-Free Injection of Exosomes Derived from Human Dermal Fibroblast Spheroids Ameliorates Skin Photoaging. ACS Nano 2019, 13, 11273–11282. [Google Scholar] [CrossRef]
- Abbasi, S.; Matsui-masai, M.; Hayashi, A.; Tockary, T.A.; Akinaga, S. Cutaneous Jet-Injection of Naked MRNA Vaccine Induces Robust Immune Responses without Systemic Vaccine Spillage. bioRxiv 2023. bioRxiv:2023.02.27.530188. [Google Scholar]
- Sonoda, J.; Mizoguchi, I.; Inoue, S.; Watanabe, A.; Sekine, A.; Yamagishi, M.; Miyakawa, S.; Yamaguchi, N.; Horio, E.; Katahira, Y.; et al. A Promising Needle-Free Pyro-Drive Jet Injector for Augmentation of Immunity by Intradermal Injection as a Physical Adjuvant. Int. J. Mol. Sci. 2023, 24, 9094. [Google Scholar] [CrossRef]
- Trimzi, M.A.; Ham, Y.B. A Needle-Free Jet Injection System for Controlled Release and Repeated Biopharmaceutical Delivery. Pharmaceutics 2021, 13, 1770. [Google Scholar] [CrossRef] [PubMed]
- Karpenko, L.I.; Rudometov, A.P.; Sharabrin, S.V.; Shcherbakov, D.N.; Borgoyakova, M.B.; Bazhan, S.I.; Volosnikova, E.A.; Rudometova, N.B.; Orlova, L.A.; Pyshnaya, I.A.; et al. Delivery of Mrna Vaccine against SARS-CoV-2 Using a Polyglucin:Spermidine Conjugate. Vaccines 2021, 9, 76. [Google Scholar] [CrossRef] [PubMed]
- Erasmus, J.H.; Khandhar, A.P.; O’Connor, M.A.; Walls, A.C.; Hemann, E.A.; Murapa, P.; Archer, J.; Leventhal, S.; Fuller, J.T.; Lewis, T.B.; et al. An Alphavirus-Derived Replicon RNA Vaccine Induces SARS-CoV-2 Neutralizing Antibody and T Cell Responses in Mice and Nonhuman Primates. Sci. Transl. Med. 2020, 12, eabc9396. [Google Scholar] [CrossRef] [PubMed]
- Zost, S.J.; Gilchuk, P.; Case, J.B.; Binshtein, E.; Chen, R.E.; Nkolola, J.P.; Schäfer, A.; Reidy, J.X.; Trivette, A.; Nargi, R.S.; et al. Potently Neutralizing and Protective Human Antibodies against SARS-CoV-2. Nature 2020, 584, 443–449. [Google Scholar] [CrossRef]
- Wu, Y.; Wang, F.; Shen, C.; Peng, W.; Li, D.; Zhao, C.; Li, Z.; Li, S.; Bi, Y.; Yang, Y.; et al. A Noncompeting Pair of Human Neutralizing Antibodies Block COVID-19 Virus Binding to Its Receptor ACE2. Science 1979 2020, 368, 1274–1278. [Google Scholar] [CrossRef]
- Tai, W.; He, L.; Zhang, X.; Pu, J.; Voronin, D.; Jiang, S.; Zhou, Y.; Du, L. Characterization of the Receptor-Binding Domain (RBD) of 2019 Novel Coronavirus: Implication for Development of RBD Protein as a Viral Attachment Inhibitor and Vaccine. Cell Mol. Immunol. 2020, 17, 613–620. [Google Scholar] [CrossRef] [PubMed]
- Lee, W.S.; Wheatley, A.K.; Kent, S.J.; DeKosky, B.J. Antibody-Dependent Enhancement and SARS-CoV-2 Vaccines and Therapies. Nat. Microbiol. 2020, 5, 1185–1191. [Google Scholar] [CrossRef]
- Dai, L.; Zheng, T.; Xu, K.; Han, Y.; Xu, L.; Huang, E.; An, Y.; Cheng, Y.; Li, S.; Liu, M.; et al. A Universal Design of Betacoronavirus Vaccines against COVID-19, MERS, and SARS. Cell 2020, 182, 722–733.e11. [Google Scholar] [CrossRef]
- Wu, F.; Yan, R.; Liu, M.; Liu, Z.; Wang, Y.; Luan, D.; Wu, K.; Song, Z.; Sun, T.; Ma, Y.; et al. Antibody-Dependent Enhancement (ADE) of SARS-CoV-2 Infection in Recovered COVID-19 Patients: Studies Based on Cellular and Structural Biology Analysis. medRxiv 2020. medRxiv:2020.10.08.20209114. [Google Scholar]
- Eroshenko, N.; Gill, T.; Keaveney, M.K.; Church, G.M.; Trevejo, J.M.; Rajaniemi, H. Implications of Antibody-Dependent Enhancement of Infection for SARS-CoV-2 Countermeasures. Nat. Biotechnol. 2020, 38, 789–791. [Google Scholar] [CrossRef] [PubMed]
- Borgoyakova, M.B.; Karpenko, L.I.; Rudometov, A.P.; Shanshin, D.V.; Isaeva, A.A.; Nesmeyanova, V.S.; Volkova, N.V.; Belenkaya, S.V.; Murashkin, D.E.; Shcherbakov, D.N.; et al. Immunogenic Properties of the DNA Construct Encoding the Receptor-Binding Domain of the SARS-CoV-2 Spike Protein. Mol. Biol. 2021, 55, 889–898. [Google Scholar] [CrossRef]
- Baiersdörfer, M.; Boros, G.; Muramatsu, H.; Mahiny, A.; Vlatkovic, I.; Sahin, U.; Karikó, K. A Facile Method for the Removal of DsRNA Contaminant from In Vitro-Transcribed MRNA. Mol. Ther. Nucleic Acids 2019, 15, 26–35. [Google Scholar] [CrossRef]
- Lokras, A.; Chakravarty, A.; Rades, T.; Christensen, D.; Franzyk, H.; Thakur, A.; Foged, C. Simultaneous Quantification of Multiple RNA Cargos Co-Loaded into Nanoparticle-Based Delivery Systems. Int. J. Pharm. 2022, 626, 122171. [Google Scholar] [CrossRef] [PubMed]
- Kisakov, D.N.; Kisakova, L.A.; Borgoyakova, M.B.; Starostina, E.V.; Taranov, O.S.; Ivleva, E.K.; Pyankov, O.V.; Zaykovskaya, A.V.; Shcherbakov, D.N.; Rudometov, A.P.; et al. Optimization of In Vivo Electroporation Conditions and Delivery of DNA Vaccine Encoding SARS-CoV-2 RBD Using the Determined Protocol. Pharmaceutics 2022, 14, 2259. [Google Scholar] [CrossRef]
- Borgoyakova, M.B.; Karpenko, L.I.; Rudometov, A.P.; Volosnikova, E.A.; Merkuleva, I.A.; Starostina, E.V.; Zadorozhny, A.M.; Isaeva, A.A.; Nesmeyanova, V.S.; Shanshin, D.V.; et al. Self-Assembled Particles Combining SARS-CoV-2 RBD Protein and RBD DNA Vaccine Induce Synergistic Enhancement of the Humoral Response in Mice. Int. J. Mol. Sci. 2022, 23, 2188. [Google Scholar] [CrossRef] [PubMed]
- Rudometova, N.B.; Shcherbakov, D.N.; Karpenko, L.I. Generation and Characterization of SARS-CoV-2 PseudoviruseS. Med. Acad. J. 2022, 22, 249–253. [Google Scholar] [CrossRef]
- Neerukonda, S.N.; Vassell, R.; Herrup, R.; Liu, S.; Wang, T.; Takeda, K.; Yang, Y.; Lin, T.L.; Wang, W.; Weiss, C.D. Establishment of a Well-Characterized SARS-CoV-2 Lentiviral Pseudovirus Neutralization Assay Using 293T Cells with Stable Expression of ACE2 and TMPRSS2. PLoS ONE 2021, 16, e0248348. [Google Scholar] [CrossRef] [PubMed]
- Gladysheva, A.V.; Kartashov, M.Y.; Taranov, O.S.; Ovchinnikova, A.S.; Shipovalov, A.V.; P’yankov, O.V.; Zaykovskaya, A.V. In Vitro Study of Biological Properties of SARS-CoV-2 Coronavirus Strains Related to Various Genetic Variants. Probl. Osob. Opas. Infekc. 2022, 1, 94–100. [Google Scholar] [CrossRef]
- Shipovalov, A.V.; Kudrov, G.A.; Tomilov, A.A.; Bodnev, S.A.; Boldyrev, N.D.; Ovchinnikova, A.S.; Zaikovskaya, A.V.; Taranov, O.S.; P’yankov, O.V.; Maksyutov, R.A. Studying the Susceptibility of Mouse Strains to SARS-CoV-2 Variants of Concern. Probl. Espec. Danger. Infect. 2022, 1, 148–155. [Google Scholar] [CrossRef]
- Dolskiy, A.A.; Bodnev, S.A.; Nazarenko, A.A.; Smirnova, A.M.; Pyankova, O.G.; Matveeva, A.K.; Grishchenko, I.V.; Tregubchak, T.V.; Pyankov, O.V.; Ryzhikov, A.B.; et al. Deletion of BST2 Cytoplasmic and Transmembrane N-Terminal Domains Results in SARS-CoV, SARS-CoV-2, and Influenza Virus Production Suppression in a Vero Cell Line. Front. Mol. Biosci. 2020, 7, 616798. [Google Scholar] [CrossRef] [PubMed]
- Kazi, A.; Kakde, A.P.; Khaire, M.P.; Chhajed, P.N. Needle Free Injection Device: The Painless Technology. MIT Int. J. Pharm. Sci. 2018, 25, 5. [Google Scholar]
- Dukare, M.V.; Saudagar, R.B. Needle-Free Injection System. Int. J. Curr. Pharm. Res. 2018, 10, 17–24. [Google Scholar] [CrossRef][Green Version]
- Ledesma-Feliciano, C.; Chapman, R.; Hooper, J.W.; Elma, K.; Zehrung, D.; Brennan, M.B.; Spiegel, E.K. Improved DNA Vaccine Delivery with Needle-Free Injection Systems. Vaccines 2023, 11, 280. [Google Scholar] [CrossRef]
- Mitragotri, S. Current Status and Future Prospects of Needle-Free Liquid Jet Injectors. Nat. Rev. Drug Discov. 2006, 5, 543–548. [Google Scholar] [CrossRef] [PubMed]
- Han, H.S.; Hong, J.Y.; Kwon, T.R.; Lee, S.E.; Yoo, K.H.; Choi, S.Y.; Kim, B.J. Mechanism and Clinical Applications of Needle-Free Injectors in Dermatology: Literature Review. J. Cosmet. Dermatol. 2021, 20, 3793–3801. [Google Scholar] [CrossRef] [PubMed]
- Canter, J. An Outbreak of Hepatitis B Associated With Jet Injections in a Weight Reduction Clinic. Arch. Intern. Med. 1990, 150, 1923. [Google Scholar] [CrossRef]
- Alberer, M.; Gnad-Vogt, U.; Hong, H.S.; Mehr, K.T.; Backert, L.; Finak, G.; Gottardo, R.; Bica, M.A.; Garofano, A.; Koch, S.D.; et al. Safety and Immunogenicity of a MRNA Rabies Vaccine in Healthy Adults: An Open-Label, Non-Randomised, Prospective, First-in-Human Phase 1 Clinical Trial. Lancet 2017, 390, 1511–1520. [Google Scholar] [CrossRef] [PubMed]
- Alamri, S.S.; Alluhaybi, K.A.; Alhabbab, R.Y.; Basabrain, M.; Algaissi, A.; Almahboub, S.; Alfaleh, M.A.; Abujamel, T.S.; Abdulaal, W.H.; ElAssouli, M.Z.; et al. Synthetic SARS-CoV-2 Spike-Based DNA Vaccine Elicits Robust and Long-Lasting Th1 Humoral and Cellular Immunity in Mice. Front. Microbiol. 2021, 12, 727455. [Google Scholar] [CrossRef] [PubMed]
- Teixeira, L.; Medioni, J.; Garibal, J.; Adotevi, O.; Doucet, L.; Durey, M.A.D.; Ghrieb, Z.; Kiladjian, J.J.; Brizard, M.; Laheurte, C.; et al. A First-in-Human Phase I Study of INVAC-1, an Optimized Human Telomerase DNA Vaccine in Patients with Advanced Solid Tumors. Clin. Cancer Res. 2020, 26, 588–597. [Google Scholar] [CrossRef] [PubMed]
- Bashorun, A.O.; Badjie Hydara, M.; Adigweme, I.; Umesi, A.; Danso, B.; Johnson, N.; Sambou, N.A.; Fofana, S.; Kanu, F.J.; Jeyaseelan, V.; et al. Intradermal Administration of Fractional Doses of the Inactivated Poliovirus Vaccine in a Campaign: A Pragmatic, Open-Label, Non-Inferiority Trial in The Gambia. Lancet Glob. Health 2022, 10, e257–e268. [Google Scholar] [CrossRef]
- Abbasi, S.; Matsui-Masai, M.; Yasui, F.; Hayashi, A.; Tockary, T.A.; Akinaga, S.; Kohara, M.; Kataoka, K.; Uchida, S. Jet Injection Potentiates Naked MRNA SARS-CoV-2 Vaccine in Mice and Non-Human Primates by Adding Physical Stress to the Skin. bioRxiv 2023. bioRxiv:2023.02.27.530188. [Google Scholar] [CrossRef]
- Abbasi, S.; Matsui-Masai, M.; Yasui, F.; Hayashi, A.; Tockary, T.A.; Mochida, Y.; Akinaga, S.; Kohara, M.; Kataoka, K.; Uchida, S. Carrier-Free MRNA Vaccine Induces Robust Immunity against SARS-CoV-2 in Mice and Non-Human Primates without Systemic Reactogenicity. Mol. Ther. 2024, 32, 1266–1283. [Google Scholar] [CrossRef] [PubMed]
- Huysmans, H.; De Temmerman, J.; Zhong, Z.; Mc Cafferty, S.; Combes, F.; Haesebrouck, F.; Sanders, N.N. Improving the Repeatability and Efficacy of Intradermal Electroporated Self-Replicating MRNA. Mol. Ther. Nucleic Acids 2019, 17, 388. [Google Scholar] [CrossRef] [PubMed]
- Amano, T.; Yu, H.; Amano, M.; Leyder, E.; Badiola, M.; Ray, P.; Kim, J.; Ko, A.C.; Achour, A.; Weng, N.P.; et al. Controllable Self-Replicating RNA Vaccine Delivered Intradermally Elicits Predominantly Cellular Immunity. iScience 2023, 26, 106335. [Google Scholar] [CrossRef] [PubMed]
- Hickling, J.K.; Jones, K.R.; Friede, M.; Zehrung, D.; Chen, D.; Kristensenc, D. Intradermal Delivery of Vaccines: Potential Benefits and Current Challenges. Bull. World Health Organ. 2011, 89, 221–226. [Google Scholar] [CrossRef] [PubMed]
- Lu, Q.L.; Bou-Gharios, G.; Partridge, T.A. Non-Viral Gene Delivery in Skeletal Muscle: A Protein Factory. Gene Ther. 2003, 10, 131–142. [Google Scholar] [CrossRef] [PubMed]
- Petkov, S.P.; Heuts, F.; Krotova, O.A.; Kilpelainen, A.; Engström, G.; Starodubova, E.S.; Isaguliants, M.G. Evaluation of Immunogen Delivery by DNA Immunization Using Non-Invasive Bioluminescence Imaging. Hum. Vaccin. Immunother. 2013, 9, 2228–2236. [Google Scholar] [CrossRef]
- Qiu, K.; Duan, X.; Mao, M.; Song, Y.; Rao, Y.; Cheng, D.; Feng, L.; Shao, X.; Jiang, C.; Huang, H.; et al. MRNA-LNP Vaccination-Based Immunotherapy Augments CD8+ T Cell Responses against HPV-Positive Oropharyngeal Cancer. NPJ Vaccines 2023, 8, 144. [Google Scholar] [CrossRef] [PubMed]
- Ji, A.; Xu, M.; Pan, Y.; Diao, L.; Ma, L.; Qian, L.; Cheng, J.; Liu, M. Lipid Microparticles Show Similar Efficacy with Lipid Nanoparticles in Delivering MRNA and Preventing Cancer. Pharm. Res. 2022, 40, 265–279. [Google Scholar] [CrossRef]
- Meyer, R.A.; Neshat, S.Y.; Green, J.J.; Santos, J.L.; Tuesca, A.D. Targeting Strategies for MRNA Delivery. Mater. Today Adv. 2022, 14, 100240. [Google Scholar] [CrossRef]
- Aliakbarinodehi, N.; Gallud, A.; Mapar, M.; Wesén, E.; Heydari, S.; Jing, Y.; Emilsson, G.; Liu, K.; Sabirsh, A.; Zhdanov, V.P.; et al. Interaction Kinetics of Individual MRNA-Containing Lipid Nanoparticles with an Endosomal Membrane Mimic: Dependence on PH, Protein Corona Formation, and Lipoprotein Depletion. ACS Nano 2022, 16, 20163–20173. [Google Scholar] [CrossRef] [PubMed]
- European Medicines Agency (EMA). Assessment Report, COVID-19 Vaccine Moderna. Procedure No. EMEA/H/C/005791/0000. Available online: https://www.ema.europa.eu/en/documents/assessment-report/spikevax-previously-covid-19-vaccine-moderna-epar-public-assessment-report_en.pdf (accessed on 9 November 2024).
- European Medicines Agency (EMA). Assessment Report COVID-19 MRNA Vaccine (Nucleoside-Modified). Procedure No. EMEA/H/C/005735/0000. Available online: https://www.ema.europa.eu/en/documents/assessment-report/comirnaty-epar-public-assessment-report_en.pdf (accessed on 9 November 2024).
- Leneva, I.A.; Smirnova, D.I.; Kartashova, N.P.; Gracheva, A.V.; Ivanina, A.V.; Glubokova, E.A.; Korchevaya, E.R.; Pankratov, A.A.; Trunova, G.G.; Khokhlova, V.A.; et al. Comparative Study of Wuhan-like and Omicron-like Variants of SARS-CoV-2 in Experimental Animal Models. Vopr. Virusol. 2022, 67, 439–449. [Google Scholar] [CrossRef] [PubMed]
- Lyubavina, N.A.; Saltsev, S.G.; Menkov, N.V.; Tyurikova, L.V.; Plastinina, S.S.; Shonia, M.L.; Tulichev, A.A.; Milyutina, M.Y.; Makarova, E.V. Immunological Approaches to the Treatment of New Coronavirus Infection (Review). Sovrem. Tehnol. Med. 2021, 13, 81. [Google Scholar] [CrossRef] [PubMed]
- Bader, S.M.; Cooney, J.P.; Sheerin, D.; Taiaroa, G.; Harty, L.; Davidson, K.C.; Mackiewicz, L.; Dayton, M.; Wilcox, S.; Whitehead, L.; et al. SARS-CoV-2 Mouse Adaptation Selects Virulence Mutations That Cause TNF-Driven Age-Dependent Severe Disease with Human Correlates. Proc. Natl. Acad. Sci. USA 2023, 120, e2301689120. [Google Scholar] [CrossRef]





| Number of the Protocol | 1 | 2 | 3 |
|---|---|---|---|
| Pressure (bar) | 3 | 6.5 | 10 |
| Flow speed (m/s) | 180 | 220 | 300 |
| Injection corner | 90 | 90 | 90 |
| Injection time (s) | 0.22 | 0.33 | 0.44 |
| Injection volume (µL) | 50 | 50 | 50 |
| Damage | No pathology | No pathology | Moderate level of infiltration |
| GFP fluorescence level (conventional units) | 49 | 129 | 200 |
Disclaimer/Publisher’s Note: The statements, opinions and data contained in all publications are solely those of the individual author(s) and contributor(s) and not of MDPI and/or the editor(s). MDPI and/or the editor(s) disclaim responsibility for any injury to people or property resulting from any ideas, methods, instructions or products referred to in the content. |
© 2025 by the authors. Licensee MDPI, Basel, Switzerland. This article is an open access article distributed under the terms and conditions of the Creative Commons Attribution (CC BY) license (https://creativecommons.org/licenses/by/4.0/).
Share and Cite
Kisakov, D.N.; Karpenko, L.I.; Kisakova, L.A.; Sharabrin, S.V.; Borgoyakova, M.B.; Starostina, E.V.; Taranov, O.S.; Ivleva, E.K.; Pyankov, O.V.; Zaykovskaya, A.V.; et al. Jet Injection of Naked mRNA Encoding the RBD of the SARS-CoV-2 Spike Protein Induces a High Level of a Specific Immune Response in Mice. Vaccines 2025, 13, 65. https://doi.org/10.3390/vaccines13010065
Kisakov DN, Karpenko LI, Kisakova LA, Sharabrin SV, Borgoyakova MB, Starostina EV, Taranov OS, Ivleva EK, Pyankov OV, Zaykovskaya AV, et al. Jet Injection of Naked mRNA Encoding the RBD of the SARS-CoV-2 Spike Protein Induces a High Level of a Specific Immune Response in Mice. Vaccines. 2025; 13(1):65. https://doi.org/10.3390/vaccines13010065
Chicago/Turabian StyleKisakov, Denis N., Larisa I. Karpenko, Lyubov A. Kisakova, Sergey V. Sharabrin, Mariya B. Borgoyakova, Ekaterina V. Starostina, Oleg S. Taranov, Elena K. Ivleva, Oleg V. Pyankov, Anna V. Zaykovskaya, and et al. 2025. "Jet Injection of Naked mRNA Encoding the RBD of the SARS-CoV-2 Spike Protein Induces a High Level of a Specific Immune Response in Mice" Vaccines 13, no. 1: 65. https://doi.org/10.3390/vaccines13010065
APA StyleKisakov, D. N., Karpenko, L. I., Kisakova, L. A., Sharabrin, S. V., Borgoyakova, M. B., Starostina, E. V., Taranov, O. S., Ivleva, E. K., Pyankov, O. V., Zaykovskaya, A. V., Dmitrienko, E. V., Yakovlev, V. A., Tigeeva, E. V., Bauer, I. A., Krasnikova, S. I., Rudometova, N. B., Rudometov, A. P., Sergeev, A. A., & Ilyichev, A. A. (2025). Jet Injection of Naked mRNA Encoding the RBD of the SARS-CoV-2 Spike Protein Induces a High Level of a Specific Immune Response in Mice. Vaccines, 13(1), 65. https://doi.org/10.3390/vaccines13010065

