Immune Thrombocytopenia Induced by the Chimpanzee Adenovirus-Vectored Vaccine against SARS-CoV-2 Infection
Abstract
:1. Introduction
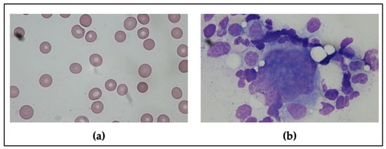
2. Case Report
3. Discussion
4. Conclusions
Author Contributions
Funding
Institutional Review Board Statement
Informed Consent Statement
Conflicts of Interest
References
- Woolf, S.H.; Chapman, D.A.; Sabo, R.T.; Zimmerman, E.B. Excess Deaths from COVID-19 and Other Causes in the US, March 1, 2020, to January 2, 2021. JAMA 2021, 325, 1786–1789. [Google Scholar] [CrossRef]
- Oliver, S.E.; Gargano, J.W.; Marin, M.; Wallace, M.; Curran, K.G.; Chamberland, M.; McClung, N.; Campos-Outcalt, D.; Morgan, R.L.; Mbaeyi, S.; et al. The Advisory Committee on Immunization Practices’ Interim Recommendation for Use of Moderna COVID-19 Vaccine—United States, December 2020. MMWR Morb. Mortal Wkly. Rep. 2021, 69, 1653–1656. [Google Scholar] [CrossRef] [PubMed]
- Oliver, S.E.; Gargano, J.W.; Marin, M.; Wallace, M.; Curran, K.G.; Chamberland, M.; McClung, N.; Campos-Outcalt, D.; Morgan, R.L.; Mbaeyi, S.; et al. The Advisory Committee on Immunization Practices’ Interim Recommendation for Use of Pfizer-BioNTech COVID-19 Vaccine—United States, December 2020. MMWR Morb. Mortal Wkly. Rep. 2020, 69, 1922–1924. [Google Scholar] [CrossRef]
- Chung, J.Y.; Thone, M.N.; Kwon, Y.J. COVID-19 vaccines: The status and perspectives in delivery points of view. Adv. Drug Deliv. Rev. 2021, 170, 1–25. [Google Scholar] [CrossRef] [PubMed]
- Knoll, M.D.; Wonodi, C. Oxford-AstraZeneca COVID-19 vaccine efficacy. Lancet 2021, 397, 72–74. [Google Scholar] [CrossRef]
- Greinacher, A.; Thiele, T.; Warkentin, T.E.; Weisser, K.; Kyrle, P.A.; Eichinger, S. Thrombotic Thrombocytopenia after ChAdOx1 nCov-19 Vaccination. N. Engl. J. Med. 2021, 384, 2092–2101. [Google Scholar] [CrossRef] [PubMed]
- Shah, S.R.A.; Dolkar, S.; Mathew, J.; Vishnu, P. COVID-19 vaccination associated severe immune thrombocytopenia. Exp. Hematol. Oncol. 2021, 10, 42. [Google Scholar] [CrossRef]
- Saudagar, V.; Patil, S.; Goh, S.; Pothiawala, S. Vigilance regarding immune thrombocytopenic purpura after COVID-19 vaccine. Ir. J. Med. Sci. 2021. [Google Scholar] [CrossRef]
- Kassim, N.A.; Farid, T.M.; Pessar, S.A.; Shawkat, S.A. Performance Evaluation of Different d-Dimer Cutoffs in Bedridden Hospitalized Elderly Patients. Clin. Appl. Thromb. Hemost. 2017, 23, 998–1004. [Google Scholar] [CrossRef]
- Cines, D.B.; Bussel, J.B.; Liebman, H.A.; Luning Prak, E.T. The ITP syndrome: Pathogenic and clinical diversity. Blood 2009, 113, 6511–6521. [Google Scholar] [CrossRef] [Green Version]
- Perricone, C.; Ceccarelli, F.; Nesher, G.; Borella, E.; Odeh, Q.; Conti, F.; Shoenfeld, Y.; Valesini, G. Immune thrombocytopenic purpura (ITP) associated with vaccinations: A review of reported cases. Immunol. Res. 2014, 60, 226–235. [Google Scholar] [CrossRef]
- Moulis, G.; Sommet, A.; Sailler, L.; Lapeyre-Mestre, M.; Montastruc, J.L. Drug-induced immune thrombocytopenia: A descriptive survey in the French PharmacoVigilance database. Platelets 2012, 23, 490–494. [Google Scholar] [CrossRef]
- Huang, W.T.; Huang, W.I.; Huang, Y.W.; Hsu, C.W.; Chuang, J.H. The reporting completeness of a passive safety surveillance system for pandemic (H1N1) 2009 vaccines: A capture-recapture analysis. Vaccine 2012, 30, 2168–2172. [Google Scholar] [CrossRef] [PubMed]
- Nagasaki, J.; Manabe, M.; Ido, K.; Ichihara, H.; Aoyama, Y.; Ohta, T.; Furukawa, Y.; Mugitani, A. Postinfluenza Vaccination Idiopathic Thrombocytopenic Purpura in Three Elderly Patients. Case Rep. Hematol. 2016, 2016, 7913092. [Google Scholar] [CrossRef] [Green Version]
- Pellegrino, P.; Clementi, E.; Radice, S. On vaccine’s adjuvants and autoimmunity: Current evidence and future perspectives. Autoimmun. Rev. 2015, 14, 880–888. [Google Scholar] [CrossRef] [PubMed]
- Reikine, S.; Nguyen, J.B.; Modis, Y. Pattern Recognition and Signaling Mechanisms of RIG-I and MDA5. Front. Immunol. 2014, 5, 342. [Google Scholar] [CrossRef] [PubMed] [Green Version]
- Khan, A.M.; Mydra, H.; Nevarez, A. Clinical Practice Updates in the Management of Immune Thrombocytopenia. Pharm. Ther. 2017, 42, 756–763. [Google Scholar]
- Miller, E.; Waight, P.; Farrington, C.P.; Andrews, N.; Stowe, J.; Taylor, B. Idiopathic thrombocytopenic purpura and MMR vaccine. Arch. Dis. Child 2001, 84, 227–229. [Google Scholar] [CrossRef] [Green Version]
- Black, C.; Kaye, J.A.; Jick, H. MMR vaccine and idiopathic thrombocytopaenic purpura. Br. J. Clin. Pharmacol. 2003, 55, 107–111. [Google Scholar] [CrossRef] [PubMed] [Green Version]
- Lee, E.J.; Cines, D.B.; Gernsheimer, T.; Kessler, C.; Michel, M.; Tarantino, M.D.; Semple, J.W.; Arnold, D.M.; Godeau, B.; Lambert, M.P.; et al. Thrombocytopenia following Pfizer and Moderna SARS-CoV-2 vaccination. Am. J. Hematol. 2021, 96, 534–537. [Google Scholar] [CrossRef] [PubMed]
- Elrashdy, F.; Tambuwala, M.M.; Hassan, S.S.; Adadi, P.; Seyran, M.; Abd El-Aziz, T.M.; Rezaei, N.; Lal, A.; Aljabali, A.A.A.; Kandimalla, R.; et al. Autoimmunity roots of the thrombotic events after COVID-19 vaccination. Autoimmun. Rev. 2021, 20, 102941. [Google Scholar] [CrossRef] [PubMed]
- Lundstrom, K.; Barh, D.; Uhal, B.D.; Takayama, K.; Aljabali, A.A.A.; Abd El-Aziz, T.M.; Lal, A.; Redwan, E.M.; Adadi, P.; Chauhan, G.; et al. COVID-19 Vaccines and Thrombosis-Roadblock or Dead-End Street? Biomolecules 2021, 11, 1020. [Google Scholar] [CrossRef] [PubMed]
- Ganzel, C.; Ben-Chetrit, E. Immune Thrombocytopenia Following the Pfizer-BioNTech BNT162b2 mRNA COVID-19 Vaccine. Isr. Med. Assoc. J. 2021, 23, 341. [Google Scholar]
- Fueyo-Rodriguez, O.; Valente-Acosta, B.; Jimenez-Soto, R.; Neme-Yunes, Y.; Inclán-Alarcón, S.I.; Trejo-Gonzalez, R.; García-Salcido, M. Secondary immune thrombocytopenia supposedly attributable to COVID-19 vaccination. BMJ Case Rep. 2021, 14. [Google Scholar] [CrossRef]
- Julian, J.A.; Mathern, D.R.; Fernando, D. Idiopathic Thrombocytopenic Purpura and the Moderna Covid-19 Vaccine. Ann. Emerg. Med. 2021, 77, 654–656. [Google Scholar] [CrossRef]
- Welsh, K.J.; Baumblatt, J.; Chege, W.; Goud, R.; Nair, N. Thrombocytopenia including immune thrombocytopenia after receipt of mRNA COVID-19 vaccines reported to the Vaccine Adverse Event Reporting System (VAERS). Vaccine 2021, 39, 3329–3332. [Google Scholar] [CrossRef]
- Tarawneh, O.; Tarawneh, H. Immune thrombocytopenia in a 22-year-old post Covid-19 vaccine. Am. J. Hematol. 2021, 96, E133–E134. [Google Scholar] [CrossRef]
- Malayala, S.V.; Mohan, G.; Vasireddy, D.; Atluri, P. Purpuric Rash and Thrombocytopenia after the mRNA-1273 (Moderna) COVID-19 Vaccine. Cureus 2021, 13, e14099. [Google Scholar] [CrossRef] [PubMed]


| Author | Type | Country | Vaccine | Case Number (Age/Gender) | Onset |
|---|---|---|---|---|---|
| Ganzel C et al. [23] | Case report | Israel | Pfizer-BioNTech (mRNA) | 1 (53/male) | 14 days after 1st dose |
| Fueyo-Rodriguez O et al. [24] | Case report | Mexico | Pfizer-BioNTech (mRNA) | 1 (41/female) | 12 h |
| Julian JA et al. [25] | Case report | USA | Pfizer-BioNTech (mRNA) | 1 (72/female) | 1 day after 1st dose |
| Welsh KJ et al. (FDA) [26] | Short communication | USA | Pfizer-BioNTech (mRNA) | 15 (M:F = 8:6) | 1–15 days |
| Moderna (mRNA) | 13 (M:F = 3:9) | 1–23 days | |||
| Lee EJ et al. (same population as Welsh KJ et al.) [20] | Case report | USA | Pfizer-BioNTech (mRNA) | 9 | 1–23 days |
| Moderna (mRNA) | 11 | ||||
| Tarawneh O et al. [27] | Case report | USA | Pfizer-BioNTech (mRNA) | 1 (22/male) | 3 days |
| Malayala SV et al. [28] | Case report | USA | Moderna (mRNA) | 1 (60/male) | 2 days |
Publisher’s Note: MDPI stays neutral with regard to jurisdictional claims in published maps and institutional affiliations. |
© 2021 by the authors. Licensee MDPI, Basel, Switzerland. This article is an open access article distributed under the terms and conditions of the Creative Commons Attribution (CC BY) license (https://creativecommons.org/licenses/by/4.0/).
Share and Cite
Liao, P.-W.; Teng, C.-L.J.; Chou, C.-W. Immune Thrombocytopenia Induced by the Chimpanzee Adenovirus-Vectored Vaccine against SARS-CoV-2 Infection. Vaccines 2021, 9, 1486. https://doi.org/10.3390/vaccines9121486
Liao P-W, Teng C-LJ, Chou C-W. Immune Thrombocytopenia Induced by the Chimpanzee Adenovirus-Vectored Vaccine against SARS-CoV-2 Infection. Vaccines. 2021; 9(12):1486. https://doi.org/10.3390/vaccines9121486
Chicago/Turabian StyleLiao, Po-Wei, Chieh-Lin Jerry Teng, and Cheng-Wei Chou. 2021. "Immune Thrombocytopenia Induced by the Chimpanzee Adenovirus-Vectored Vaccine against SARS-CoV-2 Infection" Vaccines 9, no. 12: 1486. https://doi.org/10.3390/vaccines9121486
APA StyleLiao, P.-W., Teng, C.-L. J., & Chou, C.-W. (2021). Immune Thrombocytopenia Induced by the Chimpanzee Adenovirus-Vectored Vaccine against SARS-CoV-2 Infection. Vaccines, 9(12), 1486. https://doi.org/10.3390/vaccines9121486

