Refinement of a Live Attenuated Salmonella enterica Serovar Newport Vaccine with Improved Safety
Abstract
1. Introduction
2. Materials and Methods
2.1. Bacterial Strains, Plasmids, and Culture Conditions
2.2. Construction of S. Newport Mutants
2.3. 50% Lethal Dose (LD50) Analysis
2.4. Mouse Immunization and Protection against Challenge
2.5. Measurement of Serum Antibodies
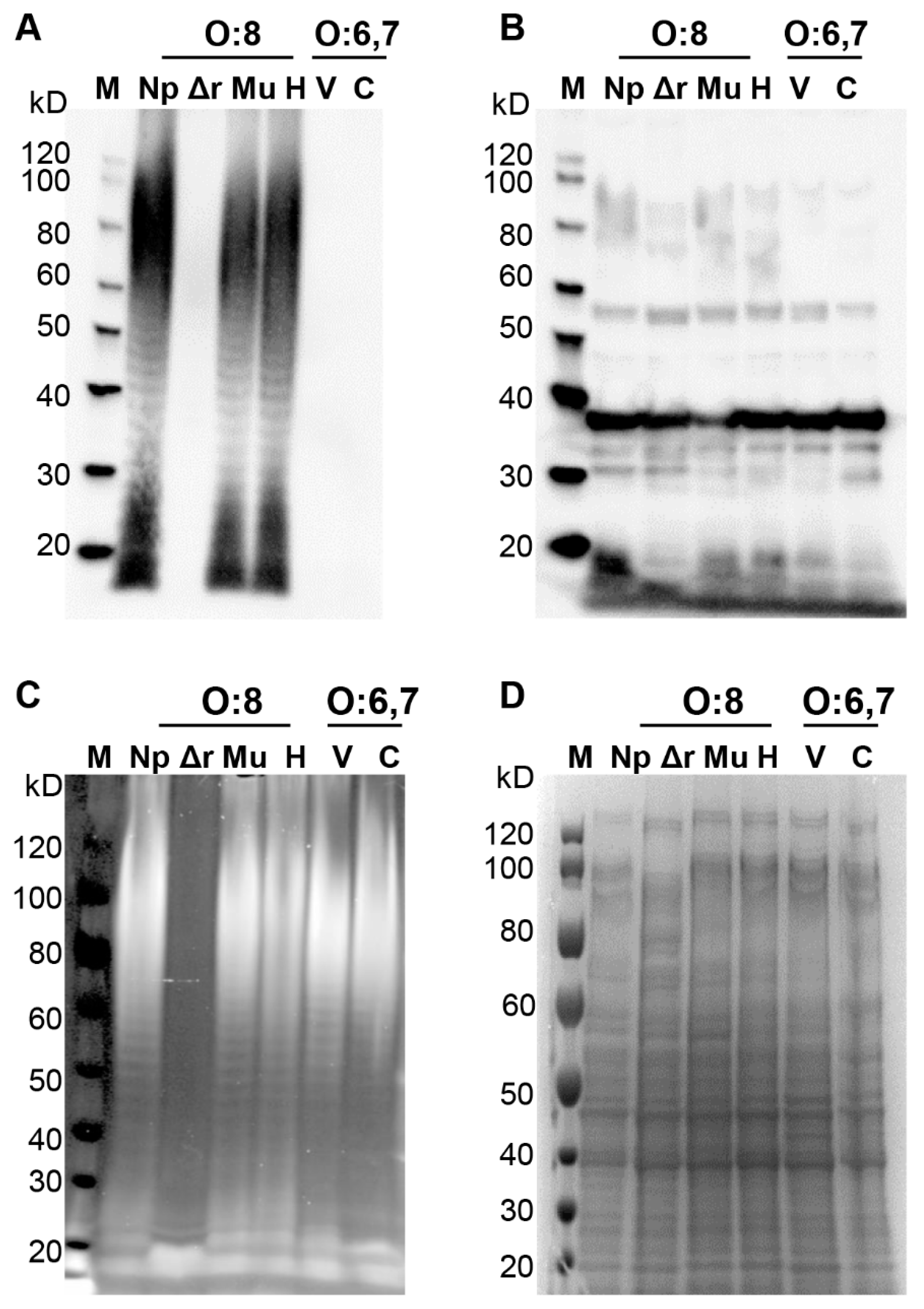
2.6. Lipopolysaccharide (LPS) and Whole Cell Lysate Extractions
2.7. Opsonophagocytic Uptake by Macrophages
2.8. Statistical Analysis
3. Results
3.1. Construction of Salmonella Newport aroA Mutant and Refined Vaccine Strain
3.2. Assessment of Attenuation of Strains in the Mouse Model
3.3. Immunogenicity Elicited by S. Newport CVD 1979
3.4. Protective Efficacy of Live Attenuated S. Newport CVD 1979 Vaccine
3.5. Specificity of CVD 1979 Vaccine-Induced Antibodies
3.6. Opsonophagocytic Antibody (OPA) Activity
4. Discussion
5. Conclusions
Supplementary Materials
Author Contributions
Funding
Institutional Review Board Statement
Informed Consent Statement
Data Availability Statement
Conflicts of Interest
References
- Majowicz, S.E.; Musto, J.; Scallan, E.; Angulo, F.J.; Kirk, M.; O’Brien, S.J.; Jones, T.F.; Fazil, A.; Hoekstra, R.M. The global burden of nontyphoidal Salmonella gastroenteritis. Clin. Infect. Dis. 2010, 50, 882–889. [Google Scholar] [CrossRef] [PubMed]
- Scallan, E.; Hoekstra, R.M.; Angulo, F.J.; Tauxe, R.V.; Widdowson, M.A.; Roy, S.L.; Jones, J.L.; Griffin, P.M. Foodborne illness acquired in the United States--major pathogens. Emerg. Infect. Dis. 2011, 17, 7–15. [Google Scholar] [CrossRef] [PubMed]
- Feasey, N.A.; Dougan, G.; Kingsley, R.A.; Heyderman, R.S.; Gordon, M.A. Invasive non-typhoidal Salmonella disease: An emerging and neglected tropical disease in Africa. Lancet 2012, 379, 2489–2499. [Google Scholar] [CrossRef]
- Gordon, M.A.; Graham, S.M.; Walsh, A.L.; Wilson, L.; Phiri, A.; Molyneux, E.; Zijlstra, E.E.; Heyderman, R.S.; Hart, C.A.; Molyneux, M.E. Epidemics of invasive Salmonella enterica serovar Enteritidis and S. enterica serovar Typhimurium infection associated with multidrug resistance among adults and children in Malawi. Clin. Infect. Dis. 2008, 46, 963–969. [Google Scholar] [CrossRef]
- Vugia, D.J.; Samuel, M.; Farley, M.M.; Marcus, R.; Shiferaw, B.; Shallow, S.; Smith, K.; Angulo, F.J. Invasive Salmonella infections in the United States, FoodNet, 1996–1999: Incidence, serotype distribution, and outcome. Clin. Infect. Dis. 2004, 38 Suppl 3, S149–S156. [Google Scholar] [CrossRef]
- Gal-Mor, O.; Boyle, E.C.; Grassl, G.A. Same species, different diseases: How and why typhoidal and non-typhoidal Salmonella enterica serovars differ. Front. Microbiol. 2014, 5, 391. [Google Scholar] [CrossRef]
- Gilchrist, J.J.; MacLennan, C.A. Invasive nontyphoidal Salmonella disease in Africa. EcoSal Plus 2019, 8. [Google Scholar] [CrossRef]
- Fuche, F.J.; Sow, O.; Simon, R.; Tennant, S.M. Salmonella serogroup C: Current status of vaccines and why they are needed. Clin. Vaccine Immunol. 2016, 23, 737–745. [Google Scholar] [CrossRef]
- Boore, A.L.; Hoekstra, R.M.; Iwamoto, M.; Fields, P.I.; Bishop, R.D.; Swerdlow, D.L. Salmonella enterica infections in the United States and assessment of coefficients of variation: A novel approach to identify epidemiologic characteristics of individual serotypes, 1996–2011. PLoS ONE 2015, 10, e0145416. [Google Scholar] [CrossRef]
- The European Union summary report on trends and sources of zoonoses, zoonotic agents and food-borne outbreaks in 2017. EFSA J. 2018, 16, e05500.
- Beyene, G.; Nair, S.; Asrat, D.; Mengistu, Y.; Engers, H.; Wain, J. Multidrug resistant Salmonella Concord is a major cause of salmonellosis in children in Ethiopia. J. Infect. Dev. Ctries. 2011, 5, 23–33. [Google Scholar] [CrossRef] [PubMed]
- Hendriksen, R.S.; Bangtrakulnonth, A.; Pulsrikarn, C.; Pornruangwong, S.; Noppornphan, G.; Emborg, H.D.; Aarestrup, F.M. Risk factors and epidemiology of the ten most common Salmonella serovars from patients in Thailand: 2002–2007. Foodborne Pathog. Dis. 2009, 6, 1009–1019. [Google Scholar] [CrossRef] [PubMed]
- Jones, T.F.; Ingram, L.A.; Cieslak, P.R.; Vugia, D.J.; Tobin-D’Angelo, M.; Hurd, S.; Medus, C.; Cronquist, A.; Angulo, F.J. Salmonellosis outcomes differ substantially by serotype. J. Infect. Dis. 2008, 198, 109–114. [Google Scholar] [CrossRef] [PubMed]
- Cheng, R.A.; Eade, C.R.; Wiedmann, M. Embracing diversity: Differences in virulence mechanisms, disease severity, and host adaptations contribute to the success of nontyphoidal Salmonella as a foodborne pathogen. Front. Microbiol. 2019, 10, 1368. [Google Scholar] [CrossRef] [PubMed]
- Crim, S.M.; Chai, S.J.; Karp, B.E.; Judd, M.C.; Reynolds, J.; Swanson, K.C.; Nisler, A.; McCullough, A.; Gould, L.H. Salmonella enterica serotype Newport infections in the United States, 2004–2013: Increased incidence investigated through four surveillance systems. Foodborne Pathog. Dis. 2018, 15, 612–620. [Google Scholar] [CrossRef] [PubMed]
- MacLennan, C.A.; Martin, L.B.; Micoli, F. Vaccines against invasive Salmonella disease: Current status and future directions. Hum. Vaccines Immunother. 2014, 10, 1478–1493. [Google Scholar] [CrossRef]
- Baliban, S.M.; Lu, Y.J.; Malley, R. Overview of the nontyphoidal and paratyphoidal Salmonella vaccine pipeline: Current status and future prospects. Clin. Infect. Dis. 2020, 71, S151–S154. [Google Scholar] [CrossRef]
- Schuster, O.; Sears, K.T.; Ramachandran, G.; Fuche, F.J.; Curtis, B.; Tennant, S.M.; Simon, R. Immunogenicity and protective efficacy against Salmonella C2-C3 infection in mice immunized with a glycoconjugate of S. Newport Core-O polysaccharide linked to the homologous serovar FliC protein. Hum. Vaccines Immunother. 2019, 15, 1436–1444. [Google Scholar] [CrossRef]
- Fuche, F.J.; Jones, J.A.; Ramachandran, G.; Higginson, E.E.; Simon, R.; Tennant, S.M. Deletions in guaBA and htrA but not clpX or rfaL constitute a live-attenuated vaccine strain of Salmonella Newport to protect against serogroup C2-C3 Salmonella in mice. Hum. Vaccines Immunother. 2019, 15, 1427–1435. [Google Scholar] [CrossRef]
- Chatfield, S.N.; Strahan, K.; Pickard, D.; Charles, I.G.; Hormaeche, C.E.; Dougan, G. Evaluation of Salmonella Typhimurium strains harbouring defined mutations in htrA and aroA in the murine salmonellosis model. Microb. Pathog. 1992, 12, 145–151. [Google Scholar] [CrossRef]
- Tennant, S.M.; Wang, J.Y.; Galen, J.E.; Simon, R.; Pasetti, M.F.; Gat, O.; Levine, M.M. Engineering and preclinical evaluation of attenuated nontyphoidal Salmonella strains serving as live oral vaccines and as reagent strains. Infect. Immun. 2011, 79, 4175–4185. [Google Scholar] [CrossRef] [PubMed]
- Hoiseth, S.K.; Stocker, B.A. Aromatic-dependent Salmonella Typhimurium are non-virulent and effective as live vaccines. Nature 1981, 291, 238–239. [Google Scholar] [CrossRef] [PubMed]
- Hormaeche, C.E. Live attenuated Salmonella vaccines and their potential as oral combined vaccines carrying heterologous antigens. J. Immunol. Methods 1991, 142, 113–120. [Google Scholar] [CrossRef]
- Mukkur, T.K.; Stocker, B.A.; Walker, K.H. Genetic manipulation of Salmonella serotype Bovismorbificans to aromatic-dependence and evaluation of its vaccine potential in mice. J. Med. Microbiol. 1991, 34, 57–62. [Google Scholar] [CrossRef] [PubMed]
- Nnalue, N.A.; Stocker, B.A. Test of the virulence and live-vaccine efficacy of auxotrophic and galE derivatives of Salmonella Choleraesuis. Infect. Immun. 1987, 55, 955–962. [Google Scholar] [CrossRef]
- Levine, M.M.; Ferreccio, C.; Black, R.E.; Germanier, R. Large-scale field trial of Ty21a live oral typhoid vaccine in enteric-coated capsule formulation. Lancet 1987, 1, 1049–1052. [Google Scholar] [CrossRef]
- Kotloff, K.L.; Nataro, J.P.; Blackwelder, W.C.; Nasrin, D.; Farag, T.H.; Panchalingam, S.; Wu, Y.; Sow, S.O.; Sur, D.; Breiman, R.F.; et al. Burden and aetiology of diarrhoeal disease in infants and young children in developing countries (the Global Enteric Multicenter Study, GEMS): A prospective, case-control study. Lancet 2013, 382, 209–222. [Google Scholar] [CrossRef]
- Fuche, F.J.; Sen, S.; Jones, J.A.; Nkeze, J.; Permala-Booth, J.; Tapia, M.D.; Sow, S.O.; Tamboura, B.; Touré, A.; Onwuchekwa, U.; et al. Characterization of invasive Salmonella serogroup C1 infections in Mali. Am. J. Trop. Med. Hyg. 2018, 98, 589–594. [Google Scholar] [CrossRef]
- Datsenko, K.A.; Wanner, B.L. One-step inactivation of chromosomal genes in Escherichia coli K-12 using PCR products. Proc. Natl. Acad. Sci. USA 2000, 97, 6640–6645. [Google Scholar] [CrossRef]
- Galen, J.E.; Curtiss, R., 3rd. The delicate balance in genetically engineering live vaccines. Vaccine 2014, 32, 4376–4385. [Google Scholar] [CrossRef]
- Simon, R.; Tennant, S.M.; Wang, J.Y.; Schmidlein, P.J.; Lees, A.; Ernst, R.K.; Pasetti, M.F.; Galen, J.E.; Levine, M.M. Salmonella enterica serovar Enteritidis core O polysaccharide conjugated to H:g,m flagellin as a candidate vaccine for protection against invasive infection with S. Enteritidis. Infect. Immun. 2011, 79, 4240–4249. [Google Scholar] [CrossRef] [PubMed]
- Huang, K.Y.; Wang, Y.H.; Chien, K.Y.; Janapatla, R.P.; Chiu, C.H. Hyperinvasiveness of Salmonella enterica serovar Choleraesuis linked to hyperexpression of type III secretion systems in vitro. Sci. Rep. 2016, 6, 37642. [Google Scholar] [CrossRef] [PubMed]
- Chiu, C.H.; Su, L.H.; Chu, C. Salmonella enterica serotype Choleraesuis: Epidemiology, pathogenesis, clinical disease, and treatment. Clin. Microbiol. Rev. 2004, 17, 311–322. [Google Scholar] [CrossRef] [PubMed]





| Serogroup | Serovar | Strain | Characteristics | Reference |
|---|---|---|---|---|
| O:8 (C2–C3) | S. Newport | Chile 361 | Clinical isolate | [26] |
| S. Newport | SNE-rfaL | Chile 361 ΔrfaL | [19] | |
| S. Newport | SNE-aroA | Chile 361 ΔaroA | This work | |
| S. Newport | CDV 1966 | Chile 361 ΔguaBA ΔhtrA | [19] | |
| S. Newport | CVD 1979 | Chile 361 ΔguaBA ΔhtrA ΔaroA | This work | |
| S. Muenchen | ATCC 8344 | Wild-type | American Type Culture Collection | |
| S. Hadar | 700093 | Clinical isolate | [27] | |
| O:6,7 (C1) | S. Virchow | Q23 | Clinical isolate | [28] |
| S. Choleraesuis var Kunzendorf | CDC-06-0894 | Wild-type | U.S. Centers for Disease Control and Prevention |
Publisher’s Note: MDPI stays neutral with regard to jurisdictional claims in published maps and institutional affiliations. |
© 2021 by the authors. Licensee MDPI, Basel, Switzerland. This article is an open access article distributed under the terms and conditions of the Creative Commons Attribution (CC BY) license (http://creativecommons.org/licenses/by/4.0/).
Share and Cite
Nasrin, S.; Fuche, F.J.; Sears, K.T.; Jones, J.A.; Levine, M.M.; Simon, R.; Tennant, S.M. Refinement of a Live Attenuated Salmonella enterica Serovar Newport Vaccine with Improved Safety. Vaccines 2021, 9, 57. https://doi.org/10.3390/vaccines9010057
Nasrin S, Fuche FJ, Sears KT, Jones JA, Levine MM, Simon R, Tennant SM. Refinement of a Live Attenuated Salmonella enterica Serovar Newport Vaccine with Improved Safety. Vaccines. 2021; 9(1):57. https://doi.org/10.3390/vaccines9010057
Chicago/Turabian StyleNasrin, Shamima, Fabien J. Fuche, Khandra T. Sears, Jennifer A. Jones, Myron M. Levine, Raphael Simon, and Sharon M. Tennant. 2021. "Refinement of a Live Attenuated Salmonella enterica Serovar Newport Vaccine with Improved Safety" Vaccines 9, no. 1: 57. https://doi.org/10.3390/vaccines9010057
APA StyleNasrin, S., Fuche, F. J., Sears, K. T., Jones, J. A., Levine, M. M., Simon, R., & Tennant, S. M. (2021). Refinement of a Live Attenuated Salmonella enterica Serovar Newport Vaccine with Improved Safety. Vaccines, 9(1), 57. https://doi.org/10.3390/vaccines9010057
