GspD, The Type II Secretion System Secretin of Leptospira, Protects Hamsters against Lethal Infection with a Virulent L. interrogans Isolate
Abstract
1. Introduction
2. Materials and Methods
2.1. Genetic Procedures
2.1.1. Construction of Recombinant Vectors
2.1.2. GspDLC Expression, Screening, and Purification
2.2. Antisera Production
2.3. Screening for GspD in Leptospira Serovars
2.4. Leptospira Cultures and LD50 Calculation
2.5. Antigenicity of GspD in Infected Animals
2.6. GspD In Situ Expression by Leptospira
3. Vaccines
3.1. rGspDLC Vaccine
3.2. Killed Cells Vaccine
3.3. Pilot Vaccination Study
3.4. Histopathology
4. Statistical Analysis
Ethical Approval
5. Results
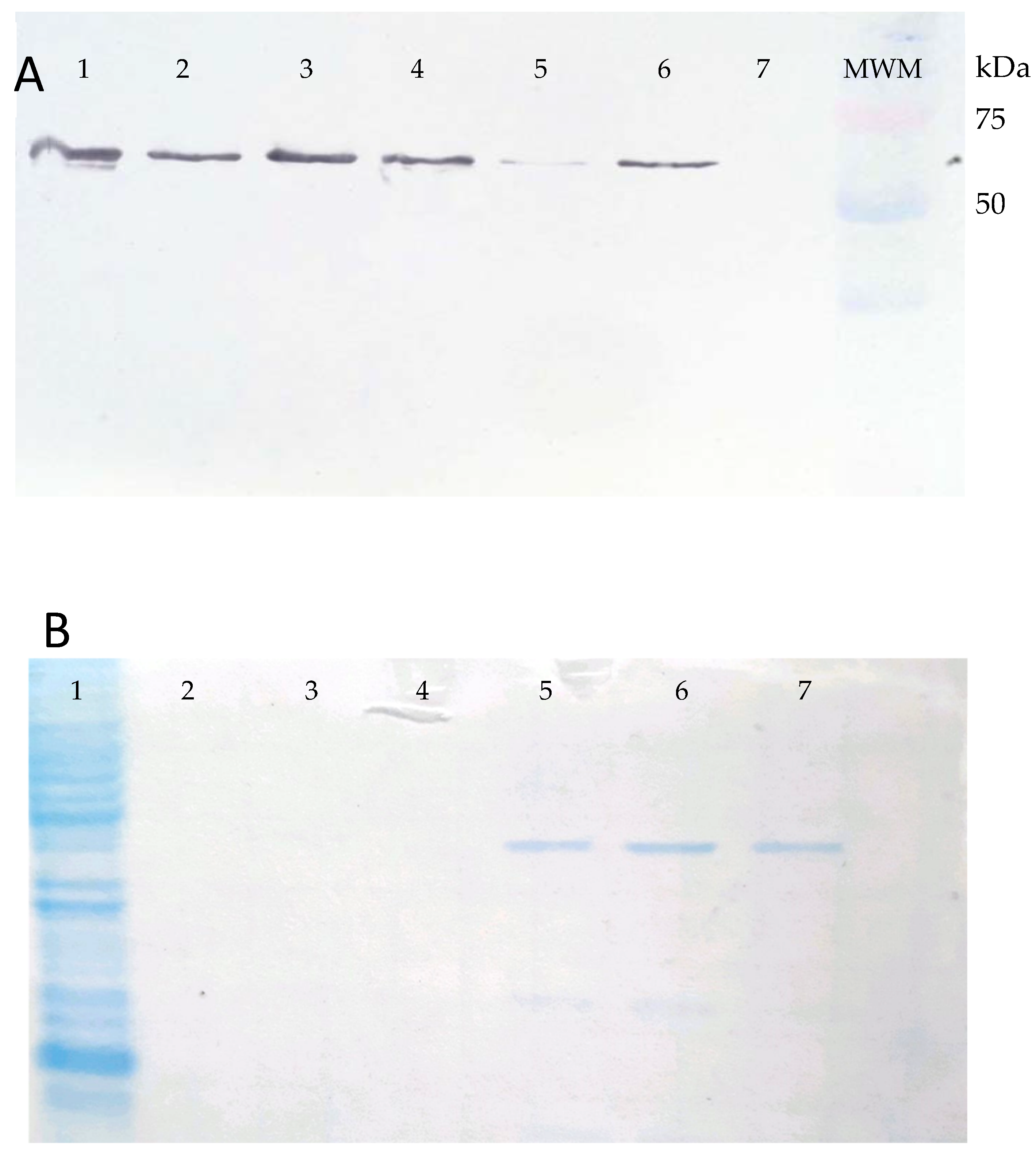
5.1. Expression of the rGspDLC Protein and Antisera Production
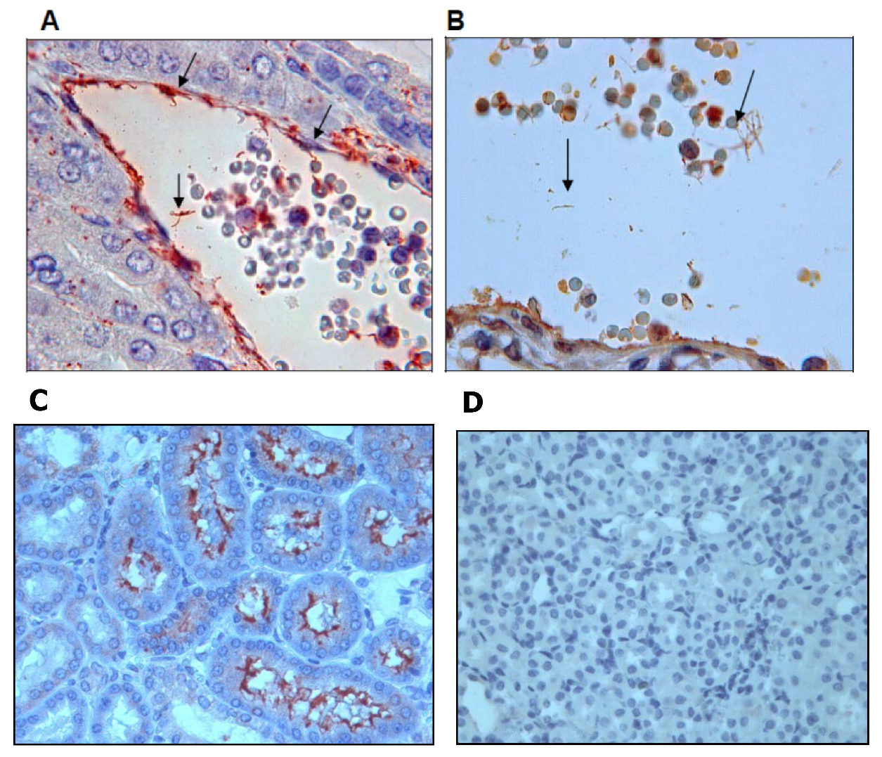
5.2. GspD in Leptospira Serovars, Antigenicity, and In Situ Expression
5.3. Assessment of the Immunogenicity of the rGspDLC Protein
5.4. Infection Assessment by Culture and PCR
5.5. Infection Assessment by Histopathology
6. Discussion
Author Contributions
Funding
Acknowledgments
Conflicts of Interest
References
- Adler, B.; de la Peña-Moctezuma, A. Leptospira and leptospirosis. Vet. Microbiol. 2010, 140, 287–296. [Google Scholar] [CrossRef] [PubMed]
- Ko, A.I.; Goarant, C.; Picardeau, M. Leptospira: The dawn of the molecular genetics era for an emerging zoonotic pathogen. Nat. Rev. Microbiol 2009, 7, 736–747. [Google Scholar] [CrossRef] [PubMed]
- Costa, F.; Hagan, J.E.; Calcagno, J.; Kane, M.; Torgerson, P.; Martinez-Silveira, M.S.; Stein, C.; Abela-Ridder, B.; Ko, A.I. Global Morbidity and Mortality of Leptospirosis: A Systematic Review. PLoS Negl. Trop Dis. 2015, 9, e0003898. [Google Scholar] [CrossRef] [PubMed]
- Adler, B. Vaccines against leptospirosis. Curr. Top. Microbiol. Immunol. 2015, 387, 251–272. [Google Scholar]
- Bulach, D.M.; Kalambaheti, T.; de la Peña-Moctezuma, A.; Adler, B. Lipopolysaccharide biosynthesis in Leptospira. J. Mol. Microbiol. Biotechnol. 2000, 2, 375–380. [Google Scholar]
- Vinh, T.; Faine, S.; Handley, C.J.; Adler, B. Immunochemical studies of opsonic epitopes of the lipopolysaccharide of Leptospira interrogans serovar hardjo. FEMS Immunol. Med. Microbiol. 1994, 8, 99–107. [Google Scholar] [CrossRef]
- Haake, D.A.; Mazel, M.K.; McCoy, A.M.; Milward, F.; Chao, G.; Matsunaga, J.; Wagar, E.A. Leptospiral outer membrane proteins OmpL1 and LipL41 exhibit synergistic immunoprotection. Infect. Immun. 1999, 67, 6572–6582. [Google Scholar] [CrossRef]
- Seixas, F.K.; Fernandes, C.H.; Hartwig, D.D.; Conceicao, F.R.; Aleixo, J.A.; Dellagostin, O.A. Evaluation of different ways of presenting LipL32 to the immune system with the aim of developing a recombinant vaccine against leptospirosis. Can. J. Microbiol. 2007, 53, 472–479. [Google Scholar] [CrossRef]
- He, H.J.; Wang, W.Y.; Wu, Z.D.; Lv, Z.Y.; Li, J.; Tan, L.Z. Protection of guinea pigs against Leptospira interrogans serovar Lai by LipL21 DNA vaccine. Cell Mol. Immunol. 2008, 5, 385–391. [Google Scholar] [CrossRef]
- Koizumi, N.; Watanabe, H. Molecular cloning and characterization of a novel leptospiral lipoprotein with OmpA domain. FEMS Microbiol. Lett. 2003, 226, 215–219. [Google Scholar] [CrossRef]
- Umthong, S.; Buaklin, A.; Jacquet, A.; Sangjun, N.; Kerdkaew, R.; Patarakul, K.; Palaga, T. Immunogenicity of a DNA and recombinant protein vaccine combining LipL32 and Loa22 for leptospirosis using chitosan as a delivery system. J. Microbiol. Biotechnol. 2015, 25, 526–536. [Google Scholar] [CrossRef] [PubMed]
- Coutinho, M.L.; Choy, H.A.; Kelley, M.M.; Matsunaga, J.; Babbitt, J.T.; Lewis, M.S.; Aleixo, J.A.; Haake, D.A. A LigA three-domain region protects hamsters from lethal infection by Leptospira interrogans. PLoS Negl. Trop. Dis. 2011, 5, e1422. [Google Scholar] [CrossRef] [PubMed]
- Koizumi, N.; Watanabe, H. Leptospiral immunoglobulin-like proteins elicit protective immunity. Vaccine 2004, 22, 1545–1552. [Google Scholar] [CrossRef] [PubMed]
- Yan, W.; Faisal, S.M.; McDonough, S.P.; Divers, T.J.; Barr, S.C.; Chang, C.F.; Pan, M.J.; Chang, Y.F. Immunogenicity and protective efficacy of recombinant Leptospira immunoglobulin-like protein B (rLigB) in a hamster challenge model. Microbes Infect. 2009, 11, 230–237. [Google Scholar] [CrossRef] [PubMed]
- Dellagostin, O.A.; Grassmann, A.A.; Rizzi, C.; Schuch, R.A.; Jorge, S.; Oliveira, T.L.; McBride, A.J.; Hartwig, D.D. Reverse Vaccinology: An approach for identifying leptospiral vaccine candidates. Int. J. Mol. Sci. 2017, 18, 158. [Google Scholar] [CrossRef] [PubMed]
- Murray, G.L.; Lo, M.; Bulach, D.M.; Srikram, A.; Seemann, T.; Quinsey, N.S.; Sermswan, R.W.; Allen, A.; Adler, B. Evaluation of 238 antigens of Leptospira borgpetersenii serovar Hardjo for protection against kidney colonisation. Vaccine 2013, 31, 495–499. [Google Scholar] [CrossRef] [PubMed]
- Cianciotto, N.P.; White, R.C. Expanding role of Type II Secretion in bacterial pathogenesis and beyond. Infect. Immun. 2017, 85, e00014-17. [Google Scholar] [CrossRef]
- Malmstrom, J.; Beck, M.; Schmidt, A.; Lange, V.; Deutsch, E.W.; Aebersold, R. Proteome-wide cellular protein concentrations of the human pathogen Leptospira Interrogans. Nature 2009, 460, 762–765. [Google Scholar] [CrossRef]
- Pinne, M.; Haake, D.A. A comprehensive approach to identification of surface-exposed, outer membrane-spanning proteins of Leptospira Interrogans. PLoS ONE 2009, 4, e6071. [Google Scholar] [CrossRef]
- Matsunaga, J.; Barocchi, M.A.; Croda, J.; Young, T.A.; Sanchez, Y.; Siqueira, I.; Bolin, C.A.; Reis, M.G.; Riley, L.W.; Haake, D.A.; et al. Pathogenic Leptospira species express surface-exposed proteins belonging to the bacterial immunoglobulin superfamily. Mol. Microbiol. 2003, 49, 929–945. [Google Scholar] [CrossRef]
- Ahmed, N.; Devi, S.M.; Valverde Mde, L.; Vijayachari, P.; Machang’u, R.S.; Ellis, W.A.; Hartskeerl, R.A. Multilocus sequence typing method for identification and genotypic classification of pathogenic Leptospira species. Ann. Clin. Microbiol. Antimicrob. 2006, 5, 28. [Google Scholar] [CrossRef] [PubMed][Green Version]
- Asoh, T.; Saito, M.; Villanueva, S.Y.; Kanemaru, T.; Gloriani, N.; Yoshida, S. Natural defense by saliva and mucosa against oral infection by Leptospira. Can. J. Microbiol. 2014, 60, 383–389. [Google Scholar] [CrossRef] [PubMed]
- Ellinghausen, H.C., Jr.; McCullough, W.G. Nutrition of Leptospira Pomona and growth of 13 other serotypes: A serum-free medium employing oleic albumin complex. Am. J. Vet. Res. 1965, 26, 39–44. [Google Scholar] [PubMed]
- Reed, L.J.; Muench, H. A simple method of estimating fifty per cent endpoints. Am. J. Epidemiol. 1938, 23, 493–497. [Google Scholar] [CrossRef]
- Fletcher, W. Recent work on leptospirosis, Tsutsugamushi disease and typhus in the Federated Malay States. Trans. Roy. Soc. Trop Med. Hyg. 1928, 21, 265–288. [Google Scholar] [CrossRef]
- Massone, A.R.; Martin, A.A.; Ibargoyen, G.S.; Gimeno, E.J. Immunohistochemical methods for the visualization of Mycobacterium paratuberculosis in bovine tissues. Zent. Vet. B 1990, 37, 251–253. [Google Scholar] [CrossRef]
- Haines, D.M.; Chelack, B.J. Technical considerations for developing enzyme immunohistochemical staining procedures on formalin-fixed paraffin-embedded tissues for diagnostic pathology. J. Vet. Diagn Investig. 1991, 3, 101–112. [Google Scholar] [CrossRef]
- Coutinho, M.L.; Matsunaga, J.; Wang, L.C.; de la Peña-Moctezuma, A.; Lewis, M.S.; Babbitt, J.T.; Aleixo, J.A.; Haake, D.A. Kinetics of Leptospira interrogans infection in hamsters after intradermal and subcutaneous challenge. PLoS Negl. Trop Dis. 2014, 8, e3307. [Google Scholar] [CrossRef]
- Cash, P. Investigating pathogen biology at the level of the proteome. Proteomics 2011, 11, 3190–3202. [Google Scholar] [CrossRef]
- Seixas, F.K.; da Silva, E.F.; Hartwig, D.D.; Cerqueira, G.M.; Amaral, M.; Fagundes, M.Q.; Dossa, R.G.; Dellagostin, O.A. Recombinant Mycobacterium bovis BCG expressing the LipL32 antigen of Leptospira interrogans protects hamsters from challenge. Vaccine 2007, 26, 88–95. [Google Scholar] [CrossRef]
- Hartwig, D.D.; Forster, K.M.; Oliveira, T.L.; Amaral, M.; McBride, A.J.; Dellagostin, O.A. A Prime-boost strategy using the novel vaccine candidate, LemA, protects hamsters against leptospirosis. Clin. Vaccine Immunol. 2013, 20, 747–752. [Google Scholar] [CrossRef] [PubMed]
- Lourdault, K.; Wang, L.C.; Vieira, A.; Matsunaga, J.; Melo, R.; Lewis, M.S.; Haake, D.A.; Gomes-Solecki, M. Oral immunization with Escherichia coli expressing a lipidated form of LigA protects hamsters against challenge with Leptospira interrogans serovar Copenhageni. Infect. Immun. 2014, 82, 893–902. [Google Scholar] [CrossRef] [PubMed]
- Cullen, P.A.; Cordwell, S.J.; Bulach, D.M.; Haake, D.A.; Adler, B. Global analysis of outer membrane proteins from Leptospira interrogans serovar Lai. Infect. Immun. 2002, 70, 2311–2318. [Google Scholar] [CrossRef] [PubMed]
- Haake, D.A.; Matsunaga, J. Characterization of the leptospiral outer membrane and description of three novel leptospiral membrane proteins. Infect. Immun. 2002, 70, 4936–4945. [Google Scholar] [CrossRef] [PubMed]
- Matsunaga, J.; Sanchez, Y.; Xu, X.; Haake, D.A. Osmolarity, a key environmental signal controlling expression of leptospiral proteins LigA and LigB and the extracellular release of LigA. Infect. Immun. 2005, 73, 70–78. [Google Scholar] [CrossRef]
- Zeng, L.; Zhang, Y.; Zhu, Y.; Yin, H.; Zhuang, X.; Zhu, W.; Guo, X.; Qin, J. Extracellular proteome analysis of Leptospira interrogans serovar Lai. OMICS 2013, 17, 527–535. [Google Scholar] [CrossRef]
- Filloux, A. The underlying mechanisms of type II protein secretion. Biochim. Biophys. Acta 2004, 1694, 163–179. [Google Scholar] [CrossRef]
- Sandkvist, M. Type II secretion and pathogenesis. Infect. Immun. 2001, 69, 3523–3535. [Google Scholar] [CrossRef]
- Abby, S.S.; Rocha, E.P.C. Identification of protein secretion systems in bacterial genomes using MacSyFinder. In Bacterial Protein Secretion Systems; Humana Press: New York, NY, USA, 2017; Volume 1615, pp. 1–21. [Google Scholar]
- Korotkov, K.V.; Sandkvist, M. Architecture, function, and substrates of the Type II Secretion System. Ecosal. Plus 2019, 8, 227–244. [Google Scholar] [CrossRef]
- Ball, G.; Durand, E.; Lazdunski, A.; Filloux, A. A novel type II secretion system in Pseudomonas aeruginosa. Mol. Microbiol. 2002, 43, 475–485. [Google Scholar] [CrossRef]
- Douzi, B.; Durand, E.; Bernard, C.; Alphonse, S.; Cambillau, C.; Filloux, A.; Tegoni, M.; Voulhoux, R. The XcpV/GspI pseudopilin has a central role in the assembly of a quaternary complex within the T2SS pseudopilus. J. Biol. Chem. 2009, 284, 34580–34589. [Google Scholar] [CrossRef] [PubMed]
- Francetic, O.; Pugsley, A.P. The cryptic general secretory pathway (gsp) operon of Escherichia coli K-12 encodes functional proteins. J. Bacteriol. 1996, 178, 3544–3549. [Google Scholar] [CrossRef] [PubMed][Green Version]
- Hu, N.T.; Leu, W.M.; Lee, M.S.; Chen, A.; Chen, S.C.; Song, Y.L.; Chen, L.Y. XpsG, the major pseudopilin in Xanthomonas campestris pv. campestris, forms a pilus-like structure between cytoplasmic and outer membranes. Biochem. J. 2002, 365, 205–211. [Google Scholar] [CrossRef] [PubMed]
- Bulach, D.M.; Zuerner, R.L.; Wilson, P.; Seemann, T.; McGrath, A.; Cullen, P.A.; Davis, J.; Johnson, M.; Kuczek, E.; Alt, D.P.; et al. Genome reduction in Leptospira borgpetersenii reflects limited transmission potential. Proc. Natl. Acad. Sci. USA 2006, 103, 14560–14565. [Google Scholar] [CrossRef] [PubMed]
- Nascimento, A.L.; Verjovski-Almeida, S.; Van Sluys, M.A.; Monteiro-Vitorello, C.B.; Camargo, L.E.; Digiampietri, L.A.; Harstkeerl, R.A.; Ho, P.L.; Marques, M.V.; Oliveira, M.C.; et al. Genome features of Leptospira interrogans serovar Copenhageni. Braz J. Med. Biol. Res. 2004, 37, 459–477. [Google Scholar] [CrossRef] [PubMed]
- Ren, S.X.; Fu, G.; Jiang, X.G.; Zeng, R.; Miao, Y.G.; Xu, H.; Zhang, Y.X.; Xiong, H.; Lu, G.; Lu, L.F.; et al. Unique physiological and pathogenic features of Leptospira interrogans revealed by whole-genome sequencing. Nature 2003, 422, 888–893. [Google Scholar] [CrossRef] [PubMed]
- Picardeau, M.; Bulach, D.M.; Bouchier, C.; Zuerner, R.L.; Zidane, N.; Wilson, P.J.; Creno, S.; Kuczek, E.S.; Bommezzadri, S.; Davis, J.C.; et al. Genome sequence of the saprophyte Leptospira biflexa provides insights into the evolution of Leptospira and the pathogenesis of leptospirosis. PLoS ONE 2008, 3, e1607. [Google Scholar] [CrossRef]
- Korotkov, K.V.; Sandkvist, M.; Hol, W.G. The type II secretion system: Biogenesis, molecular architecture and mechanism. Nat. Rev. Microbiol. 2012, 10, 336–351. [Google Scholar] [CrossRef]
- Sikora, A.E. Proteins secreted via the type II secretion system: Smart strategies of Vibrio cholerae to maintain fitness in different ecological niches. PLoS Pathog. 2013, 9, e1003126. [Google Scholar] [CrossRef]
- Miller, N.G.; Froehling, R.C.; White, R.J. Activity of leptospires and their products on L cell monolayers. Am. J. Vet. Res. 1970, 31, 371–377. [Google Scholar]
- Corin, R.E.; Cox, C.D. Characterization of leptospiral catalase and peroxidase. Can. J. Microbiol. 1980, 26, 121–129. [Google Scholar] [CrossRef] [PubMed]
- Yanagihara, Y.; Taniyama, T.; Misaki, H.; Suzuki, Y.; Matsumoto, M.; Mifuchi, I. Phospholipases of Leptospira. I. Presence of phospholipase A1 and lysophospholipase in Leptospira biflexa. Microbiol. Immunol. 1984, 28, 747–756. [Google Scholar] [CrossRef] [PubMed]
- Baseman, J.B.; Cox, C.D. Terminal electron transport in Leptospira. J. Bacteriol. 1969, 97, 1001–1004. [Google Scholar] [CrossRef] [PubMed]
- Catalano-Dupuy, D.L.; Musumeci, M.A.; Lopez-Rivero, A.; Ceccarelli, E.A. A highly stable plastidic-type ferredoxin-NADP(H) reductase in the pathogenic bacterium Leptospira interrogans. PLoS ONE 2011, 6, e26736. [Google Scholar] [CrossRef] [PubMed]
- Fouts, D.E.; Matthias, M.A.; Adhikarla, H.; Adler, B.; Amorim-Santos, L.; Berg, D.E.; Bulach, D.; Buschiazzo, A.; Chang, Y.F.; Galloway, R.L.; et al. What makes a bacterial species pathogenic? Comparative genomic analysis of the genus Leptospira. PLoS Negl. Trop. Dis. 2016, 10, e0004403. [Google Scholar] [CrossRef] [PubMed]
- Xiao, G.; Kong, L.; Che, R.; Yi, Y.; Zhang, Q.; Yan, J.; Lin, X. Identification and characterization of c-di-GMP metabolic enzymes of Leptospira interrogans and c-di-GMP fluctuations after thermal shift and infection. Front. Microbiol. 2018, 20, 764. [Google Scholar] [CrossRef]
- Sandkvist, M.; Michel, L.O.; Hough, L.P.; Morales, V.M.; Bagdasarian, M.; Koomey, M.; DiRita, V.J.; Bagdasarian, M. General secretion pathway (eps) genes required for toxin secretion and outer membrane biogenesis in Vibrio cholerae. J. Bacteriol. 1997, 179, 6994–7003. [Google Scholar] [CrossRef]
- Tauschek, M.; Gorrell, R.J.; Strugnell, R.A.; Robins-Browne, R.M. Identification of a protein secretory pathway for the secretion of heat-labile enterotoxin by an enterotoxigenic strain of Escherichia coli. Proc. Natl. Acad. Sci. USA 2002, 99, 7066–7071. [Google Scholar] [CrossRef]
- Filloux, A.; Michel, G.; Bally, M. GSP-dependent protein secretion in gram-negative bacteria: The Xcp system of Pseudomonas aeruginosa. FEMS Microbiol. Rev. 1998, 22, 177–198. [Google Scholar] [CrossRef]







| Group | Treatment | n | Survivors (Protection %) | Infection Rates a PCR Culture | NI b | Kidney Lesions Rates | p-Value c | ||
|---|---|---|---|---|---|---|---|---|---|
| A | GspDLC + no adjuvant + challenge | 8 | 5 (65.5) | 8 | 3 | 0 | 4.875 | 0.0555 | NS d |
| B | GspDLC + IFA + challenge | 8 | 6 (75) | 5 | 4 | 3 | 5 | 0.0176 | |
| C | Bacterin + challenge | 8 | 8 (100) | 1 | 1 | 7 | 3.5 | 0.0002 | |
| D | IFA + challenge | 13 | 2 (15.3) | 13 | 8 | 0 | 7.75 | ND e | |
| E | Saline + challenge | 5 | 0 (0) | 5 | 5 | 0 | 8.4 | 1 | NS d |
Publisher’s Note: MDPI stays neutral with regard to jurisdictional claims in published maps and institutional affiliations. |
© 2020 by the authors. Licensee MDPI, Basel, Switzerland. This article is an open access article distributed under the terms and conditions of the Creative Commons Attribution (CC BY) license (http://creativecommons.org/licenses/by/4.0/).
Share and Cite
Llanos Salinas, S.P.; Castillo Sánchez, L.O.; Castañeda Miranda, G.; Rodríguez Reyes, E.A.; Ordoñez López, L.; Mena Bañuelos, R.; Alcaraz Sosa, L.E.; Núñez Carrera, M.G.; José Manuel, R.O.; Carmona Gasca, C.A.; et al. GspD, The Type II Secretion System Secretin of Leptospira, Protects Hamsters against Lethal Infection with a Virulent L. interrogans Isolate. Vaccines 2020, 8, 759. https://doi.org/10.3390/vaccines8040759
Llanos Salinas SP, Castillo Sánchez LO, Castañeda Miranda G, Rodríguez Reyes EA, Ordoñez López L, Mena Bañuelos R, Alcaraz Sosa LE, Núñez Carrera MG, José Manuel RO, Carmona Gasca CA, et al. GspD, The Type II Secretion System Secretin of Leptospira, Protects Hamsters against Lethal Infection with a Virulent L. interrogans Isolate. Vaccines. 2020; 8(4):759. https://doi.org/10.3390/vaccines8040759
Chicago/Turabian StyleLlanos Salinas, Samantha Paulina, Luz Olivia Castillo Sánchez, Giselle Castañeda Miranda, Ernesto Armando Rodríguez Reyes, Liliana Ordoñez López, Rodrigo Mena Bañuelos, Luz Elena Alcaraz Sosa, María Guadalupe Núñez Carrera, Ramírez Ortega José Manuel, Carlos Alfredo Carmona Gasca, and et al. 2020. "GspD, The Type II Secretion System Secretin of Leptospira, Protects Hamsters against Lethal Infection with a Virulent L. interrogans Isolate" Vaccines 8, no. 4: 759. https://doi.org/10.3390/vaccines8040759
APA StyleLlanos Salinas, S. P., Castillo Sánchez, L. O., Castañeda Miranda, G., Rodríguez Reyes, E. A., Ordoñez López, L., Mena Bañuelos, R., Alcaraz Sosa, L. E., Núñez Carrera, M. G., José Manuel, R. O., Carmona Gasca, C. A., Matsunaga, J., Haake, D. A., Candanosa Aranda, I. E., & de la Peña-Moctezuma, A. (2020). GspD, The Type II Secretion System Secretin of Leptospira, Protects Hamsters against Lethal Infection with a Virulent L. interrogans Isolate. Vaccines, 8(4), 759. https://doi.org/10.3390/vaccines8040759

