Sea Bass Immunization to Downsize the Betanodavirus Protein Displayed in the Surface of Inactivated Repair-Less Bacteria
Abstract
1. Introduction
2. Materials and Methods
2.1. Construction of Downsized VNNV Coat Sequence and Genetic Fusion to Prokaryotic Anchor-Motifs
2.2. Induction of Protein Expression and Inactivation of Antigen Surface-Displaying Recombinant Bacteria
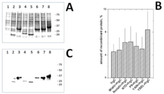
2.3. Characterization of the Expression of pRSET-Anchor + frgC91–220 Coded Proteins
2.4. Assay of anchor + frgc91–220 + polyh Enrichment on the Bacterial Surface
2.5. Immunization with Surface-Displaying Bacterins by Intraperitoneal Injection
2.6. Ethic Statement on Fish Handling
3. Results
3.1. Selection of the frgc91–220 Sequence from the Betanodavirus C Coat Protein
3.2. Autoinduction Media to Improve Anchor-Fused FrgC91–220 Expression
3.3. Inactivation of Recombinant E. coli by DNA-Damage
3.4. Recombinant Protein Expression Levels Were Lower when Using the Dna-Repair Deficient blr(de3) E. coli Strain
3.5. Surface Expression of Nmistic + frgC91–220 and YBEL + frgC91–220 in BLR(DE3) Spinycterins
3.6. In Vivo Protection Against VNNV Challenge Using Spinycterins Obtained in BLR(DE3) E. coli Displaying Anchor + frgC91–220
4. Discussion
Supplementary Materials
Author Contributions
Funding
Acknowledgments
Conflicts of Interest
References
- Patel, S.; Korsnes, K.; Bergh, O.; Vik-Mo, F.; Pedersen, J.; Nerland, A.H. Nodavirus in farmed Atlantic cod Gadus morhua in Norway. Dis. Aquat. Org. 2007, 77, 169–173. [Google Scholar] [CrossRef]
- Gagne, N.; Johnson, S.C.; Cook-Versloot, M.; MacKinnon, A.M.; Olivier, G. Molecular detection and characterization of nodavirus in several marine fish species from the northeastern Atlantic. Dis. Aquat. Org. 2004, 62, 181–189. [Google Scholar] [CrossRef]
- ICTV. International Committee on Taxonomy of Viruses (ICTV index of viruses). Available online: http://www.ncbi.nlm.nih (accessed on 1 August 2009).
- Munday, B.L.; Kwang, J.; Moody, N. Betanodavirus infections of teleost fish: A review. J. Fish Dis. 2002, 25, 127–142. [Google Scholar] [CrossRef]
- Skliris, G.P.; Krondiris, J.V.; Sideris, D.C.; Shinn, A.P.; Starkey, W.G.; Richards, R.H. Phylogenetic and antigenic characterization of new fish nodavirus isolates from Europe and Asia. Virus Res. 2001, 75, 59–67. [Google Scholar] [CrossRef]
- Nishizawa, T.; Furuhashi, M.; Nagai, T.; Nakai, T.; Muroga, K. Genomic classification of fish nodaviruses by molecular phylogenetic analysis of the coat protein gene. Appl. Environ. Microbiol. 1997, 63, 1633–1636. [Google Scholar]
- Yong, C.Y.; Yeap, S.K.; Omar, A.R.; Tan, W.S. Advances in the study of nodavirus. Peer J. 2017, 5, e3841. [Google Scholar] [CrossRef]
- Yamashita, H.; Fujita, Y.; Kawakami, H.; Nakai, T. The efficacy of inactivated virus vaccine against viral nervous necrosis (NNV). Fish Patholol. 2005, 40, 15–21. [Google Scholar]
- Kai, Y.H.; Chi, S.C. Efficacies of inactivated vaccines against betanodavirus in grouper larvae (Epinephelus coioides) by bath immunization. Vaccine 2008, 26, 1450–1457. [Google Scholar] [CrossRef]
- Lin, C.S.; Lu, M.W.; Tang, L.; Liu, W.T.; Chao, C.B.; Lin, C.J.; Krishna, N.K.; Johnson, J.E.; Schneemann, A. Characterization of virus-like particles assembled in a recombinant baculovirus system expressing the capsid protein of a fish nodavirus. Virology 2001, 290, 50–58. [Google Scholar] [CrossRef]
- Thiery, R.; Cozien, J.; Cabon, J.; Lamour, F.; Baud, M.; Schneemann, A. Induction of a protective immune response against viral nervous necrosis in the European sea bass Dicentrarchus labrax by using betanodavirus virus-like particles. J. Virol. 2006, 80, 10201–10207. [Google Scholar] [CrossRef]
- Liu, W.; Hsu, C.H.; Chang, C.Y.; Chen, H.H.; Lin, C.S. Immune response against grouper nervous necrosis virus by vaccination of virus-like particles. Vaccine 2006, 24, 6282–6287. [Google Scholar] [CrossRef]
- Husgard, S.; Grotmol, S.; Hjeltnes, B.K.; Rodseth, O.M.; Biering, E. Irnmune response to a recombinant capsid protein of striped jack nervous necrosis virus (SJNNV) in turbot Scophthalmus maximus and Atlantic halibut Hippoglossus hippoglossus, and evaluation of a vaccine against SJNNY. Dis. Aquat. Org. 2001, 45, 33–44. [Google Scholar] [CrossRef]
- Yuasa, K.; Koesharyani; Roza, D.; Mori, K.; Katata, M.; Nakai, T. Immune response of humpback grouper, Cromileptes altivelis (Valenciennes) injected with the recombinant coat protein of betanodavirus. J. Fish Dis. 2002, 25, 53–56. [Google Scholar]
- Coeurdacier, J.L.; Laporte, F.; Pepin, J.F. Preliminary approach to find synthetic peptides from nodavirus capsid potentially protective against sea bass viral encephalopathy and retinopathy. Fish Shellfish Immunol. 2003, 14, 435–447. [Google Scholar] [CrossRef]
- Yamashita, H.; Mori, K.; Kuroda, A.; Nakai, T. Neutralizing antibody levels for protection against betanodavirus infection in sevenband grouper, Epinephelus septemfasciatus (Thunberg), immunized with an inactivated virus vaccine. J. Fish Dis. 2009, 32, 767–775. [Google Scholar] [CrossRef]
- Galeotti, M.; Romano, N.; Volpatti, D.; Bulfon, C.; Brunetti, A.; Tiscar, P.G.; Mosca, F.; Bertoni, F.; Marchetti, M.G.; Abelli, L. Innovative vaccination protocol against vibriosis in Dicentrarchus labrax (L.) juveniles: Improvement of immune parameters and protection to challenge. Vaccine 2013, 31, 1224–1230. [Google Scholar] [CrossRef]
- Huang, S.M.; Cheng, J.H.; Tu, C.; Chen, T.I.; Lin, C.T.; Chang, S.K. A bivalent inactivated vaccine of viral nervous necrosis virus and grouper iridovirus applied to grouper broodfish (Epinephelus coioides) reduces the risk of vertical transmission. Taiwan Vet. J. 2017, 43, 171–176. [Google Scholar] [CrossRef]
- Buonocore, F.; Nunez-Ortiz, N.; Picchietti, S.; Randelli, E.; Stocchi, V.; Guerra, L.; Toffan, A.; Pascoli, F.; Fausto, A.M.; Mazzini, M.; et al. Vaccination and immune responses of European sea bass (Dicentrarchus labrax L.) against betanodavirus. Fish Shellfish Immunol. 2019, 85, 78–84. [Google Scholar] [CrossRef]
- Gonzalez-Silvera, D.; Guardiola, F.A.; Espinosa, C.; Chaves-Pozo, E.; Esteban, M.; Cuesta, A. Recombinant nodavirus vaccine produced in bacteria and administered without purification elicits humoral immunity and protects European sea bass against infection. Fish Shellfish Immunol. 2019, 88, 458–463. [Google Scholar] [CrossRef]
- Coll, J.M. Fish mass immunization against virus with recombinant “spiny” bacterins. Fish Shellfish Immunol. 2017, 67, 393–401. [Google Scholar] [CrossRef]
- Chen, C.W.; Wu, M.S.; Huang, Y.J.; Cheng, C.A.; Chang, C.Y. Recognition of Linear B-Cell Epitope of Betanodavirus Coat Protein by RG-M18 Neutralizing mAB Inhibits Giant Grouper Nervous Necrosis Virus (GGNNV) Infection. PLoS ONE 2015, 10, e0126121. [Google Scholar] [CrossRef] [PubMed]
- Costa, J.Z.; Adams, A.; Bron, J.E.; Thompson, K.D.; Starkey, W.G.; Richards, R.H. Identification of B-cell epitopes on the betanodavirus capsid protein. J. Fish Dis. 2007, 30, 419–426. [Google Scholar] [CrossRef] [PubMed]
- Jung, Y.; Jung, H.; Lim, D. Bacteriophage membrane protein P9 as a fusion partner for the efficient expression of membrane proteins in Escherichia coli. Protein Expr. Purif. 2015, 116, 12–18. [Google Scholar] [CrossRef] [PubMed]
- Molloy, M.P.; Herbert, B.R.; Slade, M.B.; Rabilloud, T.; Nouwens, A.S.; Williams, K.L.; Gooley, A.A. Proteomic analysis of the Escherichia coli outer membrane. Eur. J. Biochem. 2000, 267, 2871–2881. [Google Scholar] [CrossRef] [PubMed]
- Jeong, K.S.; Xie, Y.; Hiasa, H.; Khodursky, A.B. Analysis of pleiotropic transcriptional profiles: A case study of DNA gyrase inhibition. PLoS Genet. 2006, 2, e152. [Google Scholar] [CrossRef] [PubMed]
- Schmidt, M.; Romer, L.; Strehle, M.; Scheibel, T. Conquering isoleucine auxotrophy of Escherichia coli BLR(DE3) to recombinantly produce spider silk proteins in minimal media. Biotechnol. Lett. 2007, 29, 1741–1744. [Google Scholar] [CrossRef] [PubMed]
- Goffin, P.; Dehottay, P. Complete Genome Sequence of Escherichia coli BLR(DE3), a recA-Deficient Derivative of Escherichia coli BL21(DE3). Genome Announc. 2017, 5. [Google Scholar] [CrossRef]
- Bovo, G.; Nishizawa, T.; Maltese, C.; Borghesan, F.; Mutinelli, F.; Montesi, F.; De Mas, S. Viral encephalopathy and retinopathy of farmed marine fish species in Italy. Virus Res. 1999, 63, 143–146. [Google Scholar] [CrossRef]
- Baudin-Laurencin, F.; Richards, R. Nodavirus Workshop. Bull. Eur. Assoc. Fish Pathol. 1999, 19, 284–285. [Google Scholar]
- Chen, N.C.; Yoshimura, M.; Guan, H.H.; Wang, T.Y.; Misumi, Y.; Lin, C.C.; Chuankhayan, P.; Nakagawa, A.; Chan, S.I.; Tsukihara, T.; et al. Crystal Structures of a Piscine Betanodavirus: Mechanisms of Capsid Assembly and Viral Infection. PLoS Pathog. 2015, 11, e1005203. [Google Scholar] [CrossRef]
- Petrovskaya, L.E.; Shulga, A.A.; Bocharova, O.V.; Ermolyuk, Y.S.; Kryukova, E.A.; Chupin, V.V.; Blommers, M.J.; Arseniev, A.S.; Kirpichnikov, M.P. Expression of G-protein coupled receptors in Escherichia coli for structural studies. Biochemtry 2010, 75, 881–891. [Google Scholar] [CrossRef]
- Blain, K.Y.; Kwiatkowski, W.; Choe, S. The functionally active Mistic-fused histidine kinase receptor, EnvZ. Biochemistry 2010, 49, 9089–9095. [Google Scholar] [CrossRef] [PubMed]
- Nekrasova, O.V.; Wulfson, A.N.; Tikhonov, R.V.; Yakimov, S.A.; Simonova, T.N.; Tagvey, A.I.; Dolgikh, D.A.; Ostrovsky, M.A.; Kirpichnikov, M.P. A new hybrid protein for production of recombinant bacteriorhodopsin in Escherichia coli. J. Biotechnol. 2010, 147, 145–150. [Google Scholar] [CrossRef] [PubMed]
- Roosild, T.P.; Greenwald, J.; Vega, M.; Castronovo, S.; Riek, R.; Choe, S. NMR structure of Mistic, a membrane-integrating protein for membrane protein expression. Science 2005, 307, 1317–1321. [Google Scholar] [CrossRef] [PubMed]
- Dvir, H.; Lundberg, M.E.; Maji, S.K.; Riek, R.; Choe, S. Mistic: Cellular localization, solution behavior, polymerization, and fibril formation. Protein Sci. 2009, 18, 1564–1570. [Google Scholar] [CrossRef] [PubMed]
- Dvir, H.; Choe, S. Bacterial expression of a eukaryotic membrane protein in fusion to various Mistic orthologs. Protein Expr. Purif. 2009, 68, 28–33. [Google Scholar] [CrossRef] [PubMed]
- Park, T.J.; Heo, N.S.; Yim, S.S.; Park, J.H.; Jeong, K.J.; Lee, S.Y. Surface display of recombinant proteins on Escherichia coli by BclA exosporium of Bacillus anthracis. Microb. Cell Fact. 2013, 12, 81. [Google Scholar] [CrossRef]
- Leviatan, S.; Sawada, K.; Moriyama, Y.; Nelson, N. Combinatorial method for overexpression of membrane proteins in Escherichia coli. J. Biol. Chem. 2010, 285, 23548–23556. [Google Scholar] [CrossRef]
- Studier, F.W. Protein production by auto-induction in high density shaking cultures. Protein Expr. Purif. 2005, 41, 207–234. [Google Scholar] [CrossRef]
- Studier, F.W. Stable expression clones and auto-induction for protein production in Escherichia coli. Methods Mol. Biol. 2014, 1091, 17–32. [Google Scholar] [CrossRef]
- Xu, J.; Banerjee, A.; Pan, S.H.; Li, Z.J. Galactose can be an inducer for production of therapeutic proteins by auto-induction using Escherichia coli BL21 strains. Protein Expr. Purif. 2012, 83, 30–36. [Google Scholar] [CrossRef] [PubMed]
- Somrit, M.; Watthammawut, A.; Chotwiwatthanakun, C.; Ounjai, P.; Suntimanawong, W.; Weerachatyanukul, W. C-terminal domain on the outer surface of the Macrobrachium rosenbergii nodavirus capsid is required for Sf9 cell binding and internalization. Virus Res. 2017, 227, 41–48. [Google Scholar] [CrossRef] [PubMed]
- Sivashanmugam, A.; Murray, V.; Cui, C.; Zhang, Y.; Wang, J.; Li, Q. Practical protocols for production of very high yields of recombinant proteins using Escherichia coli. Protein Sci. 2009, 18, 936–948. [Google Scholar] [CrossRef] [PubMed]
- Collin, F.; Karkare, S.; Maxwell, A. Exploiting bacterial DNA gyrase as a drug target: Current state and perspectives. Appl. Microbiol. Biotechnol. 2011, 92, 479–497. [Google Scholar] [CrossRef] [PubMed]
- Kohanski, M.A.; Dwyer, D.J.; Hayete, B.; Lawrence, C.A.; Collins, J.J. A common mechanism of cellular death induced by bactericidal antibiotics. Cell 2007, 130, 797–810. [Google Scholar] [CrossRef]
- Silva, F.; Lourenco, O.; Queiroz, J.A.; Domingues, F.C. Bacteriostatic versus bactericidal activity of ciprofloxacin in Escherichia coli assessed by flow cytometry using a novel far-red dye. J. Antibiot. 2011, 64, 321–325. [Google Scholar] [CrossRef]
- Mustaev, A.; Malik, M.; Zhao, X.; Kurepina, N.; Luan, G.; Oppegard, L.M.; Hiasa, H.; Marks, K.R.; Kerns, R.J.; Berger, J.M.; et al. Fluoroquinolone-gyrase-DNA complexes: Two modes of drug binding. J. Biol. Chem. 2014, 289, 12300–12312. [CrossRef]
- Gillund, F.; Kjolberg, K.A.; von Krauss, M.K.; Myhr, A.I. Do uncertainty analyses reveal uncertainties? Using the introduction of DNA vaccines to aquaculture as a case. Sci. Total Environ. 2008, 407, 185–196. [Google Scholar] [CrossRef]
- Zhou, Y.C.; Wang, J.; Zhang, B.; Su, Y.Q. Ultrasonic immunization of sea bream, Pagrus major (Temminck & Schlegel), with a mixed vaccine against Vibrio alginolyticus and V. anguillarum. J. Fish Dis. 2002, 25, 325–331. [Google Scholar]
- Navot, N.; Sinyakov, M.S.; Avtalion, R.R. Application of ultrasound in vaccination against goldfish ulcer disease: A pilot study. Vaccine 2011, 29, 1382–1389. [Google Scholar] [CrossRef]
- Cobo, C.; Makosch, K.; Jung, R.; Kohlmann, K.; Knop, K. Enhanced bacterin permeability and side effects using low frequency sonophoresis at 37 kHz in rainbow trout. Fish Shellfish Immunol. 2013, 34, 1648. [Google Scholar] [CrossRef]
- Labarca, C.C.; Makhutu, M.; Lumsdon, A.E.; Thompson, K.D.; Jung, R.; Kloas, W.; Knopf, K. The adjuvant effect of low frequency ultrasound when applied with an inactivated Aeromonas salmonicida vaccine to rainbow trout (Oncorhynchus mykiss). Vaccine 2015, 33, 1369–1374. [Google Scholar] [CrossRef] [PubMed]
- Torrealba, D.; Parra, D.; Seras-Franzoso, J.; Vallejos-Vidal, E.; Yero, D.; Gibert, I.; Villaverde, A.; Garcia-Fruitos, E.; Roher, N. Nanostructured recombinant cytokines: A highly stable alternative to short-lived prophylactics. Biomaterials 2016, 107, 102–114. [Google Scholar] [CrossRef] [PubMed]
- Ucko, M.; Colorni, A.; Diamant, A. Nodavirus infections in Israeli mariculture. J. Fish Dis. 2004, 27, 459–469. [Google Scholar] [CrossRef] [PubMed]
- Alves, N.S.; Astrinidis, S.A.; Eisenhardt, N.; Sieverding, C.; Redolfi, J.; Lorenz, M.; Weberruss, M.; Moreno-Andres, D.; Antonin, W. MISTIC-fusion proteins as antigens for high quality membrane protein antibodies. Sci. Rep. 2017, 7, 41519. [Google Scholar] [CrossRef] [PubMed]







| Name | AccNum | KDa | References |
|---|---|---|---|
| frgC91–220 | AY284969 | 16.2 | [55] |
| Mistic + frgC91–220 | AY874162 | 28.9 | [35,56] |
| Nmistic + frgC91–220 | AY874162 | 20.0 | [35,56] |
| NTD + frgC91–220 | AJ516945 | 18.4 | [38] |
| P9 + frgC91–220 | M12921 | 25.6 | [24] |
| YAIN + frgC91–220 | NP_414891 | 26.3 | [39] |
| YBEL + frgC91–220 | NP_415176 | 34.8 | [39] |
| Component | Concentration, % | TB | SB |
|---|---|---|---|
| Yeast extract | 2.4 | X | X |
| Glycerol | 0.8 | X | X |
| KHPO4 | 0.9 | X | X |
| KH2PO4 | 0.2 | X | X |
| Tryptone | 1.2 | X | -- |
| Soybean hydrolysate | 4.8 | -- | X |
| Glucose | 0.3 | -- | X |
© 2019 by the authors. Licensee MDPI, Basel, Switzerland. This article is an open access article distributed under the terms and conditions of the Creative Commons Attribution (CC BY) license (http://creativecommons.org/licenses/by/4.0/).
Share and Cite
Lama, R.; Pereiro, P.; Novoa, B.; Coll, J. Sea Bass Immunization to Downsize the Betanodavirus Protein Displayed in the Surface of Inactivated Repair-Less Bacteria. Vaccines 2019, 7, 94. https://doi.org/10.3390/vaccines7030094
Lama R, Pereiro P, Novoa B, Coll J. Sea Bass Immunization to Downsize the Betanodavirus Protein Displayed in the Surface of Inactivated Repair-Less Bacteria. Vaccines. 2019; 7(3):94. https://doi.org/10.3390/vaccines7030094
Chicago/Turabian StyleLama, Raquel, Patricia Pereiro, Beatriz Novoa, and Julio Coll. 2019. "Sea Bass Immunization to Downsize the Betanodavirus Protein Displayed in the Surface of Inactivated Repair-Less Bacteria" Vaccines 7, no. 3: 94. https://doi.org/10.3390/vaccines7030094
APA StyleLama, R., Pereiro, P., Novoa, B., & Coll, J. (2019). Sea Bass Immunization to Downsize the Betanodavirus Protein Displayed in the Surface of Inactivated Repair-Less Bacteria. Vaccines, 7(3), 94. https://doi.org/10.3390/vaccines7030094

