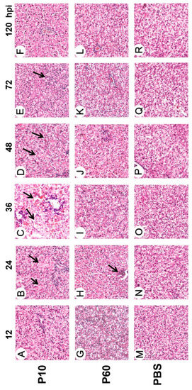
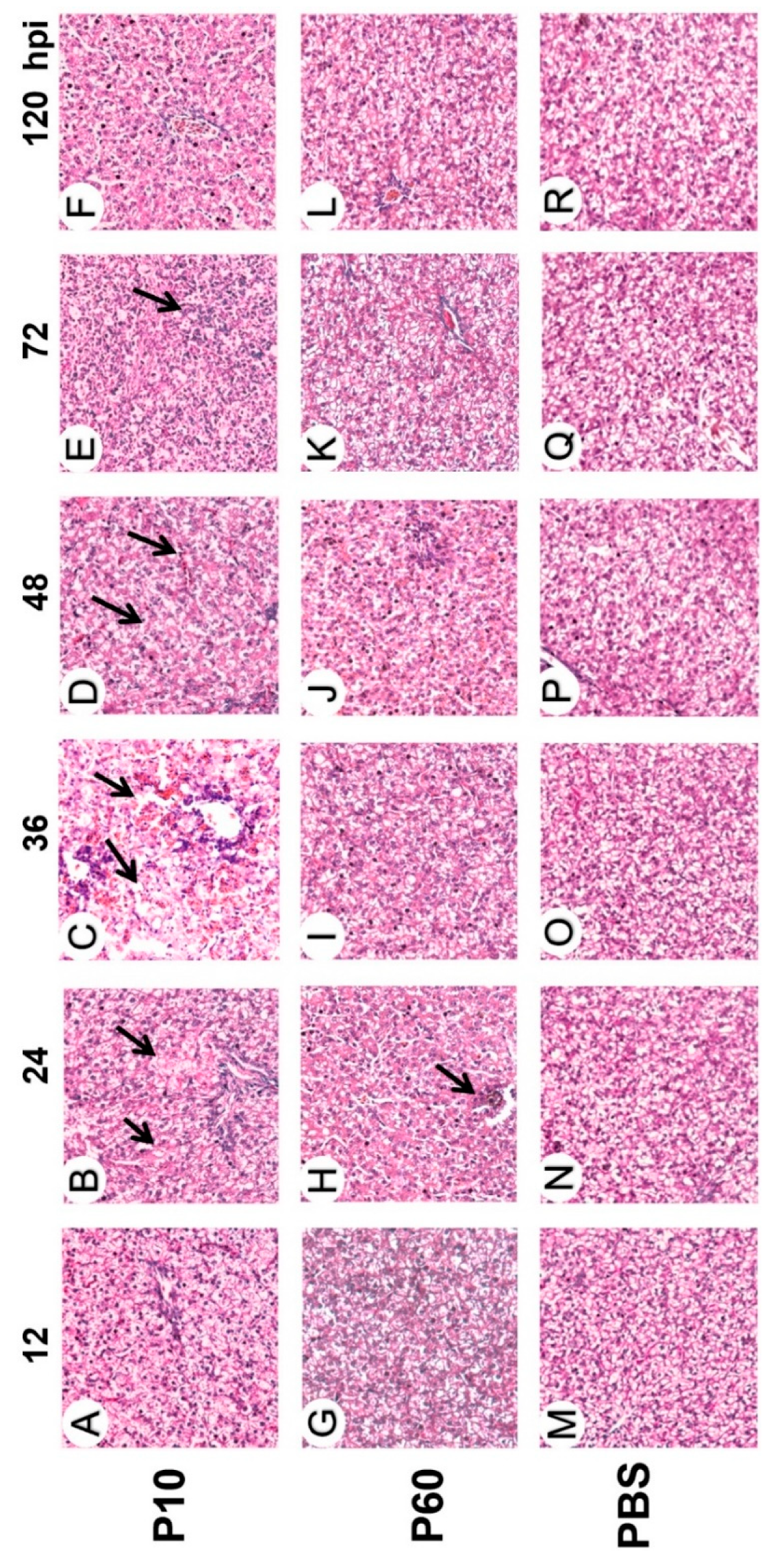
Mutations in VP0 and 2C Proteins of Duck Hepatitis A Virus Type 3 Attenuate Viral Infection and Virulence
Wen, X.; Guo, J.; Sun, D.; Wang, M.; Cao, D.; Cheng, A.; Zhu, D.; Liu, M.; Zhao, X.; Yang, Q.; Chen, S.; Jia, R.; Wu, Y.; Zhang, S.; Mao, S.; Ou, X.; Chen, X.; Yu, Y.; Zhang, L.; Liu, Y.; Tian, B.; Pan, L.; Rehman, M.U. Mutations in VP0 and 2C Proteins of Duck Hepatitis A Virus Type 3 Attenuate Viral Infection and Virulence. Vaccines 2019, 7, 111. https://doi.org/10.3390/vaccines7030111
Wen X, Guo J, Sun D, Wang M, Cao D, Cheng A, Zhu D, Liu M, Zhao X, Yang Q, Chen S, Jia R, Wu Y, Zhang S, Mao S, Ou X, Chen X, Yu Y, Zhang L, Liu Y, Tian B, Pan L, Rehman MU. Mutations in VP0 and 2C Proteins of Duck Hepatitis A Virus Type 3 Attenuate Viral Infection and Virulence. Vaccines. 2019; 7(3):111. https://doi.org/10.3390/vaccines7030111
Chicago/Turabian StyleWen, Xingjian, Jinlong Guo, Di Sun, Mingshu Wang, Dian Cao, Anchun Cheng, Dekang Zhu, Mafeng Liu, Xinxin Zhao, Qiao Yang, Shun Chen, Renyong Jia, Ying Wu, Shaqiu Zhang, Sai Mao, Xumin Ou, Xiaoyue Chen, Yanling Yu, Ling Zhang, Yunya Liu, Bin Tian, Leichang Pan, and Mujeeb U. Rehman. 2019. "Mutations in VP0 and 2C Proteins of Duck Hepatitis A Virus Type 3 Attenuate Viral Infection and Virulence" Vaccines 7, no. 3: 111. https://doi.org/10.3390/vaccines7030111


