Productivity Improvement of Human Papillomavirus-like Particles in Insect Cells Using Hyper-Expression Baculovirus Vector
Abstract
1. Introduction
2. Materials and Methods
2.1. Cell Lines and Culture Media
2.2. Construction of Hyper-Expression Vectors
2.3. Generation of Recombinant Viruses
2.4. Sodium Dodecyl Sulfate Polyacrylamide Gel Electrophoresis (SDS-PAGE) and Western Blot
2.5. Production and Purification of HPV L1 VLPs
2.6. Dynamic Light Scattering (DLS) and Transmission Electron Microscopy (TEM)
2.7. Immunization with Purified HPV L1 VLPs
2.8. Enzyme-Linked Immunosorbent Assay (ELISA)
2.9. Neutralization Assay
2.10. Statistical Analysis
3. Results
3.1. Construction of Transfer Vector (pHyper-HPV-L1) and Generation of HPV-L1 Recombinant Baculoviruses
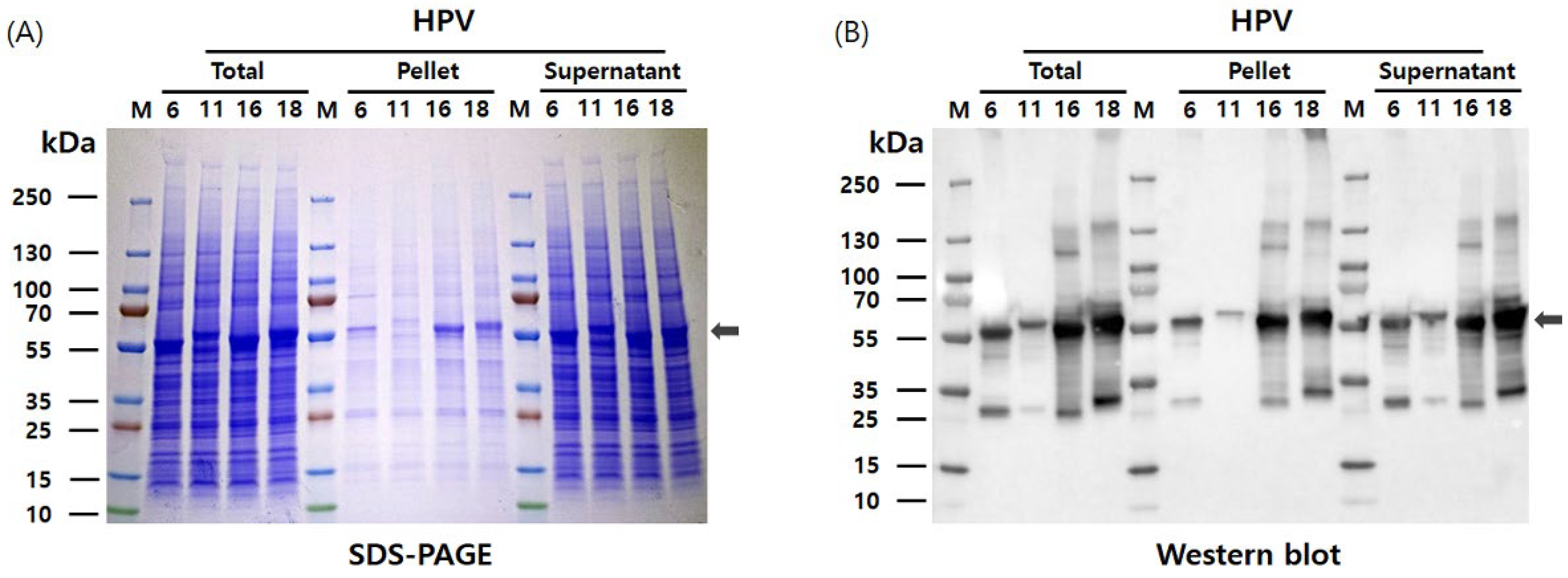
3.2. Expression and Extraction of HPV 6, 11, 16, and 18 L1 Proteins in Hi5 Cells
3.3. Purification and Reassembly of HPV L1 VLPs
3.4. Characterization of Purified HPV 6, 11, 16, and 18 VLPs
3.5. Immunogenicity Analysis in Mice
4. Discussion
5. Conclusions
Supplementary Materials
Author Contributions
Funding
Institutional Review Board Statement
Data Availability Statement
Acknowledgments
Conflicts of Interest
Abbreviations
| VLP | Virus-like particle |
| HPV | Human papillomavirus |
| TEM | Transmission electron microscopy |
| DLS | Dynamic light scattering |
| WHO | World Health Organization |
| EGFP | Enhanced Green Fluorescent Protein |
| MOI | Multiplicity of infection |
| PBS | Phosphate-buffered saline |
| SDS-PAGE | Sodium dodecyl sulfate polyacrylamide gel electrophoresis |
| HRP | Horseradish peroxidase |
| IgG | Immunoglobulin G |
| ELISA | Enzyme-linked immunosorbent assay |
| BME | β-mercaptoethanol |
| PCR PBNA | Polymerase chain reaction pseudovirus-based neutralization assay |
| IACUC | Institutional Animal Care and Use Committee |
References
- Arbyn, M.; Weiderpass, E.; Bruni, L.; de Sanjosé, S.; Saraiya, M.; Ferlay, J.; Bray, F. Estimates of incidence and mortality of cervical cancer in 2018: A worldwide analysis. Lancet Glob. Health 2020, 8, e191–e203. [Google Scholar] [CrossRef]
- Li, Z.; Liu, P.; Yin, A.; Zhang, B.; Xu, J.; Chen, Z.; Zhang, Z.; Zhang, Y.; Wang, S.; Tang, L.; et al. Global landscape of cervical cancer incidence and mortality in 2022 and predictions to 2030: The urgent need to address inequalities in cervical cancer. Int. J. Cancer 2025, 157, 288–297. [Google Scholar] [CrossRef] [PubMed]
- Andersson, S.; Rylander, E.; Larsson, B.; Strand, A.; Silfversvärd, C.; Wilander, E. The role of human papillomavirus in cervical adenocarcinoma carcinogenesis. Eur. J. Cancer 2001, 37, 246–250. [Google Scholar] [CrossRef] [PubMed]
- Walboomers, J.M.; Jacobs, M.V.; Manos, M.M.; Bosch, F.X.; Kummer, J.A.; Shah, K.V.; Snijders, P.J.; Peto, J.; Meijer, C.J.; Muñoz, N. Human papillomavirus is a necessary cause of invasive cervical cancer worldwide. J. Pathol. 1999, 189, 12–19. [Google Scholar] [CrossRef]
- Liu, Y.; Pan, Y.; Gao, W.; Ke, Y.; Lu, Z. Whole-genome analysis of human papillomavirus types 16, 18, and 58 isolated from cervical precancer and cancer samples in Chinese Women. Sci. Rep. 2017, 7, 263. [Google Scholar] [CrossRef]
- Choi, Y.J.; Park, J.S. Clinical significance of human papillomavirus genotyping. J. Gynecol. Oncol. 2016, 27, e21. [Google Scholar] [CrossRef]
- Onon, T.S. History of human papillomavirus, warts and cancer: What do we know today. Best Pract. Res. Clin. Obstet. Gynaecol. 2011, 25, 565–574. [Google Scholar] [CrossRef]
- Carter, J.J.; Koutsky, L.A.; Hughes, J.P.; Lee, S.K.; Kuypers, J.; Kiviat, N.; Galloway, D.A. Comparison of human papillomavirus types 16, 18, and 6 capsid antibody responses following incident infection. J. Infect. Dis. 2000, 181, 1911–1919. [Google Scholar] [CrossRef]
- Aggarwal, S.; Agarwal, P.; Singh, A.K. Human papilloma virus vaccines: A comprehensive narrative review. Cancer Treat. Res. Commun. 2023, 37, 100780. [Google Scholar] [CrossRef]
- Schiller, J.T.; Castellsagué, X.; Villa, L.L.; Hildesheim, A. An update of prophylactic human papillomavirus L1 virus-like particle vaccine clinical trial results. Vaccine 2008, 26 (Suppl. S10), K53–K61. [Google Scholar] [CrossRef]
- Petrosky, E.; Bocchini, J.A.; Hariri, S.; Chesson, H.; Curtis, C.R.; Saraiya, M.; Unger, E.R.; Markowitz, L.E. Use of 9-valent human papillomavirus (HPV) vaccine: Updated HPV vaccination recommendations of the advisory committee on immunization practices. MMWR Morb. Mortal. Wkly. Rep. 2015, 64, 300–304. [Google Scholar] [PubMed]
- Le Cann, P.; Coursaget, P.; Iochmann, S.; Touze, A. Self-assembly of human papillomavirus type 16 capsids by expression of the L1 protein in insect cells. FEMS Microbiol. Lett. 1994, 117, 269–274. [Google Scholar] [CrossRef] [PubMed]
- Hofmann, K.J.; Cook, J.C.; Joyce, J.G.; Brown, D.R.; Schultz, L.D.; George, H.A.; Rosolowsky, M.; Fife, K.H.; Jansen, K.U. Sequence determination of human papillomavirus type 6a and assembly of virus-like particles in Saccharomyces cerevisiae. Virology 1995, 209, 506–518. [Google Scholar] [CrossRef] [PubMed]
- Kirnbauer, R.; Booy, F.; Cheng, N.; Lowy, D.R.; Schiller, J.T. Papillomavirus L1 major capsid protein self-assembles into virus-like particles that are highly immunogenic. Proc. Natl. Acad. Sci. USA 1992, 89, 12180–12184. [Google Scholar] [CrossRef]
- Kirnbauer, R.; Taub, J.; Greenstone, H.; Roden, R.; Dürst, M.; Gissmann, L.; Lowy, D.R.; Schiller, J.T. Efficient self-assembly of human papillomavirus type 16 L1 and L1-L2 into virus-like particles. J. Virol. 1993, 67, 6929–6936. [Google Scholar] [CrossRef]
- Naskalska, A.; Pyrć, K. Virus like particles as immunogens and universal nanocarriers. Pol. J. Microbiol. 2015, 64, 3–13. [Google Scholar] [CrossRef]
- Donaldson, B.; Lateef, Z.; Walker, G.F.; Young, S.L.; Ward, V.K. Virus-like particle vaccines: Immunology and formulation for clinical translation. Expert Rev. Vaccines 2018, 17, 833–849. [Google Scholar] [CrossRef]
- Rynda-Apple, A.; Patterson, D.P.; Douglas, T. Virus-like particles as antigenic nanomaterials for inducing protective immune responses in the lung. Nanomedicine 2014, 9, 1857–1868. [Google Scholar] [CrossRef]
- Zepeda-Cervantes, J.; Ramírez-Jarquín, J.O.; Vaca, L. Interaction between virus-like particles (VLPs) and pattern recognition receptors (PRRs) from dendritic cells (DCs): Toward better engineering of VLPs. Front. Immunol. 2020, 11, 1100. [Google Scholar] [CrossRef]
- Mohsen, M.O.; Bachmann, M.F. Virus-like particle vaccinology, from bench to bedside. Cell. Mol. Immunol. 2022, 19, 993–1011. [Google Scholar] [CrossRef]
- Kost, T.A.; Condreay, J.P.; Jarvis, D.L. Baculovirus as versatile vectors for protein expression in insect and mammalian cells. Nat. Biotechnol. 2005, 23, 567–575. [Google Scholar] [CrossRef]
- Gwak, W.-S.; Kim, H.S.; Bae, J.S.; Kim, T.H.; Bae, S.M.; Woo, S.D. Development of a novel enhanced baculovirus expression vector via promoter combination. J. Asia Pac. Entomol. 2020, 23, 909–914. [Google Scholar] [CrossRef]
- Millán, A.F.; Gómez-Sebastián, S.; Nuñez, M.C.; Veramendi, J.; Escribano, J.M. Human papillomavirus-like particles vaccine efficiently produced in a non-fermentative system based on insect larva. Protein Expr. Purif. 2010, 74, 1–8. [Google Scholar] [CrossRef] [PubMed][Green Version]
- Abdoli, A.; Soleimanjahi, H.; Fotouhi, F.; Teimoori, A.; Pour Beiranvand, S.; Kianmehr, Z. Human Papillomavirus Type16-L1 VLP production in insect cells. Iran. J. Basic Med. Sci. 2013, 16, 891–895. [Google Scholar] [PubMed][Green Version]
- Razavi-Nikoo, H.; Behboudi, E.; Aghcheli, B.; Hashemi, S.M.A.; Moradi, A. Bac to Bac System efficiency for preparing HPV Type 16 virus-like particle vaccine. Arch. Razi Inst. 2023, 78, 997–1003. [Google Scholar] [CrossRef]
- Deschuyteneer, M.; Elouahabi, A.; Plainchamp, D.; Plisnier, M.; Soete, D.; Corazza, Y.; Lockman, L.; Giannini, S.; Deschamps, M. Molecular and structural characterization of the L1 virus-like particles that are used as vaccine antigens in Cervarix™, the AS04-adjuvanted HPV-16 and -18 cervical cancer vaccine. Hum. Vaccines 2010, 6, 407–419. [Google Scholar] [CrossRef]
- Lee, J.H.; Gwak, W.S.; Bae, S.M.; Choi, J.B.; Han, B.K.; Woo, S.D. Increased productivity of the baculovirus expression vector system by combining enhancing factors. J. Asia Pac. Entomol. 2018, 21, 1079–1084. [Google Scholar] [CrossRef]
- Kwak, K.; Jiang, R.; Wang, J.W.; Jagu, S.; Kirnbauer, R.; Roden, R.B. Impact of inhibitors and L2 antibodies upon the infectivity of diverse alpha and beta human papillomavirus types. PLoS ONE 2014, 9, e97232. [Google Scholar] [CrossRef]
- O’Reilly, D.R.; Miller, L.K.; Luckow, V.A. Baculovirus Expression Vectors: A Laboratory Manual; Oxford University Press: New York, NY, USA, 1994. [Google Scholar]
- Baek, J.O.; Seo, J.W.; Kim, I.H.; Kim, C.H. Production and purification of human papillomavirus type 33 L1 virus-like particles from Spodoptera frugiperda 9 cells using two-step column chromatography. Protein Expr. Purif. 2011, 75, 211–217. [Google Scholar] [CrossRef]
- Senger, T.; Schädlich, L.; Gissmann, L.; Müller, M. Enhanced papillomavirus-like particle production in insect cells. Virology 2009, 388, 344–353. [Google Scholar] [CrossRef]
- Ma, M.; Xia, B.; Wang, Z.; Hao, Y.; Zhang, T.; Xu, X. A novel C-terminal modification method enhanced the yield of human papillomavirus L1 or chimeric L1-L2 virus-like particles in the baculovirus system. Front. Bioeng. Biotechnol. 2022, 10, 1073892. [Google Scholar] [CrossRef]
- Wu, Z.; Li, X.; Zhang, B. Assessment of the ability of HPV vaccines to induce neutralizing antibodies based on pseudovirus-based neutralization assay. Public Health Front. 2025, 13, 1636491. [Google Scholar] [CrossRef]
- Padmanabhan, S.; Amin, T.; Sampat, B.; Cook-Deegan, R.; Chandrasekharan, S. Intellectual property, technology transfer and manufacture of low-cost HPV vaccines in India. Nat. Biotechnol. 2010, 28, 671–678. [Google Scholar] [CrossRef]
- You, T.; Zhao, X.; Pan, C.; Gao, M.; Hu, S.; Liu, Y.; Zhang, Y.; Qiao, Y.; Zhao, F.; Jit, M. Informing HPV vaccine pricing for government-funded vaccination in mainland China: A modelling study. Lancet Reg. Health West Pac. 2024, 52, 101209. [Google Scholar] [CrossRef]
- WHO HPV Vaccine Global Market Study, April 2022. Available online: https://www.who.int/publications/m/item/who-hpv-vaccine-global-market-study-april-2022 (accessed on 13 August 2025).
- Songane, M.; Grossmann, V. The patent buyout price for human papilloma virus (HPV) vaccine and the ratio of R&D costs to the patent value. PLoS ONE 2021, 16, e0244722. [Google Scholar] [CrossRef]
- Malvolti, S.; Soble, A.; Bloem, P.; LaMontagne, D.S.; Aggarwal, R.; Pitisuttithum, P.; Rees, H.; Cernuschi, T. The global demand and supply balance of the Human Papillomavirus vaccine: Implications for the global strategy for the elimination of cervical cancer. Vaccines 2023, 12, 4. [Google Scholar] [CrossRef]
- Cheng, L.; Wang, Y.; Du, J. Human Papillomavirus vaccines: An updated review. Vaccines 2020, 8, 391. [Google Scholar] [CrossRef] [PubMed]
- Markowitz, L.E.; Schiller, J.T. Human Papillomavirus Vaccines. J. Infect. Dis. 2021, 224, S367–S378. [Google Scholar] [CrossRef] [PubMed]
- Clendinen, C.; Zhang, Y.; Warburton, R.N.; Light, D.W. Manufacturing costs of HPV vaccines for developing countries. Vaccine 2016, 34, 5984–5989. [Google Scholar] [CrossRef] [PubMed][Green Version]
- Yang, J.D.; Gecik, P.; Collins, A.; Czarnecki, S.; Hsu, H.H.; Lasdun, A.; Sundaram, R.; Muthukumar, G.; Silberklang, M. Rational scale-up of a baculovirus-insect cell batch process based on medium nutritional depth. Biotechnol. Bioeng. 1996, 52, 696–706. [Google Scholar] [CrossRef]






Disclaimer/Publisher’s Note: The statements, opinions and data contained in all publications are solely those of the individual author(s) and contributor(s) and not of MDPI and/or the editor(s). MDPI and/or the editor(s) disclaim responsibility for any injury to people or property resulting from any ideas, methods, instructions or products referred to in the content. |
© 2025 by the authors. Licensee MDPI, Basel, Switzerland. This article is an open access article distributed under the terms and conditions of the Creative Commons Attribution (CC BY) license (https://creativecommons.org/licenses/by/4.0/).
Share and Cite
Choi, J.-B.; Lee, J.-H.; Kim, E.-H.; Kim, J.-D.; Kim, S.-Y.; Oh, J.-M.; Woo, S.-D.; Kim, H.; Han, B.-K. Productivity Improvement of Human Papillomavirus-like Particles in Insect Cells Using Hyper-Expression Baculovirus Vector. Vaccines 2025, 13, 1006. https://doi.org/10.3390/vaccines13101006
Choi J-B, Lee J-H, Kim E-H, Kim J-D, Kim S-Y, Oh J-M, Woo S-D, Kim H, Han B-K. Productivity Improvement of Human Papillomavirus-like Particles in Insect Cells Using Hyper-Expression Baculovirus Vector. Vaccines. 2025; 13(10):1006. https://doi.org/10.3390/vaccines13101006
Chicago/Turabian StyleChoi, Jae-Bang, Ji-Hoon Lee, Eun-Ha Kim, Jae-Deog Kim, Seong-Yeong Kim, Jong-Min Oh, Soo-Dong Woo, Hyunil Kim, and Beom-Ku Han. 2025. "Productivity Improvement of Human Papillomavirus-like Particles in Insect Cells Using Hyper-Expression Baculovirus Vector" Vaccines 13, no. 10: 1006. https://doi.org/10.3390/vaccines13101006
APA StyleChoi, J.-B., Lee, J.-H., Kim, E.-H., Kim, J.-D., Kim, S.-Y., Oh, J.-M., Woo, S.-D., Kim, H., & Han, B.-K. (2025). Productivity Improvement of Human Papillomavirus-like Particles in Insect Cells Using Hyper-Expression Baculovirus Vector. Vaccines, 13(10), 1006. https://doi.org/10.3390/vaccines13101006

