In Vivo Characterization of the Anti-Glutathione S-Transferase Antibody Using an In Vitro Mite Feeding Model
Abstract
1. Introduction
2. Materials and Methods
2.1. Ethic Statement
2.2. Mite Samples and RNA Extraction
2.3. Amplification of GST
2.4. Genetic Characterization of GSTs from Avian Mites
2.5. Generation of rGSTs
2.6. Enzyme Activity Assay
2.7. Production of Anti-rGST Antibody
2.8. Enzyme-Linked Immunosorbent Assay (ELISA)
2.9. Western Blotting
2.10. Assessment of Acaricidal Potential by Using Immune Plasma
2.11. Statistical Analysis
3. Results
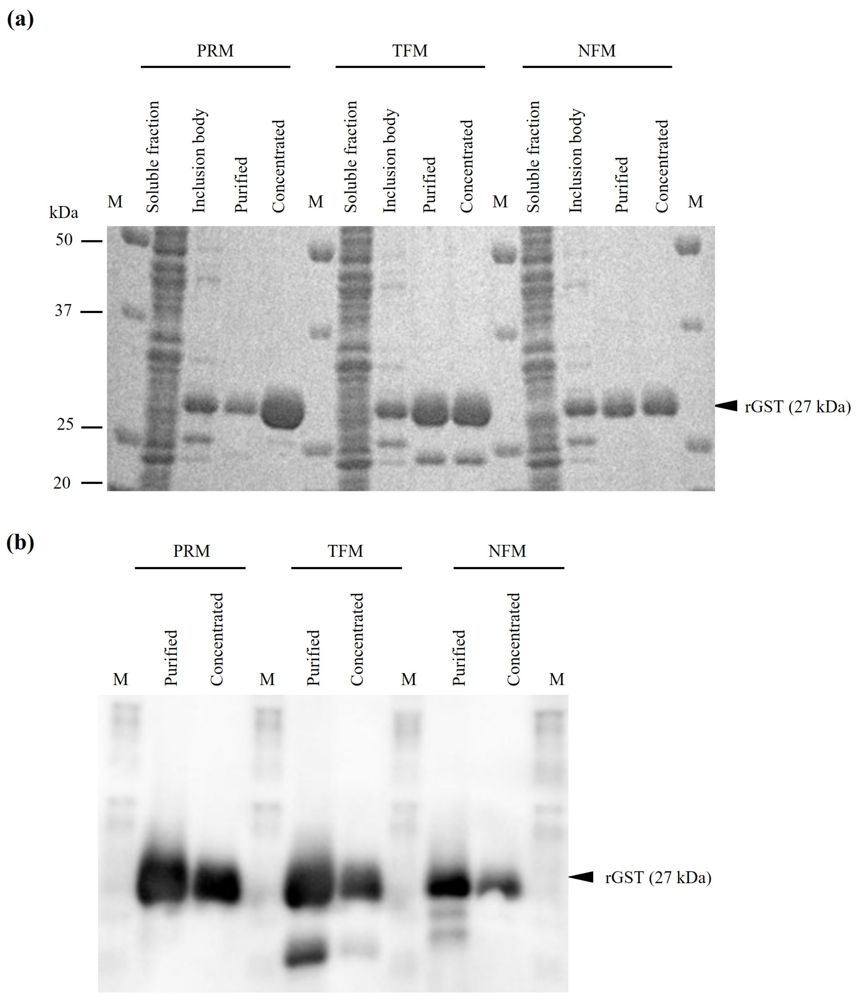
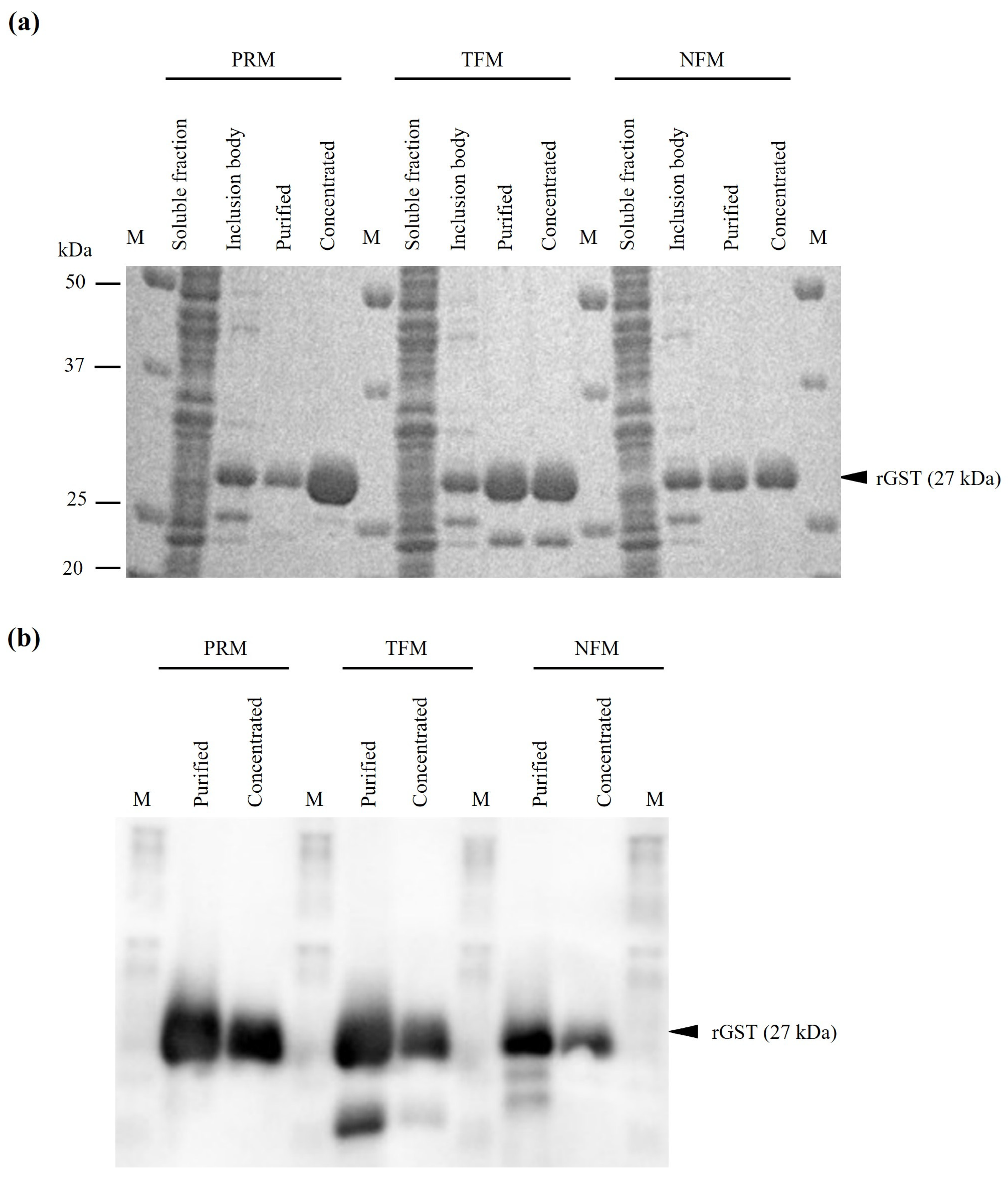
3.1. Characterization of GSTs from Avian Mites
3.2. Enzyme Activity of rGSTs from PRMs, TFMs, and NFMs
3.3. Production of Antibodies against rGSTs and Their Cross-Reactivities with rGSTs of Different Mites
3.4. In Vitro Acaricidal Effect of Immune Plasma
4. Discussion
5. Conclusions
Supplementary Materials
Author Contributions
Funding
Institutional Review Board Statement
Data Availability Statement
Acknowledgments
Conflicts of Interest
References
- Knee, W.; Proctor, H. Host records for Ornithonyssus sylviarum (Mesostigmata: Macronyssidae) from birds of North America (Canada, United States, and Mexico). J. Med. Entomol. 2007, 44, 709–713. [Google Scholar] [CrossRef] [PubMed]
- Roy, L.; Chauve, C.M. Historical review of the genus Dermanyssus Dugès, 1834 (acari: Mesostigmata: Dermanyssidae). Parasite 2007, 14, 87–100. [Google Scholar] [CrossRef] [PubMed]
- Lareschi, M.; Cicuttin, G.L.; De Salvo, M.N.; Ibanez, L.; Montalti, D. The tropical fowl mite Ornithonyssus bursa (Acari: Mesostigmata: Macronyssidae) parasitizing the European starling Sturnus vulgaris (Aves: Passeriformes: Sturnidae), an invasive bird in central Argentina. An approach to the bacterial fauna of this mite. Rev. Mex. Biodivers. 2017, 88, 454–458. [Google Scholar] [CrossRef]
- Sparagano, O.A.; Ho, J. Parasitic mite fauna in Asian poultry farming systems. Front. Vet. Sci. 2020, 7, 400. [Google Scholar] [CrossRef]
- Murillo, A.C.; Mullens, B.A. A review of the biology, ecology, and control of the northern fowl mite, Ornithonyssus sylviarum (Acari: Macronyssidae). Vet. Parasitol. 2017, 246, 30–37. [Google Scholar] [CrossRef] [PubMed]
- Van Emous, R. Wage war against the red mite. Poult. Int. 2005, 44, 26–33. [Google Scholar]
- DeLoach, J.R.; DeVaney, J.A. Northern fowl mite, Orinthonyssus sylviarum (Acari: Macronysside) ingests large quantities of blood from white leghorn hens. J. Med. Entomol. 1981, 18, 374–377. [Google Scholar] [CrossRef]
- Valiente Moro, C.; De Luna, C.J.; Tod, A.; Guy, J.H.; Sparagano, O.A.; Zenner, L. The poultry red mite (Dermanyssus gallinae): A potential vector of pathogenic agents. In Control of Poultry Mites (Dermanyssus); Springer: Berlin/Heidelberg, Germany, 2009; pp. 93–104. [Google Scholar] [CrossRef]
- Chirico, J.; Eriksson, H.; Fossum, O.; Jansson, D. The poultry red mite, Dermanyssus gallinae, a potential vector of Erysipelothrix rhusiopathiae causing erysipelas in hens. Med. Vet. Entomol. 2003, 17, 232–234. [Google Scholar] [CrossRef]
- Oh, S.I.; Do, Y.J.; Kim, E.; Yi, S.W.; Yoo, J.G. Prevalence of poultry red mite (Dermanyssus gallinae) in Korean layer farms and the presence of avian pathogens in the mite. Exp. Appl. Acarol. 2020, 81, 223–238. [Google Scholar] [CrossRef]
- Circella, E.; Pugliese, N.; Todisco, G.; Cafiero, M.A.; Sparagano, O.A.; Camarda, A. Chlamydia psittaci infection in canaries heavily infested by Dermanyssus gallinae. Exp. Appl. Acarol. 2011, 55, 329–338. [Google Scholar] [CrossRef]
- George, D.R.; Finn, R.D.; Graham, K.M.; Mul, M.F.; Maurer, V.; Moro, C.V.; Sparagano, O.A. Should the poultry red mite Dermanyssus gallinae be of wider concern for veterinary and medical science? Parasites Vectors 2015, 8, 178. [Google Scholar] [CrossRef] [PubMed]
- Sommer, D.; Heffels-Redmann, U.; Köhler, K.; Lierz, M.; Kaleta, E.F. Role of the poultry red mite (Dermanyssus gallinae) in the transmission of avian influenza A virus. Tierärztl. Praxis. Ausg. G Großtiere/Nutztiere 2016, 44, 26–33. [Google Scholar] [CrossRef] [PubMed]
- Sioutas, G.; Minoudi, S.; Tiligada, K.; Chliva, C.; Triantafyllidis, A.; Papadopoulos, E. Case of Human Infestation with Dermanyssus gallinae (Poultry Red Mite) from Swallows (Hirundinidae). Pathogens 2021, 10, 299. [Google Scholar] [CrossRef] [PubMed]
- Haag-Wackernagel, D. Parasites from feral pigeons as a health hazard for humans. Ann. Appl. Bio. 2005, 147, 203–210. [Google Scholar] [CrossRef]
- Sigognault, F.A.; Thomas, E.; Sparagano, O. Poultry red mite (Dermanyssus gallinae) infestation: A broad impact parasitological disease that still remains a significant challenge for the egg-laying industry in Europe. Parasites Vectors 2017, 10, 357. [Google Scholar] [CrossRef]
- Mullens, B.A.; Owen, J.P.; Kuney, D.R.; Szijj, C.E.; Klingler, K.A. Temporal changes in distribution, prevalence and intensity of northern fowl mite (Ornithonyssus sylvarium) parasitism in commercial caged laying hens, with a comprehensive economic analysis of parasite impact. Vet. Parasitol. 2009, 160, 116–133. [Google Scholar] [CrossRef] [PubMed]
- Meyer-Kühling, B.; Pfister, K.; Müller-Lindloff, J.; Heine, J. Field efficacy of phoxim 50% (ByeMite) against the poultry red mite Dermanyssus gallinae in battery cages stocked with laying hens. Vet. Parasitol. 2007, 147, 289–296. [Google Scholar] [CrossRef]
- Abbas, R.Z.; Colwell, D.D.; Iqbal, Z.; Khan, A. Acaricidal drug resistance in poultry red mite (Dermanyssus gallinae) and approaches to its management. World’s Poul. Sci. J. 2014, 70, 113–124. [Google Scholar] [CrossRef]
- Marangi, M.; Morelli, V.; Pati, S.; Camarda, A.; Cafiero, M.A.; Giangaspero, A. Acaricide residues in laying hens naturally infested by red mite Dermanyssus gallinae. PLoS ONE 2012, 7, e31795. [Google Scholar] [CrossRef]
- Arkle, S.; Harrington, D.; Kaiser, P.; Rothwell, L.; De Luna, C.; George, D.; Guy, J.; Sparagano, O.A. Immunological control of the poultry red mite: The use of whole mite antigens as a vaccine candidate. Ann. N. Y. Acad. Sci. 2008, 1149, 36–40. [Google Scholar] [CrossRef]
- Wright, H.W.; Bartley, K.; Nisbet, A.J.; McDevitt, R.M.; Sparks, N.H.; Brocklehurst, S.; Huntley, J.F. The testing of antibodies raised against poultry red mite antigens in an in vitro feeding assay; preliminary screen for vaccine candidates. Exp. Appl. Acarol. 2009, 48, 81–91. [Google Scholar] [CrossRef] [PubMed]
- Bartley, K.; Nisbet, A.J.; Offer, J.E.; Sparks, N.H.; Wright, H.W.; Huntley, J.F. Histamine release factor from Dermanyssus gallinae (De Geer): Characterization and in vitro assessment as a protective antigen. Int. J. Parasitol. 2009, 39, 447–456. [Google Scholar] [CrossRef] [PubMed]
- Bartley, K.; Huntley, J.F.; Wright, H.W.; Nath, M.; Nisbet, A.J. Assessment of cathepsin D and L-like proteinases of poultry red mite, Dermanyssus gallinae (De Geer), as potential vaccine antigens. Parasitology 2012, 139, 755–765. [Google Scholar] [CrossRef] [PubMed]
- Wright, H.W.; Bartley, K.; Huntley, J.F.; Nisbet, A.J. Characterisation of tropomyosin and paramyosin as vaccine candidate molecules for the poultry red mite, Dermanyssus gallinae. Parasit. Vectors 2016, 12, 544. [Google Scholar] [CrossRef] [PubMed]
- Bartley, K.; Turnbull, F.; Wright, H.W.; Huntley, J.F.; Palarea-Albaladejo, J.; Nath, M.; Nisbet, A.J. Field evaluation of poultry red mite (Dermanyssus gallinae) native and recombinant prototype vaccines. Vet. Parasitol. 2017, 244, 25–34. [Google Scholar] [CrossRef] [PubMed]
- Price, D.R.; Küster, T.; Øines, Ø.; Oliver, E.M.; Bartley, K.; Nunn, F.; Lima Barbero, J.F.; Pritchard, J.; Karp-Tatham, E.; Hauge, H.; et al. Evaluation of vaccine delivery systems for inducing long-lived antibody responses to Dermanyssus gallinae antigen in laying hens. Avian Pathol. 2019, 48, S60–S74. [Google Scholar] [CrossRef] [PubMed]
- Lima-Barbero, J.F.; Contreras, M.; Bartley, K.; Price, D.R.; Nunn, F.; Sanchez-Sanchez, M.; Prado, E.; Hofle, U.; Villar, M.; Nisbet, A.J.; et al. Reduction in oviposition of poultry red mite (Dermanyssus gallinae) in hens vaccinated with recombinant akirin. Vaccines 2019, 7, 121. [Google Scholar] [CrossRef] [PubMed]
- Lima-Barbero, J.F.; Contreras, M.; Mateos-Hernández, L.; Mata-Lorenzo, F.M.; Triguero-Ocaña, R.; Sparagano, O.; Finn, R.D.; Steube, C.; Price, D.R.G.; Nunn, F.; et al. A vaccinology approach to the identification and characterization of Dermanyssus gallinae candidate protective antigens for the control of poultry red mite infestations. Vaccines 2019, 7, 190. [Google Scholar] [CrossRef]
- Xu, X.; Wang, C.; Huang, Y.; Zhang, S.; Yu, H.; Meng, J.; Pan, B. Evaluation of the vaccine efficacy of three digestive protease antigens from Dermanyssus gallinae using an in vivo rearing system. Vaccine 2020, 38, 7842–7849. [Google Scholar] [CrossRef]
- Xu, X.; Wang, C.; Liu, Q.; Huang, Y.; Sun, W.; Pan, B. Two ferritins from Dermanyssus gallinae: Characterization and in vivo assessment as protective antigens. Pest. Manag. Sci. 2021, 78, 561–571. [Google Scholar] [CrossRef]
- Murata, S.; Taniguchi, A.; Isezaki, M.; Fujisawa, S.; Sakai, E.; Taneno, A.; Ichii, O.; Ito, T.; Maekawa, N.; Okagawa, T.; et al. Characterisation of a cysteine protease from poultry red mites and its potential use as a vaccine for chickens. Parasite 2021, 28, 9. [Google Scholar] [CrossRef]
- Ariizumi, T.; Murata, S.; Fujisawa, S.; Isezaki, M.; Sato, T.; Oishi, E.; Taneno, A.; Ichii, O.; Maekawa, N.; Okagawa, T.; et al. In vitro evaluation of a cysteine protease from poultry red mites, Demanyssus gallinae, as a vaccine antigen for chickens. Poult. Sci. 2021, 101, 101638. [Google Scholar] [CrossRef] [PubMed]
- Fujisawa, S.; Murata, S.; Isezaki, M.; Ariizumi, T.; Sato, T.; Oishi, E.; Taneno, A.; Maekawa, N.; Okagawa, T.; Ichii, O.; et al. Characterization of a novel cysteine protease inhibitor from poultry red mites: Potential vaccine for chickens. Vaccines 2021, 9, 1472. [Google Scholar] [CrossRef]
- Fujisawa, S.; Murata, S.; Takehara, M.; Aoyama, J.; Morita, A.; Isezaki, M.; Win, S.Y.; Ariizumi, T.; Sato, T.; Oishi, E.; et al. In vitro characterization of adipocyte plasma membrane-associated protein from poultry red mites, Dermanyssus gallinae, as a vaccine antigen for chickens. Vaccine 2021, 39, 6057–6066. [Google Scholar] [CrossRef] [PubMed]
- Fujisawa, S.; Murata, S.; Isezaki, M.; Ariizumi, T.; Sato, T.; Oishi, E.; Taneno, A.; Maekawa, N.; Okagawa, T.; Ichii, O.; et al. Characterization of copper transporter 1 from Dermanyssus gallinae as a vaccine antigen. Parasitology 2022, 149, 105–115. [Google Scholar] [CrossRef] [PubMed]
- Win, S.Y.; Murata, S.; Fujisawa, S.; Seo, H.; Sato, J.; Motai, Y.; Sato, T.; Oishi, E.; Taneno, A.; Htun, L.L.; et al. Potential of ferritin 2 as an antigen for the development of a universal vaccine for avian mites, poultry red mites, tropical fowl mites, and northern fowl mites. Front. Vet. Sci. 2023, 10, 1182930. [Google Scholar] [CrossRef] [PubMed]
- Win, S.Y.; Murata, S.; Fujisawa, S.; Seo, H.; Sato, J.; Motai, Y.; Sato, T.; Oishi, E.; Taneno, A.; Htun, L.L.; et al. Characterization of cysteine proteases from poultry red mite, tropical fowl mite, and northern fowl mite to assess the feasibility of developing a broadly efficacious vaccine against multiple mite species. PLoS ONE 2023, 18, e0288565. [Google Scholar] [CrossRef] [PubMed]
- Ndawula, C., Jr.; Tabor, A.E. Cocktail Anti-Tick Vaccines: The Unforeseen Constraints and Approaches toward Enhanced Efficacies. Vaccines 2020, 19, 457. [Google Scholar] [CrossRef] [PubMed]
- Hayes, J.D.; Pulford, D.J. The glutathione S-transferase supergene family: Regulation of GST and the contribution of the isoenzymes to cancer chemoprotection and drug resistance. Crit. Rev. Biochem. Mol. Biol. 1995, 30, 445–600. [Google Scholar] [CrossRef]
- Ketterman, A.J.; Saisawang, C.; Wongsantichon, J. Insect glutathione transferases. Drug. Metab. Rev. 2011, 43, 253–265. [Google Scholar] [CrossRef]
- Sheehan, D.; Meade, G.; Foley, V.; Dowd, C.A. Structure, function and evolution of glutathione transferases: Implications for classification of non-mammalian members of an ancient enzyme superfamily. Biochem. J. 2001, 360, 1–16. [Google Scholar] [CrossRef]
- Sookrung, N.; Reamtong, O.; Poolphol, R.; Indrawattana, N.; Seesuay, W.; Saelim, N.; Tantilipikorn, P.; Bunnag, C.; Chaicumpa, W.; Tungtrongchitr, A. Glutathione S-transferase (GST) of American cockroach, Periplaneta americana: Classes, isoforms, and allergenicity. Sci. Rep. 2018, 8, 484. [Google Scholar] [CrossRef]
- Zakzuk, J.; Lozano, A.; Caraballo, L. Allergological importance of invertebrate glutathione transferases in tropical environments. Front. Allergy 2021, 2, 695262. [Google Scholar] [CrossRef] [PubMed]
- Hsieh, C.H.; Liu, L.F.; Tsai, S.P.; Tam, M.F. Characterization and cloning of avian-hepatic glutathione S-transferases. Biochem. J. 1999, 343, 87–93. [Google Scholar] [CrossRef] [PubMed]
- Da Silva Vaz Jnr, I.; Imamura, S.; Ohashi, K.; Onuma, M. Cloning, expression and partial characterization of a Haemaphysalis longicornis and a Rhipicephalus appendiculatus glutathione S-transferase. Insect. Mol. Biol. 2004, 13, 329–335. [Google Scholar] [CrossRef] [PubMed]
- Hernandez, E.P.; Kusakisako, K.; Talactac, M.R.; Galay, R.L.; Hatta, T.; Fujisaki, K.; Tsuji, N.; Tanaka, T. Glutathione S-transferases play a role in the detoxification of flumethrin and chlorpyrifos in Haemaphysalis longicornis. Parasites Vectors 2018, 11, 460. [Google Scholar] [CrossRef] [PubMed]
- Parizi, L.F.; Reck, J., Jr.; Oldiges, D.P.; Guizzo, M.G.; Seixas, A.; Logullo, C.; de Oliveira, P.L.; Termignoni, C.; Martins, J.R.; da Silva Vaz, I., Jr. Multi-antigenic vaccine against the cattle tick Rhipicephalus (Boophilus) microplus: A field evaluation. Vaccine 2012, 30, 6912–6917. [Google Scholar] [CrossRef] [PubMed]
- Goud, G.N.; Deumic, V.; Gupta, R.; Brelsford, J.; Zhan, B.; Gillespie, P.; Plieskatt, J.L.; Tsao, E.I.; Hotez, P.J.; Bottazzi, M.E. Expression, purification, and molecular analysis of the Necator americanus glutathione S-transferase 1 (Na-GST-1): A production process developed for a lead candidate recombinant hookworm vaccine antigen. Protein Expr. Purif. 2012, 83, 145–151. [Google Scholar] [CrossRef] [PubMed]
- Bourke, C.D.; Nausch, N.; Rujeni, N.; Appleby, L.J.; Trottein, F.; Midzi, N.; Mduluza, T.; Mutapi, F. Cytokine responses to the anti-schistosome vaccine candidate antigen glutathione-S-transferase vary with host age and are boosted by praziquantel treatment. PLoS Negl. Trop. Dis. 2014, 8, e2846. [Google Scholar] [CrossRef]
- Sabadin, G.A.; Parizi, L.F.; Kiio, I.; Xavier, M.A.; da Silva Matos, R.; Camargo-Mathias, M.I.; Githaka, N.W.; Nene, V.; da Silva Vaz, I., Jr. Effect of recombinant glutathione S-transferase as vaccine antigen against Rhipicephalus appendiculatus and Rhipicephalus sanguineus infestation. Vaccine 2017, 35, 6649–6656. [Google Scholar] [CrossRef]
- Ndawula, C., Jr.; Sabadin, G.A.; Parizi, L.F.; da Silva Vaz, I., Jr. Constituting a glutathione S-transferase-cocktail vaccine against tick infestation. Vaccine 2019, 37, 1918–1927. [Google Scholar] [CrossRef]
- Ndawula, C., Jr.; Xavier, M.A.; Villavicencio, B.; Lopes, F.C.; Juliano, M.A.; Parizi, L.F.; Verli, H.; da Silva Vaz, I., Jr.; Ligabue-Braun, R. Prediction, mapping and validation of tick glutathione S-transferase B-cell epitopes. Ticks Tick Borne Dis. 2020, 11, 101445. [Google Scholar] [CrossRef]
- Bartley, K.; Wright, H.W.; Bull, R.S.; Huntley, J.F.; Nisbet, A.J. Characterisation of Dermanyssus gallinae glutathione S-transferases and their potential as acaricide detoxification proteins. Parasites Vectors 2015, 8, 350. [Google Scholar] [CrossRef] [PubMed]
- Takehara, H.; Murata, S.; Katakura, K.; Fujisawa, S.; Hmoon, M.M.; Win, S.Y.; Bawm, S.; Htun, L.L.; Aung, Y.H.; Win, M.M.; et al. Haematophagous mites on poultry farms in the Republic of the Union of Myanmar. Heliyon 2019, 5, e01544. [Google Scholar] [CrossRef] [PubMed]
- Kumar, S.; Stecher, G.; Li, M.; Knyaz, C.; Tamura, K. MEGA X: Molecular evolutionary genetics analysis across computing platforms. Mol. Biol. Evol. 2018, 35, 1547–1549. [Google Scholar] [CrossRef] [PubMed]
- Ariizumi, T.; Murata, S.; Fujisawa, S.; Isezaki, M.; Maekawa, N.; Okagawa, T.; Sato, T.; Oishi, E.; Taneno, A.; Konnai, S.; et al. Selection of reference genes for quantitative PCR analysis in poultry red mite (Dermanyssus gallinae). J. Vet. Med. Sci. 2021, 83, 558–565. [Google Scholar] [CrossRef]
- Kanda, Y. Investigation of the freely available easy-to-use software ‘EZR’ for medical statistics. Bone Marrow Transplant. 2013, 48, 452–458. [Google Scholar] [CrossRef] [PubMed]
- Mashiyama, S.T.; Malabanan, M.M.; Akiva, E.; Bhosle, R.; Branch, M.C.; Hillerich, B.; Jagessar, K.; Kim, J.; Patskovsky, Y.; Seidel, R.D.; et al. Large-scale determination of sequence, structure, and function relationships in cytosolic glutathione transferases across the biosphere. PLoS Biol. 2014, 12, e1001843. [Google Scholar] [CrossRef] [PubMed]
- Le Gall, V.L.; Klafke, G.M.; Torres, T.T. Detoxification mechanisms involved in ivermectin resistance in the cattle tick, Rhipicephalus (Boophilus) microplus. Sci. Rep. 2018, 8, 12401. [Google Scholar] [CrossRef] [PubMed]
- Sinning, I.; Kleywegt, G.J.; Cowan, S.W.; Reinemer, P.; Dirr, H.; Huber, R.; Gilliland, G.L.; Armstrong, R.N.; Ji, X.; Board, P.G.; et al. Structure determination and refinement of human alpha class glutathione transferase A1-1, and a comparison with the Mu and Pi class enzymes. J. Mol. Biol. 1993, 232, 192–212. [Google Scholar] [CrossRef]
- Deponte, M. Glutathione catalysis and the reaction mechanisms of glutathione-dependent enzymes. Biochim. Biophys. Acta Gen. Subj. 2013, 1830, 3217–3266. [Google Scholar] [CrossRef] [PubMed]
- Rangubpit, W.; Suwan, E.; Sangthong, D.; Wongpanit, K.; Stich, R.W.; Pongprayoon, P.; Jittapalapong, S. Observing How Glutathione and S-Hexyl Glutathione Bind to Glutathione S-Transferase from Rhipicephalus (Boophilus) microplus. Int. J. Mol. Sci. 2022, 23, 12775. [Google Scholar] [CrossRef] [PubMed]
- Liao, E.C.; Lin, Y.H.; Chiu, C.L.; Lin, T.C.; Tsai, J.J. Identification of allergenic component Tyr p 8 from Tyrophagus putrescentiae and cross-reactivity with Der p 8. Clin. Vaccine Immunol. 2013, 20, 506–512. [Google Scholar] [CrossRef] [PubMed]
- Zhan, B.; Perally, S.; Brophy, P.M.; Xue, J.; Goud, G.; Liu, S.; Deumic, V.; de Oliveira, L.M.; Bethony, J.; Bottazzi, M.E.; et al. Molecular cloning, biochemical characterization, and partial protective immunity of the heme-binding glutathione S-transferases from the human hookworm Necator americanus. Infect. Immun. 2010, 78, 1552–1563. [Google Scholar] [CrossRef] [PubMed]
- Xiao, S.; Zhan, B.; Xue, J.; Goud, G.N.; Loukas, A.; Liu, Y.; Williamson, A.; Liu, S.; Deumic, V.; Hotez, P. The evaluation of recombinant hookworm antigens as vaccines in hamsters (Mesocricetus auratus) challenged with human hookworm, Necator americanus. Exp. Parasitol. 2008, 118, 32–40. [Google Scholar] [CrossRef] [PubMed]
- Tang, C.; Yang, J.; Cheng, L.Y.; Cheng, L.F.; Liu, Z.M. Anti-CD25 monoclonal antibody enhances the protective efficacy of Schistosoma japonicum GST vaccine via inhibition of CD4+CD25+Foxp3+ regulatory T cells. Parasitol. Res. 2017, 116, 2727–2732. [Google Scholar] [CrossRef]
- Parizi, L.F.; Utiumi, K.U.; Imamura, S.; Onuma, M.; Ohashi, K.; Masuda, A.; da Silva Vaz, I., Jr. Cross immunity with Haemaphysalis longicornis glutathione S-transferase reduces an experimental Rhipicephalus (Boophilus) microplus infestation. Exp. Parasitol. 2011, 127, 113–118. [Google Scholar] [CrossRef]
- Andure, D.; Pote, K.; Khatri, V.; Amdare, N.; Padalkar, R.; Reddy, M.V. Immunization with Wuchereria bancrofti Glutathione-S-transferase Elicits a Mixed Th1/Th2 Type of Protective Immune Response against Filarial Infection in Mastomys. Indian J. Clin. Biochem. IJCB 2016, 31, 423–430. [Google Scholar] [CrossRef]
- Mounsey, K.E.; Pasay, C.J.; Arlian, L.G.; Morgan, M.S.; Holt, D.C.; Currie, B.J.; Walton, S.F.; McCarthy, J.S. Increased transcription of Glutathione S-transferases in acaricide exposed scabies mites. Parasites Vectors 2010, 3, 43. [Google Scholar] [CrossRef]
- Van de Wetering, C.; Elko, E.; Berg, M.; Schiffers, C.H.J.; Stylianidis, V.; van den Berge, M.; Nawijn, M.C.; Wouters, E.F.M.; Janssen-Heininger, Y.M.W.; Reynaert, N.L. Glutathione S-transferases and their implications in the lung diseases asthma and chronic obstructive pulmonary disease: Early life susceptibility? Redox Biol. 2021, 43, 101995. [Google Scholar] [CrossRef]
- Diemert, D.J.; Freire, J.; Valente, V.; Fraga, C.G.; Talles, F.; Grahek, S.; Campbell, D.; Jariwala, A.; Periago, M.V.; Enk, M.; et al. Safety and immunogenicity of the Na-GST-1 hookworm vaccine in Brazilian and American adults. PLoS Negl. Trop. Dis. 2017, 11, e0005574. [Google Scholar] [CrossRef]
- Trentelman, J.J.A.; Kleuskens, J.A.G.M.; van de Crommert, J.; Schetters, T.P. A new method for in vitro feeding of Rhipicephalus australis (formerly Rhipicephalus microplus) larvae: A valuable tool for tick vaccine development. Parasites Vectors 2017, 10, 153. [Google Scholar] [CrossRef]
- Oliver, J.H. Notes on reproductive behavior in the Dermanyssidae (Acarina: Mesostigmata). J. Med. Entomol. 1996, 3, 29–35. [Google Scholar] [CrossRef]
- Lu, J.; Holmgren, A. The thioredoxin antioxidant system. Free Radic. Biol. Med. 2014, 66, 75–87. [Google Scholar] [CrossRef]






| Amino Acid Sequence (%) | ||||
|---|---|---|---|---|
| PRM | TFM | NFM | ||
| Nucleotide sequence (%) | PRM | - | 80 | 80 |
| TFM | 75 | - | 100 | |
| NFM | 75 | 100 | - | |
| Group | Chicken | Antibody Titer |
|---|---|---|
| Control | C1 | <1000 |
| C2 | <1000 | |
| C3 | <1000 | |
| C4 | <1000 | |
| Immunized-rGST PRM | PG1 | 32,000 |
| PG2 | 64,000 | |
| PG3 | 64,000 | |
| PG4 | 64,000 | |
| Immunized-rGST TFM | TG1 | 64,000 |
| TG2 | 64,000 | |
| TG3 | 64,000 | |
| TG4 | 64,000 | |
| Immunized-rGST NFM | NG1 | 64,000 |
| NG2 | 64,000 | |
| NG3 | 64,000 | |
| NG4 | 64,000 |
Disclaimer/Publisher’s Note: The statements, opinions and data contained in all publications are solely those of the individual author(s) and contributor(s) and not of MDPI and/or the editor(s). MDPI and/or the editor(s) disclaim responsibility for any injury to people or property resulting from any ideas, methods, instructions or products referred to in the content. |
© 2024 by the authors. Licensee MDPI, Basel, Switzerland. This article is an open access article distributed under the terms and conditions of the Creative Commons Attribution (CC BY) license (https://creativecommons.org/licenses/by/4.0/).
Share and Cite
Win, S.Y.; Seo, H.; Horio, F.; Fujisawa, S.; Sato, J.; Motai, Y.; Sato, T.; Oishi, E.; Taneno, A.; Htun, L.L.; et al. In Vivo Characterization of the Anti-Glutathione S-Transferase Antibody Using an In Vitro Mite Feeding Model. Vaccines 2024, 12, 148. https://doi.org/10.3390/vaccines12020148
Win SY, Seo H, Horio F, Fujisawa S, Sato J, Motai Y, Sato T, Oishi E, Taneno A, Htun LL, et al. In Vivo Characterization of the Anti-Glutathione S-Transferase Antibody Using an In Vitro Mite Feeding Model. Vaccines. 2024; 12(2):148. https://doi.org/10.3390/vaccines12020148
Chicago/Turabian StyleWin, Shwe Yee, Hikari Seo, Fumiya Horio, Sotaro Fujisawa, Jumpei Sato, Yoshinosuke Motai, Takumi Sato, Eiji Oishi, Akira Taneno, Lat Lat Htun, and et al. 2024. "In Vivo Characterization of the Anti-Glutathione S-Transferase Antibody Using an In Vitro Mite Feeding Model" Vaccines 12, no. 2: 148. https://doi.org/10.3390/vaccines12020148
APA StyleWin, S. Y., Seo, H., Horio, F., Fujisawa, S., Sato, J., Motai, Y., Sato, T., Oishi, E., Taneno, A., Htun, L. L., Bawm, S., Okagawa, T., Maekawa, N., Konnai, S., Ohashi, K., & Murata, S. (2024). In Vivo Characterization of the Anti-Glutathione S-Transferase Antibody Using an In Vitro Mite Feeding Model. Vaccines, 12(2), 148. https://doi.org/10.3390/vaccines12020148

