CD4+ T Cell Responses to Toxoplasma gondii Are a Double-Edged Sword
Abstract
1. Introduction
2. Materials and Methods
2.1. Peptides and Adjuvants
2.2. Mice
2.3. Immunizations of Mice
2.4. Flow Cytometry
2.5. ELISpot Assays
2.6. T Cell Cytotoxicity Assay
2.7. Bioluminescence Imaging of Mouse Brains to Determine Cyst Burden
2.8. Quantification of Cysts in Mouse Brains after Challenge
2.9. Hematoxylin and Eosin (H&E) and Histochemical Staining Analysis
2.10. Statistical Analyses
3. Results
3.1. Increased Levels of CD4+ AS15 Tetramer-Specific Cells Indicate T Cell Responses Are Specific to AS15
3.2. Boosted Immunization with AS15 and GLA-SE Resulted in Death in Immunized Female HLA-A11 Transgenic Mice, but Not Males
3.3. Peptide That Elicits Specific CD4+ T Cells Protects after Immunization against Challenge with Me49 Parasites at Early but Not at Late Stages
3.4. The Addition of CD8+ T Cell-Eliciting Peptides plus GLA-SE to PADRE Increases Memory CD8+ T Cell Response
3.5. AS15 plus GLA-SE Protects Mice against Virulent Type I Toxoplasma gondii
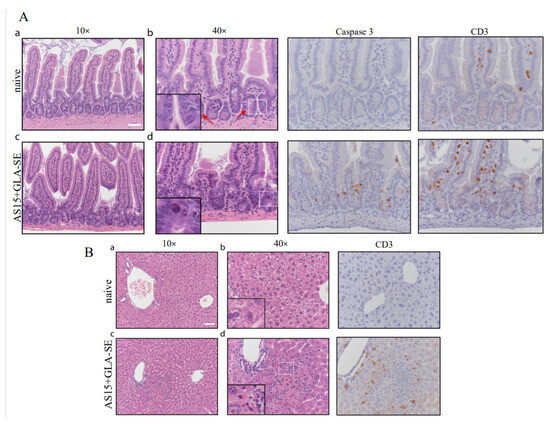
3.6. AS15 with the Adjuvant GLA-SE Increases Cytokines, Correlating with Significant Pathology and Death in HLA-A11 Transgenic Mice
3.7. No Difference between Vaccinations for the Bulk Frequencies of FOXP3+ CD4+ T Cells and CD107a and -b Staining
4. Discussion
5. Conclusions
Supplementary Materials
Author Contributions
Funding
Institutional Review Board Statement
Informed Consent Statement
Data Availability Statement
Acknowledgments
Conflicts of Interest
References
- Elsheikha, H.M. Congenital toxoplasmosis: Priorities for further health promotion action. Public Health 2008, 122, 335–353. [Google Scholar] [CrossRef] [PubMed]
- Wang, Z.D.; Wang, S.C.; Liu, H.H.; Ma, H.Y.; Li, Z.Y.; Wie, F.; Zhu, X.Q.; Liu, Q. Prevalence and burden of Toxoplasma gondii infection in HIV-infected people: A systematic review and meta-analysis. Lancet HIV 2017, 4, e177–e188. [Google Scholar] [CrossRef]
- Luft, B.J.; Hafner, R.; Korzun, A.H.; Leport, C.; Antoniskis, D.; Bosler, E.M.; Bourland, D.D.; Uttamchandani, R.; Fuhrer, J.J.; Morlat, P.; et al. Toxoplasmic encephalitis in patients with the acquired immunodeficiency syndrome. N. Engl. J. Med. 1993, 329, 995–1000. [Google Scholar] [CrossRef]
- Gomez-Marin, J.E.; de-la-Torre, A.; Angel-Muller, E.; Rubio, J.; Arenas, J.; Osorio, E.; Nuñez, L.; Pinzon, L.; Mendez-Cordoba, L.C.; Bustos, A.; et al. First Colombian multicentric newborn screening for congenital toxoplasmosis. PLoS Negl. Trop. Dis. 2011, 5, e1195. [Google Scholar] [CrossRef]
- McAuley, J.; Boyer, K.M.; Patel, D.; Mets, M.; Swisher, C.; Roizen, N.; Wolters, C.; Stein, L.; Stein, M.; Schey, W.; et al. Early and longitudinal evaluations of treated infants and children and untreated historical patients with congenital toxoplasmosis: The Chicago Collaborative Treatment Trial. Clin. Infect. Dis. 1994, 18, 38–72. [Google Scholar] [CrossRef]
- Silva, M.D.; Teixeira, C.; Gomes, P.; Borges, M. Promising Drug Targets and Compounds with Anti-Toxoplasma gondii Activity. Microorganisms 2021, 9, 1960. [Google Scholar] [CrossRef]
- Gazzinelli, R.; Xu, Y.; Hieny, S.; Cheever, A.; Sher, A. Simultaneous depletion of CD4+ and CD8+ T lymphocytes is required to reactivate chronic infection with Toxoplasma gondii. J. Immunol. 1992, 149, 175–180. [Google Scholar] [CrossRef] [PubMed]
- Gazzinelli, R.T.; Hakim, F.T.; Hieny, S.; Shearer, G.M.; Sher, A. Synergistic role of CD4+ and CD8+ T lymphocytes in IFN-gamma production and protective immunity induced by an attenuated Toxoplasma gondii vaccine. J. Immunol. 1991, 146, 286–292. [Google Scholar] [CrossRef] [PubMed]
- Miller, C.M.; Boulter, N.R.; Ikin, R.J.; Smith, N.C. The immunobiology of the innate response to Toxoplasma gondii. Int. J. Parasitol. 2009, 39, 23–39. [Google Scholar] [CrossRef] [PubMed]
- Shirahata, T.; Yamashita, T.; Ohta, C.; Goto, H.; Nakane, A. CD8+ T lymphocytes are the major cell population involved in the early gamma interferon response and resistance to acute primary Toxoplasma gondii infection in mice. Microbiol. Immunol. 1994, 38, 789–796. [Google Scholar] [CrossRef] [PubMed]
- Halonen, S.K.; Weiss, L.M. Toxoplasmosis. Handb. Clin. Neurol. 2013, 114, 125–145. [Google Scholar]
- Sasai, M.; Pradipta, A.; Yamamoto, M. Host immune responses to Toxoplasma gondii. Int. Immunol. 2018, 30, 113–119. [Google Scholar] [CrossRef]
- Cong, H.; Mui, E.J.; Witola, W.H.; Sidney, J.; Alexander, J.; Sette, A.; Maewal, A.; McLeod, R. Human immunome, bioinformatic analyses using HLA supermotifs and the parasite genome, binding assays, studies of human T cell responses, and immunization of HLA-A*1101 transgenic mice including novel adjuvants provide a foundation for HLA-A03 restricted CD8+ T cell epitope based, adjuvanted vaccine protective against Toxoplasma gondii. Immunome Res. 2010, 6, 1–15. [Google Scholar] [CrossRef][Green Version]
- El Bissati, K.; Zhou, Y.; Dasgupta, D.; Cobb, D.; Dubey, J.P.; Burkhard, P.; Lanar, D.E.; McLeod, R. Effectiveness of a novel immunogenic nanoparticle platform for Toxoplasma peptide vaccine in HLA transgenic mice. Vaccine 2014, 32, 3243–3248. [Google Scholar] [CrossRef] [PubMed]
- El Bissati, K.; Zhou, Y.; Paulillo, S.M.; Raman, S.K.; Karch, C.P.; Roberts, C.W.; Lanar, D.E.; Reed, S.; Fox, C.; Carter, D.; et al. Protein nanovaccine confers robust immunity against Toxoplasma. NPJ Vaccines 2017, 2, 24. [Google Scholar] [CrossRef]
- El Bissati, K.; Chentoufi, A.A.; Krishack, P.A.; Zhou, Y.; Woods, S.; Dubey, J.P.; Vang, L.; Lykins, J.; Broderick, K.E.; Mui, E.; et al. Adjuvanted multi-epitope vaccines protect HLA-A*11:01 transgenic mice against Toxoplasma gondii. JCI Insight 2016, 1, e85955. [Google Scholar] [CrossRef]
- Castellino, F.; Germain, R.N. Cooperation between CD4+ and CD8+ T cells: When, where, and how. Annu. Rev. Immunol. 2006, 24, 519–540. [Google Scholar] [CrossRef] [PubMed]
- Ghaffari-Nazari, H.; Tavakkol-Afshari, J.; Jaafari, M.R.; Tahaghoghi-Hajghorbani, S.; Masoumi, E.; Jalali, S.A. Improving Multi-Epitope Long Peptide Vaccine Potency by Using a Strategy that Enhances CD4+ T Help in BALB/c Mice. PLoS ONE 2015, 10, e0142563. [Google Scholar] [CrossRef]
- Grover, H.S.; Blanchard, N.; Gonzalez, F.; Chan, S.; Robey, E.A.; Shastri, N. The Toxoplasma gondii peptide AS15 elicits CD4 T cells that can control parasite burden. Infect. Immun. 2012, 80, 3279–3288. [Google Scholar] [CrossRef] [PubMed]
- Bertholet, S.; Ireton, G.C.; Ordway, D.J.; Windish, H.P.; Pine, S.O.; Kahn, M.; Phan, T.; Orme, I.M.; Vedvick, T.S.; Baldwin, S.L.; et al. A defined tuberculosis vaccine candidate boosts BCG and protects against multidrug-resistant Mycobacterium tuberculosis. Sci. Transl. Med. 2010, 2, 53ra74. [Google Scholar] [CrossRef]
- Gilchuk, P.; Spencer, C.T.; Conant, S.B.; Hill, T.; Gray, J.J.; Niu, X.; Zheng, M.; Erickson, J.J.; Boyd, K.L.; McAfee, K.J.; et al. Discovering naturally processed antigenic determinants that confer protective T cell immunity. J. Clin. Investig. 2013, 123, 1976–1987. [Google Scholar] [CrossRef] [PubMed]
- Hutson, S.L.; Mui, E.; Kinsley, K.; Witola, W.H.; Behnke, M.S.; El Bissati, K.; Muench, S.P.; Rohrman, B.; Liu, S.R.; Wollmann, R.; et al. T. gondii RP promoters & knockdown reveal molecular pathways associated with proliferation and cell-cycle arrest. PLoS ONE 2010, 5, e14057. [Google Scholar] [CrossRef]
- Kur, J.; Holec-Gasior, L.; Hiszczynska-Sawicka, E. Current status of toxoplasmosis vaccine development. Expert Rev. Vaccines 2009, 8, 791–808. [Google Scholar] [CrossRef] [PubMed]
- Zhang, N.Z.; Chen, J.; Wang, M.; Petersen, E.; Zhu, X.Q. Vaccines against Toxoplasma gondii: New developments and perspectives. Expert. Rev. Vaccines 2013, 12, 1287–1299. [Google Scholar] [CrossRef]
- Mevelec, M.N.; Bout, D.; Desolme, B.; Marchand, H.; Magne, R.; Bruneel, O.; Buzoni-Gatel, D. Evaluation of protective effect of DNA vaccination with genes encoding antigens GRA4 and SAG1 associated with GM-CSF plasmid, against acute, chronical and congenital toxoplasmosis in mice. Vaccine 2005, 23, 4489–4499. [Google Scholar] [CrossRef]
- Wu, X.N.; Lin, J.; Lin, X.; Chen, J.; Chen, Z.L.; Lin, J.Y. Multicomponent DNA vaccine-encoding Toxoplasma gondii GRA1 and SAG1 primes: Anti-Toxoplasma immune response in mice. Parasitol. Res. 2012, 111, 2001–2009. [Google Scholar] [CrossRef]
- Foroutan, M.; Ghaffarifar, F.; Sharifi, Z.; Dalimi, A.; Jorjani, O. Rhoptry antigens as Toxoplasma gondii vaccine target. Clin. Exp. Vaccine Res. 2019, 8, 4–26. [Google Scholar] [CrossRef]
- Tao, Q.; Fang, R.; Zhang, W.; Wang, Y.; Cheng, J.; Li, Y.; Fang, K.; Khan, M.K.; Hu, M.; Zhou, Y.; et al. Protective immunity induced by a DNA vaccine-encoding Toxoplasma gondii microneme protein 11 against acute toxoplasmosis in BALB/c mice. Parasitol. Res. 2013, 112, 2871–2877. [Google Scholar] [CrossRef] [PubMed]
- Qu, D.; Han, J.; Du, A. Evaluation of protective effect of multiantigenic DNA vaccine encoding MIC3 and ROP18 antigen segments of Toxoplasma gondii in mice. Parasitol. Res. 2013, 112, 2593–2599. [Google Scholar] [CrossRef]
- Rashid, I.; Hedhli, D.; Moire, N.; Pierre, J.; Debierre-Grockiego, F.; Dimier-Poisson, I.; Mévélec, M.N. Immunological responses induced by a DNA vaccine expressing RON4 and by immunogenic recombinant protein RON4 failed to protect mice against chronic toxoplasmosis. Vaccine 2011, 29, 8838–8846. [Google Scholar] [CrossRef]
- Rahimi, M.T.; Sarvi, S.; Sharif, M.; Abediankenari, S.; Ahmadpour, E.; Valadan, R.; Fasihi-Ramandie, M.; Hosseini, S.A.; Daryani, A. Immunological evaluation of a DNA cocktail vaccine with co-delivery of calcium phosphate nanoparticles (CaPNs) against the Toxoplasma gondii RH strain in BALB/c mice. Parasitol. Res. 2017, 116, 609–616. [Google Scholar] [CrossRef] [PubMed]
- Siachoque, H.; Guzman, F.; Burgos, J.; Patarroyo, M.E.; Gomez Marin, J.E. Toxoplasma gondii: Immunogenicity and protection by P30 peptides in a murine model. Exp. Parasitol. 2006, 114, 62–65. [Google Scholar] [CrossRef]
- Chyb, M.; Dziadek, B.; Dzitko, K.; Ferra, B.T.; Kawka, M.; Holec-Gasior, L.; Gatkowska, J. Evaluation of long-term immunity and protection against T. gondii after immunization with multivalent recombinant chimeric T. gondii proteins. Sci. Rep. 2023, 13, 12976. [Google Scholar] [CrossRef] [PubMed]
- Johnson, L.L. A protective role for endogenous tumor necrosis factor in Toxoplasma gondii infection. Infect. Immun. 1992, 60, 1979–1983. [Google Scholar] [CrossRef]
- Stumhofer, J.S.; Laurence, A.; Wilson, E.H.; Huang, E.; Tato, C.M.; Johnson, L.M.; Villarino, A.V.; Huang, Q.; Yoshimura, A.; Sehy, D. Interleukin 27 negatively regulates the development of interleukin 17-producing T helper cells during chronic inflammation of the central nervous system. Nat. Immunol. 2006, 7, 937–945. [Google Scholar] [CrossRef] [PubMed]
- Suzuki, Y.; Sher, A.; Yap, G.; Park, D.; Neyer, L.E.; Liesenfeld, O.; Fort, M.; Kang, H.; Gufwoli, E. IL-10 is required for prevention of necrosis in the small intestine and mortality in both genetically resistant BALB/c and susceptible C57BL/6 mice following peroral infection with Toxoplasma gondii. J. Immunol. 2000, 164, 5375–5382. [Google Scholar] [CrossRef]
- Pifer, R.; Yarovinsky, F. Innate responses to Toxoplasma gondii in mice and humans. Trends Parasitol. 2011, 27, 388–393. [Google Scholar] [CrossRef]
- Gigley, J.P. The Diverse Role of NK Cells in Immunity to Toxoplasma gondii Infection. PLoS Pathog. 2016, 12, e1005396. [Google Scholar] [CrossRef]
- Suzuki, Y.; Rani, S.; Liesenfeld, O.; Kojima, T.; Lim, S.; Nguyen, T.A.; Dalrymple, S.A.; Murray, R.; Remington, J.S. Impaired resistance to the development of toxoplasmic encephalitis in interleukin-6-deficient mice. Infect. Immun. 1997, 65, 2339–2345. [Google Scholar] [CrossRef]
- Tan, T.G.; Mui, E.; Cong, H.; Witola, W.H.; Montpetit, A.; Muench, S.P.; Sidney, J.; Alexander, J.; Sette, A.; Grigg, M.E.; et al. Identification of T. gondii epitopes, adjuvants, and host genetic factors that influence protection of mice and humans. Vaccine 2010, 28, 3977–3989. [Google Scholar] [CrossRef]
- Pimentel, T.A.; Yan, Z.; Jeffers, S.A.; Holmes, K.V.; Hodges, R.S.; Burkhard, P. Peptide nanoparticles as novel immunogens: Design and analysis of a prototypic severe acute respiratory syndrome vaccine. Chem. Biol. Drug Des. 2009, 73, 53–61. [Google Scholar] [CrossRef]
- Indelicato, G.; Wahome, N.; Ringler, P.; Muller, S.A.; Nieh, M.P.; Burkhard, P.; Twarock, R. Principles Governing the Self-Assembly of Coiled-Coil Protein Nanoparticles. Biophys. J. 2016, 110, 646–660. [Google Scholar] [CrossRef]
- Kaba, S.A.; Brando, C.; Guo, Q.; Mittelholzer, C.; Raman, S.; Tropel, D.; Aebi, U.; Burkhard, P.; Lanar, D.E. A nonadjuvanted polypeptide nanoparticle vaccine confers long-lasting protection against rodent malaria. J. Immunol. 2009, 183, 7268–7277. [Google Scholar] [CrossRef] [PubMed]
- Coler, R.N.; Duthie, M.S.; Hofmeyer, K.A.; Guderian, J.; Jayashankar, L.; Vergara, J.; Rolf, T.; Misquith, A.; Laurance, J.D.; Raman, V.S.; et al. From mouse to man: Safety, immunogenicity and efficacy of a candidate leishmaniasis vaccine LEISH-F3+GLA-SE. Clin. Transl. Immunol. 2015, 4, e35. [Google Scholar] [CrossRef]
- Orr, M.T.; Fox, C.B.; Baldwin, S.L.; Sivananthan, S.J.; Lucas, E.; Lin, S.; Phan, T.; Moon, J.J.; Vedvick, T.S.; Reed, S.G.; et al. Adjuvant formulation structure and composition are critical for the development of an effective vaccine against tuberculosis. J. Control. Release 2013, 172, 190–200. [Google Scholar] [CrossRef]
- Tendler, M.; Almeida, M.; Simpson, A. Development of the Brazilian Anti Schistosomiasis Vaccine Based on the Recombinant Fatty Acid Binding Protein Sm14 Plus GLA-SE Adjuvant. Front. Immunol. 2015, 6, 218. [Google Scholar] [CrossRef]
- Nelson, R.W.; Beisang, D.; Tubo, N.J.; Dileepan, T.; Wiesner, D.L.; Nielsen, K.; Wuthrich, M.; Klein, B.S.; Kotov, D.I.; Spanier, J.A.; et al. T cell receptor cross-reactivity between similar foreign and self peptides influences naive cell population size and autoimmunity. Immunity 2015, 42, 95–107. [Google Scholar] [CrossRef] [PubMed]
- van Haren, S.D.; Ganapathi, L.; Bergelson, I.; Dowling, D.J.; Banks, M.; Samuels, R.C.; Reed, S.G.; Marshall, J.D.; Levy, O. In vitro cytokine induction by TLR-activating vaccine adjuvants in human blood varies by age and adjuvant. Cytokine 2016, 83, 99–109. [Google Scholar] [CrossRef]
- Liesenfeld, O.; Kosek, J.; Remington, J.S.; Suzuki, Y. Association of CD4+ T cell-dependent, interferon-gamma-mediated necrosis of the small intestine with genetic susceptibility of mice to peroral infection with Toxoplasma gondii. J. Exp. Med. 1996, 184, 597–607. [Google Scholar] [CrossRef] [PubMed]
- Birnbaum, M.E.; Mendoza, J.L.; Sethi, D.K.; Dong, S.; Glanville, J.; Dobbins, J.; Ozkan, E.; Davis, M.M.; Wucherpfennig, K.W.; Garcia, K.C. Deconstructing the peptide-MHC specificity of T cell recognition. Cell 2014, 157, 1073–1087. [Google Scholar] [CrossRef] [PubMed]
- Alexander, J.; Sidney, J.; Southwood, S.; Ruppert, J.; Oseroff, C.; Maewal, A.; Snoke, K.; Serra, H.M.; Kubo, R.T.; Sette, A.; et al. Development of high potency universal DR-restricted helper epitopes by modification of high affinity DR-blocking peptides. Immunity 1994, 1, 751–761. [Google Scholar] [CrossRef] [PubMed]
- Xu, Z.; Chokkalingam, N.; Tello-Ruiz, E.; Walker, S.; Kulp, D.W.; Weiner, D.B. Incorporation of a Novel CD4+ Helper Epitope Identified from Aquifex aeolicus Enhances Humoral Responses Induced by DNA and Protein Vaccinations. iScience 2020, 23, 101399. [Google Scholar] [CrossRef] [PubMed]
- McMurtrey, C.; Trolle, T.; Sansom, T.; Remesh, S.G.; Kaever, T.; Bardet, W.; Jackson, K.; McLeod, R.; Sette, A.; Nielsen, M.; et al. Toxoplasma gondii peptide ligands open the gate of the HLA class I binding groove. eLife 2016, 5, e12556. [Google Scholar] [CrossRef] [PubMed]









Disclaimer/Publisher’s Note: The statements, opinions and data contained in all publications are solely those of the individual author(s) and contributor(s) and not of MDPI and/or the editor(s). MDPI and/or the editor(s) disclaim responsibility for any injury to people or property resulting from any ideas, methods, instructions or products referred to in the content. |
© 2023 by the authors. Licensee MDPI, Basel, Switzerland. This article is an open access article distributed under the terms and conditions of the Creative Commons Attribution (CC BY) license (https://creativecommons.org/licenses/by/4.0/).
Share and Cite
El Bissati, K.; Krishack, P.A.; Zhou, Y.; Weber, C.R.; Lykins, J.; Jankovic, D.; Edelblum, K.L.; Fraczek, L.; Grover, H.; Chentoufi, A.A.; et al. CD4+ T Cell Responses to Toxoplasma gondii Are a Double-Edged Sword. Vaccines 2023, 11, 1485. https://doi.org/10.3390/vaccines11091485
El Bissati K, Krishack PA, Zhou Y, Weber CR, Lykins J, Jankovic D, Edelblum KL, Fraczek L, Grover H, Chentoufi AA, et al. CD4+ T Cell Responses to Toxoplasma gondii Are a Double-Edged Sword. Vaccines. 2023; 11(9):1485. https://doi.org/10.3390/vaccines11091485
Chicago/Turabian StyleEl Bissati, Kamal, Paulette A. Krishack, Ying Zhou, Christopher R. Weber, Joseph Lykins, Dragana Jankovic, Karen L. Edelblum, Laura Fraczek, Harshita Grover, Aziz A. Chentoufi, and et al. 2023. "CD4+ T Cell Responses to Toxoplasma gondii Are a Double-Edged Sword" Vaccines 11, no. 9: 1485. https://doi.org/10.3390/vaccines11091485
APA StyleEl Bissati, K., Krishack, P. A., Zhou, Y., Weber, C. R., Lykins, J., Jankovic, D., Edelblum, K. L., Fraczek, L., Grover, H., Chentoufi, A. A., Singh, G., Reardon, C., Dubey, J. P., Reed, S., Alexander, J., Sidney, J., Sette, A., Shastri, N., & McLeod, R. (2023). CD4+ T Cell Responses to Toxoplasma gondii Are a Double-Edged Sword. Vaccines, 11(9), 1485. https://doi.org/10.3390/vaccines11091485

