Testing Efficacy of a Conserved Polypeptide from the Bm86 Protein against Rhipicephalus microplus in the Mexican Tropics
Abstract
1. Introduction
2. Materials and Methods
2.1. Ticks
2.2. Cloning, Expression, and Purification of Recombinant Polypeptide Bm86
2.3. Location and Cattle
2.4. Immunization Experiment
2.5. Cattle Blood Collection
2.6. ELISA Antibody Serology
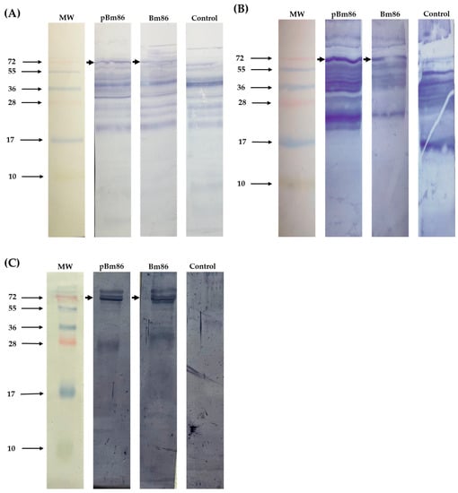
2.7. Detection of Native Bm86 Protein in R. microplus Tissues by Western Blotting
2.8. Data Collection and Evaluation
2.9. Statistical Analysis
3. Results
3.1. Characterization and Production of Recombinant Polypeptide Bm86
3.2. Effect of Immunization on Biological Parameters of R. microplus Ticks
3.3. Humoral Immune Response
3.4. Western Blot Detection of Native Bm86 Protein in Tick Tissues
3.5. Correlation Analysis
4. Discussion
5. Conclusions
Author Contributions
Funding
Institutional Review Board Statement
Informed Consent Statement
Data Availability Statement
Acknowledgments
Conflicts of Interest
References
- Marques, R.; Krüger, R.F.; Peterson, A.T.; de Melo, L.F.; Vicenzi, N.; Jiménez-García, D. Climate change implications for the distribution of the babesiosis and anaplasmosis tick vector, Rhipicephalus (Boophilus) microplus. Veter Res. 2020, 51, 81. [Google Scholar] [CrossRef]
- Rojas Martínez, C.; Loza Rubio, E.; Rodríguez Camarillo, S.D.; Figueroa Millán, J.V.; Aguilar Romero, F.; Lagunes Quintanilla, R.E.; Morales Álvarez, J.F.; Santillán Flores, M.A.; Socci Escatell, G.A.; Álvarez Martínez, J.A. Background and perspectives of certain priority diseases affecting cattle farming in Mexico. Rev. Mex. Cienc. Pecu. 2021, 12, 111–148. [Google Scholar] [CrossRef]
- de la Fuente, J.; Almazán, C.; Canales, M.; de la Lastra, J.M.P.; Kocan, K.M.; Willadsen, P. A ten-year review of commercial vaccine performance for control of tick infestations on cattle. Anim. Health Res. Rev. 2007, 8, 23–28. [Google Scholar] [CrossRef]
- Alonso-Díaz, M.A.; Fernández-Salas, A. Entomopathogenic Fungi for Tick Control in Cattle Livestock From Mexico. Front. Fungal Biol. 2021, 2, 657694. [Google Scholar] [CrossRef]
- Rodríguez-Vivas, R.I.; Grisi, L.; de León, A.A.P.; Silva Villela, H.; Torres-Acosta, J.F.d.J.; Fragoso Sánchez, H.; Romero Salas, D.; Rosario Cruz, R.; Saldierna, F.; García Carrasco, D. Potential economic impact assessment for cattle parasites in Mexico. Review. Rev. Mex. Cienc. Pecu. 2017, 8, 61. [Google Scholar] [CrossRef]
- Aguilar-Domínguez, M.; Sánchez-Montes, S.; Esteve-Gassent, M.D.; Barrientos-Salcedo, C.; de León, A.P.; Romero-Salas, D. Genetic structure analysis of Amblyomma mixtum populations in Veracruz State, Mexico. Ticks Tick-Borne Dis. 2019, 10, 86–92. [Google Scholar] [CrossRef]
- Higa, L.O.S.; Barradas Piña, F.T.; Rodrigues, V.S.; Garcia, M.V.; Salas, D.R.; Miller, R.J.; de Leon, A.P.; Barros, J.C.; Andreotti, R. Evidence of acaricide resistance in different life stages of Amblyomma mixtum and Rhipicephalus microplus (Acari: Ixodidae) collected from the same farm in the state of Veracruz, Mexico. Prev. Vet. Med. 2020, 174, 104837. [Google Scholar] [CrossRef]
- Abbas, R.Z.; Zaman, M.A.; Colwell, D.D.; Gilleard, J.; Iqbal, Z. Acaricide resistance in cattle ticks and approaches to its management: The state of play. Veter Parasitol. 2014, 203, 6–20. [Google Scholar] [CrossRef]
- Torrents, J.; Sarli, M.; Rossner, M.V.; Toffaletti, J.R.; Morel, N.; Martínez, N.C.; Webster, A.; Mangold, A.J.; Guglielmone, A.A.; Nava, S. Resistance of the cattle tick Rhipicephalus (Boophilus) microplus to ivermectin in Argentina. Res. Veter Sci. 2020, 132, 332–337. [Google Scholar] [CrossRef] [PubMed]
- Alonso-Díaz, M.A.; Jiménez-Ruíz, M.; Fernández-Salas, A. First Evidence of the Tickicide Effect of Entomopathogenic Fungi Isolated from Mexican Cattle Farms Against Amblyomma mixtum. J. Parasitol. 2022, 108, 539–544. [Google Scholar] [CrossRef] [PubMed]
- Goolsby, J.A.; Mays, D.T.; Schuster, G.L.; Kashefi, J.; Smith, L.; Amalin, D.; Cruz, M.; Racelis, A. Rationale for Classical Biological Control of Cattle Fever Ticks and Proposed Methods for Field Collection of Natural Enemies. Subtrop. Agric. Environ. 2015, 66, 7–15. [Google Scholar]
- Samish, M.; Ginsberg, H.; Glazer, I. Anti-tick biological control agents: Assessment and future perspectives. In Ticks; Bowman, A.S., Nuttall, P.A., Eds.; Cambridge University Press: Cambridge, UK, 2008; pp. 447–469. ISBN 978-0-511-55180-2. [Google Scholar]
- Showler, A.T.; Saelao, P. Integrative Alternative Tactics for Ixodid Control. Insects 2022, 13, 302. [Google Scholar] [CrossRef] [PubMed]
- Bhowmick, B.; Han, Q. Understanding Tick Biology and Its Implications in Anti-tick and Transmission Blocking Vaccines Against Tick-Borne Pathogens. Front. Veter Sci. 2020, 7, 319. [Google Scholar] [CrossRef]
- Rodríguez-Mallon, A. The Bm86 Discovery: A Revolution in the Development of Anti-Tick Vaccines. Pathogens 2023, 12, 231. [Google Scholar] [CrossRef] [PubMed]
- Rand, K.N.; Moore, T.; Sriskantha, A.; Spring, K.; Tellam, R.; Willadsen, P.; Cobon, G.S. Cloning and expression of a protective antigen from the cattle tick Boophilus microplus. Proc. Natl. Acad. Sci. USA 1989, 86, 9657–9661. [Google Scholar] [CrossRef]
- Willadsen, P.; Riding, G.A.; McKenna, R.V.; Kemp, D.H.; Tellam, R.L.; Nielsen, J.N.; Lahnstein, J.; Cobon, G.S. Identification of a protective antigen from Boophilus microplus. J. Immunol. 1989, 143, 1346–1351. [Google Scholar] [CrossRef]
- Tabor, A.E. A Review of Australian Tick Vaccine Research. Vaccines 2021, 9, 1030. [Google Scholar] [CrossRef]
- Canales, M.; Enríquez, A.; Ramos, E.; Cabrera, D.; Dandie, H.; Soto, A.; Falcón, V.; Rodríguez, M.; de la Fuente, J. Large-scale production in Pichia pastoris of the recombinant vaccine GavacTM against cattle tick. Vaccine 1997, 15, 414–422. [Google Scholar] [CrossRef]
- Willadsen, P.; Bird, P.; Cobon, G.S.; Hungerford, J. Commercialisation of a recombinant vaccine against Boophilus microplus. Parasitology 1995, 110, S43–S50. [Google Scholar] [CrossRef]
- Tabor, E.A. The Enigma of Identifying New Cattle Tick Vaccine Antigens. In Ticks and Tick-Borne Pathogens; Abubakar, M.K., Perera, P., Eds.; IntechOpen: London, UK, 2019; ISBN 978-1-78985-765-8. [Google Scholar]
- García-García, J.C.; González, I.L.; González, D.M.; Izquierdo, G.B.; de la Fuente, J. Sequence variations in the Boophilus microplus Bm86 locus and implications for immunoprotection in cattle vaccinated with this antigen. Biochem. Soc. Trans. 1999, 28, A201. [Google Scholar] [CrossRef]
- Martínez-Arzate, S.G.; Sánchez-Bermúdez, J.C.; Sotelo-Gómez, S.; Diaz-Albiter, H.M.; Hegazy-Hassan, W.; Tenorio-Borroto, E.; Barbabosa-Pliego, A.; Vázquez-Chagoyán, J.C. Genetic diversity of Bm86 sequences in Rhipicephalus (Boophilus) microplus ticks from Mexico: Analysis of haplotype distribution patterns. BMC Genet 2019, 20, 56. [Google Scholar] [CrossRef] [PubMed]
- Kasaija, P.D.; Contreras, M.; Kirunda, H.; Nanteza, A.; Kabi, F.; Mugerwa, S.; de la Fuente, J. Inspiring Anti-Tick Vaccine Research, Development and Deployment in Tropical Africa for the Control of Cattle Ticks: Review and Insights. Vaccines 2022, 11, 99. [Google Scholar] [CrossRef]
- Patarroyo, S.J.H.; de Sousa Neves, E.; Fidelis, C.F.; Tafur-Gómez, G.A.; de Araujo, L.; Vargas, M.I.; Sossai, S.; Prates-Patarroyo, P.A. Bovine immunisation with a recombinant peptide derived from synthetic SBm7462® (Bm86 epitope construct) immunogen for Rhipicephalus microplus control. Ticks Tick-Borne Dis. 2020, 11, 101461. [Google Scholar] [CrossRef] [PubMed]
- Blecha, I.M.Z.; Csordas, B.G.; Aguirre, A.A.R.; Cunha, R.C.; Garcia, M.V.; Andreotti, R. Analysis of Bm86 conserved epitopes: Is a global vaccine against Cattle Tick Rhipicephalus microplus possible? Rev. Bras. Parasitol. Vet. 2018, 27, 267–279. [Google Scholar] [CrossRef]
- Parthasarathi, B.C.; Kumar, B.; Nagar, G.; Manjunathachar, H.V.; de la Fuente, J.; Ghosh, S. Analysis of Genetic Diversity in Indian Isolates of Rhipicephalus microplus Based on Bm86 Gene Sequence. Vaccines 2021, 9, 194. [Google Scholar] [CrossRef] [PubMed]
- Muhanguzi, D.; Ndekezi, C.; Nkamwesiga, J.; Kalayou, S.; Ochwo, S.; Vuyani, M.; Kimuda, M.P. Anti-Tick Vaccines: Current Advances and Future Prospects. In Vaccine Design: Methods and Protocols, Volume 2. Vaccines for Veterinary Diseases; Springer: New York, NY, USA, 2022; pp. 253–268. ISBN 978-1-07-161887-5. [Google Scholar]
- de la Fuente, J.; Contreras, M. Vaccinomics: A future avenue for vaccine development against emerging pathogens. Expert Rev. Vaccines 2021, 20, 1561–1569. [Google Scholar] [CrossRef]
- De La Fuente, J.; Merino, O. Vaccinomics, the new road to tick vaccines. Vaccine 2013, 31, 5923–5929. [Google Scholar] [CrossRef]
- Peconick, A.P.; Sossai, S.; Girão, F.A.; Rodrigues, M.Q.R.B.; Souza e Silva, C.H.; Guzman, Q.F.; Patarroyo, V.A.M.; Vargas, M.I.; Patarroyo, J.H. Synthetic vaccine (SBm7462) against the cattle tick Rhipicephalus (Boophilus) microplus: Preservation of immunogenic determinants in different strains from South America. Exp. Parasitol. 2008, 119, 37–43. [Google Scholar] [CrossRef]
- Patarroyo, J.H.; Portela, R.W.; De Castro, R.O.; Couto Pimentel, J.; Guzman, F.; Patarroyo, M.E.; Vargas, M.I.; Prates, A.A.; Dias Mendes, M.A. Immunization of cattle with synthetic peptides derived from the Boophilus microplus gut protein (Bm86). Veter Immunol. Immunopathol. 2002, 88, 163–172. [Google Scholar] [CrossRef]
- Hüe, T.; Petermann, J.; Bonnefond, R.; Mermoud, I.; Rantoen, D.; Vuocolo, T. Experimental efficacy of a vaccine against Rhipicephalus australis. Exp. Appl. Acarol. 2017, 73, 245–256. [Google Scholar] [CrossRef]
- Canales, M.; Almazán, C.; Naranjo, V.; Jongejan, F.; de la Fuente, J. Vaccination with recombinant Boophilus annulatus Bm86 ortholog protein, Ba86, protects cattle against B. annulatus and B. microplus infestations. BMC Biotechnol. 2009, 9, 29. [Google Scholar] [CrossRef]
- Kopp, N.; Diaz, D.; Amacker, M.; Odongo, D.O.; Beier, K.; Nitsch, C.; Bishop, R.P.; Daubenberger, C.A. Identification of a synthetic peptide inducing cross-reactive antibodies binding to Rhipicephalus (Boophilus) decoloratus, Rhipicephalus (Boophilus) microplus, Hyalomma anatolicum anatolicum and Rhipicephalus appendiculatus BM86 homologues. Vaccine 2009, 28, 261–269. [Google Scholar] [CrossRef] [PubMed]
- Valdez-Espinoza, U.; Gómez-Romero, N.; Hernández-Ortiz, R.; Castro-Saines, E.; Lagunes-Quintanilla, R. Characterization of an immunogenic region of the Bm86 antigen as an improved vaccine against the Rhipicephalus microplus tick. Mexjbiotechnol 2021, 6, 35–49. [Google Scholar] [CrossRef]
- National, Institute of Statistics, Geography and Informatics (INEGI). Anuario Estadístico y Geográfico de Veracruz de Ignacio de la Llave; INEGI: Mexico City, Mexico, 2017; p. 1225.
- Popara, M.; Villar, M.; Mateos-Hernández, L.; de Mera, I.G.F.; Marina, A.; del Valle, M.; Almazán, C.; Domingos, A.; de la Fuente, J. Lesser protein degradation machinery correlates with higher Bm86 tick vaccine efficacy in Rhipicephalus annulatus when compared to Rhipicephalus microplus. Vaccine 2013, 31, 4728–4735. [Google Scholar] [CrossRef] [PubMed]
- Rodriguez, M.; Massardj, C.L.; Ramo, N.F.; Labartail, V.; De la Fuente, J. Effect of vaccination with a recombinant Bm86 antigen preparation on natural infestations of Boophilus microplus in grazing dairy and beef pure and cross-bred cattle in Brazil. Vaccine 1995, 13, 1804–1808. [Google Scholar] [CrossRef] [PubMed]
- Almazán, C.; Lagunes, R.; Villar, M.; Canales, M.; Rosario-Cruz, R.; Jongejan, F.; de la Fuente, J. Identification and characterization of Rhipicephalus (Boophilus) microplus candidate protective antigens for the control of cattle tick infestations. Parasitol. Res. 2010, 106, 471–479. [Google Scholar] [CrossRef] [PubMed]
- Merino-Charrez, J.O.; Gómez-Romero, N.; Barrera-Molina, I.; Lagunes-Quintanilla, R. Análisis in silico del gen subolesina como posible vacuna contra garrapatas Rhipicephalus microplus. Ecosist. Recur. Agropec. 2019, 6, 129–136. [Google Scholar] [CrossRef]
- Thomas, S. (Ed.) Vaccine Design: Methods and Protocols, Volume 2: Vaccines for Veterinary Diseases (Methods in Molecular Biology, 1404); Springer: New York, NY, USA, 2016; Volume 1404, ISBN 978-1-4939-3388-4. [Google Scholar]
- Rosano, G.L.; Ceccarelli, E.A. Recombinant protein expression in Escherichia coli: Advances and challenges. Front. Microbiol. 2014, 5, 172. [Google Scholar] [CrossRef]
- Vieira Gomes, A.; Souza Carmo, T.; Silva Carvalho, L.; Mendonça Bahia, F.; Parachin, N. Comparison of Yeasts as Hosts for Recombinant Protein Production. Microorganisms 2018, 6, 38. [Google Scholar] [CrossRef]
- Mendoza-Martínez, N.; Alonso-Díaz, M.A.; Merino, O.; Fernández-Salas, A.; Lagunes-Quintanilla, R. Protective efficacy of the peptide Subolesin antigen against the cattle tick Rhipicephalus microplus under natural infestation. Veter Parasitol. 2021, 299, 109577. [Google Scholar] [CrossRef]
- Suarez, M.; Rubi, J.; Pérez, D.; Cordova, V.; Salazar, Y.; Vielma, A.; Barrios, F.; Gil, C.A.; Segura, N.; Carrillo, Y.; et al. High impact and effectiveness of GavacTM vaccine in the national program for control of bovine ticks Rhipicephalus microplus in Venezuela. Livest. Sci. 2016, 187, 48–52. [Google Scholar] [CrossRef]
- Rodríguez-Valle, M.R.; Montero, C.; Machado, H.; Joglar, M. The evaluation of yeast derivatives as adjuvants for the immune response to the Bm86 antigen in cattle. BMC Biotechnol. 2001, 1, 2. [Google Scholar] [CrossRef]
- Rodríguez-Mallón, A.; Javier González, L.; Encinosa Guzmán, P.E.; Bechara, G.H.; Sanches, G.S.; Pousa, S.; Cabrera, G.; Cabrales, A.; Garay, H.; Mejías, R.; et al. Functional and Mass Spectrometric Evaluation of an Anti-Tick Antigen Based on the P0 Peptide Conjugated to Bm86 Protein. Pathogens 2020, 9, 513. [Google Scholar] [CrossRef] [PubMed]
- Lagunes-Quintanilla, R.; Valdez-Espinoza, U.M.; Hernández-Ortiz, R.; Castro-Saines, E.; Merino, O.; Mendoza-Martínez, N. Experimental vaccination in rabbits using the peptide RmS-17 antigen reduces the performance of a Mexican Rhipicephalus microplus tick strain. Ticks Tick-Borne Dis. 2022, 13, 102044. [Google Scholar] [CrossRef] [PubMed]
- Cunha, R.C.; de León, A.A.P.; Leite, F.P.L.; Pinto, L.S.; Santos Júnior, A.G.; Andreotti, R. Bovine immunoprotection against Rhipicephalus (Boophilus) microplus with recombinant Bm86-Campo Grande antigen. Rev. Bras. Parasitol. Veter 2012, 21, 254–262. [Google Scholar] [CrossRef] [PubMed]
- Parthasarathi, B.C.; Kumar, B.; Bhure, S.K.; Sharma, A.K.; Manisha; Nagar, G.; Kumar, S.; Nandi, A.; Manjunathachar, H.V.; Chigure, G.M.; et al. Co-Immunization Efficacy of Recombinant Antigens against Rhipicephalus microplus and Hyalomma anatolicum Tick Infestations. Pathogens 2023, 12, 433. [Google Scholar] [CrossRef]
- Mughini-Gras, L.; Bonfanti, L.; Natale, A.; Comin, A.; Ferronato, A.; La Greca, E.; Patregnani, T.; Lucchese, L.; Marangon, S. Application of an integrated outbreak management plan for the control of leptospirosis in dairy cattle herds. Epidemiol. Infect. 2014, 142, 1172–1181. [Google Scholar] [CrossRef]
- Giese, M. Elderly Immunology. In Introduction to Molecular Vaccinology; Springer International Publishing: Cham, Switzerland, 2016; pp. 111–121. ISBN 978-3-319-25830-0. [Google Scholar]
- Frasca, D.; Blomberg, B.B. Effects of aging on B cell function. Curr. Opin. Immunol. 2009, 21, 425–430. [Google Scholar] [CrossRef]
- Shihab, H. Effect of Aging on some Blood Parameters of Local Cows. J. Tikrit Univ. Agri. Sci. Vol 2018, 18, 28–33. [Google Scholar]
- Jackson, L.A.; Opdebeeck, J.P. Humoral immune responses of Hereford cattle vaccinated with midgut antigens of the cattle tick, Boophilus microplus. Parasite Immunol. 1990, 12, 141–151. [Google Scholar] [CrossRef]
- Antunes, S.; Merino, O.; Mosqueda, J.; Moreno-Cid, J.A.; Bell-Sakyi, L.; Fragkoudis, R.; Weisheit, S.; Pérez De La Lastra, J.M.; Alberdi, P.; Domingos, A.; et al. Tick capillary feeding for the study of proteins involved in tick-pathogen interactions as potential antigens for the control of tick infestation and pathogen infection. Parasites Vectors 2014, 7, 42. [Google Scholar] [CrossRef]
- Lagunes, R.; Domínguez-García, D.; Quiroz, H.; Martínez-Velázquez, M.; Rosario-Cruz, R. Potential effects on Rhipicephalus microplus tick larvae fed on calves immunized with a Subolesin peptide predicted by epitope analysis. Trop Biomed 2016, 33, 726–738. [Google Scholar]
- Willadsen, P.; Kemp, D.H. Vaccination with ‘concealed’ antigens for tick control. Parasitol. Today 1988, 4, 196–198. [Google Scholar] [CrossRef]
- Willadsen, P.; McKenna, R.V.; Riding, G.A. Isolation from the cattle tick, Boophilus microplus, of antigenic material capable of eliciting a protective immunological response in the bovine host. Int. J. Parasitol. 1988, 18, 183–189. [Google Scholar] [CrossRef] [PubMed]
- De la Fuente, J.; Rodrigues, M.; Redondo, M.; Montero, C.; García-García, J.C.; Méndez, L.; Serrano, E.; Valdés, M.; Enríquez, A.; Canales, M.; et al. Field studies and cost-effectiveness analysis of vaccination with Gavac against the cattle tick Boophilus microplus. Vaccine 1998, 16, 366–373. [Google Scholar] [CrossRef] [PubMed]
- Ndawula, C.; Tabor, A.E. Cocktail Anti-Tick Vaccines: The Unforeseen Constraints and Approaches Toward Enhanced Efficacies. Vaccines 2020, 8, 457. [Google Scholar] [CrossRef]
- Imamura, S.; Konnai, S.; da Silva Vaz, I.J.; Yamada, S.; Nakajima, C.; Ito, Y.; Tajima, T.; Yasuda, J.; Simuunza, M.; Onuma, M.; et al. Effects of anti-tick cocktail vaccine against Rhipicephalus appendiculatus. Jpn. J. Veter Res. 2008, 56, 85–98. [Google Scholar] [CrossRef]
- Imamura, S.; Namangala, B.; Tajima, T.; Tembo, M.E.; Yasuda, J.; Ohashi, K.; Onuma, M. Two serine protease inhibitors (serpins) that induce a bovine protective immune response against Rhipicephalus appendiculatus ticks. Vaccine 2006, 24, 2230–2237. [Google Scholar] [CrossRef]
- Tiffin, H.S.; Rajotte, E.G.; Sakamoto, J.M.; Machtinger, E.T. Tick Control in a Connected World: Challenges, Solutions, and Public Policy from a United States Border Perspective. Tropical Med 2022, 7, 388. [Google Scholar] [CrossRef]






| Rhipicephalus microplus (Martínez de la Torre, Veracruz Strain) | |||||
|---|---|---|---|---|---|
| Percent Reduction (Immunized/Control) b | |||||
| Experimental Group a | DT | DW | DO | DF | E c |
| Polypeptide Bm86 | 44% * (36 ± 3) | 0% (137 ± 44) | 16% (60 ± 20) | 11% (32 ± 21) | 58% |
| Bm86 | 48% * (34 ± 2) | 0% (175 ± 40) | 14% (54 ± 29) | 5% (34 ± 23) | 57% |
| Control | (64 ± 10) | (139 ± 41) | (71 ± 29) | (36 ± 17) | - |
Disclaimer/Publisher’s Note: The statements, opinions and data contained in all publications are solely those of the individual author(s) and contributor(s) and not of MDPI and/or the editor(s). MDPI and/or the editor(s) disclaim responsibility for any injury to people or property resulting from any ideas, methods, instructions or products referred to in the content. |
© 2023 by the authors. Licensee MDPI, Basel, Switzerland. This article is an open access article distributed under the terms and conditions of the Creative Commons Attribution (CC BY) license (https://creativecommons.org/licenses/by/4.0/).
Share and Cite
Coate, R.; Alonso-Díaz, M.Á.; Martínez-Velázquez, M.; Castro-Saines, E.; Hernández-Ortiz, R.; Lagunes-Quintanilla, R. Testing Efficacy of a Conserved Polypeptide from the Bm86 Protein against Rhipicephalus microplus in the Mexican Tropics. Vaccines 2023, 11, 1267. https://doi.org/10.3390/vaccines11071267
Coate R, Alonso-Díaz MÁ, Martínez-Velázquez M, Castro-Saines E, Hernández-Ortiz R, Lagunes-Quintanilla R. Testing Efficacy of a Conserved Polypeptide from the Bm86 Protein against Rhipicephalus microplus in the Mexican Tropics. Vaccines. 2023; 11(7):1267. https://doi.org/10.3390/vaccines11071267
Chicago/Turabian StyleCoate, Raymundo, Miguel Ángel Alonso-Díaz, Moisés Martínez-Velázquez, Edgar Castro-Saines, Rubén Hernández-Ortiz, and Rodolfo Lagunes-Quintanilla. 2023. "Testing Efficacy of a Conserved Polypeptide from the Bm86 Protein against Rhipicephalus microplus in the Mexican Tropics" Vaccines 11, no. 7: 1267. https://doi.org/10.3390/vaccines11071267
APA StyleCoate, R., Alonso-Díaz, M. Á., Martínez-Velázquez, M., Castro-Saines, E., Hernández-Ortiz, R., & Lagunes-Quintanilla, R. (2023). Testing Efficacy of a Conserved Polypeptide from the Bm86 Protein against Rhipicephalus microplus in the Mexican Tropics. Vaccines, 11(7), 1267. https://doi.org/10.3390/vaccines11071267

