Exploring the Immunoprotective Potential of a Nanocarrier Immersion Vaccine Encoding Sip against Streptococcus Infection in Tilapia (Oreochromis niloticus)
Abstract
1. Introduction
2. Materials and Methods
2.1. Fish and Strain
2.2. Amplification and Immunoinformatic Analysis of Sip
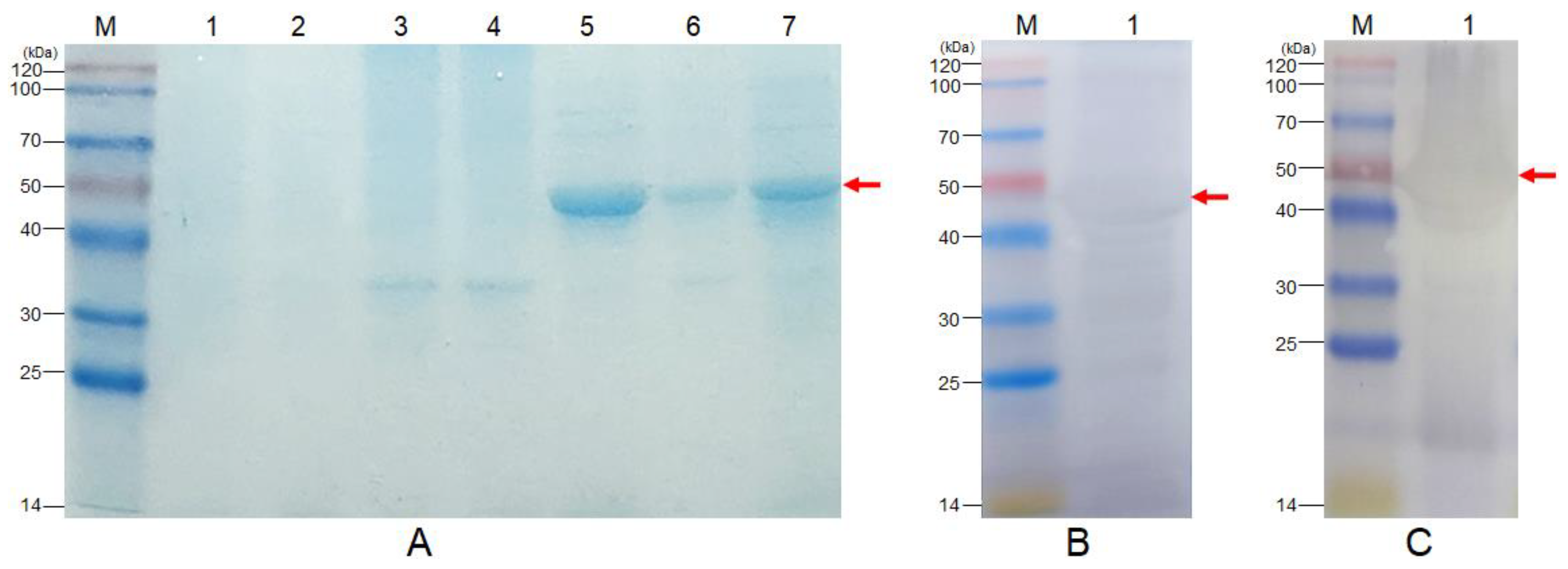
2.3. Protein Expression and Immunogenicity Analysis of rSip
2.4. Preparation of BNC-rSip Vaccine and Vaccination
2.5. ELISA Analysis of Serum Specific Antibody Level
2.6. Determination of Serum Nonspecific Enzyme Activity
2.7. Evaluation of Immune-Related Genes Expression by RT-qPCR
2.8. Challenge and Protective Effect Evaluation
2.9. Statistical Analysis
3. Results
3.1. Immunoinformatic Analysis of Sip
3.2. Protein Expression and Immunogenicity Analysis of Sip
3.3. Serum Specific Antibody Levels
3.4. Serum Enzyme Activity
3.5. Immune-Related Genes Expression
3.6. Protective Efficacy of BNC-rSip
4. Discussion
5. Conclusions
Author Contributions
Funding
Institutional Review Board Statement
Informed Consent Statement
Data Availability Statement
Acknowledgments
Conflicts of Interest
References
- Shoemaker, C.A.; Lozano, C.A.; LaFrentz, B.R.; Garcia, J.C.; Soto, E.; Xu, D.-H.; Beck, B.H.; Rye, M. Additive genetic variation in resistance of Nile tilapia (Oreochromis niloticus) to Streptococcus iniae and S-agalactiae capsular type Ib: Is genetic resistance correlated? Aquaculture 2017, 468, 193–198. [Google Scholar] [CrossRef]
- Zhu, J.; Fu, Q.; Ao, Q.; Tan, Y.; Luo, Y.; Jiang, H.; Li, C.; Gan, X. Transcriptomic profiling analysis of tilapia (Oreochromis niloticus) following Streptococcus agalactiae challenge. Fish Shellfish Immunol. 2017, 62, 202–212. [Google Scholar] [CrossRef] [PubMed]
- Ye, X.; Li, J.; Lu, M.X.; Deng, G.C.; Jiang, X.Y.; Tian, Y.Y.; Quan, Y.C.; Jian, Q. Identification and molecular typing of Streptococcus agalactiae isolated from pond-cultured tilapia in China. Fish. Sci. 2011, 77, 623–632. [Google Scholar] [CrossRef]
- Zhu, C.; Zhang, N.; Jing, D.; Liu, X.; Zeng, Z.; Wang, J.; Xiao, F.; Zhang, H.; Chi, H.; Wan, C.; et al. Characterization and evaluation of an oral vaccine via nano-carrier for surface immunogenic protein (Sip) delivery against Streptococcus agalactiae infection. Int. J. Biol. Macromol. 2023, 235, 123770. [Google Scholar] [CrossRef] [PubMed]
- He, Y.; Wang, K.; Xiao, D.; Chen, D.; Huang, L.; Liu, T.; Wang, J.; Geng, Y.; Wang, E.; Yang, Q. A recombinant truncated surface immunogenic protein (tSip) plus adjuvant FIA confers active protection against Group B streptococcus infection in tilapia. Vaccine 2014, 32, 7025–7032. [Google Scholar] [CrossRef]
- Evans, J.J.; Klesius, P.H.; Pasnik, D.J.; Bohnsack, J.F. Human Streptococcus agalactiae Isolate in Nile Tilapia (Oreochromis niloticus). Emerg. Infect. Dis. 2009, 15, 774–776. [Google Scholar] [CrossRef]
- Martin, D.; Cadieux, N.; Hamel, J.; Brodeur, B.R. Highly conserved Neisseria meningitidis surface protein confers protection against experimental infection. J. Exp. Med. 1997, 185, 1173–1183. [Google Scholar] [CrossRef]
- Diaz-Dinamarca, D.A.; Jerias, J.I.; Soto, D.A.; Soto, J.A.; Diaz, N.V.; Leyton, Y.Y.; Villegas, R.A.; Kalergis, A.M.; Vasquez, A.E. The Optimisation of the Expression of Recombinant Surface Immunogenic Protein of Group B Streptococcus in Escherichia coli by Response Surface Methodology Improves Humoral Immunity. Mol. Biotechnol. 2018, 60, 215–225. [Google Scholar] [CrossRef]
- Brodeur, B.R.; Boyer, M.; Charlebois, I.; Hamel, J.; Couture, F.; Rioux, C.R.; Martin, D. Identification of group B streptococcal Sip protein, which elicits cross-protective immunity. Infect. Immun. 2000, 68, 5610–5618. [Google Scholar] [CrossRef]
- Wang, B.; Lu, Y.; Wu, Z.; Jian, J. Immune Response in Tilapia, Oreochromis niloticus, Induced by the Surface Immunogenic Protein (Sip) of Streptococcus agalactiae. Isr. J. Aquac.-Bamidgeh 2015, 67, 10. [Google Scholar] [CrossRef]
- Liu, G.J.; Zhu, J.L.; Chen, K.M.; Gao, T.T.; Yao, H.C.; Liu, Y.J.; Zhang, W.; Lu, C.P. Development of Streptococcus agalactiae vaccines for tilapia. Dis. Aquat. Org. 2016, 122, 163–170. [Google Scholar] [CrossRef]
- Minor, P.D. Live attenuated vaccines: Historical successes and current challenges. Virology 2015, 479, 379–392. [Google Scholar] [CrossRef] [PubMed]
- Plant, K.P.; LaPatra, S.E. Advances in fish vaccine delivery. Dev. Comp. Immunol. 2011, 35, 1256–1262. [Google Scholar] [CrossRef] [PubMed]
- Hasan, N.; Rahman, L.; Kim, S.-H.; Cao, J.; Arjuna, A.; Lallo, S.; Jhun, B.H.; Yoo, J.-W. Recent advances of nanocellulose in drug delivery systems. J. Pharm. Investig. 2020, 50, 553–572. [Google Scholar] [CrossRef]
- Choi, S.M.; Shin, E.J. The nanofication and functionalization of bacterial cellulose and its applications. Nanomaterials 2020, 10, 406. [Google Scholar] [CrossRef]
- Marchler-Bauer, A.; Anderson, J.B.; Chitsaz, F.; Derbyshire, M.K.; DeWeese-Scott, C.; Fong, J.H.; Geer, L.Y.; Geer, R.C.; Gonzales, N.R.; Gwadz, M.; et al. CDD: Specific functional annotation with the Conserved Domain Database. Nucleic Acids Res. 2009, 37, D205–D210. [Google Scholar] [CrossRef]
- Bailey, T.L.; Elkan, C. Fitting a mixture model by expectation maximization to discover motifs in biopolymers. Proc. Int. Conf. Intell. Syst. Mol. Biol. 1994, 2, 28–36. [Google Scholar] [PubMed]
- Rapin, N.; Lund, O.; Bernaschi, M.; Castiglione, F. Computational Immunology Meets Bioinformatics: The Use of Prediction Tools for Molecular Binding in the Simulation of the Immune System. PLoS ONE 2010, 5, e9862. [Google Scholar] [CrossRef] [PubMed]
- Li, L.; Zhang, T.; Zhang, G.; Zhou, G.; Yang, F.; Wang, E.; Liu, T.; Wang, G. High immune efficiency of bacterial nanocellulose loaded MSRV G protein vaccine for bath immunization. Aquaculture 2022, 560, 738579. [Google Scholar] [CrossRef]
- Livak, K.J.; Schmittgen, T.D. Analysis of relative gene expression data using real-time quantitative PCR and the 2(T)(-Delta Delta C) method. Methods 2001, 25, 402–408. [Google Scholar] [CrossRef]
- Verner-Jeffreys, D.W.; Wallis, T.J.; Cejas, I.; Ryder, D.; Haydon, D.J.; Domazoro, J.F.; Dontwi, J.; Field, T.R.; Adjei-Boteng, D.; Wood, G.; et al. Streptococcus agalactiae Multilocus sequence type 261 is associated with mortalities in the emerging Ghanaian tilapia industry. J. Fish Dis. 2018, 41, 175–179. [Google Scholar] [CrossRef] [PubMed]
- Pradeep, P.J.; Suebsing, R.; Sirthammajak, S.; Kampeera, J.; Jitrakorn, S.; Saksmerprome, V.; Turner, W.; Palang, I.; Vanichviriyakit, R.; Senapin, S.; et al. Evidence of vertical transmission and tissue tropism of Streptococcosis from naturally infected red tilapia (Oreochromis spp.). Aquac. Rep. 2016, 3, 58–66. [Google Scholar] [CrossRef]
- Monir, M.S.; Yusoff, M.S.M.; Zamri-Saad, M.; Amal, M.N.A.; Mohamad, A.; Azzam-Sayuti, M.; Ina-Salwany, M.Y. Effect of an Oral Bivalent Vaccine on Immune Response and Immune Gene Profiling in Vaccinated Red Tilapia (Oreochromis spp.) during Infections with Streptococcus iniae and Aeromonas hydrophila. Biology 2022, 11, 1268. [Google Scholar] [CrossRef] [PubMed]
- Pathak, R.K.; Lim, B.; Kim, D.Y.; Kim, J.M. Designing multi-epitope-based vaccine targeting surface immunogenic protein of Streptococcus agalactiae using immunoinformatics to control mastitis in dairy cattle. BMC Vet. Res. 2022, 18, 17. [Google Scholar] [CrossRef]
- Miccoli, A.; Saraceni, P.R.; Scapigliati, G. Vaccines and immune protection of principal Mediterranean marine fish species. Fish Shellfish Immunol. 2019, 94, 800–809. [Google Scholar] [CrossRef]
- Madonia, A.; Melchiorri, C.; Bonamano, S.; Marcelli, M.; Bulfon, C.; Castiglione, F.; Galeotti, M.; Volpatti, D.; Mosca, F.; Tiscar, P.-G.; et al. Computational modeling of immune system of the fish for a more effective vaccination in aquaculture. Bioinformatics 2017, 33, 3065–3071. [Google Scholar] [CrossRef]
- Wang, Q.S.; Fu, T.Z.; Li, X.C.; Luo, Q.; Huang, J.J.; Sun, Y.C.; Wang, X.P. Cross-immunity in Nile tilapia vaccinated with Streptococcus agalactiae and Streptococcus iniae vaccines. Fish Shellfish Immunol. 2020, 97, 382–389. [Google Scholar] [CrossRef]
- Tattiyapong, P.; Kitiyodom, S.; Yata, T.; Jantharadej, K.; Adamek, M.; Surachetpong, W. Chitosan nanoparticle immersion vaccine offers protection against tilapia lake virus in laboratory and field studies. Fish Shellfish Immunol. 2022, 131, 972–979. [Google Scholar] [CrossRef]
- Han, Y.X.; Quan, K.J.; Chen, J.; Qiu, H.D. Advances and prospects on acid phosphatase biosensor. Biosens. Bioelectron. 2020, 170, 9. [Google Scholar] [CrossRef]
- Tanaka, T.; Narazaki, M.; Kishimoto, T. IL-6 in inflammation, immunity, and disease. Cold Spring Harb. Perspect. Biol. 2014, 6, a016295. [Google Scholar] [CrossRef]
- Zhou, F.N.; Dong, Z.D.; Fu, Y.; Li, T.M.; Zeng, Y.Q.; Ji, X.S.; Chen, W.Y.; Zhang, J.; Wang, H. Molecular cloning, genomic structure, polymorphism and expression analysis of major histocompatibility complex class II B gene of Nile tilapia (Oreochromis niloticus). Aquaculture 2013, 372, 149–157. [Google Scholar] [CrossRef]
- Grimholt, U. MHC and Evolution in Teleosts. Biology 2016, 5, 6. [Google Scholar] [CrossRef]
- Chang, Y.T.; Kai, Y.H.; Chi, S.C.; Song, Y.L. Cytotoxic CD8 alpha(+) leucocytes have heterogeneous features in antigen recognition and class I MHC restriction in grouper. Fish Shellfish Immunol. 2011, 30, 1283–1293. [Google Scholar] [CrossRef]
- Dijkstra, J.M.; Fischer, U.; Sawamoto, Y.; Ototake, M.; Nakanishi, T. Exogenous antigens and the stimulation of MHC class I restricted cell-mediated cytotoxicity: Possible strategies for fish vaccines. Fish Shellfish Immunol. 2001, 11, 437–458. [Google Scholar] [CrossRef] [PubMed]
- Heijmans, C.M.C.; de Groot, N.G.; Bontrop, R.E. Comparative genetics of the major histocompatibility complex in humans and nonhuman primates. Int. J. Immunogenet. 2020, 47, 243–260. [Google Scholar] [CrossRef]
- Idriss, H.T.; Naismith, J.H. TNF alpha and the TNF receptor superfamily: Structure-function relationship(s). Microsc. Res. Tech. 2000, 50, 184–195. [Google Scholar] [CrossRef] [PubMed]
- Velazquez, J.; Rodriguez, A.; Aragon, H.; Haidar, A.; Gonzalez, M.; Valdes, R.; Garay, H.E.; Abreu, D.D.; Ramos, Y.; Cabrales, A.; et al. Monoclonal antibody against Nile tilapia (Oreochromis niloticus) IgM heavy chain: A valuable tool for detection and quantification of IgM and IgM(+) cells. Fish Shellfish Immunol. 2021, 110, 44–54. [Google Scholar] [CrossRef]
- Parra, D.; Korytar, T.; Takizawa, F.; Sunyer, J.O. B cells and their role in the teleost gut. Dev. Comp. Immunol. 2016, 64, 150–166. [Google Scholar] [CrossRef]
- Yao, Y.-Y.; Chen, D.-D.; Cui, Z.-W.; Zhang, X.-Y.; Zhou, Y.-Y.; Guo, X.; Li, A.-H.; Zhang, Y.-A. Oral vaccination of tilapia against Streptococcus agalactiae using Bacillus subtilis spores expressing Sip. Fish Shellfish Immunol. 2019, 86, 999–1008. [Google Scholar] [CrossRef]
- Pumchan, A.; Krobthong, S.; Roytrakul, S.; Sawatdichaikul, O.; Kondo, H.; Hirono, I.; Areechon, N.; Unajak, S. Novel Chimeric Multiepitope Vaccine for Streptococcosis Disease in Nile Tilapia (Oreochromis niloticus Linn.). Sci. Rep. 2020, 10, 603. [Google Scholar] [CrossRef]








| Groups | Concentration | Fish No. | Immersion Time |
|---|---|---|---|
| PBS | — | 70 | 8 h |
| BNC | 10 mg/L | 70 | 8 h |
| rSip | 10 mg/L | 70 | 8 h |
| BNC-rSip | 10 mg/L * | 70 | 8 h |
| Gene Name | Accession No. | Primer Sequences (from 5′ to 3′) |
|---|---|---|
| EF1α | AB075952.1 | F: TGATCTACAAGTGCGGAGGAA R: GGAGCCCTTTCCCATCTCA |
| IL-1β | XM_019365841.2 | F: AGCTCCATGCAGTGATGCTG R: TGTTTTTATCCGTCACCTCCTCC |
| IL-6 | XM_019350387.2 | F: GTGTGGCAGGTGACTTCTCA R: GGAAATGGTGCTCAAACGCT |
| IFN-γ | NM_001287402.1 | F: GGAGACCCTCAGAGATATCAAGATGAATG R: GCGACCTTTAGCCTTTGTTTGCCT |
| TNF-α | NM_001279533 | F: GCCATCCATCTAGAAGGCAGCGA R: GAAGTACAGGCCAGTGTGTGGGAT |
| CD4-1 | XM_005455488.4 | F: CCAAGGGAAACAGAGAAGGAAA R: AAGGGATGGTGAGAGGTGAAAC |
| CD8α | XM_005450353.4 | F: CATAACAGCAAAGGAAGGACAG R: TACCTTGGATAAGTGACGCA |
| IgM | KF305823.1 | F: CATCACCTATGACGAATGGACCAGGG R: GCGCTGAGGGTTTCCTCCAAAATC |
| MHC I | FJ457118.1 | F: GATGAGGACAGATGTTCCCAAAGTGT R: CTCTCCTTTGTGCACACCATCATGA |
| MHC II | NM_001279562.1 | F: ATCACTGACTGGGATCCCTCCTC R: CTCGAGCCTTCCTCCTGTAGTAGAT |
Disclaimer/Publisher’s Note: The statements, opinions and data contained in all publications are solely those of the individual author(s) and contributor(s) and not of MDPI and/or the editor(s). MDPI and/or the editor(s) disclaim responsibility for any injury to people or property resulting from any ideas, methods, instructions or products referred to in the content. |
© 2023 by the authors. Licensee MDPI, Basel, Switzerland. This article is an open access article distributed under the terms and conditions of the Creative Commons Attribution (CC BY) license (https://creativecommons.org/licenses/by/4.0/).
Share and Cite
Cao, Y.; Liu, J.; Liu, G.; Du, H.; Liu, T.; Wang, G.; Wang, Q.; Zhou, Y.; Wang, E. Exploring the Immunoprotective Potential of a Nanocarrier Immersion Vaccine Encoding Sip against Streptococcus Infection in Tilapia (Oreochromis niloticus). Vaccines 2023, 11, 1262. https://doi.org/10.3390/vaccines11071262
Cao Y, Liu J, Liu G, Du H, Liu T, Wang G, Wang Q, Zhou Y, Wang E. Exploring the Immunoprotective Potential of a Nanocarrier Immersion Vaccine Encoding Sip against Streptococcus Infection in Tilapia (Oreochromis niloticus). Vaccines. 2023; 11(7):1262. https://doi.org/10.3390/vaccines11071262
Chicago/Turabian StyleCao, Ye, Jia Liu, Gaoyang Liu, Hui Du, Tianqiang Liu, Gaoxue Wang, Qing Wang, Ya Zhou, and Erlong Wang. 2023. "Exploring the Immunoprotective Potential of a Nanocarrier Immersion Vaccine Encoding Sip against Streptococcus Infection in Tilapia (Oreochromis niloticus)" Vaccines 11, no. 7: 1262. https://doi.org/10.3390/vaccines11071262
APA StyleCao, Y., Liu, J., Liu, G., Du, H., Liu, T., Wang, G., Wang, Q., Zhou, Y., & Wang, E. (2023). Exploring the Immunoprotective Potential of a Nanocarrier Immersion Vaccine Encoding Sip against Streptococcus Infection in Tilapia (Oreochromis niloticus). Vaccines, 11(7), 1262. https://doi.org/10.3390/vaccines11071262

