Development and Evaluation of Recombinant B-Cell Multi-Epitopes of PDHA1 and GAPDH as Subunit Vaccines against Streptococcus iniae Infection in Flounder (Paralichthys olivaceus)
Abstract
1. Introduction
2. Materials and Methods
2.1. Ethics Statement
2.2. Fish, Bacteria and Antibodies
2.3. Bioinformatics Analyses of B-Cell Epitopes of PDHA1 and GAPDH Proteins
2.4. Identification of B-Cell Epitopes
2.5. Design, Construction and Expression of the B-Cell Multi-Epitope Recombinant Antigens
2.6. Fish Vaccination and Sampling
2.7. Flow Cytometric Immunofluorescence Analysis
2.8. Enzyme-Linked Immunosorbent Assay
2.9. Challenge
2.10. Statistical Analysis
3. Results
3.1. Prediction of B-Cell Antigenic Epitopes on PDHA1 and GAPDH Proteins
3.2. Antigenic Characteristic of B-Cell Epitopes
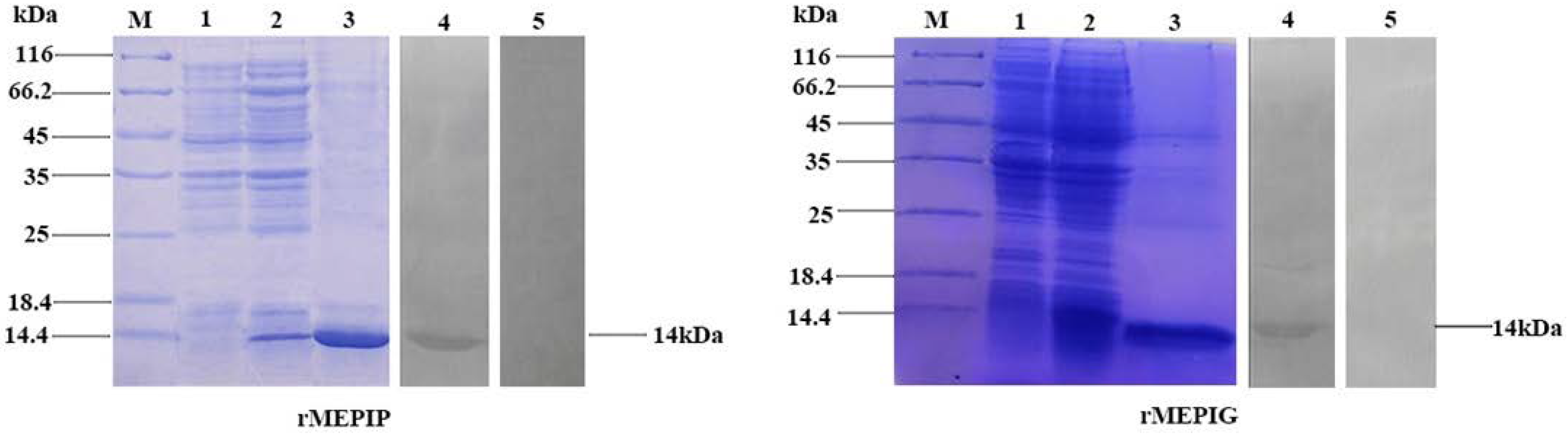
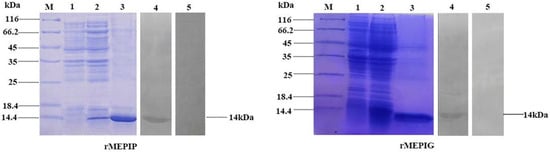
3.3. Production and Immunogenicity of Recombinant B-Cell Multi-Epitope Antigen Proteins
3.4. Variation of T Lymphocyte Subsets after Immunization
3.5. Variation of sIgM+ B Lymphocytes after Immunization
3.6. Detection of Total IgM and Specific IgM after Immunization
3.7. Relative Percentage Survival
4. Discussions
5. Conclusions
Supplementary Materials
Author Contributions
Funding
Institutional Review Board Statement
Informed Consent Statement
Data Availability Statement
Conflicts of Interest
References
- El Aamri, F.; Padilla, D.; Acosta, F.; Caballero, M.J.; Roo, J.; Bravo, J.; Vivas, J.; Real, F. First Report of Streptococcus iniae in Red Porgy (Pagrus pagrus, L.): Streptococcus iniae in Red Porgy. J. Fish Dis. 2010, 33, 901–905. [Google Scholar] [CrossRef] [PubMed]
- Facklam, R.; Elliott, J.; Shewmaker, L.; Reingold, A. Identification and Characterization of Sporadic Isolates of Streptococcus iniae Isolated from Humans. J. Clin. Microbiol. 2005, 43, 933–937. [Google Scholar] [CrossRef] [PubMed]
- Agnew, W.; Barnes, A. Streptococcus iniae: An Aquatic Pathogen of Global Veterinary Significance and a Challenging Candidate for Reliable Vaccination. Vet. Microbiol. 2007, 122, 1–15. [Google Scholar] [CrossRef]
- Nho, S.W.; Shin, G.W.; Park, S.B.; Jang, H.B.; Cha, I.S.; Ha, M.A.; Kim, Y.R.; Park, Y.K.; Dalvi, R.S.; Kang, B.J.; et al. Phenotypic Characteristics of Streptococcus iniae and Streptococcus parauberis Isolated from Olive Flounder (Paralichthys olivaceus). FEMS Microbiol. Lett. 2009, 293, 20–27. [Google Scholar] [CrossRef] [PubMed]
- Shoemaker, C.A.; Klesius, P.H.; Evans, J.J. Prevalence of Streptococcus iniae in Tilapia, Hybrid Striped Bass, and Channel Catfish on Commercial Fish Farms in the United States. Am. J. Vet. Res. 2001, 62, 174–177. [Google Scholar] [CrossRef]
- Cheng, S.; Hu, Y.H.; Jiao, X.D.; Sun, L. Identification and Immunoprotective Analysis of a Streptococcus iniae Subunit Vaccine Candidate. Vaccine 2010, 28, 2636–2641. [Google Scholar] [CrossRef]
- Baiano, J.C.F.; Barnes, A.C. Towards Control of Streptococcus iniae. Emerg. Infect. Dis. 2009, 15, 1891–1896. [Google Scholar] [CrossRef] [PubMed]
- Bonar, C.J. A Third Report of “Golf Ball Disease” in an Amazon River Dolphin (Inia geoffrensis) Associated with Streptococcus iniae. J. Zoo. Wildl. Med. 2003, 34, 296–301. [Google Scholar] [CrossRef] [PubMed]
- Shiau, S.Y.; Gabaudan, J.; Lin, Y.H. Dietary Nucleotide Supplementation Enhances Immune Responses and Survival to Streptococcus iniae in Hybrid Tilapia Fed Diet Containing Low Fish Meal. Aquac. Rep. 2015, 2, 77–81. [Google Scholar] [CrossRef]
- Iwashita, M.K.P.; Nakandakare, I.B.; Terhune, J.S.; Wood, T.; Ranzani-Paiva, M.J.T. Dietary Supplementation with Bacillus Subtilis, Saccharomyces Cerevisiae and Aspergillus Oryzae Enhance Immunity and Disease Resistance against Aeromonas Hydrophila and Streptococcus Iniae Infection in Juvenile Tilapia Oreochromis Niloticus. Fish Shellfish Immunol. 2015, 43, 60–66. [Google Scholar] [CrossRef]
- Sommerset, I.; Krossøy, B.; Biering, E.; Frost, P. Vaccines for Fish in Aquaculture. Expert Rev. Vaccines 2005, 4, 89–101. [Google Scholar] [CrossRef]
- Plant, K.P.; LaPatra, S.E. Advances in Fish Vaccine Delivery. Dev. Comp. Immunol. 2011, 35, 1256–1262. [Google Scholar] [CrossRef]
- Nosrati, M.; Behbahani, M.; Mohabatkar, H. Towards the First Multi-Epitope Recombinant Vaccine against Crimean-Congo Hemorrhagic Fever Virus: A Computer-Aided Vaccine Design Approach. J. Biomed. Inform. 2019, 93, 103160. [Google Scholar] [CrossRef]
- Ma, J.; Bruce, T.J.; Jones, E.M.; Cain, K.D. A Review of Fish Vaccine Development Strategies: Conventional Methods and Modern Biotechnological Approaches. Microorganisms 2019, 7, 569. [Google Scholar] [CrossRef]
- Evensen, Ø.; Leong, J.-A.C. DNA Vaccines against Viral Diseases of Farmed Fish. Fish Shellfish Immunol. 2013, 35, 1751–1758. [Google Scholar] [CrossRef]
- Ansari, H.R.; Raghava, G.P. Identification of Conformational B-Cell Epitopes in an Antigen from Its Primary Sequence. Immunome Res. 2010, 6, 6–9. [Google Scholar] [CrossRef] [PubMed]
- Purcell, A.W.; McCluskey, J.; Rossjohn, J. More than One Reason to Rethink the Use of Peptides in Vaccine Design. Nat. Rev. Drug Discov. 2007, 6, 404–414. [Google Scholar] [CrossRef]
- Oscherwitz, J. The Promise and Challenge of Epitope-Focused Vaccines. Hum. Vaccines Immunother. 2016, 12, 2113–2116. [Google Scholar] [CrossRef] [PubMed]
- Sun, Z.; Lawson, S.; Langenhorst, R.; McCormick, K.L.; Brunick, C.; Opriessnig, T.; Baker, R.; Yoon, K.J.; Zhang, W.P.; Huber, V.C.; et al. Construction and Immunogenicity Evaluation of an Epitope-Based Antigen against Swine Influenza A Virus Using Escherichia coli Heat-Labile Toxin B Subunit as a Carrier–Adjuvant. Vet. Microbiol. 2013, 164, 229–238. [Google Scholar] [CrossRef] [PubMed]
- Sharma, M.; Dixit, A. Immune Response Characterization and Vaccine Potential of a Recombinant Chimera Comprising B-Cell Epitope of Aeromonas hydrophila Outer Membrane Protein C and LTB. Vaccine 2016, 34, 6259–6266. [Google Scholar] [CrossRef]
- Leal, Y.; Velazquez, J.; Hernandez, L.; Swain, J.K.; Rodríguez, A.R.; Martínez, R.; García, C.; Ramos, Y.; Estrada, M.P.; Carpio, Y. Promiscuous T Cell Epitopes Boosts Specific IgM Immune Response against a P0 Peptide Antigen from Sea Lice in Different Teleost Species. Fish Shellfish Immunol. 2019, 92, 322–330. [Google Scholar] [CrossRef] [PubMed]
- Sheng, X.Z.; Gao, J.L.; Liu, H.B.; Tang, X.Q.; Xing, J.; Zhan, W.B. Recombinant Phosphoglucomutase and CAMP Factor as Potential Subunit Vaccine Antigens Induced High Protection against Streptococcus iniae Infection in Flounder (Paralichthys olivaceus). J. Appl. Microbiol. 2018, 125, 997–1007. [Google Scholar] [CrossRef] [PubMed]
- Sheng, X.Z.; Liu, M.; Liu, H.B.; Tang, X.Q.; Xing, J.; Zhan, W.B. Identification of Immunogenic Proteins and Evaluation of Recombinant PDHA1 and GAPDH as Potential Vaccine Candidates against Streptococcus iniae Infection in Flounder (Paralichthys olivaceus). PLoS ONE 2018, 13, e0195450. [Google Scholar] [CrossRef] [PubMed]
- Sun, Y.; Hu, Y.H.; Liu, C.S.; Sun, L. Construction and Comparative Study of Monovalent and Multivalent DNA Vaccines against Streptococcus Iniae. Fish Shellfish Immunol. 2012, 33, 1303–1310. [Google Scholar] [CrossRef] [PubMed]
- Sun, Y.; Hu, Y.H.; Liu, C.S.; Sun, L. Construction and Analysis of an Experimental Streptococcus Iniae DNA Vaccine. Vaccine 2010, 28, 3905–3912. [Google Scholar] [CrossRef]
- Kayansamruaj, P.; Dong, H.T.; Pirarat, N.; Nilubol, D.; Rodkhum, C. Efficacy of α-Enolase-Based DNA Vaccine against Pathogenic Streptococcus Iniae in Nile Tilapia (Oreochromis Niloticus). Aquaculture 2017, 468, 102–106. [Google Scholar] [CrossRef]
- Zou, L.L.; Wang, J.; Huang, B.F.; Xie, M.Q.; Li, A.X. MtsB, a Hydrophobic Membrane Protein of Streptococcus iniae, Is an Effective Subunit Vaccine Candidate. Vaccine 2011, 29, 391–394. [Google Scholar] [CrossRef]
- Jiang, J.; Zheng, Z.L.; Wang, K.Y.; Wang, J.; He, Y.; Wang, E.L.; Chen, D.F.; Ouyang, P.; Geng, Y.; Huang, X.L. Adjuvant Immune Enhancement of Subunit Vaccine Encoding PSCPI of Streptococcus iniae in Channel Catfish (Ictalurus punctatus). Int. J. Mol. Sci. 2015, 16, 28001–28013. [Google Scholar] [CrossRef]
- Kim, M.S.; Choi, S.H.; Kim, K.H. Glyceraldehyde-3-Phosphate Dehydrogenase (GAPDH) from Streptococcus iniae Shows Potential as a Subunit Vaccine against Various Streptococcal Species. J. Fish Pathol. 2015, 28, 9–15. [Google Scholar] [CrossRef]
- Membrebe, J.D.; Yoon, N.-K.; Hong, M.; Lee, J.; Lee, H.; Park, K.; Seo, S.H.; Yoon, I.; Yoo, S.; Kim, Y.C.; et al. Protective Efficacy of Streptococcus iniae Derived Enolase against Streptococcal Infection in a Zebrafish Model. Vet. Immunol. Immunopathol. 2016, 170, 25–29. [Google Scholar] [CrossRef]
- Pancholi, V.; Fischetti, V.A. Regulation of the Phosphorylation of Human Pharyngeal Cell Proteins by Group A Streptococcal Surface Dehydrogenase: Signal Transduction between Streptococci and Pharyngeal Cells. J. Exp. Med. 1997, 186, 1633–1643. [Google Scholar] [CrossRef] [PubMed]
- Terao, Y.; Yamaguchi, M.; Hamada, S.; Kawabata, S. Multifunctional Glyceraldehyde-3-Phosphate Dehydrogenase of Streptococcus pyogenes Is Essential for Evasion from Neutrophils. J. Biol. Chem. 2006, 281, 14215–14223. [Google Scholar] [CrossRef]
- Wang, M.Y.; Wei, Y.H.; Yu, W.; Wang, L.Z.; Zhai, L.; Li, X.T.; Wang, X.T.; Zhang, H.; Feng, Z.Y.; Yu, L.Q.; et al. Identification of a Conserved Linear B-Cell Epitope in the Staphylococcus aureus GapC Protein. Microb. Pathog. 2018, 118, 39–47. [Google Scholar] [CrossRef] [PubMed]
- Arjunan, P.; Chandrasekhar, K.; Sax, M.; Brunskill, A.; Nemeria, N.; Jordan, F.; Furey, W. Structural Determinants of Enzyme Binding Affinity: The E1 Component of Pyruvate Dehydrogenase from Escherichia coli in Complex with the Inhibitor Thiamin Thiazolone Diphosphate. Biochemistry 2004, 43, 2405–2411. [Google Scholar] [CrossRef] [PubMed]
- He, J.B.; Feng, L.L.; Li, J.; Tao, R.J.; Ren, Y.L.; Wan, J.; He, H.W. Design, Synthesis and Molecular Modeling of Novel N-Acylhydrazone Derivatives as Pyruvate Dehydrogenase Complex E1 Inhibitors. Bioorg. Med. Chem. 2014, 22, 89–94. [Google Scholar] [CrossRef]
- Corona, L.; Cillara, G.; Tola, S. Proteomic Approach for Identification of Immunogenic Proteins of Mycoplasma mycoides Subsp. capri. Vet. Microbiol. 2013, 167, 434–439. [Google Scholar] [CrossRef]
- Zhao, P.; He, Y.; Chu, Y.F.; Gao, P.C.; Zhang, X.; Zhang, N.Z.; Zhao, H.Y.; Zhang, K.S.; Lu, Z.X. Identification of Novel Immunogenic Proteins in Mycoplasma capricolum Subsp. capripneumoniae Strain M1601. J. Vet. Med. Sci. 2012, 74, 1109–1115. [Google Scholar] [CrossRef]
- Pinto, P.M.; Chemale, G.; de Castro, L.A.; Costa, A.P.M.; Kich, J.D.; Vainstein, M.H.; Zaha, A.; Ferreira, H.B. Proteomic Survey of the Pathogenic Mycoplasma hyopneumoniae Strain 7448 and Identification of Novel Post-Translationally Modified and Antigenic Proteins. Vet. Microbiol. 2007, 121, 83–93. [Google Scholar] [CrossRef]
- Gao, Y.L.; Tang, X.Q.; Sheng, X.Z.; Xing, J.; Zhan, W.B. Immune Responses of Flounder Paralichthys olivaceus Vaccinated by Immersion of Formalin-Inactivated Edwardsiella tarda Following Hyperosmotic Treatment. Dis. Aquat. Org. 2015, 116, 111–120. [Google Scholar] [CrossRef]
- Li, Q.; Zhan, W.B.; Xing, J.; Sheng, X.Z. Production, Characterisation and Applicability of Monoclonal Antibodies to Immunoglobulin of Japanese Flounder (Paralichthys olivaceus). Fish Shellfish Immunol. 2007, 23, 982–990. [Google Scholar] [CrossRef]
- Xing, J.; Ma, J.J.; Tang, X.Q.; Sheng, X.Z.; Zhan, W.B. Characterizations of CD4-1, CD4-2 and CD8β T Cell Subpopulations in Peripheral Blood Leucocytes, Spleen and Head Kidney of Japanese Flounder (Paralichthys olivaceus). Mol. Immunol. 2017, 85, 155–165. [Google Scholar] [CrossRef] [PubMed]
- Xu, Q.Q.; Ma, X.J.; Wang, F.K.; Li, H.M.; Zhao, X.M. Evaluation of a Multi-Epitope Subunit Vaccine against Avian Leukosis Virus Subgroup J in Chickens. Virus Res. 2015, 210, 62–68. [Google Scholar] [CrossRef] [PubMed]
- Yang, X.D.; Yu, X.L. An Introduction to Epitope Prediction Methods and Software: Epitope Prediction Methods and Software. Rev. Med. Virol. 2009, 19, 77–96. [Google Scholar] [CrossRef]
- Parvizpour, S.; Pourseif, M.M.; Razmara, J.; Rafi, M.A.; Omidi, Y. Epitope-Based Vaccine Design: A Comprehensive Overview of Bioinformatics Approaches. Drug Discov. Today 2020, 25, 1034–1042. [Google Scholar] [CrossRef]
- De Groot, A.S.; Sbai, H.; Aubin, C.S.; McMurry, J.; Martin, W. Immuno-informatics: Mining Genomes for Vaccine Components. Immunol. Cell Biol. 2002, 80, 255–269. [Google Scholar] [CrossRef]
- Adekiya, T.A.; Aruleba, R.T.; Khanyile, S.; Masamba, P.; Oyinloye, B.E.; Kappo, A.P. Structural Analysis and Epitope Prediction of MHC Class-1-Chain Related Protein-A for Cancer Vaccine Development. Vaccines 2017, 6, 1. [Google Scholar] [CrossRef] [PubMed]
- Zhang, J.H.; Huang, H.Q.; Xu, L.; Lou, C.N.; Pan, M. Screening and Identification of Linear B Cell Epitopes Within the Nonstructural Proteins of Enterovirus 71. Viral Immunol. 2019, 32, 84–88. [Google Scholar] [CrossRef]
- Shamriz, S.; Ofoghi, H.; Moazami, N. Effect of Linker Length and Residues on the Structure and Stability of a Fusion Protein with Malaria Vaccine Application. Comput. Biol. Med. 2016, 76, 24–29. [Google Scholar] [CrossRef]
- Wang, Y.S.; Fan, H.J.; Li, Y.; Shi, Z.L.; Pan, Y.; Lu, C.P. Development of a Multi-Mimotope Peptide as a Vaccine Immunogen for Infectious Bursal Disease Virus. Vaccine 2007, 25, 4447–4455. [Google Scholar] [CrossRef]
- Zhang, Y.Q.; Zhang, T.T.; Li, J.N.; Liu, X.L.; Li, L. Design and Evaluation of a Tandemly Arranged Outer Membrane Protein U (OmpU) Multi-Epitope as a Potential Vaccine Antigen against Vibrio mimicus in Grass Carps (Ctenopharyngodon idella). Vet. Immunol. Immunopathol. 2014, 160, 61–69. [Google Scholar] [CrossRef]
- Liu, K.Y.; Shi, Y.; Luo, P.; Yu, S.; Chen, L.; Zhao, Z.; Mao, X.H.; Guo, G.; Wu, C.; Zou, Q.M. Therapeutic Efficacy of Oral Immunization with Attenuated Salmonella typhimurium Expressing Helicobacter pylori CagA, VacA and UreB Fusion Proteins in Mice Model. Vaccine 2011, 29, 6679–6685. [Google Scholar] [CrossRef] [PubMed]
- Yano, A.; Onozuka, A.; Asahi-Ozaki, Y.; Imai, S.; Hanada, N.; Miwa, Y.; Nisizawa, T. An Ingenious Design for Peptide Vaccines. Vaccine 2005, 23, 2322–2326. [Google Scholar] [CrossRef] [PubMed]
- Owen, M.; Gandecha, A.; Cockburn, B.; Whitelam, G. Synthesis of a Functional Anti–Phytochrome Single–Chain Fv Protein in Transgenic Tobacco. Nat. Biotechnol. 1992, 10, 790–794. [Google Scholar] [CrossRef]
- Liu, F.G.; Tang, X.Q.; Sheng, X.Z.; Xing, J.; Zhan, W.B. Edwardsiella tarda Outer Membrane Protein C: An Immunogenic Protein Induces Highly Protective Effects in Flounder (Paralichthys olivaceus) against Edwardsiellosis. Int. J. Mol. Sci. 2016, 17, 1117. [Google Scholar] [CrossRef]
- Xu, H.S.; Xing, J.; Tang, X.Q.; Sheng, X.Z.; Zhan, W.B. Intramuscular Administration of a DNA Vaccine Encoding OmpK Antigen Induces Humoral and Cellular Immune Responses in Flounder (Paralichthys olivaceus) and Improves Protection against Vibrio anguillarum. Fish Shellfish Immunol. 2019, 86, 618–626. [Google Scholar] [CrossRef]
- Jin, P.; Sun, F.; Liu, Q.; Wang, Q.Y.; Zhang, Y.X.; Liu, X.H. An Oral Vaccine Based on Chitosan/Aluminum Adjuvant Induces Both Local and Systemic Immune Responses in Turbot (Scophthalmus maximus). Vaccine 2021, 39, 7477–7484. [Google Scholar] [CrossRef] [PubMed]
- Lin, T.W.; Xing, J.; Tang, X.Q.; Sheng, X.Z.; Chi, H.; Zhan, W.B. Development and Evaluation of a Bicistronic DNA Vaccine against Nervous Necrosis Virus in Pearl Gentian Grouper (Epinephelus lanceolatus × Epinephelus fuscoguttatus). Vaccines 2022, 10, 946. [Google Scholar] [CrossRef]
- Wu, X.Y.; Xing, J.; Tang, X.Q.; Sheng, X.Z.; Chi, H.; Zhan, W.B. Protective Cellular and Humoral Immune Responses to Edwardsiella tarda in Flounder (Paralichthys olivaceus) Immunized by an Inactivated Vaccine. Mol. Immunol. 2022, 149, 77–86. [Google Scholar] [CrossRef]
- Munang’andu, H.M.; Evensen, Ø. Correlates of Protective Immunity for Fish Vaccines. Fish Shellfish Immunol. 2019, 85, 132–140. [Google Scholar] [CrossRef]
- Laing, K.J.; Zou, J.J.; Purcell, M.K.; Phillips, R.; Secombes, C.J.; Hansen, J.D. Evolution of the CD4 Family: Teleost Fish Possess Two Divergent Forms of CD4 in Addition to Lymphocyte Activation Gene-3. J. Immunol. 2006, 177, 3939–3951. [Google Scholar] [CrossRef]
- Edholm, E.S.; Stafford, J.L.; Quiniou, S.M.; Waldbieser, G.; Miller, N.W.; Bengtén, E.; Wilson, M. Channel Catfish, Ictalurus punctatus, CD4-like Molecules. Dev. Comp. Immunol. 2007, 31, 172–187. [Google Scholar] [CrossRef]
- Nonaka, S.; Somamoto, T.; Kato-Unoki, Y.; Ototake, M.; Nakanishi, T.; Nakao, M. Molecular Cloning of CD4 from Ginbuna Crucian Carp Carassius auratus langsdorfii. Fish. Sci. 2008, 74, 341–346. [Google Scholar] [CrossRef]
- Toda, H.; Saito, Y.; Koike, T.; Takizawa, F.; Araki, K.; Yabu, T.; Somamoto, T.; Suetake, H.; Suzuki, Y.; Ototake, M.; et al. Conservation of Characteristics and Functions of CD4 Positive Lymphocytes in a Teleost Fish. Dev. Comp. Immunol. 2011, 35, 650–660. [Google Scholar] [CrossRef] [PubMed]
- Zhou, W.Y.; Shi, Y.; Wu, C.; Zhang, W.J.; Mao, X.H.; Guo, G.; Li, H.X.; Zou, Q.M. Therapeutic Efficacy of a Multi-Epitope Vaccine against Helicobacter pylori Infection in BALB/c Mice Model. Vaccine 2009, 27, 5013–5019. [Google Scholar] [CrossRef] [PubMed]
- Ackerman, A.L.; Cresswell, P. Cellular Mechanisms Governing Cross-Presentation of Exogenous Antigens. Nat. Immunol. 2004, 5, 678–684. [Google Scholar] [CrossRef]
- Xu, T.J.; Chen, S.L.; Zhang, Y.X. MHC Class IIα Gene Polymorphism and Its Association with Resistance/Susceptibility to Vibrio anguillarum in Japanese Flounder (Paralichthys olivaceus). Dev. Comp. Immunol. 2010, 34, 1042–1050. [Google Scholar] [CrossRef]
- Plotkin, S.A. Correlates of Protection Induced by Vaccination. Clin. Vaccine Immunol. 2010, 17, 1055–1065. [Google Scholar] [CrossRef]
- Feng, L.Q.; Wang, Q.; Shan, C.; Yang, C.C.; Feng, Y.; Wu, J.; Liu, X.L.; Zhou, Y.W.; Jiang, R.D.; Hu, P.Y.; et al. An Adenovirus-Vectored COVID-19 Vaccine Confers Protection from SARS-COV-2 Challenge in Rhesus Macaques. Nat. Commun. 2020, 11, 4207. [Google Scholar] [CrossRef]
- Wang, H.; Zhang, Y.T.; Huang, B.Y.; Deng, W.; Quan, Y.R.; Wang, W.L.; Xu, W.B.; Zhao, Y.X.; Li, N.; Zhang, J.; et al. Development of an Inactivated Vaccine Candidate, BBIBP-CorV, with Potent Protection against SARS-CoV-2. Cell 2020, 182, 713–721.e9. [Google Scholar] [CrossRef]
- Zhou, X.J.; Xing, J.; Tang, X.Q.; Zhan, W.B. Evaluation of Bivalent Vaccines Candidates among VAA, OmpK and OmpR from Vibrio anguillarum in Flounder (Paralichthys olivaceus). Dev. Comp. Immunol. 2018, 85, 1–9. [Google Scholar] [CrossRef]
- Yılmaz, S.; Ergün, S. Trans-Cinnamic Acid Application for Rainbow Trout (Oncorhynchus mykiss): I. Effects on Haematological, Serum Biochemical, Non-Specific Immune and Head Kidney Gene Expression Responses. Fish Shellfish Immunol. 2018, 78, 140–157. [Google Scholar] [CrossRef] [PubMed]
- Xu, H.Y.; Hu, C.M.; Gong, R.; Chen, Y.Y.; Ren, N.N.; Xiao, G.W.; Xie, Q.; Zhang, M.M.; Liu, Q.; Guo, A.Z.; et al. Evaluation of a Novel Chimeric B Cell Epitope-Based Vaccine against Mastitis Induced by Either Streptococcus agalactiae or Staphylococcus aureus in Mice. Clin. Vaccine Immunol. 2011, 18, 893–900. [Google Scholar] [CrossRef] [PubMed]








| Protein | No. | Amino Acid Sequence and Position | Mean Antigen Index |
|---|---|---|---|
| Pyruvate dehydrogenase E1 subunit alpha (PDHA1) | P1 | NHRGHGQSIAKDMD (aa65-78) | 1.85 |
| P2 | AGKATGVSKGRGGS (aa87-100) | 2.48 | |
| P3 | KYRTKEEVDAWKEK (aa252-265) | 2.01 | |
| P4 | RAYLTAEGIATDEE (aa 272-285) | 1.02 | |
| Glyceraldehyde-3-phospate dehydrogenase (GAPDH) | G1 | GRLAFRRIQNVEGV (aa1-14) | 1.73 |
| G2 | TRINDLTDPNMLAH (aa 17-30) | 1.20 | |
| G3 | SAEREPANIDWATD (aa62-75) | 1.96 | |
| G4 | GAKKVVITAPGGND (aa101-114) | 1.48 |
| Group | Significance | |||||
|---|---|---|---|---|---|---|
| PBS | FKC | rPDHA1 | rGAPDH | rMEPIP | rMEPIG | |
| PBS | 0.0024 * | 0.0001 * | 0.0001 * | 0.0001 * | 0.0001 * | |
| FKC | 0.0024 * | 0.1623 ns | 0.2519 ns | 0.0533 ns | 0.0360 * | |
| rPDHA1 | 0.0001 * | 0.1623 ns | 0.5697 ns | |||
| rGAPDH | 0.0001 * | 0.2519 ns | 0.2888 ns | |||
| rMEPIP | 0.0001 * | 0.0533 ns | 0.5697 ns | |||
| rMEPIG | 0.0001 * | 0.0360 * | 0.2888 ns | |||
Disclaimer/Publisher’s Note: The statements, opinions and data contained in all publications are solely those of the individual author(s) and contributor(s) and not of MDPI and/or the editor(s). MDPI and/or the editor(s) disclaim responsibility for any injury to people or property resulting from any ideas, methods, instructions or products referred to in the content. |
© 2023 by the authors. Licensee MDPI, Basel, Switzerland. This article is an open access article distributed under the terms and conditions of the Creative Commons Attribution (CC BY) license (https://creativecommons.org/licenses/by/4.0/).
Share and Cite
Sheng, X.; Zhang, H.; Liu, M.; Tang, X.; Xing, J.; Chi, H.; Zhan, W. Development and Evaluation of Recombinant B-Cell Multi-Epitopes of PDHA1 and GAPDH as Subunit Vaccines against Streptococcus iniae Infection in Flounder (Paralichthys olivaceus). Vaccines 2023, 11, 624. https://doi.org/10.3390/vaccines11030624
Sheng X, Zhang H, Liu M, Tang X, Xing J, Chi H, Zhan W. Development and Evaluation of Recombinant B-Cell Multi-Epitopes of PDHA1 and GAPDH as Subunit Vaccines against Streptococcus iniae Infection in Flounder (Paralichthys olivaceus). Vaccines. 2023; 11(3):624. https://doi.org/10.3390/vaccines11030624
Chicago/Turabian StyleSheng, Xiuzhen, Honghua Zhang, Min Liu, Xiaoqian Tang, Jing Xing, Heng Chi, and Wenbin Zhan. 2023. "Development and Evaluation of Recombinant B-Cell Multi-Epitopes of PDHA1 and GAPDH as Subunit Vaccines against Streptococcus iniae Infection in Flounder (Paralichthys olivaceus)" Vaccines 11, no. 3: 624. https://doi.org/10.3390/vaccines11030624
APA StyleSheng, X., Zhang, H., Liu, M., Tang, X., Xing, J., Chi, H., & Zhan, W. (2023). Development and Evaluation of Recombinant B-Cell Multi-Epitopes of PDHA1 and GAPDH as Subunit Vaccines against Streptococcus iniae Infection in Flounder (Paralichthys olivaceus). Vaccines, 11(3), 624. https://doi.org/10.3390/vaccines11030624

