Membranous Nephropathy following Full-Dose of Inactivated SARS-CoV-2 Virus Vaccination: A Case Report and Literature Review
Abstract
1. Background
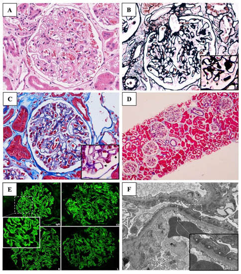
2. Case Presentation
3. Discussion
| No. | Study | Age | G | Vaccine Type | Dose | Onset | Serum Albumin (g/L) | Serum Creatinine (mg/dL) | Hematuria (/HPF) | Proteinuria (g/g Creatinine) | De Novo/ Relapse GN | Type of MN | Treatment | Outcome |
|---|---|---|---|---|---|---|---|---|---|---|---|---|---|---|
| 1. | This case | 53 | M | Sinovac | 2nd | 1 d | 2.3 | 1.5 | 3–5 | 13.4 | De novo | Neg only PLA2R | GC, CY 3 mo. | Response |
| 2. | Aydin [12], 2021 | 66 | F | Sinovac | 1st | 2 wk | 2.6 | 2.78 | N/A | 9.42 | Relapse | PLA2R | N/A | N/A |
| 3. | Caza [11], 2021 | 54 | M | Moderna | 2nd | 1 d | 3.4 | 1.3 | Pos | 3+ | De novo | 1 PLA2R, 1 EXT, 1 neg PLA2R/ EXT | GC Rituximab | No response |
| 4. | 68 | M | J + J | 1st | <4 wk | 3.2 | 3.3 | Neg | 0.6 | De novo | Conservative | Partial response | ||
| 5. | 47 | M | Moderna | 2nd | 6 d | 2.3 | 0.7 | Pos | 2.7 | De novo | None | Partial response | ||
| 6. | Klomjit [10], 2021 | 50 | F | Pfizer | 2nd | 4 wk | 3.5 | 0.7 | 3–10 | 6.5 | De novo | NELL-1 | Conservative | Response |
| 7. | 39 | M | Pfizer | 2nd | 1 wk | 2 | 1.13 | 3–10 | 8.7 | Relapse | PLA2R | TAC | Response | |
| 8. | 70 | M | Moderna | 2nd | 4 wk | 2.7 | 2.1 | <3 | 16.6 | Relapse | PLA2R | Obinutuzumab | N/A | |
| 9. | Gueguen [25], 2021 | 76 | M | Pfizer Moderna | 1st 2nd | 4 d N/A | 1.6 2.2 | 0.86 1.15 | Pos N/A | 6.5 3.8 | De novo Relapse | PLA2R N/A | Conservative/Rituximab | Partial response |
| 10. | Da [31], 2021 | 70 | M | Pfizer | 1st | 1 wk | 1.7 | 1.29 | N/A | 4.4 | De novo | THSD7A | Conservative | No response |
| 11. | Liang [32], 2021 | 62 | F | Moderna | 2nd | 1 mo | N/A | 1.6 | N/A | 11.2 | Relapse | PLA2R | Conservative/Rituximab | N/A |
| 12. | Chavarot [28], 2022 | 66 | M | Pfizer | 2nd | 8 wk | N/A | 1.36 | N/A | Neg | De novo post-KT | PLA2R | Conservative | N/A |
| 13. | Psyllaki [24], 2022 | 68 | M | Pfizer | 1st | 7 d | 2.9 | GFR 70 mL/min/1.73 m2 | N/A | 19 | De novo | PLA2R | Rituximab | Partial response |
| 14. | Fenoglio [22], 2022 | 82 | F | Pfizer | 2nd | 88 d | N/A | N/A | N/A | NS | De novo | Neg PLA2R, THSD7A | GC | N/A |
| 15. | 67 | F | Pfizer | 2nd | 89 d | N/A | N/A | N/A | NS | De novo | Neg PLA2R, THSD7A | Rituximab | N/A | |
| 16. | 82 | M | Pfizer | 2nd | 29 d | N/A | N/A | N/A | NS | De novo | PLA2R | Rituximab | N/A | |
| 17. | Rashid [27], 2022 | 56 | M | Moderna | 1st | 4 wk | 2.2 | 13.96 | Blood 2+ | 12.2 | De novo | PLA2R | Hemodialysis Rituximab | Response |
| 18. | Visch [21], 2022 | 80 | M | Pfizer | 2nd | 4 wk | 2.6 | 1.32 | N/A | 5 | Relapse | PLA2R | Rituximab | No response |
| 19. | 60 | M | Pfizer | 2nd | 6 wk | 1.7 | 1.92 | N/A | 5 | Relapse | PLA2R | Rituximab/CY/ GC | Response | |
| 20. | 77 | F | Pfizer | 1st | 4 wk | 2.2 | 0.7 | N/A | 12.5 | Relapse | PLA2R | Tacrolimus | Response | |
| 21. | 78 | M | Pfizer | 2nd | 1 wk | 3.4 | 1.87 | N/A | 4.9 | Relapse | N/A | GC | Response | |
| 22. | 48 | M | Pfizer | 2nd | 3 wk | 3.1 | 1.41 | N/A | 1.7 | Relapse | PLA2R | Conservative | No response | |
| 23. | 56 | M | Pfizer | 2nd | 2 wk | 3.2 | 1.47 | N/A | 3.4 | Relapse | PLA2R | Conservative | No response | |
| 24. | 84 | M | Pfizer | 2nd | 10 wk | 3.3 | 1.55 | N/A | 3 | Relapse | PLA2R | Tacrolimus/GC→ Rituximab | Response | |
| 25. | 39 | M | Pfizer | 2nd | 4 wk | 1.8 | 1.38 | N/A | 3.7 | De novo Worsening | PLA2R | Rituximab/CY/ GC | Response | |
| 26. | 75 | M | Pfizer | 2nd | 2 wk | 2.1 | 0.88 | N/A | 8 | De novo Worsening | PLA2R | Rituximab/CY/ GC | N/A | |
| 27. | 48 | M | Pfizer | 1st | 2 wk | 2.5 | 1.26 | N/A | 2.22 | De novo Worsening | PLA2R | Rituximab/CY/ GC | Response | |
| 28. | 58 | M | Pfizer | 2nd | 3 wk | 2.4 | 1.02 | N/A | 8 | De novo Worsening | PLA2R | Tacrolimus | Response | |
| 29. | Zhao [13], 2022 | 57 | W | Sinovac | 1st 2nd | 1 d 1 d | N/A 2.85 | N/A 0.42 | N/A 1+ | N/A 1.6 | De novo Relapse | PLA2R | Conservative | Partial response |
| 30. | Paxton [26], 2022 | 22 | M | Pfizer | 2nd | 4 wk | 8 | 0.72 | N/A | 7 | De novo | PLA2R | Rituximab | Partial response |
| 31. | Saigal [33], 2022 | 32 | M | Astra Zeneca | N/A | 14 d | N/A | N/A | N/A | N/A | De novo | N/A | GC/CY | Partial response |
| 32. | 47 | M | Astra Zeneca | N/A | 11 d | N/A | N/A | N/A | N/A | De novo | N/A | Conservative | Response | |
| 32. | Pitre [34], 2022 | 65 | F | J + J | 1st | 5 mo | N/A | 1.7 | N/A | 1.7 | De novo | PLA2R | GC | Partial response |
| 33. | Ma [19], 2022 | 42 | F | Astra Zeneca | 1st | 2 wk | 1.6 | 0.8 | N/A | 16 | N/A | N/A | GC/MMF | Response |
Author Contributions
Funding
Institutional Review Board Statement
Informed Consent Statement
Data Availability Statement
Conflicts of Interest
References
- Kyriakidis, N.C.; López-Cortés, A.; González, E.V.; Grimaldos, A.B.; Prado, E.O. SARS-CoV-2 vaccines strategies: A comprehensive review of phase 3 candidates. NPJ Vaccines 2021, 6, 28. [Google Scholar] [CrossRef]
- Cheng, H.; Peng, Z.; Luo, W.; Si, S.; Mo, M.; Zhou, H.; Xin, X.; Liu, H.; Yu, Y. Efficacy and Safety of COVID-19 Vaccines in Phase III Trials: A Meta-Analysis. Vaccines 2021, 9, 582. [Google Scholar] [CrossRef]
- Torres, R.; Toro, L.; Sanhueza, M.E.; Lorca, E.; Ortiz, M.; Pefaur, J.; Clavero, R.; Machuca, E.; Gonzalez, F.; Herrera, P.; et al. Clinical Efficacy of SARS-CoV-2 Vaccination in Hemodialysis Patients. Kidney Int. Rep. 2022, 7, 2176–2185. [Google Scholar] [CrossRef]
- Ashby, D.R.; Caplin, B.; Corbett, R.W.; Asgari, E.; Kumar, N.; Sarnowski, A.; Hull, R.; Makanjuola, D.; Cole, N.; Chen, J.; et al. Severity of COVID-19 after Vaccination among Hemodialysis Patients: An Observational Cohort Study. Clin. J. Am. Soc. Nephrol. 2022, 17, 843–850. [Google Scholar] [CrossRef] [PubMed]
- Boongird, S.; Chuengsaman, P.; Setthaudom, C.; Nongnuch, A.; Assanatham, M.; Phanprasert, S.; Kitpermkiat, R.; Kiertiburanakul, S.; Malathum, K.; Phuphuakrat, A.; et al. Short-Term Immunogenicity Profiles and Predictors for Suboptimal Immune Responses in Patients with End-Stage Kidney Disease Immunized with Inactivated SARS-CoV-2 Vaccine. Infect. Dis. Ther. 2022, 11, 351–365. [Google Scholar] [CrossRef] [PubMed]
- Carr, E.J.; Wu, M.; Harvey, R.; Wall, E.C.; Kelly, G.; Hussain, S.; Howell, M.; Kassiotis, G.; Swanton, C.; Gandhi, S.; et al. Neutralising antibodies after COVID-19 vaccination in UK haemodialysis patients. Lancet 2021, 398, 1038–1041. [Google Scholar] [CrossRef]
- Tanriover, M.D.; Doğanay, H.L.; Akova, M.; Güner, H.R.; Azap, A.; Akhan, S.; Köse, Ş.; Erdinç, F.; Akalın, E.H.; Tabak, Ö.F.; et al. Efficacy and safety of an inactivated whole-virion SARS-CoV-2 vaccine (CoronaVac): Interim results of a double-blind, randomised, placebo-controlled, phase 3 trial in Turkey. Lancet 2021, 398, 213–222. [Google Scholar] [CrossRef]
- Jara, A.; Undurraga, E.A.; González, C.; Paredes, F.; Fontecilla, T.; Jara, G.; Pizarro, A.; Acevedo, J.; Leo, K.; Leon, F.; et al. Effectiveness of an Inactivated SARS-CoV-2 Vaccine in Chile. N. Engl. J. Med. 2021, 385, 875–884. [Google Scholar] [CrossRef] [PubMed]
- Palacios, R.; Patiño, E.G.; de Oliveira Piorelli, R.; Conde, M.; Batista, A.P.; Zeng, G.; Xin, Q.; Kallas, E.G.; Flores, J.; Ockenhouse, C.F.; et al. Double-Blind, Randomized, Placebo-Controlled Phase III Clinical Trial to Evaluate the Efficacy and Safety of treating Healthcare Professionals with the Adsorbed COVID-19 (Inactivated) Vaccine Manufactured by Sinovac—PROFISCOV: A structured summary of a study protocol for a randomised controlled trial. Trials 2020, 21, 853. [Google Scholar] [CrossRef]
- Klomjit, N.; Alexander, M.P.; Fervenza, F.C.; Zoghby, Z.; Garg, A.; Hogan, M.C.; Nasr, S.H.; Minshar, M.A.; Zand, L. COVID-19 Vaccination and Glomerulonephritis. Kidney Int. Rep. 2021, 6, 2969–2978. [Google Scholar] [CrossRef]
- Caza, T.N.; Cassol, C.A.; Messias, N.; Hannoudi, A.; Haun, R.S.; Walker, P.D.; May, R.M.; Seipp, R.M.; Betchick, E.J.; Amin, H.; et al. Glomerular Disease in Temporal Association with SARS-CoV-2 Vaccination: A Series of 29 Cases. Kidney360 2021, 2, 1770–1780. [Google Scholar] [CrossRef] [PubMed]
- Aydın, M.F.; Yıldız, A.; Oruç, A.; Sezen, M.; Dilek, K.; Güllülü, M.; Yavuz, M.; Ersoy, A. Relapse of primary membranous nephropathy after inactivated SARS-CoV-2 virus vaccination. Kidney Int. 2021, 100, 464–465. [Google Scholar] [CrossRef] [PubMed]
- Zhao, Y.Z.L.; Wang, G.; Guan, J.; Pai, P. The Development of De novo Acute Tubulointerstitial Nephritis and Membranous Nephropathy Following Inactivated COVID-19 Vaccine: Causal or Casual? Clin. Case Rep. Int. 2022, 6, 1344. [Google Scholar]
- KDIGO 2021 Clinical Practice Guideline for the Management of Glomerular Diseases. Kidney Int. 2021, 100, S1–S276. [CrossRef]
- Carr, E.J.; Kronbichler, A.; Graham-Brown, M.; Abra, G.; Argyropoulos, C.; Harper, L.; Lerma, E.V.; Suri, R.S.; Topf, J.; Willicombe, M.; et al. Systematic Review of Early Immune Response to SARS-CoV-2 Vaccination Among Patients with Chronic Kidney Disease. Kidney Int. Rep. 2021, 6, 2292–2304. [Google Scholar] [CrossRef] [PubMed]
- Zhang, J.; Cao, J.; Ye, Q. Renal Side Effects of COVID-19 Vaccination. Vaccines 2022, 10, 1783. [Google Scholar] [CrossRef]
- Patel, C.; Shah, H.H. Membranous nephropathy and severe acute kidney injury following influenza vaccination. Saudi J. Kidney Dis. Transpl. 2015, 26, 1289–1293. [Google Scholar] [CrossRef]
- Kostianovsky, A.; Charles, P.; Alves, J.F.; Goulet, M.; Pagnoux, C.; Le Guern, V.; Mouthon, L.; Krivine, A.; Villiger, P.; Launay, O.; et al. Immunogenicity and safety of seasonal and 2009 pandemic A/H1N1 influenza vaccines for patients with autoimmune diseases: A prospective, monocentre trial on 199 patients. Clin. Exp. Rheumatol. 2012, 30, S83–S89. [Google Scholar]
- Ma, Q.; Li, X.; Xu, G. New-Onset and Relapsed Membranous Nephropathy post SARS-CoV-2 and COVID-19 Vaccination. Viruses 2022, 14, 2143. [Google Scholar] [CrossRef]
- McDonald, I.; Murray, S.M.; Reynolds, C.J.; Altmann, D.M.; Boyton, R.J. Comparative systematic review and meta-analysis of reactogenicity, immunogenicity and efficacy of vaccines against SARS-CoV-2. NPJ Vaccines 2021, 6, 74. [Google Scholar] [CrossRef] [PubMed]
- Visch, R.; Wetzels, J.; Vink, C.; van de Logt, A.E. COVID-19 Vaccination in Patients with Membranous Nephropathy. Kidney Int. Rep. 2022, 7, 1922–1923. [Google Scholar] [CrossRef] [PubMed]
- Fenoglio, R.; Lalloni, S.; Marchisio, M.; Oddone, V.; De Simone, E.; Del Vecchio, G.; Sciascia, S.; Roccatello, D. New Onset Biopsy-Proven Nephropathies after COVID Vaccination. Am. J. Nephrol. 2022, 53, 325–330. [Google Scholar] [CrossRef] [PubMed]
- Natori, Y.; Shindo, N.; Natori, Y. Proteinuria induced by anti-dipeptidyl peptidase IV (gp108); role of circulating and glomerular antigen. Clin. Exp. Immunol. 1994, 95, 327–332. [Google Scholar] [CrossRef] [PubMed]
- Psyllaki, A.; Stavrakaki, I.; Androvitsanea, A.; Gakiopoulou, H.; Petrakis, I.; Stylianou, K. Two cases of glomerular involvement after vaccination against COVID-19: Epiphenomenon or causality? Clin. Kidney J. 2022, 15, 574–575. [Google Scholar] [CrossRef] [PubMed]
- Gueguen, L.; Loheac, C.; Saidani, N.; Khatchatourian, L. Membranous nephropathy following anti-COVID-19 mRNA vaccination. Kidney Int. 2021, 100, 1140–1141. [Google Scholar] [CrossRef]
- Paxton, L.; McMahon, L.; Wong, L. De novo PLA2R positive membranous nephropathy following BNT162b2 mRNA COVID-19 vaccine. Intern. Med. J. 2022; online ahead of print. [Google Scholar] [CrossRef]
- Rashid, W.; Mousa, H.; Khan, J.; Ijaz, F.; Ezell, G.D. A Case of Membranous Nephropathy Hypothesized to be Associated With COVID-19 Vaccine. Cureus 2022, 14, e24245. [Google Scholar] [CrossRef]
- Chavarot, N.; Padden, M.; Amrouche, L.; Malard, S.; Scemla, A.; Sberro-Soussan, R.; Léon, J.; Legendre, C.; Duong, J.P.; Zuber, J.; et al. De novo posttransplant membranous nephropathy following BNT162b2 mRNA COVID-19 vaccine in a kidney transplant recipient. Am. J. Transplant 2022, 22, 3188–3189. [Google Scholar] [CrossRef]
- Salant, D.J.; Quigg, R.J.; Cybulsky, A.V. Heymann nephritis: Mechanisms of renal injury. Kidney Int. 1989, 35, 976–984. [Google Scholar] [CrossRef]
- Izzedine, H.; Bonilla, M.; Jhaveri, K.D. Nephrotic syndrome and vasculitis following SARS-CoV-2 Vaccine: True association or circumstantial? Nephrol. Dial. Transplant. 2021, 36, 1565–1569. [Google Scholar] [CrossRef]
- Da, Y.; Goh, G.H.; Khatri, P. A Case of Membranous Nephropathy Following Pfizer-BioNTech mRNA vaccine against Coronavirus 2019. Kidney Int. 2021, 100, 938–939. [Google Scholar] [CrossRef] [PubMed]
- Liang, K.V.; Kurtz, E.C.; Pittappilly, M.; Ahmad, S.; Minervini, M.I. Primary membranous nephropathy flare after COVID-19 vaccination. J. Am. Soc. Nephrol. 2021, 32, 485. [Google Scholar]
- Saigal, M.; Taduri, G.; Gudditi, S.; Herur, S.; Alaparthi, P.; Kinjarapu, S. POS-872 Post covid vaccination- new onset glomerulonephritis—A mere co incidence or a impending reality? Kidney Int. Rep. 2022, 7, S377. [Google Scholar] [CrossRef]
- Martinez-Pitre, P.J.; Fogo, A.B.; Alqudsi, M. 337 Relapse of Membranous Nephropathy and Renal Sarcoidosis Following Exposure to SARS-CoV-2 Vaccine (Johnson & Johnson). Am. J. Kidney Dis. 2022, 79, S102–S103. [Google Scholar] [CrossRef]


Disclaimer/Publisher’s Note: The statements, opinions and data contained in all publications are solely those of the individual author(s) and contributor(s) and not of MDPI and/or the editor(s). MDPI and/or the editor(s) disclaim responsibility for any injury to people or property resulting from any ideas, methods, instructions or products referred to in the content. |
© 2022 by the authors. Licensee MDPI, Basel, Switzerland. This article is an open access article distributed under the terms and conditions of the Creative Commons Attribution (CC BY) license (https://creativecommons.org/licenses/by/4.0/).
Share and Cite
Thammathiwat, T.; Chompuk, L.; Worawichawong, S.; Boonpucknavig, V.; Sirilak, S.; Pongcharoen, S.; Pichitsiri, W.; Kanjanabuch, T. Membranous Nephropathy following Full-Dose of Inactivated SARS-CoV-2 Virus Vaccination: A Case Report and Literature Review. Vaccines 2023, 11, 80. https://doi.org/10.3390/vaccines11010080
Thammathiwat T, Chompuk L, Worawichawong S, Boonpucknavig V, Sirilak S, Pongcharoen S, Pichitsiri W, Kanjanabuch T. Membranous Nephropathy following Full-Dose of Inactivated SARS-CoV-2 Virus Vaccination: A Case Report and Literature Review. Vaccines. 2023; 11(1):80. https://doi.org/10.3390/vaccines11010080
Chicago/Turabian StyleThammathiwat, Theerachai, Laor Chompuk, Suchin Worawichawong, Vijitr Boonpucknavig, Supinda Sirilak, Sutatip Pongcharoen, Watchara Pichitsiri, and Talerngsak Kanjanabuch. 2023. "Membranous Nephropathy following Full-Dose of Inactivated SARS-CoV-2 Virus Vaccination: A Case Report and Literature Review" Vaccines 11, no. 1: 80. https://doi.org/10.3390/vaccines11010080
APA StyleThammathiwat, T., Chompuk, L., Worawichawong, S., Boonpucknavig, V., Sirilak, S., Pongcharoen, S., Pichitsiri, W., & Kanjanabuch, T. (2023). Membranous Nephropathy following Full-Dose of Inactivated SARS-CoV-2 Virus Vaccination: A Case Report and Literature Review. Vaccines, 11(1), 80. https://doi.org/10.3390/vaccines11010080

