Abstract
Botulism is a paralytic disease caused by botulinum neurotoxins (BoNTs). Equine antitoxin is currently the standard therapy for botulism in human. The preparation of equine antitoxin relies on the immunization of horses with botulinum toxoid, which suffers from low yield and safety limitations. The Hc fragment of BoNTs was suggested to be a potent antibotulinum subunit vaccine. The current study presents a comparative evaluation of equine-based toxoid-derived antitoxin (TDA) and subunit-derived antitoxin (SDA). The potency of recombinant Hc/A, Hc/B, and Hc/E in mice was similar to that of toxoids of the corresponding serotypes. A single boost with Hc/E administered to a toxoid E-hyperimmune horse increased the neutralizing antibody concentration (NAC) from 250 to 850 IU/mL. Immunization of naïve horses with the recombinant subunits induced a NAC comparable to that of horses immunized with the toxoid. SDA and TDA bound common epitopes on BoNTs, as demonstrated by an in vitro competition binding assay. In vivo, SDA and TDA showed similar efficacy when administered to guinea pigs postexposure to a lethal dose of botulinum toxins. Collectively, the results of the current study suggest that recombinant BoNT subunits may replace botulinum toxoids as efficient and safe antigens for the preparation of pharmaceutical anti-botulinum equine antitoxins.
1. Introduction
Botulism is a neurologic and paralytic disease that is caused by botulinum neurotoxins (BoNTs) produced mainly by the bacterium Clostridium botulinum. BoNTs are regarded as the most potent toxins in nature and are therefore classified as tier 1 select agents by the Centers for Disease Control and Prevention (CDC) []. There are at least seven serotypes of BoNTs (A-G), of which serotypes A, B and E and rarely F are responsible for most cases of human botulism []. BoNTs are proteins of ~150 kDa consisting of a 50 kDa light chain (LC) and a 100 kDa heavy chain linked by a disulfide bridge [].
BoNTs exert their toxicity within cholinergic nerve cells, mainly in neuromuscular junctions, by blocking exocytosis at the nerve endings, thus resulting in symmetrical cranial nerve palsies followed by descending, symmetrical flaccid paralysis. The molecular mechanism of action includes three steps []. First, the toxin binds to receptors on the presynaptic nerve ending. The C-terminal portion of the toxin heavy chain (designated the HC fragment) is responsible for this action. Second, the LC is internalized and released into the cytosol; this process is facilitated by the translocation domain on the N-terminus of the heavy chain (HN). Third, one of three soluble N-ethylmaleimide-sensitive factor attachment protein receptor (SNARE) proteins is cleaved by the LC, which is a zinc-dependent endopeptidase. SNARE cleavage prevents the release of the neurotransmitter acetylcholine from nerve cells into synapses, thereby hindering the transmission of the neurologic signal to the muscle [,,].
Currently, no licensed vaccine for the prevention of botulism in humans is available, and the only approved drug therapy for botulism is an immunoglobulin-based antitoxin aimed at neutralizing circulating toxin molecules. While human-derived immunoglobulin (BabyBIG®; Baxalta Inc., Westlake Village, CA, USA and Cangene bioPharma Inc., Baltimore, MD, USA) was developed as a specific treatment for infant botulism, the standard therapy for botulism in adults is based on treatment with equine-derived antitoxins such as BAT® (Botulism Antitoxin Heptavalent, Emergent BioSolutions, Gaithersburg, MD, USA) [] and IIBR []. These antibody preparations are obtained from hyperimmunized horses vaccinated with toxins or with formalin-inactivated toxins (toxoids) [,]. However, the toxoid manufacturing process is expensive and involves laborious efforts under strict safety conditions for its preparation. These concerns have led to the exploration of alternative approaches for the development of next-generation BoNT antitoxins. The main efforts have been focused on the establishment of a recombinant HC fragment vaccine since it is nontoxic, safely produced, and carries most of the neutralizing epitopes [,]. Indeed, vaccination of mice with HC fragment preparations elicited protective immunity against challenges with high doses of homologous toxin [,,,]. In accordance with these data, we previously reported the development of recombinant HC proteins of botulinum toxins A, B, and E (HC/A, HC/B, and HC/E, respectively) [,,].
To study the potential of HC fragments to serve as alternative antigens for the preparation of botulinum antitoxin, horses were immunized in the current study with recombinant HC/A, HC/B, and HC/E. The immunogenicity, neutralizing potency and efficacy of these preparations are described in comparison to those of the common toxoid-derived antitoxin (TDA). The study shows that HC/A-, HC/B-, and HC/E-derived antitoxins present similar potency and efficacy compared to that of the TDA. This demonstrates that recombinant HC/A, HC/B, and HC/E can be applied instead of botulinum toxoids as effective antigens for the manufacturing of pharmaceutical anti-botulinum equine antitoxins.
2. Materials and Methods
2.1. Ethics Statement
All animal experiments were performed in accordance with Israeli law and were approved by the Ethics Committee for Animal Experiments at the Israel Institute for Biological Research (protocols: GP-02-19, approval date 17 April 2019; M-65-17, approval date 30 October 2017; and H-02-2014, approval date 11 August 2014).
2.2. Bacteria and Toxin
The expression and purification of HC/A and HC/B was described previously [,]. For HC/E, a synthetic gene encoding amino acids 845–1252 of BoNT/E (NCTC11219) with optimized codon usage for E. coli was prepared (by Genscript). The gene was cloned into pET-9a. The expression and purification of HC/E was as described []. Clostridium botulinum A, B, and E strains were obtained from the Israel Institute for Biological Research collection (strains A198, B592, and E450, respectively). Sequence analysis revealed conformity of the neurotoxin genes with serotypes 62A (GenBank accession number M30196, subtype A1), Danish (GenBank accession number M81186, subtype B1), and NCTC11219 (GenBank accession number X62683, subtype E1) for Clostridium botulinum types A, B, and E, respectively [,,]. Toxins were prepared from concentrated supernatants of cultures grown for 6 days in anaerobic culture tubes. BoNT/E was activated with trypsin (0.1% at 37 °C for 45 min). The activity of all toxin preparations was at least 3 × 105 mouse 50% lethal dose (MsLD50)/mL. BoNT toxoids were prepared by incubation of the toxin in the presence of 0.2% formalin at 30 °C for 28 days, followed by extensive dialysis against 50 mM citrate buffer (pH 5.5).
2.3. Potency in Mice
Mice (CD-1, n = 5, Charles River UK) were vaccinated with nine doses of HC fragment or toxoid (2-fold dilution factor between sequential groups). The antigens were adsorbed to aluminum hydroxide (0.5% w/v final concentration of Al(OH)3). The vaccines were administered subcutaneously. For serotypes A and B, mice were vaccinated once with either the HC fragment or the toxoid and challenged three weeks later with 1000 MsLD50 of the homologous serotype of botulinum toxin. For serotype E, mice were immunized three times with either the HC fragment or the toxoid and challenged with 1000 MSLD50 of BoNT/E 10 days after the last immunization. Mice were monitored for survival for 10 days post-challenge.
2.4. Horse Immunization
Horses of mixed races were purchased from local Israeli vendors. The horse immunization regimen included three primary vaccinations with 10 mg of HC fragment adsorbed to aluminum hydroxide (0.5% w/v final concentration of Al(OH)3) with a one-month interval. Thereafter, the horses were immunized every three months with 20 mg of adjuvant-free HC fragment. The vaccines were administered subcutaneously into several sites between the shoulders and thigh. Horse vaccination with the toxoid was described previously []. The neutralizing antibody concentration was determined according to the European pharmacopoeia [].
2.5. Horse IgG Subclass Analysis
The analysis included two plasma samples from each horse vaccinated either with the HC fragment or the toxoid. First, the total horse IgG was determined in each sample as described []. Thereafter, each sample was serially diluted 2-fold in coating buffer (50 mM Na2CO3, pH 9.6) from 1000 to 15.6 ng/mL and adsorbed to 96-well polycarbonate plates in duplicate (50 µL per well, 4 °C overnight incubation). The plates were then washed (0.9% NaCl, 0.05% Tween 20) and blocked for 1 h at 37 °C with TSTA buffer (50 mM Tris, 0.9% NaCl, 0.05% Tween 20, 2% bovine serum albumin; 200 µL per well). After washing, the plates were incubated (1 h, 37 °C) with a detecting antibody specific to the determined subclass. For IgGa and IgGb, the detection antibodies were mouse anti-horse IgGa (diluted 1:1000) and mouse anti-horse IgGb (diluted 1:1000), respectively. The plates were washed and incubated (1 h, 37 °C) with an alkaline phosphatase-conjugated donkey anti-mouse antibody (diluted 1:1000). Finally, the plates were washed, p-nitrophenyl phosphate was added, and the absorbance at 405 nm was determined after 12 min. The total IgG concentration that yielded absorbance above a threshold value of 0.1 was determined as the IgG titer. For IgG(T), the detection antibody was horseradish-peroxidase (HRP)-conjugated goat anti-horse IgG(T) (diluted 1:2000) (BioRad). Following the washing steps, Sure Blue Reserve TMB 1-component was added. The reaction was stopped with 0.5 N H2SO4 after 12 min, and the absorbance at 450 nm was determined. For each sample, the total IgG concentration that yielded absorbance above a threshold value of 0.1 was determined as the IgG titer.
2.6. Competitive ELISA
The assay included mixing several concentrations of horse anti-toxoid antibody with HRP-conjugated horse anti-HC fragment antibody (prepared using a Lighting Link HRP conjugation kit, Innova Bioscience) at a constant concentration and transferring the mixture into a 96-well plate coated with toxoid. Following incubation (37 °C, 1 h), unbound antibodies were washed, and the assay was developed with Sure Blue Reserve TMB 1-component for 15 min. After the addition of stop solution, the absorbance was determined at 450 nm. The absorbance results were normalized to the absorbance obtained in control wells in which naïve horse antibody at the lowest dilution used for the corresponding horse anti-toxoid antibody was incubated with HRP-conjugated horse anti-HC fragment.
2.7. Postexposure Antitoxin Treatment in Intoxicated Guinea Pigs
First, the guinea pig (Charles River UK) intramuscular LD50 (GP IM LD50) was determined in 330–380 g Dunkin Hartley Guinea pigs. The assay included intramuscular injection (200 µL) of serially 1.5-fold dilutions of BoNTs to the back right leg of guinea pigs (for each BoNT, six groups of n = 5 per dose were injected). Survival was monitored for eight days, and the LD50 was determined using the Karber method []. The mouse IP LD50 (M IP LD50) to GP IM LD50 translation factors of the BoNT/A, BoNT/B, and BoNT/E preparations used were 4.0, 4.9, and 55.6, respectively.
To evaluate horse anti-HC efficacy, guinea pigs that were exposed to 4 GP IM LD50 were treated postexposure with either SDA or TDA (n = 20) at a human-normalized antitoxin dose (215 IU/kg for BoNT/A and BoNT/B and 122 IU/kg for BoNT/E, []). For BoNT/A- and BoNT/B-exposed animals, the treatment was administered 10 h post-exposure, and for BoNT/E-exposed animals, the treatment was administered 4 h post-exposure. The antitoxin was administered intramuscularly to the back left leg at a total volume of 200 µL. Every experiment included a control group (n = 5) injected with PBS similarly.
2.8. Statistical Analysis
Calculation of the ED50 (effective dose protecting 50% of the mice) was carried out with GraphPad Prism 5 software (GraphPad software, San Diego, CA, USA), employing nonlinear regression analysis. Comparison of equine IgG subclass distribution between the plasma of horses vaccinated with HC fragments and horses vaccinated with toxoids was conducted with a two-tailed t test. The GP IM LD50 was determined using the Karber method [].
3. Results
3.1. Recombinant BoNT Subunits and Botulinum Toxoids Present Similar Potency in Mice
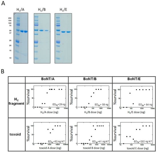
Botulinum serotypes A, B, and E are responsible for >99% of clinical cases of human botulism. Equine antitoxin is the only approved anti-botulinum drug for adults. It is prepared by hyperimmunization of horses with a formaldehyde-inactivated form of the toxin (toxoid). The main objective of the current study was to test whether recombinant HC fragments of BoNT/A, BoNT/B, and BoNT/E (recombinant BoNT subunits) could serve to generate a potent equine anti-botulinum antitoxin with therapeutic properties comparable to those of TDA antitoxin. The HC fragments of BoNT/A, BoNT/B, and BoNT/E were expressed in E. coli and purified as previously reported [,], with high yields that can support horse immunization (hundreds of milligrams per liter of culture for HC/A and HC/E and dozens of milligrams of HC/B per liter of culture) (Figure 1A). The potency of recombinant BoNT subunits was initially evaluated in comparison to botulinum toxoids in mice (Figure 1B). Mice were immunized with increasing doses of HC subunits or toxoids of botulinum serotypes A, B, or E. Three weeks (serotypes A and B-single immunization) or 10 days (serotypes E-triple immunization, 1-month intervals) after immunization, all mice were challenged intraperitoneally (IP) with 1000 Ms IP LD50 of the homologous serotype of botulinum toxin. Both HC/E and toxoid E were tested for potency after three vaccinations, whereas serotype A and B antigens were challenged after a single immunization. The reason for the difference in the potency protocols stems from the reduced immunogenicity of type E botulinum antigens [,].

Figure 1.
Comparative potency of recombinant BoNT subunits and botulinum toxoids in mice. (A) SDS-PAGE analysis of purified recombinant HC fragments. The indicated HC fragment serotype was separated in each corresponding gel under reducing (middle lane) or nonreducing (right lane) conditions. The left lane contains molecular weight marker with the indicated weight in kDa. (B) Nine groups of mice (5 per group) were vaccinated with serial doses (3.9–1000 ng) of either recombinant HC subunits (upper panels) or botulinum toxoids (lower panels). For serotypes A and B, mice were vaccinated once, and for serotype E, mice received three vaccinations at one-month intervals. Three weeks after immunization with serotype A or B antigens and 10 days after the last vaccination with serotype E antigens, all mice were challenged IP with 1000 Ms IP LD50 of the homologous serotype of botulinum toxin. Mice were monitored for survival for 10 days, and the cumulative results were analyzed by nonlinear regression to calculate the ED50, which is the antigen dose that conferred 50% protection in mice. ED50 values are indicated within each graph for every separate BoNT subunit or toxoid.
The ED50 values for HC/A, HC/B, and HC/E were 29 ng, 58 ng, and 64 ng, respectively. These values coincide with those reported for HC fragments expressed in P. pastoris and other expression systems [,,]. The ED50 values of botulinum toxoids A, B, and E (92 ng, 41 ng, and 202 ng, respectively) were in the same range as those of the recombinant subunits, with a slightly increased ED50 for botulinum E toxoid. These results suggest that BoNT HC fragments are at least as potent as botulinum toxoids in generating protection against botulinum intoxication and that they have the potential to generate potent equine anti-botulinum antitoxins.
3.2. A Single Boost with a High Dose of HC/E Significantly Elevates the Neutralizing Antibody Concentration (NAC) in a Toxoid-Immunized Horse
Immunization of horses to produce hyperimmune antitoxin is a long process that demands substantial resources. To gain preliminary insight into the potential of BoNT subunits to elicit neutralizing antibodies in horses, the effect of a single boost with BoNT HC was evaluated in a toxoid-hyperimmunized horse. A horse that was vaccinated with 2 mg of type E botulinum toxoid over a period of 7 years was selected for this purpose (Figure 2). Two years after the primary immunization with the toxoid, the NAC stabilized at a level of 200–250 IU/mL. This NAC meets the acceptance criteria to be used for the production of pharmaceutical F(ab’)2 antitoxin preparations as designated by the quality assurance at the IIBR cGMP production facility. One means to increase the neutralizing antibody concentration is by using elevated antigen doses. However, increasing the toxoid dose is challenging due to yield and safety limitations in obtaining a high concentration of active toxin and due to the limited yield of the detoxification process itself. As recombinant BoNT subunits are completely nontoxic and are produced at high yields, we tested how a booster injection with a high dose (40 mg) of Hc/E affected the NAC in this toxoid long-immunized horse (Figure 2). The single booster with a high dose of recombinant HC/E induced an over three-fold increase in the NAC from 250 IU/mL to 850 IU/mL. These results confirm that BoNT subunits are potent in inducing neutralizing antibodies in horses and that, due to their lack of safety and dose limitations, they may be used to further increase the NAC of toxoid-immunized horses.

Figure 2.
A boost with a high dose of recombinant HC/E dramatically elevates the NAC in a toxoid-immunized horse. Immunization schedule (triangles) and NAC (circles) in a horse immunized with 2 milligrams of type E botulinum toxoid over a period of 7 years. The first three immunizations (gray triangles) consisted of toxoid adsorbed to alum hydroxide, whereas all subsequent injections (white triangles) were with soluble toxoid. The NAC was determined in plasma collected three weeks after each boost. At the indicated time point, the horse was injected SC with a single elevated dose (40 mg) of recombinant Hc/E (black triangle). The neutralizing titer was measured in the plasma three weeks later and is indicated by a black circle.
3.3. Preparation and Characterization of BoNT Subunit-Derived Equine Antitoxins
The elevated NAC that was obtained after boosting a toxoid-immunized horse with a recombinant BoNT subunit vaccine served as a proof of concept for the utilization of these recombinant antigens for the production of equine botulinum antitoxins. To this end, three horses were individually immunized with recombinant HC/A, HC/B, or HC/E. The first three immunizations consisted of 10 mg recombinant HC in aluminum hydroxide, whereas all the following injections were with 20 mg soluble Hc (Figure 3). An elevation in plasma NAC was observed as early as after the fourth immunization for all three recombinant HC fragments (less than one year from the first injection). Within 24 months, plasma neutralization values reached 800 IU/mL in both HC/A- and HC/B-immunized horses and 600 IU/mL in the HC/E-immunized horse (Figure 3). The NACs obtained in HC-immunized horses were comparable to those of horses vaccinated with the corresponding toxoids. In addition, elevation in the NAC in the HC-immunized horses preceded that observed in toxoid-immunized horses.

Figure 3.
Immunization of horses with recombinant botulinum HC subunits. Graphs present the immunization schedule (triangles) and neutralization titer (circles) in horses immunized with recombinant HC/A (A), HC/B (B), and HC/E (C). The first three immunizations (black triangles) consisted of 10 mg of recombinant HC fragment adsorbed to alum hydroxide, whereas all subsequent injections (white triangles) contained 20 mg soluble Hc fragments.
These results indicate that HC fragments are at least as potent as botulinum toxoids, suggesting that they can serve as a source of pharmaceutical-grade immunogens to induce neutralizing antitoxins for human use.
The SDAs were subjected to comparative characterization to TDAs for their IgG subclass profiling and for binding their homologous toxins. Figure 4A depicts the distribution of IgG subclasses in the plasma of subunit- vs. toxoid-immunized horses. IgGa, IgGb, and IgG(T) levels were quantified and found to be similar with no statistically significant difference as analyzed by t-test (p = 0.52, 0.15 and 0.78 for IgGa, IgGb, and IgG(T), respectively, Figure 4A).

Figure 4.
Characterization of subunit-derived antitoxin. (A) IgG subclass levels in the plasma of Hc- and toxoid-immunized horses. Plasma samples were serially diluted from 1000 to 15.6 ng/mL of total IgG, adsorbed to 96-well plates, and detected by a subclass-specific antibody as indicated. The lowest IgG concentration that induced a signal in each sample is indicated. The results are the average ± STD for each indicated group (Hc/A, HC/B, and HC/E or toxoid A, B, and E). The difference in IgG subclass frequency between Hc fragment-vaccinated horses and toxoid-vaccinated horses was not significant (p value of 0.52, 0.15 and 0.78 for IgGa, IgGb, and IgG(T), respectively). (B) Competitive binding of SDAs and TDAs. Serial dilutions of the indicated horse anti-toxoid IgG samples were incubated with a constant concentration of HRP-conjugated horse anti-Hc, and the mixtures were allowed to bind toxoid-coated plates. The absorbance results were normalized to the absorbance obtained in control wells in which naïve horse antibody at the lowest dilution used for the corresponding horse anti-toxoid antibody was incubated with HRP-conjugated horse anti-Hc fragment. For all BoNT serotypes, increasing the horse anti-toxoid IgG concentration resulted in reduced binding of horse anti-Hc, indicating that both preparations bind mutual epitopes on the toxoids.
Next, a competitive ELISA was used to study whether SDA and TDA bind mutual epitopes on botulinum toxins. For that purpose, mixtures of serial dilutions of TDA were preincubated with a constant (A-8.4 µg/mL; B-8.4 µg/mL; E-14 µg/mL) concentration of HRP-conjugated SDA. The mixtures were then allowed to bind the homologous toxoid, and the HRP signal was measured. Of note, testing the opposite set-up, in which the SDA is titrated against a constant concentration of HRP-labeled-TDA, is impractical since antibodies from TDA also recognize epitopes on the additional domains of BoNTs (LC and HN). The binding of such antibodies to BoNTs will not be affected by the presence of SDA antibodies, causing a high background and not allowing us to observe subtle changes in the signal. All three serotype-specific TDAs inhibited SDA binding to the toxoid in a dose-dependent manner (Figure 4B). SDA binding was completely unaffected by naïve horse plasma at a concentration equivalent to the highest concentration of TDA tested. Hence, in addition to the similar profile of IgG subclasses in SDA and TDA, these preparations bind mutual epitopes on the corresponding toxoids.
3.4. Subunit-Derived Equine Antitoxin Is Fully Protective When Administered to Botulinum-Intoxicated Guinea Pigs
In the absence of preventive treatment and due to safety concerns in the systemic administration of equine-derived foreign proteins, botulinum antitoxins are labeled for use in humans only after exposure to botulinum toxins. To test the efficacy of equine SDA in a clinically relevant context, a human-calibrated dose of SDA or TDA against BoNT/A, BoNT/B, or BoNT/E was administered to guinea pigs postexposure to a lethal dose of BoNTs. Guinea pigs were injected IM with 4 GPLD50 of serotypes A, B, or E of botulinum toxin. Ten (serotypes A and B) or four (serotype E) hours post-intoxication, animals were treated IM by injection of 215 IU/kg subunit-derived or toxoid-derived (n = 10, each) anti BoNT/A or BoNT/B or 122 IU/kg of anti BoNT/E, to the opposite leg. Animals intoxicated with type E botulinum were treated earlier than those exposed to type A and type B botulinum in agreement with the differences in intoxication kinetics of these serotypes in humans and in animal models of botulism [,,,]. For each serotype, a control group (n = 5) was left untreated. SDA fully protected all intoxicated animals from the lethal dose of botulinum A, B, and E (Table 1). The efficacy of the SDA was identical to that of the TDA, suggesting that recombinant BoNT subunits may replace botulinum toxoids as antigens for the preparation of pharmaceutical anti-botulinum equine antitoxins.

Table 1.
Postexposure efficacy of subunit- and toxoid-derived antitoxin preparations in guinea pigs (survivals/number of animals in group).
4. Discussion
Botulinum serotypes A, B, and E are responsible for >99% of human botulism []. The current approved drug treatment consists mostly of equine antitoxin. In the United States, a human-derived antitoxin (BabyBIG) collected from vaccinated volunteers is available for infants []. Production of equine antitoxin relies on vaccination of horses with botulinum toxoid, which in turn involves laborious efforts under strict safety conditions for its preparation. In the current study, we aimed to compare the current TDA to a second-generation equine antitoxin derived from horses immunized with the recombinant receptor-binding domain of botulinum neurotoxin (HC fragment). The recombinant subunits of botulinum serotypes A, B, and E were expressed in E. coli and were initially evaluated for their potency in mice compared to the corresponding botulinum toxoids. The potency of HC fragments expressed both in eukaryotic and prokaryotic expression systems was previously reported. The ED50 of HC/A expressed in the methylotrophic yeast Pichia pastoris was reported to be in the range of 50–100 ng when tested in mice against a 1000 MsLD50 challenge. In our study, a similar value of 29 ng was determined in mice challenged with a similar dose of 1000 MsLD50. In contrast to HC/A, only a few studies have reported the immunogenic and protective properties of HC/B and HC/E. The potency of HC/B expressed in Pichia pastoris was in the same range as that expressed in E. coli (ED50 of 156 ng and 58 ng, respectively [,]). A more pronounced difference was found for HC/E expressed in the same expression systems, with ED50 values of 214 ng and 64 ng in Pichia and in the current study, respectively []. It should be noted yet that comparison between the ED50 values obtained for HC/E in these two particular studies is limited by differences both in the vaccination regimen and the toxin challenge dose.
Most importantly, we found the potency of the HC fragments to be similar and in the same range as that of the toxoids.
A single boost with HC/E induced a significant >3-fold increase in neutralizing antibody concentration from 250 IU/mL to 850 IU/mL in a horse vaccinated for over 7 years with botulinum type E toxoid. The HC/E boost dose (40 mg) was indeed 20-fold higher than the toxoid dose (2 mg) used for multiple immunizations of the horse. However, a significant increase in the toxoid dose is impractical due to limitations in toxin yield in Clostridium botulinum culture, toxoid preparation and safety concerns of these processes. During the seven years of immunization with toxoid, attempts to increase the titer by increasing the intervals between injections were not successful. Moreover, additional horses that were vaccinated using the same toxoid-base immunization protocol reached a similar titer range of 250–300 IU/mL. The 850 IU/mL titer obtained by the single high-dose booster with the recombinant HC/E fragment supports a previous study conducted in rabbits with increased-dose boosting [] and confirmed that HC fragments are suitable for horse immunization for the purpose of botulinum antitoxin preparations.
Horse-derived proteins are a major safety concern in the clinic when using equine antitoxins for snake bites or other biological intoxications []. The elevated NAC observed in HC-immunized horse plasma may have an important safety benefit, as the increased specific activity of such antitoxin results in reduced immunogenic horse-derived proteins per treatment dose compared to toxoid-immunized horse plasma.
Immunization of horses using a combined protocol of toxoid and HC fragment is highly challenging in terms of quality assurance of a GMP product. Moreover, the relative contribution of HC-based antitoxin can only be evaluated by testing an immunization protocol that consists solely of HC fragment as an antigen in naïve horses. For that purpose, horses were immunized with either HC/A, HC/B, or HC/E. All horses reached a NAC higher than 600 IU/mL within 16–20 months from the start of immunization. Titer started to increase earlier and after fewer injections when compared to the toxoid immunization protocol (demonstrated for toxoid E and HC/E in Figure 2 and Figure 3, respectively). Most importantly, the neutralizing antibody concentration obtained in all HC fragment-immunized horses was comparable to that measured in toxoid-immunized horses in our facility and by others []. Analysis of equine IgG subclasses demonstrated that immunization with HC fragments does not induce divergence from the antibody subclass profile developed in toxoid-vaccinated horses. In vitro characterization showed that all serotype-specific SDAs bind their corresponding counter toxoid in a dose-dependent manner. Importantly, TDAs inhibited SDA binding to the toxin, confirming that HC fragment-related antitoxins bound the same relevant epitopes on the toxin (Figure 4).
Botulinum antitoxin is labeled for clinical use in humans only postexposure to the toxin. To evaluate the efficacy of SDA in a clinically relevant scenario, guinea pigs were exposed to a lethal dose of Type A, B, or E botulinum toxin and treated with the corresponding HC fragment-related or toxoid-related antitoxins postintoxication. SDAs fully protected intoxicated guinea pigs and were at least as potent as their TDAs in their efficacy. Altogether, our results confirm that recombinant HC fragments of botulinum toxins are suitable antigens for the preparation of equine antitoxins and that they can replace the laborious efforts needed to be conducted under stringent safety conditions to prepare toxoid antigens.
The results of the current study are supported by several previous works. Stahl et al. [] immunized horses with recombinant HC/C and HC/D as a veterinary vaccine against botulinum serotypes that are endemic in horses. Although the dose of antigen used for immunization was significantly lower than that required to establish a hyperimmune state for the purpose of antitoxin preparation for passive immunization, the authors reported that HC fragment-based vaccines elicited protective antibody titers similar or superior to the commercially available toxoid vaccine []. Yu et al. reported an experimental botulinum A equine antitoxin prepared by immunization of horses with HC/A []. The authors reported a peak NAC of 8000 IU/mL in horse sera after six immunizations with a mg-range HC/A, a value that is one order of magnitude higher than the titer established in the current study for HC/A. In both studies, HC/A was expressed in E. coli. The difference in neutralizing titer between the two studies could stem from differences in the potency assay methodology as instructed by the Chines and the European Pharmacopeia used in Yu et al. [] and in the current study, respectively.
Switching from toxoid to recombinant HC fragment as an immunogen for antitoxin production was reported in human-based antitoxin as well. The human antitoxin for infant botulism (BabyBig) is produced from volunteers who were immunized with a pentavalent-toxoid-derived vaccine for many years. In recent years, the antigen used for boost injections was switched to an HC-derived vaccine [].
In conclusion, the data presented in the current study serve as a proof of concept for transferring the production of trivalent anti-botulinum A, B, and E equine antitoxins from a toxoid-based to a safer and more economical HC fragment-based GMP product with a similar high efficacy.
Author Contributions
Conceptualization, A.B.D., A.B., E.L. (Edith Lupo), E.L. (Elad Lerer), Y.A., E.T. and R.Z.; methodology, A.B.D., A.B. and R.Z.; formal analysis, A.B.D. and R.Z.; investigation, A.B.D., A.B., A.T., E.D. (Eran Diamant), E.D. (Eyal Dor), A.S., O.R., N.C. and M.S.; resources, E.L. (Elad Lerer); data curation, A.B.D., A.B. and R.Z.; writing—original draft preparation, A.B.D., A.T., E.D. (Eyal Dor) and R.Z.; writing—A.B.D. and R.Z.; visualization, A.B.D. and R.Z.; supervision, R.Z. All authors have read and agreed to the published version of the manuscript.
Funding
This research was supported by Israel Institute for Biological Research grant no. SB-156.
Institutional Review Board Statement
All animal experiments were performed in accordance with Israeli law and were approved by the Ethics Committee for Animal Experiments at the Israel Institute for Biological Research (protocols: GP-02-19, approval date 17 April 2019; M-65-17, approval date 30 October 2017; and H-02-2014, approval date 11 August 2014).
Informed Consent Statement
Not applicable.
Data Availability Statement
The datasets generated for this study are available on request to the corresponding author.
Conflicts of Interest
The authors declare no conflict of interest.
References
- Darling, R.G.; Catlett, C.L.; Huebner, K.D.; Jarrett, D.G. Threats in bioterrorism I: CDC category A agents. Emerg. Med. Clin. N. Am. 2002, 20, 273–309. [Google Scholar] [CrossRef]
- Pirazzini, M.; Rossetto, O.; Eleopra, R.; Montecucco, C. Botulinum Neurotoxins: Biology, Pharmacology, and Toxicology. Pharmacol. Rev. 2017, 69, 200–235. [Google Scholar] [CrossRef] [PubMed]
- Schiavo, G.; Matteoli, M.; Montecucco, C. Neurotoxins Affecting Neuroexocytosis. Physiol. Rev. 2000, 80, 717–766. [Google Scholar] [CrossRef] [PubMed]
- Montal, M. Botulinum Neurotoxin: A Marvel of Protein Design. Annu. Rev. Biochem. 2010, 79, 591–617. [Google Scholar] [CrossRef]
- Rusnak, J.M.; Smith, L.A. Botulinum Neurotoxin Vaccines: Past history and recent developments. Hum. Vaccines 2009, 5, 794–805. [Google Scholar] [CrossRef] [PubMed]
- Smith, L.A.; Rusnak, J.M. Botulinum neurotoxin vaccines: Past, present, and future. Crit. Rev. Immunol. 2007, 27, 303–318. [Google Scholar] [CrossRef] [PubMed]
- Kodihalli, S.; Emanuel, A.; Takla, T.; Hua, Y.; Hobbs, C.; LeClaire, R.; O’Donnell, D.C. Therapeutic efficacy of equine botulism antitoxin in Rhesus macaques. PLoS ONE 2017, 12, e0186892. [Google Scholar] [CrossRef]
- Torgeman, A.; Mador, N.; Dorozko, M.; Lifshitz, A.; Eschar, N.; White, M.D.; Wolf, D.G.; Epstein, E. Efficacy of inactivation of viral contaminants in hyperimmune horse plasma against botulinum toxin by low pH alone and combined with pepsin digestion. Biologicals 2017, 48, 24–27. [Google Scholar] [CrossRef]
- Zarebski, L.M.; Vaughan, K.; Sidney, J.; Peters, B.; Grey, H.; Janda, K.D.; Casadevall, A.; Sette, A. Analysis of epitope information related to Bacillus anthracis and Clostridium botulinum. Expert Rev. Vaccines 2008, 7, 55–74. [Google Scholar] [CrossRef]
- Khouri, J.M.; Motter, R.N.; Arnon, S.S. Safety and immunogenicity of investigational recombinant botulinum vaccine, rBV A/B, in volunteers with pre-existing botulinum toxoid immunity. Vaccine 2018, 36, 2041–2048. [Google Scholar] [CrossRef]
- Boles, J.; West, M.; Montgomery, V.; Tammariello, R.; Pitt, M.L.; Gibbs, P.; Smith, L.; LeClaire, R.D. Recombinant C fragment of botulinum neurotoxin B serotype (rBoNTB (HC)) immune response and protection in the rhesus monkey. Toxicon 2006, 47, 877–884. [Google Scholar] [CrossRef]
- Byrne, M.P.; Smith, T.J.; Montgomery, V.A.; Smith, L.A. Purification, Potency, and Efficacy of the Botulinum Neurotoxin Type A Binding Domain from Pichia pastoris as a Recombinant Vaccine Candidate. Infect. Immun. 1998, 66, 4817–4822. [Google Scholar] [CrossRef]
- Byrne, M.P.; Titball, R.W.; Holley, J.; Smith, L.A. Fermentation, Purification, and Efficacy of a Recombinant Vaccine Candidate against Botulinum Neurotoxin Type F from Pichia pastoris. Protein Expr. Purif. 2000, 18, 327–337. [Google Scholar] [CrossRef]
- Dux, M.P.; Barent, R.; Sinha, J.; Gouthro, M.; Swanson, T.; Barthuli, A.; Inan, M.; Ross, J.T.; Smith, L.A.; Smith, T.J.; et al. Purification and scale-up of a recombinant heavy chain fragment C of botulinum neurotoxin serotype E in Pichia pastoris GS115. Protein Expr. Purif. 2006, 45, 359–367. [Google Scholar] [CrossRef][Green Version]
- Ben David, A.; Diamant, E.; Barnea, A.; Rosen, O.; Torgeman, A.; Zichel, R. The receptor binding domain of botulinum neurotoxin serotype A (BoNT/A) inhibits BoNT/A and BoNT/E intoxications in vivo. Clin. Vaccine Immunol. 2013, 20, 1266–1273. [Google Scholar] [CrossRef]
- Ben David, A.; Torgeman, A.; Barnea, A.; Zichel, R. Expression, purification and characterization of the receptor-binding domain of botulinum neurotoxin serotype B as a vaccine candidate. Protein Expr. Purif. 2015, 110, 122–129. [Google Scholar] [CrossRef]
- Zichel, R.; Mimran, A.; Keren, A.; Barnea, A.; Steinberger-Levy, I.; Marcus, D.; Turgeman, A.; Reuveny, S. Efficacy of a Potential Trivalent Vaccine Based on Hc Fragments of Botulinum Toxins A, B, and E Produced in a Cell-Free Expression System. Clin. Vaccine Immunol. 2010, 17, 784–792. [Google Scholar] [CrossRef]
- Whelan, S.M.; Elmore, M.J.; Bodsworth, N.J.; Brehm, J.K.; Atkinson, T.; Minton, N.P. Molecular cloning of the Clostridium botulinum structural gene encoding the type B neurotoxin and determination of its entire nucleotide sequence. Appl. Environ. Microbiol. 1992, 58, 2345–2354. [Google Scholar] [CrossRef]
- Whelan, S.M.; Elmore, M.J.; Bodsworth, N.J.; Atkinson, T.; Minton, N.P. The complete amino acid sequence of the Clostridium botulinum type-E neurotoxin, derived by nucleotide-sequence analysis of the encoding gene. Eur. J. Biochem. 1992, 204, 657–667. [Google Scholar] [CrossRef]
- Binz, T.; Kurazono, H.; Wille, M.; Frevert, J.; Wernars, K.; Niemann, H. The complete sequence of botulinum neurotoxin type A and comparison with other clostridial neurotoxins. J. Biol. Chem. 1990, 265, 9153–9158. [Google Scholar] [CrossRef]
- Diamant, E.; Torgeman, A.; Epstein, E.; Mechaly, A.; David, A.B.; Levin, L.; Schwartz, A.; Dor, E.; Girshengorn, M.; Barnea, A.; et al. A cell-based alternative to the mouse potency assay for pharmaceutical type E botulinum antitoxins. ALTEX 2022, 39, 113–122. [Google Scholar] [CrossRef] [PubMed]
- European Directorate for the Quality of Medicines and Healthcare. Botulinum Antitoxin, 10th ed.; European Pharmacopoeia: Strasbourg, France, 2019; Volume EDQM Council of Europe. [Google Scholar]
- Torgeman, A.; Ozeri, E.; Ben David, A.; Diamant, E.; Rosen, O.; Schwartz, A.; Barnea, A.; Makovitzki, A.; Mimran, A.; Zichel, R. Role of Homologous Fc Fragment in the Potency and Efficacy of Anti-Botulinum Antibody Preparations. Toxins 2017, 9, 180. [Google Scholar] [CrossRef] [PubMed]
- Irwin, J.O.; Cheeseman, E.A. On an approximate method of determining the median effective dose and its error, in the case of a quantal response. J. Hyg. 1939, 39, 574–580. [Google Scholar] [CrossRef] [PubMed]
- Schwartz, A.; Ben David, A.; Hotoveli, M.; Dor, E.; Diamant, E.; Vivyorka, A.; Rosen, O.; Torgeman, A.; Zichel, R. A Novel Running Wheel Mouse Model for Botulism and Its Use for the Evaluation of Postsymptom Antitoxin Efficacy. Antimicrob. Agents Chemother. 2021, 65, e0042121. [Google Scholar] [CrossRef]
- Potter, K.J.; Bevins, M.A.; Vassilieva, E.V.; Chiruvolu, V.R.; Smith, T.; Smith, L.A.; Meagher, M.M. Production and Purification of the Heavy-Chain Fragment C of Botulinum Neurotoxin, Serotype B, Expressed in the Methylotrophic Yeast Pichia pastoris. Protein Expr. Purif. 1998, 13, 357–365. [Google Scholar] [CrossRef]
- Diamant, E.; Pass, A.; Rosen, O.; Ben David, A.; Torgeman, A.; Barnea, A.; Tal, A.; Rosner, A.; Zichel, R. A Novel Rabbit Spirometry Model of Type E Botulism and Its Use for the Evaluation of Postsymptom Antitoxin Efficacy. Antimicrob. Agents Chemother. 2018, 62, e02379-17. [Google Scholar] [CrossRef]
- Kumaran, D.; Eswaramoorthy, S.; Furey, W.; Navaza, J.; Sax, M.; Swaminathan, S. Domain Organization in Clostridium botulinum Neurotoxin Type E Is Unique: Its Implication in Faster Translocation. J. Mol. Biol. 2008, 386, 233–245. [Google Scholar] [CrossRef]
- Wang, J.; Meng, J.; Lawrence, G.W.; Zurawski, T.H.; Sasse, A.; Bodeker, M.O.; Gilmore, M.A.; Fernández-Salas, E.; Francis, J.; Steward, L.E.; et al. Novel Chimeras of Botulinum Neurotoxins A and E Unveil Contributions from the Binding, Translocation, and Protease Domains to Their Functional Characteristics. J. Biol. Chem. 2008, 283, 16993–17002. [Google Scholar] [CrossRef]
- Hambleton, P. Clostridium botulinum toxins: A general review of involvement in disease, structure, mode of action and preparation for clinical use. J. Neurol. 1992, 239, 16–20. [Google Scholar] [CrossRef]
- Arnon, S.S.; Schechter, R.; Maslanka, S.E.; Jewell, N.P.; Hatheway, C.L. Human Botulism Immune Globulin for the Treatment of Infant Botulism. N. Engl. J. Med. 2006, 354, 462–471. [Google Scholar] [CrossRef]
- Sinha, J.; Inan, M.; Fanders, S.; Taoka, S.; Gouthro, M.; Swanson, T.; Barent, R.; Barthuli, A.; Loveless, B.M.; Smith, L.A.; et al. Cell bank characterization and fermentation optimization for production of recombinant heavy chain C-terminal fragment of botulinum neurotoxin serotype E (rBoNTE(Hc): Antigen E) by Pichia pastoris. J. Biotechnol. 2007, 127, 462–474. [Google Scholar] [CrossRef]
- Richardson, J.S.; Parrera, G.S.; Astacio, H.; Sahota, H.; Anderson, D.M.; Hall, C.; Babinchak, T. Safety and Clinical Outcomes of an Equine-derived Heptavalent Botulinum Antitoxin Treatment for Confirmed or Suspected Botulism in the United States. Clin. Infect. Dis. 2019, 70, 1950–1957. [Google Scholar] [CrossRef]
- Li, D.; Mattoo, P.; Keller, J.E. New equine antitoxins to botulinum neurotoxins serotypes A and B. Biologicals 2012, 40, 240–246. [Google Scholar] [CrossRef]
- Stahl, C.; Unger, L.; Mazuet, C.; Popoff, M.; Straub, R.; Frey, J. Immune response of horses to vaccination with the recombinant Hc domain of botulinum neurotoxin types C and D. Vaccine 2009, 27, 5661–5666. [Google Scholar] [CrossRef]
- Yu, Y.-Z.; Zhang, S.-M.; Wang, W.-B.; Du, Y.; Zhu, H.-Q.; Wang, R.-L.; Zhou, X.-W.; Lin, J.-B.; Wang, S.; Yu, W.-Y.; et al. Development and preclinical evaluation of a new F(ab’)(2) antitoxin against botulinum neurotoxin serotype A. Biochimie 2010, 92, 1315–1320. [Google Scholar] [CrossRef]
Publisher’s Note: MDPI stays neutral with regard to jurisdictional claims in published maps and institutional affiliations. |
© 2022 by the authors. Licensee MDPI, Basel, Switzerland. This article is an open access article distributed under the terms and conditions of the Creative Commons Attribution (CC BY) license (https://creativecommons.org/licenses/by/4.0/).