Next Article in Journal
A Systematic Review of Reported Cases of Immune Thrombocytopenia after COVID-19 Vaccination
Next Article in Special Issue
Human Papillomavirus Vaccine Impact and Effectiveness in Six High-Risk Populations: A Systematic Literature Review
Previous Article in Journal
Assessment of Predictors for SARS-CoV-2 Antibodies Decline Rate in Health Care Workers after BNT162b2 Vaccination—Results from a Serological Survey
Previous Article in Special Issue
HPV-Vaccine Hesitancy in Colombia: A Mixed-Methods Study
 
 
Font Type:
Arial Georgia Verdana
Font Size:
Aa Aa Aa
Line Spacing:
Column Width:
Background:
Case Report

Juvenile Membranous Nephropathy Developed after Human Papillomavirus (HPV) Vaccination

1
Department of Nephrology & Hypertension, Dokkyo Medical University, Mibu 321-0293, Japan
2
Department of Anatomy, Showa University School of Medicine, Tokyo 142-8555, Japan
3
Department of Pathology, Dokkyo Medical University Saitama Medical Center, Saitama 343-8555, Japan
*
Author to whom correspondence should be addressed.
Vaccines 2022, 10(9), 1442; https://doi.org/10.3390/vaccines10091442
Submission received: 2 August 2022 / Revised: 25 August 2022 / Accepted: 30 August 2022 / Published: 1 September 2022
(This article belongs to the Collection HPV-Vaccines)

Abstract

:
A 16-year-old girl with no history of renal disease had a fever of 38 °C after her second HPV vaccination and was identified as positive for proteinuria. As she maintained urinary protein of 3.10 g/gCr and 5–9 urinary red blood cells/HPF, a renal biopsy was performed and small spikes on PAM staining with the granular deposition of IgG1++ and IgG3+ on the glomerular capillary wall were discovered by immunofluorescence, although PLA2R immunostaining was negative. Analysis by electron microscope showed electron density deposition in the form of fine particles under the epithelium. The diagnosis was secondary membranous nephropathy stage II. Immunostaining with the anti-p16 INK4a antibody was positive for glomerular cells, and Western blot analysis of urinary protein showed a positive band for p16 INK4a. However, laser-microdissection mass spectrometry analysis of a paraffin section of glomeruli failed to detect HPV proteins. It is possible that the patient was already infected with HPV and administration of the HPV vaccine may have caused secondary membranous nephropathy.

1. Introduction

SARS-CoV-2 vaccination was promoted during the COVID-19 pandemic; however, the effectiveness and side effects of the mRNA vaccines for SARS-CoV-2 were not fully elucidated. Gross hematuria in patients with IgA nephropathy and recurrence of nephrotic syndrome in patients with minimal change nephrotic syndrome (MCNS) were reported as side effects following SARS-CoV-2 vaccination [1,2,3,4]. Some young people are concerned about adverse reactions to the SARS-CoV-2 vaccination, especially in Japan, where young people have a distrust of the vaccine due to cases of side effects caused by the HPV vaccine [5].
Human papillomavirus HPV is a double-stranded DNA virus that can be divided into more than 100 types from the gene sequence of the surface capsid protein L1. High-risk HPV16, 18, 31, 33, 45, 51, 52, 56, 58, and 66 cause cervical cancer, and low-risk HPV6, 11, etc., cause condyloma acuminata [6,7,8]. In Japan, the recombinant divalent human papillomavirus vaccine Cervarix for high-risk HPV 16/18 was sold in 2009, and regular vaccination started in 2013 for 6th-grade elementary school to 1st-grade middle high school girls [8]. However, Cervarix was discontinued due to reports of adverse reactions, including chronic pain, motor impairment, and other symptoms after HPV vaccination. The recombinant precipitated 4-valent HPV-like particle vaccine has been on the market since 2011, and the recombinant precipitated 9-valent HPV-like particle vaccine has been on the market since 2021, although the Ministry of Health, Labor, and Welfare in Japan announced a suspension of the proactive recommendation for routine use of the HPV vaccine in the national immunization program in June 2013 [9] until November 2021. In Cervarix, the capsid protein of the recombinant precipitated divalent human papillomavirus is atomized and aluminum hydroxide and monophosphoryl lipid A (MPL) derived from the cell membrane of Salmonella are used as an adjuvant. These adjuvants destroy cells at the administration site, and the destroyed autologous cell DNA and proteins are recognized by the DAMPs in the innate immune response system [10] and cause not only fever and local swelling but also Guillain–Barré syndrome (GBS), systemic lupus erythematosus (SLE), autoimmune hepatitis, and cerebral vasculitis [11]. We experienced a case of secondary membranous nephropathy after the second injection of the divalent HPV vaccine Cervarix, and here we discuss the mechanism of membranous nephropathy after HPV vaccination.

2. Case Presentation

A 16-year-old girl had a fever of 39.0 °C for 4–5 days after the second HPV vaccination, even though she had no fever following the first HPV vaccination one month prior. She was prescribed acetaminophen, and she developed proteinuria for the first time 5 days after receiving the second vaccination. Her fever was resolved spontaneously, and proteinuria was not checked until the next school year in a urine checkup, which showed proteinuria 3+ and occult blood. She was hospitalized for examination by renal biopsy. She had a history of allergy to pollen. Her family history included cerebral hemorrhage in her maternal great-grandfather, multiple system atrophy in her grandfather, and hypertension in her grandmother. Physical findings on admission were blood pressure 120/82 mmHg, heart rate 115 bpm, body temperature 36.2 °C, SpO2 98% (room air) without tonsillitis, lymphadenopathy, or neurological dysfunction. A urinalysis showed urinary protein, 1.46 g/gCr, 5–9 RBC/HPF, 1–4 WBC/HPF, cast (-), NAG 2.7 U/L, and selectivity index 0.121. A blood test showed WBC 8100 × 106/L, (neutrophil 68.2%, eosinophil 1.7%, basophil 0.7%, monocyte 8.3%, lymphocyte 21.1%), Hb11.9 g/dL, and platelet 39.8 × 1010/L. Biochemistry data revealed TP 5.5 g/dL, Alb 3.5 g/dL, UN 11.0 mg/dL, Cr 0.47 mg/dL, eGFR 147.8 mL/min/1.73 m2, and CRP 0.01 mg/dL. Immunological tests found ANA (-), anti-dsDNA antibody (-), anti-SM antibody (-), IgG 544 mg/dL, IgA 112.4 mg/dL, IgM 134.7 mg/dL, IgE 34.3 mg/dL, C3 141.9 mg/dL, C4 23.2 mg/dL, ASO 14 IU/mL, lupus anticoagulant negative, anti-CLβ2GP1 antibody 1.2 U/mL, anti-SS A/B antibody (−/−), MPO-ANCA (-), PR3-ANCA (-), anti-GBM antibody (-), HBs antigen (-), HCV antibody (-), and D dimer 0.3μg/mL. These data indicate that there were no possibilities of lupus nephritis, other autoimmune diseases, or antiphospholipid syndrome.

3. Renal Biopsy and Laser-Microdissection Mass Spectrometry

3.1. Renal Biopsy

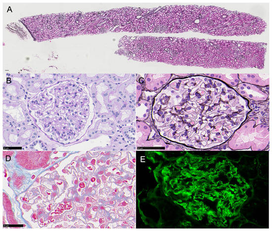
Two samples of cortex were collected, including a total of 25 glomeruli without global sclerosis, mild mesangial cell proliferation in 10 glomeruli (40%), and normal tubulointerstitium and vascular system. PAM staining showed mild spikes with subepithelial immune complexes by AZAN staining, which were granularly stained along the capillary wall by fluorescent immunostaining for IgG (Figure 1).
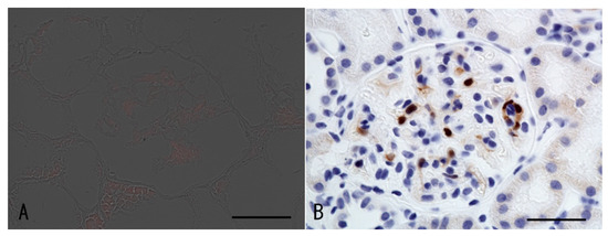
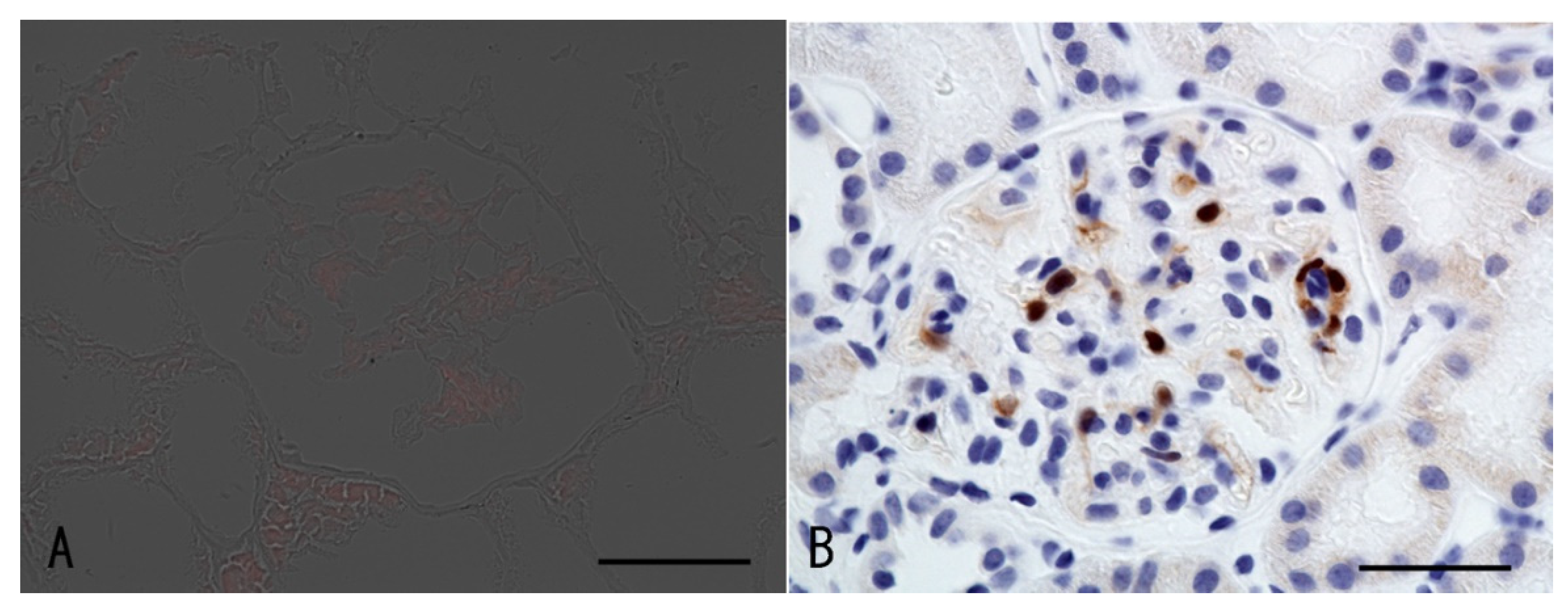
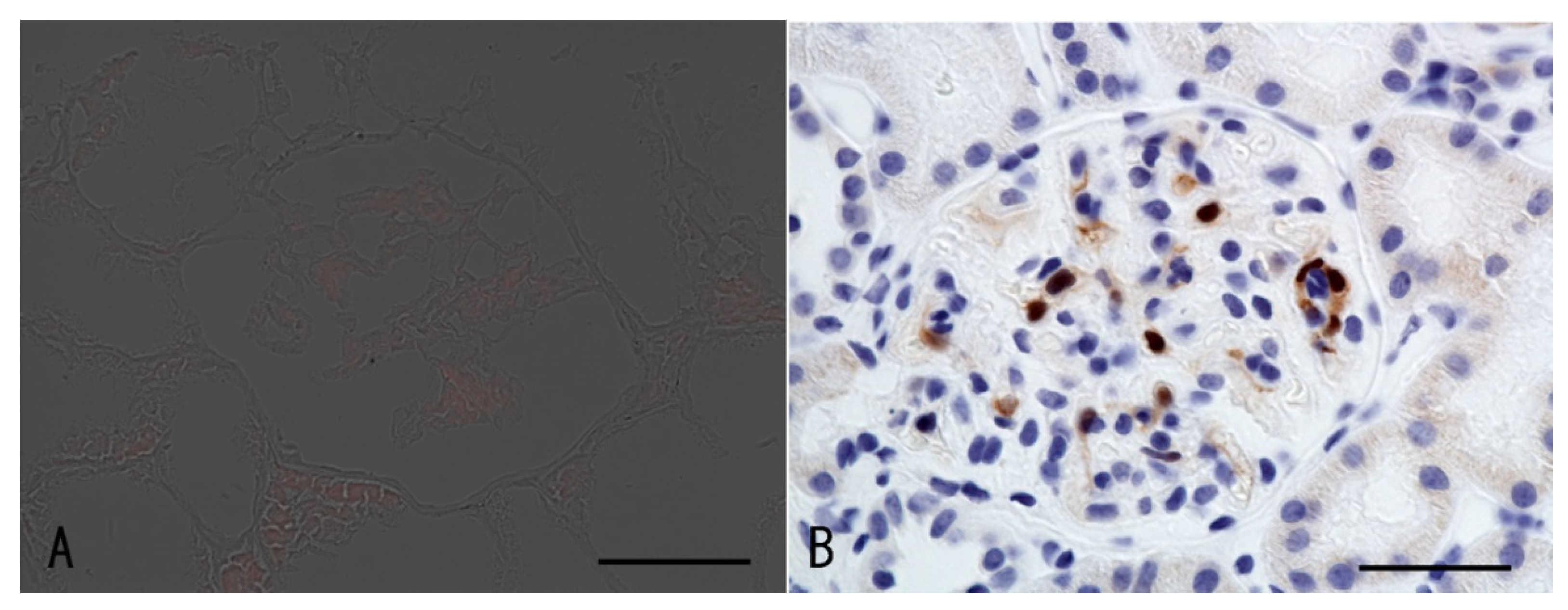
Among the IgG subclasses, IgG1 was the strongest, IgG3 was mildly stained (Figure 2), and immunofluorescence for phospholipase A2 receptor (PLA2R) was negative (Figure 3A), suggesting secondary membranous nephropathy. Electron microscopy revealed an electron-dense deposit in the subepithelial membrane and partly in the basement membrane, indicating stage II–III membranous nephropathy (Figure 4).

3.2. Surrogate Marker for HPV Infection

Immunohistochemistry was performed with the Leica auto-immune stain system using the antibody against the anti-p16-INK4a antibody (CINtec® Histology, Roche Diagnostics KK, Tokyo, Japan), which is typically used as a surrogate marker of HPV infection in cervical cancer and oropharyngeal cancer [12,13]. The anti-p16-INK4a antibody showed significant staining in the intra-glomerular cells (Figure 3B).
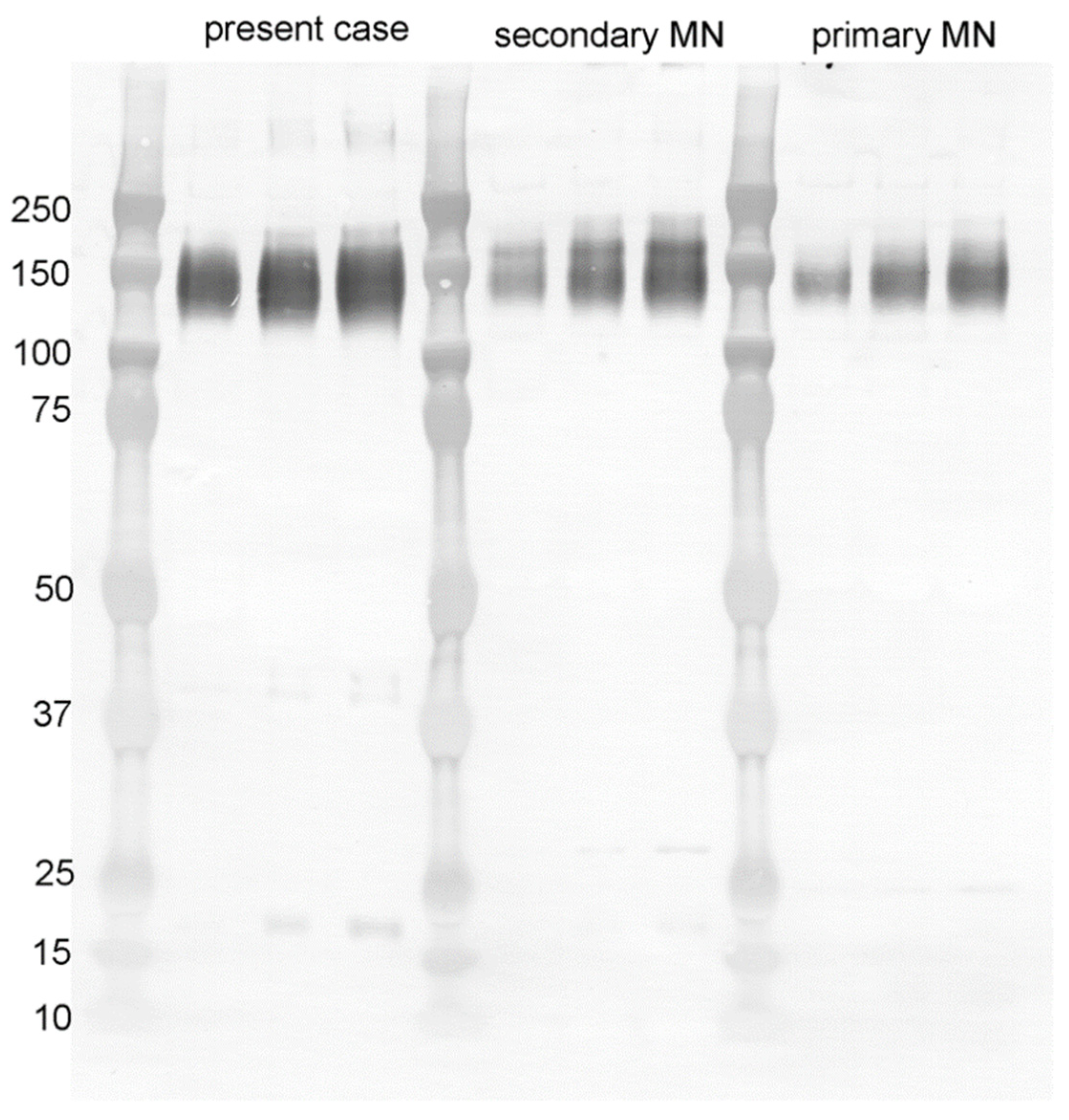
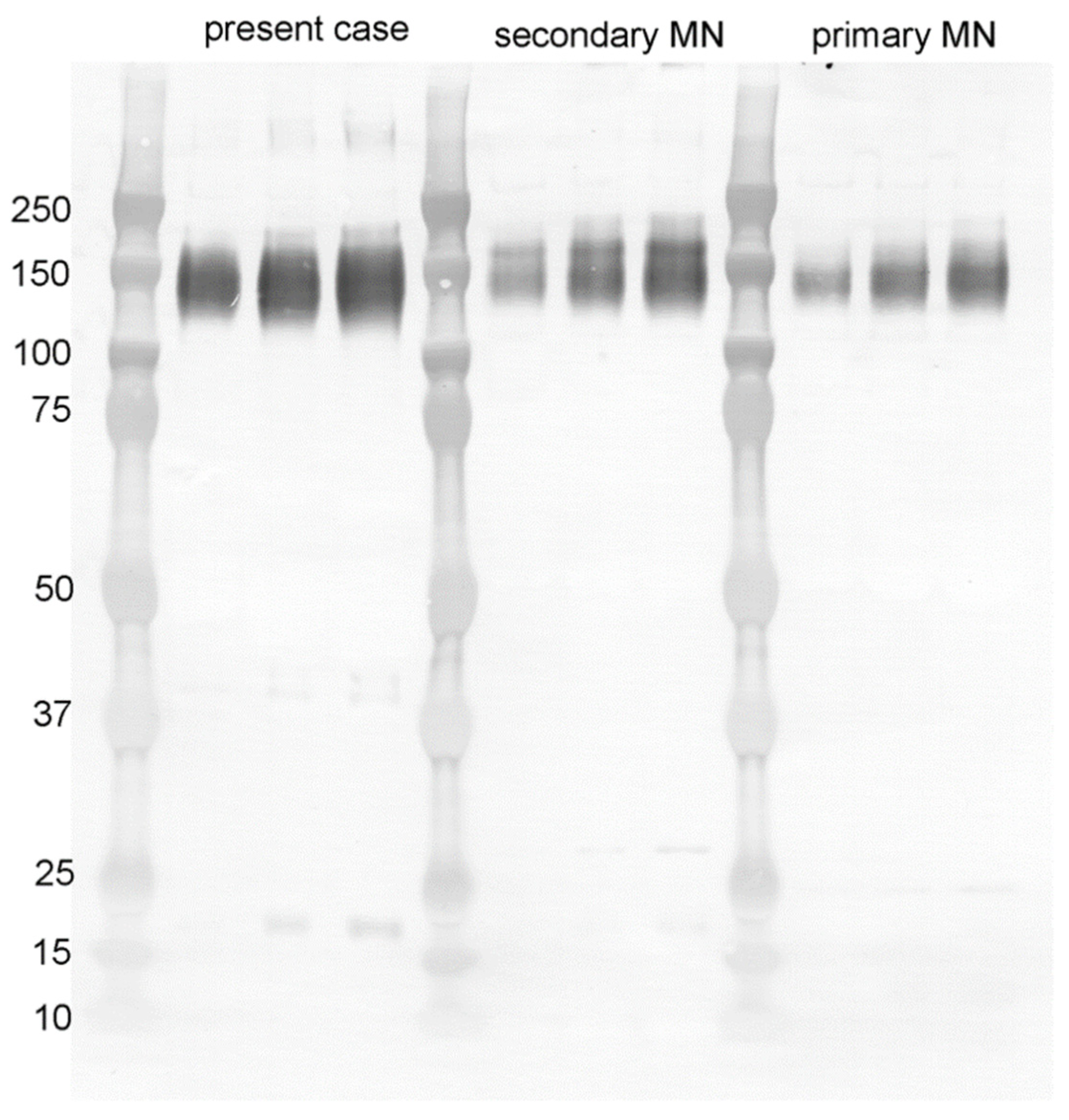
Furthermore, Western blot analysis identified p16 protein in the urinary protein at the time of renal biopsy. On the other hand, it was not found in the urine of patients with secondary membranous nephropathy related to cancer or primary membranous nephropathy—it was specific to this case (Figure 5). Therefore, it was suggested that this case could have already been infected with HPV before the time of renal biopsy.

3.3. Laser Microdissection Mass Spectrometry

We performed laser microdissection mass spectrometry (LMD-MS), as mentioned previously [14], to detect HPV viral capsule proteins. LMD-MS failed to detect HPV protein or antigens for membranous nephropathy, including THSD7A, EXT1/2, NELL1, Sema 3B, PCDH7, HTRA1, Contactin 1 [15,16], which were negative, except for a small amount of PLA2R in one sample (Table 1). The cytokeratin-related proteins were increased, whereas podocyte proteins such as nephrin, podocin, and podocalyxin were decreased compared to the control glomeruli from the renal transplantation at 1 h biopsy (Table 1, Figure S1).

3.4. Clinical Course

The angiotensin receptor blocker losartan 25 mg was administered to reduce the urinary protein, decreasing it from 3.1 g /gCr to 0.19 to 0.65 g /gCr. When the dose of losartan was reduced to 12.5 mg after 6 months, urinary protein increased slightly to 0.41 g/gCr (Figure 6).

4. Discussion

This study focuses on a report of membranous nephropathy in an adolescent girl after HPV vaccination, and the pathogenic mechanism is investigated.

4.1. Characteristics of Adolescent Membranous Nephropathy

Membranous nephropathy is a major cause of nephrotic syndrome in middle-aged and elderly people but is rare in adolescents (1–2% of renal biopsies) [17]. Histopathologically, adolescent membranous nephropathy is found in a relatively early phase of Ehrenreich–Churg classification stages 1 and 2, in which patients are frequently positive for IgA, IgM, and C1q, in addition to IgG and C3 [18]. In the IgG subclass, IgG4 was 87.5%, whereas IgG1 was 46.9% and IgG3 was 56.3% were positive in half of the cases [19], and the frequency of PLA2R positivity was slightly lower than that in adults [20]. These data indicate that it is important to investigate secondary membranous nephropathy, such as SLE and HBV infection, in adolescent cases [18]. The present case was secondary membranous nephropathy with predominant IgG1 and IgG3 deposition but was negative for PLA2R. Most of the well-known causes of secondary membranous nephropathy were ruled out from clinical findings and laboratory tests. Therefore, HPV vaccination is presumed to be the cause of membranous nephropathy.

4.2. HPV Virus Infection and Kidney Disease

HPV is a sexually transmitted disease that is persistently transmitted locally to the cervix, and high-risk HPV types 16 and 18 cause about 70% of cervical cancers [8]. Interestingly, mother-to-child transmission can occur at birth [21], and 22.8% of newborns have HPV detected in the oral cavity at birth [22]. It is possible that even young people who have never had sexual intercourse have already been infected with HPV. In addition, 30.3% of 122 patients with renal cell carcinoma were found to be positive for HPV-DNA in the renal cell carcinoma site of the paraffin specimens by PCR method, 20.3% were found to be positive by immunostaining for p16-INK4a, and 45% were found to be positive for HPV by the in situ hybridization method [23]. This indicates that HPV was infected and latent in the kidney. In this case, p16-INK4a protein, a surrogate marker of HPV infection [12,13], was found in glomerular cells (Figure 4B) by immunohistochemistry and also in the urinary protein by Western blotting analysis (Figure 5). Therefore, it is possible that the patient was infected with HPV, having an antibody against it, and administration of viral protein as a vaccine formed circulating immune complexes and developed proteinuria soon after vaccination. The p16-INK4a is also detected in the glomerulus and tubules of the aging kidney and in kidneys with chronic allograft rejection [24,25], even though this was not the case with this young patient. HPV envelope proteins, such as E1 proteins, induce overexpression of a set of genes associated with proliferation and differentiation processes and downregulation of immune response genes [26]. LMD-MS, in this case, showed an increase in cytoskeletal proteins and epithelial junctional proteins as well, as downregulation of nephrin, podocin, and podocalyxin may reflect HPV infection in the podocytes. Unfortunately, we could not detect HPV envelope proteins by LMD-MS analysis. The possibility of primary membranous nephropathy still remains, as LMD-MS analysis detected a small amount of PLA2R protein in one glomerular sample.

4.3. Kidney Disease associated with Vaccination

In this study, the urinary protein was observed with a fever of 39 °C after two doses of a recombinant precipitated divalent HPV-like particle vaccine.
As shown in Table 2, a case of acute kidney injury and nephrotic syndrome due to membranous nephropathy was reported after influenza vaccination [27]. It has been reported that nephrotic syndrome could be caused by the HBV vaccine [28], pneumococcal vaccine [29], and COVID-19 vaccine [1,30]. However, there has never been a report of nephrotic syndrome caused by the HPV vaccine, and to the best of our knowledge, this study presents the first report of such a case.
The HPV vaccine Cervarix contains added aluminum hydroxide and monophosphoryl lipid A (MPL) derived from the cell membrane of Salmonella as an adjuvant. Aluminum oxyhydroxide (alum) binds to viral DNA fragments and lipid A derivatives to form alum-nanoparticles, which are taken up by macrophages and form a granulomatous lesion called macrophagic myofasciitis (MMF) [40,41]. MMF in the vaccine injection site induces cell death, and adjuvants conjugate with degraded nuclear DNA and proteins, producing autoantibodies, which may cause Guillain–Barré syndrome, SLE, autologous immune hepatitis, and cerebrovascular inflammation. These are so-called adjuvant diseases, an autoimmune/autoinflammatory syndrome induced by adjuvant (ASIA) [40,42,43]. In this case, the possibility of lupus was ruled out from clinical findings and immunological data.

5. Conclusions

We reported a case of young-onset IgG1-dominant and PLA2R-negative secondary membranous nephropathy after HPV vaccination. Since p16-INK4a was positive in glomerular and urinary proteins, she may have been infected with HPV, and administration of HPV envelop protein vaccines could be implicated in the development of secondary membranous nephropathy.

6. Take-Home Message and Lessons Learned

It is important to check proteinuria after HPV vaccination. Secondary membranous nephropathy could occur after HPV vaccination with viral proteins. If it is possible to check the plasma antibody titers for HPV before vaccination, this may help to prevent the occurrence of membranous nephropathy.

Supplementary Materials

The following supporting information can be downloaded at: https://www.mdpi.com/article/10.3390/vaccines10091442/s1, Figure S1 shows the whole proteins identified by LMD-MS analysis.

Author Contributions

Conceptualization, A.T.; methodology, A.T., Y.U., D.K. and K.H.; software, S.Y.; validation, Y.U., K.H. and A.T.; formal analysis, A.T.; investigation, H.A., S.Y. and D.K.; resources, A.T., Y.U. and K.H.; data curation, A.T. and D.K.; writing—original draft preparation, H.A., T.O. and A.T.; writing—review and editing, A.T. and K.H.; visualization, H.A., D.K. and A.T.; supervision, A.T., K.H. and Y.U.; project administration, A.T., K.H. and Y.U.; funding acquisition, A.T. and K.H. All authors have read and agreed to the published version of the manuscript.

Funding

This work was partially supported by a research donation from Naohiko Kobayashi, Director of Kobayashi Medical Clinic in Yasuzuka, Mibu, Japan (#2020-9, #2022-7).

Institutional Review Board Statement

The renal biopsy and sample analysis were performed with the approval of the research ethics committee of Dokkyo Medical University (R-2-1).

Informed Consent Statement

Written informed consent was obtained from the patient at the renal biopsy to use samples and data in anonymized reports or publications.

Data Availability Statement

A table showing all of the data from the LMD-MS analysis is available upon Supplementary Material.

Acknowledgments

We thank Kinichi Matsuyama and Mihoko Ishikawa from the Department of Pathology, Dokkyo Medical University, for their excellent technical help concerning immunohistochemistry and electron microscopy. We also thank Yasuko Mamada from the Clinical Research Support Center for assistance with the Western blotting.

Conflicts of Interest

The authors declare no conflict of interest.

References

  1. Lebedev, L.; Sapojnikov, M.; Wechsler, A.; Varadi-Levi, R.; Zamir, D.; Tobar, A.; Levin-Iaina, N.; Fytlovich, S.; Yagil, Y. Minimal Change Disease Following the Pfizer-BioNTech COVID-19 Vaccine. Am. J. Kidney Dis. 2021, 78, 142–145. [Google Scholar] [CrossRef] [PubMed]
  2. Lim, J.H.; Han, M.H.; Kim, Y.J.; Kim, M.S.; Jung, H.Y.; Choi, J.Y.; Cho, J.H.; Kim, C.D.; Kim, Y.L.; Park, S.H. New-onset Nephrotic Syndrome after Janssen COVID-19 Vaccination: A Case Report and Literature Review. J. Korean Med. Sci. 2021, 36, e218. [Google Scholar] [CrossRef] [PubMed]
  3. Mancianti, N.; Guarnieri, A.; Tripodi, S.; Salvo, D.P.; Garosi, G. Minimal change disease following vaccination for SARS-CoV-2. J. Nephrol. 2021, 34, 1039–1040. [Google Scholar] [CrossRef] [PubMed]
  4. Negrea, L.; Rovin, B.H. Gross hematuria following vaccination for severe acute respiratory syndrome coronavirus 2 in 2 patients with IgA nephropathy. Kidney Int. 2021, 99, 1487. [Google Scholar] [CrossRef]
  5. Okuhara, T.; Ishikawa, H.; Okada, M.; Kato, M.; Kiuchi, T. Contents of Japanese pro- and anti-HPV vaccination websites: A text mining analysis. Patient Educ. Couns. 2018, 101, 406–413. [Google Scholar] [CrossRef]
  6. Cutts, F.T.; Franceschi, S.; Goldie, S.; Castellsague, X.; de Sanjose, S.; Garnett, G.; Edmunds, W.J.; Claeys, P.; Goldenthal, K.L.; Harper, D.M.; et al. Human papillomavirus and HPV vaccines: A review. Bull. World Health Organ. 2007, 85, 719–726. [Google Scholar] [CrossRef]
  7. Egawa, N.; Egawa, K.; Griffin, H.; Doorbar, J. Human Papillomaviruses; Epithelial Tropisms, and the Development of Neoplasia. Viruses 2015, 7, 3863–3890. [Google Scholar] [CrossRef]
  8. Onuki, M.; Matsumoto, K.; Iwata, T.; Yamamoto, K.; Aoki, Y.; Maenohara, S.; Tsuda, N.; Kamiura, S.; Takehara, K.; Horie, K.; et al. Human papillomavirus genotype contribution to cervical cancer and precancer: Implications for screening and vaccination in Japan. Cancer Sci. 2020, 111, 2546–2557. [Google Scholar] [CrossRef]
  9. Ikeda, S.; Ueda, Y.; Yagi, A.; Matsuzaki, S.; Kobayashi, E.; Kimura, T.; Miyagi, E.; Sekine, M.; Enomoto, T.; Kudoh, K. HPV vaccination in Japan: What is happening in Japan? Expert Rev. Vaccines 2019, 18, 323–325. [Google Scholar] [CrossRef]
  10. Nakayama, T. An inflammatory response is essential for the development of adaptive immunity-immunogenicity and immunotoxicity. Vaccine 2016, 34, 5815–5818. [Google Scholar] [CrossRef]
  11. Kashiwagi, Y.; Maeda, M.; Kawashima, H.; Nakayama, T. Inflammatory responses following intramuscular and subcutaneous immunization with aluminum-adjuvanted or non-adjuvanted vaccines. Vaccine 2014, 32, 3393–3401. [Google Scholar] [CrossRef] [PubMed]
  12. Carozzi, F.; Confortini, M.; Dalla Palma, P.; Del Mistro, A.; Gillio-Tos, A.; De Marco, L.; Giorgi-Rossi, P.; Pontenani, G.; Rosso, S.; Sani, C.; et al. Use of p16-INK4A overexpression to increase the specificity of human papillomavirus testing: A nested substudy of the NTCC randomised controlled trial. Lancet Oncol. 2008, 9, 937–945. [Google Scholar] [CrossRef]
  13. Rischin, D.; Young, R.J.; Fisher, R.; Fox, S.B.; Le, Q.T.; Peters, L.J.; Solomon, B.; Choi, J.; O’Sullivan, B.; Kenny, L.M.; et al. Prognostic significance of p16INK4A and human papillomavirus in patients with oropharyngeal cancer treated on TROG 02.02 phase III trial. J. clin. Oncol. Off. J. Am. Soc. Clin. Oncol. 2010, 28, 4142–4148. [Google Scholar] [CrossRef] [PubMed]
  14. Ishimitsu, A.; Tojo, A.; Hirao, J.; Yokoyama, S.; Ohira, T.; Murayama, Y.; Ishimitsu, T.; Kang, D.; Honda, K.; Ehara, T.; et al. AL-Kappa Primary Amyloidosis with Apolipoprotein A-IV Deposition. Intern. Med. 2022, 61, 871–876. [Google Scholar] [CrossRef]
  15. Sethi, S. New ‘Antigens’ in Membranous Nephropathy. J. Am. Soc. Nephrol. JASN 2021, 32, 268–278. [Google Scholar] [CrossRef]
  16. Caza, T.N.; Al-Rabadi, L.F.; Beck, L.H., Jr. How Times Have Changed! A Cornucopia of Antigens for Membranous Nephropathy. Front. Immunol. 2021, 12, 800242. [Google Scholar] [CrossRef]
  17. International Study of Kidney Disease in Children. Nephrotic Syndrome in Children—Prediction of Histopathology from Clinical and Laboratory Characteristics at Time of Diagnosis. Kidney Int. 1978, 13, 159–165. [Google Scholar] [CrossRef]
  18. Wang, Y.; Wang, G.P.; Li, B.M.; Chen, Q.K. Clinicopathological analysis of idiopathic membranous nephropathy in young adults. Genet. Mol. Res. 2015, 14, 4541–4548. [Google Scholar] [CrossRef]
  19. Li, C.; Li, H.; Wen, Y.B.; Li, J.N.; Lin, W.F.; Cai, J.F.; Duan, L.; Li, Y.; Li, X.M.; Li, X.W. Clinicopathological Features of Idiopathic Membranous Nephropathy in 33 Adolescents. Zhongguo Yi Xue Ke Xue Yuan Xue Bao Acta Acad. Med. Sin. 2017, 39, 544–551. [Google Scholar]
  20. Dettmar, A.K.; Wiech, T.; Kemper, M.J.; Soave, A.; Rink, M.; Oh, J.; Stahl, R.A.K.; Hoxha, E. Immunohistochemical and serological characterization of membranous nephropathy in children and adolescents. Pediatric Nephrol. 2018, 33, 463–472. [Google Scholar] [CrossRef]
  21. Cason, J.; Kaye, J.N.; Jewers, R.J.; Kambo, P.K.; Bible, J.M.; Kell, B.; Shergill, B.; Pakarian, F.; Raju, K.S.; Best, J.M. Perinatal Infection and Persistence of Human Papillomavirus Type-16 and Type-18 in Infants. J. Med. Virol 1995, 47, 209–218. [Google Scholar] [CrossRef]
  22. Syrjanen, S.; Rintala, M.; Sarkola, M.; Willberg, J.; Rautava, J.; Koskimaa, H.; Paaso, A.; Syrjanen, K.; Grenman, S.; Louvanto, K. Oral Human Papillomavirus Infection in Children during the First 6 Years of Life, Finland. Emerg. Infect. Dis. 2021, 27, 759–766. [Google Scholar] [CrossRef] [PubMed]
  23. Farhadi, A.; Behzad-Behbahani, A.; Geramizadeh, B.; Sekawi, Z.; Rahsaz, M.; Sharifzadeh, S. High-risk human papillomavirus infection in different histological subtypes of renal cell carcinoma. J. Med. Virol. 2014, 86, 1134–1144. [Google Scholar] [CrossRef] [PubMed]
  24. Chkhotua, A.B.; Gabusi, E.; Altimari, A.; D’Errico, A.; Yakubovich, M.; Vienken, J.; Stefoni, S.; Chieco, P.; Yussim, A.; Grigioni, W.F. Increased expression of p16(INK4a) and p27(Kip1) cyclin-dependent kinase inhibitor genes in aging human kidney and chronic allograft nephropathy. Am. J. Kidney Dis. 2003, 41, 1303–1313. [Google Scholar] [CrossRef]
  25. Melk, A.; Schmidt, B.M.; Takeuchi, O.; Sawitzki, B.; Rayner, D.C.; Halloran, P.F. Expression of p16INK4a and other cell cycle regulator and senescence associated genes in aging human kidney. Kidney Int. 2004, 65, 510–520. [Google Scholar] [CrossRef] [PubMed]
  26. Castro-Muñoz, L.J.; Manzo-Merino, J.; Muñoz-Bello, J.O.; Olmedo-Nieva, L.; Cedro-Tanda, A.; Alfaro-Ruiz, L.A.; Hidalgo-Miranda, A.; Madrid-Marina, V.; Lizano, M. The Human Papillomavirus (HPV) E1 protein regulates the expression of cellular genes involved in immune response. Sci. Rep. 2019, 9, 13620. [Google Scholar] [CrossRef] [PubMed]
  27. Patel, C.; Shah, H.H. Membranous nephropathy and severe acute kidney injury following influenza vaccination. Saudi J. Kidney Dis. Transplant. Off. Publ. Saudi Cent. Organ Transplant. Saudi Arabia 2015, 26, 1289–1293. [Google Scholar]
  28. Işlek, I.; Cengiz, K.; Cakir, M.; Küçüködük, S. Nephrotic syndrome following hepatitis B vaccination. Pediatric Nephrol. 2000, 14, 89–90. [Google Scholar]
  29. Kikuchi, Y.; Imakiire, T.; Hyodo, T.; Higashi, K.; Henmi, N.; Suzuki, S.; Miura, S. Minimal change nephrotic syndrome, lymphadenopathy and hyperimmunoglobulinemia after immunization with a pneumococcal vaccine. Clin. Nephrol. 2002, 58, 68–72. [Google Scholar] [CrossRef]
  30. Anupama, Y.J.; Patel, R.G.N.; Vankalakunti, M. Nephrotic Syndrome Following ChAdOx1 nCoV-19 Vaccine Against SARScoV-2. Kidney Int. Rep. 2021, 6, 2248. [Google Scholar] [CrossRef]
  31. Kutlucan, A.; Gonen, I.; Yildizhan, E.; Aydin, Y.; Sav, T.; Yildirim, U. Can influenza H1N1 vaccination lead to the membranous glomerulonephritis? Indian J. Pathol. Microbiol. 2012, 55, 239–241. [Google Scholar] [PubMed]
  32. Kao, C.D.; Chen, J.T.; Lin, K.P.; Shan, D.E.; Wu, Z.A.; Liao, K.K. Guillain-Barré syndrome coexisting with pericarditis or nephrotic syndrome after influenza vaccination. Clin. Neurol. Neurosurg. 2004, 106, 136–138. [Google Scholar] [CrossRef] [PubMed]
  33. Kielstein, J.T.; Termühlen, L.; Sohn, J.; Kliem, V. Minimal change nephrotic syndrome in a 65-year-old patient following influenza vaccination. Clin. Nephrol. 2000, 54, 246–248. [Google Scholar] [PubMed]
  34. Gutiérrez, S.; Dotto, B.; Petiti, J.P.; De Paul, A.L.; Dionisio de Cabalier, M.E.; Torres, A.I.; Mukdsi, J.H. Minimal change disease following influenza vaccination and acute renal failure: Just a coincidence? Nefrol. Publ. Off. Soc. Esp. Nefrol. 2012, 32, 414–415. [Google Scholar]
  35. Mader, R.; Narendran, A.; Lewtas, J.; Bykerk, V.; Goodman, R.C.; Dickson, J.R.; Keystone, E.C. Systemic vasculitis following influenza vaccination--report of 3 cases and literature review. J. Rheumatol. 1993, 20, 1429–1431. [Google Scholar]
  36. Patel, U.; Bradley, J.R.; Hamilton, D.V. Henoch-Schonlein Purpura after Influenza Vaccination. Br. Med. J. 1988, 296, 1800. [Google Scholar] [CrossRef]
  37. Yanai-Berar, N.; Ben-Itzhak, O.; Gree, J.; Nakhoul, F. Influenza vaccination induced leukocytoclastic vasculitis and pauci-immune crescentic glomerulonephritis. Clin. Nephrol. 2002, 58, 220–223. [Google Scholar] [CrossRef]
  38. Clajus, C.; Spiegel, J.; Bröcker, V.; Chatzikyrkou, C.; Kielstein, J.T. Minimal change nephrotic syndrome in an 82 year old patient following a tetanus-diphteria-poliomyelitis-vaccination. BMC Nephrol. 2009, 10, 21. [Google Scholar] [CrossRef]
  39. Maas, R.J.; Gianotten, S.; van der Meijden, W.A.G. An Additional Case of Minimal Change Disease Following the Pfizer-BioNTech COVID-19 Vaccine. Am. J. Kidney Dis. 2021, 78, 312. [Google Scholar] [CrossRef]
  40. Gherardi, R.K.; Authier, F.J. Macrophagic myofasciitis: Characterization and pathophysiology. Lupus 2012, 21, 184–189. [Google Scholar] [CrossRef]
  41. Gherardi, R.K.; Coquet, M.; Cherin, P.; Authier, F.J.; Laforet, P.; Belec, L.; Figarella-Branger, D.; Mussini, J.M.; Pellissier, J.F.; Fardeau, M.; et al. Macrophagic myofasciitis: An emerging entity. Lancet 1998, 352, 347–352. [Google Scholar] [CrossRef]
  42. Agmon-Levin, N.; Paz, Z.; Israeli, E.; Shoenfeld, Y. Vaccines and autoimmunity. Nat. Rev. Rheumatol. 2009, 5, 648–652. [Google Scholar] [CrossRef] [PubMed]
  43. Shoenfeld, Y.; Agmon-Levin, N. ‘ASIA’—Autoimmune/inflammatory syndrome induced by adjuvants. J. Autoimmun. 2011, 36, 4–8. [Google Scholar] [CrossRef] [PubMed]
Figure 1. Renal biopsy. PAM staining (A,C), PAS staining (B), Azan staining (D), and immunofluorescence of IgG. The bars indicate 50 μm (B,C,E) and 25 μm (D).
Figure 1. Renal biopsy. PAM staining (A,C), PAS staining (B), Azan staining (D), and immunofluorescence of IgG. The bars indicate 50 μm (B,C,E) and 25 μm (D).
Vaccines 10 01442 g001
Figure 2. Immunofluorescence of IgG subclass staining. The bars indicate 50 μm.
Figure 2. Immunofluorescence of IgG subclass staining. The bars indicate 50 μm.
Vaccines 10 01442 g002
Figure 3. Immunofluorescence of PLA2R (A) and immunostaining for the p16-INK4a antibody (B). The bars indicate 50 μm.
Figure 3. Immunofluorescence of PLA2R (A) and immunostaining for the p16-INK4a antibody (B). The bars indicate 50 μm.
Vaccines 10 01442 g003
Figure 4. Electron microscopy. The bars indicate 2 μm and 0.5 μm.
Figure 4. Electron microscopy. The bars indicate 2 μm and 0.5 μm.
Vaccines 10 01442 g004
Figure 5. Western blot of the urinary protein at the time of renal biopsy for p16-INK4a. The urine of the present case showed a band at MW16kD, whereas the urine of other cases of membranous nephropathy did not show a band for p16-INK4a.
Figure 5. Western blot of the urinary protein at the time of renal biopsy for p16-INK4a. The urine of the present case showed a band at MW16kD, whereas the urine of other cases of membranous nephropathy did not show a band for p16-INK4a.
Vaccines 10 01442 g005
Figure 6. Time course of urinary protein after HPV vaccination and treatment with an angiotensin receptor blocker, losartan, as indicated by the yellow bar.
Figure 6. Time course of urinary protein after HPV vaccination and treatment with an angiotensin receptor blocker, losartan, as indicated by the yellow bar.
Vaccines 10 01442 g006
Table 1. Laser microdissection mass spectrometry analysis of glomeruli of this patient and glomeruli from the 1 h renal biopsy after renal transplantation as control.
Table 1. Laser microdissection mass spectrometry analysis of glomeruli of this patient and glomeruli from the 1 h renal biopsy after renal transplantation as control.
MS/MS View: 899 Proteins in 665 ClustersAlternate IDControlPt. Glm1Pt. Glm2Pt. Glm3Pt. Glm4Pt. MeanFold
(Pt./Control)
Increased proteins
DesmoplakinSDP1198224201331239238.5
Keratin, type I cytoskeletal 24KRT24261731691821761756.7
Keratin, type II cytoskeletal 78KRT78261541461431091385.3
Junction plakoglobinJUPnd939597121102
luster of Keratin, type II cytoskeletal 73KRT738898090628010.0
HornerinHRNRnd43535510163
Keratin, type I cytoskeletal 23KRT23nd5759505054
Desmoglein-1DSG104849437053
Calmodulin-like protein 5CALML5nd4243394542
Fatty acid-binding protein 5FABP5nd4243394542
Galectin-7LGALS7nd2018223424
Cystatin-ACSTAnd1722182521
Plakophilin-1PKP11151821362322.5
Serpin B12SERPINnd1519122718
Protein-glutamine gamma-glutamyltransferase ETGM3nd121492415
Filaggrin-2FLG2110126181211.5
Arginase-1ARG1nd7991510
Complement C3C334855641086922.9
Cluster of Keratin, type II cytoskeletal 6AKRT6A2362584246625883111268711.4
Cluster of Keratin, type I cytoskeletal 16KRT161582548242025092754255816.2
Keratin, type II cytoskeletal 1KRT1403207819462049220520705.1
Keratin, type I cytoskeletal 9KRT9311139512691324141613514.3
Deceased proteins
Cluster of VimentinVIM6222332392202572370.4
Cluster of Actin, cytoplasmic 2ACTG15002492302342272350.5
Cluster of Alpha-actinin-4ACTN42648492801531020.4
Myosin-9MYH92137885931851100.5
Cluster of Tubulin beta chainTUBB10336363459410.4
Laminin subunit alpha-5LAMA57725303154350.5
Cluster of Histone H2B type 1-MH2BC1410147404661490.5
basement membrane-specific heparan sulfate proteoglycan core pr.HSPG22613141146210.8
VinculinVCL5113131540200.4
PodocinNPHS214723750.3
PodocalyxinPODXL9544850.6
Membranous nephropathy antigens
Secretory phospholipase A2 receptorPLA2R1ndnd0nd51
Thrombospondin-type -1 domain-containing 7ATHSD7Andndndndndnd
Exostosin 1 and exostosin 2EXT1/2ndndndndndnd
Protein kinase C-binding protein NELL1NELL1ndndndnd10.25
Semaphorin 3bSema 3Bndndndndndnd
Protocadherin 7PCDH7ndndndndndnd
Human high-temperature requirement A1HTRA1ndndndndndnd
Contactin 1 ndndndndndnd
Table 2. Nephrotic syndrome and nephritis associated with vaccination.
Table 2. Nephrotic syndrome and nephritis associated with vaccination.
ReferenceAge
Sex
VaccineOnset after InjectionProteinuriaRenal FunctionRenal BiopsyTreatmentPrognosis
Patel
[27]
60
F
Influenza2 weeks20.5 g/dayAKIMN stage 1, AINHD, PSLCR with relapse
Kutlucan
[31]
56
M
Influenza20 days7.3 g/dayCr 1.2 mg/dLMN
IgG, C3
PSL1 mg/kgCR
Kao
[32]
72
M
Influenza<2 weeks5.7 g/dayNDNDmPSL pulse
PEX
GBS
UP decreased after 10 M
Kielstein
[33]
65
F
Influenza4 days10.8 g/dayCcr 65 mL/minMCNSConservativeCR
Gutiérrez
[34]
44
M
Influenza18 days4 g/dayCr 4.4 mg/dLMCNSPSL60 mgCR
Mader [35]86
F
Influenza HSP CR
Patel
[36]
77
M
Influenza10 daysNDCr2.31 mg/dLMesangial proliferative GN, HSPPSL60 mgCR
Yanai-Berar
[37]
63
M
Influenza11 days1.5 g/dayCr 1.8 mg/dLPauci-immune crescentic GNPSL60 mgCR
Islek
[28]
4
M
HBV8 days2 g/m2/dayNDNDPSLCR
Kikuchi
[29]
67
F
Polyvalent pneumococcal
polysaccharide
1 week10.4 g/dayCr 1.33 mg/dLMCNS with TINmPSL pulseCR
Claujus
[38]
82
F
Tetanus–diphtheria–poliomyelitis6 weeks12 g/dayCr 0.84 mg/dLMCNSPSL75 mgCR
Anupama
[30]
19
F
hAdOx1 nCoV-198 days3.18 g/gCrCr1.09 mg/dLMCNSPSL1 mg/kgCR
Lebedev
[1]
50
M
BNT162b2 COVID-1910 days6.9 g/dayCr 2.31 mg/dLMCNS
AIN
PSLCR
Maas
[39]
80
M
BNT162b2 COVID-197 days15.3 g/gCrCr 1.43 mg/dLMCNSPSL80 mgPR1
Present case16
F
HPV5 days1.46 g/gCrCr 0.47 mg/dLMNARBPR1
Publisher’s Note: MDPI stays neutral with regard to jurisdictional claims in published maps and institutional affiliations.

Share and Cite

MDPI and ACS Style

Arakawa, H.; Yokoyama, S.; Ohira, T.; Kang, D.; Honda, K.; Ueda, Y.; Tojo, A. Juvenile Membranous Nephropathy Developed after Human Papillomavirus (HPV) Vaccination. Vaccines 2022, 10, 1442. https://doi.org/10.3390/vaccines10091442

AMA Style

Arakawa H, Yokoyama S, Ohira T, Kang D, Honda K, Ueda Y, Tojo A. Juvenile Membranous Nephropathy Developed after Human Papillomavirus (HPV) Vaccination. Vaccines. 2022; 10(9):1442. https://doi.org/10.3390/vaccines10091442

Chicago/Turabian Style

Arakawa, Haruna, Shohei Yokoyama, Takehiro Ohira, Dedong Kang, Kazuho Honda, Yoshihiko Ueda, and Akihiro Tojo. 2022. "Juvenile Membranous Nephropathy Developed after Human Papillomavirus (HPV) Vaccination" Vaccines 10, no. 9: 1442. https://doi.org/10.3390/vaccines10091442

APA Style

Arakawa, H., Yokoyama, S., Ohira, T., Kang, D., Honda, K., Ueda, Y., & Tojo, A. (2022). Juvenile Membranous Nephropathy Developed after Human Papillomavirus (HPV) Vaccination. Vaccines, 10(9), 1442. https://doi.org/10.3390/vaccines10091442

Note that from the first issue of 2016, this journal uses article numbers instead of page numbers. See further details here.

Article Metrics

Back to TopTop