Development and Evaluation of a Bicistronic DNA Vaccine against Nervous Necrosis Virus in Pearl Gentian Grouper (Epinephelus lanceolatus × Epinephelus fuscoguttatus)
Abstract
1. Introduction
2. Materials and Methods
2.1. Virus
2.2. Antibodies and Animals
2.3. Cloning of ELIRF3 and Verification Its Antiviral Function
2.4. Bicistronic Plasmid Construction and Its Expression In Vivo and In Vitro
2.5. Vaccination and Sampling
2.6. Challenge and Sampling
2.7. Quantitative Real-Time Polymerase Chain Reaction
2.8. Histological Examination
2.9. Flow Cytometry
2.10. Enzyme Linked Immunosorbent Assays
2.11. NNV Neutralization Assay
2.12. Statistical Analysis
3. Results
3.1. Identification and Functional Analysis of ELIRF3
3.2. Construction and Identification of Recombinant Plasmids
3.3. Expression of Immune-Related Genes in Spleen and Head Kidney after Immunization
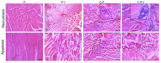
3.4. Local Immune Response of the Muscle at the Injection Site
3.5. Variations of the Percentage of sIgM+ Lymphocytes after Immunization
3.6. Specific Antibody against NNV and Total Antibody in Serum after Immunization
3.7. NNV Neutralizing Antibody Activity in Serum
3.8. RPS, Changes of sIgM+ Lymphocytes and Antibodies, Viral Load after Challenge
3.9. The Growth of the Fish after Immunization
4. Discussion
Author Contributions
Funding
Institutional Review Board Statement
Informed Consent Statement
Data Availability Statement
Conflicts of Interest
References
- Yu, X.; Xu, L.; Wu, F. China Fishery Statistical Yearbook; China Agricultural Press: Beijing, China, 2021; pp. 22–23. [Google Scholar]
- Bandín, I.; Souto, S. Betanodavirus and ver disease: A 30-year research review. Pathogens 2020, 9, 106. [Google Scholar] [CrossRef] [PubMed]
- Doan, Q.K.; Vandeputte, M.; Chatain, B.; Morin, T.; Allal, F. Viral encephalopathy and retinopathy in aquaculture: A review. J. Fish Dis. 2017, 40, 717–742. [Google Scholar] [CrossRef] [PubMed]
- Koh-Ichiro Mori, T.N.; Kiyokuni, M.; Misao, A.; Keiichi, M.; Iwao, F. Properties of a new virus belonging to nodaviridae found in larval striped jack (Pseudocaranx dentex) with nervous necrosis virus. Virology 1992, 187, 368–371. [Google Scholar] [CrossRef]
- Schneemann, A.; Reddy, V.; Johnson, J.E. The sructure and function of nodavirus particles: A paradigm for understanding chemical biology. Adv. Virus. Res. 1998, 50, 381–446. [Google Scholar] [PubMed]
- Shetty, M.; Maiti, B.; Shivakumar Santhosh, K.; Venugopal, M.N.; Karunasagar, I. Betanodavirus of marine and freshwater fish: Distribution, genomic organization, diagnosis and control measures. Indian J. Virol. 2012, 23, 114–123. [Google Scholar] [CrossRef]
- Nakai, T.; Sugaya, T.; Nishioka, T.; Mushiake, K.; Yamashita, H. Current knowledge on viral nervous Necrosis (VNN) and its causative betanodaviruses. Isr. J. Aquacult Bamid. 2009, 61, 3. [Google Scholar] [CrossRef]
- Xing, J.; Zhang, Z.; Sheng, X.; Tang, X.; Chi, H.; Zhan, W. Identification and characterization of a new strain of nervous necrosis virus isolated from pearl gentian grouper (Epinephelus lanceolatus × Epinephelus fuscoguttatus) in China. Aquaculture 2020, 529, 735663. [Google Scholar] [CrossRef]
- Chen, S.P.; Peng Chiou, P.P. Modulatory effect of CpG oligodeoxynucleotide on a DNA vaccine against nervous necrosis virus in orange-spotted grouper (Epinephelus coioides). Fish Shellfish Immunol. 2015, 45, 919–926. [Google Scholar] [CrossRef]
- Valero, Y.; Awad, E.; Buonocore, F.; Arizcun, M.; Esteban, M.A.; Meseguer, J. An oral chitosan DNA vaccine against nodavirus improves transcription of cell-mediated cytotoxicity and interferon genes in the european sea bass juveniles gut and survival upon infection. Dev. Comp. Immunol. 2016, 65, 64–72. [Google Scholar] [CrossRef]
- Vimal, S.; Abdul Majeed, S.; Nambi, K.S.N.; Madan, N.; Farook, M.A.; Venkatesan, C. Delivery of DNA vaccine using chitosan-tripolyphosphate (CS/TPP) nanoparticles in Asian sea bass, Lates calcarifer (Bloch, 1790) for protection against nodavirus infection. Aquaculture 2014, 240–246, 420–421. [Google Scholar] [CrossRef]
- Sommerset, I.; Lorenzen, E.; Lorenzen, N.; Bleie, H.; Nerland, A.H. A DNA vaccine directed against a rainbow trout rhabdovirus induces early protection against a nodavirus challenge in turbot. Vaccine 2003, 21, 4661–4667. [Google Scholar] [CrossRef]
- Ysebrant de Lendonck, L.; Martinet, V.; Goriely, S. Interferon regulatory factor 3 in adaptive immune responses. Cell Mol. Life Sci. 2014, 71, 3873–3883. [Google Scholar] [CrossRef] [PubMed]
- Zhang, W.; Li, Z.; Jia, P.; Liu, W.; Yi, M.; Jia, K. Interferon regulatory factor 3 from sea perch (Lateolabrax japonicus) exerts antiviral function against nervous necrosis virus infection. Dev. Comp. Immunol. 2018, 88, 200–205. [Google Scholar] [CrossRef] [PubMed]
- Krishnan, R.; Kurcheti, P.P.; Mushtaq, Z.; Naik, T.V. Interferon-regulatory factors, IRF3 and IRF7 in Asian seabass, Lates calcarifer: Characterization, ontogeny and transcriptional modulation upon challenge with nervous necrosis virus. Fish Shellfish Immunol. 2019, 89, 468–476. [Google Scholar] [CrossRef] [PubMed]
- Li, Q.; Zhan, W.; Xing, J.; Sheng, X. Production, characterisation and applicability of monoclonal antibodies to immunoglobulin of Japanese flounder (Paralichthys olivaceus). Fish Shellfish Immunol. 2007, 23, 982–990. [Google Scholar] [CrossRef]
- Lin, T.; Xing, J.; Sheng, X.; Tang, X.; Chi, H.; Zhan, W. Development and characterization of monoclonal antibodies against IgM of pearl gentian grouper (Epinephelus lanceolatus♂ × Epinephelus fuscoguttatus♀). 2023; manuscript in preparation. [Google Scholar]
- Zhang, Z.; Xing, J.; Sheng, X.; Tang, X.; Chi, H.; Zhan, W. Development and characterization of monoclonal antibodies against red-spotted grouper nervous necrosis virus and their neutralizing potency in vitro. 2022; to be submitted. [Google Scholar]
- Swiss Model. Available online: https://swissmodel.expasy.org/ (accessed on 12 April 2022).
- Itol. Available online: http://itol.embl.de/ (accessed on 13 April 2022).
- Xu, H.; Xing, J.; Tang, X.; Sheng, X.; Zhan, W. The effects of CCL3, CCL4, CCL19 and CCL21 as molecular adjuvants on the immune response to VAA DNA vaccine in flounder (Paralichthys olivaceus). Dev. Comp. Immunol. 2020, 103, 103492. [Google Scholar] [CrossRef]
- Xing, J.; Xu, H.; Tang, X.; Sheng, X.; Zhan, W. A DNA vaccine encoding the VAA gene of vibrio anguillarum induces a protective immune response in flounder. Front. Immunol. 2019, 10, 499. [Google Scholar] [CrossRef]
- Reed, L.J.; Muench, H. A simple method of estimating fifty per cent endpoints. Am. J. Epidemiol. 1938, 27, 493–497. [Google Scholar] [CrossRef]
- Amend, D.F. Potency testing of fish vaccine. Dev. Biol. Stand. 1981, 49, 447–454. [Google Scholar]
- Huang, Y.; Huang, X.; Cai, J.; OuYang, Z.; Wei, S.; Wei, J. Identification of orange-spotted grouper (Epinephelus coioides) interferon regulatory factor 3 involved in antiviral immune response against fish RNA virus. Fish Shellfish Immunol. 2015, 42, 345–352. [Google Scholar] [CrossRef]
- Moeini, H.; Omar, A.R.; Rahim, R.A.; Yusoff, K. Improving the potency of DNA vaccine against Chicken Anemia Virus (CAV) by fusing VP1 protein of CAV to Marek’s Disease Virus (MDV) Type-1 VP22 protein. Virol. J. 2011, 8, 119. [Google Scholar] [CrossRef] [PubMed]
- Moeini, H.; Omar, A.R.; Rahim, R.A.; Yusoff, K. Development of a DNA vaccine against chicken anemia virus by using a bicistronic vector expressing VP1 and VP2 proteins of CAV. Comp. Immunol. Microbiol. Infect. Dis. 2011, 34, 227–236. [Google Scholar] [CrossRef] [PubMed]
- Romano, M.; Roupie, V.; Hamard, M.; Huygen, K. Evaluation of the immunogenicity of pBudCE4.1 plasmids encoding mycolyl-transferase Ag85A and phosphate transport receptor PstS-3 from Mycobacterium tuberculosis. Vaccine 2006, 24, 4640–4643. [Google Scholar] [CrossRef] [PubMed]
- Xu, K.; Ling, Z.Y.; Sun, L.; Xu, Y.; Bian, C.; He, Y. Broad humoral and cellular immunity elicited by a bivalent DNA vaccine encoding HA and NP genes from an H5N1 virus. Viral Immunol. 2011, 24, 45–56. [Google Scholar] [CrossRef] [PubMed]
- Kumari, R.; Kole, S.; Soman, P.; Rathore, G.; Tripathi, G.; Makesh, M. Bicistronic DNA vaccine against Edwardsiella tarda infection in Labeo rohita: Construction and comparative evaluation of its protective efficacy against monocistronic DNA vaccine. Aquaculture 2018, 485, 201–209. [Google Scholar] [CrossRef]
- Mogensen, T.H. Pathogen recognition and inflammatory signaling in innate immune defenses. Clin. Microbiol. Rev. 2009, 22, 240. [Google Scholar] [CrossRef]
- Platanias Leonidas, C. Mechanisms of type-I- and type-II-interferon-mediated signalling. Nat. Rev. Immunol. 2005, 5, 375. [Google Scholar] [CrossRef]
- Romo, M.R.; Pérez-Martínez, D.; Ferrer, C.C. Innate immunity in vertebrates: An overview. Immunology 2016, 148, 125–139. [Google Scholar] [CrossRef]
- Honda, K.; Takaoka, A.; Taniguchi, T. Type inteferon gene induction by the interferon regulatory factor family of transcription factors. Immunity 2006, 25, 349–360. [Google Scholar] [CrossRef]
- Huang, B.; Zhi, T.Q.; Zhen, X.; Nie, P. Global characterization of interferon regulatory factor (IRF) genes in vertebrates: Glimpse of the diversification in evolution. BMC Immunol. 2010, 11, 1–28. [Google Scholar] [CrossRef]
- Lazear, H.M.; Lancaster, A.; Wilkins, C.; Suthar, M.S.; Huang, A.; Vick, S.C. IRF-3, IRF-5, and IRF-7 coordinately regulate the type I IFN response in myeloid dendritic cells downstream of MAVS signaling. PLoS Pathog. 2013, 9, e1003118. [Google Scholar] [CrossRef]
- Guo, Y.X.; Wei, T.; Dallmann, K.; Kwang, J. Induction of caspase-dependent apoptosis by betanodaviruses GGNNV and demonstration of protein α as an apoptosis inducer. Virology 2003, 308, 74–82. [Google Scholar] [CrossRef]
- Wu, H.C.; Chiu, C.S.; Wu, J.L.; Gong, H.Y.; Chen, M.C.; Li, M.W. Zebrafish anti-apoptotic protein zfBcl-xL can block betanodavirus protein α-induced mitochondria-mediated secondary necrosis cell death. Fish Shellfish Immunol. 2008, 24, 436–449. [Google Scholar] [CrossRef] [PubMed]
- Peters, K.; Chattopadhyay, S.; Sen, G.C. IRF-3 activation by Sendai virus infection is required for cellular apoptosis and avoidance of persistence. J. Virol. 2008, 82, 3500–3508. [Google Scholar] [CrossRef][Green Version]
- Kole, S.; Kumari, R.; Anand, D.; Kumar, S.; Sharma, R.; Tripathi, G. Nanoconjugation of bicistronic DNA vaccine against Edwardsiella tarda using chitosan nanoparticles: Evaluation of its protective efficacy and immune modulatory effects in Labeo rohita vaccinated by different delivery routes. Vaccine 2018, 36, 2155–2165. [Google Scholar] [CrossRef]
- Gong, Q.; Kong, L.Y.; Niu, M.F.; Qin, C.L.; Yang, Y.; Li, X. Construction of a ptfA chitosan nanoparticle DNA vaccine against Pasteurella multocida and the immune response in chickens. Vet. J. 2018, 231, 1–7. [Google Scholar] [CrossRef]
- Ahmadivand, S.; Soltani, M.; Behdani, M.; Evensen, O.; Alirahimi, E.; Hassanzadeh, R. Oral DNA vaccines based on CS-TPP nanoparticles and alginate microparticles confer high protection against infectious pancreatic necrosis virus (IPNV) infection in trout. Dev. Comp. Immunol. 2017, 74, 178–189. [Google Scholar] [CrossRef]










| Transcript | Sequence (5′–3′) | GenBank Acc. No |
|---|---|---|
| RNA2 (full) | F: CCAAGCTTATGGTACGCAAAGGTGAGAAG | MT157514.1 |
| R: CGGAATTCTTAGTTTTCCGAGTCAACCCT | ||
| ELIRF3 | F: GCGGCCGCATGTCTCATTCTAAACCAT | XM_ 033611218.1 |
| R: CGGGGTACCGTACATCTCCATCATCTCCTC | ||
| CD4 | F: TCCCACCTGAACAATCGTCC | HQ594532.1 |
| R: CACAGCTCACACCTCCACTT | ||
| CD8α | F: GCTGGTGATTCTGCTGATTTG | GU124537.1 |
| R: GGACTTGGAGGATGACTTTAGG | ||
| IgM | F: TACAGCCTCTGGATTAGACATTAG | HQ007252.2 |
| R: CTGCTGTCTGCTGTTGTCTGTGGAG | ||
| Mx | F: TGAGGAGAAGGTGCGTCC | JX683389.1 |
| R: GCGCCTCCAACACGGAGCTC | ||
| TNF-α | F: ACGCAATCAGGCCAAAGAG | AY667275.1 |
| R: AAGCCGCCCTGAGCAAAC | ||
| MHC-Iα | F: CGACCTCACTCAGCATTGTCCT | FJ896112.3 |
| R: GTAGAAACCTGTAGCGTGGCG | ||
| RNA2 (partial) | F: TGTGCCCCGCAAACAC | MT157514.1 |
| R: GACACGTTGACCACATCAGT | ||
| β-actin | F: CCAGAGCAAGAGGGGTATC | KU200949.2 |
| R: GCTGTGGTGGTGAAGGAGT |
Publisher’s Note: MDPI stays neutral with regard to jurisdictional claims in published maps and institutional affiliations. |
© 2022 by the authors. Licensee MDPI, Basel, Switzerland. This article is an open access article distributed under the terms and conditions of the Creative Commons Attribution (CC BY) license (https://creativecommons.org/licenses/by/4.0/).
Share and Cite
Lin, T.; Xing, J.; Tang, X.; Sheng, X.; Chi, H.; Zhan, W. Development and Evaluation of a Bicistronic DNA Vaccine against Nervous Necrosis Virus in Pearl Gentian Grouper (Epinephelus lanceolatus × Epinephelus fuscoguttatus). Vaccines 2022, 10, 946. https://doi.org/10.3390/vaccines10060946
Lin T, Xing J, Tang X, Sheng X, Chi H, Zhan W. Development and Evaluation of a Bicistronic DNA Vaccine against Nervous Necrosis Virus in Pearl Gentian Grouper (Epinephelus lanceolatus × Epinephelus fuscoguttatus). Vaccines. 2022; 10(6):946. https://doi.org/10.3390/vaccines10060946
Chicago/Turabian StyleLin, Tianwen, Jing Xing, Xiaoqian Tang, Xiuzhen Sheng, Heng Chi, and Wenbin Zhan. 2022. "Development and Evaluation of a Bicistronic DNA Vaccine against Nervous Necrosis Virus in Pearl Gentian Grouper (Epinephelus lanceolatus × Epinephelus fuscoguttatus)" Vaccines 10, no. 6: 946. https://doi.org/10.3390/vaccines10060946
APA StyleLin, T., Xing, J., Tang, X., Sheng, X., Chi, H., & Zhan, W. (2022). Development and Evaluation of a Bicistronic DNA Vaccine against Nervous Necrosis Virus in Pearl Gentian Grouper (Epinephelus lanceolatus × Epinephelus fuscoguttatus). Vaccines, 10(6), 946. https://doi.org/10.3390/vaccines10060946

