SARS-CoV-2 Vaccine-Induced Immune Thrombotic Thrombocytopenia with Venous Thrombosis, Pulmonary Embolism, and Adrenal Haemorrhage: A Case Report with Literature Review
Abstract
:1. Introduction
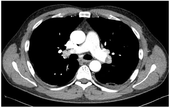
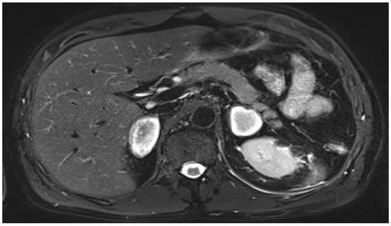
2. Case
Published Cases of Adrenal Haemorrhage after Vaccination—Review of the Literature
3. Discussion
4. Conclusions
Author Contributions
Funding
Institutional Review Board Statement
Informed Consent Statement
Data Availability Statement
Acknowledgments
Conflicts of Interest
References
- World Health Organisation. Available online: https://covid19.who.int (accessed on 10 April 2022).
- Comirnaty. Summary of Product Characteristics. Available online: https://www.ema.europa.eu/documents/product-infor-mation/comirnaty-epar-product-information_en.pdf (accessed on 10 April 2022).
- COVID-19 Vaccine Moderna. Summary of Product Characteristics. Available online: https://www.ema.europa.eu/documents/product-information/covid-19-vaccine-moderna-epar-product-information_en.pdf (accessed on 25 March 2021).
- COVID-19 Vaccine. Summary of Product Characteristics. Available online: https://www.ema.europa.eu/documents/product-information/covid-19-vaccine-astrazeneca-epar-product-information_en.pdf (accessed on 25 March 2021).
- Elalamy, I.; Gerotziafas, G.; Alamowitch, S.; Laroche, J.-P.; Van Dreden, P.; Ageno, W.; Beyer-Westendorf, J.; Cohen, A.T.; Jiménez, D.; Brenner, B.; et al. SARS-CoV-2 Vaccine and Thrombosis: An Expert Consensus on Vaccine-Induced Immune Thrombotic Thrombocytopenia. Thromb. Haemost. 2021, 121, 982–991. [Google Scholar] [CrossRef] [PubMed]
- Muir, K.-L.; Kallam, A.; Koepsell, S.A.; Gundabolu, K. Thrombotic Thrombocytopenia after Ad26.COV2.S Vaccination. N. Engl. J. Med. 2021, 384, 1964–1965. [Google Scholar] [CrossRef] [PubMed]
- Boyle, L.D.; Morganstein, D.L.; Mitra, I.; Nogueira, E.F. A rare case of multiple thrombi and left adrenal haemorrhage following COVID-19 vaccination. Endocr. Abstr. 2021, 74. [Google Scholar] [CrossRef]
- Varona, J.F.; García-Isidro, M.; Moeinvaziri, M.; Ramos-López, M.; Fernández-Domínguez, M. Primary adrenal insufficiency as-sociated with Oxford-AstraZeneca ChAdOx1 nCoV-19 vaccine-induced immune thrombotic thrombocytopenia (VITT). Eur. J. Intern. Med. 2021, 91, 90–92. [Google Scholar] [CrossRef]
- D’Agostino, V.; Caranci, F.; Negro, A.; Piscitelli, V.; Tuccillo, B.; Fasano, F.; Sirabella, G.; Marano, I.; Granata, V.; Grassi, R.; et al. A Rare Case of Cerebral Venous Thrombosis and Disseminated Intravascular Coagulation Temporally Associated to the COVID-19 Vaccine Administration. J. Pers. Med. 2021, 11, 285. [Google Scholar] [CrossRef]
- Blauenfeldt, R.A.; Kristensen, S.R.; Ernstsen, S.L.; Kristensen, C.C.H.; Simonsen, C.Z.; Hvas, A. Thrombocytopenia with acute ischemic stroke and bleeding in a patient newly vaccinated with an adenoviral vector-based COVID-19 vaccine. J. Thromb. Haemost. 2021, 19, 1771–1775. [Google Scholar] [CrossRef]
- Taylor, P.; Allen, L.; Shrikrishnapalasuriyar, N.; Stechman, M.; Rees, A. Vaccine-induced thrombosis and thrombocytopenia with bilateral adrenal haemorrhage. Clin. Endocrinol. 2021, 1–2. [Google Scholar] [CrossRef]
- Greinacher, A.; Thiele, T.; Warkentin, T.E.; Weisser, K.; Kyrle, P.A.; Eichinger, S. Thrombotic Thrombocytopenia after ChAdOx1 nCov-19 Vaccination. N. Engl. J. Med. 2021, 384, 2092–2101. [Google Scholar] [CrossRef]
- Sadoff, J.; Davis, K.; Douoguih, M. Thrombotic Thrombocytopenia after Ad26.COV2.S Vaccination—Response from the Man-ufacturer. N. Engl. J. Med. 2021, 384, 1965–1966. [Google Scholar] [CrossRef]
- Greinacher, A.; Selleng, K.; Mayerle, J.; Palankar, R.; Wesche, J.; Reiche, S.; Aebischer, A.; Warkentin, T.E.; Muenchhoff, M.; Hellmuth, J.C.; et al. Anti-platelet factor 4 antibodies causing VITT do not cross-react with SARS-CoV-2 spike protein. Blood J. Am. Soc. Hematol. 2021, 138, 1269–1277. [Google Scholar] [CrossRef]
- Jaax, M.E.; Krauel, K.; Marschall, T.; Brandt, S.; Gansler, J.; Fürll, B.; Appel, B.; Fischer, S.; Block, S.; Helm, C.A.; et al. Complex formation with nucleic acids and aptamers alters the antigenic properties of platelet factor 4. Blood J. Am. Soc. Hematol. 2013, 122, 272–281. [Google Scholar] [CrossRef] [PubMed] [Green Version]
- Pavord, S.; Scully, M.; Hunt, B.J.; Lester, W.; Bagot, C.; Craven, B.; Rampotas, A.; Ambler, G.; Makris, M. Clinical Features of Vaccine-Induced Immune Thrombocy-topenia and Thrombosis. N. Engl. J. Med. 2021, 385, 1680–1689. [Google Scholar] [CrossRef] [PubMed]
- Chen, P.-W.; Tsai, Z.-Y.; Chao, T.-H.; Li, Y.-H.; Hou, C.J.-Y.; Liu, P.-Y. Addressing Vaccine-Induced Immune Thrombotic Thrombocy-topenia (VITT) Following COVID-19 Vaccination: A Mini-Review of Practical Strategies. Acta Cardiol Sin. 2021, 37, 355–364. [Google Scholar] [PubMed]
- Bourguignon, A.; Arnold, D.M.; Warkentin, T.E.; Smith, J.W.; Pannu, T.; Shrum, J.M.; Al Maqrashi, Z.A.; Shroff, A.; Lessard, M.C.; Blais, N.; et al. Adjunct Immune Globulin for Vac-cine-Induced Immune Thrombotic Thrombocytopenia. N. Engl. J. Med. 2021, 385, 720–728. [Google Scholar] [CrossRef] [PubMed]
- Uzun, G.; Althaus, K.; Singh, A.; Möller, P.; Ziemann, U.; Mengel, A.; Rosenberger, P.; Guthoff, M.; Petzold, G.C.; Müller, J.; et al. The use of IV immunoglobulin in the treatment of vac-cine-induced immune thrombotic thrombocytopenia. Blood J. Am. Soc. Hematol. 2021, 138, 992–996. [Google Scholar]
- Thaler, J.; Ay, C.; Gleixner, K.V.; Hauswirth, A.W.; Cacioppo, F.; Grafeneder, J.; Quehenberger, P.; Pabinger, I.; Knöbl, P. Successful treatment of vaccine-induced pro-thrombotic immune thrombocytopenia (VIPIT). J. Thromb. Haemost. 2021, 19, 1819–1822. [Google Scholar] [CrossRef]
- Rosenberger, L.H.; Smith, P.W.; Sawyer, R.; Hanks, J.B.; Adams, R.B.; Hedrick, T.L. Bilateral adrenal hemorrhage: The unrecognized cause of hemodynamic collapse associated with heparin-induced thrombocytopenia. Crit. Care Med. 2011, 39, 833–838. [Google Scholar] [CrossRef] [Green Version]
- Chow, V.W.; Abnousi, F.; Huddleston, J.I.; Lin, L.H. Heparin-Induced Thrombocytopenia After Total Knee Arthroplasty, With Subsequent Adrenal Hemorrhage. J. Arthroplast. 2012, 27, 1413.e15–1413.e18. [Google Scholar] [CrossRef]
- Shay, D.K.; Gee, J.; Su, J.R.; Myers, T.R.; Marquez, P.; Liu, R.; Zhang, B.; Charles, L.; Thomas, A.C.; Tom, T.S. Safety Monitoring of the Janssen (Johnson & Johnson) COVID-19 Vaccine—United States. MMWR Morb. Mortal. Wkly. Rep. 2021, 70, 680–684. [Google Scholar]
- See, I.; Su, J.R.; Lale, A.; Woo, E.J.; Guh, A.Y.; Shimabukuro, T.T.; Streiff, M.B.; Rao, A.K.; Wheeler, A.P.; Beavers, S.F.; et al. US Case Reports of Cerebral Venous Sinus Thrombosis With Thrombocytopenia After Ad26.COV2.S Vaccination. JAMA 2021, 325, 2448–2456. [Google Scholar] [CrossRef]
- Schultz, N.H.; Sørvoll, I.H.; Michelsen, A.E.; Munthe, L.A.; Lund-Johansen, F.; Ahlen, M.T.; Wiedmann, M.; Aamodt, A.-H.; Skattør, T.H.; Tjønnfjord, G.E.; et al. Thrombosis and Thrombocytopenia after ChAdOx1 nCoV-19 Vaccination. N. Engl. J. Med. 2021, 384, 2124–2130. [Google Scholar] [CrossRef] [PubMed]
- Scully, M.; Singh, D.; Lown, R.; Poles, A.; Solomon, T.; Levi, M.; Goldblatt, D.; Kotoucek, P.; Thomas, W.; Lester, W. Pathologic Antibodies to Platelet Factor 4 after ChAdOx1 nCoV-19 Vaccination. N. Engl. J. Med. 2021, 384, 2202–2211. [Google Scholar] [CrossRef] [PubMed]
- Long, B.; Bridwell, R.; Gottlieb, M. Thrombosis with thrombocytopenia syndrome associated with COVID-19 vaccines. Am. J. Emerg. Med. 2021, 49, 58–61. [Google Scholar] [CrossRef] [PubMed]



Publisher’s Note: MDPI stays neutral with regard to jurisdictional claims in published maps and institutional affiliations. |
© 2022 by the authors. Licensee MDPI, Basel, Switzerland. This article is an open access article distributed under the terms and conditions of the Creative Commons Attribution (CC BY) license (https://creativecommons.org/licenses/by/4.0/).
Share and Cite
Tews, H.C.; Driendl, S.M.; Kandulski, M.; Buechler, C.; Heiss, P.; Stöckert, P.; Heissner, K.; Paulus, M.G.; Kunst, C.; Müller, M.; et al. SARS-CoV-2 Vaccine-Induced Immune Thrombotic Thrombocytopenia with Venous Thrombosis, Pulmonary Embolism, and Adrenal Haemorrhage: A Case Report with Literature Review. Vaccines 2022, 10, 595. https://doi.org/10.3390/vaccines10040595
Tews HC, Driendl SM, Kandulski M, Buechler C, Heiss P, Stöckert P, Heissner K, Paulus MG, Kunst C, Müller M, et al. SARS-CoV-2 Vaccine-Induced Immune Thrombotic Thrombocytopenia with Venous Thrombosis, Pulmonary Embolism, and Adrenal Haemorrhage: A Case Report with Literature Review. Vaccines. 2022; 10(4):595. https://doi.org/10.3390/vaccines10040595
Chicago/Turabian StyleTews, Hauke Christian, Sarah M. Driendl, Melanie Kandulski, Christa Buechler, Peter Heiss, Petra Stöckert, Klaus Heissner, Michael G. Paulus, Claudia Kunst, Martina Müller, and et al. 2022. "SARS-CoV-2 Vaccine-Induced Immune Thrombotic Thrombocytopenia with Venous Thrombosis, Pulmonary Embolism, and Adrenal Haemorrhage: A Case Report with Literature Review" Vaccines 10, no. 4: 595. https://doi.org/10.3390/vaccines10040595
APA StyleTews, H. C., Driendl, S. M., Kandulski, M., Buechler, C., Heiss, P., Stöckert, P., Heissner, K., Paulus, M. G., Kunst, C., Müller, M., & Schmid, S. (2022). SARS-CoV-2 Vaccine-Induced Immune Thrombotic Thrombocytopenia with Venous Thrombosis, Pulmonary Embolism, and Adrenal Haemorrhage: A Case Report with Literature Review. Vaccines, 10(4), 595. https://doi.org/10.3390/vaccines10040595

