Susac Syndrome Following COVID-19 Vaccination: A Case Report
Abstract
:1. Introduction
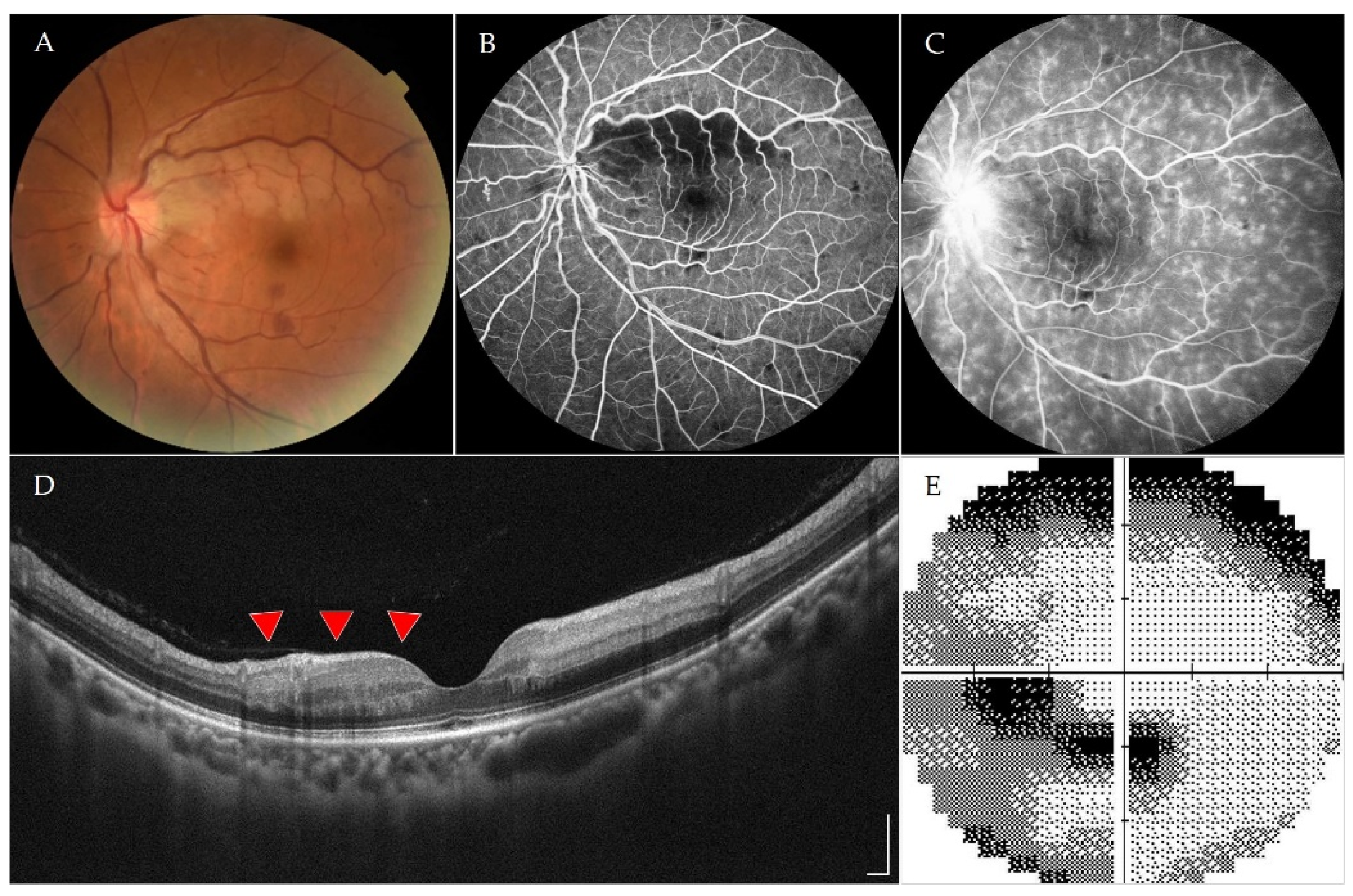
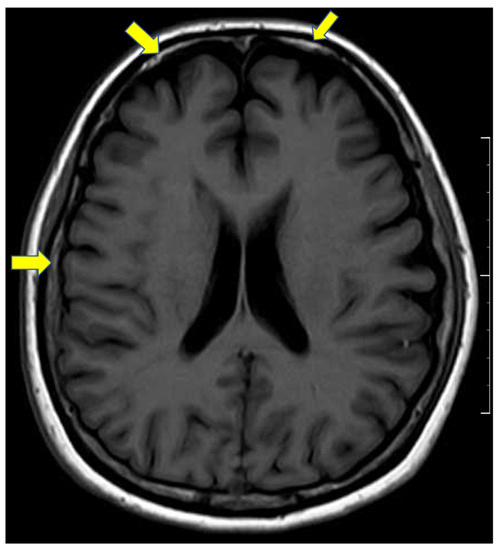
2. Case Presentation
3. Discussion
4. Conclusions
Author Contributions
Funding
Institutional Review Board Statement
Informed Consent Statement
Data Availability Statement
Acknowledgments
Conflicts of Interest
References
- Johns Hopkins Coronavirus Resource Center. 2021. Available online: https://coronavirus.jhu.edu/ (accessed on 7 November 2021).
- Agossou, O.; Atchadé, M.N.; Djibril, A.M. Modeling the effects of preventive measures and vaccination on the COVID-19 spread in Benin Republic with optimal control. Results Phys. 2021, 31, 104969. [Google Scholar] [CrossRef]
- Ritchie, H.; Mathieu, E.; Rodés-Guirao, L.; Appel, C.; Giattino, C.; Ortiz-Ospina, E.; Hasell, J.; Macdonald, B.; Beltekian, D.; Roser, M. Coronavirus Pandemic (COVID-19). 2020. Available online: https://ourworldindata.org/coronavirus (accessed on 7 November 2021).
- Lee, Y.-K.; Huang, Y.-H. Ocular Manifestations after Receiving COVID-19 Vaccine: A Systematic Review. Vaccines 2021, 9, 1404. [Google Scholar] [CrossRef]
- Seifert-Held, T.; Langner-Wegscheider, B.J.; Komposch, M.; Simschitz, P.; Franta, C.; Teuchner, B.; Offenbacher, H.; Otto, F.; Sellner, J.; Rauschka, H.; et al. Susac’s syndrome: Clinical course and epidemiology in a Central European population. Int. J. Neurosci. 2017, 127, 776–780. [Google Scholar] [CrossRef]
- Susac, J.O. Susac’s syndrome. AJNR Am. J. Neuroradiol. 2004, 25, 351–352. [Google Scholar] [CrossRef]
- Magro, C.M.; Poe, J.C.; Lubow, M.; Susac, J.O. Susac syndrome: An organ-specific autoimmune endotheliopathy syndrome associated with anti-endothelial cell antibodies. Am. J. Clin. Pathol. 2011, 136, 903–912. [Google Scholar] [CrossRef]
- Karahan, S.Z.; Boz, C.; Saip, S.; Kale, N.; Demirkaya, S.; Celik, Y.; Demir, S.; Kurne, A.; Ozbek, S.E.; Terzi, M. Susac Syndrome: Clinical characteristics, diagnostic findings and treatment in 19 cases. Mult. Scler. Relat. Disord. 2019, 33, 94–99. [Google Scholar] [CrossRef]
- Landa, G.; Marcovich, A.; Leiba, H.; Springer, A.; Bukelman, A.; Pollack, A. Multiple branch retinal arteriolar occlusions associated with smallpox vaccination. J. Infect. 2006, 52, e7–e9. [Google Scholar] [CrossRef]
- da Silva, L.S.; Finamor, L.P.; Andrade, G.C.; Lima, L.H.; Zett, C.; Muccioli, C.; Sarraf, E.P.; Marinho, P.M.; Peruchi, J.; Oliveira, R.D.D.L.; et al. Vascular retinal findings after COVID-19 vaccination in 11 cases: A coincidence or consequence? Arq. Bras. Oftalmol. 2022, 85, 158–165. [Google Scholar] [CrossRef]
- Falsey, A.R.; Sobieszczyk, M.E.; Hirsch, I.; Sproule, S.; Robb, M.L.; Corey, L.; Neuzil, K.M.; Hahn, W.; Hunt, J.; Mulligan, M.J.; et al. Phase 3 Safety and Efficacy of AZD1222 (ChAdOx1 nCoV-19) COVID-19 Vaccine. N. Engl. J. Med. 2021, 385, 2348–2360. [Google Scholar] [CrossRef]
- Riad, A.; Pokorná, A.; Mekhemar, M.; Conrad, J.; Klugarová, J.; Koščík, M.; Klugar, M.; Attia, S. Safety of ChAdOx1 nCoV-19 Vaccine: Independent Evidence from Two EU States. Vaccines 2021, 9, 673. [Google Scholar] [CrossRef]
- Pavord, S.; Scully, M.; Hunt, B.J.; Lester, W.; Bagot, C.; Craven, B.; Rampotas, A.; Ambler, G.; Makris, M. Clinical Features of Vaccine-Induced Immune Thrombocytopenia and Thrombosis. N. Engl. J. Med. 2021, 385, 1680–1689. [Google Scholar] [CrossRef] [PubMed]
- Greinacher, A.; Selleng, K.; Palankar, R.; Wesche, J.; Handtke, S.; Wolff, M.; Aurich, K.; Lalk, M.; Methling, K.; Völker, U.; et al. Insights in ChAdOx1 nCoV-19 vaccine-induced immune thrombotic thrombocytopenia. Blood 2021, 138, 2256–2268. [Google Scholar] [CrossRef] [PubMed]
- Honavar, S.; Sen, M. After the Storm: Ophthalmic Manifestations of COVID-19 Vaccines. Indian J. Ophthalmol. 2021, 69, 3398–3420. [Google Scholar] [CrossRef] [PubMed]
- Heinz, F.X.; Stiasny, K. Distinguishing features of current COVID-19 vaccines: Knowns and unknowns of antigen presentation and modes of action. NPJ Vaccines 2021, 6, 104. [Google Scholar] [CrossRef]
- Kowarz, E.; Krutzke, L.; Reis, J.; Bracharz, S.; Kochanek, S.; Marschalek, R. “Vaccine-Induced COVID-19 Mimicry” Syndrome: Splice Reactions within the SARS-CoV-2 Spike Open Reading Frame Result in Spike Protein Variants That May Cause Thromboembolic Events in Patients Immunized with Vector-Based Vaccines; Research Square: Durham, NC, USA, 2021. [Google Scholar]
- Agarwal, M.; Majumder, P.D.; Babu, K.; Konana, V.K.; Goyal, M.; Touhami, S.; Stanescu-Segall, D.; Bodaghi, B. Drug-induced uveitis: A review. Indian J. Ophthalmol. 2020, 68, 1799–1807. [Google Scholar] [CrossRef]
- Jampol, L.M.; Tauscher, R.; Schwarz, H.P. COVID-19, COVID-19 Vaccinations, and Subsequent Abnormalities in the Retina: Causation or Coincidence? JAMA Ophthalmol. 2021, 139, 1135–1136. [Google Scholar] [CrossRef]
- Bøhler, A.D.; Strøm, M.E.; Sandvig, K.U.; Moe, M.C.; Jørstad, K. Acute macular neuroretinopathy following COVID-19 vaccination. Eye 2022, 36, 644–645. [Google Scholar] [CrossRef]
- Chen, S.; Hodge, C. Comment on: ‘Acute macular neuroretinopathy following COVID-19 vaccination’. Eye 2021. Available online: https://www.nature.com/articles/s41433-021-01781-x (accessed on 20 December 2021). [CrossRef]
- Drüke, D.; Pleyer, U.; Hoerauf, H.; Feltgen, N.; Bemme, S. Acute macular neuroretinopathy (AMN) following COVID-19 vaccination. Am. J. Ophthalmol. Case Rep. 2021, 24, 101207. [Google Scholar] [CrossRef]
- Mambretti, M.; Huemer, J.; Torregrossa, G.; Ullrich, M.; Findl, O.; Casalino, G. Acute Macular Neuroretinopathy following Coronavirus Disease 2019 Vaccination. Ocul. Immunol. Inflamm. 2021, 29, 730–733. [Google Scholar] [CrossRef]
- Patel, S.N.; Yonekawa, Y. Acute macular neuroretinopathy following SARS-CoV-2 vaccination. Retin. Cases Brief Rep. 2021, 16, 5–8. [Google Scholar] [CrossRef] [PubMed]
- Kotian, R.; Vinzamuri, S.; Pradeep, T. Bilateral paracentral acute middle maculopathy and acute macular neuroretinopathy following COVID-19 vaccination. Indian J. Ophthalmol. 2021, 69, 2862. [Google Scholar] [CrossRef]
- Zaheer, N.; Renju, M.P.; Chavan, R. Acute macular neuroretinopathy after COVID-19 vaccination. Retin. Cases Brief Rep. 2022, 16, 9–11. [Google Scholar] [CrossRef] [PubMed]
- Endo, B.; Bahamon, S.; Martínez-Pulgarín, D.F. Central retinal vein occlusion after mRNA SARS-CoV-2 vaccination: A case report. Indian J. Ophthalmol. 2021, 69, 2865–2866. [Google Scholar] [CrossRef] [PubMed]
- Venditti, L.; Rousseau, A.; Ancelet, C.; Papo, T.; Denier, C. Susac syndrome following COVID-19 infection. Acta Neurol. Belg. 2020, 121, 807–809. [Google Scholar] [CrossRef] [PubMed]
- Rzymski, P.; Perek, B.; Flisiak, R. Thrombotic Thrombocytopenia after COVID-19 Vaccination: In Search of the Underlying Mechanism. Vaccines 2021, 9, 559. [Google Scholar] [CrossRef] [PubMed]
- Vishnevskia-Dai, V.; Chapman, J.; Sheinfeld, R.; Sharon, T.; Huna-Baron, R.; Manor, R.S.; Shoenfeld, Y.; Zloto, O. Susac syndrome: Clinical characteristics, clinical classification, and long-term prognosis. Medicine 2016, 95, e5223. [Google Scholar] [CrossRef]


Publisher’s Note: MDPI stays neutral with regard to jurisdictional claims in published maps and institutional affiliations. |
© 2022 by the authors. Licensee MDPI, Basel, Switzerland. This article is an open access article distributed under the terms and conditions of the Creative Commons Attribution (CC BY) license (https://creativecommons.org/licenses/by/4.0/).
Share and Cite
Chen, P.-J.; Chang, Y.-S.; Lim, C.-C.; Lee, Y.-K. Susac Syndrome Following COVID-19 Vaccination: A Case Report. Vaccines 2022, 10, 363. https://doi.org/10.3390/vaccines10030363
Chen P-J, Chang Y-S, Lim C-C, Lee Y-K. Susac Syndrome Following COVID-19 Vaccination: A Case Report. Vaccines. 2022; 10(3):363. https://doi.org/10.3390/vaccines10030363
Chicago/Turabian StyleChen, Po-Jui, Yi-Sheng Chang, Chen-Chee Lim, and Yu-Kuei Lee. 2022. "Susac Syndrome Following COVID-19 Vaccination: A Case Report" Vaccines 10, no. 3: 363. https://doi.org/10.3390/vaccines10030363
APA StyleChen, P. -J., Chang, Y. -S., Lim, C. -C., & Lee, Y. -K. (2022). Susac Syndrome Following COVID-19 Vaccination: A Case Report. Vaccines, 10(3), 363. https://doi.org/10.3390/vaccines10030363

