Portal Vein and Mesenteric Artery Thrombosis Following the Administration of an Ad26.COV2-S Vaccine—First Case from Romania: A Case Report
Abstract
1. Introduction
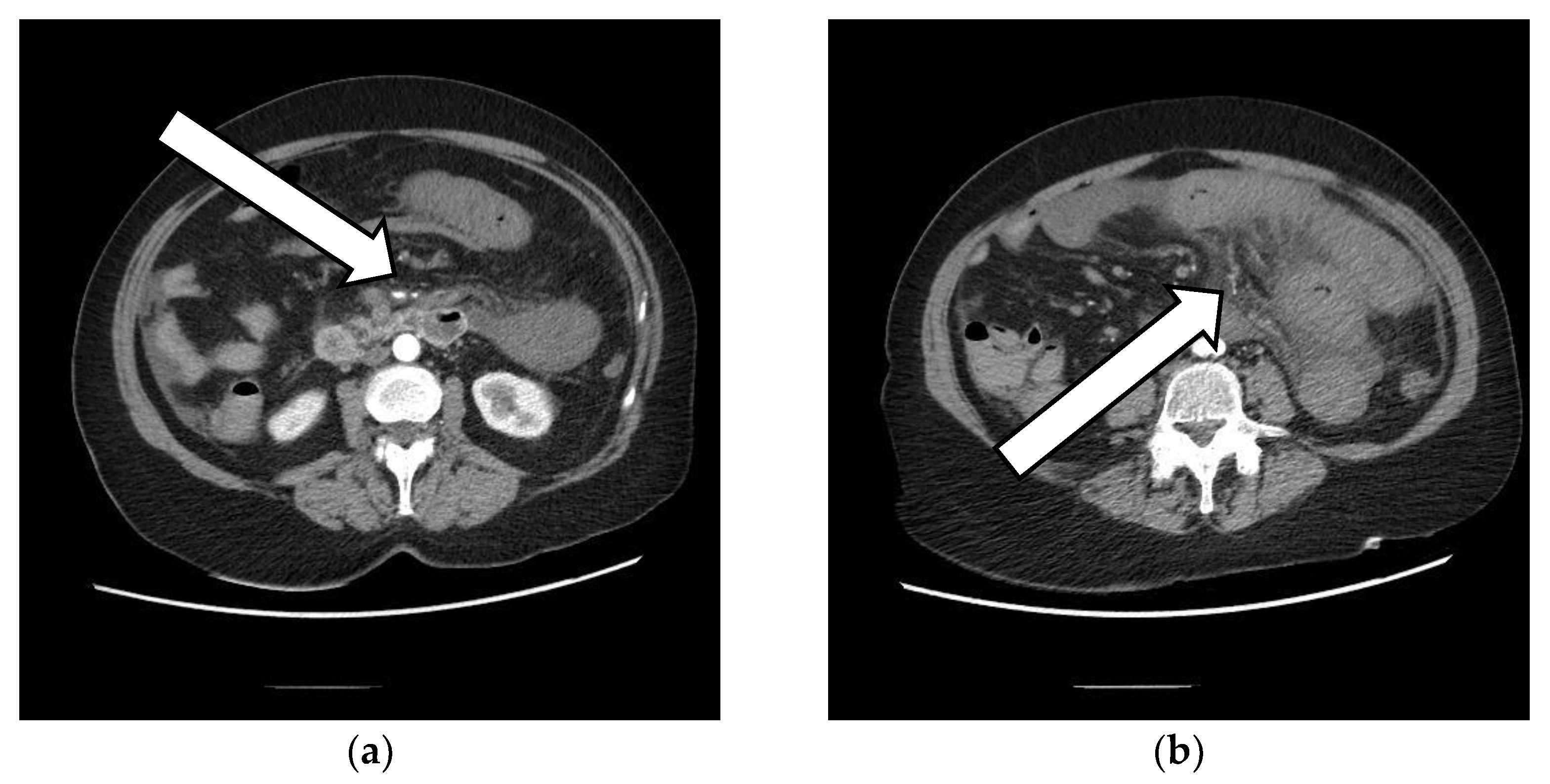
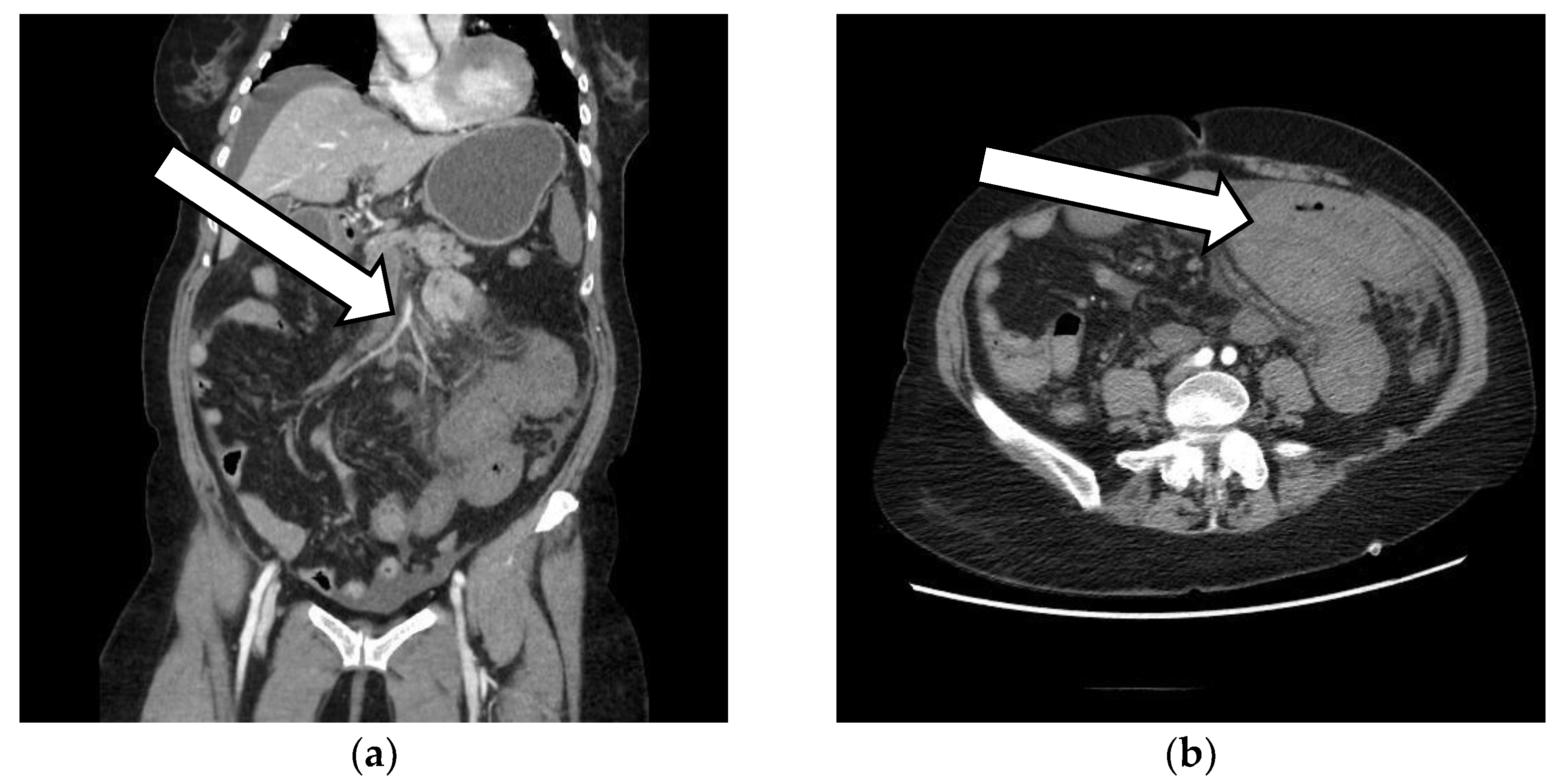
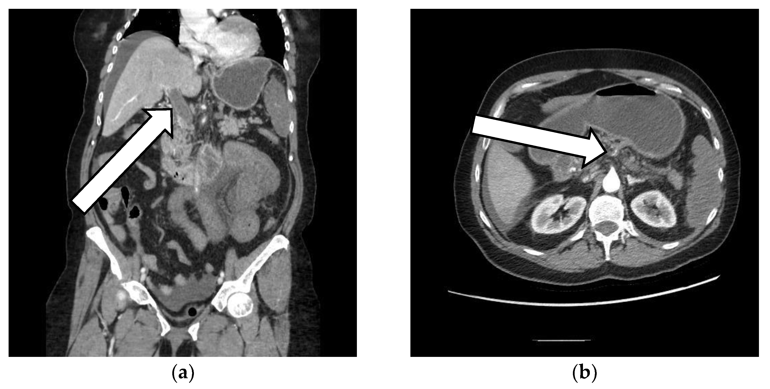
2. The Case Presentation
3. Discussion
4. Conclusions
Author Contributions
Funding
Institutional Review Board Statement
Informed Consent Statement
Data Availability Statement
Conflicts of Interest
References
- Rao, G.S.N.K.; Gowthami, B.; Naveen, N.R.; Samudrala, P.K. An updated review on potential therapeutic drug candidates, vaccines and an insight on patents filed for COVID-19. Curr. Res. Pharmacol. Drug Discov. 2021, 2, 100063. [Google Scholar] [CrossRef]
- Varghese, P.M.; Tsolaki, A.G.; Yasmin, H.; Shastri, A.; Ferluga, J.; Vatish, M.; Madan, T.; Kishore, U. Host-pathogen interaction in COVID-19: Pathogenesis, potential therapeutics and vaccination strategies. Immunobiology 2020, 225, 152008. [Google Scholar] [CrossRef] [PubMed]
- Magon, N.; Prasad, S.; Mahato, C.; Sharma, J.B. COVID-19 vaccine and pregnancy: A safety weapon against pandemic. Taiwan. J. Obstet. Gynecol. 2022, 61, 201–209. [Google Scholar] [CrossRef] [PubMed]
- Abbasi, S.; Alsermani, A.; Alsegayyir, A.; Altahan, T.; Alsermani, M.; Almustanyir, S. Vaccine-Induced Thrombotic Thrombocytopenia: A Case of Splanchnic Veins Thrombosis. Cureus 2022, 14, e23507. [Google Scholar] [CrossRef] [PubMed]
- Dotan, A.; Shoenfeld, Y. Perspectives on vaccine induced thrombotic thrombocytopenia. J. Autoimmun. 2021, 121, 102663. [Google Scholar] [CrossRef]
- Humphreys, G.; Eaton, L. Accelerating vaccine trials. Bull. World Health Organ. 2021, 99, 482–483. [Google Scholar] [CrossRef]
- D’agostino, V.; Caranci, F.; Negro, A.; Piscitelli, V.; Tuccillo, B.; Fasano, F.; Sirabella, G.; Marano, I.; Granata, V.; Grassi, R.; et al. Personalized Medicine Case Report a Rare Case of Cerebral Venous Thrombosis and Disseminated Intravascular Coagulation Temporally Associated to the COVID-19 Vaccine Administration. J. Pers. Med. 2021, 11, 285. [Google Scholar] [CrossRef]
- Franceschi, A.M.; Petrover, D.R.; McMahon, T.M.; Libman, R.B.; Giliberto, L.; Clouston, S.A.; Castillo, M.; Kirsch, C. Retrospective review COVID-19 vaccine induced thrombotic thrombocytopenia and cerebral venous thrombosis-what can we learn from the immune response. Clin. Imaging 2022, 90, 63–70. [Google Scholar] [CrossRef]
- Melas, N. Portal vein thrombosis occurring after the first dose of mRNA SARS-CoV-2 vaccine in a patient with antiphospholipid syndrome. Thromb. Update 2021, 5, 100069. [Google Scholar] [CrossRef]
- Wiedmann, M.; Skattør, T.; Stray-Pedersen, A.; Romundstad, L.; Antal, E.-A.; Marthinsen, P.B.; Sørvoll, I.H.; Ernstsen, S.L.; Lund, C.G.; Holme, P.A.; et al. Vaccine Induced Immune Thrombotic Thrombocytopenia Causing a Severe Form of Cerebral Venous Thrombosis with High Fatality Rate: A Case Series. Front. Neurol. 2021, 12, 1302. [Google Scholar] [CrossRef]
- Premkumar, M.; Bhujade, H.; Karki, T.; Chaluvashetty, S.B.; Kaur, H.; Duseja, A.K.; Singh, V. New Portal Vein Thrombosis in Cirrhosis—Is the Thrombophilia Exacerbated due to Vaccine or COVID-19? J. Clin. Exp. Hepatol. 2022, 12, 1025–1028. [Google Scholar] [CrossRef] [PubMed]
- Kadam, N.; Ramavathu, K.V.; Kamath, N.; Min, K.K. Imaging findings in a patient with suspected vaccine induced immune thrombotic thrombocytopenia. BJR|Case Rep. 2022, 8, 20210138. [Google Scholar] [CrossRef] [PubMed]
- Schönborn, L.; Greinacher, A. Longitudinal Aspects of VITT. Semin. Hematol. 2022, 59, 108–114. [Google Scholar] [CrossRef] [PubMed]
- Corica, B.; Cacciani, A.; Cangemi, R.; Visentini, M.; Recchia, F.; Grillo, R.; Vano, M.; Sperduti, N.; Cincione, A.; Buoninfante, G.; et al. Clinical course, management, and platelet activity assessment of splanchnic VITT: A case report. Thromb. Res. 2021, 208, 14–17. [Google Scholar] [CrossRef]
- Greinacher, A.; Selleng, K.; Mayerle, J.; Palankar, R.; Wesche, J.; Reiche, S.; Aebischer, A.; Warkentin, T.E.; Muenchhoff, M.; Hellmuth, J.C.; et al. Anti-platelet factor 4 antibodies causing VITT do not cross-react with SARS-CoV-2 spike protein. Blood 2021, 138, 1269–1277. Available online: http://imed.med.ucm (accessed on 24 October 2022). [CrossRef]
- Yao, L.; Lu, L.; Ma, W. Immunopathological changes, complications, sequelae and immunological memory in COVID-19 patients. Heliyon 2022, 8, e09302. [Google Scholar] [CrossRef]
- Huynh, A.; Arnold, D.M.; Michael, J.V.; Clare, R.; Smith, J.W.; Daka, M.; Ianosi-Irimie, M.; McKenzie, S.E.; Kelton, J.G.; Nazy, I. Characteristics of VITT antibodies in patients vaccinated with Ad26.COV2.S. Blood Adv. 2022, bloodadvances.2022007336. [Google Scholar] [CrossRef]
- Silva, L.; Pombal, R.; Fidalgo, M.; Freitas, A.; Barbosa, M.; Magalhães, L.; Correia, M.; Valente, J. Vaccine-Induced Thrombotic Thrombocytopenia: A Case Report. Cureus 2022, 14, e23196. [Google Scholar] [CrossRef]
- Cari, L.; Fiore, P.; Naghavi Alhosseini, M.; Sava, G.; Nocentini, G. Blood clots and bleeding events following BNT162b2 and ChAdOx1 nCoV-19 vaccine: An analysis of European data. J. Autoimmun. 2021, 122, 102685. [Google Scholar] [CrossRef]
- Fanni, D.; Saba, L.; Demontis, R.; Gerosa, C.; Chighine, A.; Nioi, M.; Suri, J.S.; Ravarino, A.; Cau, F.; Barcellona, D.; et al. Vaccine-induced severe thrombotic thrombocytopenia following COVID-19 vaccination: A report of an autoptic case and review of the literature. Eur. Rev. Med. Pharmacol. Sci. 2021, 25, 5063–5069. [Google Scholar] [CrossRef]
- Shrestha, P.S.; Ishak, A.; Napit, A.R.; Sarwar, S.; Rai, N.; Nizami, Z.; Bheemisetty, N.; Jayaraj, P.; Shrestha, A.; Rodriguez, I.D. Portal vein thrombosis as a thrombotic complication of COVID-19 mRNA vaccine: A case report and literature review. IDCases 2022, 29, e01582. [Google Scholar] [CrossRef] [PubMed]
- Long, B.; Bridwell, R.; Gottlieb, M. Thrombosis with thrombocytopenia syndrome associated with COVID-19 vaccines. Am. J. Emerg. Med. 2021, 49, 58–61. [Google Scholar] [CrossRef] [PubMed]
- Pavord, S.; Scully, M.; Hunt, B.J.; Lester, W.; Bagot, C.; Craven, B.; Rampotas, A.; Ambler, G.; Makris, M. Clinical Features of Vaccine-Induced Immune Thrombocytopenia and Thrombosis. N. Engl. J. Med. 2021, 385, 1680–1689. [Google Scholar] [CrossRef] [PubMed]
- Pomara, C.; Sessa, F.; Ciaccio, M.; Dieli, F.; Esposito, M.; Garozzo, S.F.; Giarratano, A.; Prati, D.; Rappa, F.; Salerno, M.; et al. Post-mortem findings in vaccine-induced thrombotic thombocytopenia. Haematologica 2021, 106, 2291–2293. [Google Scholar] [CrossRef]
- Mahdi, A.; Collado, A.; Tengbom, J.; Jiao, T.; Wodaje, T.; Johansson, N.; Farnebo, F.; Färnert, A.; Yang, J.; Lundberg, J.O.; et al. Erythrocytes Induce Vascular Dysfunction in COVID-19. JACC Basic Transl. Sci. 2022, 7, 193–204. [Google Scholar] [CrossRef]
- Ahmed, S.H.; Shaikh, T.G.; Waseem, S.; Qadir, N.A.; Yousaf, Z.; Ullah, I. Vaccine-induced thrombotic thrombocytopenia following coronavirus vaccine: A narrative review. Ann. Med. Surg. 2022, 73, 102988. [Google Scholar] [CrossRef]
- Chen, C.; Li, Y.W.; Shi, P.F.; Qian, S.X. Acute Mesenteric Ischemia in Patients with COVID-19: Review of the literature. J. Natl. Med. Assoc. 2022, 114, 47–55. [Google Scholar] [CrossRef]
- Marsafi, O.; Ijim, F.; Elkourchi, M.; Chahbi, Z.; Adnor, S.; Wakrim, S. Acute venous mesenteric ischemia in a young COVID-19 positive subject: A case report. Pan Afr. Med. J. 2021, 39, 273. [Google Scholar] [CrossRef]
- Keshavarz, P.; Rafiee, F.; Kavandi, H.; Goudarzi, S.; Heidari, F.; Gholamrezanezhad, A. Ischemic gastrointestinal complications of COVID-19: A systematic review on imaging presentation. Clin. Imaging 2021, 73, 86–95. [Google Scholar] [CrossRef]
- Kolahchi, Z.; Khanmirzaei, M.H.; Mowla, A. Acute ischemic stroke and vaccine-induced immune thrombotic thrombocytopenia post COVID-19 vaccination; a systematic review. J. Neurol. Sci. 2022, 439, 120327. [Google Scholar] [CrossRef]
- Mahase, E. AstraZeneca vaccine: Blood clots are ‘extremely rare’ and benefits outweigh risks, regulators conclude. BMJ 2021, 373, n931. [Google Scholar] [CrossRef] [PubMed]
- Lau, C.L.; Mayfield, H.J.; Sinclair, J.E.; Brown, S.J.; Waller, M.; Enjeti, A.K.; Baird, A.; Short, K.R.; Mengersen, K.; Litt, J. Risk-benefit analysis of the AstraZeneca COVID-19 vaccine in Australia using a Bayesian network modelling framework. Vaccine 2021, 39, 7429–7440. [Google Scholar] [CrossRef]
- Scully, M.; Singh, D.; Lown, R.; Poles, A.; Solomon, T.; Levi, M.; Goldblatt, D.; Kotoucek, P.; Thomas, W.; Lester, W. Pathologic Antibodies to Platelet Factor 4 after ChAdOx1 nCoV-19 Vaccination. N. Engl. J. Med. 2021, 384, 2202–2211. [Google Scholar] [CrossRef] [PubMed]
- Craven, B.; Lester, W.A.; Boyce, S.; Thomas, W.; Kanny, A.; Davies, C.; Pavord, S.; Hermans, J.; Makris, M.; Bart-Smith, E.; et al. Natural history of PF4 antibodies in vaccine-induced immune thrombocytopenia and thrombosis. Blood 2022, 139, 2553–2560. [Google Scholar] [CrossRef] [PubMed]
- Provan, D.; Arnold, D.M.; Bussel, J.B.; Chong, B.H.; Cooper, N.; Gernsheimer, T.; Ghanima, W.; Godeau, B.; González-López, T.J.; Grainger, J.; et al. Updated international consensus report on the investigation and management of primary immune thrombocytopenia. Blood Adv. 2019, 3, 3780–3817. [Google Scholar] [CrossRef] [PubMed]
- Baden, L.R.; El Sahly, H.M.; Essink, B.; Kotloff, K.; Frey, S.; Novak, R.; Diemert, D.; Spector, S.A.; Rouphael, N.; Creech, C.B.; et al. Efficacy and Safety of the mRNA-1273 SARS-CoV-2 Vaccine. N. Engl. J. Med. 2021, 384, 403–416. [Google Scholar] [CrossRef]
- Pishko, A.M.; Cuker, A. Thrombosis After Vaccination With Messenger RNA-1273: Is This Vaccine-Induced Thrombosis and Thrombocytopenia or Thrombosis with Thrombocytopenia Syndrome? Ann. Intern. Med. 2021, 174, 1468–1469. [Google Scholar] [CrossRef]
- Harrison, H.; Rezaei, H.; Dalal, N. A Case of COVID-19 Vaccine-Induced Thrombotic Thrombocytopenia. Cureus 2022, 1, e27204. [Google Scholar] [CrossRef]
- Bugra, A.; Das, T.; Arslan, M.N.; Ziyade, N.; Buyuk, Y. Postmortem pathological changes in extrapulmonary organs in SARS-CoV-2 rt-PCR–positive cases: A single-center experience. Ir. J. Med. Sci. 2022, 191, 81–91. [Google Scholar] [CrossRef]
- Krzywicka, K.; Heldner, M.R.; van Kammen, M.S.; van Haaps, T.; Hiltunen, S.; Silvis, S.M.; Levi, M.; Hovinga, J.A.K.; Jood, K.; Lindgren, E.; et al. Post-SARS-CoV-2-vaccination cerebral venous sinus thrombosis: An analysis of cases notified to the European Medicines Agency. Eur. J. Neurol. 2021, 28, 3656–3662. [Google Scholar] [CrossRef]
- Sorensen, A.L.T.; Rolland, M.; Hartmann, J.; Harboe, Z.B.; Roed, C.; Jensen, T.; Kolte, L.; El Fassi, D.; Hillingsø, J.; Radziwon-Balicka, A.; et al. A case of thrombocytopenia and multiple thromboses after vaccination with ChAdOx1 nCoV-19 against SARS-CoV-2. Blood Adv. 2021, 5, 2569–2574. [Google Scholar] [CrossRef] [PubMed]
- Taquet, M.; Husain, M.; Geddes, J.R.; Luciano, S.; Harrison, P.J. Cerebral venous thrombosis and portal vein thrombosis: A retrospective cohort study of 537,913 COVID-19 cases. eClinicalMedicine 2021, 39, 101061. [Google Scholar] [CrossRef] [PubMed]
- Bogovic, N.; Doenecke, A.; Hart, C.; Lürken, L.; Heimerl, S.; Eissnert, C.; Schlitt, H.J.; Bitterer, F. COVID19 vaccination-associated portal vein thrombosis—An interdisciplinary clinical challenge. Clin. Res. Hepatol. Gastroenterol. 2022, 46, 101932. [Google Scholar] [CrossRef] [PubMed]
- Umbrello, M.; Brena, N.; Vercelli, R.; Foa, R.A.; Femia, M.; Rossi, U.; Podda, G.M.; Cortellaro, F.; Muttini, S. Successful treatment of acute spleno-porto-mesenteric vein thrombosis after ChAdOx1 nCoV-19 vaccine. A case report. J. Crit. Care 2021, 65, 72–75. [Google Scholar] [CrossRef]
- Graf, T.; Thiele, T.; Klingebiel, R.; Greinacher, A.; Schäbitz, W.R.; Greeve, I. Immediate high-dose intravenous immunoglobulins followed by direct thrombin-inhibitor treatment is crucial for survival in SARS-COVID-19-adenoviral vector vaccine-induced immune thrombotic thrombocytopenia VITT with cerebral sinus venous and portal vein thrombosis. J. Neurol. 2021, 268, 4483–4485. [Google Scholar] [CrossRef]
- Mancuso, M.; Lauretti, D.L.; Cecconi, N.; Santini, M.; Lami, V.; Orlandi, G.; Casagli, S.; Ghetta, A.; Liberti, G.; Elena, B.M.; et al. Arterial intracranial thrombosis as the first manifestation of vaccine-induced immune thrombotic thrombocytopenia (VITT): A case report. Neurol. Sci. 2022, 43, 2085–2089. [Google Scholar] [CrossRef]
- Teekaput, C.; Nadsasarn, A.; Tanprawate, S.; Soontornpun, A.; Thiankhaw, K.; Wantaneeyawong, C.; Teekaput, K.; Chai-Adisaksopha, C. Cerebral venous sinus thrombosis in immune thrombocytopenia patients treated with thrombopoietin receptor agonist: Case reports and literature review. Ann. Med. Surg. 2022, 79, 103737. [Google Scholar] [CrossRef]
- Greinacher, A.; Thiele, T.; Warkentin, T.E.; Weisser, K.; Kyrle, P.A.; Eichinger, S. Thrombotic Thrombocytopenia after ChAdOx1 nCov-19 Vaccination. N. Engl. J. Med. 2021, 384, 2092–2101. [Google Scholar] [CrossRef]
- Lim, S.; Bae, J.H.; Kwon, H.-S.; Nauck, M.A. COVID-19 and diabetes mellitus: From pathophysiology to clinical management. Nat. Rev. Endocrinol. 2021, 17, 11–30. [Google Scholar] [CrossRef]
- Christ-Crain, M.; Hoorn, E.J.; Sherlock, M.; Thompson, C.J.; Wass, J. Endocrinology in the Time of COVID-19-2021 Updates: The management of diabetes insipidus and hyponatraemia. Eur. J. Endocrinol. 2021, 185, G35–G42. [Google Scholar] [CrossRef]
- Puig-Domingo, M.; Marazuela, M.; Yildiz, B.O.; Giustina, A. COVID-19 and endocrine and metabolic diseases. An updated statement from the European Society of Endocrinology. Endocrine 2021, 72, 301–316. [Google Scholar] [CrossRef] [PubMed]
- Xie, L.; Zhang, Z.; Wang, Q.; Chen, Y.; Lu, D.; Wu, W. COVID-19 and Diabetes: A Comprehensive Review of Angiotensin Converting Enzyme 2, Mutual Effects and Pharmacotherapy. Front. Endocrinol. 2021, 12, 1541. [Google Scholar] [CrossRef] [PubMed]
- Bouça, B.; Roldão, M.; Bogalho, P.; Cerqueira, L.; Silva-Nunes, J. Central Diabetes Insipidus Following Immunization with BNT162b2 mRNA COVID-19 Vaccine: A Case Report. Front. Endocrinol. 2022, 13, 889074. [Google Scholar] [CrossRef] [PubMed]
- Lauring, A.S.; Tenforde, M.W.; Chappell, J.D.; Gaglani, M.; Ginde, A.A.; McNeal, T.; Ghamande, S.; Douin, D.J.; Talbot, H.K.; Casey, J.D.; et al. Clinical severity of, and effectiveness of mRNA vaccines against, covid-19 from omicron, delta, and alpha SARS-CoV-2 variants in the United States: Prospective observational study. BMJ 2022, 376, e069761. [Google Scholar] [CrossRef]
- Motamedi, H.; Ari, M.M.; Dashtbin, S.; Fathollahi, M.; Hossainpour, H.; Alvandi, A.; Moradi, J.; Abiri, R. An update review of globally reported SARS-CoV-2 vaccines in preclinical and clinical stages. Int. Immunopharmacol. 2021, 96, 107763. [Google Scholar] [CrossRef]
- Khuhapinant, A.; Rungjirajittranon, T.; Suwanawiboon, B.; Chinthammitr, Y.; Ruchutrakool, T. Successful venous thromboprophylaxis in a patient with vaccine-induced immune thrombotic thrombocytopenia (VITT): A case report of the first reported case in Thailand. Thromb. J. 2021, 19, 65. [Google Scholar] [CrossRef]
- Hsiao, P.-J.; Wu, K.-L.; Chen, Y.-C.; Chen, Y.-L.; Wang, R.-L.; Wu, K.-A.; Chan, J.-S.; Chiu, C.-C.; Huang, L.-Y.; Shyu, H.-Y.; et al. The role of anti-platelet factor 4 antibodies and platelet activation tests in patients with vaccine-induced immune thrombotic thrombocytopenia: Brief report on a comparison of the laboratory diagnosis and literature review. Clin. Chim. Acta 2022, 529, 42–45. [Google Scholar] [CrossRef]
- Sharifian-Dorche, M.; Bahmanyar, M.; Sharifian-Dorche, A.; Mohammadi, P.; Nomovi, M.; Mowla, A. Vaccine-induced immune thrombotic thrombocytopenia and cerebral venous sinus thrombosis post COVID-19 vaccination; a systematic review. J. Neurol. Sci. 2021, 428, 117607. [Google Scholar] [CrossRef]
- See, I.; Su, J.R.; Lale, A.; Woo, E.J.; Guh, A.Y.; Shimabukuro, T.T.; Streiff, M.B.; Rao, A.K.; Wheeler, A.P.; Beavers, S.F.; et al. US Case Reports of Cerebral Venous Sinus Thrombosis with Thrombocytopenia after Ad26.COV2.S Vaccination, March 2 to April 21, 2021. JAMA 2021, 325, 2448. [Google Scholar] [CrossRef]




| Test | Value | Units |
|---|---|---|
| WBC | 22.05 | k/microL |
| Lymphocytes | 6.7 | % |
| Granulocyte | 88.2 | % |
| Eosinophils | 0 | % |
| Monocytes | 1.07 | k/microL |
| PLT | 186 | k/microL |
| Hemoglobin | 12.3 | g/dL |
| Serum glucose | 349 | mg/dL |
| Urea | 45 | mg/dL |
| Creatinine | 1.33 | mg/dL |
| Glutamyl transpeptidase | 237 | U/L |
| C reactive protein | 216.17 | mg/L |
| D-dimer | 16,939 | ng/mL |
| Type of VITT | Description |
|---|---|
| Definite VITT | All five of the following criteria: |
| Onset of symptoms 5–30 days after vaccination against SARS-CoV-2 (or ≤42 days in patients with isolated deep-vein thrombosis or pulmonary embolism) | |
| Presence of thrombosis | |
| Thrombocytopenia (platelet count < 150,000 per cubic millimeter) | |
| D-dimer level > 4000 FEU | |
| Positive anti-PF4 antibodies from ELISA | |
| Probable VITT | D-dimer level > 4000 FEU but one criterion not met (timing, thrombosis, thrombocytopenia, or anti-PF4 antibodies), D-dimer level unknown, or 2000–4000 FEU and all other criteria met |
| Possible VITT | D-dimer level unknown or 2000–4000 FEU with one other criterion not met, or two other criteria not met (timing, thrombosis, thrombocytopenia, or anti-PF4 antibodies) |
| Unlikely VITT | Platelet count < 150,000 per cubic millimeter without thrombosis with D-dimer level < 2000 FEU, or thrombosis with platelet count > 150,000 per cubic millimeter and D-dimer level < 2000 FEU, regardless of anti-PF4 antibody result, and alternative diagnosis more likely |
Publisher’s Note: MDPI stays neutral with regard to jurisdictional claims in published maps and institutional affiliations. |
© 2022 by the authors. Licensee MDPI, Basel, Switzerland. This article is an open access article distributed under the terms and conditions of the Creative Commons Attribution (CC BY) license (https://creativecommons.org/licenses/by/4.0/).
Share and Cite
Savulescu, F.; Cirlan, C.; Iordache-Petrescu, M.I.; Iordache, M.; Petrescu, A.B.; Blajut, C. Portal Vein and Mesenteric Artery Thrombosis Following the Administration of an Ad26.COV2-S Vaccine—First Case from Romania: A Case Report. Vaccines 2022, 10, 1950. https://doi.org/10.3390/vaccines10111950
Savulescu F, Cirlan C, Iordache-Petrescu MI, Iordache M, Petrescu AB, Blajut C. Portal Vein and Mesenteric Artery Thrombosis Following the Administration of an Ad26.COV2-S Vaccine—First Case from Romania: A Case Report. Vaccines. 2022; 10(11):1950. https://doi.org/10.3390/vaccines10111950
Chicago/Turabian StyleSavulescu, Florin, Cristian Cirlan, Madalina Ionela Iordache-Petrescu, Mihai Iordache, Alexandra Bianca Petrescu, and Cristian Blajut. 2022. "Portal Vein and Mesenteric Artery Thrombosis Following the Administration of an Ad26.COV2-S Vaccine—First Case from Romania: A Case Report" Vaccines 10, no. 11: 1950. https://doi.org/10.3390/vaccines10111950
APA StyleSavulescu, F., Cirlan, C., Iordache-Petrescu, M. I., Iordache, M., Petrescu, A. B., & Blajut, C. (2022). Portal Vein and Mesenteric Artery Thrombosis Following the Administration of an Ad26.COV2-S Vaccine—First Case from Romania: A Case Report. Vaccines, 10(11), 1950. https://doi.org/10.3390/vaccines10111950
