Multiple Venous and Pulmonary Artery Thrombosis as the Presenting Features of Spontaneously Reversible Nephrotic Syndrome after Exposure to SARS-CoV-2 Virus (Pfizer/BioNTech BNT162b2) Vaccination
Abstract
1. Background
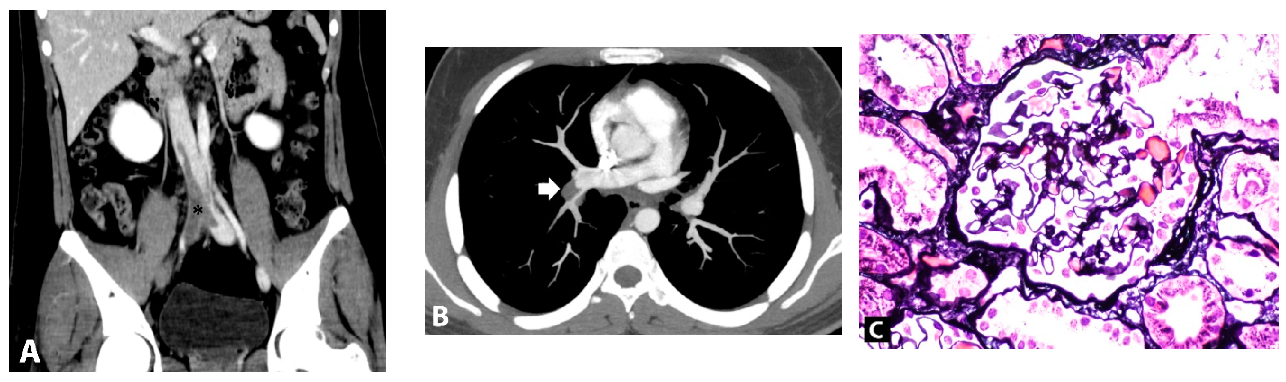
2. Case Presentation
3. Discussion
4. Conclusions
Author Contributions
Funding
Institutional Review Board Statement
Informed Consent Statement
Data Availability Statement
Acknowledgments
Conflicts of Interest
Abbreviations
| CT | computed tomography |
| IVC | inferior vena cava |
| MCD | minimal change disease |
| SARS-CoV-2 | Severe Acute Respiratory Syndrome Coronavirus 2 |
| VTE | venous thromboembolism |
References
- Centers for Disease Control and Prevention. Stay Up to Date with COVID-19 Vaccines Including Boosters; Centers for Disease Control and Prevention: Atlanta, GA, USA, 2022; Volume 2022.
- Pella, E.; Sarafidis, P.A.; Alexandrou, M.E.; Stangou, M.; Nikolaidou, C.; Kosmidis, D.; Papagianni, A. De novo Minimal Change Disease in an Adolescent after Pfizer-BioNTech COVID-19 Vaccination: A Case Report. Case Rep. Nephrol. Dial. 2022, 12, 44–49. [Google Scholar] [CrossRef] [PubMed]
- Hartley, J.L.; Bailey, N.; Sharma, A.; Shawki, H. Nephrotic syndrome with minimal change disease after the Pfizer-BioNTech COVID-19 vaccine: Two cases. BMJ Case Rep. 2022, 15, e244638. [Google Scholar] [CrossRef] [PubMed]
- Jongvilaikasem, P.; Rianthavorn, P. Minimal change disease and acute interstitial nephritis following SARS-CoV-2 BNT162b2 vaccination. Pediatr. Nephrol. 2022, 37, 1419–1421. [Google Scholar] [CrossRef] [PubMed]
- Marinaki, S.; Kolovou, K.; Liapis, G.; Skalioti, C.; Tsiakas, S.; Boletis, I. De Novo Minimal Change Disease following Vaccination with the Pfizer/BioNTech SARS-CoV-2 Vaccine in a Living Kidney Donor. Medicina 2021, 58, 37. [Google Scholar] [CrossRef] [PubMed]
- Baskaran, K.; Cohen, A.W.S.; Weerasinghe, N.; Vilayur, E. Report of two cases of minimal change disease following vaccination for COVID-19. Nephrology (Carlton) 2022, 27, 111–112. [Google Scholar] [CrossRef]
- D’Agati, V.D.; Kudose, S.; Bomback, A.S.; Adamidis, A.; Tartini, A. Minimal change disease and acute kidney injury following the Pfizer-BioNTech COVID-19 vaccine. Kidney Int. 2021, 100, 461–463. [Google Scholar] [CrossRef]
- Lebedev, L.; Sapojnikov, M.; Wechsler, A.; Varadi-Levi, R.; Zamir, D.; Tobar, A.; Levin-Iaina, N.; Fytlovich, S.; Yagil, Y. Minimal Change Disease Following the Pfizer-BioNTech COVID-19 Vaccine. Am. J. Kidney Dis. 2021, 78, 142–145. [Google Scholar] [CrossRef]
- Abu-Raddad, L.J.; Chemaitelly, H.; Ayoub, H.H.; al Mukdad, S.; Yassine, H.M.; Al-Khatib, H.A.; Smatti, M.K.; Tang, P.; Hasan, M.R.; Coyle, P. Effect of mRNA Vaccine Boosters against SARS-CoV-2 Omicron Infection in Qatar. N. Engl. J. Med. 2022, 386, 1804–1816. [Google Scholar] [CrossRef]
- Polack, F.P.; Thomas, S.J.; Kitchin, N.; Absalon, J.; Gurtman, A.; Lockhart, S.; Perez, J.L.; Marc, G.P.; Moreira, E.D.; Zerbini, C.; et al. Safety and Efficacy of the BNT162b2 mRNA Covid-19 Vaccine. N. Engl. J. Med. 2020, 383, 2603–2615. [Google Scholar] [CrossRef]
- Li, Y.; Rao, M.; Xu, G. New-Onset Acute Kidney Disease Post COVID-19 Vaccination. Vaccines 2022, 10, 742. [Google Scholar] [CrossRef]
- Purohit, S.; Piani, F.; Ordonez, F.A.; de Lucas-Collantes, C.; Bauer, C.; Cara-Fuentes, G. Molecular Mechanisms of Proteinuria in Minimal Change Disease. Front. Med. (Lausanne) 2021, 8, 761600. [Google Scholar] [CrossRef] [PubMed]
- Vivarelli, M.; Massella, L.; Ruggiero, B.; Emma, F. Minimal Change Disease. Clin. J. Am. Soc. Nephrol. 2017, 12, 332–345. [Google Scholar] [CrossRef] [PubMed]
- Sette, A.; Crotty, S. Adaptive immunity to SARS-CoV-2 and COVID-19. Cell 2021, 184, 861–880. [Google Scholar] [CrossRef] [PubMed]
- Veetil, B.M.; Osborn, T.G.; Mayer, D.F. Extreme hypercomplementemia in the setting of mixed cryoglobulinemia. Clin. Rheumatol. 2011, 30, 415–418. [Google Scholar] [CrossRef]
- Kidney Disease: Improving Global Outcomes Glomerular Diseases Work Group. KDIGO 2021 Clinical Practice Guideline for the Management of Glomerular Diseases. Kidney Int. 2021, 100 (Suppl. S4), S1–S276. [Google Scholar] [CrossRef] [PubMed]
- Merida, E.; Praga, M. NSAIDs and Nephrotic Syndrome. Clin. J. Am. Soc. Nephrol. 2019, 14, 1280–1282. [Google Scholar] [CrossRef]
- Mak, S.K.; Short, C.D.; Mallick, N.P. Long-term outcome of adult-onset minimal-change nephropathy. Nephrol. Dial. Transplant. 1996, 11, 2192–2201. [Google Scholar] [CrossRef]
- Haruki, A.; Ishikawa, E.; Katayama, K.; Ito, T.; Hiramoto, T.; Fujimoto, M.; Murata, T.; Ito, M. Spontaneous remission of adult-onset minimal change nephrotic syndrome associated with influenza B infection: A case report. BMC Nephrol. 2018, 19, 162. [Google Scholar] [CrossRef]
- Lobbes, H.; Mainbourg, S.; Lega, J.C. Prevention of venous thromboembolism in nephrotic syndrome: The quest towards precision medicine. Nephrol. Dial. Transplant. 2020, 36, 1151–1154. [Google Scholar] [CrossRef]
- Leslom, A.N.; Alrawiah, Z.M.S.; Al-Asmari, A.M.A.; Alqashaneen, M.D.A.; Alahmari, A.O.T.; Al-Ahmari, H. Prevalence of pulmonary thromboembolism in nephrotic syndrome patients: A systematic review and meta-analysis. J. Fam. Med. Prim Care 2020, 9, 497–501. [Google Scholar] [CrossRef]
- Fenton, A.; Smith, S.W.; Hewins, P. Adult minimal-change disease: Observational data from a UK centre on patient characteristics, therapies, and outcomes. BMC Nephrol. 2018, 19, 207. [Google Scholar] [CrossRef] [PubMed]
- Loscalzo, J. Venous thrombosis in the nephrotic syndrome. N. Engl. J. Med. 2013, 368, 956–958. [Google Scholar] [CrossRef] [PubMed]


Publisher’s Note: MDPI stays neutral with regard to jurisdictional claims in published maps and institutional affiliations. |
© 2022 by the authors. Licensee MDPI, Basel, Switzerland. This article is an open access article distributed under the terms and conditions of the Creative Commons Attribution (CC BY) license (https://creativecommons.org/licenses/by/4.0/).
Share and Cite
Thammathiwat, T.; Banjongjit, A.; Chumnumsiriwath, P.; Chompuk, L.; Sripariwuth, A.; Pongcharoen, S.; Kanjanabuch, T. Multiple Venous and Pulmonary Artery Thrombosis as the Presenting Features of Spontaneously Reversible Nephrotic Syndrome after Exposure to SARS-CoV-2 Virus (Pfizer/BioNTech BNT162b2) Vaccination. Vaccines 2022, 10, 1888. https://doi.org/10.3390/vaccines10111888
Thammathiwat T, Banjongjit A, Chumnumsiriwath P, Chompuk L, Sripariwuth A, Pongcharoen S, Kanjanabuch T. Multiple Venous and Pulmonary Artery Thrombosis as the Presenting Features of Spontaneously Reversible Nephrotic Syndrome after Exposure to SARS-CoV-2 Virus (Pfizer/BioNTech BNT162b2) Vaccination. Vaccines. 2022; 10(11):1888. https://doi.org/10.3390/vaccines10111888
Chicago/Turabian StyleThammathiwat, Theerachai, Athiphat Banjongjit, Piyatida Chumnumsiriwath, Laor Chompuk, Apichaya Sripariwuth, Sutatip Pongcharoen, and Talerngsak Kanjanabuch. 2022. "Multiple Venous and Pulmonary Artery Thrombosis as the Presenting Features of Spontaneously Reversible Nephrotic Syndrome after Exposure to SARS-CoV-2 Virus (Pfizer/BioNTech BNT162b2) Vaccination" Vaccines 10, no. 11: 1888. https://doi.org/10.3390/vaccines10111888
APA StyleThammathiwat, T., Banjongjit, A., Chumnumsiriwath, P., Chompuk, L., Sripariwuth, A., Pongcharoen, S., & Kanjanabuch, T. (2022). Multiple Venous and Pulmonary Artery Thrombosis as the Presenting Features of Spontaneously Reversible Nephrotic Syndrome after Exposure to SARS-CoV-2 Virus (Pfizer/BioNTech BNT162b2) Vaccination. Vaccines, 10(11), 1888. https://doi.org/10.3390/vaccines10111888

