Long-Term Neuroprotective Effects of Hydrogen-Rich Water and Memantine in Chronic Radiation-Induced Brain Injury: Behavioral, Histological, and Molecular Insights
Abstract
1. Introduction
2. Materials and Methods
2.1. Animals and Ethics Statement
2.2. Animal Grouping and Treatment
2.3. Animal Irradiation Conditions
2.4. Timeline and Data Collection
2.5. Behavioral Experiments
2.6. Histopathological Evaluation
2.7. 18F-FDG PET/CT Static Imaging and Data Reconstruction Analysis
2.8. Oxidative Stress Biomarker Assessment
2.9. Transcriptomic Sequencing of Hippocampal Tissue
2.10. Real-Time Quantitative PCR (RT-qPCR) Analysis
2.11. Western Blotting Analysis
2.12. Rat Serum ELISA Detection
2.13. Statistical Analysis
3. Results
3.1. General Conditions of Animals
3.2. Behavioral Results
3.2.1. Open Field Test on Day 30 Post-Irradiation
3.2.2. Y-Maze Spontaneous Alternation Test on Day 31 Post-Irradiation
3.2.3. Novel Object Recognition Test on Days 32–33 Post-Irradiation
3.2.4. Open Field Test on Day 60 Post-Irradiation
3.2.5. Y-Maze Novel Arm Exploration Test on Day 61 Post-Irradiation
3.2.6. Morris Water Maze Test on Days 63 to 70 Post-Irradiation
3.2.7. Y-Maze Spontaneous Alternation Test on Day 73 Post-Irradiation
3.3. Histopathological Findings
3.3.1. HE Staining
3.3.2. BrdU + NeuN Immunofluorescence Double Labeling
3.3.3. Transmission Electron Microscopy (TEM) Analysis
3.3.4. Golgi Staining
3.3.5. Nissl Staining
3.4. 18F-FDG PET/CT Brain Static Imaging and Data Reconstruction Analysis
3.5. Oxidative Stress Markers
3.6. Transcriptomic Findings in the Hippocampus
3.6.1. Screening of Differentially Expressed Genes (DEGs)
3.6.2. GO Enrichment Analysis of Differentially Expressed Genes
3.6.3. KEGG Enrichment Analysis of Differentially Expressed Genes
3.6.4. Gene Set Enrichment Analysis (GSEA)
3.6.5. Protein–Protein Interaction (PPI) Network Analysis
3.7. Real-Time Quantitative PCR Validation of Key Protein-Related Gene Expression
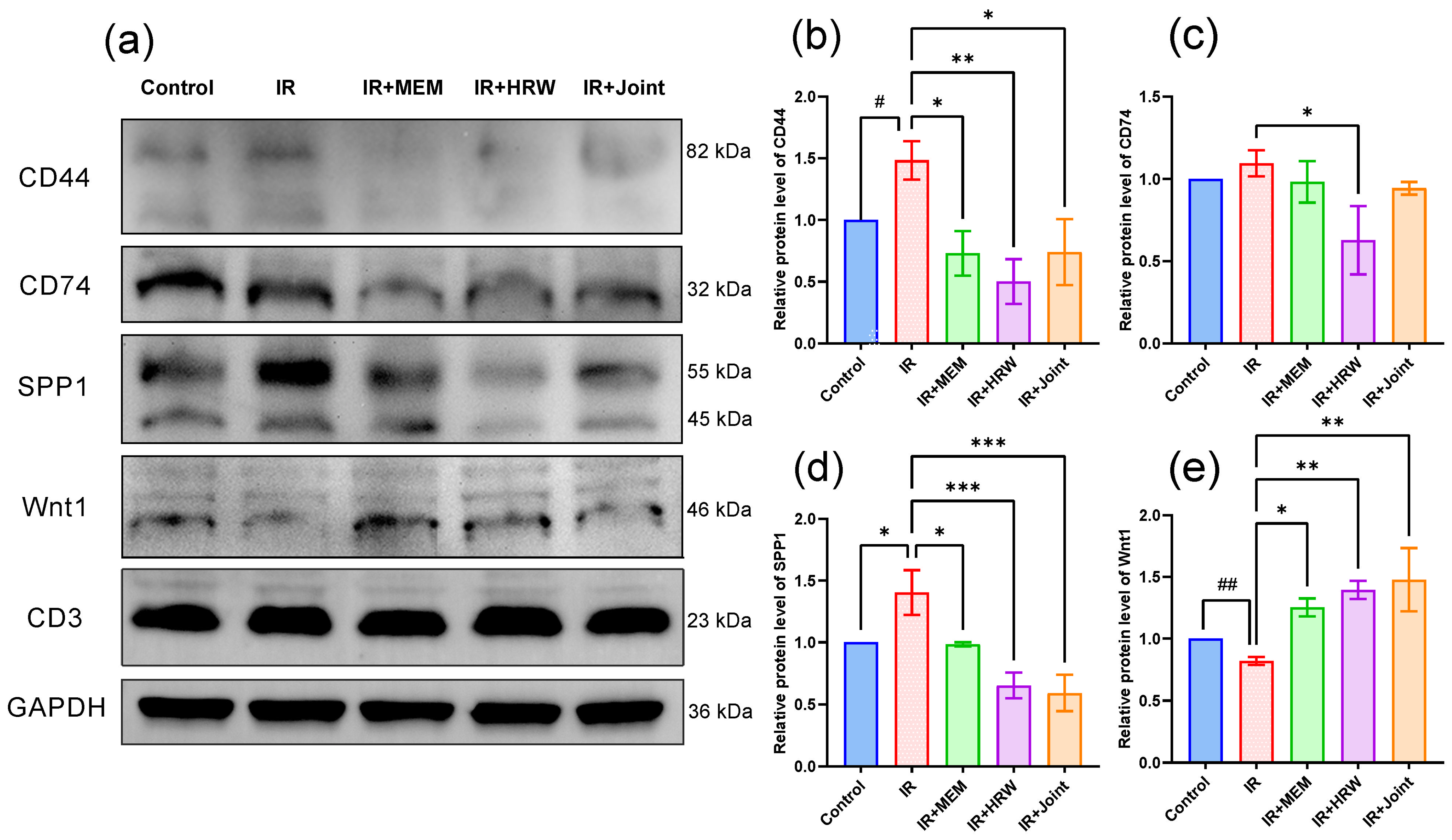
3.8. Western Blot Analysis
3.9. Serum ELISA Biomarker Detection
4. Discussion
4.1. Behavioral Improvements by HRW in Chronic RIBI
4.2. Histopathological Analysis of HRW’s Protective Effects
4.3. Regulation of Oxidative Stress and Inflammation by HRW
4.4. Transcriptomic Analysis Reveals Potential Molecular Mechanisms
4.5. Pathway Analysis: Exploring the Mechanisms of HRW
4.6. Preliminary Exploration of Early Biomarkers for Chronic RIBI
4.7. Study Limitations and Translational Considerations
5. Conclusions
Supplementary Materials
Author Contributions
Funding
Institutional Review Board Statement
Informed Consent Statement
Data Availability Statement
Conflicts of Interest
References
- van den Bent, M.J.; Geurts, M.; French, P.J.; Smits, M.; Capper, D.; Bromberg, J.E.C.; Chang, S.M. Primary brain tumours in adults. Lancet 2023, 402, 1564–1579. [Google Scholar] [CrossRef]
- Makale, M.T.; McDonald, C.R.; Hattangadi-Gluth, J.A.; Kesari, S. Mechanisms of radiotherapy-associated cognitive disability in patients with brain tumours. Nat. Rev. Neurol. 2017, 13, 52–64. [Google Scholar] [CrossRef]
- Coschi, C.H.; Dodbiba, L.; Guerry, D. Oncology: What You May Have Missed in 2023. Ann. Intern. Med. 2024, 177, S57–S70. [Google Scholar] [CrossRef] [PubMed]
- Teitz, M.; Velarde, E.; Yang, X.; Lee, S.; Lecksell, K.; Terrillion, C.; Bibic, A.; Ngen, E.J. Developing Magnetic Resonance Imaging Biomarkers of Neuroinflammation, Cognitive Impairment, and Survival Outcomes for Radiotherapy-Induced Brain Injury in a Preclinical Mouse Model. Investig. Radiol. 2025; Online ahead of print. [Google Scholar] [CrossRef] [PubMed]
- Zhang, Z.; Jiang, J.; He, Y.; Cai, J.; Xie, J.; Wu, M.; Xing, M.; Zhang, Z.; Chang, H.; Yu, P.; et al. Pregabalin mitigates microglial activation and neuronal injury by inhibiting HMGB1 signaling pathway in radiation-induced brain injury. J. Neuroinflamm. 2022, 19, 231. [Google Scholar] [CrossRef] [PubMed]
- Jeyaretna, D.S.; Curry, W.T., Jr.; Batchelor, T.T.; Stemmer-Rachamimov, A.; Plotkin, S.R. Exacerbation of cerebral radiation necrosis by bevacizumab. J. Clin. Oncol. 2011, 29, e159–e162. [Google Scholar] [CrossRef]
- Azzam, E.I.; Jay-Gerin, J.-P.; Pain, D. Ionizing radiation-induced metabolic oxidative stress and prolonged cell injury. Cancer Lett. 2012, 327, 48–60. [Google Scholar] [CrossRef]
- Wang, P.; Liu, J.; Zhang, M.; Yang, J.; Lian, P.; Cheng, X.; Qin, J. Radiation Exposure Induced Blood-Brain Barrier Injury via Mitochondria-Mediated Sterile Inflammation. Adv. Sci. 2025, e02356. [Google Scholar] [CrossRef]
- Liu, Q.; Huang, Y.; Duan, M.; Yang, Q.; Ren, B.; Tang, F. Microglia as Therapeutic Target for Radiation-Induced Brain Injury. Int. J. Mol. Sci. 2022, 23, 8286. [Google Scholar] [CrossRef]
- Sies, H.; Jones, D.P. Reactive oxygen species (ROS) as pleiotropic physiological signalling agents. Nat. Rev. Mol. Cell Biol. 2020, 21, 363–383. [Google Scholar] [CrossRef]
- Marotta, G.; Basagni, F.; Rosini, M.; Minarini, A. Memantine Derivatives as Multitarget Agents in Alzheimer’s Disease. Molecules 2020, 25, 4005. [Google Scholar] [CrossRef] [PubMed]
- Hokama, Y.; Nishimura, M.; Usugi, R.; Fujiwara, K.; Katagiri, C.; Takagi, H.; Ishiuchi, S. Recovery from the damage of cranial radiation modulated by memantine, an NMDA receptor antagonist, combined with hyperbaric oxygen therapy. Neuro Oncol. 2023, 25, 108–122. [Google Scholar] [CrossRef]
- Brown, P.D.; Gondi, V.; Pugh, S.; Tome, W.A.; Wefel, J.S.; Armstrong, T.S.; Bovi, J.A.; Robinson, C.; Konski, A.; Khuntia, D.; et al. Hippocampal Avoidance During Whole-Brain Radiotherapy Plus Memantine for Patients With Brain Metastases: Phase III Trial NRG Oncology CC001. J. Clin. Oncol. 2020, 38, 1019–1029. [Google Scholar] [CrossRef]
- Kirkman, M.A.; Day, J.; Gehring, K.; Zienius, K.; Grosshans, D.; Taphoorn, M.; Li, J.; Brown, P.D. Interventions for preventing and ameliorating cognitive deficits in adults treated with cranial irradiation. Cochrane Database Syst. Rev. 2022, 11, Cd011335. [Google Scholar] [CrossRef]
- Jin, J.; Yue, L.; Du, M.; Geng, F.; Gao, X.; Zhou, Y.; Lu, Q.; Pan, X. Molecular Hydrogen Therapy: Mechanisms, Delivery Methods, Preventive, and Therapeutic Application. MedComm 2025, 6, e70194. [Google Scholar] [CrossRef]
- Hu, D.; Kabayama, S.; Watanabe, Y.; Cui, Y. Health Benefits of Electrolyzed Hydrogen Water: Antioxidant and Anti-Inflammatory Effects in Living Organisms. Antioxidants 2024, 13, 313. [Google Scholar] [CrossRef]
- Nagata, K.; Nakashima-Kamimura, N.; Mikami, T.; Ohsawa, I.; Ohta, S. Consumption of Molecular Hydrogen Prevents the Stress-Induced Impairments in Hippocampus-Dependent Learning Tasks during Chronic Physical Restraint in Mice. Neuropsychopharmacology 2009, 34, 501–508. [Google Scholar] [CrossRef]
- Shimouchi, A.; Nose, K.; Shirai, M.; Kondo, T. Estimation of molecular hydrogen consumption in the human whole body after the ingestion of hydrogen-rich water. Adv. Exp. Med. Biol. 2012, 737, 245–250. [Google Scholar] [CrossRef] [PubMed]
- Rahman, M.H.; Bajgai, J.; Fadriquela, A.; Sharma, S.; Trinh Thi, T.; Akter, R.; Goh, S.H.; Kim, C.-S.; Lee, K.-J. Redox Effects of Molecular Hydrogen and Its Therapeutic Efficacy in the Treatment of Neurodegenerative Diseases. Processes 2021, 9, 308. [Google Scholar] [CrossRef]
- Xu, K.; Sun, G.; Wang, Y.; Luo, H.; Wang, Y.; Liu, M.; Liu, H.; Lu, X.; Qin, X. Mitigating radiation-induced brain injury via NLRP3/NLRC4/Caspase-1 pyroptosis pathway: Efficacy of memantine and hydrogen-rich water. Biomed. Pharmacother. 2024, 177, 116978. [Google Scholar] [CrossRef] [PubMed]
- Walsh, R.N.; Cummins, R.A. The Open-Field Test: A critical review. Psychol. Bull. 1976, 83, 482–504. [Google Scholar] [CrossRef]
- Hughes, R.N. The value of spontaneous alternation behavior (SAB) as a test of retention in pharmacological investigations of memory. Neurosci. Biobehav. Rev. 2004, 28, 497–505. [Google Scholar] [CrossRef]
- Barbosa, F.F.; Silva, R.H. Chapter 18—Immediate-Early Gene Expression in Neural Circuits Related to Object Recognition Memory. In Handbook of Behavioral Neuroscience; Ennaceur, A., de Souza Silva, M.A., Eds.; Elsevier: Amsterdam, The Netherlands, 2018; Volume 27, pp. 261–271. [Google Scholar]
- Vorhees, C.V.; Williams, M.T. Morris water maze: Procedures for assessing spatial and related forms of learning and memory. Nat. Protoc. 2006, 1, 848–858. [Google Scholar] [CrossRef]
- Lampert, P.W.; Davis, R.L. Delayed effects of radiation on the human central nervous system; “Early” And “Late” Delayed Reactions. Neurology 1964, 14, 912–917. [Google Scholar] [CrossRef] [PubMed]
- Martino, A.; Krainik, A.; Pasteris, C.; Hoffmann, D.; Chabardes, S.; Berger, F.; Le Bas, J.F.; Cantin, S.; Attye, A.; Grand, S. Neurological imaging of brain damages after radiotherapy and/or chimiotherapy. J. Neuroradiol. 2014, 41, 52–70. [Google Scholar] [CrossRef]
- Lohmann, P.; Stoffels, G.; Ceccon, G.; Rapp, M.; Sabel, M.; Filss, C.P.; Kamp, M.A.; Stegmayr, C.; Neumaier, B.; Shah, N.J.; et al. Radiation injury vs. recurrent brain metastasis: Combining textural feature radiomics analysis and standard parameters may increase (18)F-FET PET accuracy without dynamic scans. Eur. Radiol. 2017, 27, 2916–2927. [Google Scholar] [CrossRef] [PubMed]
- Dressel, R.; Walter, L.; Günther, E. Genomic and funtional aspects of the rat MHC, the RT1 complex. Immunol. Rev. 2001, 184, 82–95. [Google Scholar] [CrossRef] [PubMed]
- Sumaiya, K.; Langford, D.; Natarajaseenivasan, K.; Shanmughapriya, S. Macrophage migration inhibitory factor (MIF): A multifaceted cytokine regulated by genetic and physiological strategies. Pharmacol. Ther. 2022, 233, 108024. [Google Scholar] [CrossRef]
- Grieb, G.; Kim, B.S.; Simons, D.; Bernhagen, J.; Pallua, N. MIF and CD74—Suitability as clinical biomarkers. Mini Rev. Med. Chem. 2014, 14, 1125–1131. [Google Scholar] [CrossRef]
- Pantouris, G.; Ho, J.; Shah, D.; Syed, M.A.; Leng, L.; Bhandari, V.; Bucala, R.; Batista, V.S.; Loria, J.P.; Lolis, E.J. Nanosecond Dynamics Regulate the MIF-Induced Activity of CD74. Angew. Chem. Int. Ed. Engl. 2018, 57, 7116–7119. [Google Scholar] [CrossRef]
- Rajasekaran, D.; Gröning, S.; Schmitz, C.; Zierow, S.; Drucker, N.; Bakou, M.; Kohl, K.; Mertens, A.; Lue, H.; Weber, C.; et al. Macrophage Migration Inhibitory Factor-CXCR4 Receptor Interactions: Evidence for Partial Allosteric Agonism in Comparison with CXCL12 Chemokine. J. Biol. Chem. 2016, 291, 15881–15895. [Google Scholar] [CrossRef]
- Su, H.; Na, N.; Zhang, X.; Zhao, Y. The biological function and significance of CD74 in immune diseases. Inflamm. Res. 2017, 66, 209–216. [Google Scholar] [CrossRef]
- Wang, Y.; Li, L.; Wu, Y.; Zhang, S.; Ju, Q.; Yang, Y.; Jin, Y.; Shi, H.; Sun, C. CD44 deficiency represses neuroinflammation and rescues dopaminergic neurons in a mouse model of Parkinson’s disease. Pharmacol. Res. 2022, 177, 106133. [Google Scholar] [CrossRef]
- De Schepper, S.; Ge, J.Z.; Crowley, G.; Ferreira, L.S.S.; Garceau, D.; Toomey, C.E.; Sokolova, D.; Rueda-Carrasco, J.; Shin, S.H.; Kim, J.S.; et al. Perivascular cells induce microglial phagocytic states and synaptic engulfment via SPP1 in mouse models of Alzheimer’s disease. Nat. Neurosci. 2023, 26, 406–415. [Google Scholar] [CrossRef] [PubMed]
- Li, J.; Wei, T.; Ma, K.; Zhang, J.; Lu, J.; Zhao, J.; Huang, J.; Zeng, T.; Xie, Y.; Liang, Y.; et al. Single-cell RNA sequencing highlights epithelial and microenvironmental heterogeneity in malignant progression of pancreatic ductal adenocarcinoma. Cancer Lett. 2024, 584, 216607. [Google Scholar] [CrossRef] [PubMed]
- Cheng, M.; Liang, G.; Yin, Z.; Lin, X.; Sun, Q.; Liu, Y. Immunosuppressive role of SPP1-CD44 in the tumor microenvironment of intrahepatic cholangiocarcinoma assessed by single-cell RNA sequencing. J. Cancer Res. Clin. Oncol. 2023, 149, 5497–5512. [Google Scholar] [CrossRef]
- He, H.; Chen, S.; Fan, Z.; Dong, Y.; Wang, Y.; Li, S.; Sun, X.; Song, Y.; Yang, J.; Cao, Q.; et al. Multi-dimensional single-cell characterization revealed suppressive immune microenvironment in AFP-positive hepatocellular carcinoma. Cell Discov. 2023, 9, 60. [Google Scholar] [CrossRef]
- Horiuchi, M.; Wakayama, K.; Itoh, A.; Kawai, K.; Pleasure, D.; Ozato, K.; Itoh, T. Interferon regulatory factor 8/interferon consensus sequence binding protein is a critical transcription factor for the physiological phenotype of microglia. J. Neuroinflamm. 2012, 9, 227. [Google Scholar] [CrossRef] [PubMed]
- Chow, A.; Schad, S.; Green, M.D.; Hellmann, M.D.; Allaj, V.; Ceglia, N.; Zago, G.; Shah, N.S.; Sharma, S.K.; Mattar, M.; et al. Tim-4+ cavity-resident macrophages impair anti-tumor CD8+ T cell immunity. Cancer Cell 2021, 39, 973–988.e9. [Google Scholar] [CrossRef]
- Al-Dalahmah, O.; Lam, M.; McInvale, J.J.; Qu, W.; Nguyen, T.; Mun, J.Y.; Kwon, S.; Ifediora, N.; Mahajan, A.; Humala, N.; et al. Osteopontin drives neuroinflammation and cell loss in MAPT-N279K frontotemporal dementia patient neurons. Cell Stem Cell 2024, 31, 676–693.e10. [Google Scholar] [CrossRef]
- Deng, S.; Zhang, Y.; Wang, H.; Liang, W.; Xie, L.; Li, N.; Fang, Y.; Wang, Y.; Liu, J.; Chi, H.; et al. ITPRIPL1 binds CD3ε to impede T cell activation and enable tumor immune evasion. Cell 2024, 187, 2305–2323.e33. [Google Scholar] [CrossRef]
- Kusminski, C.M.; McTernan, P.G.; Schraw, T.; Kos, K.; O’Hare, J.P.; Ahima, R.; Kumar, S.; Scherer, P.E. Adiponectin complexes in human cerebrospinal fluid: Distinct complex distribution from serum. Diabetologia 2007, 50, 634–642. [Google Scholar] [CrossRef]
- Une, K.; Takei, Y.A.; Tomita, N.; Asamura, T.; Ohrui, T.; Furukawa, K.; Arai, H. Adiponectin in plasma and cerebrospinal fluid in MCI and Alzheimer’s disease. Eur. J. Neurol. 2011, 18, 1006–1009. [Google Scholar] [CrossRef] [PubMed]
- Kim, J.W.; Byun, M.S.; Yi, D.; Kim, M.J.; Jung, J.H.; Kong, N.; Jung, G.; Ahn, H.; Lee, J.Y.; Kang, K.M.; et al. Serum Adiponectin and In Vivo Brain Amyloid Deposition in Cognitively Normal Older Adults: A Cohort Study. Aging Dis. 2023, 14, 904–918. [Google Scholar] [CrossRef]
- Rizzo, M.R.; Fasano, R.; Paolisso, G. Adiponectin and Cognitive Decline. Int. J. Mol. Sci. 2020, 21, 2010. [Google Scholar] [CrossRef]
- Zhang, C.; Zhen, L.; Fang, Z.; Yu, L.; Zhang, Y.; Wei, H.; Jia, J.; Wang, S. Adiponectin Treatment Attenuates Cerebral Ischemia-Reperfusion Injury through HIF-1α-Mediated Antioxidation in Mice. Oxid. Med. Cell Longev. 2021, 2021, 5531048. [Google Scholar] [CrossRef] [PubMed]
- Dezonne, R.S.; Pereira, C.M.; de Moraes Martins, C.J.; de Abreu, V.G.; Francischetti, E.A. Adiponectin, the adiponectin paradox, and Alzheimer’s Disease: Is this association biologically plausible? Metab. Brain Dis. 2023, 38, 109–121. [Google Scholar] [CrossRef]
- Woodward, L.; Akoumianakis, I.; Antoniades, C. Unravelling the adiponectin paradox: Novel roles of adiponectin in the regulation of cardiovascular disease. Br. J. Pharmacol. 2017, 174, 4007–4020. [Google Scholar] [CrossRef] [PubMed]
- Ciani, L.; Salinas, P.C. WNTs in the vertebrate nervous system: From patterning to neuronal connectivity. Nat. Rev. Neurosci. 2005, 6, 351–362. [Google Scholar] [CrossRef] [PubMed]
- Udovin, L.; Quarracino, C.; Herrera, M.I.; Capani, F.; Otero-Losada, M.; Perez-Lloret, S. Role of Astrocytic Dysfunction in the Pathogenesis of Parkinson’s Disease Animal Models from a Molecular Signaling Perspective. Neural Plast. 2020, 2020, 1859431. [Google Scholar] [CrossRef]
- Dong, Z.; Jia, L.; Han, W.; Wang, Y.; Sheng, M.; Ren, Y.; Weng, Y.; Li, H.; Yu, W. The protective effect of lncRNA NEAT1/miR-122-5p/Wnt1 axis on hippocampal damage in hepatic ischemic reperfusion young mice. Cell. Signal. 2023, 107, 110668. [Google Scholar] [CrossRef] [PubMed]
- Sha, A.; Liu, Y.; Qiu, X.; Xiong, B. Polysaccharide from Paris polyphylla improves learning and memory ability in D-galactose-induced aging model mice based on antioxidation, p19/p53/p21, and Wnt/β-catenin signaling pathways. Int. J. Biol. Macromol. 2023, 251, 126311. [Google Scholar] [CrossRef] [PubMed]
- Guo, Q.; Zhong, W.; Duan, A.; Sun, G.; Cui, W.; Zhuang, X.; Liu, L. Protective or deleterious role of Wnt/beta-catenin signaling in diabetic nephropathy: An unresolved issue. Pharmacol. Res. 2019, 144, 151–157. [Google Scholar] [CrossRef]
- Johnson, E.C.B.; Dammer, E.B.; Duong, D.M.; Ping, L.; Zhou, M.; Yin, L.; Higginbotham, L.A.; Guajardo, A.; White, B.; Troncoso, J.C.; et al. Large-scale proteomic analysis of Alzheimer’s disease brain and cerebrospinal fluid reveals early changes in energy metabolism associated with microglia and astrocyte activation. Nat. Med. 2020, 26, 769–780. [Google Scholar] [CrossRef] [PubMed]








| Day | Trial 1 | Trial 2 | Trial 3 | Trial 4 |
|---|---|---|---|---|
| 1 | S | W | NW | SE |
| 2 | NW | S | SE | W |
| 3 | SE | NW | W | S |
| 4 | W | SE | S | NW |
| 5 | S | NW | W | SE |
| 6 & 8 (Probe) | SW |
| Gene Name | Accession Number | Primer (5′ to 3′) | Product Length |
|---|---|---|---|
| Cd44 | NM_012924.3 | Forward primer: TCGATTTGAATATAACCTGCCG Reverse primer: CAGTCCTGGAGATACTGTAGC | 78 |
| Cd74 | XM_006254761.4 | Forward primer: CACCCAGACTCCACCTAAAGTATT Reverse primer: TCTCATCACACTTGGGACGG | 98 |
| Cd3e | NM_001108140.2 | Forward primer: CCAGACTATGAGCCCATCCG Reverse primer: TAGGATGCGTGTTCACCAGG | 178 |
| RT1-Ba | NM_001008831.3 | Forward primer: TCCCCGAGTTTGGACAACTG Reverse primer: GTCGCCTCAGGAACCTTGTT | 133 |
| RT1-Da | NM_001008847.2 | Forward primer: CTGTGAGATACCAGGAGGTGATG Reverse primer: AGGGGTATCCTCAGATGCTGT | 79 |
| Spp1 | NM_012881.2 | Forward primer: GCCAGCCAAGGACCAACTAC Reverse primer: AGTGTTTGCTGTAATGCGCC | 133 |
| Adipoq | NM_144744.3 | Forward primer: AATCCTGCCCAGTCATGAAG Reverse primer: TCTCCAGGAGTGCCATCTCT | 159 |
| Kif18a | NM_001137642.1 | Forward primer: TGCCTTAGCAGATACAAAGAGAAGA Reverse primer: GTCTTTGGCACGATTTGCGT | 184 |
| Gapdh | NM_017008.4 | Forward primer: CCGCATCTTCTTGTGCAGTG Reverse primer: CGATACGGCCAAATCCGTTC | 79 |
Disclaimer/Publisher’s Note: The statements, opinions and data contained in all publications are solely those of the individual author(s) and contributor(s) and not of MDPI and/or the editor(s). MDPI and/or the editor(s) disclaim responsibility for any injury to people or property resulting from any ideas, methods, instructions or products referred to in the content. |
© 2025 by the authors. Licensee MDPI, Basel, Switzerland. This article is an open access article distributed under the terms and conditions of the Creative Commons Attribution (CC BY) license (https://creativecommons.org/licenses/by/4.0/).
Share and Cite
Xu, K.; Liu, H.; Wang, Y.; He, Y.; Liu, M.; Lu, H.; Wang, Y.; Niu, P.; Qin, X. Long-Term Neuroprotective Effects of Hydrogen-Rich Water and Memantine in Chronic Radiation-Induced Brain Injury: Behavioral, Histological, and Molecular Insights. Antioxidants 2025, 14, 948. https://doi.org/10.3390/antiox14080948
Xu K, Liu H, Wang Y, He Y, Liu M, Lu H, Wang Y, Niu P, Qin X. Long-Term Neuroprotective Effects of Hydrogen-Rich Water and Memantine in Chronic Radiation-Induced Brain Injury: Behavioral, Histological, and Molecular Insights. Antioxidants. 2025; 14(8):948. https://doi.org/10.3390/antiox14080948
Chicago/Turabian StyleXu, Kai, Huan Liu, Yinhui Wang, Yushan He, Mengya Liu, Haili Lu, Yuhao Wang, Piye Niu, and Xiujun Qin. 2025. "Long-Term Neuroprotective Effects of Hydrogen-Rich Water and Memantine in Chronic Radiation-Induced Brain Injury: Behavioral, Histological, and Molecular Insights" Antioxidants 14, no. 8: 948. https://doi.org/10.3390/antiox14080948
APA StyleXu, K., Liu, H., Wang, Y., He, Y., Liu, M., Lu, H., Wang, Y., Niu, P., & Qin, X. (2025). Long-Term Neuroprotective Effects of Hydrogen-Rich Water and Memantine in Chronic Radiation-Induced Brain Injury: Behavioral, Histological, and Molecular Insights. Antioxidants, 14(8), 948. https://doi.org/10.3390/antiox14080948

