Influence of an Antioxidant Nanomaterial on Oral Tablet Formulation: Flow Properties and Critical Quality Attributes
Abstract
1. Introduction
2. Materials and Methods
2.1. Antioxidant Nanomaterial Synthesis
2.1.1. Synthesis of Aminofunctionalized Mesoporous Silica Nanoparticles (MSN-NH2)
2.1.2. Functionalization of MSN-NH2 with Caffeic Acid (MSN-CAF)
2.2. Preparation of Tablet Formulation
2.3. Materials Characterization
2.4. Characterization of Antioxidant Activity and Total Phenolic Content
2.4.1. Determination of Total Phenolic Content
2.4.2. DPPH Radical Scavenging Assay
2.4.3. ABTS●+ Scavenging Assay
2.4.4. Oxygen Radical Absorbance Capacity (ORAC) Assay
2.4.5. Ferric-Reducing Antioxidant Power (FRAP) Assay
2.5. Rheological Properties
2.5.1. Angle of Repose
2.5.2. Powder Flowability
2.6. Tablets Manufacturing
2.7. Characterization of the Critical Quality Attributes of the Final Product
2.7.1. Weight Uniformity and Tablet Dimensions
2.7.2. Tablet Hardness
2.7.3. Friability Test
2.7.4. Disintegration Time
2.7.5. Nanoparticle Release Test
2.8. Assessment of Cellular Metabolic Activity
2.9. Statistical Analysis
3. Results and Discussion
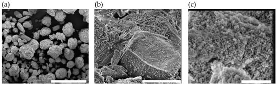
3.1. Characterization of Antioxidant Nanomaterial
3.2. Effect of Nanoparticles on the Rheological Properties of Blended Powders
3.3. Critical Quality Attributes of Tablets
3.4. In Vitro Cytotoxicity Studies
4. Conclusions
Supplementary Materials
Author Contributions
Funding
Institutional Review Board Statement
Informed Consent Statement
Data Availability Statement
Acknowledgments
Conflicts of Interest
References
- Shah, S.T.; Chowdhury, Z.Z.; Simarani, K.; Basirun, W.J.; Badruddin, I.A.; Hussien, M.; Alrobei, H.; Kamangar, S. Nanoantioxidants: The Fourth Generation of Antioxidants—Recent Research Roadmap and Future Perspectives. Coatings 2022, 12, 1568. [Google Scholar] [CrossRef]
- Khalil, I.; Yehye, W.A.; Etxeberria, A.E.; Alhadi, A.A.; Dezfooli, S.M.; Julkapli, N.B.M.; Basirun, W.J.; Seyfoddin, A. Nanoantioxidants: Recent Trends in Antioxidant Delivery Applications. Antioxidants 2020, 9, 24. [Google Scholar] [CrossRef] [PubMed]
- Munin, A.; Edwards-Lévy, F. Encapsulation of Natural Polyphenolic Compounds; a Review. Pharmaceutics 2011, 3, 793–829. [Google Scholar] [CrossRef] [PubMed]
- Omran, B.; Baek, K.-H. Nanoantioxidants: Pioneer Types, Advantages, Limitations, and Future Insights. Molecules 2021, 26, 7031. [Google Scholar] [CrossRef]
- Cheng, Y.; Cai, S.; Wu, H.; Pan, J.; Su, M.; Wei, X.; Ye, J.; Ke, L.; Liu, G.; Chu, C. Revolutionizing Eye Care: The Game-Changing Applications of Nano-Antioxidants in Ophthalmology. Nanoscale 2024, 16, 7307–7322. [Google Scholar] [CrossRef]
- Eftekhari, A.; Dizaj, S.M.; Chodari, L.; Sunar, S.; Hasanzadeh, A.; Ahmadian, E.; Hasanzadeh, M. The Promising Future of Nano-Antioxidant Therapy against Environmental Pollutants Induced-Toxicities. Biomed. Pharmacother. 2018, 103, 1018–1027. [Google Scholar] [CrossRef]
- Birinci, Y.; Niazi, J.H.; Aktay-Çetin, O.; Basaga, H. Quercetin in the Form of a Nano-Antioxidant (QTiO2) Provides Stabilization of Quercetin and Maximizes Its Antioxidant Capacity in the Mouse Fibroblast Model. Enzyme Microb. Technol. 2020, 138, 109559. [Google Scholar] [CrossRef]
- Shah, S.T.; Chowdhury, Z.Z.; Johan, M.R.B.; Badruddin, I.A.; Khaleed, H.M.T.; Kamangar, S.; Alrobei, H. Surface Functionalization of Magnetite Nanoparticles with Multipotent Antioxidant as Potential Magnetic Nanoantioxidants and Antimicrobial Agents. Molecules 2022, 27, 789. [Google Scholar] [CrossRef]
- Martakov, I.S.; Shevchenko, O.G.; Torlopov, M.A.; Sitnikov, P.A. Colloidally Stable Conjugates of Phenolic Acids with γ-AlOOH Nanoparticles as Efficient and Biocompatible Nanoantioxidants. J. Mol. Struct. 2022, 1248, 131471. [Google Scholar] [CrossRef]
- Meshkini, A.; Khoshsokhan, F. Transformative Nanoantioxidant Chitosan Films: High-Performance Active Packaging with Minimal Cytotoxicity. Int. J. Biol. Macromol. 2025, 304, 140983. [Google Scholar] [CrossRef]
- Baumgartner, A.; Planinšek, O. Application of Commercially Available Mesoporous Silica for Drug Dissolution Enhancement in Oral Drug Delivery. Eur. J. Pharm. Sci. 2021, 167, 106015. [Google Scholar] [CrossRef]
- Fatima, R.; Katiyar, P.; Kushwaha, K. Recent Advances in Mesoporous Silica Nanoparticle: Synthesis, Drug Loading, Release Mechanisms, and Diverse Applications. Front. Nanotechnol. 2025, 7, 1564188. [Google Scholar] [CrossRef]
- Ibrahim, A.H.; Smått, J.-H.; Govardhanam, N.P.; Ibrahim, H.M.; Ismael, H.R.; Afouna, M.I.; Samy, A.M.; Rosenholm, J.M. Formulation and Optimization of Drug-Loaded Mesoporous Silica Nanoparticle-Based Tablets to Improve the Dissolution Rate of the Poorly Water-Soluble Drug Silymarin. Eur. J. Pharm. Sci. 2020, 142, 105103. [Google Scholar] [CrossRef] [PubMed]
- Kim, D.; Koo, J.; Yang, E.-J.; Shim, K.; Tin, Y.Y.; Lin, Z.; Oh, K.T.; Na, D.H. Entrapment of Celecoxib into Mesoporous Silica Particles for Tablets with Improved Dissolution through Amorphization. J. Drug Deliv. Sci. Technol. 2023, 84, 104485. [Google Scholar] [CrossRef]
- Abbaraju, P.L.; Meka, A.K.; Jambhrunkar, S.; Zhang, J.; Xu, C.; Popat, A.; Yu, C. Floating Tablets from Mesoporous Silica Nanoparticles. J. Mater. Chem. B 2014, 2, 8298–8302. [Google Scholar] [CrossRef]
- Lumay, G.; Pillitteri, S.; Marck, M.; Monsuur, F.; Pauly, T.; Ribeyre, Q.; Francqui, F.; Vandewalle, N. Influence of Mesoporous Silica on Powder Flow and Electrostatic Properties on Short and Long Term. J. Drug Deliv. Sci. Technol. 2019, 53, 101192. [Google Scholar] [CrossRef]
- Lumay, G.; Boschini, F.; Traina, K.; Bontempi, S.; Remy, J.-C.; Cloots, R.; Vandewalle, N. Measuring the Flowing Properties of Powders and Grains. Powder Technol. 2012, 224, 19–27. [Google Scholar] [CrossRef]
- Ehtiati, S.; Alizadeh, M.; Farhadi, F.; Khalatbari, K.; Ajiboye, B.O.; Baradaran Rahimi, V.; Askari, V.R. Promising Influences of Caffeic Acid and Caffeic Acid Phenethyl Ester against Natural and Chemical Toxins: A Comprehensive and Mechanistic Review. J. Funct. Foods 2023, 107, 105637. [Google Scholar] [CrossRef]
- Purushothaman, A.; Babu, S.S.; Naroth, S.; Janardanan, D. Antioxidant Activity of Caffeic Acid: Thermodynamic and Kinetic Aspects on the Oxidative Degradation Pathway. Free Radic. Res. 2022, 56, 617–630. [Google Scholar] [CrossRef]
- Gălbău, C.Ș.; Badea, M.; Gaman, L.E. Do Young Consumers Care about Antioxidant Benefits and Resveratrol and Caffeic Acid Consumption? Nutrients 2024, 16, 1439. [Google Scholar] [CrossRef]
- Symes, A.; Shavandi, A.; Zhang, H.; Mohamed Ahmed, I.A.; Al-Juhaimi, F.Y.; Bekhit, A.E.-D.A. Antioxidant Activities and Caffeic Acid Content in New Zealand Asparagus (Asparagus officinalis) Roots Extracts. Antioxidants 2018, 7, 52. [Google Scholar] [CrossRef] [PubMed]
- Taysi, S.; Algburi, F.S.; Taysi, M.E.; Caglayan, C. Caffeic Acid Phenethyl Ester: A Review on Its Pharmacological Importance, and Its Association with Free Radicals, COVID-19, and Radiotherapy. Phytother. Res. 2023, 37, 1115–1135. [Google Scholar] [CrossRef] [PubMed]
- Cortez, N.; Villegas, C.; Burgos, V.; Cabrera-Pardo, J.R.; Ortiz, L.; González-Chavarría, I.; Nchiozem-Ngnitedem, V.-A.; Paz, C. Adjuvant Properties of Caffeic Acid in Cancer Treatment. Int. J. Mol. Sci. 2024, 25, 7631. [Google Scholar] [CrossRef]
- Alpsoy, L.; Baykal, A.; Kurtan, U.; Akal, Z.Ü. Superparamagnetic Iron Oxide Nanoparticles (SPION) Functionalized by Caffeic Acid (CFA). J. Supercond. Nov. Magn. 2017, 30, 2699–2706. [Google Scholar] [CrossRef]
- İlyasoğlu, H.; Nadzieja, M.; Guo, Z. Caffeic Acid Grafted Chitosan as a Novel Dual-Functional Stabilizer for Food-Grade Emulsions and Additive Antioxidant Property. Food Hydrocoll. 2019, 95, 168–176. [Google Scholar] [CrossRef]
- Klein, S.; Smuda, M.; Harreiß, C.; Menter, C.; Distel, L.V.R.; Kryschi, C. Bifunctional Au–Fe3O4 Nanoheterodimers Acting as X-Ray Protector in Healthy Cells and as X-Ray Enhancer in Tumor Cells. ACS Appl. Mater. Interfaces 2019, 11, 39613–39623. [Google Scholar] [CrossRef]
- Mazzotta, E.; Orlando, C.; Muzzalupo, R. New Nanomaterials with Intrinsic Antioxidant Activity by Surface Functionalization of Niosomes with Natural Phenolic Acids. Pharmaceutics 2021, 13, 766. [Google Scholar] [CrossRef]
- Chen, J.; Yang, J.; Ma, L.; Li, J.; Shahzad, N.; Kim, C.K. Structure-Antioxidant Activity Relationship of Methoxy, Phenolic Hydroxyl, and Carboxylic Acid Groups of Phenolic Acids. Sci. Rep. 2020, 10, 2611. [Google Scholar] [CrossRef]
- Teixeira, J.; Gaspar, A.; Garrido, E.M.; Garrido, J.; Borges, F. Hydroxycinnamic Acid Antioxidants: An Electrochemical Overview. BioMed Res. Int. 2013, 2013, 251754. [Google Scholar] [CrossRef]
- Jia, C.-H.; Wang, X.-Y.; Qi, J.-F.; Hong, S.-T.; Lee, K.-T. Antioxidant Properties of Caffeic Acid Phenethyl Ester and 4-Vinylcatechol in Stripped Soybean Oil. J. Food Sci. 2016, 81, C35–C41. [Google Scholar] [CrossRef]
- Hao, N.; Jayawardana, K.W.; Chen, X.; Yan, M. One-Step Synthesis of Amine-Functionalized Hollow Mesoporous Silica Nanoparticles as Efficient Antibacterial and Anticancer Materials. ACS Appl. Mater. Interfaces 2015, 7, 1040–1045. [Google Scholar] [CrossRef] [PubMed]
- Arriagada, F.; Günther, G.; Nos, J.; Nonell, S.; Olea-Azar, C.; Morales, J. Antioxidant Nanomaterial Based on Core–Shell Silica Nanospheres with Surface-Bound Caffeic Acid: A Promising Vehicle for Oxidation-Sensitive Drugs. Nanomaterials 2019, 9, 214. [Google Scholar] [CrossRef] [PubMed]
- Saha, S.; and Shahiwala, A.F. Multifunctional Coprocessed Excipients for Improved Tabletting Performance. Expert Opin. Drug Deliv. 2009, 6, 197–208. [Google Scholar] [CrossRef]
- Michoel, A.; Rombaut, P.; Verhoye, A. Comparative Evaluation of Co-Processed Lactose and Microcrystalline Cellulose with Their Physical Mixtures in the Formulation of Folic Acid Tablets. Pharm. Dev. Technol. 2002, 7, 79–87. [Google Scholar] [CrossRef] [PubMed]
- Desai, P.M.; Liew, C.V.; Heng, P.W.S. Review of Disintegrants and the Disintegration Phenomena. J. Pharm. Sci. 2016, 105, 2545–2555. [Google Scholar] [CrossRef]
- Martínez-Acevedo, L.; de la Luz Zambrano-Zaragoza, M.; Vidal-Romero, G.; Mendoza-Elvira, S.; Quintanar-Guerrero, D. Evaluation of the Lubricating Effect of Magnesium Stearate and Glyceryl Behenate Solid Lipid Nanoparticles in a Direct Compression Process. Int. J. Pharm. 2018, 545, 170–175. [Google Scholar] [CrossRef]
- Martínez-Acevedo, L.; Job Galindo-Pérez, M.; Vidal-Romero, G.; del Real, A.; de la Luz Zambrano-Zaragoza, M.; Quintanar-Guerrero, D. Effect of Magnesium Stearate Solid Lipid Nanoparticles as a Lubricant on the Properties of Tablets by Direct Compression. Eur. J. Pharm. Biopharm. 2023, 193, 262–273. [Google Scholar] [CrossRef]
- Haruna, F.; Apeji, Y.E.; Oparaeche, C.; Oyi, A.R.; Gamlen, M. Compaction and Tableting Properties of Composite Particles of Microcrystalline Cellulose and Crospovidone Engineered for Direct Compression. Future J. Pharm. Sci. 2020, 6, 35. [Google Scholar] [CrossRef]
- Tafere, C.; Yilma, Z.; Abrha, S.; Yehualaw, A. Formulation, in Vitro Characterization and Optimization of Taste-Masked Orally Disintegrating Co-Trimoxazole Tablet by Direct Compression. PLoS ONE 2021, 16, e0246648. [Google Scholar] [CrossRef]
- Teżyk, M.; Jakubowska, E.; Milczewska, K.; Milanowski, B.; Voelkel, A.; Lulek, J. The Influence of Direct Compression Powder Blend Transfer Method from the Container to the Tablet Press on Product Critical Quality Attributes: A Case Study. Drug Dev. Ind. Pharm. 2017, 43, 911–916. [Google Scholar] [CrossRef]
- Torres-Benítez, A.; Ortega-Valencia, J.E.; Flores-González, M.; Sánchez, M.; Simirgiotis, M.J.; Gómez-Serranillos, M.P. Phytochemical Characterization and In Vitro and In Silico Biological Studies from Ferns of Genus Blechnum (Blechnaceae, Polypodiales). Antioxidants 2023, 12, 540. [Google Scholar] [CrossRef]
- Hopfstock, P.; Romero-Parra, J.; Winterhalter, P.; Gök, R.; Simirgiotis, M. In Vitro Inhibition of Enzymes and Antioxidant and Chemical Fingerprinting Characteristics of Azara serrata Ruiz & Pav. Fruits, an Endemic Plant of the Valdivian Forest of Chile. Plants 2024, 13, 2756. [Google Scholar] [CrossRef]
- Viteri, R.; Espinoza, F.; Cornejo, X.; Simirgiotis, M.J.; Manzano, P. Phytochemical Profiling, Antioxidant, Enzymatic Inhibitory, and Antibacterial Activities of Wigandia Ecuadorensis. Front. Plant Sci. 2024, 15, 1481447. [Google Scholar] [CrossRef] [PubMed]
- USP. <1174> Powder Flow. In USP–NF; USP: Rockville, MD, USA, 2024. [Google Scholar]
- Boyd, B.J.; Bergström, C.A.S.; Vinarov, Z.; Kuentz, M.; Brouwers, J.; Augustijns, P.; Brandl, M.; Bernkop-Schnürch, A.; Shrestha, N.; Préat, V.; et al. Successful Oral Delivery of Poorly Water-Soluble Drugs Both Depends on the Intraluminal Behavior of Drugs and of Appropriate Advanced Drug Delivery Systems. Eur. J. Pharm. Sci. 2019, 137, 104967. [Google Scholar] [CrossRef] [PubMed]
- USP. Propranolol Hydrochloride Extended-Release Capsules. In USP–NF; USP: Rockville, MD, USA, 2020. [Google Scholar]
- USP. Methazolamide Tablets. In USP–NF; USP: Rockville, MD, USA, 2020. [Google Scholar]
- Shafqat, S.S.; Khan, A.A.; Zafar, M.N.; Alhaji, M.H.; Sanaullah, K.; Shafqat, S.R.; Murtaza, S.; Pang, S.C. Development of Amino-Functionalized Silica Nanoparticles for Efficient and Rapid Removal of COD from Pre-Treated Palm Oil Effluent. J. Mater. Res. Technol. 2019, 8, 385–395. [Google Scholar] [CrossRef]
- Ebabe Elle, R.; Rahmani, S.; Lauret, C.; Morena, M.; Bidel, L.P.R.; Boulahtouf, A.; Balaguer, P.; Cristol, J.-P.; Durand, J.-O.; Charnay, C.; et al. Functionalized Mesoporous Silica Nanoparticle with Antioxidants as a New Carrier That Generates Lower Oxidative Stress Impact on Cells. Mol. Pharm. 2016, 13, 2647–2660. [Google Scholar] [CrossRef]
- Deligiannakis, Y.; Sotiriou, G.A.; Pratsinis, S.E. Antioxidant and Antiradical SiO2 Nanoparticles Covalently Functionalized with Gallic Acid. ACS Appl. Mater. Interfaces 2012, 4, 6609–6617. [Google Scholar] [CrossRef]
- Avendaño-Godoy, J.; Cattoën, X.; Kogan, M.J.; Morales Valenzuela, J. Epigallocatechin-3-Gallate Adsorbed on Core–Shell Gold Nanorod@mesoporous Silica Nanoparticles, an Antioxidant Nanomaterial with Photothermal Properties. Int. J. Pharm. 2024, 662, 124507. [Google Scholar] [CrossRef]
- Trendafilova, I.; Lazarova, H.; Chimshirova, R.; Trusheva, B.; Koseva, N.; Popova, M. Novel Kaempferol Delivery Systems Based on Mg-Containing MCM-41 Mesoporous Silicas. J. Solid State Chem. 2021, 301, 122323. [Google Scholar] [CrossRef]
- Spagnol, C.M.; Assis, R.P.; Brunetti, I.L.; Isaac, V.L.B.; Salgado, H.R.N.; Corrêa, M.A. In Vitro Methods to Determine the Antioxidant Activity of Caffeic Acid. Spectrochim. Acta A Mol. Biomol. Spectrosc. 2019, 219, 358–366. [Google Scholar] [CrossRef]
- Mazzone, G.; Russo, N.; Toscano, M. Antioxidant Properties Comparative Study of Natural Hydroxycinnamic Acids and Structurally Modified Derivatives: Computational Insights. Comput. Theor. Chem. 2016, 1077, 39–47. [Google Scholar] [CrossRef]
- Xie, J.; Schaich, K.M. Re-Evaluation of the 2,2-Diphenyl-1-Picrylhydrazyl Free Radical (DPPH) Assay for Antioxidant Activity. J. Agric. Food Chem. 2014, 62, 4251–4260. [Google Scholar] [CrossRef] [PubMed]
- Leopoldini, M.; Russo, N.; Toscano, M. The Molecular Basis of Working Mechanism of Natural Polyphenolic Antioxidants. Food Chem. 2011, 125, 288–306. [Google Scholar] [CrossRef]
- Schaich, K.M.; Tian, X.; Xie, J. Hurdles and Pitfalls in Measuring Antioxidant Efficacy: A Critical Evaluation of ABTS, DPPH, and ORAC Assays. J. Funct. Foods 2015, 14, 111–125. [Google Scholar] [CrossRef]
- Trendafilova, I.; Mihály, J.; Momekova, D.; Chimshirova, R.; Lazarova, H.; Momekov, G.; Popova, M. Antioxidant Activity and Modified Release Profiles of Morin and Hesperetin Flavonoids Loaded in Mg-or Ag-Modified SBA-16 Carriers. Mater. Today Commun. 2020, 24, 101198. [Google Scholar] [CrossRef]
- Catauro, M.; Barrino, F.; Dal Poggetto, G.; Crescente, G.; Piccolella, S.; Pacifico, S. New SiO2/Caffeic Acid Hybrid Materials: Synthesis, Spectroscopic Characterization, and Bioactivity. Materials 2020, 13, 394. [Google Scholar] [CrossRef] [PubMed]
- Catauro, M.; Poggetto, G.D.; Crescente, G.; Piccolella, S.; Pacifico, S. Cytocompatibility of Caffeic Acid-Silica Hybrid Materials on NIH-3T3 Fibroblast Cells. Macromol. Symp. 2021, 395, 2000205. [Google Scholar] [CrossRef]
- Berlier, G.; Gastaldi, L.; Ugazio, E.; Miletto, I.; Iliade, P.; Sapino, S. Stabilization of Quercetin Flavonoid in MCM-41 Mesoporous Silica: Positive Effect of Surface Functionalization. J. Colloid Interface Sci. 2013, 393, 109–118. [Google Scholar] [CrossRef]
- Gonnissen, Y.; Remon, J.P.; Vervaet, C. Development of Directly Compressible Powders via Co-Spray Drying. Eur. J. Pharm. Biopharm. 2007, 67, 220–226. [Google Scholar] [CrossRef]
- Morin, G.; Briens, L. The Effect of Lubricants on Powder Flowability for Pharmaceutical Application. AAPS PharmSciTech 2013, 14, 1158–1168. [Google Scholar] [CrossRef]
- Yavari, A.; Sadjady, S.K.; Moniri, E.; Nokhodchi, A.; Haghighat Talab, F. Investigating the Influence of Crospovidone’s Manufacturer Variability on Dissolution Profiles of Hydrochlorothiazide Tablets. AAPS PharmSciTech 2025, 26, 52. [Google Scholar] [CrossRef]
- Saker, A.; Cares-Pacheco, M.-G.; Marchal, P.; Falk, V. Powders Flowability Assessment in Granular Compaction: What about the Consistency of Hausner Ratio? Powder Technol. 2019, 354, 52–63. [Google Scholar] [CrossRef]
- Voycheva, C.; Tzankov, B.; Tzankova, D.G.; Avramova, K.I.; Yoncheva, K.P. Formulation of Tablets Containing Glimepiride-Loaded Mesoporous Silica Particles. Indian J. Pharm. Sci. 2019, 81, 483–488. [Google Scholar] [CrossRef]
- Wang, Z.; Ye, B.-N.; Zhang, Y.-T.; Xie, J.-X.; Li, W.-S.; Zhang, H.-T.; Liu, Y.; Feng, N.-P. Exploring the Potential of Mesoporous Silica as a Carrier for Puerarin: Characterization, Physical Stability, and In Vivo Pharmacokinetics. AAPS PharmSciTech 2019, 20, 289. [Google Scholar] [CrossRef]
- Zhang, Y.; Li, Y.; Wu, F.; Hong, Y.; Shen, L.; Lin, X.; Feng, Y. Texture and Surface Feature-Mediated Striking Improvements on Multiple Direct Compaction Properties of Zingiberis Rhizoma Extracted Powder by Coprocessing with Nano-Silica. Int. J. Pharm. 2021, 603, 120703. [Google Scholar] [CrossRef]
- Majerová, D.; Kulaviak, L.; Růžička, M.; Štěpánek, F.; Zámostný, P. Effect of Colloidal Silica on Rheological Properties of Common Pharmaceutical Excipients. Eur. J. Pharm. Biopharm. 2016, 106, 2–8. [Google Scholar] [CrossRef] [PubMed]
- Blanco, D.; Antikainen, O.; Räikkönen, H.; Yliruusi, J.; Juppo, A.M. Effect of Colloidal Silicon Dioxide and Moisture on Powder Flow Properties: Predicting in-Process Performance Using Image-Based Analysis. Int. J. Pharm. 2021, 597, 120344. [Google Scholar] [CrossRef] [PubMed]
- Celestino, M.T.; de Oliveira Magalhães, U.; Fraga, A.G.M.; do Carmo, F.A.; Lione, V.; Castro, H.C.; de Sousa, V.P.; Rodrigues, C.R.; Cabral, L.M. Rational Use of Antioxidants in Solid Oral Pharmaceutical Preparations. Braz. J. Pharm. Sci. 2012, 48, 405–415. [Google Scholar] [CrossRef]
- Haware, R.V.; Kancharla, J.P.; Udupa, A.K.; Staton, S.; Gupta, M.R.; Al-Achi, A.; Stagner, W.C. Physico-Mechanical Properties of Coprocessed Excipient MicroceLac® 100 by DM3 Approach. Pharm. Res. 2015, 32, 3618–3635. [Google Scholar] [CrossRef]
- Dominik, M.; Vraníková, B.; Svačinová, P.; Elbl, J.; Pavloková, S.; Prudilová, B.B.; Šklubalová, Z.; Franc, A. Comparison of Flow and Compression Properties of Four Lactose-Based Co-Processed Excipients: Cellactose® 80, CombiLac®, MicroceLac® 100, and StarLac®. Pharmaceutics 2021, 13, 1486. [Google Scholar] [CrossRef]
- Steffens, K.E.; Wagner, K.G. Immediate-Release Formulations Produced via Twin-Screw Melt Granulation: Systematic Evaluation of the Addition of Disintegrants. AAPS PharmSciTech 2021, 22, 183. [Google Scholar] [CrossRef]
- Porter, S.; Sackett, G.; Liu, L. Chapter 34—Development, Optimization, and Scale-Up of Process Parameters: Pan Coating. In Developing Solid Oral Dosage Forms, 2nd ed.; Qiu, Y., Chen, Y., Zhang, G.G.Z., Yu, L., Mantri, R.V., Eds.; Academic Press: Boston, MA, USA, 2017; pp. 953–996. ISBN 978-0-12-802447-8. [Google Scholar]
- Alshora, D.; Alyousef, W.; Ibrahim, M. Effects of Functional Biomaterials on the Attributes of Orally Disintegrating Tablets Loaded with Furosemide Nanoparticles: In Vitro and In Vivo Evaluations. J. Funct. Biomater. 2024, 15, 161. [Google Scholar] [CrossRef] [PubMed]
- Arriagada, F.; Günther, G.; Morales, J. Nanoantioxidant–Based Silica Particles as Flavonoid Carrier for Drug Delivery Applications. Pharmaceutics 2020, 12, 302. [Google Scholar] [CrossRef] [PubMed]
- Tsai, T.-H.; Yu, C.-H.; Chang, Y.-P.; Lin, Y.-T.; Huang, C.-J.; Kuo, Y.-H.; Tsai, P.-J. Protective Effect of Caffeic Acid Derivatives on Tert-Butyl Hydroperoxide-Induced Oxidative Hepato-Toxicity and Mitochondrial Dysfunction in HepG2 Cells. Molecules 2017, 22, 702. [Google Scholar] [CrossRef]
- AbouAitah, K.; Swiderska-Sroda, A.; Farghali, A.A.; Wojnarowicz, J.; Stefanek, A.; Gierlotka, S.; Opalinska, A.; Allayeh, A.K.; Ciach, T.; Lojkowski, W. Folic Acid–Conjugated Mesoporous Silica Particles as Nanocarriers of Natural Prodrugs for Cancer Targeting and Antioxidant Action. Oncotarget 2018, 9, 26466–26490. [Google Scholar] [CrossRef] [PubMed]
- Bhavsar, D.; Patel, V.; Sawant, K. Systematic Investigation of in Vitro and in Vivo Safety, Toxicity and Degradation of Mesoporous Silica Nanoparticles Synthesized Using Commercial Sodium Silicate. Microporous Mesoporous Mater. 2019, 284, 343–352. [Google Scholar] [CrossRef]
- Elbialy, N.S.; Aboushoushah, S.F.; Sofi, B.F.; Noorwali, A. Multifunctional Curcumin-Loaded Mesoporous Silica Nanoparticles for Cancer Chemoprevention and Therapy. Microporous Mesoporous Mater. 2020, 291, 109540. [Google Scholar] [CrossRef]





| Excipients | F1 (%) | F2 (%) | F3 (%) | F4 (%) | N1 (%) | N2 (%) | N3 (%) | N4 (%) |
|---|---|---|---|---|---|---|---|---|
| MSN-NH2 | - | - | - | - | 10.0 | 27.5 | 50.0 | 70.0 |
| MSN-CAF | 10.0 | 27.5 | 50.0 | 70.0 | - | - | - | - |
| MicroceLac® 100 | 87.5 | 70 | 47.5 | 27.5 | 87.5 | 70 | 47.5 | 27.5 |
| Crospovidone | 2.0 | 2.0 | 2.0 | 2.0 | 2.0 | 2.0 | 2.0 | 2.0 |
| Magnesium stearate | 0.5 | 0.5 | 0.5 | 0.5 | 0.5 | 0.5 | 0.5 | 0.5 |
| Total | 100 | 100 | 100 | 100 | 100 | 100 | 100 | 100 |
| Angle of Repose | Hausner Ratio | Compressibility Index | Flow Characteristic |
|---|---|---|---|
| 25–30 | 1.00–1.11 | 1–10 | Excellent |
| 31–35 | 1.12–1.18 | 11–15 | Good |
| 36–40 | 1.19–1.25 | 16–20 | Fair |
| 41–45 | 1.26–1.34 | 21–25 | Passable |
| 46–55 | 1.35–1.45 | 26–31 | Poor |
| 56–65 | 1.46–1.59 | 32–37 | Very poor |
| >66 | >1.60 | >38 | Very, very poor |
| Component | pH 1.2 | pH 4.5 | pH 6.8 |
|---|---|---|---|
| Sodium chloride | 2.0 g | - | - |
| Hydrochloric acid | 7.0 mL | - | - |
| Sodium acetate | - | 2.99 g | - |
| Glacial acetic acid | - | 1.66 mL | - |
| Anhydrous dibasic sodium phosphate | - | - | 21.72 g |
| Citric acid monohydrate | - | - | 4.94 g |
| Water | q.s. 1000 mL | q.s. 1000 mL | q.s. 1000 mL |
| Sample | Hydrodynamic Diameter (nm) | Zeta Potential (mV) | Specific Surface Area (m2/g) | Pore Diameter (nm) | Pore Volume (cm3/g) |
|---|---|---|---|---|---|
| MSN-NH2 | 260 | +32.5 | 542 | 2.5 | 0.41 |
| MSN-CAF | 207 | +11.8 | 301 | 2.6 | 0.32 |
| Antioxidant Characterization | |||||
|---|---|---|---|---|---|
| Sample | TPC a | DPPH b SC50 | ABTS b SC50 | ORAC c | FRAP c |
| CAF | 47.50 ± 0.02 | 6.19 ± 0.01 | 6.02 ± 0.01 | 2083.6 ± 3.8 | 237.8 ± 0.01 |
| MSN-CAF | 16.00 ± 0.01 | 86.60 ± 0.01 | 60.50 ± 0.01 | 219.6 ± 4.8 | 46.80 ± 0.01 |
| Sample | Angle of Repose | Hausner Ratio | Carr Index |
|---|---|---|---|
| B0 | 14 (excellent) | 1.13 (good) | 11 (good) |
| MSN-NH2 | 61 (very poor) | 1.53 (very poor) | 35 (very poor) |
| MSN-CAF | 62 (very poor) | 1.51 (very poor) | 34 (very poor) |
| F1 | 12 (excellent) | 1.16 (good) | 14 (good) |
| F2 | 25 (excellent) | 1.29 (passable) | 22 (passable) |
| F3 | 40 (fair) | 1.61 (very poor) | 33 (very poor) |
| F4 | 46 (poor) | 1.58 (very, very poor) | 38 (very, very poor) |
| N1 | 16 (excellent) | 1.14 (good) | 12 (good) |
| N2 | 27 (excellent) | 1.28 (passable) | 22 (passable) |
| N3 | 37 (fair) | 1.53 (very poor) | 35 (very poor) |
| N4 | 55 (poor) | 1.65 (very, very poor) | 39 (very, ver poor) |
Disclaimer/Publisher’s Note: The statements, opinions and data contained in all publications are solely those of the individual author(s) and contributor(s) and not of MDPI and/or the editor(s). MDPI and/or the editor(s) disclaim responsibility for any injury to people or property resulting from any ideas, methods, instructions or products referred to in the content. |
© 2025 by the authors. Licensee MDPI, Basel, Switzerland. This article is an open access article distributed under the terms and conditions of the Creative Commons Attribution (CC BY) license (https://creativecommons.org/licenses/by/4.0/).
Share and Cite
Ortiz, A.C.; Carrasco-Rojas, J.; Peñaloza, S.; Simirgiotis, M.J.; Rubio-Quiroz, L.; Ruiz, D.; Lagos, C.F.; Morales, J.; Arriagada, F. Influence of an Antioxidant Nanomaterial on Oral Tablet Formulation: Flow Properties and Critical Quality Attributes. Antioxidants 2025, 14, 829. https://doi.org/10.3390/antiox14070829
Ortiz AC, Carrasco-Rojas J, Peñaloza S, Simirgiotis MJ, Rubio-Quiroz L, Ruiz D, Lagos CF, Morales J, Arriagada F. Influence of an Antioxidant Nanomaterial on Oral Tablet Formulation: Flow Properties and Critical Quality Attributes. Antioxidants. 2025; 14(7):829. https://doi.org/10.3390/antiox14070829
Chicago/Turabian StyleOrtiz, Andrea C., Javiera Carrasco-Rojas, Sofía Peñaloza, Mario J. Simirgiotis, Lorena Rubio-Quiroz, Diego Ruiz, Carlos F. Lagos, Javier Morales, and Francisco Arriagada. 2025. "Influence of an Antioxidant Nanomaterial on Oral Tablet Formulation: Flow Properties and Critical Quality Attributes" Antioxidants 14, no. 7: 829. https://doi.org/10.3390/antiox14070829
APA StyleOrtiz, A. C., Carrasco-Rojas, J., Peñaloza, S., Simirgiotis, M. J., Rubio-Quiroz, L., Ruiz, D., Lagos, C. F., Morales, J., & Arriagada, F. (2025). Influence of an Antioxidant Nanomaterial on Oral Tablet Formulation: Flow Properties and Critical Quality Attributes. Antioxidants, 14(7), 829. https://doi.org/10.3390/antiox14070829

