Moringa oleifera Leaf Extract Ameliorates Photooxidative Damage and Photoaging Induced by Ultraviolet-B in HaCaT Keratinocytes
Abstract
1. Introduction
2. Materials and Methods
2.1. Plant Extraction
2.2. Total Phenolic Content (TPC)
2.3. Total Flavonoid Content (TFC)
2.4. Antioxidant Activity of MOEs
2.4.1. ABTS Radical Scavenging Assay
2.4.2. Ferric Reducing Antioxidant Power (FRAP) Assay
2.5. Cell Culture
2.6. Cytotoxicity Effects of MOLE
2.7. Photoprotective Effect of MOLE upon UVB Irradiation
2.8. Reactive Oxygen Species (ROS)
2.9. Gene Expression Analysis by Quantitative Reverse Transcription PCR (RT-qPCR)
2.10. Superoxide Dismutase (SOD) Activity
2.11. Gas Chromatography-Mass Spectrophotometry (GC-MS)
2.12. Statistical Analysis
3. Results
3.1. Total Phenolic Content (TPC) of MOEs
3.2. Total Flavonoid Contents (TFCs) of MOEs
3.3. Antioxidant Activity of MOE
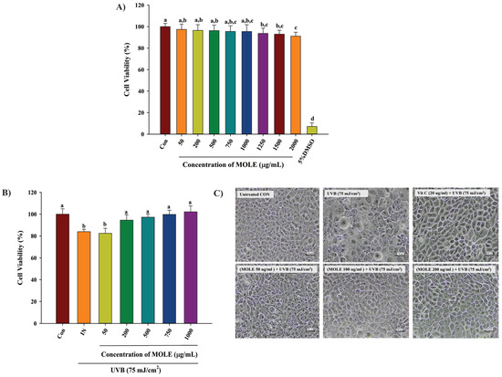
3.4. Cytotoxicity Effects of M. oleifera Leaf Extract (MOLE)
3.5. Protective Effects of MOLE Against UVB-Induced Cell Damage
3.6. Effects of MOLE on UVB-Induced Reactive Oxygen Species (ROS)
3.7. Gene Expression Analysis Using RT-qPCR
3.8. Superoxide Dismutase (SOD) Activity
3.9. The GC-MS of MOLE
4. Discussion
5. Conclusions
Supplementary Materials
Author Contributions
Funding
Institutional Review Board Statement
Informed Consent Statement
Data Availability Statement
Acknowledgments
Conflicts of Interest
Abbreviations
| ABTS | 2,2′-azino-bis(3-ethylbenzothiazoline-6-sulfonic acid) |
| CAT | Catalase |
| col-1 | Collagen type I |
| ELN | Elastin |
| FRAP | Ferric reducing antioxidant power assay |
| GC-MS | Gas chromatography-mass spectrometry |
| GPx | Glutathione peroxidase |
| MDA | Malondialdehyde |
| MMPs | Matrix metalloproteinases |
| MOE | Moringa oleifera extract |
| MOLE | Moringa oleifera leaf extract |
| ROS | Reactive oxygen species |
| SOD | Superoxide dismutase |
| TFC | Total flavonoid content |
| TPC | Total phenolic content |
| UAE | Ultrasonic-assisted extraction |
References
- Zhang, S.; Duan, E. Fighting against skin aging: The way from bench to bedside. Cell Transplant. 2018, 27, 729–738. [Google Scholar] [CrossRef] [PubMed]
- Blair, M.J.; Jones, J.D.; Woessner, A.E.; Quinn, K.P. Skin structure-function relationships and the wound healing response to intrinsic aging. Adv. Wound Care 2020, 9, 127–143. [Google Scholar] [CrossRef] [PubMed]
- Kammeyer, A.; Luiten, R.M. Oxidation events and skin aging. Ageing Res. Rev. 2015, 21, 16–29. [Google Scholar] [CrossRef] [PubMed]
- McDaniel, D.; Farris, P.; Valacchi, G. Atmospheric skin aging-contributors and inhibitors. J. Cosmet. Dermatol. 2018, 17, 124–137. [Google Scholar] [CrossRef]
- Kim, D.J.; Iwasaki, A.; Chien, A.L.; Kang, S. UVB-mediated DNA damage induces matrix metalloproteinases to promote photoaging in an AhR- and SP1-dependent manner. JCI Insight 2022, 7, e156344. [Google Scholar] [CrossRef]
- Gu, Y.; Han, J.; Jiang, C.; Zhang, Y. Biomarkers, oxidative stress and autophagy in skin aging. Ageing Res. Rev. 2020, 59, 101036. [Google Scholar] [CrossRef]
- Hussen, N.H.a.; Abdulla, S.K.; Ali, N.M.; Ahmed, V.A.; Hasan, A.H.; Qadir, E.E. Role of antioxidants in skin aging and the molecular mechanism of ROS: A comprehensive review. Asp. Mol. Med. 2025, 5, 100063. [Google Scholar] [CrossRef]
- Oresajo, C.; Yatskayer, M.; Galdi, A.; Foltis, P.; Pillai, S. Complementary effects of antioxidants and sunscreens in reducing UV-induced skin damage as demonstrated by skin biomarker expression. J. Cosmet. Laser Ther. 2010, 12, 157–162. [Google Scholar] [CrossRef]
- Amin, M.F.; Ariwibowo, T.; Putri, S.A.; Kurnia, D. Moringa oleifera: A review of the pharmacology, chemical constituents, and application for dental health. Pharmaceuticals 2024, 17, 142. [Google Scholar] [CrossRef]
- Leone, A.; Spada, A.; Battezzati, A.; Schiraldi, A.; Aristil, J.; Bertoli, S. Cultivation, genetic, ethnopharmacology, phytochemistry and pharmacology of Moringa oleifera leaves: An overview. Int. J. Mol. Sci. 2015, 16, 12791–12835. [Google Scholar] [CrossRef]
- Ramamurthy, S.; Varghese, S.; Sudarsan, S.; Muruganandhan, J.; Mushtaq, S.; Patil, P.B.; Raj, A.T.; Zanza, A.; Testarelli, L.; Patil, S. Moringa oleifera: Antioxidant, anticancer, anti-inflammatory, and related properties of extracts in cell lines: A review of medicinal effects, phytochemistry, and applications. J. Contemp. Dent. Pract. 2021, 22, 1483–1492. [Google Scholar] [PubMed]
- Choi, E.J.; Debnath, T.; Tang, Y.; Ryu, Y.B.; Moon, S.H.; Kim, E.K. Topical application of Moringa oleifera leaf extract ameliorates experimentally induced atopic dermatitis by the regulation of Th1/Th2/Th17 balance. Biomed. Pharmacother. 2016, 84, 870–877. [Google Scholar] [CrossRef] [PubMed]
- Luqman, S.; Srivastava, S.; Kumar, R.; Maurya, A.K.; Chanda, D. Experimental assessment of Moringa oleifera leaf and fruit for its antistress, antioxidant, and scavenging potential using in vitro and in vivo assays. Evid.-Based Complement. Alternat. Med. 2012, 2012, 519084. [Google Scholar] [CrossRef] [PubMed]
- Muhammad, A.A.; Pauzi, N.A.; Arulselvan, P.; Abas, F.; Fakurazi, S. In vitro wound healing potential and identification of bioactive compounds from Moringa oleifera Lam. Biomed. Res. Int. 2013, 2013, 974580. [Google Scholar] [CrossRef]
- Gothai, S.; Arulselvan, P.; Tan, W.S.; Fakurazi, S. Wound healing properties of ethyl acetate fraction of Moringa oleifera in normal human dermal fibroblasts. J. Intercult. Ethnopharmacol. 2016, 5, 1–6. [Google Scholar] [CrossRef]
- Zhou, Y.; Yang, W.; Li, Z.; Luo, D.; Li, W.; Zhang, Y.; Wang, X.; Fang, M.; Chen, Q.; Jin, X. Moringa oleifera stem extract protect skin keratinocytes against oxidative stress injury by enhancement of antioxidant defense systems and activation of PPARα. Biomed. Pharmacother. 2018, 107, 44–53. [Google Scholar] [CrossRef]
- Jadoon, S.; Karim, S.; Bin Asad, M.H.; Akram, M.R.; Khan, A.K.; Malik, A.; Chen, C.; Murtaza, G. Anti-Aging Potential of Phytoextract Loaded-Pharmaceutical Creams for Human Skin Cell Longetivity. Oxid. Med. Cell. Longev. 2015, 2015, 709628. [Google Scholar] [CrossRef]
- Zhang, Q.-W.; Lin, L.-G.; Ye, W.-C. Techniques for extraction and isolation of natural products: A comprehensive review. Chin. Med. 2018, 13, 20. [Google Scholar] [CrossRef]
- Singleton, V.L.; Orthofer, R.; Lamuela-Raventós, R.M. Analysis of total phenols and other oxidation substrates and antioxidants by means of folin-ciocalteu reagent. In Methods in Enzymology; Elsevier: Amsterdam, The Netherlands, 1999; Volume 299, pp. 152–178. [Google Scholar]
- Woisky, R.G.; Salatino, A. Analysis of propolis: Some parameters and procedures for chemical quality control. J. Apic. Res. 1998, 37, 99–105. [Google Scholar] [CrossRef]
- Aouadi, A.; Saoud, D.H.; Bouafia, A.; Mohammed, H.A.; Gamal, H.G.; Achouri, A.; Laouini, S.E.; Abdullah, M.M.S.; Al-maswari, B.M.; Al-Lohedan, H.A. Unveiling the antioxidant power: Synthesis and characterization of lemon and orange peel-derived carbon quantum dots with exceptional free radical scavenging activity. Biomass. Convers. Biorefin. 2025, 15, 9691–9704. [Google Scholar] [CrossRef]
- Klintong, S.; Teethaisong, Y.; Sittisart, P.; Jantarit, N.; Dunkhunthod, B. Photoprotective effect of Pogonatherum paniceum extract against ultraviolet-B-induced skin aging in HaCaT keratinocytes. Rev. Bras. Farmacogn. 2024, 34, 1363–1376. [Google Scholar] [CrossRef]
- Netkueakul, W.; Korejwo, D.; Hammer, T.; Chortarea, S.; Rupper, P.; Braun, O.; Calame, M.; Rothen-Rutishauser, B.; Buerki-Thurnherr, T.; Wick, P.; et al. Release of graphene-related materials from epoxy-based composites: Characterization, quantification and hazard assessment In Vitro. Nanoscale 2020, 12, 10703–10722. [Google Scholar] [CrossRef] [PubMed]
- Jin, S.; Xu, M.; Gao, X.; Jiang, S.; Xiong, Y.; Zhang, W.; Qiao, H.; Wu, Y.; Fu, H. Effects of alkalinity exposure on antioxidant status, metabolic function, and immune response in the hepatopancreas of Macrobrachium nipponense. Antioxidants 2024, 13, 129. [Google Scholar] [CrossRef] [PubMed]
- Matsumura, Y.; Ananthaswamy, H.N. Short-term and long-term cellular and molecular events following UV irradiation of skin: Implications for molecular medicine. Expert Rev. Mol. Med. 2002, 4, 1–22. [Google Scholar] [CrossRef]
- Chen, M.-F.; Gong, F.; Zhang, Y.Y.; Li, C.; Zhou, C.; Hong, P.; Sun, S.; Qian, Z.-J. Preventive effect of YGDEY from tilapia fish skin gelatin hydrolysates against alcohol-induced damage in HepG2 cells through ROS-mediated signaling pathways. Nutrients 2019, 11, 392. [Google Scholar] [CrossRef]
- Bang, J.S.; Choung, S.-Y. Inhibitory effect of oyster hydrolysate on wrinkle formation against UVB irradiation in human dermal fibroblast via MAPK/AP-1 and TGFβ/Smad pathway. J. Photochem. Photobiol. B 2020, 209, 111946. [Google Scholar] [CrossRef]
- Vats, S.; Gupta, T. Evaluation of bioactive compounds and antioxidant potential of hydroethanolic extract of Moringa oleifera Lam. from Rajasthan, India. Physiol. Mol. Biol. Plants 2017, 23, 239–248. [Google Scholar] [CrossRef]
- Oldoni, T.L.C.; dos Santos, S.; Mitterer-Daltoé, M.L.; Pizone, L.H.I.; de Lima, V.A. Moringa oleifera leaves from Brazil: Influence of seasonality, regrowth age and, region in biochemical markers and antioxidant potential. Arab. J. Chem. 2022, 15, 104206. [Google Scholar] [CrossRef]
- Sreelatha, S.; Padma, P. Antioxidant activity and total phenolic content of Moringa oleifera leaves in two stages of maturity. Plant Foods Hum. Nutr. 2009, 64, 303–311. [Google Scholar] [CrossRef]
- Gouda, M.; El-Din Bekhit, A.; Tang, Y.; Huang, Y.; Huang, L.; He, Y.; Li, X. Recent innovations of ultrasound green technology in herbal phytochemistry: A review. Ultrason. Sonochem. 2021, 73, 105538. [Google Scholar] [CrossRef]
- Kumar, K.; Srivastav, S.; Sharanagat, V.S. Ultrasound assisted extraction (UAE) of bioactive compounds from fruit and vegetable processing by-products: A review. Ultrason. Sonochem. 2021, 70, 105325. [Google Scholar] [CrossRef] [PubMed]
- Giacometti, J.; Bursać Kovačević, D.; Putnik, P.; Gabrić, D.; Bilušić, T.; Krešić, G.; Stulić, V.; Barba, F.J.; Chemat, F.; Barbosa-Cánovas, G.; et al. Extraction of bioactive compounds and essential oils from mediterranean herbs by conventional and green innovative techniques: A review. Int. Food Res. 2018, 113, 245–262. [Google Scholar] [CrossRef] [PubMed]
- González-Silva, N.; Nolasco-González, Y.; Aguilar-Hernández, G.; Sáyago-Ayerdi, S.G.; Villagrán, Z.; Acosta, J.L.; Montalvo-González, E.; Anaya-Esparza, L.M. Ultrasound-assisted extraction of phenolic compounds from Psidium cattleianum leaves: Optimization using the Response surface methodology. Molecules 2022, 27, 3557. [Google Scholar] [CrossRef] [PubMed]
- Shen, L.; Pang, S.; Zhong, M.; Sun, Y.; Qayum, A.; Liu, Y.; Rashid, A.; Xu, B.; Liang, Q.; Ma, H.; et al. A comprehensive review of ultrasonic assisted extraction (UAE) for bioactive components: Principles, advantages, equipment, and combined technologies. Ultrason. Sonochem. 2023, 101, 106646. [Google Scholar] [CrossRef]
- Sun, S.; Zhao, Y.; Wang, L.; Tan, Y.; Shi, Y.; Sedjoah, R.-C.A.-A.; Shao, Y.; Li, L.; Wang, M.; Wan, J.; et al. Ultrasound-assisted extraction of bound phenolic compounds from the residue of Apocynum venetum tea and their antioxidant activities. Food Biosci. 2022, 47, 101646. [Google Scholar] [CrossRef]
- Xiao, Z.; Yang, S.; Chen, J.; Li, C.; Zhou, C.; Hong, P.; Sun, S.; Qian, Z.-J. Trehalose against UVB-induced skin photoaging by suppressing MMP expression and enhancing procollagen I synthesis in HaCaT cells. J. Funct. Foods 2020, 74, 104198. [Google Scholar] [CrossRef]
- Makkar, H. Nutrient and anti-quality factors in different morphological parts of the Moringa Oleifera tree. J. Agric. Sci. 1997, 128, 311–322. [Google Scholar] [CrossRef]
- Nath, D.; Sethi, N.; Singh, R.; Jain, A. Commonly used Indian abortifacient plants with special reference to their teratologic effects in rats. J. Ethnopharmacol. 1992, 36, 147–154. [Google Scholar] [CrossRef]
- Asare, G.A.; Gyan, B.; Bugyei, K.; Adjei, S.; Mahama, R.; Addo, P.; Otu-Nyarko, L.; Wiredu, E.K.; Nyarko, A. Toxicity potentials of the nutraceutical Moringa oleifera at supra-supplementation levels. J. Ethnopharmacol. 2012, 139, 265–272. [Google Scholar] [CrossRef]
- Awodele, O.; Oreagba, I.A.; Odoma, S.; da Silva, J.A.T.; Osunkalu, V.O. Toxicological evaluation of the aqueous leaf extract of Moringa oleifera Lam. (Moringaceae). J. Ethnopharmacol. 2012, 139, 330–336. [Google Scholar] [CrossRef]







| Moringa oleifera Extract (MOE) | Leaves | Pods | Seeds | |||
|---|---|---|---|---|---|---|
| ABTS (IC50, µg/mL) | FRAP (IC50, µg/mL) | ABTS (IC50, µg/mL) | FRAP (IC50, µg/mL) | ABTS (IC50, µg/mL) | FRAP (IC50, µg/mL) | |
| 0% Ethanol | 121 | 518 | 257 | 677 | 379 | 794 |
| 30% Ethanol | 74.2 | 300 | 237 | 603 | 409 | 986 |
| 50% Ethanol | 72.1 | 181 | 224 | 581 | 387 | 807 |
| 70% Ethanol | 88.7 | 286 | 259 | 689 | 354 | 784 |
| 100% Ethanol | 120 | 227 | 277 | 724 | 339 | 731 |
| No. | Compounds | RT | % Area |
|---|---|---|---|
| 1 | Propane, 1,1-dimethoxy | 5.9 | 3.10 |
| 2 | 2-Cyclopenten-1-one, 2-hydroxy- | 8.5 | 0.19 |
| 3 | 2,4-Dihydroxy-2,5-dimethyl-3(2H)-furan-3-one | 9.7 | 0.10 |
| 4 | Pyranone | 13.2 | 0.35 |
| 5 | 2-Methoxy-4-vinylphenol | 16.3 | 0.25 |
| 6 | 1-Dodecanol | 18.9 | 5.46 |
| 7 | Phenol, 2,4-bis(1,1-dimethylethyl)- | 19.5 | 0.22 |
| 8 | Dihydroactinidiolide | 19.7 | 0.19 |
| 9 | Dodecyl acrylate | 22.0 | 16.63 |
| 10 | 4-((1E)-3-Hydroxy-1-propenyl)-2-methoxyphenol | 22.8 | 0.32 |
| 11 | Tetradecanoic acid | 23.0 | 0.24 |
| 12 | Phytol, acetate | 24.0 | 0.13 |
| 13 | 2-Pentadecanone, 6,10,14-trimethyl- | 24.0 | 0.08 |
| 14 | n-Hexadecanoic acid | 25.6 | 3.51 |
| 15 | Hexadecanoic acid, ethyl ester | 25.9 | 0.27 |
| 16 | Propanoic acid, 3-mercapto-, dodecyl ester | 26.2 | 7.33 |
| 17 | Heneicosane | 27.3 | 0.25 |
| 18 | Phytol | 27.5 | 1.97 |
| 19 | Linolenic acid | 27.9 | 8.31 |
| 20 | Linolenic acid, ethyl ester | 28.2 | 2.71 |
| 21 | Docosane | 28.6 | 0.86 |
| 22 | Tricosane | 30.0 | 2.35 |
| 23 | Tetracosane | 31.4 | 2.57 |
| 24 | Pentacosane | 32.9 | 3.41 |
| 25 | Glycerol β-palmitate | 33.0 | 1.32 |
| 26 | Hexacosane | 34.2 | 3.55 |
| 27 | Linolenic acid, 2-hydroxy-1-(hydroxymethyl)ethyl ester (Z,Z,Z)- | 35.6 | 3.36 |
| 28 | Heptacosane | 35.6 | 5.42 |
| 29 | Octacosane | 37.0 | 4.48 |
| 20 | Nonacosane | 38.3 | 4.77 |
| 31 | Triacontane | 39.6 | 3.94 |
| 32 | Hentriacontane | 40.9 | 2.33 |
| 33 | α-Tocopherol | 41.2 | 0.21 |
| 34 | Dotriacontane | 42.2 | 1.44 |
| 35 | Propanoic acid, 3,3′-thiobis-, didodecyl ester | 51.1 | 7.97 |
Disclaimer/Publisher’s Note: The statements, opinions and data contained in all publications are solely those of the individual author(s) and contributor(s) and not of MDPI and/or the editor(s). MDPI and/or the editor(s) disclaim responsibility for any injury to people or property resulting from any ideas, methods, instructions or products referred to in the content. |
© 2025 by the authors. Licensee MDPI, Basel, Switzerland. This article is an open access article distributed under the terms and conditions of the Creative Commons Attribution (CC BY) license (https://creativecommons.org/licenses/by/4.0/).
Share and Cite
Hengpratom, T.; Dunkhunthod, B.; Sirichaiwetchakoon, K.; Prompradit, P.; Chaisit, I.; Ketudat-Cairns, M.; Pengthaisong, S.; Ketudat-Cairns, J.R.; Teethaisong, Y. Moringa oleifera Leaf Extract Ameliorates Photooxidative Damage and Photoaging Induced by Ultraviolet-B in HaCaT Keratinocytes. Antioxidants 2025, 14, 766. https://doi.org/10.3390/antiox14070766
Hengpratom T, Dunkhunthod B, Sirichaiwetchakoon K, Prompradit P, Chaisit I, Ketudat-Cairns M, Pengthaisong S, Ketudat-Cairns JR, Teethaisong Y. Moringa oleifera Leaf Extract Ameliorates Photooxidative Damage and Photoaging Induced by Ultraviolet-B in HaCaT Keratinocytes. Antioxidants. 2025; 14(7):766. https://doi.org/10.3390/antiox14070766
Chicago/Turabian StyleHengpratom, Tanaporn, Benjawan Dunkhunthod, Kittipot Sirichaiwetchakoon, Pimchaya Prompradit, Issara Chaisit, Mariena Ketudat-Cairns, Salila Pengthaisong, James R. Ketudat-Cairns, and Yothin Teethaisong. 2025. "Moringa oleifera Leaf Extract Ameliorates Photooxidative Damage and Photoaging Induced by Ultraviolet-B in HaCaT Keratinocytes" Antioxidants 14, no. 7: 766. https://doi.org/10.3390/antiox14070766
APA StyleHengpratom, T., Dunkhunthod, B., Sirichaiwetchakoon, K., Prompradit, P., Chaisit, I., Ketudat-Cairns, M., Pengthaisong, S., Ketudat-Cairns, J. R., & Teethaisong, Y. (2025). Moringa oleifera Leaf Extract Ameliorates Photooxidative Damage and Photoaging Induced by Ultraviolet-B in HaCaT Keratinocytes. Antioxidants, 14(7), 766. https://doi.org/10.3390/antiox14070766

