Recent Advances on the Analysis and Biological Functions of Cinnamaldehyde and Its Derivatives
Abstract
1. Introduction
2. Biosynthesis of Cinnamaldehyde and Its Derivatives
3. Methods for Cinnamaldehyde Analysis
3.1. Extraction
3.2. Analytical Methods for CA Analysis
3.2.1. HPTLC Method
3.2.2. HPLC Method
3.2.3. GC Method
4. In Vitro Release, Absorption, Pharmacokinetics, Bioavailability and Metabolism of CA
5. Antioxidant and Anti-Inflammatory Activities
5.1. Antioxidant Activity
5.2. Anti-Inflammatory Activity
6. Anticancer Activity
7. Alleviation of Metabolic Syndromes
7.1. Anti-Obesity Activity
7.2. Cardiovascular Disease Protection
7.3. Antidiabetic Activity
7.4. Anti-Tyrosinase Activity
8. Amelioration of Neurological Disorders
8.1. Alzheimer’s Disease
8.2. Parkinson’s Disease
8.3. Ischemic Stroke
8.4. Traumatic Brain Injury (TBI)
8.5. Multiple Sclerosis
8.6. Migraine
8.7. Anti-Depression
9. Attenuation of Bone and Joint Disorders
9.1. Osteoarthritis and Rheumatoid Arthritis
9.2. Osteoporosis
10. Conclusions and Future Perspectives
Author Contributions
Funding
Conflicts of Interest
References
- Shreaz, S.; Wani, W.A.; Behbehani, J.M.; Raja, V.; Irshad, M.; Karched, M.; Ali, I.; Siddiqi, W.A.; Hun, L.T. Cinnamaldehyde and its derivatives, a novel class of antifungal agents. Fitoterapia 2016, 112, 116–131. [Google Scholar] [CrossRef] [PubMed]
- Wang, R.; Wang, R.; Yang, B. Extraction of essential oils from five cinnamon leaves and identification of their volatile compound compositions. Innov. Food. Sci. Emerg. Technol. 2009, 10, 289–292. [Google Scholar] [CrossRef]
- Usai, F.; Di Sotto, A. Trans-cinnamaldehyde as a novel candidate to overcome bacterial resistance: An overview of in vitro studies. Antibiotics 2023, 12, 254. [Google Scholar] [CrossRef]
- Huang, Y.C.; Chen, B.H. A comparative study on improving streptozotocin-induced type 2 diabetes in rats by hydrosol, extract and nanoemulsion prepared from cinnamon leaves. Antioxidants 2023, 12, 29. [Google Scholar] [CrossRef] [PubMed]
- Wang, Y.C.; Wang, V.; Chen, B.H. Analysis of bioactive compounds in cinnamon leaves and preparation of nanoemulsion and byproducts for improving Parkinson’s disease in rats. Front. Nutr. 2023, 10, 1229192. [Google Scholar] [CrossRef]
- Guo, J.; Yan, S.; Jiang, X.; Su, Z.; Zhang, F.; Xie, J.; Hao, E.; Yao, C. Advances in pharmacological effects and mechanism of action of cinnamaldehyde. Front. Pharmacol. 2024, 15, 1365949. [Google Scholar] [CrossRef] [PubMed]
- Hajinejad, M.; Ghaddaripouri, M.; Dabzadeh, M.; Forouzanfar, F.; Sahab-Negah, S. Natural cinnamaldehyde and its derivatives ameliorate neuroinflammatory pathways in neurodegenerative diseases. BioMed Res. Int. 2020, 2020, 1034325. [Google Scholar] [CrossRef]
- Shang, C.; Lin, H.; Fang, X.; Wang, Y.; Jiang, Z.; Qu, Y.; Xiang, M.; Shen, Z.; Xin, L.; Lu, Y.; et al. Beneficial effects of cinnamon and its extracts in the management of cardiovascular diseases and diabetes. Food Funct. 2021, 12, 12194–12220. [Google Scholar] [CrossRef]
- Zhang, G.; Li, T.; Liu, J.; Wu, X.; Yi, H. Cinnamaldehyde-contained polymers and their biomedical applications. Polymers 2023, 15, 1517. [Google Scholar] [CrossRef]
- Han, R.; Li, X.; Gao, X.; Lv, G. Cinnamaldehyde: Pharmacokinetics, anticancer properties and therapeutic potential (Review). Mol. Med. Rep. 2024, 30, 163. [Google Scholar] [CrossRef]
- Yeh, T.F.; Lin, C.Y.; Chang, S.T. A potential low-coumarin cinnamon substitute: Cinnamomum osmophloeum leaves. J. Agric. Food Chem. 2014, 62, 1706–1712. [Google Scholar] [CrossRef] [PubMed]
- Ibi, A.A.; Kyuka, C.K. Sources, extraction and biological activities of cinnamaldehyde. Turk. J. Pharm. Sci. 2022, 8, 263–282. [Google Scholar]
- Friedman, M. Chemistry, Antimicrobial mechanisms, and antibiotic activities of cinnamaldehyde against pathogenic bacteria in animal feeds and human foods. J. Agric. Food Chem. 2017, 65, 10406–10423. [Google Scholar] [CrossRef]
- Doyle, A.A.; Stephens, J.C. A review of cinnamaldehyde and its derivatives as antibacterial agents. Fitoterapia 2019, 139, 104405. [Google Scholar] [CrossRef]
- Kiwamoto, R.; Ploeg, D.; Rietjens, I.M.; Punt, A. Dose-dependent DNA adduct formation by cinnamaldehyde and other foodborne α,β-unsaturated aldehydes predicted by physiologically based in silico modelling. Toxicol. Vitr. 2016, 31, 114–125. [Google Scholar] [CrossRef] [PubMed]
- NTP (National Toxicology Program). NTP toxicology and carcinogenesis studies of trans-cinnamaldehyde (CAS No. 14371-10-9) in F344/N rats and B6C3F1 mice (feed studies). Natl. Toxicol. Program Tech. Rep. Ser. 2004, 514, 1–281. [Google Scholar]
- Cabello, C.M.; Bair, W.B.; Lamore, S.D.; Ley, S.; Bause, A.S.; Azimian, S.; Wondrak, G.T. The cinnamon-derived Michael acceptor cinnamic aldehyde impairs melanoma cell proliferation, invasiveness, and tumor growth. Free Radic. Biol. Med. 2009, 46, 220–231. [Google Scholar] [CrossRef]
- Chen, B.J.; Fu, C.S.; Li, G.H.; Wang, X.N.; Lou, H.X.; Ren, D.M.; Shen, T. Cinnamaldehyde analogues as potential therapeutic agents. Mini-Rev. Med. Chem. 2017, 17, 33–43. [Google Scholar] [CrossRef]
- Dong, B.; Chen, J.; Cai, Y.; Wu, W.; Chu, X. In vitro and in vivo evaluation of cinnamaldehyde microemulsion–mucus interaction. J. Food Biochem. 2022, 46, e14307. [Google Scholar] [CrossRef]
- Yi, D.; Xu, W.; Qin, L.; Xiang, Y.; Mo, Y.; Liu, X.; Liu, Y.; Peng, J.; Liang, Z.; He, J. Characterization and pharmacokinetics of cinnamon and star anise compound essential oil pellets prepared via centrifugal granulation technology. BMC Vet. Res. 2024, 20, 184. [Google Scholar] [CrossRef]
- Yan, X.; Wardana, A.A.; Wigati, L.P.; Meng, F.; Leonard, S.; Nkede, F.N.; Tanaka, F.; Tanaka, F. Characterization and bio-functional performance of chitosan/poly(vinyl alcohol)/trans-cinnamaldehyde ternary biopolymeric films. Int. J. Biol. Macromol. 2023, 246, 125680. [Google Scholar] [CrossRef] [PubMed]
- Abeysekera, W.P.K.M.; Premakumara, G.A.S.; Ratnasooriya, W.D.; Abeysekera, W.K.S.M. Anti-inflammatory, cytotoxicity and antilipidemic properties: Novel bioactivities of true cinnamon (Cinnamomum zeylanicum Blume) leaf. BMC Complement. Med. Ther. 2022, 22, 259. [Google Scholar] [CrossRef]
- Fang, Q.; Xu, X.; Yang, L.; Xue, Y.; Cheng, X.; Wang, X.; Tang, R. Self-assembled 5-fluorouracil cinnamaldehyde nanodrugs for greatly improved chemotherapy in vivo. J. Biomater. Appl. 2021, 36, 592–604. [Google Scholar] [CrossRef] [PubMed]
- Shetty, V.; Jakhade, A.; Shinde, K.; Chikate, R.; Kaul-Ghanekar, R. Folate mediated targeted delivery of cinnamaldehyde loaded and FITC functionalized magnetic nanoparticles in breast cancer: In vitro, in vivo and pharmacokinetic studies. New J. Chem. 2021, 45, 1500–1515. [Google Scholar] [CrossRef]
- Ghazal, N.A.; Agamia, Y.T.; Meky, B.K.; Assem, N.M.; Abdel-Rehim, W.M.; Shaker, S.A. Cinnamaldehyde ameliorates STZ-induced diabetes through modulation of autophagic process in adipocyte and hepatic tissues on rats. Sci. Rep. 2024, 14, 10053. [Google Scholar] [CrossRef]
- Sena, C.M.; Pereira, A.; Seica, R.M. Cinnamaldehyde supplementation reverts endothelial dysfunction in rat models of diet-induced obesity: Role of NF-E2-related factor-2. Antioxidants 2023, 12, 82. [Google Scholar] [CrossRef]
- Sharma, V.K.; Gupta, S.C.; Singh, B.N.; Rao, C.V.; Barik, S.K. Cinnamomum verum-derived bioactives-functionalized gold nanoparticles for prevention of obesity through gut microbiota reshaping. Mater. Today Bio 2022, 13, 100204. [Google Scholar] [CrossRef] [PubMed]
- Kim, N.; Trinh, N.; Ahn, S.; Kim, S. Cinnamaldehyde protects against oxidative stress and inhibits the TNF-α-induced inflammatory response in human umbilical vein endothelial cells. Int. J. Mol. Med. 2020, 46, 449–457. [Google Scholar] [CrossRef]
- Ismail, B.S.; Mahmoud, B.; Abdel-Reheim, E.S.; Soliman, H.A.; Ali, T.M.; Elesawy, B.H.; Zaky, M.Y. Cinnamaldehyde mitigates atherosclerosis induced by high-fat diet via modulation of hyperlipidemia, oxidative stress, and inflammation. Oxidative Med. Cell. Longev. 2022, 2022, 4464180. [Google Scholar] [CrossRef]
- Bagheri-Mohammadi, S.; Askari, S.; Alani, B.; Moosavi, M.; Ghasemi, R. Cinnamaldehyde regulates insulin and Caspase-3 signaling pathways in the Sporadic Alzheimer’s disease model: Involvement of hippocampal function via IRS-1, Akt, and GSK-3β phosphorylation. J. Mol. Neurosci. 2022, 72, 2273–2291. [Google Scholar] [CrossRef]
- Tseng, S.H.; Lee, C.J.; Chen, S.H.; Chen, C.H.; Tsai, P.W.; Hsieh, M.S.; Chu, J.S.; Wang, C.C. Cinnamic aldehyde, an anti-inflammatory component in Du-Huo-Ji-Sheng-Tang, ameliorates arthritis in II collagenase and monosodium iodoacetate induced osteoarthritis rat models. J. Tradit. Complement. Med. 2022, 14, 51–61. [Google Scholar] [CrossRef] [PubMed]
- Ji, S.; Zhao, B.; Gao, Y.; Xie, J.; Han, H.; Wu, Q.; Yang, D. Cinnamaldehyde attenuates streptozocin-induced diabetic osteoporosis in a rat model by modulating netrin-1/DCC-UNC5B signal transduction. Food Front. 2024, 15, 1367806. [Google Scholar] [CrossRef]
- Karimirad, R.; Behnamian, M.; Dezhsetan, S. Bitter orange oil incorporated into chitosan nanoparticles: Preparation, characterization and their potential application on antioxidant and antimicrobial characteristics of white button mushroom. Food Hydrocoll. 2020, 100, 105387. [Google Scholar] [CrossRef]
- Jahani, R.; Behnamian, M.; Dezhsetan, S.; Karimirad, R.; Chamani, E. Chitosan nano-biopolymer/Citrus paradisi peel oil delivery system enhanced shelf-life and postharvest quality of cherry tomato. Int. J. Biol. Macromol. 2023, 225, 1212–1223. [Google Scholar] [CrossRef]
- Alonso, P.; Fernandez-Pastor, S.; Guerrero, A. Application of cinnamon essential oil in active food packaging: A review. Appl. Sci. 2024, 14, 6554. [Google Scholar] [CrossRef]
- Zaharioudakis, K.; Salmas, C.E.; Andritsos, N.D.; Kollia, E.; Leontiou, A.; Karabagias, V.K.; Karydis-Messinis, A.; Moschovas, D.; Zafeiropoulos, N.E.; Avgeropoulos, A.; et al. Carvacrol, citral, eugenol and cinnamaldehyde casein based edible nanoemulsions as novel sustainable active coatings for fresh pork tenderloin meat preservation. Front. Food Sci. Technol. 2024, 4, 1400224. [Google Scholar] [CrossRef]
- Liu, F.; Yu, C.; Guo, S.; Chiou, B.S.; Jia, M.; Xu, F.; Chen, M.; Zhong, F. Extending shelf life of chilled pork meat by cinnamaldehyde nano emulsion at non-contact mode. Food Packag. Shelf Life 2023, 37, 101067. [Google Scholar] [CrossRef]
- Mondéjar-López, M.; Castillo, R.; López Jiménez, A.J.; Gómez-Gómez, L.; Ahrazem, O.; Niza, E. Polysaccharide film containing cinnamaldehyde-chitosan nanoparticles, a new eco-packaging material effective in meat preservation. Food Chem. 2024, 437, 137710. [Google Scholar] [CrossRef]
- Sultan, M.; Ibrahim, H.; El-Masry, H.M.; Hassan, Y.R. Antimicrobial gelatin-based films with cinnamaldehyde and ZnO nanoparticles for sustainable food packaging. Sci. Rep. 2024, 14, 22499. [Google Scholar] [CrossRef]
- Tang, X.; Zhu, M.; Zhang, L.; Zhu, L. Development of cinnamaldehyde/aminated gelatin film as pH-responsive controlled-release packaging for cherry preservation: Effects of CO2 and humidity in the microenvironment. Food Packag. Shelf Life 2025, 48, 101457. [Google Scholar] [CrossRef]
- Sun, J.; Leng, X.; Zang, J.; Zhao, G. Bio-based antibacterial food packaging films and coatings containing cinnamaldehyde: A review. Crit. Rev. Food Sci. Nutr. 2024, 64, 140–152. [Google Scholar] [CrossRef]
- Almeida, A.M.D.; Crippa, B.L.; Alencar de Souza, V.V.M.; Alonso, V.P.P.; Santos Júnior, E.D.M.; Picone, C.S.F.; Prata, A.S.; Silva, N.C.C. Antimicrobial action of oregano, thyme, clove, cinnamon and black pepper essential oils free and encapsulated against foodborne pathogens. Food Control 2023, 144, 109356. [Google Scholar] [CrossRef]
- Suppakul, P. Chapter 39—Cinnamaldehyde and eugenol: Use in antimicrobial packaging. In Antimicrobial Food Packaging; Barros-Velázquez, J., Ed.; Academic Press: Cambridge, MA, USA, 2016; pp. 479–490. [Google Scholar]
- Alderees, F.; Mereddy, R.; Webber, D.; Nirmal, N.; Sultanbawa, Y. Mechanism of Action against Food Spoilage Yeasts and Bioactivity of Tasmannia lanceolata, Backhousia citriodora and Syzygium anisatum Plant Solvent Extracts. Foods 2018, 7, 179. [Google Scholar] [CrossRef]
- Bang, H.B.; Lee, Y.H.; Kim, S.C.; Sung, C.K.; Jeong, K.J. Metabolic engineering of Escherichia coli for the production of cinnamaldehyde. Microb. Cell Fact. 2016, 15, 16. [Google Scholar] [CrossRef] [PubMed]
- Ye, P.; Su, J.; Lin, J.; Li, Y.; Wu, H. Identification of a cinnamoyl-CoA reductase from Cinnamomum cassia involved in trans-cinnamaldehyde biosynthesis. Planta 2024, 259, 138. [Google Scholar] [CrossRef]
- Gan, Z.; Huang, J.; Chen, J.; Nisar, M.F.; Qi, W. Synthesis and antifungal activities of cinnamaldehyde derivatives against Penicillium digitatum causing citrus green mold. J. Food Qual. 2020, 2020, 8898692. [Google Scholar] [CrossRef]
- Doyle, A.A.; Kramer, T.; Kavanagh, K.; Stephens, J.C. Cinnamaldehydes: Synthesis, antibacterial evaluation, and the effect of molecular structure on antibacterial activity. Results Chem. 2019, 1, 100013. [Google Scholar] [CrossRef]
- Nordqvist, A.; Bjorkelid, C.; Andaloussi, M.; Jansson, A.M.; Mowbray, S.L.; Karlen, A.; Larhed, M. Synthesis of functionalized cinnamaldehyde derivatives by an oxidative Heck reaction and their use as starting materials for preparation of Mycobacterium tuberculosis 1-deoxy-D-xylulose-5-phosphate reductoisomerase inhibitors. J. Org. Chem. 2011, 76, 8986–8998. [Google Scholar] [CrossRef]
- Hong, S.M.; Kamaruddin, A.H.; Nadzir, M.M. A review on extraction, antimicrobial activities and toxicology of Cinnamomum cassia in future food protection. Biointerface Res. Appl. Chem. 2023, 13, 581. [Google Scholar]
- Pashazadeh, B.; Elhamirad, A.H.; Hajnajari, H.; Sharayei, P.; Armin, M. Optimization of the pulsed electric field-assisted extraction of functional compounds from cinnamon. Biocatal. Agric. Biotechnol. 2020, 23, 101461. [Google Scholar] [CrossRef]
- Yu, T.; Yao, H.; Qi, S.; Wang, J. GC-MS analysis of volatiles in cinnamon essential oil extracted by different methods. Grasas Aceites 2020, 71, 372. [Google Scholar] [CrossRef]
- Jadhav, H.; Jadhav, A.; Morabiya, Y.; Takkalkar, P.; Qureshi, S.S.; Baloch, A.G.; Nizamuddin, S.; Mazari, S.A.; Abro, R.; Mubarak, N.M. Combined impact of ultrasound pre-treatment and hydrodistillation on bioactive compounds and GC–MS analysis of Cinnamomum cassia Bark extract. Waste Biomass Valori. 2021, 12, 807–821. [Google Scholar] [CrossRef]
- Guo, J.; Yang, R.; Gong, Y.S.; Hu, K.; Hu, Y.; Song, F.L. Optimization and evaluation of the ultrasound-enhanced subcritical water extraction of cinnamon bark oil. LWT-Food Sci. Technol. 2021, 147, 111673. [Google Scholar] [CrossRef]
- Sethunga, M.; Ranaweera, K.K.D.S.; Munaweera, I.; Gunathilake, K.K.D.P. Optimization of enzyme-assisted extraction of essential oils of Cinnamomum zeylanicum, Syzygium aromaticum, and Zingiber officinale, by response surface methodology. J. Sci. Food Agric. 2023, 3, 19–29. [Google Scholar] [CrossRef]
- Foudah, A.I.; Shakeel, F.; Alqarni, M.H.; Ross, S.A.; Salkini, M.A.; Alam, P. Simultaneous estimation of Cinnamaldehyde and Eugenol in essential oils and traditional and ultrasound-assisted extracts of different species of Cinnamon using a sustainable/green HPTLC technique. Molecules 2021, 26, 2054. [Google Scholar] [CrossRef]
- Puspita, O.E.; Ihsan, B.R.P.; Saraswati, A. Analytical method validation of cinnamaldehyde content in cinnamon (Cinnamomum burmannii) extract using high-performance liquid chromatography. J. Med. Pharmaceut. Allied Sci. 2023, 12, 5976–5982. [Google Scholar] [CrossRef]
- Othman, Z.S.; Maskat, M.Y.; Hassan, N.H. Optimization of cinnamaldehyde extraction and antioxidant activity of Ceylon cinnamon extract. Sains Malays. 2020, 49, 995–1002. [Google Scholar] [CrossRef]
- Gutierrez, R.M.P.; Soto Contreras, J.G.; Martinez Jeronimo, F.F.; de la Luz Corea Tellez, M.; Borja-Urby, R. Assessing the ameliorative effect of selenium Cinnamomum verum, Origanum majorana, and Origanum vulgare nanoparticles in diabetic zebrafish (Danio rerio). Plants 2022, 11, 893. [Google Scholar] [CrossRef]
- Emami, S.H.; Ahmadi, M.; Roozbeh Nasiraie, L.; Shahidi, S.A.; Jafarizadeh-Malmiri, H. Cinnamon extract and its essential oil nanoliposomes–preparation, characterization and bactericidal activity assessment. Biologia 2022, 77, 3015–3025. [Google Scholar] [CrossRef]
- Fazillah, R.; Hasibuan, O.; Misran, E. Cinnamaldehyde of cinnamon Bark (Cinnamomum burmannii) isolation by microwave-assisted extraction method. In Proceedings of the The 3rd International Conference on Natural Sciences, Mathematics, Applications, Research, and Technology, Bali, India, 3–4 June 2022; Volume 3132, p. 050004. [Google Scholar]
- Yitbarek, R.M.Y.; Admassu, H.; Mohammed Idris, F.; Getachew Fentie, E. Optimizing the extraction of essential oil from cinnamon leaf (Cinnamomum verum) for use as a potential preservative for minced beef. Appl. Biol. Chem. 2023, 66, 47–66. [Google Scholar] [CrossRef]
- Rehman, N.U.; Albaqami, F.F.; Salkini, M.A.A.; Farahat, N.M.; Alharbi, H.H.; Almuqrin, S.M.; Abdel-Kader, M.S.; Sherif, A.E. Comparative GC analysis, bronchodilator effect and the detailed mechanism of their main component—Cinnamaldehyde of three cinnamon species. Separations 2023, 10, 198. [Google Scholar] [CrossRef]
- Ford, P.W.; Berger, T.A.; Jackoway, G. Spice authentication by fully automated chemical analysis with integrated chemometrics. J. Chromatogr. A 2022, 1667, 462889. [Google Scholar] [CrossRef] [PubMed]
- Izcara, S.; Perestrelo, R.; Morante-Zarcero, S.; Sierra, I.; Camara, J.S. Spices volatilomic fingerprinting—A comprehensive approach to explore its authentication and bioactive properties. Molecules 2022, 27, 6403. [Google Scholar] [CrossRef]
- Cuchet, A.; Anchisi, A.; Schiets, F.; Carenini, E.; Jame, P.; Casabianca, H. δ18O compound-specific stable isotope assessment: An advanced analytical strategy for sophisticated adulterations detection in essential oils—Application to spearmint, cinnamon, and bitter almond essential oils authentication. Talanta 2023, 252, 123801. [Google Scholar] [CrossRef]
- Ford, P.W.; Harmon, A.D.; Tucker, A.O.; Sasser, M.; Jackoway, G.; Albornoz, G.; Grypa, R.D.; Pratt, J.L.; Cardellina, J.H. Cinnamon—Differentiation of four species by linking classical botany to an automated chromatographic authentication system. J. AOAC Int. 2019, 102, 363–368. [Google Scholar] [CrossRef] [PubMed]
- Pena-Pereira, F.; Wojnowski, W.; Tobiszewski, M. AGREE—Analytical greenness metric approach and software. Anal. Chem. 2020, 92, 10076–10082. [Google Scholar] [CrossRef]
- Wojnowski, W.; Tobiszewski, M.; Pena-Pereira, F.; Psillakis, E. Agreeprep—Analytical greenness metric for sample preparation. TrAC Trends Anal. Chem. 2022, 149, 116553. [Google Scholar] [CrossRef]
- Cionti, C.; Taroni, T.; Sabatini, V.; Meroni, D. Nanostructured oxide-based systems for the pH-triggered release of cinnamaldehyde. Materials 2021, 14, 1536. [Google Scholar] [CrossRef]
- Cesur, S.; Ilhan, E.; Tut, T.A.; Kaya, E.; Dalbayrak, B.; Bosgelmez-Tinaz, G.; Arısan, E.D.; Gunduz, O.; Kijenska-Gawronska, E. Design of cinnamaldehyde- and gentamicin-loaded double-layer corneal nanofiber patches with antibiofilm and antimicrobial effects. ACS Omega 2023, 8, 28109–28121. [Google Scholar] [CrossRef]
- Dalimunthe, N.F.; Wirawan, S.K.; Michael, M.; Tjandra, T.M.; Al Fath, M.T.; Sidabutar, R. Pectin-carbonate hydroxyapatite composite films as a potential drug delivery system for cinnamaldehyde: Characterization and release kinetics modeling. Case Stud. Chem. Environ. Eng. 2024, 10, 100905. [Google Scholar] [CrossRef]
- Yong, Z.; Xingqi, W.; Jie, H.; Rongfeng, H.; Xiaoqin, C. Formulation, production, in vitro release and in vivo pharmacokinetics of cinnamaldehyde sub-micron emulsions. Pharm. Dev. Technol. 2020, 25, 676–685. [Google Scholar] [CrossRef] [PubMed]
- Meng, Y.; Cai, Y.; Cui, M.; Xu, Y.; Wu, L.; Li, X.; Chu, X. Solid self-microemulsifying drug delivery system (S-SMEDDS) prepared by spray drying to improve the oral bioavailability of cinnamaldehyde (CA). Pharm. Dev. Technol. 2024, 29, 112–122. [Google Scholar] [CrossRef]
- Xiao, Y.; Zhang, F.; Xu, H.; Yang, C.; Song, X.; Zhou, Y.; Zhou, X.; Liu, X.; Miao, J. Cinnamaldehyde microcapsules enhance bioavailability and regulate intestinal flora in mice. Food Chem. X 2022, 15, 100441. [Google Scholar] [CrossRef]
- Zhao, H.; Yang, Q.; Xie, Y.; Sun, J.; Tu, H.; Cao, W.; Wang, S. Simultaneous determination of cinnamaldehyde and its metabolite in rat tissues by gas chromatography-mass spectrometry. Biomed. Chromatogr. 2015, 29, 182–187. [Google Scholar] [CrossRef]
- Belsito, D.; Bickers, D.; Bruze, M.; Calow, P.; Greim, H.; Hanifin, J.M.; Rogers, A.E.; Saurat, J.H.; Sipes, I.G.; Tagami, H. A toxicologic and dermatologic assessment of cinnamyl alcohol, cinnamaldehyde and cinnamic acid when used as fragrance ingredients: The RIFM expert panel. Food Chem. Toxicol. 2007, 45, S1–S23. [Google Scholar] [CrossRef] [PubMed]
- Suryanti, V.; Wibowo, F.R.; Khotijah, S.; Andalucki, N. Antioxidant activities of cinnamaldehyde derivatives. IOP Conf. Ser. Mater. Sci. Eng. 2018, 333, 012077. [Google Scholar] [CrossRef]
- Chew, E.H.; Nagle, A.A.; Zhang, Y.; Scarmagnani, S.; Palaniappan, P.; Bradshaw, T.D.; Holmgren, A.; Westwell, A.D. Cinnamaldehydes inhibit thioredoxin reductase and induce Nrf2: Potential candidates for cancer therapy and chemoprevention. Free Radic. Biol. Med. 2010, 48, 98–111. [Google Scholar] [CrossRef]
- Abou El-Ezz, D.; Maher, A.; Sallam, N.; El-Brairy, A.; Kenawy, S. Trans-cinnamaldehyde modulates hippocampal Nrf2 factor and inhibits amyloid beta aggregation in LPS-induced neuroinflammation mouse model. Neurochem. Res. 2018, 43, 2333–2342. [Google Scholar] [CrossRef]
- Choi, Y.H. Trans-cinnamaldehyde protects C2C12 myoblasts from DNA damage, mitochondrial dysfunction and apoptosis caused by oxidative stress through inhibiting ROS production. Genes Genom. 2021, 43, 303–312. [Google Scholar] [CrossRef]
- Jo, Y.J.; Cho, H.S.; Chun, J.Y. Antioxidant activity of β-cyclodextrin inclusion complexes containing trans-cinnamaldehyde by DPPH, ABTS and FRAP. Food Sci. Biotechnol. 2021, 30, 807–814. [Google Scholar] [CrossRef]
- Dong, J.; Yu, D.; Zhang, L.; Wang, G.; Zhang, P.; You, Y.; Xu, Y.; Xia, W. Chitosan/alginate dialdehyde trilayer films with cinnamaldehyde nanoemulsions for grass carp preservation. Food Hydrocoll. 2024, 147, 109413. [Google Scholar] [CrossRef]
- Anjum, S.; Jacob, G.; Gupta, B. Investigation of the herbal synthesis of silver nanoparticles using Cinnamon zeylanicum extract. Emerg. Mater. 2019, 2, 113–122. [Google Scholar] [CrossRef]
- El-Baz, Y.G.; Moustafa, A.; Ali, M.A.; El-Desoky, G.E.; Wabaidur, S.M.; Faisal, M.M. An analysis of the toxicity, antioxidant, and anti-cancer activity of cinnamon silver nanoparticles in comparison with extracts and fractions of Cinnamomum cassia at normal and cancer cell levels. Nanomaterials 2023, 13, 945. [Google Scholar] [CrossRef]
- Lopez-Cano, A.A.; Martínez-Aguilar, V.; Peña-Juárez, M.G.; Lopez-Esparza, R.; Delgado-Alvarado, E.; Gutierrez-Castaneda, E.J.; Angel-Monroy, M.D.; Perez, E.; Herrera-May, A.L.; Gonzalez-Calderon, J.A. Chemically modified nanoparticles for enhanced antioxidant and antimicrobial properties with cinnamon essential oil. Antioxidants 2023, 12, 2057. [Google Scholar] [CrossRef] [PubMed]
- Su, H.; Huang, C.; Liu, Y.; Kong, S.; Wang, J.; Huang, H.; Zhang, B. Preparation and characterization of Cinnamomum essential oil–chitosan nanocomposites: Physical, structural, and antioxidant activities. Processes 2020, 8, 834. [Google Scholar] [CrossRef]
- Cartaya, A.E.; Lutz, H.; Maiocchi, S.; Nalesnik, M.; Bahnson, E.M. Delivery of cinnamic aldehyde antioxidant response activating nanoparticles (ARAPas) for vascular applications. Antioxidants 2021, 10, 709. [Google Scholar] [CrossRef]
- Lagha, A.B.; Azelmat, J.; Vaillancourt, K.; GrenierI, D. A polyphenolic cinnamon fraction exhibits anti-inflammatory properties in a monocyte/macrophage model. PLoS ONE 2021, 16, e0244805. [Google Scholar]
- Song, Y.; Jung, Y.S.; Park, S.; Park, H.S.; Lee, S.J.; Maeng, S.; Kim, H.; Kim, D.O.; Park, K.W.; Kang, H. Anti-Inflammatory effects and macrophage activation induced by bioavailable cinnamon polyphenols in mice. Mol. Nutr. Food Res. 2023, 67, 2200768. [Google Scholar] [CrossRef]
- Esmaeili, F.; Zahmatkeshan, M.; Yousefpoor, Y.; Hiva, A.; Safari, E.; Osanloo, M. Anti-inflammatory and anti-nociceptive effects of cinnamon and clove essential oils nanogels: An in vivo study. BMC Complement. Med. Ther. 2022, 22, 143. [Google Scholar] [CrossRef]
- Pagliari, S.; Forcella, M.; Lonati, E.; Sacco, G.; Romaniello, F.; Rovellini, P.; Fusi, P.; Palestini, P.; Campone, L.; Labra, M.; et al. Antioxidant and anti-Inflammatory effect of Cinnamon (Cinnamomum verum J. Presl) bark extract after in vitro digestion simulation. Foods 2023, 12, 452. [Google Scholar] [CrossRef]
- Chen, P.; Zhou, J.; Ruan, A.; Zeng, L.; Liu, J.; Wang, Q. Cinnamic aldehyde, the main monomer component of cinnamon, exhibits anti-inflammatory property in OA synovial fibroblasts via TLR4/MyD88 pathway. J. Cell. Mol. Med. 2022, 26, 913–924. [Google Scholar] [CrossRef]
- Aggarwal, S.; Bhadana, K.; Singh, B.; Rawat, M.; Mohammad, T.; Ahmed Al-Keridis, L.; Alshammari, N.; Hassan, M.I.; Das, S.N. Cinnamomum zeylanicum extract and its bioactive component Cinnamaldehyde show anti-tumor effects via inhibition of multiple cellular pathways. Front. Pharmacol. 2022, 13, 918479. [Google Scholar] [CrossRef] [PubMed]
- Liu, Y.; An, T.; Wan, D.; Yu, B.; Fan, Y.; Pei, X. Targets and mechanism used by cinnamaldehyde, the main active ingredient in cinnamon, in the treatment of breast cancer. Front. Pharmacol. 2020, 11, 582719. [Google Scholar] [CrossRef] [PubMed]
- Han, L.; Mei, J.; Ma, J.; Wang, F.; Gu, Z.; Li, J.; Zhang, Z.; Zeng, Y.; Lou, X.; Yao, X.; et al. Cinnamaldehyde induces endogenous apoptosis of the prostate cancer-associated fibroblasts via interfering the glutathione-associated mitochondria function. Med. Oncol. 2020, 37, 91. [Google Scholar] [CrossRef] [PubMed]
- Aminzadeh, Z.; Ziamajidi, N.; Abbasalipourkabir, R. Anticancer effects of Cinnamaldehyde through inhibition of ErbB2/HSF1/LDHA pathway in 5637 cell line of bladder cancer. Anti-Cancer Agents Med. Chem. 2022, 22, 1139–1148. [Google Scholar] [CrossRef]
- Abbasi, A.; Hajialyani, M.; Hosseinzadeh, L.; Jalilian, F.; Yaghmaei, P.; Jamshidi Navid, S.; Motamed, H. Evaluation of the cytotoxic and apoptogenic effects of cinnamaldehyde on U87MG cells alone and in combination with doxorubicin. Res. Pharm. Sci. 2020, 15, 26–35. [Google Scholar]
- Park, J.; Baek, S.H. Combination therapy with cinnamaldehyde and hyperthermia induces apoptosis of A549 non-small cell lung carcinoma cells via regulation of reactive oxygen species and mitogen-activated protein kinase family. Int. J. Mol. Sci. 2020, 21, 6229. [Google Scholar] [CrossRef]
- Tu, Y.; Xia, X.; Dong, Y.; Li, J.; Liu, Y.; Zong, Q.; Yuan, Y. Cinnamaldehyde-based poly (thioacetal): A ROS-awakened self-amplifying degradable polymer for enhanced cancer immunotherapy. Biomaterials 2022, 289, 121795. [Google Scholar] [CrossRef]
- Yan, Z.; Wu, S.; Zhou, Y.; Li, F. Acid-responsive micelles releasing cinnamaldehyde enhance RSL3- induced ferroptosis in tumor cells. ACS Biomater.Sci. Eng. 2022, 8, 2508–2517. [Google Scholar] [CrossRef]
- Zhu, L.; Li, W.; Liu, C.H.; Yue, S.; Qiao, Y.; Cui, Y.; Cheng, J.; Zhang, M.; Zhang, P.; Zhang, B.; et al. Glutathione-sensitive mesoporous nanoparticles loaded with cinnamaldehyde for chemodynamic and immunological therapy of cancer. J. Mater. Chem. B 2023, 11, 8717–8731. [Google Scholar] [CrossRef]
- Wu, S.; Liao, K.; Chen, J.; Li, F. Facile synthesis of an acid-responsive cinnamaldehyde-pendant polycarbonate for enhancing the anticancer efficacy of etoposide via glutathione depletion. RSC Adv. 2024, 14, 15365–15373. [Google Scholar] [CrossRef] [PubMed]
- Xu, X.; Zeng, Z.; Chen, J.; Huang, B.; Guan, Z.; Huang, Y.; Huang, Z.; Zhao, C.H. Tumor-targeted supramolecular catalytic nanoreactor for synergistic chemo/chemodynamic therapy via oxidative stress amplification and cascaded Fenton reaction. Chem. Eng. J. 2020, 390, 124628. [Google Scholar] [CrossRef]
- Liu, Y.; Liu, H.; Wang, L.; Wang, Y.; Zhang, C.H.; Wang, C.; Yan, Y.; Fan, J.; Xu, G.; Zhang, Q. Amplification of oxidative stress via intracellular ROS production and antioxidant consumption by two natural drug-encapsulated nanoagents for efficient anticancer therapy. Nanoscale Adv. 2020, 2, 3872–3881. [Google Scholar] [CrossRef]
- Barrera-Martínez, C.L.; Padilla-Vaca, F.; Liakos, I.; Meléndez-Ortiz, H.I.; Cortez-Mazatan, G.Y.; Peralta-Rodríguez, R.D. Chitosan microparticles as entrapment system for trans-cinnamaldehyde: Synthesis, drug loading, and in vitro cytotoxicity evaluation. Int. J. Biol. Macromol. 2021, 166, 322–332. [Google Scholar] [CrossRef] [PubMed]
- Purushothaman, B.; Maheswari, U.; Begum, K.M.M.S. pH and magnetic field responsive protein-inorganic nanohybrid conjugated with biotin: A biocompatible carrier system targeting lung cancer cells. J. Appl. Polym. Sci. 2021, 138, e49949. [Google Scholar] [CrossRef]
- Zhou, Z.; Wang, C.; Bai1, J.; Zeng, Z.; Yang, X.; Wei, B.; Yang, Z. Cinnamaldehyde-modified chitosan hybrid nanoparticles for DOX delivering to produce synergistic anti-tumor effects. Front. Bioeng. Biotechnol. 2022, 10, 968065. [Google Scholar] [CrossRef] [PubMed]
- Han, S.; Lee, J.; Jung, E.; Park, S.; Sagawa, A.; Shibasaki, Y.; Lee, D.; Kim, B.S. Mechanochemical drug conjugation via pH-responsive imine linkage for polyether prodrug micelles. ACS Appl. Bio Mater. 2021, 4, 2465–2474. [Google Scholar] [CrossRef]
- Chang, S.; Qin, D.; Wang, L.; Zhang, M.; Yan, R.; Zhao, C. Preparation of novel cinnamaldehyde derivative–BSA nanoparticles with high stability, good cell penetrating ability, and promising anticancer activity. Colloids Surf. A Physicochem. Eng. Asp. 2021, 624, 126765. [Google Scholar] [CrossRef]
- Asadi-Yousefabad, S.H.; Mohammadi, S.; Ghasemi, S.; Saboktakin-Rizi, K.; Sahraeian, S.H.; Asadi, S.S.; Hashemi, M.; Ghaffari, H.R. Development of fortified milk with gelled-oil nanoparticles incorporated with cinnamaldehyde and tannic acid. LWT 2022, 154, 112652. [Google Scholar] [CrossRef]
- Zong, Q.; Li, J.; Xiao, X.; Du, X.; Yuan, Y. Self-amplified chain-shattering cinnamaldehyde-based poly (thioacetal) boosts cancer chemo-immunotherapy. Acta Biomater. 2022, 154, 97–107. [Google Scholar] [CrossRef]
- Rasul, R.M.; Muniandy, M.T.; Zakaria, Z.; Shah, K.; Chee, C.F.; Dabbagh, A.; Abd Rahman, N.; Wui Wong, T. A review on chitosan and its development as pulmonary particulate anti-infective and anti-cancer drug carriers. Carbohydr. Polym. 2020, 250, 116800. [Google Scholar] [CrossRef]
- Dubiak-Szepietowska, M.; Karczmarczyk, A.; Jönsson-Niedziółka, M.; Winckler, T.; Feller, K.H. Development of complex-shaped liver multicellular spheroids as a human-based model for nanoparticle toxicity assessment in vitro. Toxicol. Appl. Pharmacol. 2016, 294, 78–85. [Google Scholar] [CrossRef]
- O’Neill, S.; O’Driscoll, L. Metabolic syndrome: A closer look at the growing epidemic and its associated pathologies. Obes. Rev. 2015, 16, 1–12. [Google Scholar] [CrossRef] [PubMed]
- Bjornstad, P.; Eckel, R.H. Pathogenesis of lipid disorders in insulin resistance: A brief review. Curr. Diab. Rep. 2018, 18, 127. [Google Scholar] [CrossRef] [PubMed]
- Hoi, J.K.; Lieder, B.; Liebisch, B.; Czech, C.; Hans, J.; Ley, J.P.; Somoza, V. TRPA1 Agonist cinnamaldehyde decreases Adipogenesis in 3T3-L1 cells more potently than the non-agonist structural analog cinnamyl isobutyrate. ACS Omega 2020, 5, 33305–33313. [Google Scholar] [CrossRef] [PubMed]
- Neto, J.G.O.; Boechat, S.K.; Romao, J.S.; Pazos-Moura, C.C.; Oliveira, K.J. Treatment with cinnamaldehyde reduces the visceral adiposity and regulates lipid metabolism, autophagy and endoplasmic reticulum stress in the liver of a rat mod el of early obesity. J. Nutr. Biochem. 2020, 77, 108321. [Google Scholar] [CrossRef]
- Wang, P.; Yang, Y.; Wang, D.; Yang, Q.; Wan, J.; Liu, S.; Zhou, P.; Yang, Y. Cinnamaldehyde ameliorates vascular dysfunction in diabetic mice by activating Nrf2. Am. J. Hypertens. 2020, 33, 610–619. [Google Scholar] [CrossRef]
- Qian, D.; Tian, J.; Wang, S.; Shan, X.; Zhao, P.; Chen, H.; Xu, M.; Guo, W.; Zhang, C.; Lu, R. Trans-cinnamaldehyde protects against phenylephrine-induced cardiomyocyte hypertrophy through the CaMKII/ERK pathway. BMC Complement. Med. Ther. 2022, 22, 115. [Google Scholar] [CrossRef]
- Sandhiutami, N.M.D.; Dewi, R.S.; Suryani, L.; Hendra, A.; Christopher, K. Cinnamomum burmannii Bl. bark ameliorate lipid profile and platelet aggregation in dyslipidemia mice through antioxidant activity. Open Access Maced. J. Med. Sci. 2023, 11, 127–137. [Google Scholar] [CrossRef]
- Hosni, A.; El-Twab, S.A.; Abdul-Hamid, M.; Prinsen, E.; AbdElgawad, H.; Abdel-Moneim, A.; Beemster, G.T.S. Cinnamaldehyde mitigates placental vascular dysfunction of gestational diabetes and protects from the associated fetal hypoxia by modulating placental angiogenesis, metabolic activity and oxidative stress. Pharmacol. Res. 2021, 165, 105426. [Google Scholar] [CrossRef]
- Naghiaee, Y.; Vakili, M.; Mohammadi, M.; Mohiti, A.; Mohiti-Ardakani, J. Comparing the effect of cinnamaldehyde and metformin on expression of MiR320 and MiR26-b in insulin resistant 3T3L1 adipocytes. Phytomed. Plus 2021, 1, 100122. [Google Scholar] [CrossRef]
- Rashwan, A.S.; El-Beltagy, M.A.; Saleh, S.Y.; Ibrahim, I.A. Potential role of cinnamaldehyde and costunolide to counteract metabolic syndrome induced by excessive fructose consumption. Beni-Suef. Univ. J. Basic Appl. Sci. 2019, 8, 17. [Google Scholar]
- Gao, J.; Zhang, M.; Niu, R.; Gu, X.; Hao, E.; Hou, X.; Deng, J.; Bai, G. The combination of cinnamaldehyde and kaempferol ameliorates glucose and lipid metabolism disorders by enhancing lipid metabolism via AMPK activation. J. Funct. Foods 2021, 83, 104556. [Google Scholar] [CrossRef]
- Celik, R.; Mert, H.; Comba, B.; Mert, N. Effects of cinnamaldehyde on glucose-6-phosphate dehydrogenase activity, some biochemical and hematological parameters in diabetic rats. Biomarkers 2022, 27, 270–277. [Google Scholar] [CrossRef] [PubMed]
- Abdelmageed, M.E.; Shehatou, G.S.; Abdelsalam, R.A.; Suddek, G.M.; Salem, H.A. Cinnamaldehyde ameliorates STZ-induced rat diabetes through modulation of IRS1/PI3K/AKT2 pathway and AGEs/RAGE interaction. Naunyn. Schmiedebergs Arch. Pharmacol. 2019, 392, 243–258. [Google Scholar] [CrossRef]
- Zhao, H.; Wu, H.; Duan, M.; Liu, R.; Zhu, Q.; Zhang, K.; Wang, L. Cinnamaldehyde improves metabolic functions in streptozotocin-induced diabetic mice by regulating gut microbiota. Drug Des. Devel. Ther. 2021, 15, 2339–2355. [Google Scholar] [CrossRef]
- Sriramavaratharajan, V.; Chellappan, D.R.; Karthi, S.; Ilamathi, M.; Murugan, R. Multi target interactions of essential oil nanoemulsion of Cinnamomum travancoricum against diabetes mellitus via in vitro, in vivo and in silico approaches. Process Biochem. 2022, 118, 190–204. [Google Scholar] [CrossRef]
- Vijayakumar, K.; Prasanna, B.; Rengarajan, R.L.; Rathinam, A.; Velayuthaprabhu, S.; Vijaya Anand, A. Anti-diabetic and hypolipidemic effects of Cinnamon cassia bark extracts: An in vitro, in vivo, and in silico approach. Arch. Physiol. Biochem. 2023, 129, 338–348. [Google Scholar] [CrossRef]
- Lee, Y.; Huang, J.; Bing, Z.; Yuan, K.; Yang, J.; Cai, M.; Zhou, S.; Yang, B.; Teng, W.; Li, W.; et al. pH-responsive cinnamaldehyde-TiO2 nanotube coating: Fabrication and functions in a simulated diabetes condition. J. Mater. Sci. Mater. Med. 2022, 33, 63. [Google Scholar] [CrossRef]
- Keramati, M.; Musazadeh, V.; Malekahmadi, M.; Jamilian, P.; Jamilian, P.; Ghoreishi, Z.; Zarezadeh, M.; Ostadrahimi, A. Cinnamon, an effective anti-obesity agent: Evidence from an umbrella meta-analysis. Food Biochem. 2022, 46, e14166. [Google Scholar] [CrossRef]
- Mousavi, S.M.; Rahmani, J.; Kord-Varkaneh, H.; Sheikhi, A.; Larijani, B.; Esmaillzadeh, A. Cinnamon supplementation positively affects obesity: A systematic review and dose-response meta-analysis of randomized controlled trials. Clin. Nutr. 2020, 39, 123–133. [Google Scholar] [CrossRef] [PubMed]
- Yazdanpanah, Z.; Azadi-Yazdi, M.; Hooshmandi, H.; Ramezani-Jolfaie, N.; Salehi-Abargouei, A. Effects of cinnamon supplementation on body weight and composition in adults: A systematic review and meta-analysis of controlled clinical trials. Phytother. Res. 2020, 34, 448–463. [Google Scholar] [CrossRef]
- Li, J.; Feng, L.; Liu, L.; Wang, F.; Ouyang, L.; Zhang, L.; Hu, X.; Wang, G. Recent advances in the design and discovery of synthetic tyrosinase inhibitors. Eur. J. Med. Chem. 2021, 224, 113744. [Google Scholar] [CrossRef]
- Tepe, A.S.; Ozaslan, M. Anti-Alzheimer, anti-diabetic, skin-whitening, and antioxidant activities of the essential oil of Cinnamomum zeylanicum. Ind. Crops Prod. 2020, 145, 112069. [Google Scholar] [CrossRef]
- Yu, B.; Wu, K.; Duan, X.; Zhang, T.; He, D.; Chai, X. Composition analysis and tyrosinase inhibitory activity of Cinnamomum cassia Presl leaf hydrosol and Cymbopogon citratus (DC.) Stapf leaf hydrosol. J. Food Process. Preserv. 2022, 46, e17058. [Google Scholar] [CrossRef]
- Capetti, F.; Tacchini, M.; Marengo, A.; Cagliero, C.; Bicchi, C.; Rubiolo, P.; Sgorbini, B. Citral-containing essential oils as potential tyrosinase inhibitors: A bio-guided fractionation approach. Plants 2021, 10, 969. [Google Scholar] [CrossRef]
- Alfonso-Herrera, L.A.; Rosete-Luna, S.H.; Hernández-Romero, D.; Rivera-Villanueva, J.M.; Olivares-Romero, J.L.; Cruz-Navarro, J.A.; Soto-Contreras, A.; Arenaza-Corona, A.; Morales-Morales, D.; Colorado-Peralta, R. Transition metal complexes with tridentate schiff bases (O N O and O N N) derived from salicylaldehyde: An analysis of their potential anticancer activity. ChemMedChem 2022, 17, e202200367. [Google Scholar] [CrossRef] [PubMed]
- Sajadi, E.; Sajedianfard, J.; Hosseinzadeh, S.; Taherianfard, M. Effect of insulin and cinnamon extract on spatial memory and gene expression of GLUT1, 3, and 4 in streptozotocin-induced Alzheimer’s model in rats. Iran. J. Basic Med. Sci. 2023, 26, 680–687. [Google Scholar] [PubMed]
- Olorunnado, S.E.; Odum, O.P.; Akinola, O.B. Evaluation of the neuroprotective potential of Trans-cinnamaldehyde in female Wistar rat model of insulin resistance. J. Krishna Inst. Med. Sci. Univ. 2023, 12, 112–121. [Google Scholar]
- Mustafa, H.N. Neuro-amelioration of cinnamaldehyde in aluminum-induced Alzheimer’s disease rat model. J. Histotechnol. 2020, 43, 11–20. [Google Scholar] [CrossRef]
- Do, J.; Kim, N.; Ho Jeon, S.; Gee, M.S.; Ju, Y.J.; Kim, J.H.; Oh, M.S.; Lee, J.K. Trans-Cinnamaldehyde alleviates amyloid-Beta pathogenesis via the SIRT1-PGC1α-PPARγ pathway in 5XFAD transgenic mice. Int. J. Mol. Sci. 2020, 21, 4492. [Google Scholar] [CrossRef] [PubMed]
- Kazerouni, A.; Nazeri, M.; Karimzadeh, A.; SoukhakLari, R.; Moezi, L.; Pirsalami, F.; Moosavi, M. Sub-chronic oral cinnamaldehyde treatment prevents scopolamine-induced memory retrieval deficit and hippocampal Akt and MAPK dysregulation in male mice. Neurosci. Res. 2020, 42, 99–107. [Google Scholar] [CrossRef] [PubMed]
- Ramazani, E.; YazdFazeli, M.; Emami, S.A.; Mohtashami, L.; Javadi, B.; Asili, J.; Tayarani-Najaran, Z. Protective effects of Cinnamomum verum, Cinnamomum cassia and cinnamaldehyde against 6-OHDA-induced apoptosis in PC12 cells. Mol. Biol. Rep. 2020, 47, 2437–2445. [Google Scholar] [CrossRef]
- Xu, Q.; Chen, Z.; Zhu, B.; Li, Y.; Reddy, M.B.; Liu, H.; Dang, G.; Jia, Q.; Wu, X. Neuroprotective effects of B-type Cinnamon Procyanidin oligomers on MPP+-induced apoptosis in a cell culture model of Parkinson’s Disease. Molecules 2021, 26, 6422. [Google Scholar] [CrossRef] [PubMed]
- Chen, Y.F.; Wu, K.J.; Kuo, C.C.; Tsai, H.Y. Protection of Gueichih-Fuling-Wan on cerebral ischemia-induced brain injury in rodents is mediated by trans-cinnamaldehyde via inhibition of neuroinflammation and apoptosis. BioMedicine 2024, 14, 38–48. [Google Scholar] [CrossRef]
- Luo, C.; Chen, Q.; Liu, B.; Wang, S.; Yu, H.; Guan, X.; Zhao, Y.; Wang, Y. The extracts of Angelica sinensis and Cinnamomum cassia from Oriental medicinal foods regulate inflammatory and autophagic pathways against neural injury after ischemic stroke. Oxidative Med. Cell. Longev. 2021, 26, 9663208. [Google Scholar] [CrossRef]
- Zhang, L.; Li, Z.; Wu, Y.; Fan, Y.; He, Z.; He, P.; Liang, P. Cinnamon and Aspirin for Mild ischemic stroke or transient ischemic attack: A pilot trial. Clin. Ther. 2022, 44, 482–490. [Google Scholar] [CrossRef]
- Bektasoglu, P.K.; Koyuncuoglu, T.; Demir, D.; Sucu, G.; Akakın, D.; Eyuboglu, I.P.; Yuksel, M.; Celikoglu, E.; Yegen, B.C.; Bora Gurer, B.C. Neuroprotective effect of Cinnamaldehyde on secondary brain injury after traumatic brain injury in a rat model. World Neurosurg. 2021, 153, e392–e402. [Google Scholar] [CrossRef]
- Qubty, D.; Rubovitch, V.; Benromano, T.; Ovadia, M.; Pick, C.G. Orally administered cinnamon extract attenuates cognitive and neuronal deficits following traumatic brain injury. J. Mol. Neurosci. 2021, 71, 178–186. [Google Scholar] [CrossRef]
- Mondal, S.; Pahan, K. Cinnamon ameliorates experimental allergic encephalomyelitis in mice via regulatory T cells: Implications for multiple sclerosis therapy. PLoS ONE 2015, 10, e0116566. [Google Scholar] [CrossRef]
- Delaviz, E.; Salehi, M.; Ahmadi, A.; Fararooei, M.; Vakili, M.; Ashjazadeh, N. Effect of cinnamon on inflammatory factors, pain and anthropometric indices in progressive-relapsing multiple sclerosis patients: A randomized controlled trial. Jundishapur J. Nat. Pharm. Prod. 2021, 16, e14505. [Google Scholar] [CrossRef]
- Zareie, A.; Bagherniya, M.; Sahebkar, A.; Sharma, M.; Khorvash, F.; Hasanzadeh, A.; Askari, G.H. Effects of cinnamon on anthropometric indices and headache-related disability of patients with migraine: A randomized double-blind placebo-controlled trial. Avicenna J. Phytomed. 2024, 14, 1–12. [Google Scholar] [PubMed]
- Zareie, A.; Sahebkar, A.; Khorvash, F.; Bagherniya, M.; Hasanzadeh, A.; Askari, G.H. Effect of cinnamon on migraine attacks and inflammatory markers: A randomized double-blind placebo-controlled trial. Phytother. Res. 2020, 34, 2945–2952. [Google Scholar] [CrossRef] [PubMed]
- Lin, J.; Song, Z.; Chen, X.; Zhao, R.; Chen, J.; Chen, H.; Yang, X.; Wu, Z. Trans-cinnamaldehyde shows anti-depression effect in the forced swimming test and possible involvement of the endocannabinoid system. Biochem. Biophys. Res. Commun. 2019, 518, 351–356. [Google Scholar] [CrossRef]
- Ma, T.; Tang, B.; Wang, Y.; Shen, M.; Ping, Y.; Wang, L.; Su, J. Cinnamon oil solid self-microemulsion mediates chronic mild stress-induced depression in mice by modulating monoamine neurotransmitters, corticosterone, inflammation cytokines, and intestinal flora. Heliyon. 2023, 9, e17125. [Google Scholar] [CrossRef]
- Noureddini, M.; Bagheri-Mohammadi, S. Adult hippocampal neurogenesis and Alzheimer’s disease: Novel application of mesenchymal stem cells and their role in hippocampal neurogenesis. Int. J. Mol. Cell. Med. 2021, 10, 1. [Google Scholar]
- Tramutola, A.; Lanzillotta, C.; Di Domenico, F.; Head, E.; Butterfield, D.A.; Perluigi, M.; Barone, E. Brain insulin resistance triggers early onset Alzheimer disease in down syndrome. Neurobiol. Dis. 2020, 137, 104772. [Google Scholar] [CrossRef]
- Tyagi, A.; Pugazhenthi, S. Targeting insulin resistance to treat cognitive dysfunction. Mol. Neurobiol. 2021, 58, 2672–2691. [Google Scholar] [CrossRef]
- Momtaz, S.; Hassani, S.; Khan, F.; Ziaee, M.; Abdollahi, M. Cinnamon, a promising prospect towards Alzheimer’s disease. Pharmacol. Res. 2018, 130, 241–258. [Google Scholar] [CrossRef]
- Xu, Z.; Feng, Z.; Zhao, M.; Sun, Q.; Deng, L.; Jia, X.; Jiang, T.; Luo, P.; Chen, W.; Tudi, A.; et al. Whole-brain connectivity atlas of glutamatergic and GABAergic neurons in the mouse dorsal and median raphe nuclei. Elife 2021, 10, 65502. [Google Scholar] [CrossRef]
- Qian, D.; Wang, Q.; Lin, S.; Li, Y.; Gu, X.; Xia, C.; Xu, Y.; Zhang, T.; Yang, L.; Wu, Q.; et al. Identification of potential targets of cinnamon for treatment against Alzheimer’s disease related GABAergic synaptic dysfunction using network pharmacology. Sci. Rep. 2022, 12, 19959. [Google Scholar] [CrossRef] [PubMed]
- Phipps, M.S.; Cronin, C.A. Management of acute ischemic stroke. BMJ 2020, 368, l6983. [Google Scholar] [CrossRef] [PubMed]
- Wang, P.; Shao, B.Z.; Deng, Z.; Chen, S.; Yue, Z.; Miao, C.Y. Autophagy in ischemic stroke. Prog. Neurobiol. 2018, 163/164, 98–117. [Google Scholar] [CrossRef]
- Maas, A.I.R.; Menon, D.K.; Adelson, P.D.; Andelic, N.; Bell, M.J.; Belli, A.; Bragge, P.; Brazinova, A.; Buki, A.; Chesnut, R.M. Traumatic brain injury: Integrated approaches to improve prevention, clinical care, and research. Lancet Neurol. 2017, 16, 987–1048. [Google Scholar] [CrossRef] [PubMed]
- Prince, C.; Bruhns, M.E. Evaluation and treatment of mild traumatic brain injury: The role of neuropsychology. Brain Sci. 2017, 17, 105. [Google Scholar] [CrossRef]
- Pahan, K. Prospects of cinnamon in multiple sclerosis. Mult. Scler. J. 2015, 2, 1000149. [Google Scholar] [CrossRef]
- Mohammadi, P.; Khodamorovati, M.; Vafaee, K.; Hemmati, M.; Darvishi, N.; Ghasemi, H. Prevalence of migraine in Iran: A systematic review and meta-analysis. BMC Neurol. 2023, 23, 172. [Google Scholar] [CrossRef]
- Deborah, S.H.; Aaron, L.S.; Jacquelyn, L.M.; Tulshi, D.S.; Stohl, M.; Bridget, F.G. Epidemiology of adult DSM-5 major depressive disorder and its specifiers in the United States. JAMA Psychiatry 2018, 75, 336–346. [Google Scholar]
- Chen, P.; Ruan, A.; Zhou, J.; Huang, L.; Zhang, X.; Ma, Y.; Wang, Q. Cinnamic aldehyde inhibits lipopolysaccharide-induced chondrocyte inflammation and reduces cartilage degeneration by blocking the nuclear factor-kappa B signaling pathway. Front. Pharmacol. 2020, 11, 949. [Google Scholar] [CrossRef]
- Wu, J.R.; Zhong, W.J.; Chen, Z.D.; Zhu, B.Q.; Jiang, Y.Y.; Wierzbicki, P.M. The protective impact of trans-Cinnamaldehyde (TCA) against the IL-1β induced inflammation in in vitro osteoarthritis model by regulating PI3K/AKT pathways. Folia Histochem. Cytobiol. 2020, 58, 264–271. [Google Scholar] [CrossRef]
- Cheng, W.X.; Zhong, S.; Meng, X.B.; Zheng, N.Y.; Zhang, P.; Wang, Y.; Qin, L.; Wang, X.L. Cinnamaldehyde inhibits inflammation of human synoviocyte cells through regulation of Jak/Stat pathway and ameliorates collagen-induced arthritis in rats. J. Pharmacol. Exp. Ther. 2020, 373, 302–310. [Google Scholar] [CrossRef] [PubMed]
- El-Tanbouly, G.S.; Abdelrahman, R.S. Novel anti-arthritic mechanisms of trans-cinnamaldehyde against complete Freund’s adjuvant-induced arthritis in mice: Involvement of NF-κB/TNF-α and IL-6/IL-23/IL-17 pathways in the immuno-inflammatory responses. Inflammopharmacology 2022, 30, 1769–1780. [Google Scholar] [CrossRef] [PubMed]
- Hong, S.; Cha, K.H.; Park, J.H.; Jung, D.S.; Choi, J.H.; Yoo, G.; Nho, C.W. Cinnamic acid suppresses bone loss via induction of osteoblast differentiation with alteration of gut microbiota. J. Nutr. Biochem. 2022, 101, 108900. [Google Scholar] [CrossRef] [PubMed]
- Lin, B.H.; Ma, R.X.; Wu, J.T.; Du, S.Q.; Lv, Y.Y.; Yu, H.N.; Zhang, W.; Mao, S.M.; Liu, G.Y.; Bu, Y.T.; et al. Cinnamaldehyde alleviates bone loss by targeting oxidative stress and mitochondrial damage via the Nrf2/HO-1 pathway in BMSCs and ovariectomized mice. J. Agric. Food Chem. 2023, 71, 17362–17378. [Google Scholar] [CrossRef]
- Qu, Z.; Zhao, S.; Zhang, Y.; Wang, X.; Yan, L. Natural Compounds for Bone Remodeling: Targeting osteoblasts and relevant signaling pathways. Biomed. Pharmacother. 2024, 180, 117490. [Google Scholar] [CrossRef]
- Sharma, A.; Sharma, C.; Shah, O.P.; Chigurupati, S.; Ashokan, B.; Meerasa, S.S.; Rashid, S.; Behl, T.; Bungau, S.G. Understanding the mechanistic potential of plant based phytochemicals in management of postmenopausal osteoporosis. Biomed. Pharmacother. 2023, 163, 114850. [Google Scholar] [CrossRef]
- Akkawi, I.; Zmerly, H. Osteoporosis: Current concepts. Joints 2018, 6, 122–127. [Google Scholar] [CrossRef]









| Cinnamon Part | Extraction | Methods | Analysis Condition | Analytical Performance | Reference |
|---|---|---|---|---|---|
| CE bark | Ultrasound-assisted extraction (10 g of dried sample was refluxed with 100 mL methanol for 1 h) | HPTLC | Glass-backed plates precoated with NP silica gel 60 F254S plates (10 × 20 cm); mobile phase of cyclohexane/ethyl acetate (90:10, v/v); detection wavelength: 296 nm | Separation of 2 compounds within 32 min; LOD: 3.56 ng/band; LOQ: 10.68 ng/band; Recovery: 98.45–101.16%; CV: 0.52–0.88% | Foudah et al. [56] |
| CE bark | Ultrasonic-assisted extraction (200 mg sample was sonicated with 5 mL methanol for 30 min at 25 °C) | HPLC | C18 column (150 × 4.6 mm, 5 μm); isocratic mobile phase of acetonitrile and 0.04% acetic acid at a ratio of 60:40 (v/v); detection wavelength at 280 nm; flow rate at 1.0 mL/min; column temperature at 29 °C | Separation of CA within 20 min; LOD: 0.069 ppm; LOQ: 0.230 ppm; Recovery: 97.94–104.69%; Precision RSD: 0.92–2.55% | Puspita et al. [57] |
| CE bark | Ethanolic extracts prepared using 10 mL of ethanol for 1 g solid mass at 37 °C | RP-HPLC | C18 column; gradient mobile phase of water and acetonitrile at a ratio of 40:60 (v/v); detection wavelength at 280 nm; flow rate at 0.8 mL/min; column temperature at 40 °C | Separation of CA with yield at 3.05 mg/g | Othman et al. [58] |
| CE leaf | Ultrasonic-Assisted Extraction (1 g of sample was sonicated with 40 mL ethanol for 2 h at 60 °C) | UPLC-MS/MS | C18 100 Å LC column (100 × 2.1 mm ID, 1.6 μm particle size); gradient mobile phase of 0.025% acetic acid in water and 0.025% acetic acid in methanol; flow rate at 0.3 mL/min; column temperature at 30 °C; multiple reaction monitoring (MRM) mode in MS/MS detection | Separation of 15 compounds within 14 min; LOD: 0.08–8.40 ng/g; LOQ: 0.24–25.19 ng/g; Inter-day RSD: 1.81–8.93% Intra-day RSD: 1.93–8.21% | Huang and Chen [4] |
| CE leaf | Ultrasonic-assisted extraction (1 g of sample was sonicated with 30 mL ethanol for 2 h at 60 °C) | UPLC-MS/MS | C18 100 Å LC column (100 × 2.1 mm ID, 1.6 μm particle size); gradient mobile phase of acetic acid in water and 0.025% acetic acid in methanol with a ratio at 40:60, column temperature at 30 °C; flow rate at 0.3 mL/min; MRM mode in MS/MS detection | Separation of 15 compounds within 14 min | Wang et al. [5] |
| CE leaf | Ultrasound-assisted extraction (10 g sample sonicated with 66% ethanol for 29 min) | LC-MS/MS | C18 analytical column (2.1 × 100 mm ID, 3.5 µm particle size); mobile phase: 0.1% formic acid in water and water–acetonitrile | Separation of 12 compounds within 42 min | Gutierrez et al. [59] |
| CE bark | Steam distillation (60 g sample soaked in 300 mL 50% aqueous ethanol for 24 h and evaporated) | GC-MS | 5MS-HP column (30 m × 0.025 mm ID, 0.25 μm film thickness); nitrogen as carrier gas; column temperature programmed from 45–250 °C at 5 °C/min | Separation of 19 compounds within 46 min | Emami et al. [60] |
| CE bark | Microwave-assisted extraction (ethanol as a solvent to solid ratio of 1:6 for 30 min) | GC-MS | __ a | Separation of 5 compounds within 30 min | Fazillah et al. [61] |
| CE leaf | Steam distillation b | GC-MS | Capillary column (HP-5MS UI, 30 m × 0.25 mm ID, 0.25 μm film thickness); helium as carrier gas, column temperature programmed from 120 to 260 °C at 10 °C/min | Separation of 10 compounds within 25 min | Yitbarek et al. [62] |
| CE leaf | Hydrosol (100 g of sample was soaked in deionized water for 30 min followed by hydrodistillation for 120 min) | GC-MS | HP-5MS columns (60 m × 0.25 mm ID, 0.25 μm film thickness); helium as carrier gas; flow rate at 1 mL/min; column temperature programmed from 50 to 300 °C at 10 °C/min | Separation of 12 compounds within 60 min | Yu et al. [52] |
| CE bark | Hydrodistillation b | GC-MS; GC-FID | GC-MS: HP5MS column (30 m × 0.25 mm ID, 0.25 mm film thickness); helium as carrier gas; flow rate at 1.2 mL/min | Separation of 3 compounds within 24 min | Rehman et al. [63] |
| Sample/(CA/CE) | Cancer Cell/Animal Model | IC50; Dose | Inhibition Mechanism | Outcome | Reference |
|---|---|---|---|---|---|
| CE and CA | Oral cancer cells (SCC-4, SCC-9, SCC-25) | IC50: 30–100 μg/mL (CE), 30–250 μM (CA) CE dose: 0–400 μg/mL CA dose: 0–960 µM | ↓ PI3k-AKT-mTOR pathway related to VEGF, COX-2, Bcl-2, NF-κB, and proteins | Both CE and CA inhibited the invasion and cytoplasmic translocation of NF-κB in these cell lines | Aggarwal et al. [94] |
| CA | Breast cancer cells (MDAMB-231) | IC50: 12.23 μg/mL Dose: 15 and 20 μg/mL | ↓ PI3K-AKT, peroxisome proliferator-activated receptor pathway | CA inhibited cell proliferation, migration and invasion ability, as well as promoting cell apoptosis | Liu et al. [95] |
| CA | Prostate cancer-associated fibroblasts | IC50: 74.66 μΜ Dose: 32–150 µM | ↑ Cytochrome c, Bax, caspase 3, PARP; ↓ Bcl-2, caspase 9, DEF-45 | CA induced cell apoptosis by ROS generation and decreases in mitochondria membrane potential | Han et al. [96] |
| CA | Bladder cancer cell (5637) | Dose: 0.02–0.08 mg/mL | ↓ ErbB2, HSF1, and LDHA, protein level of HSF1 and LDHA, LDH activity; ↓ cell migration, glucose consumption, and lactate production | CA induced apoptosis and decreased cell growth by reducing ErbB2-HSF1- LDHA pathway | Aminzadeh et al. [97] |
| CA, DOX and CA-DOX | Glioblastoma cells (U87MG) | IC50: 11.6 µg/mL (CA), 5 µg/mL (DOX) | ↑ Bcl-2, Bax, caspase-3, caspase-9 and cell population subG1 phase ↓ glutathione S-transferase, ATPases, ΔMψ potential | CA enhanced the apoptosis induced by DOX | Abbasi et al. [98] |
| CA + hyperthermia | Lung cancer cell (A549) | Dose: 150 and 200 µM | ↑ ROS, MAPK phosphorylation and HSP70 ↓ VEGF, cyclin D1, MMP-9, MMP-2 | A combination of CA with hyperthermia treatment effectively inhibited lung cancer cells through ROS generation | Park et al. [99] |
| CA-poly(thioacetal) NPs |
Colon cancer cells (CT26) | Dose: 10–60 μg/mL | ↑ ROS, ↓ mitochondrial membrane potential | Endogenous ROS induced cleavage of polymer to release CA for generation of ROS through mitochondrial dysfunction. | Tu et al. [100] |
| RSL3@PCA | Breast cancer cells (4T1) | Dose: 0.25–15 μM | ↓ lipid peroxides in cells, intracellular GSH and GPX4 activity | CA and RSL3 induced ferroptosis by reducing lipid peroxides to inhibit cancer cell growth without affecting normal cell/tissue | Yan et al. [101] |
| MON CA-TPP @HA | Breast cancer cells (4T1) | Dose: 0–100 μg/mL | ↑ ROS resulting in enhanced oxidative stress and immunogenic cell death | HA help to target cancer cells and TPP enable binding with mitochondria, while overexpressed GSH in cancer cells cleave the disulfide bond in MON for CA release and ROS generation | Zhu et al. [102] |
| ETS@PCA | Breast cancer cell 4T1 (1 × 106)-induced tumor in BALB/c mice | Dose: 5 mg/kg; IV |
↑ ROS ↓ GSH, topoisomerase II | These self-assembled NPs responded to an acidic tumor environment by releasing CA for the rapid depletion of GSH, contributing to enhanced antitumor efficiency | Wu et al. [103] |
| HA-CD/FC-CA NPs | Breast cancer cell (MCF-7), 4T1 and NIH/3T3 cells | Dose: 2.5–250 μM | ↑ ROS, H2O2, Fenton reaction, OH∙ radical | CA induced H2O2 levels for reaction with ferrocene through cascaded Fenton reaction to generate cytotoxic hydroxyl radicals for killing cancer cell | Xu et al. [104] |
| HA-CD/FC-CA NPs | Female BALB/c mice bearing 4T1 tumor xenograft model | Dose: 7 mg/kg FC+ 4 mg/kg CA; IV | ↓ tumor weight | An in vivo study confirmed the cascading Fenton reaction for excellent anti-tumor effects | Xu et al. [104] |
| CA/DATS@PLGA-PEG NPs |
Breast cancer cells (MCF-7) | Dose: 100 mM (CA) + 50 mM (DATS) | ↑ ROS, ↓ GSH | Combined killing of cancer cells by increasing oxidative stress by CA and depleting GSH by DATS | Liu et al. [105] |
| TCA- CMPs | Human epithelial cervical cancer (HeLa) | Dose: 0–50 μM | A cumulative TCA release rate was higher at pH 6.5 (tumor environment) than at pH 7.4 (neutral) with 77.9% cytotoxicity being shown after 48 h | CMPs facilitated CA release in the tumor environment for enhanced uptake and inhibition of cancer cell growth | Barrera-Martinez et al. [106] |
| B-C-CF-CA NPs | Lung cancer cells (A549) | IC50: 2 μg/mL Dose: 7.8–500 μg/mL | Cytotoxicity through diffusion-controlled CA release with an 18-fold reduction in IC50 compared to only CA | Exhibited acid-responsive CA release for enhanced targeting with calcium ferrite enabling magnetically modulated faster CA delivery | Purushothaman et al. [107] |
| DOX-CLC NPs |
Human liver carcinoma (Hep-G2) | CA Dose: 1–16 μg/mL DOX dose: 1–16 μg/mL | ↑ Mitochondrial permeability transition, ROS production, caspase activation, apoptosis | LA in DOX-CLC-NPs facilitated high cellular uptake, while CA increased ROS production and DOX promoted direct cytotoxicity for synergistic growth inhibition | Zhou et al. [108] |
| DOX-CLC NPs | H22 cells (1 × 106)-injected into left armpit of ICR male mice |
CA dose: 6 mg/kg; DOX dose: 6 mg/kg; IV | ↓ Tumor weight and size | DOX-CLC NPs were passively enriched in tumor tissues through the EPR effect with increased cellular uptake and release of DOX and CA, exhibiting a synergistic anti-tumor effect | Zhou et al. [108] |
| CA polymeric micelles | Colon cancer cells (SW620) | Dose: 50–300 μM | ↑ Oxidative stress | Higher cytotoxicity due to the pH-induced cleavage of imine linkages under acidic conditions resulting in polymeric micelle disassembly and the release of CA | Han et al. [109] |
| CA-FU NPs | Hepatocellular cells (H22) | IC50: 21.291 μg/mL Dose: 3.85–385 µM | ↑ Release at pH 5 than 7, cytotoxicity | Apoptosis by cellular uptake and cleavage of acetal and ester bond for enhanced apoptosis | Fang et al. [23] |
| CA-FU NPs |
Injection of H22 cells (1 × 106) into the back of male ICR mice | Dose: 7.65 mg/kg; IV | ↓ Tumor weight and size with CA-5FU showing higher tumor growth inhibition compared to CA or 5FU |
CA-FU induced significant tumor apoptosis or tissue necrosis through oxidative damage by CA and anti-metabolic effects by FU, combining into a synergistic effect. | Fang et al. [23] |
| BSA-CA NPs | Laryngeal squamous cell (Hep2), lung cancer (A549), hepatoma cancer cell (HepG2), malignant melanoma cell (A375) | Dose: 100–700 μg/mL | >50% inhibition towards A375, A549 and HepG2 cells, and >80% towards Hep2 | BSA–CA NPs promised anticancer activity against various cancer cells with higher inhibition efficiency compared to Hep2 cells | Chang et al. [110] |
| CA and/or tannic acid- gelled-oil NPs | Breast cancer cell (MCF-7) and Lung cancer cell (A549) |
EC50: 107.06
μg/mL (CA-TA) and 223.11 (CA)
μg/mL Dose: 1.6–1000 μg/mL |
81.7% and 57.5% cytotoxicity towards MCF-7 and A549 cells | Enhanced antioxidant and anticancer activity through encapsulation of a mixture of bioactive natural compounds | Asadi-Yousefabad et al. [111] |
| CA-IONPs/FA |
Breast cancer cells (MCF7, MDAMB231) |
IC50: 2.84 μg/mL (MCF 7), 17.44 μg/mL (MDAMB231) CA dose: 0.312–1.25 μg/mL | ↑ Mitochondrial depolarization, calcium release, caspase expression | Enhanced cellular uptake and localization in both cytoplasm and nucleus promoted apoptosis | Shetty et al. [24] |
| CA-IONPs/FA | E0771 (1 × 106) induced mouse medullary breast adenocarcinoma cells into the right flank of C57BL/6 mice | CA dose: 0–1.25 μg/mL; IV | ↓ Tumor volume and weight by ~3.2-fold compared to control | Conjugation of FA with CA-IONPs facilitated active targeting resulting in folate receptor-mediated internalization and enhanced tumor retardation | Shetty et al. [24] |
| Disease Condition | In Vitro/Animal Model | Induction (Mode, Dose) | CE/CO/CA (Mode, Dose, Duration) | Outcome | Reference |
|---|---|---|---|---|---|
| Obesity | 3T3-L1 cells | Glucose | CA/cinnamyl isobutyrate (30 μM, 12 days) | ↓ phospholipid accumulation, triglyceride, PPARγ, C/EBPα, C/EBPβ through involvement of TRPA1 | Hoi et al. [117] |
| Wistar rats | Early overnutrition-induced metabolic alterations | CA (oral gavage, 40 mg/kg/day, 29 days) | ↓ visceral adiposity, serum triglyceride, Srebf1, Acaca, insulin resistance, phospho-eIF2α and IRE1α, endoplasmic reticulum stress and ↑ LC3II/I and Sqstm1. | Neto et al. [118] | |
| Wistar rats | HFD + sucrose diet | CA (IP, 20 mg/kg/day, 8 weeks) | ↓ triglycerides, adiposity index, free fatty acids, total cholesterol, CD11c, CD11b, F4/80, TNF and ↑ Nrf2 | Sena et al. [26] | |
| Wistar rats | HFD-induced atherosclerosis | CA (oral gavage, 20 mg/kg/day, 10 weeks) | ↓ total cholesterol, triglycerides, LDL, free fatty acids, creatine kinase, creatine kinase-MB, LDH, AST | Ismail et al. [29] | |
| Male Swiss mice (8 weeks) | HFD | CE-functionalized Au@P-NPs (oral gavage; 10 mg/kg/day, 8 weeks) | ↓ fat deposition, body weight, inflammation, endotoxaemia and ↑ insulin sensitivity, glucose tolerance and UCP1 ↑ A. muciniphila and Bifidobacterium and ↓ Lactobacillus | Sharma et al. [27] | |
| CVD | HUVECs | H2O2 and TNF-α | CA and methoxyCA (20 µM, 24 h) | ↓ oxidative stress and ↑ Nrf2, HO-1 through P38 pathway. Inhibition of monocyte cell adhesion to HUVECs by ↓ VCAM-1. | Kim et al. [28] |
| SD rats | LPS (SC, 0.5 mg/kg) | CA (IP, 50 mg/kg, single dose) | ↓ inflammatory cell infiltration | Kim et al. [28] | |
| Leptin receptor deficient diabetic mice (6–8 weeks) | Diabetic db/db mice model | CA (diet containing 0.02% CA, 12 weeks) | ↓ ROS, nitrotyrosine, P22, P47, Nrf2, HO-1, quinone oxidoreductase-1 and ↓ p-eNOS accompanied by regulation of NO and improvement of relaxation of aortas and mesenteric arteries | Wang et al. [119] | |
| Wistar rats | HFD + sucrose diet | CA (IP, 20 mg/kg/day, 8 weeks) | ↓ vascular oxidative stress, inflammation, endothelial dysfunction, MDA, 8-OHdG and ↓ Nrf2 | Sena et al. [26] | |
| Primary rat VSMCs, murine macrophage RAW 264.7 and human macrophage THP-1 cells | RAW 264.7 and VSMC cell proliferation in high-glucose DMEM medium and THP-1 cell proliferation in RPMI medium | CA (EC50: 131 µM, 24 h) CA pluronic micelles (EC50: 84 µM, 24 h) | ↓ VSMC proliferation and ↑ Nrf2, SOD and GSH through efficient cellular uptake of CA/CA pluronic micelles with ↓ nitrite and enhanced accumulation on VSMCs | Cartaya et al. [88] | |
| Neonatal rat cardiomyocytes | Phenylephrine (50 µM)-induced cardiac hypertrophy | TCA (5 µM, 24 h) | ↓ phosphorylation and nuclear localization of CaMKII and ERK ↓ hyperphosphorylation of ryanodine receptor type 2 and phospholamban ↑ calcium handling, sarcomere shortening | Qian et al. [120] | |
| C57BL/J mice (8 weeks) | Phenylephrine (SC, 75 mg/kg/day for 2 weeks) | TCA (oral gavage, 50 and 100 mg/kg/day, 2 weeks) | ↓ phosphorylation of CaMKII and ERK through ↓ hypertrophic genes (Nppa, Nppb and Mhy7) | Qian et al. [120] | |
| Wistar rats | HFD-induced atherosclerosis | CA (oral gavage, 20 mg/kg/day, 10 weeks) | ↓ IL-1β, IL-17, IL-6, TNF-α ↑ SOD, CAT, glutathione S-transferase, glutathione peroxidase and ↓ MDA | Ismail et al. [29] | |
| Mice | Dyslipidemia-induced diet (14 days) | CE (oral gavage, 300, 400 and 500 mg/kg/day, 7 days) | ↓ total cholesterol, triglyceride, LDL and ↑ HDL, antiplatelet activity through ↑ bleeding time, coagulation and ↓ ATP-induced platelet aggregation | Sandhiutami et al. [121] | |
| Diabetes | Female virgin albino Wistar rats | FSD/STZ (IP, 25 mg/kg) | CA (oral gavage, 20 mg/kg/day, 15 weeks); glyburide/metformin-HCl (oral gavage, 0.6/100 mg/kg/day, 15 weeks) | ↓ maternal and fetal glycemia, placental vasculopathy, fetal hypoxia, redox signaling | Hosni et al. [122] |
| 3T3-Ll pre-adipocytes |
glucose (25 mM) + insulin (1 μM) | CA (100 μg/mL), metformin (10 mM) and CA + metformin (100 μg/mL + 10 mM) | ↑ GLUT4 protein, miR26-b ↓ MiR320 | Naghiaee et al. [123] | |
| Male albino rats | 60% fructose | CA (oral gavage, 40 mg/kg, 4 weeks); metformin (oral gavage, 300 mg/kg, 4 weeks) | ↓ plasma glucose, HbA1c, total cholesterol, LDL cholesterol, triglyceride ↑ GSH, SOD and restored plasma levels of ALT, AST, creatinine, uric acid | Rashwan et al. [124] | |
| Male albino rats |
HFD and STZ (IP, 55 mg/kg) | CA (oral gavage, 40 mg/kg/day, 4 weeks); Metformin (oral gavage, 200 mg/kg/day, 4 weeks); CA + metformin (oral gavage, 40 + 200 mg/kg/day, 4 weeks | ↓ blood glucose and improved lipid profile | Ghazal et al. [25] | |
| Db/db diabetic mice with FBG > 7.0 mM | - | CA (oral gavage, 78/39/19.5 mg/kg, 6 weeks); KP (oral gavage, 116/58/29 mg/kg, 6 weeks); CA + KP (oral gavage, 78 + 116 mg/kg, 39 + 58 mg/kg, 19.5 + 29 mg/kg, 6 weeks) | CA and KP combination ameliorated glucose and lipid metabolism disorders by enhancing lipid metabolism via AMPK activation | Gao et al. [125] | |
| Wistar Albino rats (7–8 weeks) | STZ (IP, 45 mg/kg) | CA (oral gavage, 20 mg/kg, 30 days) | ↓ blood glucose, HbA1c, triglyceride, total cholesterol, VLDL, LDL, urea and ↑ GSH, G6PD | Celik et al. [126] | |
| Male Wistar rats (6–8 weeks) |
HFD and STZ (IP, 35 mg/kg) | CA (oral gavage, 10 mg/kg, 60 days) | ↓ ALT, AST, AGEs, aortic RAGE, MDA and ↑ GSH, SOD, mRNA of IRS1, PI3K-P85, AKT2, eNOS, AKT2, IRS1 through IRS1/PI3K/AKT2 pathway | Abdelmageed et al. [127] | |
| Male C57 mice (6 weeks) |
STZ (IP, 150 mg/kg, 3 days) | CA (oral gavage, 20 mg/kg, 7 weeks) | Improved glucose metabolism and insulin sensitivity, ↑ glycogen synthesis and alleviated myocardial injury, ↑ L. johnsonii and ↓ L.murinus in gut microbiota, ↑ Faecalibacterium prausnitzii, IRS1, AKT2, E2F1 | Zhao et al. [128] | |
| Wistar rats (8–12 weeks old) | STZ (IP, 35 mg/kg) | CO nanoemulsion (oral gavage, 6.25/12.5/25 mg/kg, 28 days) | ↓ blood glucose, AST, ALT, ALP, triglyceride, pancreatic β-cell damage, and ↑ insulin secretion | Sriramavaratharajan et al. [129] | |
| Albino Wistar male rats (8-weeks) | STZ (IP, 60 mg/kg) | CE (oral gavage, 500 mg/kg, 28 days), CE + glibenclamide (oral gavage, 300/400/500 mg/kg CE + 3 mg/kg glibenclamide, 28 days | ↓ blood glucose and ↑ Fructose-1,6-bis phosphatase | Vijayakumar et al. [130] | |
| Wistar male rats (6-weeks) | STZ (IP, 230 mg/kg) | CE (oral gavage, 20–60 mg/kg, 4 weeks), CE nanoemulsion (oral gavage, 20–60 mg/kg, 4 weeks) | ↓ fasting blood glucose, oral glucose tolerance test value, insulin resistance index, total cholesterol, triglyceride, AST, ALT, creatinine | Huang and Chen [4] | |
| Adult zebrafish | Glucose (110 mM added to tap water for 2 weeks) | GA-COOE-SeNPs (oral gavage, 10/20 µg/L, 14 days) | ↓ blood glucose, ROS, cholesterol, triglycerides and ↑ antioxidant, antilipidemic and hypoglycemic effects | Gutierrez et al. [59] | |
| BMSCs, RAW 264.7 cells and bacterial cells of S. mutans and P. gingivalis | Glucose (22 mM glucose + 1 μg/mL PG-LPS) | TNT-CA (7 days) | Acid responsive TNT-CA exerted osteogenic, anti-inflammatory and antimicrobial effects. | Lee et al. [131] |
| Disease Condition | In Vitro/Animal Model | Induction (Mode, Dose) | CE/CA (Route, Dose, Duration) | Outcome | Reference |
|---|---|---|---|---|---|
| Alzheimer’s | Male Wistar rats |
STZ (ICV, 3 mg/kg) Insulin (ICV, 3 mU/day, 2 weeks) |
CA (IP, 10, 100 mg/kg/day, 2 weeks) | Improved recognition/spatial memory deficits and anxiety. ↑ Phospho.GSK-3βSer9/Total. GSK-3β, Phospho.AKTSer473/Total AKT ratios and ↓ Phospho. IRS-1Ser307/Total. IRS1 ratio | Bagheri-Mohammadi et al. [30] |
| SD rats |
STZ (IP, 4 mg/kg) Insulin (5 mU/day, 2 weeks) |
CE (oral gavage, 200 mg/kg, 2 weeks) |
↑ GLUT1, 3, and 4 genes in the hippocampal tissue protein. Improved rat performance in the Morris water maze test and behavioral test | Sajadi et al. [140] | |
| Female adult Wistar rats | STZ (IP, 30 mg/kg) |
TCA (oral gavage, 60 mg/kg, 4 weeks) | ↓ Astrogliosis, pyknosis, neurodegenerative changes in the hippocampus | Olorunnado et al. [141] | |
| Male adult Wistar rats (6 weeks) | AlCl3 (IP, 100 mg/kg | CE (oral gavage, 200 mg/kg/day, 60 days) | ↓ Aβ deposition, neurofibrillary degeneration, neuritic plaques and ↑ number of purkinje cells and dendritic arborization density, perineuronal space, dendritic spines, memory and intellectual performance | Mustafa [142] | |
|
Alzheimer 5XFAD mice model (5 months old) | - | TCA (IP, 30 mg/kg, 8 weeks) | ↓ Aβ deposition, β-secretase, cognitive impairment and ↑ SIRT1, PPARγ, PGC1α alleviating AD pathology via SIRT1-PGC1α-PPAR pathway | Do et al. [143] | |
| Male NMRI mice (50–60 days) | Scopolamine (IP, 1 mg/kg) |
CA (oral gavage, 100 mg/kg, 10 days) | Restored amnesia and hippocampal AKT and MAPK dysregulation effect of scopolamine | Kazerouni et al. [144] | |
| Parkinson disease | PC12 cells | 6-OHDA (100 μM) |
CE (2.5–20 μg/mL, 24 h) CA (1.25–10 μM, 24 h) | ↑ cell viability, survivin and ↓ ROS, cytochrome-C, phospho-p44/42, p44/42 resulting in protective action against 6-OHDA-induced cytotoxicity | Ramazani et al. [145] |
| SH-SY5Y cells | MPP+ (1 mM) | CE (5–50 μM, 12 h) | ↑ cell viability, p-ERK1/2, t-ERK1/2 and ↓ ROS, Bcl-2/Bax ratio resulting in neuroprotection against MPP+-induced cytotoxicity | Xu et al. [146] | |
| Male SD rats (6 weeks) | IP; rotenone-induced group (2 mg/kg) | CE nanoemulsion (oral gavage, 60 mg/kg, 5 weeks) | ↑ dopamine, tyrosine hydroxylase, CAT, SOD, GSH peroxidase and ↓ α-synuclein, malondialdehyde | Wang et al. [5] | |
| Ischemic stroke | C57BL/6JNarl mice | Ischemia/Reperfusion surgery for I/R brain injury | CA (oral gavage, 10–30 mg/kg) | ↓ Infarct area in I/R-induced brain damage, neurological deficit score, COX-2 protein, neuron apoptosis, NR2B, cytochrome-C, caspase-9, caspase-3 | Chen et al. [147] |
| Male Sprague–Dawley (SD) rats | IP; Middle cerebral artery occlusion model | CE + Angelica sinensis extract (oral gavage, 1.6, 3.2, 6.4 g/kg, 7 days) | ↑ Iba1, LC3 II, Beclin-1 CD206 and ↓ TNF-α, IL-1β, IL-6, TLR4, phosphorylated-IKKβ, IκBα, NLRP3, nuclear P65, caspase-1, caspase-8, cleaved caspase-3 | Luo et al. [148] | |
| 122 patients (81 men and 41 women) | - | Aspirin–cinnamon group and aspirin–placebo group | ↓ blood lipid, blood glucose, inflammation, lipoprotein- related phospholipase A2, carotid atherosclerosis. Aspirin-cinnamon groups exhibited superior effects for reducing 90-day recurrent stroke. | Zhang et al. [149] | |
| Trauma brain injury | Male Wistar albino rats | Traumatic brain injury induced by weight-drop model | CA (IP, 100 mg/kg, single dose) | ↓ myeloperoxidase, histologic damage scores, ROS, leukocyte infiltration, neutrophil recruitment, acute hippocampal dysfunction | Bektasoglu et al. [150] |
| ICR male mice (6–8 weeks) | Traumatic brain injury induced by weight-drop model | CE (oral gavage, 100 μg/mL, 3 weeks) | ↓ memory impairment, neuronal loss in temporal cortex and dentate gyrus | Qubty et al. [151] | |
| Multiple sclerosis | Female SJL/J mice (4–5 weeks) | Incomplete Freund’s adjuvant-induced adoptively transferred encephalomyelitis (SC, 400 µg Bovine myelin basic protein + 60 µg M. tuberculosis, single dose) | Cinnamon powder (oral gavage, 50 mg/kg, 17 days) | ↑ Foxp3+, Treg/Th2 cells and ↓ Th17/Th1 blocking the progression of encephalomyelitis | Mondal and Pahan [152] |
| 60 patients (36 women and 24 men) with progressive relapsing multiple sclerosis | - | CE (500 mg/capsule, 4 capsules/day, 8 weeks) | ↓ pain, C-reactive protein, IL-6, mRNA levels | Delaviz et al. [153] | |
| Migraine | 50 migraine patients | - | Cinnamon powder (600 mg/capsule, 3 capsules/day, 60 days) | ↓ waist and hip circumference, headache disability, pain level | Zareie et al. [154] |
| 50 migraine patients | - | Cinnamon powder (600 mg/capsule, 3 capsules/day, 60 days) | ↓ IL-6, NO, frequency, severity | Zareie et al. [155] | |
| Depression | Male BALB/c mice (7–8 weeks) | Forced swimming test | TCA (oral gavage, 50 mg/kg/day, 7 days) | ↓ immobility during swimming, 5-HT, Glu/GABA in mice hippocampus, COX-2, CB1, TRPV1 | Lin et al. [156] |
| 70 SPF-grade male Kunming mice | Chronic unpredictable mild stress (CUMS), followed by sucrose preference test, forced swimming test, open field test | CO-S-SME (oral gavage, 40, 100 and 200 mg/kg, 8 weeks) | CO-S-SME effectively improve depression-like behavior by ↑ neurotransmitter levels, ↓ corticosterone, IL-6, TNF-α, IL-1β, Firmicutes/Bacteroidetes, Lactobacillus | Ma et al. [157] |
| Bone/Joint Disease | In Vitro/In Vivo Model | Induction (Mode, Dose) | CE/CA (Mode, Dose, Duration) | Outcome | Reference |
|---|---|---|---|---|---|
| Osteoarthritis | Human OA chondrocytes | LPS (10 μg/mL) | CA (20 and 50 μM, 24 h) | ↓ IL-1β, IL-6, TNF-α, MMP-13, ADAMTS-5, NF-κB, p65, IκB-α through NF-κB signaling pathway. | Chen et al. [171] |
| Human fibroblast-like synoviocytes | LPS (1 µg/mL) | CA (10, 20 and 50 µM, 24 h) | ↓ IL-1β, IL-6, TNF-α through blocking of TLR4/MyD88 pathway. | Chen et al. [93] | |
| Human knee articular chondrocytes | IL-1β (10 ng/mL) | CA (2, 5 and 10 µg/mL, 24 h) | ↓ IL-8, PGE2, TNF-α, MMP-13, iNOS, COX-2, ADAMTS-5, phosphorylation of AKT and PI3K through PI3K/AKT pathway. | Wu et al. [172] | |
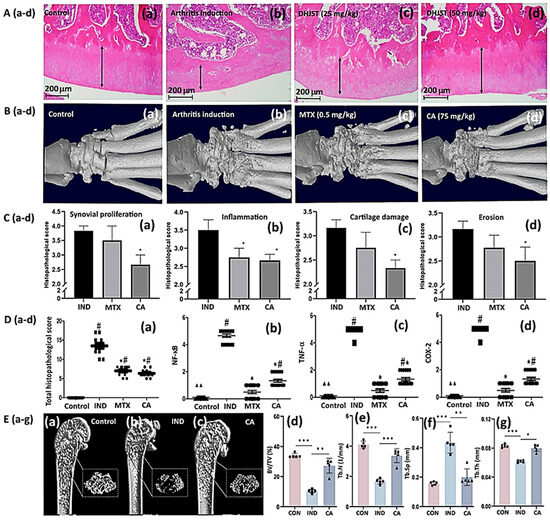
| RAW 264.7 cells and rat cartilage chondrocytes | LPS (500 ng/mL)-induced RAW 264.7 cells or IL-1β (10 ng/mL)-induced rat cartilage chondrocytes. | Treatment with DHJST (300 µg/mL) or TH (100 µg/mL) for 18 h (RAW 264.7 cells) or 6 h (chondrocytes). | ↓ NO, PGE2, iNOS, COX-2 in RAW 264.7 cells for both DHJST and TH ↓ iNOS, MMP-13 in chondrocytes for DHJST and PGE2 in TH | Tseng et al. [31] | |
| Wistar rats | MSI (50 mL of 80 mg/mL on day 0 and 40 mg/mL on day 6 in left ankle) or type II collagenase (4 mg/kg in left knee) | DHJST or TH (oral gavage, 25 and 50 mg/kg BW, 10 days) | ↓ hind-limb weight-bearing, paw edema swelling, hot-plate latent pain response in MSI-induced rats and restoration of weight-bearing distribution and low-grade inflammatory cell infiltration and cartilage thinning | Tseng et al. [31] | |
| Rheumatoid arthritis | human fibroblast-like synoviocytes | IL-1β (20 ng/mL) | CA (40, 60 and 80 nM, 24 h) | ↓ IL-6, IL-8, TNF-α. Retarding phosphorylation of JAK2 and STAT1/STAT3 signaling pathway without affecting NF-κB | Cheng et al. [173] |
| Lewis female rats | bovine type II collagen (SC, 2 mg/mL) | CA (oral gavage, 75 mg/kg/day, 21 days) or MTX (oral gavage, 0.5 mg/kg/3 days, 21 days) | ↓ swollen paw volume, joint swelling, bone erosion, arthritis severity and ↓ IL-6 level in rat serum | Cheng et al. [173] | |
| BALB/c male mice | Complete Freund’s adjuvant (SC, triple-dose of 0.1 mL of 1 mg mycobacterium tuberculosis/mL paraffin oil, 2 days) | CA (IP, 100 mg/kg/day, 3 weeks) or MTX (IP, 0.75 mg/kg/2 days, 3 weeks) | ↓ serum rheumatoid factor, arthritis index, paw swelling, cartilage and bone erosion. ↓ TNF-α, IL-1β, IL-6, IL-23, IL-17 and COX-2 through modulation of NF-κB pathway | El-Tanbouly and Abdelrahman [174] | |
| Osteoporosis | Preosteoblast cells MC3T3-E1. | MC3T3-E1 cells were differentiated with osteogenic medium | CA (25, 50 and 100 µM, 6 days for ALP activity and osteoblastic markers as well as 14 days for mineralization assay) | ↑ TGF-β, BMP2/4, pSmad2/3, osteocalcin and Runx2 | Hong et al. [175] |
| Female C57BL/6J mice | Mice induced with ovariectomy by removing bilateral ovaries | CA (oral gavage, 5, 10 and 20 mg/kg, 5 times per week for 10 weeks) | ↑ bone indices and ↑ osteocalcin and procollagen type 1 levels in mice serum through BMP/TGFβ/Smad signaling | Hong et al. [175] | |
| BMSCs isolated from C57B/6J mice | H2O2 | CA (50 and 100 µM, 24 h) | ↓ ROS to reduce oxidative stress ↑ OPA1 and ↓ Drp1 to mitigate mitochondrial dysfunction ↑ Nrf2, HO-1, COL1A1, Runx2, OCN | Lin et al. [176] | |
| Female C57B/6J mice | mice induced with ovariectomy by removing bilateral ovaries | CA (IG, 50 mg/kg/per, 8 weeks) | ↓ ROS and ↑ Nrf2, Runx2. Improvement in bone trabecular microstructure by ↑ bone volume/total volume ratio and plate number | Lin et al. [176] | |
| SD rats | STZ (IP, 60 mg/kg) | CA (oral gavage, 20 and 40 mg/kg/per day, 12 weeks) | ↑ bone strength, remodeling activity and structure ↑ bone volume/tissue volume ratio, trabecular plate number thickness ↓ bone surface area/bone volume ratio and trabecular spacing ↑ netrin-1, DCC, UNC5B, RANKL, OPG ↓ TGF-β, cathepsin, TRAP, RANK | Ji et al. [32] |
Disclaimer/Publisher’s Note: The statements, opinions and data contained in all publications are solely those of the individual author(s) and contributor(s) and not of MDPI and/or the editor(s). MDPI and/or the editor(s) disclaim responsibility for any injury to people or property resulting from any ideas, methods, instructions or products referred to in the content. |
© 2025 by the authors. Licensee MDPI, Basel, Switzerland. This article is an open access article distributed under the terms and conditions of the Creative Commons Attribution (CC BY) license (https://creativecommons.org/licenses/by/4.0/).
Share and Cite
Karimirad, R.; Inbaraj, B.S.; Chen, B.-H. Recent Advances on the Analysis and Biological Functions of Cinnamaldehyde and Its Derivatives. Antioxidants 2025, 14, 765. https://doi.org/10.3390/antiox14070765
Karimirad R, Inbaraj BS, Chen B-H. Recent Advances on the Analysis and Biological Functions of Cinnamaldehyde and Its Derivatives. Antioxidants. 2025; 14(7):765. https://doi.org/10.3390/antiox14070765
Chicago/Turabian StyleKarimirad, Roghayeh, Baskaran Stephen Inbaraj, and Bing-Huei Chen. 2025. "Recent Advances on the Analysis and Biological Functions of Cinnamaldehyde and Its Derivatives" Antioxidants 14, no. 7: 765. https://doi.org/10.3390/antiox14070765
APA StyleKarimirad, R., Inbaraj, B. S., & Chen, B.-H. (2025). Recent Advances on the Analysis and Biological Functions of Cinnamaldehyde and Its Derivatives. Antioxidants, 14(7), 765. https://doi.org/10.3390/antiox14070765

