Hepatoprotective, Antioxidant, and Anti-Hyperlipidemic Effects of Kefir Milk in High-Fat Diet-Induced Obesity: Insights from Gas Chromatography-Mass Spectrometry Profiling, Molecular Docking of Kefiran, and Liver Function Restoration
Abstract
1. Introduction
2. Materials and Methods
2.1. Kefir Milk Preparation
2.2. Determination of the Total Antioxidant Capacity (TAC) of Commercial Milk and Kefir Milk
2.2.1. Free Radical Scavenging Activity on DPPH
2.2.2. ABTS Assay
2.2.3. Determination of Total Phenol Content (TPC)
2.2.4. Ferric Reducing Antioxidant Power Assay
2.3. Animals and Study Design
- Control Group (C): These rats were fed a standard diet (ND) and received 1 mL/100 g of semi-skimmed cow milk through an intragastric administration.
- Kefir Group (KM): The rats were given a normal diet (ND) and administered 1 mL/100 g of body weight of kefir milk intragastrically.
- High-Fat Diet Group (HFD): These rats were placed on a high-fat diet and received 1 mL/100 g of body weight of semi-skimmed cow milk intragastrically.
- Kefir + High-Fat Diet Group (KM/HFD): The rats were given a high-fat diet and administered 1 mL/100 g of body weight of kefir milk through intragastric delivery.
2.4. Functional and Metabolic Parameters
2.5. Analysis of Oxidant Status in the Liver and Testis
2.5.1. Lipid Peroxidation (LPO) Measurement
2.5.2. Thiol Group Measurements
2.5.3. Antioxidant Enzyme Activity Assay
2.5.4. Protein Determination
2.6. Gas Chromatography—Mass Spectrometry (GC—MS) Analysis
2.6.1. GC—MS Protocol
2.6.2. Elongation and Desaturation Indices
2.7. Histological Analysis
2.8. In Silico Study
2.9. Statistical Analysis
3. Results
3.1. Antioxidant Capacity and Total Phenol Contents of Commercial Milk and Kefir Milk
3.2. Effect of Kefir Milk on Body Weight (bw) and Fat and Liver Relative Weights
3.3. Effect of Kefir Milk on Liver Metabolic Parameters
3.4. Effect of Kefir Milk on Liver and Kidney Functions
3.5. Oxidative Stress Status in the Liver and Testis
3.5.1. Effect of Kefir Milk on Lipid Peroxidation and Thiol Group Content
3.5.2. Effect of Kefir Milk on Antioxidant Enzyme Activities
3.6. Effects of a High-Fat Diet and Kefir-Fermented Milk on Fatty Acid Composition and Enzyme Activity in Rat Adipose Tissue
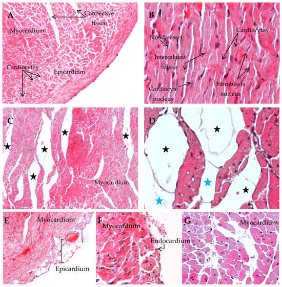
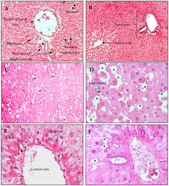
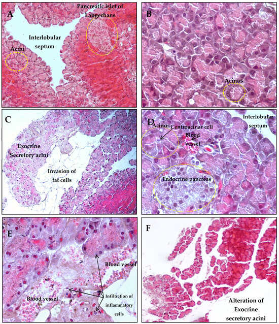
3.7. Histology Study
3.7.1. Structural Observation of Kefir Grains
3.7.2. Observation of the Tissue Structure of Internal Organs
3.8. Molecular Docking Studies
4. Discussion
5. Conclusions
Supplementary Materials
Author Contributions
Funding
Institutional Review Board Statement
Informed Consent Statement
Data Availability Statement
Conflicts of Interest
References
- Shekar, M.; Popkin, B. Obesity: Health and Economic Consequences of an Impending Global Challenge; World Bank Publications: Chicago, IL, USA, 2020; ISBN 1-4648-1492-9. [Google Scholar]
- Lobstein, T.; Brinsden, H.; Neveux, M. World Obesity Atlas 2022. 2022. Available online: https://www.worldobesity.org/resources/resource-library/world-obesity-atlas-2022 (accessed on 1 December 2024).
- Bhatia, A.; Smetana, S.; Heinz, V.; Hertzberg, J. Modeling Obesity in Complex Food Systems: Systematic Review. Front. Endocrinol. 2022, 13, 1027147. [Google Scholar] [CrossRef]
- OECD Publishing. Health at a Glance: Europe 2018: State of Health in the EU Cycle; Organization for Economic Co-operation and Development OECD: Paris, France, 2018; ISBN 92-64-30334-0. [Google Scholar]
- Litwin, M.; Kułaga, Z. Obesity, Metabolic Syndrome, and Primary Hypertension. Pediatr. Nephrol. 2021, 36, 825–837. [Google Scholar] [CrossRef] [PubMed]
- Arrari, F.; Jabri, M.-A.; Ayari, A.; Dakhli, N.; Ben Fayala, C.; Boubaker, S.; Sebai, H. Chromatographic Analyses of Spirulina (Arthrospira platensis) and Mechanism of Its Protective Effects against Experimental Obesity and Hepatic Steatosis in Rats. Medicina 2023, 59, 1823. [Google Scholar] [CrossRef] [PubMed]
- Bourrie, B.C.; Richard, C.; Willing, B.P. Kefir in the Prevention and Treatment of Obesity and Metabolic Disorders. Curr. Nutr. Rep. 2020, 9, 184–192. [Google Scholar] [CrossRef]
- Garofalo, C.; Ferrocino, I.; Reale, A.; Sabbatini, R.; Milanović, V.; Alkić-Subašić, M.; Boscaino, F.; Aquilanti, L.; Pasquini, M.; Trombetta, M.F. Study of Kefir Drinks Produced by Backslopping Method Using Kefir Grains from Bosnia and Herzegovina: Microbial Dynamics and Volatilome Profile. Food Res. Int. 2020, 137, 109369. [Google Scholar] [CrossRef]
- Azizi, N.F.; Kumar, M.R.; Yeap, S.K.; Abdullah, J.O.; Khalid, M.; Omar, A.R.; Osman, M.A.; Mortadza, S.A.S.; Alitheen, N.B. Kefir and Its Biological Activities. Foods 2021, 10, 1210. [Google Scholar] [CrossRef]
- Kesenkaş, H.; Gursoy, O.; Özbaş, H. Kefir. In Fermented Foods in Health and Disease Prevention; 2017; pp. 339–361. ISBN 978-0-12-802309-9. [Google Scholar]
- Correia, S.; Gonçalves, C.; Oliveira, J.M.; Radhouani, H.; Reis, R.L. Impact of Kefiran exopolysaccharide extraction on its applicability for tissue engineering and regenerative medicine. Pharmaceutics 2022, 14, 1713. [Google Scholar] [CrossRef]
- de Lima Barros, S.É.; dos Santos Rocha, C.; de Moura MS, B.; Barcelos, M.P.; da Silva Hage-Melim, L.I. Potential beneficial effects of kefir and its postbiotic, kefiran, on child food allergy. Food Funct. 2021, 12, 3770–3786. [Google Scholar] [CrossRef]
- Randazzo, W.; Corona, O.; Guarcello, R.; Francesca, N.; Germanà, M.A.; Erten, H.; Moschetti, G.; Settanni, L. Development of New Non-Dairy Beverages from Mediterranean Fruit Juices Fermented with Water Kefir Microorganisms. Food Microbiol. 2016, 54, 40–51. [Google Scholar] [CrossRef]
- Farag, M.A.; Jomaa, S.A.; Abd El-Wahed, A.R.; El-Seedi, H. The Many Faces of Kefir Fermented Dairy Products: Quality Characteristics, Flavor Chemistry, Nutritional Value, Health Benefits, and Safety. Nutrients 2020, 12, 346. [Google Scholar] [CrossRef]
- Apalowo, O.E.; Adegoye, G.A.; Mbogori, T.; Kandiah, J.; Obuotor, T.M. Nutritional Characteristics, Health Impact, and Applications of Kefir. Foods 2024, 13, 1026. [Google Scholar] [CrossRef] [PubMed]
- Hammami, I.; Ben Ali, R.; Nahdi, A.; Boussada, M.; Mahjoub, R.; Bibi, A.; El May, M.V. Kefir Milk Consumption Decreases Sperm Alterations Due to the High-fat Diet in Adult Male Rats. Andrologia 2022, 54, 1631–1642. [Google Scholar] [CrossRef] [PubMed]
- Liu, J.-R.; Lin, Y.-Y.; Chen, M.-J.; Chen, L.-J.; Lin, C.-W. Antioxidative Activities of Kefir. Asian-Australas. J. Anim. Sci. 2005, 18, 567–573. [Google Scholar] [CrossRef]
- Yilmaz-Ersan, L.; Ozcan, T.; Akpinar-Bayizit, A.; Sahin, S. Comparison of Antioxidant Capacity of Cow and Ewe Milk Kefirs. J. Dairy Sci. 2018, 101, 3788–3798. [Google Scholar] [CrossRef]
- Ellafi, A.; Farhat, R.; Snoussi, M.; Noumi, E.; Anouar, E.H.; Ben Ali, R.; El May, M.V.; Sayadi, S.; Aouadi, K.; Kadri, A. Phytochemical Profiling, Antimicrobial, Antibiofilm, Insecticidal, and Anti-Leishmanial Properties of Aqueous Extract from Juglans Regia L. Root Bark: In Vitro and in Silico Approaches. Int. J. Food Prop. 2023, 26, 1079–1097. [Google Scholar] [CrossRef]
- Smine, S.; Obry, A.; Kadri, S.; Hardouin, J.; Fréret, M.; Amri, M.; Aouani, E. Brain proteomic modifications associated to protective effect of grape extract in a murine model of obesity. Biochim. Biophys. Acta (BBA)-Proteins Proteom. 2017, 1865, 578–588. [Google Scholar] [CrossRef]
- Draper, H.H.; Hadley, M. Malondialdehyde Determination as Index of Lipid Peroxidation. In Methods in Enzymology; Elsevier: Amsterdam, The Netherlands, 1990; Volume 186, pp. 421–431. ISBN 0076-6879. [Google Scholar]
- Boyne, A.F.; Ellman, G.L. A Methodology for Analysis of Tissue Sulfhydryl Components. Anal. Biochem. 1972, 46, 639–653. [Google Scholar] [CrossRef]
- Misra, H.P.; Fridovich, I. The Role of Superoxide Anion in the Autoxidation of Epinephrine and a Simple Assay for Superoxide Dismutase. J. Biol. Chem. 1972, 247, 3170–3175. [Google Scholar] [CrossRef]
- Aebi, H. Catalase In Vitro. In Methods in Enzymology; Elsevier: Amsterdam, The Netherlands, 1984; Volume 105, pp. 121–126. ISBN 0076-6879. [Google Scholar]
- Flohé, L.; Günzler, W.A. Assays of Glutathione Peroxidase. In Methods in Enzymology; Elsevier: Amsterdam, The Netherlands, 1984; Volume 105, pp. 114–120. ISBN 0076-6879. [Google Scholar]
- Bradford, M.M. A Rapid and Sensitive Method for the Quantitation of Microgram Quantities of Protein Utilizing the Principle of Protein-Dye Binding. Anal. Biochem. 1976, 72, 248–254. [Google Scholar] [CrossRef]
- Turner, R.; Mukherjee, R.; Wallace, M.; Sanchez-Gurmaches, J. Quantitative Determination of De Novo Fatty Acid Synthesis in Brown Adipose Tissue Using Deuterium Oxide. JoVE (J. Vis. Exp.) 2023, 195, e64219. [Google Scholar] [CrossRef]
- Green, C.D.; Ozguden-Akkoc, C.G.; Wang, Y.; Jump, D.B.; Olson, L.K. Role of Fatty Acid Elongases in Determination of de Novo Synthesized Monounsaturated Fatty Acid Species [S]. J. Lipid Res. 2010, 51, 1871–1877. [Google Scholar] [CrossRef] [PubMed]
- Chen, Z.; Shi, J.; Yang, X.; Nan, B.; Liu, Y.; Wang, Z. Chemical and physical characteristics and antioxidant activities of the exopolysaccharide produced by Tibetan kefir grains during milk fermentation. Int. Dairy J. 2015, 43, 15–21. [Google Scholar] [CrossRef]
- Rosa, D.D.; Dias, M.M.S.; Grzeskowiak, Ł.M.; Reis, S.A.; Conceição, L.L.; Peluzio, M. Milk kefir: Nutritional, microbiological and health benefits. Nutr. Res. Rev. 2017, 30, 82–96. [Google Scholar] [CrossRef] [PubMed]
- Trott, O.; Olson, A.J. AutoDock Vina: Improving the speed and accuracy of docking with a new scoring function, efficient optimization, and multithreading. J. Comput. Chem. 2010, 31, 455–461. [Google Scholar] [CrossRef]
- Biovia, D.S. Discovery Studio Visualizer 2020, Release v20 1.0.19295; Dassault Systemes: San Diego, CA, USA, 2016. [Google Scholar]
- Grishina, A.; Kulikova, I.; Alieva, L.; Dodson, A.; Rowland, I.; Jin, J. Antigenotoxic Effect of Kefir and Ayran Supernatants on Fecal Water-Induced DNA Damage in Human Colon Cells. Nutr. Cancer 2011, 63, 73–79. [Google Scholar] [CrossRef]
- Erdogan, F.S.; Ozarslan, S.; Guzel-Seydim, Z.B.; Kök Taş, T. The Effect of Kefir Produced from Natural Kefir Grains on the Intestinal Microbial Populations and Antioxidant Capacities of BALB/c Mice. Food Res. Int. 2019, 115, 408–413. [Google Scholar] [CrossRef]
- Tung, Y.-T.; Chen, H.-L.; Wu, H.-S.; Ho, M.-H.; Chong, K.-Y.; Chen, C.-M. Kefir Peptides Prevent Hyperlipidemia and Obesity in High-Fat-Diet-Induced Obese Rats via Lipid Metabolism Modulation. Mol. Nutr. Food Res. 2018, 62, 1700505. [Google Scholar] [CrossRef]
- Bakir, B.; Sari, E.K.; Aydin, B.D.; Yildiz, S.E. Immunohistochemical Examination of Effects of Kefir, Koumiss and Commercial Probiotic Capsules on Platelet Derived Growth Factor-c and Platelet Derived Growth Factor Receptor-Alpha Expression in Mouse Liver and Kidney. Biotech. Histochem. 2015, 90, 190–196. [Google Scholar] [CrossRef]
- Ben Taheur, F.; Mansour, C.; Mechri, S.; Skhiri, S.S.; Jaouadi, B.; Mzoughi, R.; Chaieb, K.; Zouari, N. Does Probiotic Kefir Reduce Dyslipidemia, Hematological Disorders and Oxidative Stress Induced by Zearalenone Toxicity in Wistar Rats? Toxicon X 2022, 14, 100121. [Google Scholar] [CrossRef]
- Howard, B.V.; Ruotolo, G.; Robbins, D.C. Obesity and Dyslipidemia. Endocrinol. Metab. Clin. N. Am. 2003, 32, 855–867. [Google Scholar] [CrossRef]
- Arrari, F.; Jabri, M.-A.; Ayari, A.; Dakhli, N.; Ben Fayala, C.; Boubaker, S.; Sebai, H. Amino Acid HPLC-FLD Analysis of Spirulina and Its Protective Mechanism against the Combination of Obesity and Colitis in Wistar Rats. Heliyon 2024, 10, e30103. [Google Scholar] [CrossRef] [PubMed]
- Bhatti, M.S.; Akbri, M.Z.; Shakoor, M. Lipid Profile in Obesity. J. Ayub Med. Coll. Abbottabad 2001, 13, 31–33. [Google Scholar] [PubMed]
- Ooi, G.J.; Meikle, P.J.; Huynh, K.; Earnest, A.; Roberts, S.K.; Kemp, W.; Parker, B.L.; Brown, W.; Burton, P.; Watt, M.J. Hepatic Lipidomic Remodeling in Severe Obesity Manifests with Steatosis and Does Not Evolve with Non-Alcoholic Steatohepatitis. J. Hepatol. 2021, 75, 524–535. [Google Scholar] [CrossRef] [PubMed]
- Maeda, H.; Zhu, X.; Omura, K.; Suzuki, S.; Kitamura, S. Effects of an Exopolysaccharide (Kefiran) on Lipids, Blood Pressure, Blood Glucose, and Constipation. Biofactors 2004, 22, 197–200. [Google Scholar] [CrossRef] [PubMed]
- Liu, J.-R.; Wang, S.-Y.; Chen, M.-J.; Chen, H.-L.; Yueh, P.-Y.; Lin, C.-W. Hypocholesterolemic Effects of Milk-Kefir and Soyamilk-Kefir in Cholesterol-Fed Hamsters. Br. J. Nutr. 2006, 95, 939–946. [Google Scholar] [CrossRef]
- Li, H.; Liu, F.; Lu, J.; Shi, J.; Guan, J.; Yan, F.; Li, B.; Huo, G. Probiotic Mixture of Lactobacillus Plantarum Strains Improves Lipid Metabolism and Gut Microbiota Structure in High Fat Diet-Fed Mice. Front. Microbiol. 2020, 11, 512. [Google Scholar] [CrossRef]
- Jalili, M.; Nazari, M.; Magkos, F. Fermented Foods in the Management of Obesity: Mechanisms of Action and Future Challenges. Int. J. Mol. Sci. 2023, 24, 2665. [Google Scholar] [CrossRef]
- Ostadrahimi, A.; Taghizadeh, A.; Mobasseri, M.; Farrin, N.; Payahoo, L.; Beyramalipoor Gheshlaghi, Z.; Vahedjabbari, M. Effect of Probiotic Fermented Milk (Kefir) on Glycemic Control and Lipid Profile in Type 2 Diabetic Patients: A Randomized Double-Blind Placebo-Controlled Clinical Trial. Iran. J. Public Health 2015, 44, 228–237. [Google Scholar]
- Panteghini, M.; Falsetti, F.; Chiari, E.; Malchiodi, A. Determination of Aspartate Aminotransferase Isoenzymes in Hepatic Diseases--Preliminary Findings. Clin. Chim. Acta 1983, 128, 133–140. [Google Scholar] [CrossRef]
- Jalili, V.; Poorahmadi, Z.; Hasanpour Ardekanizadeh, N.; Gholamalizadeh, M.; Ajami, M.; Houshiarrad, A.; Hajipour, A.; Shafie, F.; Alizadeh, A.; Mokhtari, Z.; et al. The Association between Obesity with Serum Levels of Liver Enzymes, Alanine Aminotransferase, Aspartate Aminotransferase, Alkaline Phosphatase and Gamma-Glutamyl Transferase in Adult Women. Endocrinol. Diabetes Metab. 2022, 5, e367. [Google Scholar] [CrossRef]
- Wahabi, S.; Rtibi, K.; Atouani, A.; Sebai, H. Anti-Obesity Actions of Two Separated Aqueous Extracts From Arbutus (Arbutus unedo) and Hawthorn (Crataegus monogyna) Fruits Against High-Fat Diet in Rats via Potent Antioxidant Target. Dose Response 2023, 21, 15593258231179904. [Google Scholar] [CrossRef] [PubMed]
- Spivak, W. Bilirubin Metabolism. Pediatr. Ann. 1985, 14, 451–457. [Google Scholar] [CrossRef] [PubMed]
- El Golli-Bennour, E.; Timoumi, R.; Annaibi, E.; Mokni, M.; Omezzine, A.; Bacha, H.; Abid-Essefi, S. Protective Effects of Kefir against Deltamethrin-Induced Hepatotoxicity in Rats. Environ. Sci. Pollut. Res. Int. 2019, 26, 18856–18865. [Google Scholar] [CrossRef] [PubMed]
- Iseki, K.; Ikemiya, Y.; Kinjo, K.; Inoue, T.; Iseki, C.; Takishita, S. Body Mass Index and the Risk of Development of End-Stage Renal Disease in a Screened Cohort. Kidney Int. 2004, 65, 1870–1876. [Google Scholar] [CrossRef]
- Oliveira, C.; Pereira, P.M.d.L.; Soares, I.T.; Monteiro, M.G.; Bastos, M.G.; Cândido, A.P.C. Cardiovascular Risk Factors in Patients with Chronic Kidney Disease Under Conservative Treatment. Int. J. Cardiovasc. Sci. 2020, 34, 170–178. [Google Scholar] [CrossRef]
- Rodrigo, R.; Miranda, A.; Vergara, L. Modulation of Endogenous Antioxidant System by Wine Polyphenols in Human Disease. Clin. Chim. Acta 2011, 412, 410–424. [Google Scholar] [CrossRef]
- Brglez Mojzer, E.; Knez Hrnčič, M.; Škerget, M.; Knez, Ž.; Bren, U. Polyphenols: Extraction Methods, Antioxidative Action, Bioavailability and Anticarcinogenic Effects. Molecules 2016, 21, 901. [Google Scholar] [CrossRef]
- Güven, A.; Güven, A.; Gülmez, M. The Effect of Kefir on the Activities of GSH-Px, GST, CAT, GSH and LPO Levels in Carbon Tetrachloride-Induced Mice Tissues. J. Vet. Med. Ser. B 2003, 50, 412–416. [Google Scholar] [CrossRef]
- Ozcan, A.; Kaya, N.; Atakisi, O.; Karapehlivan, M.; Atakisi, E.; Cenesiz, S. Effect of Kefir on the Oxidative Stress Due to Lead in Rats. J. Appl. Anim. Res. 2009, 35, 91–93. [Google Scholar] [CrossRef]
- Geisler, C.E.; Renquist, B.J. Hepatic Lipid Accumulation: Cause and Consequence of Dysregulated Glucoregulatory Hormones. J. Endocrinol. 2017, 234, R1–R21. [Google Scholar] [CrossRef]
- West, A. The Liver. An Atlas and Text of Ultrastructural Pathology. By M. J. Phillips, S. Poucell, J. Patterson and P. Valencia, 585 pp. New York: Raven Press, 1987. $95.00. Hepatology 1989, 9, 659. [Google Scholar] [CrossRef]
- Goodman, Z.D. The Impact of Obesity on Liver Histology. Clin. Liver Dis. 2014, 18, 33–40. [Google Scholar] [CrossRef] [PubMed]
- Raclot, T.; Groscolas, R. Differential Mobilization of White Adipose Tissue Fatty Acids According to Chain Length, Unsaturation, and Positional Isomerism. J. Lipid Res. 1993, 34, 1515–1526. [Google Scholar] [CrossRef] [PubMed]
- Hill, J.O.; Lin, D.; Yakubu, F.; Peters, J.C. Development of Dietary Obesity in Rats: Influence of Amount and Composition of Dietary Fat. Int. J. Obes. Relat. Metab. Disord. 1992, 16, 321–333. [Google Scholar]
- Hill, J.H.; Solt, C.; Foster, M.T. Obesity Associated Disease Risk: The Role of Inherent Differences and Location of Adipose Depots. Horm. Mol. Biol. Clin. Investig. 2018, 33, 20180012. [Google Scholar] [CrossRef]
- Koenen, M.; Hill, M.A.; Cohen, P.; Sowers, J.R. Obesity, Adipose Tissue and Vascular Dysfunction. Circ. Res. 2021, 128, 951–968. [Google Scholar] [CrossRef]
- Ahn, M.Y.; Seo, Y.J.; Ji, S.D.; Han, J.W.; Hwang, J.S.; Yun, E.Y. Fatty Acid Composition of Adipose Tissues in Obese Mice and SD Rats Fed with Isaria Sinclairii Powder. Toxicol. Res. 2010, 26, 185–192. [Google Scholar] [CrossRef]
- Yew Tan, C.; Virtue, S.; Murfitt, S.; Roberts, L.D.; Phua, Y.H.; Dale, M.; Griffin, J.L.; Tinahones, F.; Scherer, P.E.; Vidal-Puig, A. Adipose Tissue Fatty Acid Chain Length and Mono-Unsaturation Increases with Obesity and Insulin Resistance. Sci. Rep. 2015, 5, 18366. [Google Scholar] [CrossRef]
- Demirci-Cekic, S.; Özkan, G.; Avan, A.N.; Uzunboy, S.; Çapanoğlu, E.; Apak, R. Biomarkers of oxidative stress and antioxidant defense. J. Pharm. Biomed. Anal. 2022, 209, 114477. [Google Scholar] [CrossRef]
- Tarafdar, A.; Pula, G. The Role of NADPH Oxidases and Oxidative Stress in Neurodegenerative Disorders. Int. J. Mol. Sci. 2018, 19, 3824. [Google Scholar] [CrossRef]
- Hejazi, I.I.; Khanam, R.; Mehdi, S.H.; Bhat, A.R.; Rizvi, M.M.A.; Islam, A.; Thakur, S.C.; Athar, F. New insights into the antioxidant and apoptotic potential of Glycyrrhiza glabra L. during hydrogen peroxide mediated oxidative stress: An in vitro and in silico evaluation. Biomed. Pharmacother. 2017, 94, 265–279. [Google Scholar] [CrossRef] [PubMed]
- Rana, S.; Dixit, S.; Mittal, A. In Silico Target Identification and Validation for Antioxidant and Anti-inflammatory Activity of Selective Phytochemicals. Braz. Arch. Biol. Technol. 2019, 62, e19190048. [Google Scholar] [CrossRef]
- Farouk, A.; Mohsen, M.; Ali, H.; Shaaban, H.; Albaridi, N. Antioxidant Activity and Molecular Docking Study of Volatile Constituents from Different Aromatic Lamiaceous Plants Cultivated in Madinah Monawara, Saudi Arabia. Molecules 2021, 26, 4145. [Google Scholar] [CrossRef] [PubMed]
- Abdelmonaem, A.M.; Abdou, Z.A.; Sror, H.A.; Aboul Fotouh, M.M. L-Ascorbic Acid Improves Fruit Setting and Activates Antioxidant Enzymes in Tomato Plants (Solanum lycopersicum L.) Grown Under Heat Stress Conditions. Arab Univ. J. Agric. Sci. 2024, 32, 7–21. [Google Scholar] [CrossRef]
- Zou, Y.; Wang, Y.-N.; Ma, H.; He, Z.-H.; Tang, Y.; Guo, L.; Liu, Y.; Ding, M.; Qian, S.W.; Tang, Q.Q. SCD1 Promotes Lipid Mobilization in Subcutaneous White Adipose Tissue. J. Lipid Res. 2020, 61, 1589–1604. [Google Scholar] [CrossRef]
- Fujimoto, T.; Parton, R.G. Not Just Fat: The Structure and Function of the Lipid Droplet. Cold Spring Harb. Perspect. Biol. 2011, 3, a004838. [Google Scholar] [CrossRef]












| Proteins (mg/mL) | TPC (mg GAE/100 mL of Milk) | TAC Methods | |||
|---|---|---|---|---|---|
| DPPH (mg/100 mL) | ABTS (mg/100 mL) | FRAP (mg/100 mL) | |||
| Commercial milk | 30.23 ± 1.30 | 65 ± 1.35 | 3.2 ± 0.05 | 15 ± 0.36 | 1.29 ± 0.02 |
| Kefir milk | 28.04 ± 1.98 | 97.05 ± 1.06 | 4.2 ± 0.03 | 25 ± 0.42 | 0.24 ± 0.01 |
| C | KM | HFD | KM/HFD | |
|---|---|---|---|---|
| Initial body weight (g) | 188.33 ± 7.63 | 183 ± 5.16 | 186.66 ± 10.99 | 186.66 ± 4.08 |
| Final body weight (g) | 288.33 ± 6.83 | 265 ± 7.74 *,# | 406.70 ± 17.43 * | 318 ± 24 # |
| Fat weight (g/100 g bw) | 2.58 ± 0.50 | 2.29 ± 0.26 # | 4.85 ± 0.47 ** | 2.82 ± 0.45 # |
| Liver relative weight (g/100 g bw) | 3.72 ± 0.43 | 3.67 ± 0.31 | 3.93 ± 0.39 | 3.52 ± 0.24 |
| Groups | Total Cholesterol (TC) (g/L) | Triglycerides (TG) (g/L) | Glucose (g/L) | Total Proteins (g/L) |
|---|---|---|---|---|
| C | 7.30 ± 0.71 | 9.50 ± 0.49 | 1.64 ± 0.69 | 49.21 ± 6.11 |
| KM | 6.28 ± 0.68 *,# | 7.44 ± 0.66 *,# | 1.84 ± 0.52 | 48.83 ± 5.52 # |
| HFD | 9.22 ± 0.49 ** | 11.05 ± 0.46 ** | 1.79 ± 0.84 | 36.27 ± 3.64 ** |
| KM/HFD | 7.15 ± 0.47 # | 9.07 ± 0.51 # | 1.49 ± 0.81 | 42.16 ± 2.59 # |
| Groups | ALT (UI/L) | AST (UI/L) | LDH (UI/L) | Bilirubin Total (µmol/L) | Creatinine (µmol/L) |
|---|---|---|---|---|---|
| C | 97.09 ± 8.67 | 146.70 ± 25.74 | 489.66 ± 105.32 | 2.06 ± 0.41 | 60.00 ± 8.94 |
| KM | 91.54 ± 10.09 # | 149.95 ± 12.48 # | 482 ± 69.57 # | 1.92 ± 0.33 | 61.66 ± 12.50 |
| HFD | 119.66 ± 10.66 * | 182.74 ± 19.36 * | 661.33 ± 105.57 * | 2.15 ± 0.58 | 73.33 ± 10.60 * |
| KM/HFD | 98.37 ± 9.58 # | 147.46 ± 34.19 # | 471.50 ± 79.15 # | 2.07 ± 0.36 | 65 ± 16.43 |
| Intermolecular Interractions | |||
|---|---|---|---|
| Protein Complexes | Docking Energy(kcal/mol) | Conventional Hydrogen Bonds | Interacting Amino Acid Residues |
| SOD | −5.1 | 7 | PRO74, LEU84, 42, 126, GLY85, ASN 86, ILE99, ASP96, THR88, VAL97, 87, ALA95 |
| CAT | −5.4 | 4 | ASP140, GLY141, ASN142, 338, PRO341, 340, SER337, MET339, ALA345, GLU344, ILE343, GLY342, GLU420, ALA418 |
| GPX | −5.3 | 6 | GLY88, LEU87, PRO186, ARG84, GLU91, ILE187, ASN85, LYS168, GLU185, 184, PRO183, 186 |
| NADPH oxidase | −6.4 | 10 | THR9, CYS8, GLY7, 12, TYR31, MET33, GLU32, THR112, 113, HIS79, VAL6,81, GLN80, LEU251, ALA11, ASN248, LYS134, SER115, GLY114, ALA303, ASP282 |
Disclaimer/Publisher’s Note: The statements, opinions and data contained in all publications are solely those of the individual author(s) and contributor(s) and not of MDPI and/or the editor(s). MDPI and/or the editor(s) disclaim responsibility for any injury to people or property resulting from any ideas, methods, instructions or products referred to in the content. |
© 2025 by the authors. Licensee MDPI, Basel, Switzerland. This article is an open access article distributed under the terms and conditions of the Creative Commons Attribution (CC BY) license (https://creativecommons.org/licenses/by/4.0/).
Share and Cite
Hammami, I.; Ben Younes, S.; Ben Ali, R.; Arrari, F.; Nahdi, A.; El May, M.V.; Baati, R.; López-Maldonado, E.A.; Mhamdi, A. Hepatoprotective, Antioxidant, and Anti-Hyperlipidemic Effects of Kefir Milk in High-Fat Diet-Induced Obesity: Insights from Gas Chromatography-Mass Spectrometry Profiling, Molecular Docking of Kefiran, and Liver Function Restoration. Antioxidants 2025, 14, 1500. https://doi.org/10.3390/antiox14121500
Hammami I, Ben Younes S, Ben Ali R, Arrari F, Nahdi A, El May MV, Baati R, López-Maldonado EA, Mhamdi A. Hepatoprotective, Antioxidant, and Anti-Hyperlipidemic Effects of Kefir Milk in High-Fat Diet-Induced Obesity: Insights from Gas Chromatography-Mass Spectrometry Profiling, Molecular Docking of Kefiran, and Liver Function Restoration. Antioxidants. 2025; 14(12):1500. https://doi.org/10.3390/antiox14121500
Chicago/Turabian StyleHammami, Imen, Sonia Ben Younes, Ridha Ben Ali, Fatma Arrari, Afef Nahdi, Michèle Véronique El May, Rym Baati, Eduardo Alberto López-Maldonado, and Abada Mhamdi. 2025. "Hepatoprotective, Antioxidant, and Anti-Hyperlipidemic Effects of Kefir Milk in High-Fat Diet-Induced Obesity: Insights from Gas Chromatography-Mass Spectrometry Profiling, Molecular Docking of Kefiran, and Liver Function Restoration" Antioxidants 14, no. 12: 1500. https://doi.org/10.3390/antiox14121500
APA StyleHammami, I., Ben Younes, S., Ben Ali, R., Arrari, F., Nahdi, A., El May, M. V., Baati, R., López-Maldonado, E. A., & Mhamdi, A. (2025). Hepatoprotective, Antioxidant, and Anti-Hyperlipidemic Effects of Kefir Milk in High-Fat Diet-Induced Obesity: Insights from Gas Chromatography-Mass Spectrometry Profiling, Molecular Docking of Kefiran, and Liver Function Restoration. Antioxidants, 14(12), 1500. https://doi.org/10.3390/antiox14121500

