In Vivo Studies on the Interaction Between Orally Administered Nitrite and Omeprazole: Beyond Proton-Catalyzed S-Nitrosation
Abstract
1. Introduction
2. Materials and Methods
2.1. Animals
2.2. Experimental Procedures and Materials
2.3. Measurement of Gastric pH
2.4. Tissue Harvesting
2.5. Measurement of Nitrite, Nitrosylated Species (RxNO), and S-Nitrosothiol (RSNO) Concentrations
2.6. Measurement of Nitrate Concentrations
2.7. Measurement of Non-Protein Thiol Concentrations
2.8. Assessment of Protein Nitrosation by Resin-Assisted Capture (SNORAC) Method
2.9. mRNA Extraction and Real-Time Quantitative Polymerase Chain Reaction (RT-qPCR)
2.10. Assessment of Oxidative Stress and Antioxidant Parameters
2.11. Assessment of Biochemical Markers of Liver Toxicity
2.12. Statistical Analysis
3. Results
3.1. Changes in Plasma and Tissue Concentrations of NO Metabolites Induced by Oral Nitrite Treatment, and the Effects of Omeprazole
3.2. Nitrite Treatment Increased NPT Concentrations in the Liver, but Not in Other Tissues
3.3. Omeprazole Treatment Increases Gastric pH and Prevents Nitrite-Induced RSNO Formation and S-Nitrosylation of Hepatic Proteins
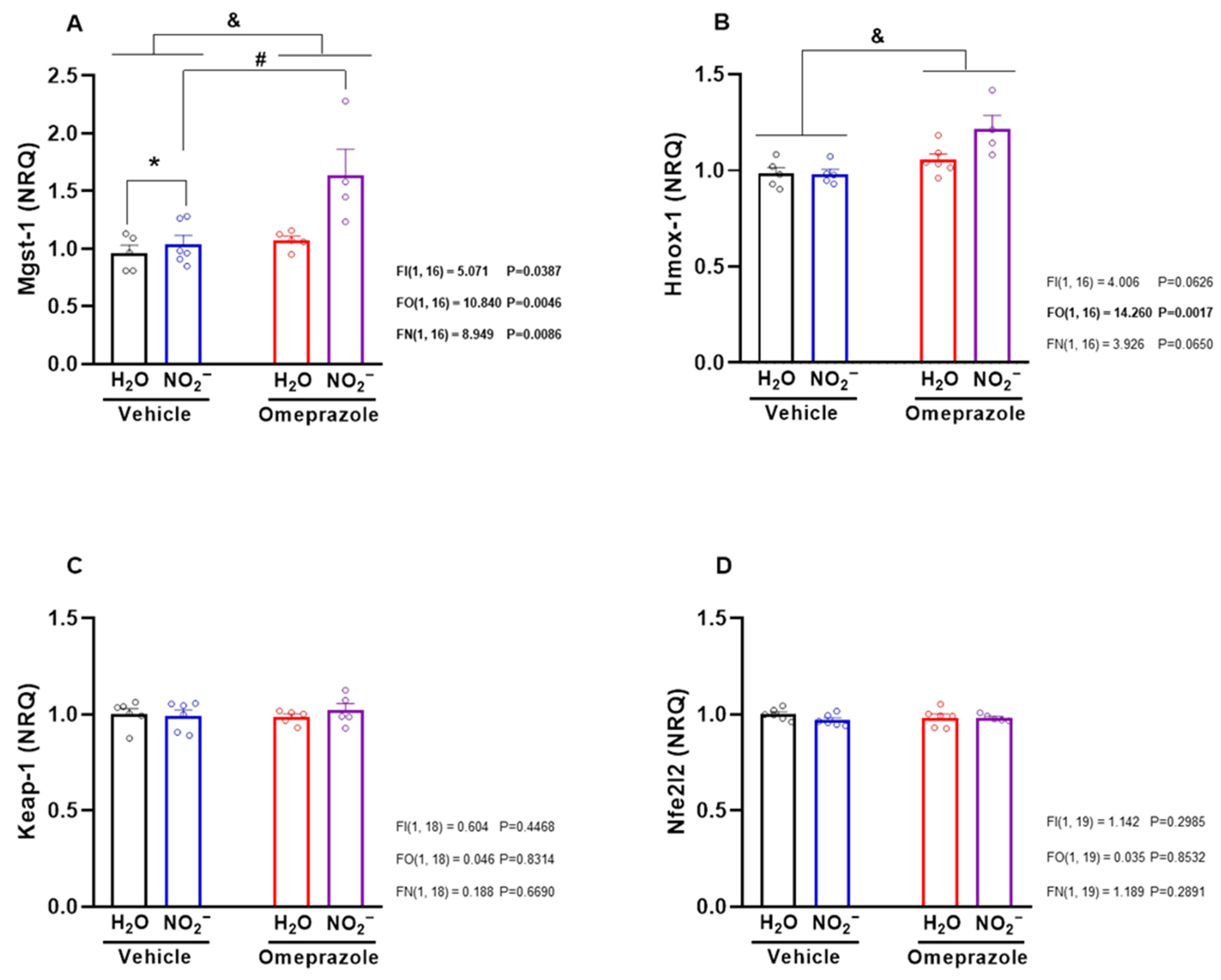
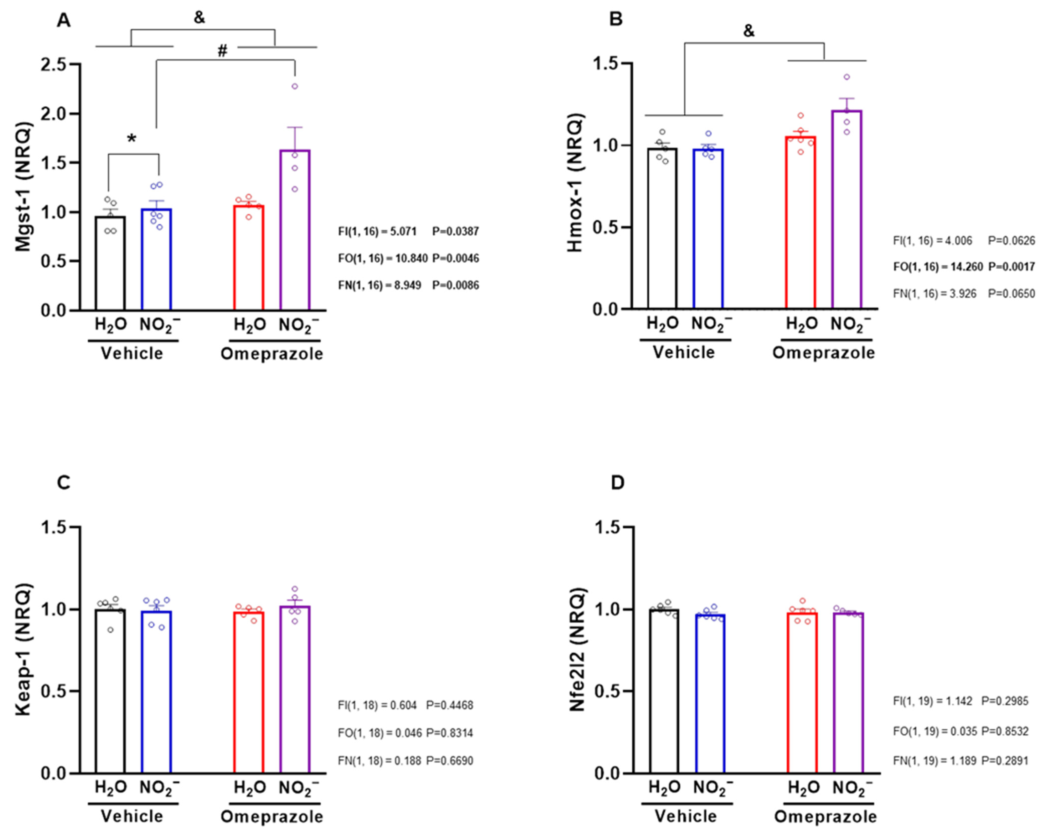
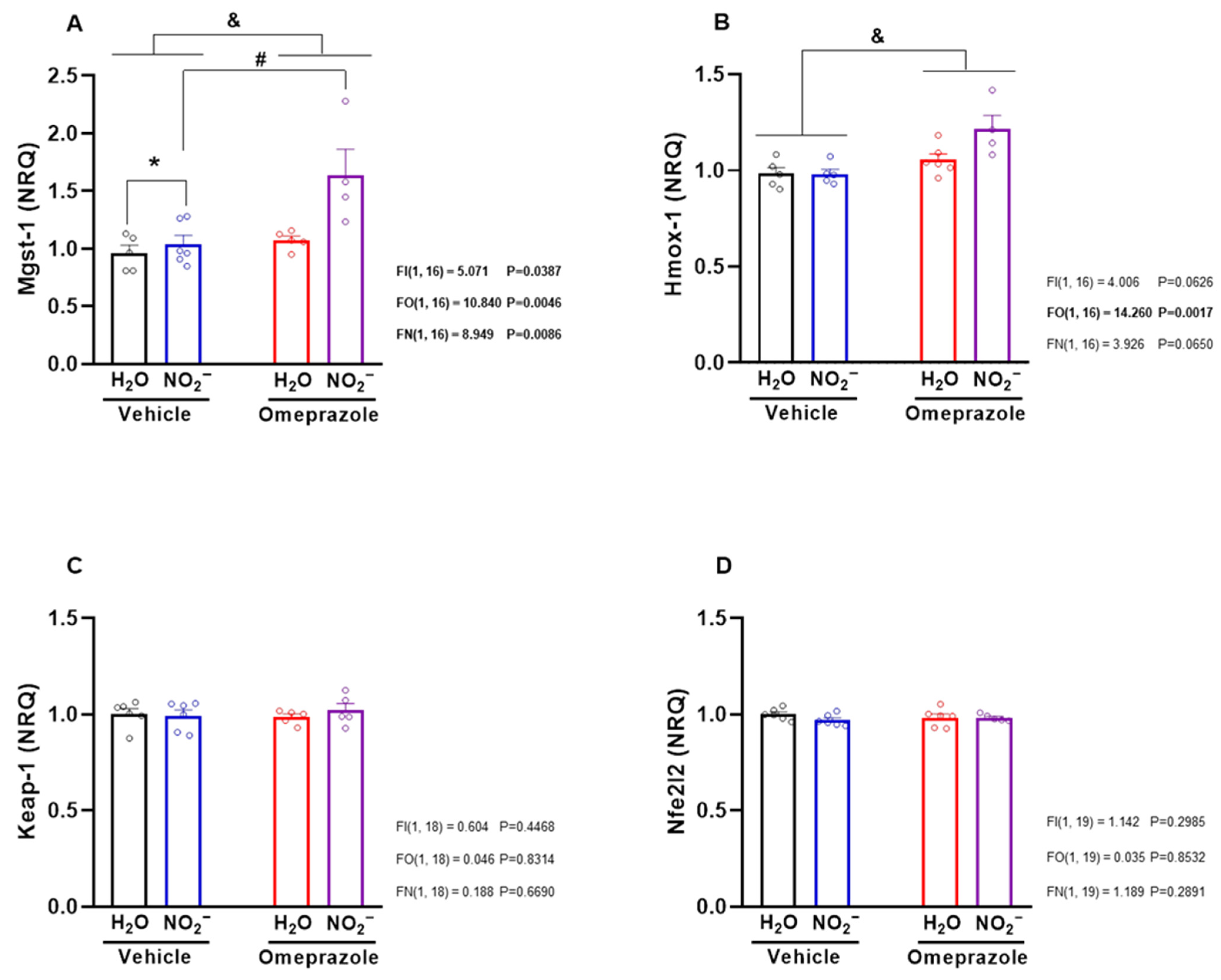
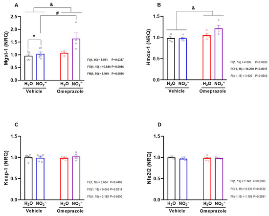
3.4. Effects of Sodium Nitrite and Omeprazole Treatments on Liver mRNA Expression of Antioxidant Defense-Related Genes
3.5. Effects of Sodium Nitrite and Omeprazole Treatments on Liver Markers of Oxidative Stress
3.6. Effects of Sodium Nitrite and Omeprazole Treatments on Liver Markers of Toxicity
4. Discussion
5. Conclusions
Author Contributions
Funding
Institutional Review Board Statement
Informed Consent Statement
Data Availability Statement
Conflicts of Interest
References
- Lundberg, J.O.; Weitzberg, E. Nitric oxide signaling in health and disease. Cell 2022, 185, 2853–2878. [Google Scholar] [CrossRef] [PubMed]
- Kapil, V.; Khambata, R.S.; Jones, D.A.; Rathod, K.; Primus, C.; Massimo, G.; Fukuto, J.M.; Ahluwalia, A. The Noncanonical Pathway for In Vivo Nitric Oxide Generation: The Nitrate-Nitrite-Nitric Oxide Pathway. Pharmacol. Rev. 2020, 72, 692–766. [Google Scholar] [CrossRef]
- Kapil, V.; Weitzberg, E.; Lundberg, J.O.; Ahluwalia, A. Clinical evidence demonstrating the utility of inorganic nitrate in cardiovascular health. Nitric Oxide 2014, 38, 45–57. [Google Scholar] [CrossRef]
- Amdahl, M.B.; DeMartino, A.W.; Gladwin, M.T. Inorganic nitrite bioactivation and role in physiological signaling and therapeutics. Biol. Chem. 2019, 401, 201–211. [Google Scholar] [CrossRef]
- DeMartino, A.W.; Kim-Shapiro, D.B.; Patel, R.P.; Gladwin, M.T. Nitrite and nitrate chemical biology and signalling. Br. J. Pharmacol. 2019, 176, 228–245. [Google Scholar] [CrossRef] [PubMed]
- Zweier, J.L.; Li, H.; Samouilov, A.; Liu, X. Mechanisms of nitrite reduction to nitric oxide in the heart and vessel wall. Nitric Oxide Biol. Chem. Off. J. Nitric Oxide Soc. 2010, 22, 83–90. [Google Scholar] [CrossRef] [PubMed]
- Cosby, K.; Partovi, K.S.; Crawford, J.H.; Patel, R.P.; Reiter, C.D.; Martyr, S.; Yang, B.K.; Waclawiw, M.A.; Zalos, G.; Xu, X.; et al. Nitrite reduction to nitric oxide by deoxyhemoglobin vasodilates the human circulation. Nat. Med. 2003, 9, 1498–1505. [Google Scholar] [CrossRef]
- Amaral, J.H.; Ferreira, G.C.; Pinheiro, L.C.; Montenegro, M.F.; Tanus-Santos, J.E. Consistent antioxidant and antihypertensive effects of oral sodium nitrite in DOCA-salt hypertension. Redox Biol. 2015, 5, 340–346. [Google Scholar] [CrossRef]
- Williams, X.M.; Bossert, A.T.; Devalance, E.; Lewis, S.E.; Gunther, M.R.; Kelley, E.E. Indirect Antioxidant Effects of the Nitrite Anion: Focus on Xanthine Oxidase. Adv. Redox Res. 2023, 7, 100058. [Google Scholar] [CrossRef]
- Singh, M.; Arya, A.; Kumar, R.; Bhargava, K.; Sethy, N.K. Dietary nitrite attenuates oxidative stress and activates antioxidant genes in rat heart during hypobaric hypoxia. Nitric Oxide 2012, 26, 61–73. [Google Scholar] [CrossRef]
- Sui, Y.; Tian, R.; Lu, N. NADPH oxidase is a primary target for antioxidant effects by inorganic nitrite in lipopolysaccharide-induced oxidative stress in mice and in macrophage cells. Nitric Oxide 2019, 89, 46–53. [Google Scholar] [CrossRef]
- Bryan, N.S.; Rassaf, T.; Maloney, R.E.; Rodriguez, C.M.; Saijo, F.; Rodriguez, J.R.; Feelisch, M. Cellular targets and mechanisms of nitros(yl)ation: An insight into their nature and kinetics in vivo. Proc. Natl. Acad. Sci. USA 2004, 101, 4308–4313. [Google Scholar] [CrossRef]
- Piknova, B.; Schechter, A.N.; Park, J.W.; Vanhatalo, A.; Jones, A.M. Skeletal Muscle Nitrate as a Regulator of Systemic Nitric Oxide Homeostasis. Exerc. Sport. Sci. Rev. 2022, 50, 2–13. [Google Scholar] [CrossRef] [PubMed]
- Wylie, L.J.; Park, J.W.; Vanhatalo, A.; Kadach, S.; Black, M.I.; Stoyanov, Z.; Schechter, A.N.; Jones, A.M.; Piknova, B. Human skeletal muscle nitrate store: Influence of dietary nitrate supplementation and exercise. J. Physiol. 2019, 597, 5565–5576. [Google Scholar] [CrossRef] [PubMed]
- Piknova, B.; Park, J.W.; Tunau-Spencer, K.J.; Jenkins, A.; Hellinga, D.G.; Walter, P.J.; Cai, H.; Schechter, A.N. Skeletal Muscle, Skin, and Bone as Three Major Nitrate Reservoirs in Mammals: Chemiluminescence and (15)N-Tracer Studies in Yorkshire Pigs. Nutrients 2024, 16, 2674. [Google Scholar] [CrossRef]
- Piknova, B.; Woessner, M.N.; de Zevallos, J.O.; Kraus, W.E.; VanBruggen, M.D.; Schechter, A.N.; Allen, J.D. Human skeletal muscle nitrate and nitrite in individuals with peripheral arterial disease: Effect of inorganic nitrate supplementation and exercise. Physiol. Rep. 2022, 10, e15531. [Google Scholar] [CrossRef]
- Pinheiro, L.C.; Ferreira, G.C.; Damacena de Angelis, C.; Toledo, J.C., Jr.; Tanus-Santos, J.E. A comprehensive time course study of tissue nitric oxide metabolites concentrations after oral nitrite administration. Free Radic. Biol. Med. 2020, 152, 43–51. [Google Scholar] [CrossRef]
- Lima-Silva, A.K.; Rebelo, M.A.; Barros, A.C.; Conde-Tella, S.O.; Tanus-Santos, J.E. The Skeletal Muscle, the Heart, and the Liver Are the Major Organs of the Accumulation of Nitric Oxide Metabolites after Oral Nitrite Treatment. Antioxidants 2024, 13, 255. [Google Scholar] [CrossRef] [PubMed]
- Winterbourn, C.C. Reconciling the chemistry and biology of reactive oxygen species. Nat. Chem. Biol. 2008, 4, 278–286. [Google Scholar] [CrossRef]
- Gaucher, C.; Boudier, A.; Bonetti, J.; Clarot, I.; Leroy, P.; Parent, M. Glutathione: Antioxidant Properties Dedicated to Nanotechnologies. Antioxidants 2018, 7, 62. [Google Scholar] [CrossRef]
- Meister, A.; Anderson, M.E. Glutathione. Annu. Rev. Biochem. 1983, 52, 711–760. [Google Scholar] [CrossRef]
- Silva-Cunha, M.; Lacchini, R.; Tanus-Santos, J.E. Facilitating Nitrite-Derived S-Nitrosothiol Formation in the Upper Gastrointestinal Tract in the Therapy of Cardiovascular Diseases. Antioxidants 2024, 13, 691. [Google Scholar] [CrossRef]
- Montenegro, M.F.; Sundqvist, M.L.; Larsen, F.J.; Zhuge, Z.; Carlstrom, M.; Weitzberg, E.; Lundberg, J.O. Blood Pressure-Lowering Effect of Orally Ingested Nitrite Is Abolished by a Proton Pump Inhibitor. Hypertension 2017, 69, 23–31. [Google Scholar] [CrossRef] [PubMed]
- Pinheiro, L.C.; Montenegro, M.F.; Amaral, J.H.; Ferreira, G.C.; Oliveira, A.M.; Tanus-Santos, J.E. Increase in gastric pH reduces hypotensive effect of oral sodium nitrite in rats. Free Radic. Biol. Med. 2012, 53, 701–709. [Google Scholar] [CrossRef]
- Sanches-Lopes, J.M.; Ferreira, G.C.; Pinheiro, L.C.; Kemp, R.; Tanus-Santos, J.E. Consistent gastric pH-dependent effects of suppressors of gastric acid secretion on the antihypertensive responses to oral nitrite. Biochem. Pharmacol. 2020, 177, 113940. [Google Scholar] [CrossRef]
- Pinheiro, L.C.; Amaral, J.H.; Ferreira, G.C.; Portella, R.L.; Ceron, C.S.; Montenegro, M.F.; Toledo, J.C., Jr.; Tanus-Santos, J.E. Gastric S-nitrosothiol formation drives the antihypertensive effects of oral sodium nitrite and nitrate in a rat model of renovascular hypertension. Free Radic. Biol. Med. 2015, 87, 252–262. [Google Scholar] [CrossRef]
- Koch, T.R.; Yuan, L.X.; Petro, A.; Opara, E.C. Effects of omeprazole and ascorbate on gastric emptying and antioxidant levels in a mouse model of glutathione depletion. Dig. Dis. Sci. 2002, 47, 2486–2492. [Google Scholar] [CrossRef]
- Costa, C.M.; dos Santos, R.C.C.; Lima, E.S. A simple automated procedure for thiol measurement in human serum samples. J. Bras. Patol. Med. Lab. 2006, 42, 345–350. [Google Scholar] [CrossRef]
- Lapenna, D.; de Gioia, S.; Ciofani, G.; Festi, D.; Cuccurullo, F. Antioxidant properties of omeprazole. FEBS Lett. 1996, 382, 189–192. [Google Scholar] [CrossRef] [PubMed]
- Joha, Z.; Kalkan, O.; Yulak, F.; Ergul, M.; Gedikli, M.A. Esomeprazole Potentiates the Cytotoxic Effects of Cisplatin in Gastric Carcinoma Cells. J. Biochem. Mol. Toxicol. 2025, 39, e70441. [Google Scholar] [CrossRef] [PubMed]
- Kohler, J.E.; Blass, A.L.; Liu, J.; Tai, K.; Soybel, D.I. Antioxidant pre-treatment prevents omeprazole-induced toxicity in an in vitro model of infectious gastritis. Free Radic. Biol. Med. 2010, 49, 786–791. [Google Scholar] [CrossRef]
- Nogueira, R.C.; Pinheiro, L.C.; Sanches-Lopes, J.M.; Parente, J.M.; Oliveira-Paula, G.H.; Conde, S.O.; Castro, M.M.; Tanus-Santos, J.E. Omeprazole induces vascular remodeling by mechanisms involving xanthine oxidoreductase and matrix metalloproteinase activation. Biochem. Pharmacol. 2021, 190, 114633. [Google Scholar] [CrossRef]
- Pinheiro, L.C.; Oliveira-Paula, G.H.; Portella, R.L.; Guimaraes, D.A.; de Angelis, C.D.; Tanus-Santos, J.E. Omeprazole impairs vascular redox biology and causes xanthine oxidoreductase-mediated endothelial dysfunction. Redox Biol. 2016, 9, 134–143. [Google Scholar] [CrossRef]
- Nogueira, R.C.; Sanches-Lopes, J.M.; Oliveira-Paula, G.H.; Tanus-Santos, J.E. Inhibitors of gastric acid secretion increase oxidative stress and matrix metalloproteinase-2 activity leading to vascular remodeling. Mol. Cell Biochem. 2024, 479, 3141–3152. [Google Scholar] [CrossRef]
- Basaqr, R.; Babateen, A. Interplay between dietary nitrate metabolism and proton pump inhibitors: Impact on nitric oxide pathways and health outcomes. Front. Nutr. 2025, 12, 1648219. [Google Scholar] [CrossRef]
- Tayal, R.; Yasmin, S.; Chauhan, S.; Singh, T.G.; Saini, M.; Shorog, E.; Althubyani, M.M.; Alsaadi, B.H.; Aljohani, F.; Alenazi, M.A.; et al. Are Proton Pump Inhibitors Contributing in Emerging New Hypertensive Population? Pharmaceuticals 2023, 16, 1387. [Google Scholar] [CrossRef]
- de Azevedo Medeiros, C.F.; Neto-Neves, E.M.; Santana, I.V.; Sanches-Lopes, J.M.; Nogueira, R.C.; Batista, R.I.M.; Conde-Tella, S.O.; Montenegro, M.F.; Tanus-Santos, J.E. A critical role for gastric xanthine oxidoreductase in the formation of S-nitrosothiols and blood pressure responses to nitrite in rats. Redox Biol. 2025, 85, 103748. [Google Scholar] [CrossRef]
- Feelisch, M.; Rassaf, T.; Mnaimneh, S.; Singh, N.; Bryan, N.S.; Jourd’Heuil, D.; Kelm, M. Concomitant S-, N-, and heme-nitros(yl)ation in biological tissues and fluids: Implications for the fate of NO in vivo. FASEB J. 2002, 16, 1775–1785. [Google Scholar] [CrossRef]
- Basu, S.; Ricart, K.; Gladwin, M.T.; Patel, R.P.; Kim-Shapiro, D.B. Tri-iodide and vanadium chloride based chemiluminescent methods for quantification of nitrogen oxides. Nitric Oxide 2022, 121, 11–19. [Google Scholar] [CrossRef]
- Yang, B.K.; Vivas, E.X.; Reiter, C.D.; Gladwin, M.T. Methodologies for the sensitive and specific measurement of S-nitrosothiols, iron-nitrosyls, and nitrite in biological samples. Free Radic. Res. 2003, 37, 1–10. [Google Scholar] [CrossRef]
- Ellman, G.L. Tissue sulfhydryl groups. Arch. Biochem. Biophys. 1959, 82, 70–77. [Google Scholar] [CrossRef]
- Sedlak, J.; Lindsay, R.H. Estimation of total, protein-bound, and nonprotein sulfhydryl groups in tissue with Ellman’s reagent. Anal. Biochem. 1968, 25, 192–205. [Google Scholar] [CrossRef]
- Pinheiro, L.C.; Oliveira-Paula, G.H.; Ferreira, G.C.; Dal-Cin de Paula, T.; Duarte, D.A.; Costa-Neto, C.M.; Tanus-Santos, J.E. Oral nitrite treatment increases S-nitrosylation of vascular protein kinase C and attenuates the responses to angiotensin II. Redox Biol. 2021, 38, 101769. [Google Scholar] [CrossRef]
- Ferreira, G.C.; Pinheiro, L.C.; Oliveira-Paula, G.H.; Angelis, C.D.; Portella, R.L.; Tanus-Santos, J.E. Antioxidant tempol modulates the increases in tissue nitric oxide metabolites concentrations after oral nitrite administration. Chem. Biol. Interact. 2021, 349, 109658. [Google Scholar] [CrossRef]
- The UniProt Consortium. UniProt: The Universal Protein Knowledgebase in 2023. Nucleic Acids Res. 2023, 51, D523–D531. [Google Scholar] [CrossRef]
- Tan, S.C.; Carr, C.A.; Yeoh, K.K.; Schofield, C.J.; Davies, K.E.; Clarke, K. Identification of valid housekeeping genes for quantitative RT-PCR analysis of cardiosphere-derived cells preconditioned under hypoxia or with prolyl-4-hydroxylase inhibitors. Mol. Biol. Rep. 2012, 39, 4857–4867. [Google Scholar] [CrossRef]
- Amaral, J.H.; Rizzi, E.S.; Alves-Lopes, R.; Pinheiro, L.C.; Tostes, R.C.; Tanus-Santos, J.E. Antioxidant and antihypertensive responses to oral nitrite involves activation of the Nrf2 pathway. Free Radic. Biol. Med. 2019, 141, 261–268. [Google Scholar] [CrossRef]
- Afanasev, I. Detection of superoxide in cells, tissues and whole organisms. Front. Biosci. (Elite Ed) 2009, 1, 153–160. [Google Scholar] [CrossRef]
- Assis, V.O.; Dourado, T.M.H.; Pimenta, G.F.; Barros, P.R.; Elias-Oliveira, J.; Rodrigues, V.F.; Tostes, R.C.; Carlos, D.; Tirapelli, C.R. Nebivolol restores the anticontractile effect of mesenteric perivascular adipose tissue lost due to obesity. Eur. J. Pharmacol. 2025, 1002, 177856. [Google Scholar] [CrossRef]
- Zhou, M.; Diwu, Z.; Panchuk-Voloshina, N.; Haugland, R.P. A stable nonfluorescent derivative of resorufin for the fluorometric determination of trace hydrogen peroxide: Applications in detecting the activity of phagocyte NADPH oxidase and other oxidases. Anal. Biochem. 1997, 253, 162–168. [Google Scholar] [CrossRef]
- Ferreira, E.M.; Giorgi, V.S.I.; Rodrigues, J.K.; de Andrade, A.Z.; Junior, A.A.J.; Navarro, P.A. Systemic oxidative stress as a possible mechanism underlying the pathogenesis of mild endometriosis-related infertility. Reprod. Biomed. Online 2019, 39, 785–794. [Google Scholar] [CrossRef]
- Pastor, I.; Esquembre, R.; Micol, V.; Mallavia, R.; Mateo, C.R. A ready-to-use fluorimetric biosensor for superoxide radical using superoxide dismutase and peroxidase immobilized in sol-gel glasses. Anal. Biochem. 2004, 334, 335–343. [Google Scholar] [CrossRef]
- Sinet, P.M.; Michelson, A.M.; Bazin, A.; Lejeune, J.; Jerome, H. Increase in glutathione peroxidase activity in erythrocytes from trisomy 21 subjects. Biochem. Biophys. Res. Commun. 1975, 67, 910–915. [Google Scholar] [CrossRef]
- Oyanagui, Y. Reevaluation of assay methods and establishment of kit for superoxide dismutase activity. Anal. Biochem. 1984, 142, 290–296. [Google Scholar] [CrossRef]
- Ozer, J.; Ratner, M.; Shaw, M.; Bailey, W.; Schomaker, S. The current state of serum biomarkers of hepatotoxicity. Toxicology 2008, 245, 194–205. [Google Scholar] [CrossRef]
- Vanderlinde, R.E. Measurement of total lactate dehydrogenase activity. Ann. Clin. Lab. Sci. 1985, 15, 13–31. [Google Scholar]
- Lanas-Gimeno, A.; Lanas, A. Adverse events in patients with cardiovascular disease taking proton pump inhibitors. Expert. Opin. Drug Saf. 2024, 23, 1381–1391. [Google Scholar] [CrossRef]
- Bahta, M.; Russom, N.; Ghebrenegus, A.S.; Okubamichael, Y.T.; Russom, M. Omeprazole and Risk of Hypertension: Analysis of Existing Literature and the WHO Global Pharmacovigilance Database. Drugs Real. World Outcomes 2024, 11, 735–744. [Google Scholar] [CrossRef]
- Fontecha-Barriuso, M.; Martin-Sanchez, D.; Martinez-Moreno, J.M.; Cardenas-Villacres, D.; Carrasco, S.; Sanchez-Nino, M.D.; Ruiz-Ortega, M.; Ortiz, A.; Sanz, A.B. Molecular pathways driving omeprazole nephrotoxicity. Redox Biol. 2020, 32, 101464. [Google Scholar] [CrossRef]
- Poole, L.B. The basics of thiols and cysteines in redox biology and chemistry. Free Radic. Biol. Med. 2015, 80, 148–157. [Google Scholar] [CrossRef]
- Stamm, P.; Oelze, M.; Steven, S.; Kroller-Schon, S.; Kvandova, M.; Kalinovic, S.; Jasztal, A.; Kij, A.; Kuntic, M.; Bayo Jimenez, M.T.; et al. Direct comparison of inorganic nitrite and nitrate on vascular dysfunction and oxidative damage in experimental arterial hypertension. Nitric Oxide 2021, 113–114, 57–69. [Google Scholar] [CrossRef]
- Winterbourn, C.C.; Metodiewa, D. Reactivity of biologically important thiol compounds with superoxide and hydrogen peroxide. Free Radic. Biol. Med. 1999, 27, 322–328. [Google Scholar] [CrossRef]
- Feelisch, M.; Cortese-Krott, M.M.; Santolini, J.; Wootton, S.A.; Jackson, A.A. Systems redox biology in health and disease. EXCLI J. 2022, 21, 623–646. [Google Scholar] [CrossRef]
- Cui, Q.; Jiang, T.; Xie, X.; Wang, H.; Qian, L.; Cheng, Y.; Li, Q.; Lu, T.; Yao, Q.; Liu, J.; et al. S-nitrosylation attenuates pregnane X receptor hyperactivity and acetaminophen-induced liver injury. JCI Insight 2024, 9, e172632. [Google Scholar] [CrossRef]
- Bryan, N.S.; Fernandez, B.O.; Bauer, S.M.; Garcia-Saura, M.F.; Milsom, A.B.; Rassaf, T.; Maloney, R.E.; Bharti, A.; Rodriguez, J.; Feelisch, M. Nitrite is a signaling molecule and regulator of gene expression in mammalian tissues. Nat. Chem. Biol. 2005, 1, 290–297. [Google Scholar] [CrossRef]
- Morgenstern, R.; Zhang, J.; Johansson, K. Microsomal glutathione transferase 1: Mechanism and functional roles. Drug Metab. Rev. 2011, 43, 300–306. [Google Scholar] [CrossRef]
- Ma, Y.; Zhang, D.; Li, Z. Dual role of Heme oxygenase-1 in disease progression and treatment: A literature review. Int. J. Biol. Macromol. 2025, 321, 146272. [Google Scholar] [CrossRef]
- Parkies, S.L.; Lind, D.J.; Pillay, C.S. Emerging Trends for the Regulation of Thiol-Based Redox Transcription Factor Pathways. Biochemistry 2025, 64, 2958–2970. [Google Scholar] [CrossRef]
- Zhang, D.D. Thirty years of NRF2: Advances and therapeutic challenges. Nat. Rev. Drug Discov. 2025, 24, 421–444. [Google Scholar] [CrossRef]
- Aquilano, K.; Baldelli, S.; Ciriolo, M.R. Glutathione: New roles in redox signaling for an old antioxidant. Front. Pharmacol. 2014, 5, 196. [Google Scholar] [CrossRef]
- Strand, D.S.; Kim, D.; Peura, D.A. 25 Years of Proton Pump Inhibitors: A Comprehensive Review. Gut Liver 2017, 11, 27–37. [Google Scholar] [CrossRef]
- Corsonello, A.; Lattanzio, F. Cardiovascular and non-cardiovascular concerns with proton pump inhibitors: Are they safe? Trends Cardiovasc. Med. 2019, 29, 353–360. [Google Scholar] [CrossRef]
- Farrell, B.; Lass, E.; Moayyedi, P.; Ward, D.; Thompson, W. Reduce unnecessary use of proton pump inhibitors. Bmj-Brit Med. J. 2022, 379, e069211. [Google Scholar] [CrossRef]
- Zhang, W.J.; Yuan, Z.Y.; Zhou, J. Association between proton pump inhibitor use and the risk of myocardial infarction: A cross-sectional study based on NHANES 2007 to 2018. Medicine 2025, 104, e44030. [Google Scholar] [CrossRef]
- Yoldemir, S.A.; Ozturk, G.Z.; Akarsu, M.; Ozcan, M. Is there a correlation between hypomagnesemia linked to long-term proton pump inhibitor use and the active agent? Wien. Klin. Wochenschr. 2022, 134, 104–109. [Google Scholar] [CrossRef]
- Gommers, L.M.M.; Hoenderop, J.G.J.; De Baaij, J.H.F. Mechanisms of proton pump inhibitor-induced hypomagnesemia. Acta Physiol. 2022, 235, e13846. [Google Scholar] [CrossRef]
- Lee, Y.J.; Kim, J.; Yu, D.H.; Je, N.K.; Rhee, H. Long-term use of proton pump inhibitors was associated with rapid progression to end stage kidney disease in a Korean nationwide study. Sci. Rep. 2024, 14, 31477. [Google Scholar] [CrossRef]
- Zhang, Y.; Deng, D.; Zhang, R.; Yi, J.; Dong, J.; Sha, L. Relationship between Proton Pump Inhibitors and Adverse Effects in Hemodialysis Patients: A Systematic Review and Meta-Analysis. Kidney Blood Press. Res. 2022, 47, 545–555. [Google Scholar] [CrossRef]
- Schumacher, J.; Muller, P.; Sulzer, J.; Faber, F.; Molitor, B.; Maier, L. Proton-pump inhibitors increase C. difficile infection risk by altering pH rather than by affecting the gut microbiome based on a bioreactor model. Gut Microbes 2025, 17, 2519697. [Google Scholar] [CrossRef]
- Hung, T.H.; Tseng, C.W.; Tsai, C.C.; Lee, H.F. Effect of proton pump inhibitors on mortality of cirrhotic patients with pneumonia. PLoS ONE 2019, 14, e0216041. [Google Scholar] [CrossRef]
- Kanno, T.; Moayyedi, P. Proton Pump Inhibitors in the Elderly, Balancing Risk and Benefit: An Age-Old Problem. Curr. Gastroenterol. Rep. 2019, 21, 65. [Google Scholar] [CrossRef]
- Zeng, M.; Lee, Y.H.; Wang, S.I.; Palmowski, A.; Chu, W.M.; Buttgereit, F. Fracture Risk Linked to Proton Pump Inhibitors Versus H2 Receptor Antagonists in Autoimmune Rheumatic and Gastrointestinal Disease Patients. Int. J. Rheum. Dis. 2025, 28, e70055. [Google Scholar] [CrossRef] [PubMed]
- Schoenfeld, A.J.; Grady, D. Adverse Effects Associated With Proton Pump Inhibitors. JAMA Intern. Med. 2016, 176, 172–174. [Google Scholar] [CrossRef]
- Zeng, Y.; Dai, Y.; Zhou, Z.; Yu, X.; Shi, D. Hepatotoxicity-Related Adverse Effects of Proton Pump Inhibitors: A Cross-Sectional Study of Signal Mining and Analysis of the FDA Adverse Event Report System Database. Front. Med. 2021, 8, 648164. [Google Scholar] [CrossRef]
- Aslan, M.; Celik, Y.; Karadas, S.; Olmez, S.; Cifci, A. Liver hepatotoxicity associated with pantoprazole: A rare case report. Wien. Klin. Wochenschr. 2014, 126, 390–392. [Google Scholar] [CrossRef]
- El-Matary, W.; Dalzell, M. Omeprazole-induced hepatitis. Pediatr. Emerg. Care 2005, 21, 529–530. [Google Scholar] [CrossRef]
- Christe, C.; Stoller, R.; Vogt, N. Omeprazole-induced hepatotoxicity? A case report. Pharmacoepidemiol. Drug Saf. 1998, 7 (Suppl. 1), S41–S44. [Google Scholar] [CrossRef]
- Sugano, K.; Kinoshita, Y.; Miwa, H.; Takeuchi, T.; Esomeprazole, N.P.S.G. Safety and efficacy of long-term esomeprazole 20 mg in Japanese patients with a history of peptic ulcer receiving daily non-steroidal anti-inflammatory drugs. BMC Gastroenterol. 2013, 13, 54. [Google Scholar] [CrossRef]
- Mirmiran, P.; Teymoori, F.; Farhadnejad, H.; Mokhtari, E.; Salehi-Sahlabadi, A. Nitrate containing vegetables and dietary nitrate and nonalcoholic fatty liver disease: A case control study. Nutr. J. 2023, 22, 3. [Google Scholar] [CrossRef] [PubMed]
- Liu, Y.; Croft, K.D.; Caparros-Martin, J.; O’Gara, F.; Mori, T.A.; Ward, N.C. Beneficial effects of inorganic nitrate in non-alcoholic fatty liver disease. Arch. Biochem. Biophys. 2021, 711, 109032. [Google Scholar] [CrossRef]






| Gene | Sequence | NCBI Accession # | Source |
|---|---|---|---|
| Mgst1 (Forward) | 5′-CCGTCACCCTCTGATTGATTTA-3′ | P08011 | Designed by the authors |
| Mgst1 (Reverse) | 5′-TCCTGATTTCTCTGCTCCTTTC-3′ | Designed by the authors | |
| Hmox1(Forward) | 5′-CCTGTGTCTTCCTTTGTCTCTC-3′ | P06762 | Designed by the authors |
| Hmox1 (Reverse) | 5′-GGGCTCTGTTGCAGGATTT-3′ | Designed by the authors | |
| Keap-1 (Forward) | 5′–TCCTCCAGCCCAGTCTTTA-3′ | P57790 | Designed by the authors |
| Keap-1 (Reverse) | 5′-CCGTGTAGGCGAACTCAATTA-3′ | Designed by the authors | |
| Nfe2l2 (Forward) | 5′-AATTGCCACCGCCAGGACTA-3′ | O54968 | Designed by the authors |
| Nfe2l2 (Reverse) | 5′-CAAACACTTCTCGACTTACCCC-3′ | Designed by the authors | |
| Actb (Forward) | 5′-CTAAGGCCAACCGTGAAAAG-3′ | P60711 | [46] |
| Actb (Reverse) | 5′-AACACAGCCTGGATGGCTAC-3′ | [46] |
Disclaimer/Publisher’s Note: The statements, opinions and data contained in all publications are solely those of the individual author(s) and contributor(s) and not of MDPI and/or the editor(s). MDPI and/or the editor(s) disclaim responsibility for any injury to people or property resulting from any ideas, methods, instructions or products referred to in the content. |
© 2025 by the authors. Licensee MDPI, Basel, Switzerland. This article is an open access article distributed under the terms and conditions of the Creative Commons Attribution (CC BY) license (https://creativecommons.org/licenses/by/4.0/).
Share and Cite
Rebelo, M.A.; Cássia-Barros, A.; Conde-Tella, S.O.; Frugeri, S.F.; Ovidio, P.P.; Jordão Junior, A.A.; Kayzuka, C.; Lacchini, R.; Silva, A.O.; Tirapellli, C.R.; et al. In Vivo Studies on the Interaction Between Orally Administered Nitrite and Omeprazole: Beyond Proton-Catalyzed S-Nitrosation. Antioxidants 2025, 14, 1307. https://doi.org/10.3390/antiox14111307
Rebelo MA, Cássia-Barros A, Conde-Tella SO, Frugeri SF, Ovidio PP, Jordão Junior AA, Kayzuka C, Lacchini R, Silva AO, Tirapellli CR, et al. In Vivo Studies on the Interaction Between Orally Administered Nitrite and Omeprazole: Beyond Proton-Catalyzed S-Nitrosation. Antioxidants. 2025; 14(11):1307. https://doi.org/10.3390/antiox14111307
Chicago/Turabian StyleRebelo, Macario A., Alessandra Cássia-Barros, Sandra O. Conde-Tella, Sabrina F. Frugeri, Paula P. Ovidio, Alceu A. Jordão Junior, Cezar Kayzuka, Riccardo Lacchini, Alessandra O. Silva, Carlos R. Tirapellli, and et al. 2025. "In Vivo Studies on the Interaction Between Orally Administered Nitrite and Omeprazole: Beyond Proton-Catalyzed S-Nitrosation" Antioxidants 14, no. 11: 1307. https://doi.org/10.3390/antiox14111307
APA StyleRebelo, M. A., Cássia-Barros, A., Conde-Tella, S. O., Frugeri, S. F., Ovidio, P. P., Jordão Junior, A. A., Kayzuka, C., Lacchini, R., Silva, A. O., Tirapellli, C. R., Feelisch, M., & Tanus-Santos, J. E. (2025). In Vivo Studies on the Interaction Between Orally Administered Nitrite and Omeprazole: Beyond Proton-Catalyzed S-Nitrosation. Antioxidants, 14(11), 1307. https://doi.org/10.3390/antiox14111307

