Capsaicin Modulates Hepatic and Intestinal Inflammation and Oxidative Stress by Regulating the Colon Microbiota
Abstract
1. Introduction
2. Materials and Methods
2.1. Animal Ethics Statement
2.2. Chemicals and Reagents
2.3. Animals and Experimental Design
2.4. Sample Collection
2.5. Organ Indices of the Liver, Kidney, Spleen, and Thymus
2.6. Morphological Analysis of the Liver and Intestinal Tissues
2.7. Liver and Colon Inflammatory Biomarker Assays
2.8. Expression of Hepatic Oxidation/Reduction Markers
2.9. Quantitative Real-Time Reverse-Transcription Polymerase Chain Reaction
2.10. Colonic 16s rRNA High-Throughput Sequencing
2.11. Detection of Colonic Short-Chain Fatty Acid (SCFA) Content
2.12. Statistical Analyses
3. Results
3.1. Effect of CAP on Body Weight and Organ Index of Mice
3.2. Effect of CAP on the Morphology of Mouse Liver and Intestinal Tissues
3.3. Effect of CAP on Inflammatory and Oxidation/Reduction Markers in Mouse Liver and Colon
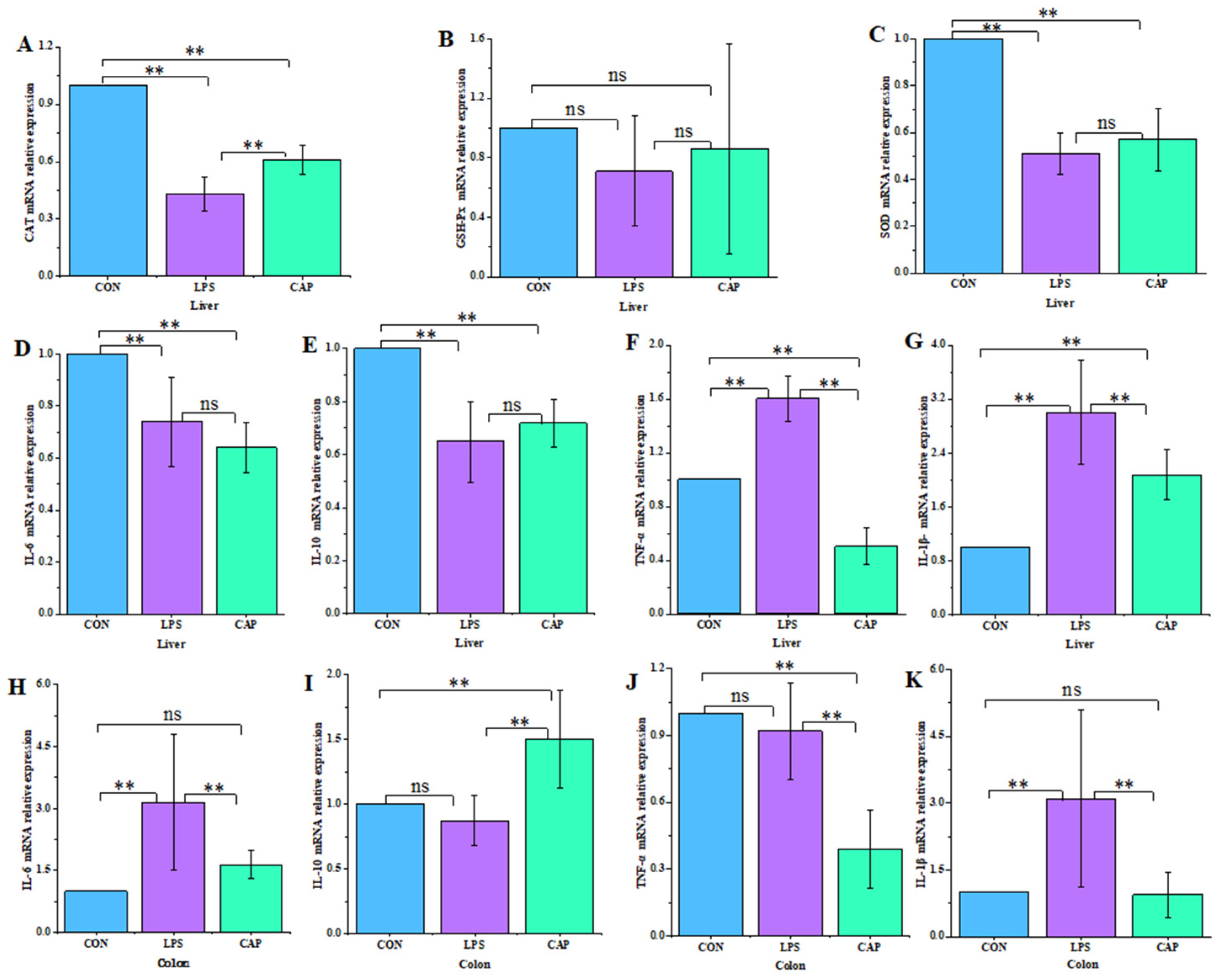
3.4. Effect of CAP on the Expression of Anti-Inflammatory and Antioxidant Genes in Mouse Liver and Colon
3.5. Effect of CAP on the Alpha and Beta Diversity of Mouse Colonic Microbes
3.6. Effect of CAP on the Microbial Composition of the Mouse Colon
3.7. Effect of CAP on SCFAs in the Mouse Colon Tissue
3.8. Correlation Analysis of the Colon Microbiota with Inflammatory Factors, Oxidoreductases, and SCFAs
4. Discussion
4.1. CAP Attenuates Hepatic Inflammation and Oxidative Stress in Mice by Reducing Liver Weight
4.2. CAP Alleviates Oxidative Stress in Mice by Attenuating Hepatic and Intestinal Inflammatory Responses
4.3. CAP Alleviates Hepatic and Intestinal Inflammation and Oxidative Stress in Mice by Regulating the Colon Microbiota and SCFAs
5. Conclusions
Supplementary Materials
Author Contributions
Funding
Institutional Review Board Statement
Informed Consent Statement
Data Availability Statement
Conflicts of Interest
References
- Jones, R.M.; Neish, A.S. Gut Microbiota in Intestinal and Liver Disease. Annu. Rev. Pathol. 2021, 16, 251–275. [Google Scholar] [CrossRef] [PubMed]
- Machado, I.F.; Miranda, R.G.; Dorta, D.J.; Rolo, A.P.; Palmeira, C.M. Targeting Oxidative Stress with Polyphenols to Fight Liver Diseases. Antioxidants 2023, 12, 1212. [Google Scholar] [CrossRef] [PubMed]
- Vona, R.; Pallotta, L.; Cappelletti, M.; Severi, C.; Matarrese, P. The Impact of Oxidative Stress in Human Pathology: Focus on Gastrointestinal Disorders. Antioxidants 2021, 10, 201. [Google Scholar] [CrossRef] [PubMed]
- Wang, F.; Cui, Q.; Zeng, Y.; Chen, P. Gut microbiota-an important contributor to liver diseases. Nan Fang Yi Ke Da Xue Xue Bao J. South. Med. Univ. 2020, 40, 595–600. [Google Scholar] [CrossRef]
- Quaglio, A.E.V.; Grillo, T.G.; De Oliveira, E.C.S.; Di Stasi, L.C.; Sassaki, L.Y. Gut microbiota, inflammatory bowel disease and colorectal cancer. World J. Gastroenterol. 2022, 28, 4053–4060. [Google Scholar] [CrossRef] [PubMed]
- Ekstedt, N.; Jamioł-Milc, D.; Pieczyńska, J. Importance of Gut Microbiota in Patients with Inflammatory Bowel Disease. Nutrients 2024, 16, 2092. [Google Scholar] [CrossRef]
- Buzoglu, H.D.; Burus, A.; Bayazıt, Y.; Goldberg, M. Stem Cell and Oxidative Stress-Inflammation Cycle. Curr. Stem Cell Res. Ther. 2023, 18, 641–652. [Google Scholar] [CrossRef]
- Ferro, D.; Baratta, F.; Pastori, D.; Cocomello, N.; Colantoni, A.; Angelico, F.; Del Ben, M. New Insights into the Pathogenesis of Non-Alcoholic Fatty Liver Disease: Gut-Derived Lipopolysaccharides and Oxidative Stress. Nutrients 2020, 12, 2762. [Google Scholar] [CrossRef] [PubMed]
- Plessers, E.; Watteyn, A.; Wyns, H.; Pardon, B.; De Backer, P.; Croubels, S. Study of the immunomodulatory properties of gamithromycin and dexamethasone in a lipopolysaccharide inflammation model in calves. Res. Vet. Sci. 2015, 103, 218–223. [Google Scholar] [CrossRef]
- Akyuz, L.; Kaya, M.; Mujtaba, M.; Ilk, S.; Sargin, I.; Salaberria, A.M.; Labidi, J.; Cakmak, Y.S.; Islek, C. Supplementing capsaicin with chitosan-based films enhanced the anti-quorum sensing, antimicrobial, antioxidant, transparency, elasticity and hydrophobicity. Int. J. Biol. Macromol. 2018, 115, 438–446. [Google Scholar] [CrossRef]
- Su, M.; She, Y.; Deng, M.; Guo, Y.; Li, Y.; Liu, G.; Sun, B.; Liu, D. Effect of Capsaicin Addition on Antioxidant Capacity, Immune Performance and Upper Respiratory Microbiota in Nursing Calves. Microorganisms 2023, 11, 1903. [Google Scholar] [CrossRef]
- Abdel-Salam, O.M.E.; Mózsik, G. Capsaicin, The Vanilloid Receptor TRPV1 Agonist in Neuroprotection: Mechanisms Involved and Significance. Neurochem. Res. 2023, 48, 3296–3315. [Google Scholar] [CrossRef] [PubMed]
- Prakash, U.N.; Srinivasan, K. Gastrointestinal protective effect of dietary spices during ethanol-induced oxidant stress in experimental rats. Appl. Physiol. Nutr. Metab. Physiol. Appl. Nutr. Metab. 2010, 35, 134–141. [Google Scholar] [CrossRef] [PubMed][Green Version]
- Abdel-Salam, O.M.; Abdel-Rahman, R.F.; Sleem, A.A.; Farrag, A.R. Modulation of lipopolysaccharide-induced oxidative stress by capsaicin. Inflammopharmacology 2012, 20, 207–217. [Google Scholar] [CrossRef] [PubMed]
- Xia, J.; Gu, L.; Guo, Y.; Feng, H.; Chen, S.; Jurat, J.; Fu, W.; Zhang, D. Gut Microbiota Mediates the Preventive Effects of Dietary Capsaicin against Depression-like Behavior Induced by Lipopolysaccharide in Mice. Front. Cell. Infect. Microbiol. 2021, 11, 627608. [Google Scholar] [CrossRef] [PubMed]
- Wang, F.; Huang, X.; Chen, Y.; Zhang, D.; Chen, D.; Chen, L.; Lin, J. Study on the Effect of Capsaicin on the Intestinal Flora through High-Throughput Sequencing. ACS Omega 2020, 5, 1246–1253. [Google Scholar] [CrossRef]
- Brown, A.R.; Alhallak, I.; Simmen, R.C.M.; Melnyk, S.B.; Heard-Lipsmeyer, M.E.; Montales, M.T.E.; Habenicht, D.; Van, T.T.; Simmen, F.A. Krüppel-like Factor 9 (KLF9) Suppresses Hepatocellular Carcinoma (HCC)-Promoting Oxidative Stress and Inflammation in Mice Fed High-Fat Diet. Cancers 2022, 14, 1737. [Google Scholar] [CrossRef]
- Ho, W.I.; Hu, Y.; Cheng, C.W.; Wei, R.; Yang, J.; Li, N.; Au, K.W.; Tse, Y.L.; Wang, Q.; Ng, K.M.; et al. Liposome-encapsulated curcumin attenuates HMGB1-mediated hepatic inflammation and fibrosis in a murine model of Wilson’s disease. Biomed. Pharmacother. Biomed. Pharmacother. 2022, 152, 113197. [Google Scholar] [CrossRef]
- Zhan, X.; Zhang, J.; Chen, H.; Liu, L.; Zhou, Y.; Zheng, T.; Li, S.; Zhang, Y.; Zheng, B.; Gong, Q. Capsaicin alleviates acetaminophen-induced acute liver injury in mice. Clin. Immunol. 2020, 220, 108578. [Google Scholar] [CrossRef]
- Brusini, R.; Varna, M.; Couvreur, P. Advanced nanomedicines for the treatment of inflammatory diseases. Adv. Drug Deliv. Rev. 2020, 157, 161–178. [Google Scholar] [CrossRef]
- Hammerich, L.; Tacke, F. Hepatic inflammatory responses in liver fibrosis. Nat. Rev. Gastroenterol. Hepatol. 2023, 20, 633–646. [Google Scholar] [CrossRef]
- Gutiérrez-Coronado, O.; Villalobos-Gutiérrez, P.T.; Miranda-Beltran, M.L.; Viveros-Paredes, J.M. Capsaicin and berberine inhibit the production of TNF-α, IL-1β and nitric oxide on LPS-stimulated mice. Planta Medica 2008, 74, PA265. [Google Scholar] [CrossRef]
- Zmora, N.; Levy, M.; Pevsner-Fishcer, M.; Elinav, E. Inflammasomes and intestinal inflammation. Mucosal Immunol. 2017, 10, 865–883. [Google Scholar] [CrossRef]
- Robinson, G.I.; Li, D.; Wang, B.; Zahoruiko, Y.; Gerasymchuk, M.; Hudson, D.; Kovalchuk, O.; Kovalchuk, I. Anti-Inflammatory Effects of Serotonin Receptor and Transient Receptor Potential Channel Ligands in Human Small Intestinal Epithelial Cells. Curr. Issues Mol. Biol. 2023, 45, 6743–6774. [Google Scholar] [CrossRef]
- McVey, D.C.; Vigna, S.R. The capsaicin VR1 receptor mediates substance P release in toxin A-induced enteritis in rats. Peptides 2001, 22, 1439–1446. [Google Scholar] [CrossRef] [PubMed]
- Chen, Y.S.; Lian, Y.Z.; Chen, W.C.; Chang, C.C.; Tinkov, A.A.; Skalny, A.V.; Chao, J.C. Lycium barbarum Polysaccharides and Capsaicin Inhibit Oxidative Stress, Inflammatory Responses, and Pain Signaling in Rats with Dextran Sulfate Sodium-Induced Colitis. Int. J. Mol. Sci. 2022, 23, 2423. [Google Scholar] [CrossRef]
- Weiskirchen, R.; Sorrentino, D.; Stremmel, W.R. Editorial: Inflammation and Fibrosis in the Gastrointestinal Tract and Liver: Mechanisms and Targets. Front. Pharmacol. 2021, 12, 773228. [Google Scholar] [CrossRef] [PubMed]
- Biswas, S.K. Does the Interdependence between Oxidative Stress and Inflammation Explain the Antioxidant Paradox? Oxid. Med. Cell. Longev. 2016, 2016, 5698931. [Google Scholar] [CrossRef]
- Zhao, J.; Guo, F.; Hou, L.; Zhao, Y.; Sun, P. Electron transfer-based antioxidant nanozymes: Emerging therapeutics for inflammatory diseases. J. Control. Release Off. J. Control. Release Soc. 2023, 355, 273–291. [Google Scholar] [CrossRef]
- Hussain, T.; Tan, B.; Yin, Y.; Blachier, F.; Tossou, M.C.; Rahu, N. Oxidative Stress and Inflammation: What Polyphenols Can Do for Us? Oxid. Med. Cell. Longev. 2016, 2016, 7432797. [Google Scholar] [CrossRef]
- Chaudhary, A.; Gour, J.K.; Rizvi, S.I. Capsaicin has potent anti-oxidative effects in vivo through a mechanism which is non-receptor mediated. Arch. Physiol. Biochem. 2022, 128, 141–147. [Google Scholar] [CrossRef] [PubMed]
- Tian, D.; Yu, Y.; Yu, Y.; Lu, L.; Tong, D.; Zhang, W.; Zhang, X.; Shi, W.; Liu, G. Tris(2-chloroethyl) Phosphate Exerts Hepatotoxic Impacts on Zebrafish by Disrupting Hypothalamic-Pituitary-Thyroid and Gut-Liver Axes. Environ. Sci. Technol. 2023, 57, 9043–9054. [Google Scholar] [CrossRef] [PubMed]
- Wiest, R.; Albillos, A.; Trauner, M.; Bajaj, J.S.; Jalan, R. Targeting the gut-liver axis in liver disease. J. Hepatol. 2017, 67, 1084–1103. [Google Scholar] [CrossRef] [PubMed]
- Babu, G.; Mohanty, B. Neurotensin modulation of lipopolysaccharide induced inflammation of gut-liver axis: Evaluation using neurotensin receptor agonist and antagonist. Neuropeptides 2023, 97, 102297. [Google Scholar] [CrossRef]
- Wang, X.; Liu, Y.; Wu, Z.; Zhang, P.; Zhang, X. Tea Polyphenols: A Natural Antioxidant Regulates Gut Flora to Protect the Intestinal Mucosa and Prevent Chronic Diseases. Antioxidants 2022, 11, 253. [Google Scholar] [CrossRef] [PubMed]
- Niu, W.; Yang, F.; Fu, Z.; Dong, Y.; Zhang, Z.; Ju, J. The role of enteric dysbacteriosis and modulation of gut microbiota in the treatment of inflammatory bowel disease. Microb. Pathog. 2022, 165, 105381. [Google Scholar] [CrossRef] [PubMed]
- Soheili, M.; Alinaghipour, A.; Salami, M. Good bacteria, oxidative stress and neurological disorders: Possible therapeutical considerations. Life Sci. 2022, 301, 120605. [Google Scholar] [CrossRef] [PubMed]
- Herp, S.; Brugiroux, S.; Garzetti, D.; Ring, D.; Jochum, L.M.; Beutler, M.; Eberl, C.; Hussain, S.; Walter, S.; Gerlach, R.G.; et al. Mucispirillum schaedleri Antagonizes Salmonella Virulence to Protect Mice against Colitis. Cell Host Microbe 2019, 25, 681–694.e688. [Google Scholar] [CrossRef] [PubMed]
- Herp, S.; Durai Raj, A.C.; Salvado Silva, M.; Woelfel, S.; Stecher, B. The human symbiont Mucispirillum schaedleri: Causality in health and disease. Med. Microbiol. Immunol. 2021, 210, 173–179. [Google Scholar] [CrossRef]
- Loy, A.; Pfann, C.; Steinberger, M.; Hanson, B.; Herp, S.; Brugiroux, S.; Gomes Neto, J.C.; Boekschoten, M.V.; Schwab, C.; Urich, T.; et al. Lifestyle and Horizontal Gene Transfer-Mediated Evolution of Mucispirillum schaedleri, a Core Member of the Murine Gut Microbiota. mSystems 2017, 2, e00171-16. [Google Scholar] [CrossRef]
- Mao, B.; Guo, W.; Liu, X.; Cui, S.; Zhang, Q.; Zhao, J.; Tang, X.; Zhang, H. Potential Probiotic Properties of Blautia producta against Lipopolysaccharide-Induced Acute Liver Injury. Probiotics Antimicrob. Proteins 2023, 15, 785–796. [Google Scholar] [CrossRef]
- Wu, C.; Hu, Q.; Peng, X.; Luo, J.; Zhang, G. Marine Fish Protein Peptide Regulating Potassium Oxonate-Induced Intestinal Dysfunction in Hyperuricemia Rats Helps Alleviate Kidney Inflammation. J. Agric. Food Chem. 2023, 71, 320–330. [Google Scholar] [CrossRef] [PubMed]
- Wang, G.; Alamuri, P.; Maier, R.J. The diverse antioxidant systems of Helicobacter pylori. Mol. Microbiol. 2006, 61, 847–860. [Google Scholar] [CrossRef] [PubMed]
- Liu, J.L.; Segovia, I.; Yuan, X.L.; Gao, Z.H. Controversial Roles of Gut Microbiota-Derived Short-Chain Fatty Acids (SCFAs) on Pancreatic β-Cell Growth and Insulin Secretion. Int. J. Mol. Sci. 2020, 21, 910. [Google Scholar] [CrossRef]
- Sam, Q.H.; Ling, H.; Yew, W.S.; Tan, Z.; Ravikumar, S.; Chang, M.W.; Chai, L.Y.A. The Divergent Immunomodulatory Effects of Short Chain Fatty Acids and Medium Chain Fatty Acids. Int. J. Mol. Sci. 2021, 22, 6453. [Google Scholar] [CrossRef] [PubMed]
- González-Bosch, C.; Boorman, E.; Zunszain, P.A.; Mann, G.E. Short-chain fatty acids as modulators of redox signaling in health and disease. Redox Biol. 2021, 47, 102165. [Google Scholar] [CrossRef] [PubMed]
- Chambers, E.S.; Viardot, A.; Psichas, A.; Morrison, D.J.; Murphy, K.G.; Zac-Varghese, S.E.; MacDougall, K.; Preston, T.; Tedford, C.; Finlayson, G.S.; et al. Effects of targeted delivery of propionate to the human colon on appetite regulation, body weight maintenance and adiposity in overweight adults. Gut 2015, 64, 1744–1754. [Google Scholar] [CrossRef]
- Peng, M.; Biswas, D. Short chain and polyunsaturated fatty acids in host gut health and foodborne bacterial pathogen inhibition. Crit. Rev. Food Sci. Nutr. 2017, 57, 3987–4002. [Google Scholar] [CrossRef]
- Magliocca, G.; Mone, P.; Di Iorio, B.R.; Heidland, A.; Marzocco, S. Short-Chain Fatty Acids in Chronic Kidney Disease: Focus on Inflammation and Oxidative Stress Regulation. Int. J. Mol. Sci. 2022, 23, 5354. [Google Scholar] [CrossRef]
- Wen, X.; Xiaoyue, D.; Longkun, D.; Yue, X.; Man, Y.; Min, Z.; Liang, W.; Chengxue, Y.; Huaxi, X. Three main short-chain fatty acids inhibit the activation of THP-1 cells by Mycoplasma pneumoniae. Biosci. Biotechnol. Biochem. 2021, 85, 923–930. [Google Scholar] [CrossRef]
- Wang, Y.; Li, C.; Li, J.; Wang, G.; Li, L. Non-Esterified Fatty Acid-Induced Reactive Oxygen Species Mediated Granulosa Cells Apoptosis Is Regulated by Nrf2/p53 Signaling Pathway. Antioxidants 2020, 9, 523. [Google Scholar] [CrossRef] [PubMed]
- Zhang, M.; Wang, S.; Mao, L.; Leak, R.K.; Shi, Y.; Zhang, W.; Hu, X.; Sun, B.; Cao, G.; Gao, Y.; et al. Omega-3 fatty acids protect the brain against ischemic injury by activating Nrf2 and upregulating heme oxygenase 1. J. Neurosci. Off. J. Soc. Neurosci. 2014, 34, 1903–1915. [Google Scholar] [CrossRef] [PubMed]
- Wu, J.; Jiang, Z.; Zhang, H.; Liang, W.; Huang, W.; Zhang, H.; Li, Y.; Wang, Z.; Wang, J.; Jia, Y.; et al. Sodium butyrate attenuates diabetes-induced aortic endothelial dysfunction via P300-mediated transcriptional activation of Nrf2. Free Radic. Biol. Med. 2018, 124, 454–465. [Google Scholar] [CrossRef] [PubMed]
- Filippone, A.; Lanza, M.; Campolo, M.; Casili, G.; Paterniti, I.; Cuzzocrea, S.; Esposito, E. The Anti-Inflammatory and Antioxidant Effects of Sodium Propionate. Int. J. Mol. Sci. 2020, 21, 3026. [Google Scholar] [CrossRef]
- Pei, L.; Liu, W.; Liu, L.; Wang, X.; Jiang, L.; Chen, Z.; Wang, Q.; Wang, P.; Xu, H. Morel (Morchella spp.) intake alters gut microbial community and short-chain fatty acid profiles in mice. Front. Nutr. 2023, 10, 1237237. [Google Scholar] [CrossRef]







| Genes | Accession No. | Primer Sequences (5′-3′) | Size/bp |
|---|---|---|---|
| CAT | NM_009804.2 | F: GGAGTCTTCGTCCCGAGTCT R: TGCCCTGGTCGGTCTTGTAAT | 168 |
| GSH-Px | NM_001329528.1 | F: AGTGCGAAGTGAATGGTG R: TGTCGATGGTACGAAAGC | 222 |
| SOD | NM_011434.2 | F: ATGGCGATGAAAGCGGTGTGC R: TTACTGCGCAATCCCAATCACT | 465 |
| β-actin | NM_007393.5 | F: ATATCGCTGCGCTGGTCG R: GATCTTCTCCATGTCGTCCC | 245 |
| IL-1β | XM_006498795.5 | F: TCCAGGATGAGGACATGAGCAC R: GAACGTCACACACCAGCAGGTTA | 105 |
| TNF-α | NM_001278601.1 | F: TCTTCAAGGGACAAGGC R: GGACTCCGCAAAGTCTAA | 251 |
| IL-10 | XM_036162094.1 | F: GCTGGACAACATACTGCTAACC R: GAGGGTCTTCAGCTTCTCACC | 178 |
| IL-6 | NM_001314054.1 | F: TGATGGATGCTACCAAACTGGA R: TGTGACTCCAGCTTATCTCTTGG | 197 |
| Group | CON | LPS | CAP | p-Value |
|---|---|---|---|---|
| Initial weight (g) | 22.96 ± 1.18 | 22.94 ± 0.84 | 22.21 ± 115 | 0.411 |
| Final weight (g) | 33.57 ± 1.66 | 34.70 ± 1.61 | 34.50 ± 1.72 | 0.483 |
| Liver index (%) | 3.95 ± 0.27 Aa | 4.80 ± 0.35 Bb | 4.72 ± 0.13 Bb | p < 0.001 |
| Renal index (%) | 1.15 ± 0.11 | 1.24 ± 0.28 | 1.32 ± 0.13 | 0.309 |
| Spleen index (%) | 0.33 ± 0.03 | 0.37 ± 0.05 | 0.41 ± 0.10 | 0.122 |
| Thymus index (%) | 0.26 ± 0.10 | 0.42 ± 0.16 | 0.29 ± 0.08 | 0.092 |
| Item | Treatment | ||
|---|---|---|---|
| CON | LPS | CAP | |
| acetic acid (µg/mL) | 15.11 ± 3.05 Aa | 6.74 ± 0.25 Bb | 6.38 ± 2.84 Bb |
| propionic acid (µg/mL) | 4.47 ± 0.42 Aa | 3.30 ± 0.10 Bb | 3.39 ± 0.25 Bb |
| butyric acid (µg/mL) | 4.46 ± 0.60 Aa | 3.20 ± 0.05 Bb | 3.10 ± 0.25 Bb |
Disclaimer/Publisher’s Note: The statements, opinions and data contained in all publications are solely those of the individual author(s) and contributor(s) and not of MDPI and/or the editor(s). MDPI and/or the editor(s) disclaim responsibility for any injury to people or property resulting from any ideas, methods, instructions or products referred to in the content. |
© 2024 by the authors. Licensee MDPI, Basel, Switzerland. This article is an open access article distributed under the terms and conditions of the Creative Commons Attribution (CC BY) license (https://creativecommons.org/licenses/by/4.0/).
Share and Cite
Pang, X.; Wei, X.; Wu, Y.; Nan, S.; Feng, J.; Wang, F.; Yao, M.; Nie, C. Capsaicin Modulates Hepatic and Intestinal Inflammation and Oxidative Stress by Regulating the Colon Microbiota. Antioxidants 2024, 13, 942. https://doi.org/10.3390/antiox13080942
Pang X, Wei X, Wu Y, Nan S, Feng J, Wang F, Yao M, Nie C. Capsaicin Modulates Hepatic and Intestinal Inflammation and Oxidative Stress by Regulating the Colon Microbiota. Antioxidants. 2024; 13(8):942. https://doi.org/10.3390/antiox13080942
Chicago/Turabian StylePang, Xiaotong, Xin Wei, Yanyan Wu, Shanshan Nan, Jiaqi Feng, Fang Wang, Min Yao, and Cunxi Nie. 2024. "Capsaicin Modulates Hepatic and Intestinal Inflammation and Oxidative Stress by Regulating the Colon Microbiota" Antioxidants 13, no. 8: 942. https://doi.org/10.3390/antiox13080942
APA StylePang, X., Wei, X., Wu, Y., Nan, S., Feng, J., Wang, F., Yao, M., & Nie, C. (2024). Capsaicin Modulates Hepatic and Intestinal Inflammation and Oxidative Stress by Regulating the Colon Microbiota. Antioxidants, 13(8), 942. https://doi.org/10.3390/antiox13080942

