Assessment of the Antioxidant and Hypolipidemic Properties of Salicornia europaea for the Prevention of TAFLD in Rats
Abstract
1. Introduction
2. Materials and Methods
2.1. Plant Material and Methanolic Extraction
2.2. Antioxidant Profiling of Young and Mature S. europaea Leaves
2.2.1. Bioactive Molecules Content
2.2.2. Phenolic Compounds Profiling by UHPLC-ESI-MS/MS Analysis
2.2.3. In Vitro Assays to Measure Antioxidant Activity
2.3. In Vivo Experiment: Hepatoprotective Assay
2.3.1. Animal Procedure
2.3.2. Analysis of Plasma Biochemical Parameters
2.3.3. Analysis of Reactive Radical Species (RRS) Centered on Oxygen, Nitrogen, and Carbon in the Liver and Brain Biopsies Using Electronic Paramagnetic Resonance (EPR) Spectroscopy
2.3.4. Biomarkers of Oxidative Stress in the Liver
2.3.5. Assessment of Hepatic Xenobiotic Metabolizing Enzyme Activities
2.3.6. Quantitation of Liver Lipids
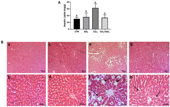
2.3.7. Histopathological Analysis
2.4. Statistical Analysis
3. Results and Discussion
3.1. Bioactive Compounds and Antioxidant Capacity of Salicornia
3.2. Quantification of Polyphenols by UHPLC-ESI-MS/MS
3.3. In Vivo Experimental Study
3.3.1. Effect of Treatments with Salicornia on the Animal Body and Organ Weights
3.3.2. The Ameliorative Effect of Salicornia on Plasma Biochemical Parameters
3.3.3. The Protective Effects of Salicornia on the Oxidative Stress Status
3.3.4. The Effect of Salicornia on the Xenobiotic Metabolizing System
3.3.5. Hypolipidemic Effect of Salicornia
4. Conclusions
Author Contributions
Funding
Institutional Review Board Statement
Informed Consent Statement
Data Availability Statement
Conflicts of Interest
References
- FAO; IFAD; UNICEF; WFP; WHO. The State of Food Security and Nutrition in the World 2020. Transforming Food Systems for Affordable Healthy Diets; FAO: Rome, Italy, 2020. [Google Scholar]
- Hamed, K.B.; Castagna, A.; Ranieri, A.; García-Caparrós, P.; Santin, M.; Hernandez, J.A.; Espin, G.B. Halophyte based Mediterranean agriculture in the contexts of food insecurity and global climate change. Environ. Exp. Bot. 2021, 191, 104601. [Google Scholar] [CrossRef]
- Petropoulos, S.A.; Karkanis, A.; Martins, N.; Ferreira, I.C.F.R. Edible halophytes of the Mediterranean basin: Potential candidates for novel food products. Trends. Food. Sci. Technol. 2018, 74, 69–84. [Google Scholar] [CrossRef]
- Hassani, A.; Azapagic, A.; Shokri, N. Predicting long-term dynamics of soil salinity and sodicity on a global scale. Proc. Natl. Acad. Sci. USA 2020, 117, 33017–33027. [Google Scholar] [CrossRef] [PubMed]
- Al-Eryani, L.; Wahlang, B.; Falkner, K.C.; Guardiola, J.J.; Clair, H.B.; Prough, R.A.; Cave, M. Identification of environmental chemicals associated with the development of toxicant-associated fatty liver disease in rodents. Toxicol. Pathol. 2015, 43, 482–497. [Google Scholar] [CrossRef] [PubMed]
- Vornoli, A.; Tibaldi, E.; Gnudi, F.; Sgargi, D.; Manservisi, F.; Belpoggi, F.; Tovoli, F.; Mandrioli, D. Evaluation of Toxicant-Associated Fatty Liver Disease and Liver Neoplastic Progress in Sprague-Dawley Rats Treated with Low Doses of Aflatoxin B1 Alone or in Combination with Extremely Low-Frequency Electromagnetic Fields. Toxins 2022, 14, 325. [Google Scholar] [CrossRef] [PubMed]
- Vornoli, A.; Pozzo, L.; Della Croce, C.M.; Gervasi, P.G.; Longo, V. Drug metabolism enzymes in a steatotic model of rat treated with a high-fat diet and a low dose of streptozotocin. Food Chem. Toxicol. 2014, 70, 54–60. [Google Scholar] [CrossRef] [PubMed]
- Wahlang, B.; Beier, J.I.; Clair, H.B.; Bellis-Jones, H.J.; Falkner, K.C.; McClain, C.J.; Cave, M.C. Toxicant-associated steatohepatitis. Toxicol. Pathol. 2013, 41, 343–360. [Google Scholar] [CrossRef] [PubMed]
- Cave, M.; Falkner, K.C.; Ray, M.; Joshi-Barve, S.; Brock, G.; Khan, R.; Homme, M.B.; McClain, C.J. Toxicant-associated steatohepatitis in vinyl chloride workers. Hepatology 2009, 51, 474–481. [Google Scholar] [CrossRef] [PubMed]
- Zimmerman, H.J. Hepatotoxicity: The adverse effects of drugs and other chemicals on the liver. By tea catechins in ethanol solution. Free Radic. Biol. Med. 1999, 39, 752–761. [Google Scholar]
- Faroon, O. Toxicological Profile for Carbon Tetrachloride; Agency for Toxic Substances and Disease Registry (ATSDR): Atlanta, GA, USA, 2005. [Google Scholar]
- Zhang, G.; Wang, X.; Chung, T.Y.; Ye, W.; Hodge, L.; Zhang, L.; Chng, K.; Xiao, Y.-F.; Wang, Y.J. Carbon tetrachloride (CCl 4) accelerated development of non-alcoholic fatty liver disease (NAFLD)/steatohepatitis (NASH) in MS-NASH mice fed western diet supplemented with fructose (WDF). BMC Gastroenterol. 2020, 20, 339. [Google Scholar] [CrossRef]
- Dai, N.; Zou, Y.; Zhu, L.; Wang, H.F.; Dai, M.G. Antioxidant properties of proanthocyanidins attenuate carbon tetrachloride (CCl4)–induced steatosis and liver injury in rats via CYP2E1 regulation. J. Med. Food 2014, 17, 663–669. [Google Scholar] [CrossRef] [PubMed]
- De Minicis, S.; Agostinelli, L.; Rychlicki, C.; Sorice, G.P.; Saccomanno, S.; Candelaresi, C.; Giaccari, A.; Trozzi, L.; Pierantonelli, I.; Minganelli, E.; et al. HCC development is associated to peripheral insulin resistance in a mouse model of NASH. PLoS ONE 2014, 9, e97136. [Google Scholar] [CrossRef] [PubMed]
- Mejri, H.; Tir, M.; Feriani, A.; Ghazouani, L.; Allagui, S.M.; Saidani-Tounsi, M. Does Eryngium maritimum seeds extract protect against CCl4 and cisplatin induced toxicity in rats: Preliminary phytochemical screening and assessment of its in vitro and in vivo antioxidant activity and antifibrotic effect. J. Funct. Foods. 2017, 37, 363–372. [Google Scholar] [CrossRef]
- Abdelhafez, O.H.; Fawzy, M.A.; Fahim, J.R.; Desoukey, S.Y.; Krischke, M.; Mueller, M.J.; Abdelmohsen, U.R. Hepatoprotective potential of Malvaviscus arboreus against carbon tetrachloride-induced liver injury in rats. PLoS ONE 2018, 13, e0202362. [Google Scholar] [CrossRef] [PubMed]
- Souid, A.; Croce, C.M.D.; Pozzo, L.; Ciardi, M.; Giorgetti, L.; Gervasi, P.G.; Abdelly, C.; Magné, C.; Hamed, K.B.; Longo, V. Antioxidant properties and hepatoprotective effect of the edible halophyte Crithmum maritimum L. against carbon tetrachloride-induced liver injury in rats. Eur. Food Res. Technol. 2020, 246, 1393–1403. [Google Scholar] [CrossRef]
- Souid, A.; Bellani, L.; Magné, C.; Zorrig, W.; Smaoui, A.; Abdelly, C.; Longo, V.; Ben Hamed, K. Physiological and antioxidant responses of the sabkha biotope halophyte Limonium delicatulum to seasonal changes in environmental conditions. Plant Physiol. Biochem. 2018, 123, 180–191. [Google Scholar] [CrossRef] [PubMed]
- Ksouri, R.; Ksouri, W.M.; Jallali, I.; Debez, A.; Magné, C.; Hiroko, I.; Abdelly, C. Medicinal halophytes: Potent source of health-promoting biomolecules with medical, nutraceutical, and food applications. Crit. Rev. Biotechnol. 2012, 32, 289–326. [Google Scholar] [CrossRef] [PubMed]
- Gulfraz, M.; Ahamd, D.; Ahmad, M.S.; Qureshi, R.; Mahmood, R.T.; Jabeen, N.; Abbasi, K.S. Effect of leaf extracts of Taraxacum officinale on CCl4 induced Hepatotoxicity in rats, in vivo study. Pak. J. Pharm. Sci. 2014, 27, 825–829. [Google Scholar]
- Souid, A.; Della Croce, C.M.; Frassinetti, S.; Gabriele, M.; Pozzo, L.; Ciardi, M.; Abdelly, C.; Hamed, K.B.; Magné, C.; Longo, V. Nutraceutical potential of leaf hydro-ethanolic extract of the edible halophyte Crithmum maritimum L. Molecules 2021, 26, 5380. [Google Scholar] [CrossRef]
- Castagna, A.; Mariottini, G.; Gabriele, M.; Longo, V.; Souid, A.; Dauvergne, X.; Magné, C.; Foggi, G.; Conte, G.; Santin, M.; et al. Nutritional composition and bioactivity of Salicornia europaea L. plants grown in monoculture or intercropped with tomato plants in salt-affected soils. Horticulturae 2022, 8, 828. [Google Scholar] [CrossRef]
- Rahmani, R.; Arbi, K.E.; Aydi, S.S.; Hzami, A.; Tlahig, S.; Najar, R.; Aydi, S.; Debouba, M. Biochemical composition and biological activities of Salicornia europaea L. from southern Tunisia. J. Food Meas. Charact. 2022, 16, 4833–4846. [Google Scholar] [CrossRef]
- Qasim, M.; Aziz, I.; Rasheed, M.; Gul, B.; Khan, M.A. Effect of extraction solvents on polyphenols and antioxidant activity of medicinal halophytes. Pak. J. Bot 2016, 48, 621–627. [Google Scholar]
- Singleton, V.L.; Orthofer, R.; Lamuela-Raventos, R.M. Analysis of total phenols and other oxidation substrates and antioxidants by means of Folin-Ciocalteu reagent. Methods Enzymol. 1999, 299, 152–178. [Google Scholar]
- Kim, D.O.; Chun, O.K.; Kim, Y.J.; Moon, H.Y.; Lee, C.Y. Quantification of polyphenolics and their antioxidant capacity in fresh plums. J. Agric. Food Chem. 2003, 51, 6509–6515. [Google Scholar] [CrossRef] [PubMed]
- Romani, A.; Mancini, P.; Tatti, S.; Vincieri, F. Polyphenols and polysaccharides in Tuscan grapes and wines. Ital. J. Food Sci. 1996, 8, 13–24. [Google Scholar]
- Lee, J.; Durst, R.W.; Wrolstad, R.E. Determination of total monomeric anthocyanin pigment content of fruit juices, beverages, natural colorants, and wines by the pH differential method: Collaborative study. J. AOAC Int. 2005, 88, 1269–1278. [Google Scholar] [PubMed]
- Lichtenthaler, H.K.; Welburn, A. Determination of total carotenoids and chlorophylls a and b of leaf extract in different solvents. Biochem. Soc. Trans. 1983, 11, 591–592. [Google Scholar]
- Sokmen, A.; Gulluce, M.; Akpulat, H.A.; Daferera, D.; Tepe, B.; Polissiou, M. The in vitro antimicrobial and antioxidant activities of the essential oils and methanol extracts of endemic Thymus spathulifolius. Food Control 2004, 15, 627–634. [Google Scholar] [CrossRef]
- Bacchiocca, M.; Biagiotti, E.; Ninfali, P. Nutritional and technological reasons for evaluating the antioxidant capacity of vegetable products. Ital. J. Food Sci. 2006, 18, 1–9. [Google Scholar]
- Benzie, I.F.; Strain, J.J. Ferric reducing/antioxidant power assay: Direct measure of total antioxidant activity of biological fluids and modified version for simultaneous measurement of total antioxidant power and ascorbic acid concentration. Method. Enzymol. 1999, 299, 15–27. [Google Scholar]
- Ross, P.F.; Wilson, T.M.; Ledet, A.E.; Owens, D.L.; Rice, L.G.; Nelson, H.A.; Osweiler, G.D. Experimental equine leukoencephalomalacia, toxic hepatosis, and encephalopathy caused by corn naturally contaminated with fumonisins. J. Vet. Diagn. Investig. 1992, 5, 69–74. [Google Scholar] [CrossRef] [PubMed]
- Guido, S.; Joseph, T. Effect of chemically different calcium antagonists on lipid profile in rats fed on a high-fat diet. Indian J. of Exp. Biol. 1992, 30, 292–294. [Google Scholar]
- Vivarelli, F.; Canistro, D.; Cirillo, S.; Elias, R.J.; Granata, S.; Mussoni, M.; Burattini, S.; Falcieri, E.; Turrini, E.; Fimognari, C.; et al. Unburned Tobacco Cigarette Smoke Alters Rat Ultrastructural Lung Airways and DNA. Nicotine Tob. Res. 2021, 23, 2127–2134. [Google Scholar] [CrossRef]
- Vivarelli, F.; Canistro, D.; Franchi, P.; Sapone, A.; Vornoli, A.; Della Croce, C.; Paolini, M. Disruption of redox homeostasis and carcinogen metabolizing enzymes changes by administration of vitamin E to rats. Life Sci. 2016, 145, 166–173. [Google Scholar] [CrossRef] [PubMed]
- Seljeskog, E.; Hervig, T.; Mansoor, M.A. A novel HPLC method for the measurement of thiobarbituric acid reactive substances (TBARS). A comparison with a commercially available kit. Clin. Biochem. 2006, 39, 947–954. [Google Scholar] [CrossRef]
- Pozzo, L.; Russo, R.; Frassinetti, S.; Vizzarri, F.; ’Arvay, J.; Vornoli, A.; Casamassima, D.; Palazzo, M.; Della Croce, C.; Longo, V. Wild Italian Prunus spinosa L. fruit exerts in vitro antimicrobial activity and protects against in vitro and in vivo oxidative stress. Foods 2019, 9, 5. [Google Scholar] [CrossRef] [PubMed]
- Terevinto, A.; Ramos, A.; Castroman, G.; Cabrera, M.C.; Saadoun, A. Oxidative status, in vitro iron-induced lipid oxidation and superoxide dismutase, catalase and glutathione peroxidase activities in rhea meat. Meat Sci. 2010, 84, 706–710. [Google Scholar] [CrossRef] [PubMed]
- Browne, R.W.; Armstrong, D. Reduced glutathione and glutathione disulfide. Methods Mol. Biol. 1998, 108, 347–352. [Google Scholar] [PubMed]
- Longo, V.; Mazzaccaro, A.; Naldi, F.; Gervasi, P.G. Drug-metabolizing enzymes in liver, olfactory, and respiratory epithelium of cattle. J. Biochem. Toxicol. 1991, 6, 123–128. [Google Scholar] [CrossRef]
- Bradford, M.M. A rapid and sensitive method for the quantitation of microgram quantities of protein utilising the principle of protein-dye binding. Anal. Biochem. 1976, 72, 248–254. [Google Scholar] [CrossRef]
- Aitio, A. A simple and sensitive assay of 7-ethoxycoumarin deethylation. Anal. Biochem. 1978, 85, 488–491. [Google Scholar] [CrossRef] [PubMed]
- Reinke, L.A.; Moyer, M. p-Nitrophenol hydroxylation. A microsomal oxidation which is highly inducible by ethanol. Drug Metab. Dispos. 1985, 13, 548–552. [Google Scholar] [PubMed]
- Naughton, P.; Foresti, R.; Bains, S.K.; Hoque, M.; Green, C.J.; Motterlini, R. Induction of heme oxygenase 1 by nitrosative stress—A role for nitroxyl anion. J. Biol. Chem. 2002, 277, 40666–40674. [Google Scholar] [CrossRef] [PubMed]
- Benson, A.M.; Hunkeler, M.S.; Talalay, P. Increase of NAD(P)H: Quinone reductase by dietary antioxidants: Possible role in protection against carcinogenesis and toxicity. Proc. Natl. Acad. Sci. USA 1980, 77, 5216–5220. [Google Scholar] [CrossRef] [PubMed]
- Folch, J.; Lees, M.; Sloane Stanley, G.H. A simple method for the isolation and purification of total lipides from animal tissues. J. Biol. Chem. 1957, 226, 497–509. [Google Scholar] [CrossRef] [PubMed]
- Thoolen, B.; Maronpot, R.R.; Harada, T.; Nyska, A.; Rousseaux, C.; Nolte, T.; Malarkey, D.E.; Kaufmann, W.; Küttler, K.; Deschl, U. Proliferative and Nonproliferative Lesions of the Rat and Mouse Hepatobiliary System. Toxicol. Pathol. 2010, 38, 5S–81S. [Google Scholar] [CrossRef] [PubMed]
- Heyens, L.J.M.; Busschots, D.; Koek, G.H.; Robaeys, G.; Francque, S. Liver Fibrosis in Non-alcoholic Fatty Liver Disease: From Liver Biopsy to Non-invasive Biomarkers in Diagnosis and Treatment. Front. Med. 2021, 8, 476. [Google Scholar] [CrossRef] [PubMed]
- Cristina, C.; Lucia, P.; Sara, S.; Francesco, S.; Nobile Matteo Alessandro, D.; Amalia, C. Study of the Efficacy of Two Extraction Techniques from Crithmum maritimum and Salicornia europaea. J. Food Nutr. Res 2018, 6, 456. [Google Scholar] [CrossRef]
- Jallali, I.; Zaouali, Y.; Missaoui, I.; Smaoui, A.; Abdelly, C.; Ksouri, R. Variability of antioxidant and antibacterial effects of essential oils and acetonic extracts of two edible halophytes: Crithmum maritimum L. and Inula crithmoïdes L. Food Chem. 2014, 145, 1031–1038. [Google Scholar] [CrossRef]
- Pereira, C.G.; Barreira, L.; da Rosa Neng, N.; Nogueira, J.M.F.; Marques, C.; Santos, T.F.; Varela, J.; Custódio, L. Searching for new sources of innovative products for the food industry within halophyte aromatic plants: In vitro antioxidant activity and phenolic and mineral contents of infusions and decoctions of Crithmum maritimum L. Food Chem. Toxicol. 2017, 107, 581–589. [Google Scholar] [CrossRef]
- Vornoli, A.; Vizzarri, F.; Della Croce, C.M.; Grande, T.; Palazzo, M.; Árvay, J.; Pucci, L.; Gabriele, M.; Matteucci, M.; Paolini, M.; et al. The hypolipidemic, anti-inflammatory and antioxidant effect of Kavolì® aqueous extract, a mixture of Brassica oleracea leaves, in a rat model of NAFLD. Food Chem. Toxicol. 2022, 167, 113261. [Google Scholar] [CrossRef] [PubMed]
- Kim, J.Y.; Cho, J.Y.; Moon, J.H.; Choi, G.C.; Lee, K.D.; Ham, K.S.; Kim, S.J. Change of phenylpropanoic acid and flavonol contents at different growth stage of glasswort (Salicornia herbacea L.). Food Sci. Biotechnol. 2014, 23, 685–691. [Google Scholar] [CrossRef]
- Oliveira-Alves, S.C.; Andrade, F.; Prazeres, I.; Silva, A.B.; Capelo, J.; Duarte, B.; Caçador, I.; Coelho, J.; Serra, A.T.; Bronze, M.R. Impact of drying processes on the nutritional composition, volatile profile, phytochemical content and bioactivity of Salicornia ramosissima J. woods. Antioxidants 2021, 10, 1312. [Google Scholar] [CrossRef] [PubMed]
- Sánchez-Gavilán, I.; Rufo, L.; Rodríguez, N.; de la Fuente, V. On the elemental composition of the Mediterranean euhalophyte Salicornia patula Duval-Jouve (Chenopodiaceae) from saline habitats in Spain (Huelva, Toledo, and Zamora). Environ. Sci. Pollut. Res. 2021, 28, 2719–2727. [Google Scholar] [CrossRef] [PubMed]
- Costa, F.D.N.; Borges, R.M.; Leitão, G.G.; Jerz, G. Preparative mass-spectrometry profiling of minor concentrated metabolites in Salicornia gaudichaudiana Moq by high-speed countercurrent chromatography and off-line electrospray mass-spectrometry injection. J. Sep. Sci. 2019, 42, 528–1541. [Google Scholar] [CrossRef] [PubMed]
- Shahidi, F.; Ambigaipalan, P. Phenolics and polyphenolics in foods, beverages, and spices: Antioxidant activity and health effects: A review. J. Funct. Food. 2015, 18, 820–897. [Google Scholar]
- Shen, B.; Chen, H.; Shen, C.; Xu, P.; Li, J.; Shen, G.; Han, J. Hepatoprotective effects of lignans extract from Herpetospermum caudigerum against CCl4-induced acute liver injury in mice. J. Ethnopharmacol. 2015, 164, 46–52. [Google Scholar] [CrossRef] [PubMed]
- Taghipour, M.; Rouzbehan, Y.; Rezaei, J. Influence of diets containing different levels of Salicornia bigelovii forage on digestibility, ruminal and blood variables and antioxidant capacity of Shall male sheep. Anim. Feed Sci. Technol. 2021, 281, 115085. [Google Scholar] [CrossRef]
- Zheng, G.; Xu, L.; Wu, P.; Xie, H.; Jiang, Y.; Chen, F.; Wei, X. Polyphenols from longan seeds and their radical-scavenging activity. Food Chem. 2009, 116, 433–436. [Google Scholar] [CrossRef]
- Mukai, K.; Nagai, S.; Ohara, K. Kinetic study of the quenching reaction of singlet oxygen by tea catechins in ethanol solution. Free Radic. Biol. Med. 2005, 39, 752–761. [Google Scholar] [CrossRef]
- Kim, M.S.; Kwon, H.J.; Kang, S.Y.; Park, J.H. Effects of Plant-Derived Polyphenols on Nonalcoholic Fatty Liver Disease. Int. J. of Mol. Sci. 2021, 22, 3913. [Google Scholar]
- Leri, M.; Scuto, M.; Ontario, M.L.; Calabrese, V.; Calabrese, E.J. Lifestyle Changes and the Use of Natural Compounds in the Treatment of Nonalcoholic Fatty Liver Disease. Antioxidants 2021, 10, 1724. [Google Scholar]
- Wan, C.W.; Wong, C.N.; Pin, W.K.; Wong, M.H.; Kwok, C.Y.; Chan, R.Y.; Yu, P.H.; Chan, S.W. Chlorogenic acid exhibits cholesterol lowering and fatty liver attenuating properties by up-regulating the gene expression of PPAR-α in hypercholesterolemic rats induced with a high-cholesterol diet. Phytother. Res. 2013, 27, 545–551. [Google Scholar] [CrossRef] [PubMed]
- Grzelak-Błaszczyk, K.; Milala, J.; Kołodziejczyk, K.; S’ojka, M.; Czarnecki, A.; Kosmala, M.; Klewicki, R.; Fotschki, B.; Jurgo´nski, A.; Ju´skiewicz, J. Protocatechuic acid and quercetin glucosides in onions attenuate changes induced by high-fat diet in rats. Food Funct. 2020, 11, 3585–3597. [Google Scholar] [CrossRef] [PubMed]
- Cheng, N.; Ren, N.; Gao, H.; Lei, X.; Zheng, J.; Cao, W. Antioxidant and hepatoprotective effects of Schisandra chinensis pollen extract on CCl4-induced acute liver damage in mice. Food Chem. Toxicol. 2013, 55, 234–240. [Google Scholar] [CrossRef] [PubMed]
- Ben Hsouna, A.; Hfaiedh, M.; Ben Slima, S.; Romdhane, W.B.; Akacha, B.B.; Bouterra, M.T.; Dhifi, W.; Mnif, W.; Brini, F.; Ben Saad, R.; et al. Antioxidant and hepatoprotective effects of novel heteropolysaccharide isolated from Lobularia maritima on CCl4-induced liver injury in rats. Food Sci. Nutr. 2022, 10, 2271–2284. [Google Scholar] [CrossRef] [PubMed]
- Lü, J.-M.; Lin, P.H.; Yao, Q.; Chen, C. Chemical and molecular mechanisms of antioxidants: Experimental approaches and model systems. J. Cell. Mol. Med. 2010, 14, 840–860. [Google Scholar] [CrossRef]
- Cirillo, S.; Vivarelli, F.; Turrini, E.; Fimognari, C.; Burattini, S.; Falcieri, E.; Rocchi, M.B.L.; Cardenia, V.; Rodriguez-Estrada, M.T.; Paolini, M.; et al. The Customizable E-cigarette Resistance Influences Toxicological Outcomes: Lung Degeneration, Inflammation, and Oxidative Stress-Induced in a Rat Model. Toxicol Sci. 2019, 172, 132–145. [Google Scholar] [CrossRef] [PubMed]
- Rullo, L.; Caputi, F.F.; Losapio, L.M.; Morosini, C.; Posa, L.; Canistro, D.; Vivarelli, F.; Romualdi, P.; Candeletti, S. Effects of Different Opioid Drugs on Oxidative Status and Proteasome Activity in SH-SY5Y Cells. Molecules 2022, 27, 8321. [Google Scholar] [CrossRef]
- Xu, J.; Wise, J.T.F.; Wang, L.; Schumann, K.; Zhang, Z.; Shi, X. Dual Roles of Oxidative Stress in Metal Carcinogenesis. J. Environ. Pathol. Toxicol. Oncol. 2017, 36, 345–376. [Google Scholar] [CrossRef]
- Zargar, S.; Wani, T.A. Protective Role of Quercetin in Carbon Tetrachloride Induced Toxicity in Rat Brain: Biochemical, Spectrophotometric Assays and Computational Approach. Molecules 2021, 26, 7526. [Google Scholar] [CrossRef] [PubMed]
- Bonamassa, B.; Canistro, D.; Sapone, A.; Vivarelli, F.; Vornoli, A.; Longo, V.; Paolini, M. Harmful effects behind the daily supplementation of a fixed vegetarian blend in the rat model. Food Chem. Toxicol. 2016, 97, 367–374. [Google Scholar] [CrossRef] [PubMed]
- Potter, J.D. The failure of cancer chemoprevention. Carcinogenesis 2014, 35, 974–982. [Google Scholar] [CrossRef] [PubMed]
- Vivarelli, F.; Canistro, D.; Cirillo, S.; Papi, A.; Spisni, E.; Vornoli, A.; Croce, C.M.D.; Longo, V.; Franchi, P.; Filippi, S.; et al. Co-carcinogenic effects of vitamin E in prostate. Sci. Rep. 2019, 9, 11636. [Google Scholar] [CrossRef] [PubMed]
- Klaunig, J.E.; Li, X.; Wang, Z. Role of xenobiotics in the induction and progression of fatty liver disease. Toxicol. Res. 2018, 7, 664–680. [Google Scholar]
- Zbeeb, H.; Khalifeh, H.; Lupidi, G.; Baldini, F.; Zeaiter, L.; Khalil, M.; Salis, A.; Damonte, G.; Vergani, L. Polyphenol-enriched extracts of Sarcopoterium spinosum fruits for counteracting lipid accumulation and oxidative stress in an in vitro model of hepatic steatosis. Fitoterapia 2023, 172, 105743. [Google Scholar] [CrossRef]
- Yun, N.; Kang, J.W.; Lee, S.M. Protective effects of chlorogenic acid against ischemia/reperfusion injury in rat liver: Molecular evidence of its antioxidant and anti-inflammatory properties. J. Nutr. Biochem. 2012, 23, 1249–1255. [Google Scholar] [CrossRef]






| S. europaea Leaves Extract | |||
|---|---|---|---|
| Young Leaves | Old Leaves | ||
| Bioactive compounds | Total polyphenols (mg GAE/g DW) | 8.53 a ± 0.41 | 4.26 b ± 0.12 |
| Total flavonoids (mg CE/g DW) | 0.51 a ± 0.08 | 0.14 b ± 0.05 | |
| Flavonols (mg QE/g DW) | 0.11 a ± 0.01 | 0.05 b ± 0.01 | |
| Anthocyanins (mg C3GE/g DW) | 0.18 a ± 0.01 | 0.10 b ± 0.00 | |
| Pigments | Chlorophyll a (µg Chl a/g FW) | 465.30 a ± 10.43 | 407.80 b ± 9.97 |
| Chlorophyll b (µg Chl b/g FW) | 233.40 a ± 15.48 | 157.80 b ± 12.14 | |
| Carotenoids (µg/g FW) | 106.70 a ± 2.12 | 102.6 a ± 1.73 | |
| Antioxidant activity | DPPH (ARA %) | 79.51 a ± 0.45 | 60.57 b ± 0.33 |
| FRAP (EC50, mg/mL) | 6.79 a ± 0.44 | 3.37 b ± 0.10 | |
| ORAC (µmol TE/g DW) | 268.08 a ± 21.10 | 164.88 b ± 29.13 | |
| Compound Name | Content inSalicornia europeae(µg/g DW) | |
|---|---|---|
| Young Leaves | Old Leaves | |
| Gallic acid | 0.69 a ± 0.01 | 0.11 b ± 0.00 |
| 3-O-Caffeoylquinic acid (chlorogenic acid) | 1984.85 a ± 0.11 | 865.20 b ± 0.16 |
| Rosmarinic acid | 0.22 a ± 0.00 | 0.16 b ± 0.00 |
| Caffeic acid | 3.18 a ± 0.04 | 0.52 b ± 0.01 |
| p-Coumaric acid | 1.01 a ± 0.01 | 0.38 b ± 0.00 |
| Vanillic acid | 16.55 a ± 0.14 | 5.14 b ± 0.05 |
| trans-Ferulic acid | 39.13 a ± 0.07 | 7.52 b ± 0.07 |
| Protocatechuic acid | 4.52 a ± 0.04 | 0.36 b ± 0.00 |
| ∑ Phenolic acids * | 2050.15 | 879.39 |
| (+)-Catechin | 0.53 a ± 0.00 | 0.30 b ± 0.00 |
| (−)-Epicatechin | 0.61 a ± 0.00 | 0.30 b ± 0.00 |
| Apigenin | 0.04 b ± 0.00 | 0.07 a ± 0.00 |
| ∑Flavan-3-ols * | 1.18 | 0.67 |
| Naringenin | 2.49 a ± 0.02 | 0.04 b ± 0.00 |
| Eriodictyol | 0.02 b ± 0.00 | 0.11 a ± 0.00 |
| ∑ Flavanones * | 2.51 | 0.15 |
| Quercetin | 0.16 b ± 0.00 | 0.27 a ± 0.00 |
| Kaempferol 3-O-glucoside | 0.05 b ± 0.00 | 0.08 a ± 0.00 |
| Kaempferol 3-O-rutinoside | 12.87 a ± 0.05 | 3.88 b ± 0.03 |
| Quercetin 3-O-glucoside | 154.33 a ± 0.05 | 61.99 b ± 0.08 |
| Quercetin 3-O-rutinoside (rutin) | 7.80 a ± 0.04 | 6.87 b ± 0.09 |
| Quercetin 3,4-O-diglucoside | 0.32 a ± 0.00 | Nd |
| ∑ Flavonols * | 175.53 | 73.09 |
| Resveratrol | 0.16 a ± 0.00 | 0.12 b ± 0.00 |
| Resveratrol 3-O-glucoside (piceid) | Nd | 0.04 a ± 0.00 |
| ∑Stilbenoids * | 0.16 | 0.16 |
| Hydroxytyrosol | 0.41 a ± 0.00 | 0.13 b ± 0.00 |
| Luteolin | 0.21 b ± 0.00 | 0.29 a ± 0.00 |
| Oleuropein | 0.06 a ± 0.00 | 0.03 b ± 0.00 |
| Verbascoside | 0.03 b ± 0.00 | 0.04 a ± 0.00 |
| Phloretin | 0.03 a ± 0.00 | 0.02 b ± 0.00 |
| Phloridzin | 0.01 a ± 0.00 | 0.01 a ± 0.00 |
| ∑Others * | 0.75 | 0.52 |
| CTR (n = 10) | SAL (n = 9) | CCl4 (n = 10) | CCl4 + SAL (n = 9) | |
|---|---|---|---|---|
| AST (U/L) | 121.9 b ± 42.3 | 110.3 b ± 35.6 | 1894.2 a ± 217.0 | 181.7 b ± 93.0 |
| ALT (U/L) | 43.6 b ± 2.9 | 42.5 b ± 10.0 | 1172.2 a ± 123.0 | 54.2 b ± 8.0 |
| TC (mg/dL) | 85.2 a ± 12.8 | 80.8 a ± 7 | 37.2 b ± 7.9 | 70.3 a ± 14.1 |
| HDL-C (mg/dL) | 37.4 a ± 4.1 | 38.7 a ± 4.7 | 12.3 b ± 7.1 | 29.3 a ± 5.0 |
| LDL-C (mg/dL) | 6.8 a ± 2.2 | 6.4 a ± 1.1 | 7.2 a ± 2.7 | 6.2 a ± 1.6 |
| TG (mg/dL) | 166.7 a ± 47.6 | 139.1 a ± 33.6 | 26.3 c ± 10.2 | 74.3 b ± 39.6 |
| Urea (mg/dL) | 37.4 b ± 4.6 | 37.8 b ± 5.2 | 55.3 a ± 6.1 | 51.5 a ± 5.7 |
| Creatinine (mg/dL) | 0.28 b ± 0.03 | 0.27 b ± 0.05 | 0.39 a ± 0.01 | 0.30 b ± 0.03 |
| TC/HDL-C (ratio) | 2.3 b ± 0.4 | 2.1 b ± 0.1 | 3.8 a ± 1.8 | 2.4 b ± 0.3 |
| LDL-C/HDL-C (ratio) | 0.18 b ± 0.07 | 0.17 b ± 0.04 | 0.92 a ± 0.82 | 0.21 b ± 0.05 |
| AAI * | 81.9 a ± 18.0 | 92.6 a ± 9.7 | 50.8 b ± 28.9 | 73.6 ab ± 13.1 |
Disclaimer/Publisher’s Note: The statements, opinions and data contained in all publications are solely those of the individual author(s) and contributor(s) and not of MDPI and/or the editor(s). MDPI and/or the editor(s) disclaim responsibility for any injury to people or property resulting from any ideas, methods, instructions or products referred to in the content. |
© 2024 by the authors. Licensee MDPI, Basel, Switzerland. This article is an open access article distributed under the terms and conditions of the Creative Commons Attribution (CC BY) license (https://creativecommons.org/licenses/by/4.0/).
Share and Cite
Souid, A.; Giambastiani, L.; Castagna, A.; Santin, M.; Vivarelli, F.; Canistro, D.; Morosini, C.; Paolini, M.; Franchi, P.; Lucarini, M.; et al. Assessment of the Antioxidant and Hypolipidemic Properties of Salicornia europaea for the Prevention of TAFLD in Rats. Antioxidants 2024, 13, 596. https://doi.org/10.3390/antiox13050596
Souid A, Giambastiani L, Castagna A, Santin M, Vivarelli F, Canistro D, Morosini C, Paolini M, Franchi P, Lucarini M, et al. Assessment of the Antioxidant and Hypolipidemic Properties of Salicornia europaea for the Prevention of TAFLD in Rats. Antioxidants. 2024; 13(5):596. https://doi.org/10.3390/antiox13050596
Chicago/Turabian StyleSouid, Aymen, Lucia Giambastiani, Antonella Castagna, Marco Santin, Fabio Vivarelli, Donatella Canistro, Camilla Morosini, Moreno Paolini, Paola Franchi, Marco Lucarini, and et al. 2024. "Assessment of the Antioxidant and Hypolipidemic Properties of Salicornia europaea for the Prevention of TAFLD in Rats" Antioxidants 13, no. 5: 596. https://doi.org/10.3390/antiox13050596
APA StyleSouid, A., Giambastiani, L., Castagna, A., Santin, M., Vivarelli, F., Canistro, D., Morosini, C., Paolini, M., Franchi, P., Lucarini, M., Raffaelli, A., Giorgetti, L., Ranieri, A., Longo, V., Pozzo, L., & Vornoli, A. (2024). Assessment of the Antioxidant and Hypolipidemic Properties of Salicornia europaea for the Prevention of TAFLD in Rats. Antioxidants, 13(5), 596. https://doi.org/10.3390/antiox13050596

